Mitigation of Deoxynivalenol (DON)- and Aflatoxin B1 (AFB1)-Induced Immune Dysfunction and Apoptosis in Mouse Spleen by Curcumin
Abstract
1. Introduction
2. Results
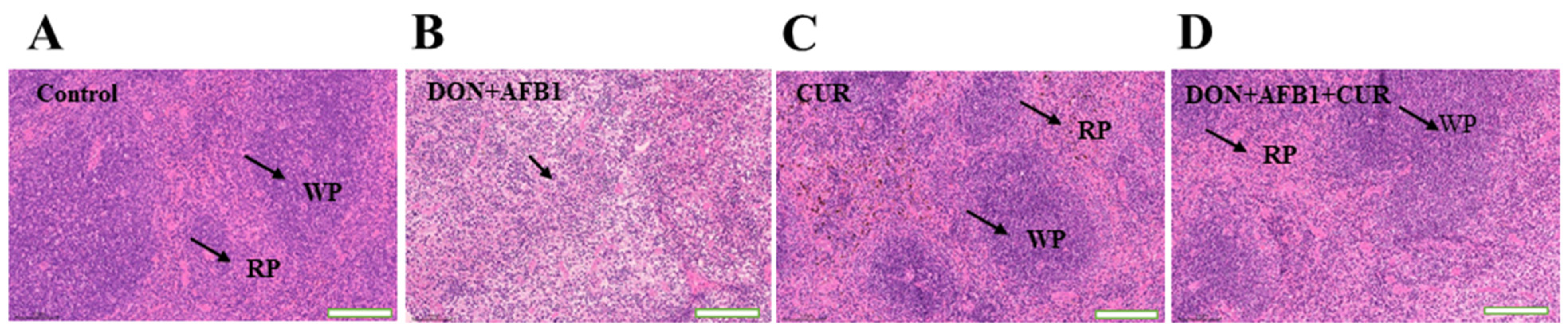
2.1. Curcumin Restored Microscopic Structural Changes in Spleen
2.2. Effects of Curcumin on Mice Exposed to DON + AFB1 Combination
2.3. Curcumin Protects against DON + AFB1-Induced Spleen Cell Apoptosis of Mice
3. Discussion
4. Conclusions
5. Materials and Methods
5.1. Animals and Experimental Design
5.2. Sample Collection
5.3. Histopathological Examination
5.4. Detection of Immunoglobulins (Igs) through ELISA
5.5. Splenic T Lymphocyte Subset Analysis
5.6. Analysis of Spleen Apoptosis
5.7. Quantitative Real-Time PCR Analysis
5.8. Relative Expression of Proteins by Western Blot Analysis
5.9. Statistical Analysis
Author Contributions
Funding
Institutional Review Board Statement
Informed Consent Statement
Data Availability Statement
Conflicts of Interest
References
- Waqas, M.; Iqbal, S.Z.; Abdull Razis, A.F.; Pervaiz, W.; Ahmad, T.; Usman, S.; Ali, N.B.; Asi, M.R. Occurrence of aflatoxins in edible vegetable seeds and oil samples available in Pakistani retail markets and estimation of dietary intake in consumers. Int. J. Environ. Res. Public Health 2021, 18, 8015. [Google Scholar] [CrossRef]
- Bouelet Ntsama, I.S.; Frazzoli, C.; Pouokam, G.B.; Colizzi, V.J.F. Occurrence and dietary risk assessment of mycotoxins in most consumed foods in Cameroon: Exploring current data to understand futures challenges. Foods 2023, 12, 1713. [Google Scholar] [CrossRef] [PubMed]
- Streit, E.; Schatzmayr, G.; Tassis, P.; Tzika, E.; Marin, D.; Taranu, I.; Tabuc, C.; Nicolau, A.; Aprodu, I.; Puel, O.J.T. Current situation of mycotoxin contamination and co-occurrence in animal feed—Focus on Europe. Toxins 2012, 4, 788–809. [Google Scholar] [CrossRef] [PubMed]
- Andretta, I.; Kipper, M.; Lehnen, C.; Hauschild, L.; Vale, M.; Lovatto, P.J.A. Meta-analytical study of productive and nutritional interactions of mycotoxins in growing pigs. Animal 2012, 6, 1476–1482. [Google Scholar] [CrossRef] [PubMed]
- Bhat, R.; Rai, R.V.; Karim, A.A. Mycotoxins in food and feed: Present status and future concerns. Compr. Rev. Food Sci. Food Saf. 2010, 9, 57–81. [Google Scholar] [CrossRef] [PubMed]
- Brown, R.; Priest, E.; Naglik, J.R.; Richardson, J.P. Fungal toxins and host immune responses. Front. Microbiol. 2021, 12, 643639. [Google Scholar] [CrossRef] [PubMed]
- Guan, Y.; Lv, H.; Wu, G.; Chen, J.; Wang, M.; Zhang, M.; Pang, H.; Duan, Y.; Wang, L.; Tan, Z.J.T. Effects of lactic acid bacteria reducing the content of harmful fungi and mycotoxins on the quality of mixed fermented feed. Toxins 2023, 15, 226. [Google Scholar] [CrossRef] [PubMed]
- Corrier, D. Mycotoxicosis: Mechanisms of immunosuppression. Vet. Immunol. Immunopathol. 1991, 30, 73–87. [Google Scholar] [CrossRef]
- Pestka, J.J. Deoxynivalenol: Mechanisms of action, human exposure, and toxicological relevance. Arch. Toxicol. 2010, 84, 663–679. [Google Scholar] [CrossRef] [PubMed]
- Marin, S.; Ramos, A.; Cano-Sancho, G.; Sanchis, V. Mycotoxins: Occurrence, toxicology, and exposure assessment. Food Chem. Toxicol. 2013, 60, 218–237. [Google Scholar] [CrossRef]
- Williams, J.; Aggarwal, D.; Jolly, P.; Phillips, T.; Wang, J. Connecting the dots: Logical and statistical connections between aflatoxin exposure and HIV/AIDS. In The Evidence Connecting HIV and Aflatoxin; Peanut Collaborative Research Support Program/USAID: Accra, Ghana, 2005. [Google Scholar]
- Qian, G.; Tang, L.; Guo, X.; Wang, F.; Massey, M.E.; Su, J.; Guo, T.L.; Williams, J.H.; Phillips, T.D.; Wang, J.S. Aflatoxin B1 modulates the expression of phenotypic markers and cytokines by splenic lymphocytes of male F344 rats. J. Appl. Toxicol. 2014, 34, 241–249. [Google Scholar] [CrossRef] [PubMed]
- Sun, L.H.; Lei, M.Y.; Zhang, N.Y.; Zhao, L.; Krumm, C.S.; Qi, D.S. Hepatotoxic effects of mycotoxin combinations in mice. Food Chem. Toxicol. 2014, 74, 289–293. [Google Scholar] [CrossRef] [PubMed]
- Hao, S.; Hu, J.; Song, S.; Huang, D.; Xu, H.; Qian, G.; Gan, F.; Huang, K. Selenium alleviates aflatoxin B1-induced immune toxicity through improving glutathione peroxidase 1 and selenoprotein S expression in primary porcine splenocytes. J. Agric. Food Chem. 2016, 64, 1385–1393. [Google Scholar] [CrossRef] [PubMed]
- Sun, L.H.; Lei, M.Y.; Zhang, N.-Y.; Gao, X.; Li, C.; Krumm, C.S.; Qi, D.-S.J.T. Individual and combined cytotoxic effects of aflatoxin B1, zearalenone, deoxynivalenol and fumonisin B1 on BRL 3A rat liver cells. Toxicon 2015, 95, 6–12. [Google Scholar] [CrossRef]
- Wang, Y.; Wang, Q.; Ji, C.; Guo, X.; Yang, G.; Wang, D.; Weng, H.; Qian, Y.; Chen, C.J.E.S.E. Mixture toxic impacts and the related mechanism of aflatoxin B1 and deoxynivalenol on embryonic zebrafish (Danio rerio). Environ. Sci. Eur. 2021, 33, 1–15. [Google Scholar] [CrossRef]
- Xu, F.; Wang, P.; Yao, Q.; Shao, B.; Yu, H.; Yu, K.; Li, Y. Lycopene alleviates AFB 1-induced immunosuppression by inhibiting oxidative stress and apoptosis in the spleen of mice. Food Funct. 2019, 10, 3868–3879. [Google Scholar] [CrossRef] [PubMed]
- Subedi, L.; Gaire, B.P. Neuroprotective effects of curcumin in cerebral ischemia: Cellular and molecular mechanisms. ACS Chem. Neurosci. 2021, 12, 2562–2572. [Google Scholar] [CrossRef]
- Jyotirmayee, B.; Nayak, S.S.; Mohapatra, N.; Sahoo, S.; Mishra, M.; Mahalik, G. Bioactive Compounds and Biological Activities of Turmeric (Curcuma longa L.). In Bioactive Compounds in the Storage Organs of Plants; Springer: Berlin/Heidelberg, Germany, 2023; pp. 1–29. [Google Scholar]
- Bertoncini-Silva, C.; Vlad, A.; Ricciarelli, R.; Giacomo Fassini, P.; Suen, V.M.M.; Zingg, J.M.J.A. Enhancing the Bioavailability and Bioactivity of Curcumin for Disease Prevention and Treatment. Antioxidants 2024, 13, 331. [Google Scholar] [CrossRef] [PubMed]
- Abd El-Hack, M.E.; El-Saadony, M.T.; Swelum, A.A.; Arif, M.; Abo Ghanima, M.M.; Shukry, M.; Noreldin, A.; Taha, A.E.; El-Tarabily, K.A.J. Agriculture. Curcumin, the active substance of turmeric: Its effects on health and ways to improve its bioavailability. J. Sci. Food Agric. 2021, 101, 5747–5762. [Google Scholar] [CrossRef]
- Catanzaro, M.; Corsini, E.; Rosini, M.; Racchi, M.; Lanni, C. Immunomodulators inspired by nature: A review on curcumin and echinacea. Molecules 2018, 23, 2778. [Google Scholar] [CrossRef]
- Cheng, L.; Rao, Q.; Zhang, Q.; Song, W.; Guan, S.; Jiang, Z.; Wu, T.; Zhao, Z.; Song, W. The immunotoxicity of decabromodiphenyl ether (BDE-209) on broiler chicks by transcriptome profiling analysis. Ecotoxicol. Environ. Saf. 2022, 232, 113284. [Google Scholar] [CrossRef] [PubMed]
- Wang, J.; Tang, J.; Li, X.; Ning, X.; Sun, C.; Zhang, N.; Zhang, S.J.E. Curcumin alleviates spleen immunotoxicity induced by decabrominated diphenyl ethers (bde-209) by improving immune function and inhibiting inflammation and apoptosis in broilers. Ecotoxicol. Environ. Saf. 2023, 259, 115048. [Google Scholar] [CrossRef] [PubMed]
- Wan, F.; Tang, L.; Rao, G.; Zhong, G.; Jiang, X.; Wu, S.; Huang, R.; Tang, Z.; Ruan, Z.; Chen, Z.J.T. Curcumin activates the Nrf2 Pathway to alleviate AFB1-induced immunosuppression in the spleen of ducklings. Toxicon 2022, 209, 18–27. [Google Scholar] [CrossRef] [PubMed]
- Zia, A.; Farkhondeh, T.; Pourbagher-Shahri, A.M.; Samarghandian, S. The role of curcumin in aging and senescence: Molecular mechanisms. Biomed. Pharmacother. 2021, 134, 111119. [Google Scholar] [CrossRef] [PubMed]
- Dai, C.; Wang, Y.; Sharma, G.; Shen, J.; Velkov, T.; Xiao, X. Polymyxins–curcumin combination antimicrobial therapy: Safety implications and efficacy for infection treatment. Antioxidants 2020, 9, 506. [Google Scholar] [CrossRef] [PubMed]
- Dai, C.; Xiao, X.; Zhang, Y.; Xiang, B.; Hoyer, D.; Shen, J.; Velkov, T.; Tang, S. Curcumin attenuates colistin-induced peripheral neurotoxicity in mice. ACS Infect. Dis. 2020, 6, 715–724. [Google Scholar] [CrossRef] [PubMed]
- Liu, M.; Lu, Y.; Gao, P.; Xie, X.; Li, D.; Yu, D.; Yu, M. Effect of curcumin on laying performance, egg quality, endocrine hormones, and immune activity in heat-stressed hens. Poult. Sci. 2020, 99, 2196–2202. [Google Scholar] [CrossRef] [PubMed]
- Bose, S.; Panda, A.K.; Mukherjee, S.; Sa, G. Curcumin and tumor immune-editing: Resurrecting the immune system. Cell Div. 2015, 10, 1–13. [Google Scholar] [CrossRef] [PubMed]
- Mohajeri, M.; Behnam, B.; Cicero, A.F.; Sahebkar, A. Protective effects of curcumin against aflatoxicosis: A comprehensive review. J. Cell. Physiol. 2018, 233, 3552–3577. [Google Scholar] [CrossRef]
- Jia, B.; Yu, S.; Yu, D.; Liu, N.; Zhang, S.; Wu, A. Mycotoxin deoxynivalenol affects myoblast differentiation via downregulating cytoskeleton and ECM-integrin-FAK-RAC-PAK signaling pathway. Ecotoxicol. Environ. Saf. 2021, 226, 112850. [Google Scholar] [CrossRef]
- Cao, Z.; Gao, J.; Huang, W.; Yan, J.; Shan, A.; Gao, X.J.F. Curcumin mitigates deoxynivalenol-induced intestinal epithelial barrier disruption by regulating Nrf2/p53 and NF-κB/MLCK signaling in mice. Food Chem. Toxicol. 2022, 167, 113281. [Google Scholar] [CrossRef]
- Aupanun, S.; Poapolathep, S.; Phuektes, P.; Giorgi, M.; Zhang, Z.; Oswald, I.P.; Poapolathep, A.J.T. Individual and combined mycotoxins deoxynivalenol, nivalenol, and fusarenon-X induced apoptosis in lymphoid tissues of mice after oral exposure. Toxicon 2019, 165, 83–94. [Google Scholar] [CrossRef] [PubMed]
- Kaspers, B.; Schat, K.A.; Göbel, T.; Vervelde, L. Avian Immunology; Academic Press: Cambridge, MA, USA, 2021. [Google Scholar]
- Muhmood, A.; Tang, J.; Li, J.; Liu, S.; Hou, L.; Le, G.; Liu, D.; Huang, K.J.F.; Toxicology, C. No-observed adverse effect levels of deoxynivalenol and aflatoxin B1 in combination induced immune inhibition and apoptosis in vivo and in vitro. Food Chem. Toxicol. 2024, 189, 114745. [Google Scholar] [CrossRef] [PubMed]
- Weledji, E.P. Benefits and risks of splenectomy. Int. J. Surg. 2014, 12, 113–119. [Google Scholar] [CrossRef]
- Sawarkar, A.; Sonkusale, P.; Kurkure, N.; Jangade, C.; Maini, S.; Ravikanth, K. Experimental Afla and Ochratoxin lnduced Mixed Mycotoxicosis in Broilers and its Amelioration with Herbomineral Toxin Binder ‘Toxiroak Gold’. Int. J. Poult. Sci. 2011, 10, 560–566. [Google Scholar] [CrossRef]
- Li, S.; Han, M.; Zhang, Y.; Ishfaq, M.; Liu, R.; Wei, G.; Zhang, X.; Zhang, X. Effect of curcumin as feed supplement on immune response and pathological changes of broilers exposed to Aflatoxin B1. Biomolecules 2022, 12, 1188. [Google Scholar] [CrossRef] [PubMed]
- Nicholson, L.B. The immune system. Essays Biochem. 2016, 60, 275–301. [Google Scholar] [CrossRef] [PubMed]
- Zhu, J. T helper 2 (Th2) cell differentiation, type 2 innate lymphoid cell (ILC2) development and regulation of interleukin-4 (IL-4) and IL-13 production. Cytokine 2015, 75, 14–24. [Google Scholar] [CrossRef] [PubMed]
- Berg, R.E.; Forman, J. The role of CD8 T cells in innate immunity and in antigen non-specific protection. Curr. Opin. Immunol. 2006, 18, 338–343. [Google Scholar] [CrossRef]
- Bakheet, S.A.; Attia, S.M.; Alwetaid, M.Y.; Ansari, M.A.; Zoheir, K.M.; Nadeem, A.; Al-Shabanah, O.A.; Al-Harbi, M.M.; Ahmad, S.F. β-1, 3-Glucan reverses aflatoxin B1-mediated suppression of immune responses in mice. Life Sci. 2016, 152, 1–13. [Google Scholar] [CrossRef]
- Meissonnier, G.M.; Pinton, P.; Laffitte, J.; Cossalter, A.-M.; Gong, Y.Y.; Wild, C.P.; Bertin, G.; Galtier, P.; Oswald, I.P.J.T. Immunotoxicity of aflatoxin B1: Impairment of the cell-mediated response to vaccine antigen and modulation of cytokine expression. Toxicol. Appl. Pharmacol. 2008, 231, 142–149. [Google Scholar] [CrossRef]
- Grenier, B.; Loureiro-Bracarense, A.P.; Lucioli, J.; Pacheco, G.D.; Cossalter, A.M.; Moll, W.D.; Schatzmayr, G.; Oswald, I.P.J. Individual and combined effects of subclinical doses of deoxynivalenol and fumonisins in piglets. Mol. Nutr. 2011, 55, 761–771. [Google Scholar] [CrossRef]
- Mohammadi, A.; Mashayekhi, K.; Navashenaq, J.G.; Haftcheshmeh, S.M. Curcumin as a natural modulator of B lymphocytes: Evidence from in vitro and in vivo studies. Mini Rev. Med. Chem. 2022, 22, 2361–2370. [Google Scholar]
- Rajput, N.; Naeem, M.; Ali, S.; Zhang, J.; Zhang, L.; Wang, T.J.P.S. The effect of dietary supplementation with the natural carotenoids, curcumin and lutein on broiler pigmentation and immunity. Poult. Sci. 2013, 92, 1177–1185. [Google Scholar] [CrossRef]
- Boroumand, N.; Samarghandian, S.; Hashemy, S.I. Immunomodulatory, anti-inflammatory, and antioxidant effects of curcumin. J. Herbmed Pharmacol. 2018, 7, 211–219. [Google Scholar] [CrossRef]
- Mason, J.; Pusey, C. Handbook of Systemic Autoimmune Diseases; Elsevier: Amsterdam, The Netherlands; Linacre House: Oxford, UK, 2007; Volume 7. [Google Scholar]
- Zhu, J.; Paul, W.E. CD4 T cells: Fates, functions, and faults. Blood J. Am. Soc. Hematol. 2008, 112, 1557–1569. [Google Scholar] [CrossRef]
- Wang, F.; Shu, G.; Peng, X.; Fang, J.; Chen, K.; Cui, H.; Chen, Z.; Zuo, Z.; Deng, J.; Geng, Y. Protective effects of sodium selenite against aflatoxin B1-induced oxidative stress and apoptosis in broiler spleen. Int. J. Environ. Res. Public Health 2013, 10, 2834–2844. [Google Scholar] [CrossRef]
- Sun, E.; Shi, Y. Apoptosis: The quiet death silences the immune system. Pharmacol. Ther. 2001, 92, 135–145. [Google Scholar] [CrossRef]
- Bensassi, F.; Gallerne, C.; El Dein, O.S.; Lemaire, C.; Hajlaoui, M.R.; Bacha, H. Involvement of mitochondria-mediated apoptosis in deoxynivalenol cytotoxicity. Food Chem. Toxicol. 2012, 50, 1680–1689. [Google Scholar] [CrossRef]
- Hill, M.M.; Adrain, C.; Duriez, P.J.; Creagh, E.M.; Martin, S.J. Analysis of the composition, assembly kinetics and activity of native Apaf-1 apoptosomes. EMBO J. 2004, 23, 2134–2145. [Google Scholar] [CrossRef]
- Ly, J.; Grubb, D.; Lawen, A. The mitochondrial membrane potential (deltapsi (m)) in apoptosis; an update. Apoptosis: An international journal on programmed cell death. Apoptosis 2003, 8, 115–128. [Google Scholar] [CrossRef]
- Siddiqui, W.A.; Ahad, A.; Ahsan, H. The mystery of BCL2 family: Bcl-2 proteins and apoptosis: An update. Arch. Toxicol. 2015, 89, 289–317. [Google Scholar] [CrossRef]
- Qian, S.; Wei, Z.; Yang, W.; Huang, J.; Yang, Y.; Wang, J. The role of BCL-2 family proteins in regulating apoptosis and cancer therapy. Front. Oncol. 2022, 12, 985363. [Google Scholar] [CrossRef]



| Gene | Primer Sequences | Gene Numbers |
|---|---|---|
| IL-2 | For 5′ CCAAGCAGGCCACAGAATTG 3′ | NM_008366.3 |
| Rev 5′ GCTGACTCATCATCGAATTGGC 3′ | ||
| IL-6 | For 5′ CCAGGAACCCAGCTATGAAC | NM_204628.1 |
| Rev 5′ CTGCACAGCCTCGACATT | ||
| IFN-γ | For 5′ ACGGCACAGTCATTGAAAGC 3′ | NM_008337.4 |
| Rev 5′ TCACCATCCTTTTGCCAGTTC 3′ | ||
| TNF-α | For 5′ CGTCGTAGCAAACCACCAAG 3′ | NM_013693.3 |
| Rev 5′ TTGAAGAGAACCTGGGAGTAGACA 3′ | ||
| GAPDH | GCATCTTCTTGTGCAGTGCC | NM_008084.4 |
| TACGGCCAAATCCGTTCACA |
Disclaimer/Publisher’s Note: The statements, opinions and data contained in all publications are solely those of the individual author(s) and contributor(s) and not of MDPI and/or the editor(s). MDPI and/or the editor(s) disclaim responsibility for any injury to people or property resulting from any ideas, methods, instructions or products referred to in the content. |
© 2024 by the authors. Licensee MDPI, Basel, Switzerland. This article is an open access article distributed under the terms and conditions of the Creative Commons Attribution (CC BY) license (https://creativecommons.org/licenses/by/4.0/).
Share and Cite
Muhmood, A.; Liu, J.; Liu, D.; Liu, S.; Azzam, M.M.; Junaid, M.B.; Hou, L.; Le, G.; Huang, K. Mitigation of Deoxynivalenol (DON)- and Aflatoxin B1 (AFB1)-Induced Immune Dysfunction and Apoptosis in Mouse Spleen by Curcumin. Toxins 2024, 16, 356. https://doi.org/10.3390/toxins16080356
Muhmood A, Liu J, Liu D, Liu S, Azzam MM, Junaid MB, Hou L, Le G, Huang K. Mitigation of Deoxynivalenol (DON)- and Aflatoxin B1 (AFB1)-Induced Immune Dysfunction and Apoptosis in Mouse Spleen by Curcumin. Toxins. 2024; 16(8):356. https://doi.org/10.3390/toxins16080356
Chicago/Turabian StyleMuhmood, Azhar, Jianxin Liu, Dandan Liu, Shuiping Liu, Mahmoud M. Azzam, Muhammad Bilawal Junaid, Lili Hou, Guannan Le, and Kehe Huang. 2024. "Mitigation of Deoxynivalenol (DON)- and Aflatoxin B1 (AFB1)-Induced Immune Dysfunction and Apoptosis in Mouse Spleen by Curcumin" Toxins 16, no. 8: 356. https://doi.org/10.3390/toxins16080356
APA StyleMuhmood, A., Liu, J., Liu, D., Liu, S., Azzam, M. M., Junaid, M. B., Hou, L., Le, G., & Huang, K. (2024). Mitigation of Deoxynivalenol (DON)- and Aflatoxin B1 (AFB1)-Induced Immune Dysfunction and Apoptosis in Mouse Spleen by Curcumin. Toxins, 16(8), 356. https://doi.org/10.3390/toxins16080356

