Analysis of Synergism between Extracellular Polysaccharide from Bacillus thuringensis subsp. kurstaki HD270 and Insecticidal Proteins
Abstract
:1. Introduction
2. Results
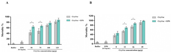
2.1. Universal Synergistic Activity of Bt EPSs on Insecticidal Proteins
2.2. EPS-HD270 Formed Specific Binding with Vip3Aa11 Protein
2.3. EPS-HD270 Delayed Proteolytic Processing of Cry1Ac and Vip3Aa Proteins in Midgut Juice
2.4. EPS-HD270 Enhances the Binding Affinity of Vip3Aa11 to BBMVs of H. armigera and S. frugiperda
3. Discussion
4. Conclusions
5. Materials and Methods
5.1. Strains
5.2. Isolation and Purification of Insecticidal Proteins
5.3. Culture of Strain and Preparation of EPS-HD270
5.4. Bioassay
5.5. Preparation of BBMVs
5.6. ELISA Analysis of the Binding of Vip3Aa11 Protoxin to EPS-HD270
5.7. Western Blot Analysis of the Binding of Vip3Aa11 Protoxin with EPS-HD270 to BBMVs of S. frugiperda and H. armigera
5.8. Proteolytic Processing Analysis of Insecticidal Protoxin
5.9. Data Analysis
Supplementary Materials
Author Contributions
Funding
Institutional Review Board Statement
Informed Consent Statement
Data Availability Statement
Conflicts of Interest
References
- Bazaka, K.; Crawford, R.J.; Nazarenko, E.L.; Ivanova, E.P. Bacterial extracellular polysaccharides. Adv. Exp. Med. Biol. 2011, 715, 213–226. [Google Scholar] [PubMed]
- Nwodo, U.U.; Green, E.; Okoh, A.I. Bacterial exopolysaccharides: Functionality and prospects. Int. J. Mol. Sci. 2012, 13, 14002–14015. [Google Scholar] [CrossRef] [PubMed]
- Limoli, D.H.; Jones, C.J.; Wozniak, D.J. Bacterial extracellular polysaccharides in biofilm formation and function. Microbiol. Spectr. 2015, 3, 1–19. [Google Scholar] [CrossRef] [PubMed]
- Kumar, C.G.; Joo, H.S.; Choi, J.W.; Koo, Y.M.; Chang, C.S. Purification and characterization of an extracellular polysaccharide from haloalkalophilic Bacillus sp. I-450. Enzyme Microb. Technol. 2004, 34, 673–681. [Google Scholar] [CrossRef]
- Shameer, S. Biosorption of lead, copper and cadmium using the extracellular polysaccharides (EPS) of Bacillus sp. from solar salterns. 3 Biotech. 2016, 6, 194. [Google Scholar] [CrossRef]
- Jiang, C.H.; Fan, Z.H.; Xie, P.; Guo, J.H. Bacillus cereus AR156 extracellular polysaccharides served as a novel micro-associated molecular pattern to induced systemic immunity to Pst DC3000 in Arabidopsis. Front. Microbiol. 2016, 7, 664. [Google Scholar] [CrossRef]
- Vlamakis, H.; Chai, Y.; Beauregard, P.; Losick, R.; Kolter, R. Sticking together: Building a biofilm the Bacillus subtilis way. Nat. Rev. Microbiol. 2013, 11, 157–168. [Google Scholar] [CrossRef]
- Wang, M.L.; Geng, L.L.; Xue, B.; Wang, Z.Y.; Xu, W.Y.; Shu, C.L.; Zhang, J. Structure characteristics and function of a novel extracellular polysaccharide from Bacillus thuringiensis strain 4D19. Int. J. Biol. Macromol. 2021, 189, 956–964. [Google Scholar] [CrossRef]
- Harris, M.K. Bacillus thuringiensis and pest control. Science 1991, 253, 1194. [Google Scholar] [CrossRef]
- Palma, L.; Muñoz, D.; Berry, C.; Murillo, J.; Caballero, P. Bacillus thuringiensis toxins: An overview of their biocidal activity. Toxins. 2014, 6, 3296–3325. [Google Scholar] [CrossRef]
- Sanahuja, G.; Banakar, R.; Twyman, R.M.; Capell, T.; Christou, P. Bacillus thuringiensis: A century of research, development and commercial applications. Plant Biotechnol J. 2021, 9, 283–300. [Google Scholar] [CrossRef] [PubMed]
- Núñez-Ramírez, R.; Huesa, J.; Bel, Y.; Ferré, J.; Casino, P.; Arias-Palomo, E. Molecular architecture and activation of the insecticidal protein Vip3Aa from Bacillus thuringiensis. Nat. Commun. 2020, 11, 3974. [Google Scholar] [CrossRef] [PubMed]
- Jiang, K.; Zhang, Y.; Chen, Z.; Wu, D.L.; Cai, J.; Gao, X. Structural and functional insights into the C-terminal fragment of insecticidal Vip3A toxin of Bacillus thuringiensis. Toxins 2020, 12, 438. [Google Scholar] [CrossRef] [PubMed]
- Chakrabarty, S.; Jin, M.; Wu, C.; Chakraborty, P.; Xiao, Y. Bacillus thuringiensis vegetative insecticidal protein family Vip3A and mode of action against pest Lepidoptera. Pest Manag. Sci. 2020, 76, 1612–1617. [Google Scholar] [CrossRef]
- Chakroun, M.; Bel, Y.; Caccia, S.; Abdelkefi-Mesrati, L.; Escriche, B.; Ferré, J. Susceptibility of Spodoptera frugiperda and Spodoptera exigua to Bacillus thuringiensis Vip3Aa insecticidal protein. J. Invertebr. Pathol. 2012, 110, 334–339. [Google Scholar] [CrossRef]
- Baxter, S.W.; Badenes-Pérez, F.R.; Morrison, A.; Vogel, H.; Crickmore, N.; Kain, W.; Wang, P.; Heckel, D.G.; Jiggins, C.D. Parallel evolution of Bacillus thuringiensis toxin resistance in lepidoptera. Genetics 2011, 189, 675–679. [Google Scholar] [CrossRef]
- Guo, Z.; Kang, S.; Chen, D.; Wu, Q.; Wang, S.; Xie, W.; Zhu, X.; Baxter, S.W.; Zhou, X.; Jurat-Fuentes, J.L.; et al. MAPK signaling pathway alters expression of midgut ALP and ABCC genes and causes resistance to Bacillus thuringiensis Cry1Ac toxin in diamondback moth. PLoS Genet 2015, 11, e1005124. [Google Scholar] [CrossRef]
- Mahon, R.J.; Downes, S.J.; James, B. Vip3A resistance alleles exist at high levels in Australian targets before release of cotton expressing this toxin. PLoS ONE 2012, 7, e39192. [Google Scholar] [CrossRef]
- Farias, J.R.; Andow, D.A.; Horikoshi, R.J.; Sorgatto, R.J.; Fresia, P.; Dos Santos, A.C.; Omoto, C. Field-evolved resistance to Cry1F maize by Spodoptera frugiperda (Lepidoptera: Noctuidae) in Brazil. Crop Prot. 2014, 64, 150–158. [Google Scholar] [CrossRef]
- Huang, F.; Qureshi, J.A.; Meagher, R.L.; Jr Reisig, D.D.; Head, G.P.; Andow, D.A.; Ni, X.; Kerns, D.; Buntin, G.D.; Niu, Y.; et al. Cry1F resistance in fall armyworm Spodoptera frugiperda: Single gene versus pyramided Bt maize. PLoS ONE 2014, 9, e112958. [Google Scholar] [CrossRef]
- Storer, N.P.; Babcock, J.M.; Schlenz, M.; Meade, T.; Thompson, G.D.; Bing, J.W.; Huckaba, R.M. Discovery and characterization of field resistance to Bt maize: Spodoptera frugiperda (Lepidoptera: Noctuidae) in Puerto Rico. J. Econ. Entomol. 2010, 103, 1031–1038. [Google Scholar] [CrossRef] [PubMed]
- Madhuri, K.; Prabhakar, K. Microbial exopolysaccharides: Biosynthesis and potential applications. Orient J. Chem. 2014, 30, 1401–1410. [Google Scholar] [CrossRef]
- Chakroun, M.; Banyuls, N.; Bel, Y.; Escriche, B.; Ferré, J. Bacterial vegetative insecticidal proteins (Vip) from entomopathogenic bacteria. Microbiol. Mol. Biol. Rev. 2016, 80, 329–350. [Google Scholar] [CrossRef]
- Adang, M.J.; Crickmore, N.; Fuentes, J.L.J. Diversity of Bacillus thuringiensis crystal toxins and mechanism of action. Adv. Insect. Physiol. 2014, 47, 39–87. [Google Scholar]
- Byrne, M.J.; Iadanza, M.G.; Perez, M.A.; Maskell, D.P.; George, R.M.; Hesketh, E.L.; Beales, P.A.; Zack, M.D.; Berry, C.; Thompson, R.F. Cryo-EM structures of an insecticidal Bt toxin reveal its mechanism of action on the membrane. Nat. Commun. 2021, 12, 2791. [Google Scholar] [CrossRef] [PubMed]
- Lightwood, D.J.; Ellar, D.J.; Jarrett, P. Role of proteolysis in determining potency of Bacillus thuringiensis Cry1Ac δ-Endotoxin. Appl. Environ. Microbiol. 2000, 66, 5174–5181. [Google Scholar] [CrossRef]
- Yang, X.X.; Wang, Z.Y.; Geng, L.L.; Chi, B.Y.; Liu, R.M.; Li, H.T.; Gao, J.G.; Zhang, J. Vip3Aa domain IV and V mutants confer higher insecticidal activity against Spodoptera frugiperda and Helicoverpa armigera. Pest Manag. Sci. 2022, 78, 2324–2331. [Google Scholar] [CrossRef]
- Tielen, P.; Kuhn, H.; Rosenau, F.; Jaeger, K.E.; Wingender, J. Interaction between extracellular lipase LipA and the polysaccharide alginate of Pseudomonas aeruginosa. BMC Microbiol. 2013, 13, 159. [Google Scholar] [CrossRef]
- Zhou, Z.S.; Yang, S.J.; Shu, C.L.; Song, F.P.; Zhou, X.P.; Zhang, J. Comparison and optimization of the method for Cry1Ac protoxin preparation in HD73 strain. J. Integr. Agr. 2015, 14, 1598–1603. [Google Scholar] [CrossRef]
- Wang, Z.Y.; Fang, L.F.; Zhou, Z.S.; Pacheco, S.; Gómez, I.; Song, F.P.; Soberón, M.; Zhang, J.; Bravo, A. Specific binding between Bacillus thuringiensis Cry9Aa and Vip3Aa toxins synergizes their toxicity against Asiatic rice borer (Chilo suppressalis). J. Biol. Chem. 2018, 293, 11447–11458. [Google Scholar] [CrossRef]
- Dubois, M.; Gilles, K.; Hamilton, J.K.; Rebers, P.A.; Smith, F. A colorimetric method for the determination of sugars. Nature 1951, 168, 167. [Google Scholar] [CrossRef] [PubMed]
- Liang, G.M.; Tian, W.J.; Guo, Y.Y. An improvement in the technique of artificial rearing of the cotton bollworm. Plant Protection. 1999, 25, 15–17. [Google Scholar]
- Wolfersberger, M.; Luethy, P.; Maurer, A.; Parenti, P.; Sacchi, F.V.; Giordana, B.; Hanozet, G.M. Preparation and partial characterization of amino acid transporting brush border membrane vesicles from the larval midgut of the cabbage butterfly (Pieris brassicae). Comp. Biochem. Physiol. Part A Physiol. 1987, 86, 301–308. [Google Scholar] [CrossRef]
- Lorence, A.; Darszon, A.; Bravo, A. Aminopeptidase dependent pore formation of Bacillus thuringiensis Cry1Ac toxin on Trichoplusia ni membranes. FEBS Lett. 1997, 414, 303–307. [Google Scholar] [PubMed]






| Insect Pests | Treatment | LC50 (μg/g) (95% Fiducial Limits) | Slope ± SE | χ2 | Fold Change |
|---|---|---|---|---|---|
| S. frugiperda | Cry1Ac | 68.26 (46.95–97.97) | 2.67 ± 0.30 | 7.25 | 2.03 |
| Cry1Ac + EPS | 33.64 (29.76–37.60) | 6.88 ± 0.83 | 5.31 | ||
| H. armigera | Cry1Ac | 12.40 (9.57–16.49) | 1.22 ± 0.17 | 2.30 | 2.09 |
| Cry1Ac + EPS | 5.92 (4.28–8.47) | 1.72 ± 0.19 | 3.17 |
| Insect Pests | Samples | LC50 (μg/g) (95% Fiducial Limits) | Slope ± SE | χ2 | Fold Change |
|---|---|---|---|---|---|
| S. frugiperda | Vip3Aa | 1.22 (0.96–1.58) | 1.34 ± 0.17 | 1.30 | 2.49 |
| Vip3Aa + EPS | 0.49 (0.34–0.70) | 0.92 ± 0.16 | 0.74 | ||
| H. armigera | Vip3Aa | 12.57 (9.62–16.98) | 1.17 ± 0.17 | 1.58 | 2.28 |
| Vip3Aa + EPS | 5.51 (4.28–7.20) | 1.25 ± 0.17 | 2.63 |
Disclaimer/Publisher’s Note: The statements, opinions and data contained in all publications are solely those of the individual author(s) and contributor(s) and not of MDPI and/or the editor(s). MDPI and/or the editor(s) disclaim responsibility for any injury to people or property resulting from any ideas, methods, instructions or products referred to in the content. |
© 2023 by the authors. Licensee MDPI, Basel, Switzerland. This article is an open access article distributed under the terms and conditions of the Creative Commons Attribution (CC BY) license (https://creativecommons.org/licenses/by/4.0/).
Share and Cite
Xue, B.; Wang, M.; Wang, Z.; Shu, C.; Geng, L.; Zhang, J. Analysis of Synergism between Extracellular Polysaccharide from Bacillus thuringensis subsp. kurstaki HD270 and Insecticidal Proteins. Toxins 2023, 15, 590. https://doi.org/10.3390/toxins15100590
Xue B, Wang M, Wang Z, Shu C, Geng L, Zhang J. Analysis of Synergism between Extracellular Polysaccharide from Bacillus thuringensis subsp. kurstaki HD270 and Insecticidal Proteins. Toxins. 2023; 15(10):590. https://doi.org/10.3390/toxins15100590
Chicago/Turabian StyleXue, Bai, Meiling Wang, Zeyu Wang, Changlong Shu, Lili Geng, and Jie Zhang. 2023. "Analysis of Synergism between Extracellular Polysaccharide from Bacillus thuringensis subsp. kurstaki HD270 and Insecticidal Proteins" Toxins 15, no. 10: 590. https://doi.org/10.3390/toxins15100590
APA StyleXue, B., Wang, M., Wang, Z., Shu, C., Geng, L., & Zhang, J. (2023). Analysis of Synergism between Extracellular Polysaccharide from Bacillus thuringensis subsp. kurstaki HD270 and Insecticidal Proteins. Toxins, 15(10), 590. https://doi.org/10.3390/toxins15100590

