Efficacy of a Modified Clinoptilolite Based Adsorbent in Reducing Detrimental Effects of Ochratoxin A in Laying Hens
Abstract
:1. Introduction
2. Results and Discussion
2.1. The Effect of Modified Clinoptilolite on Performance of Laying Hens
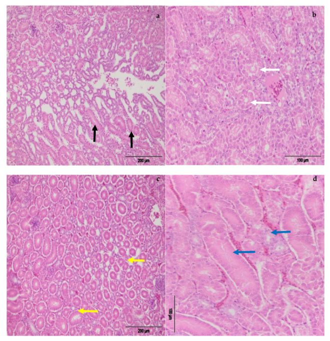
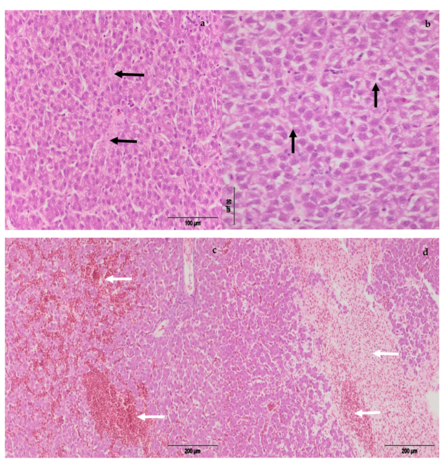
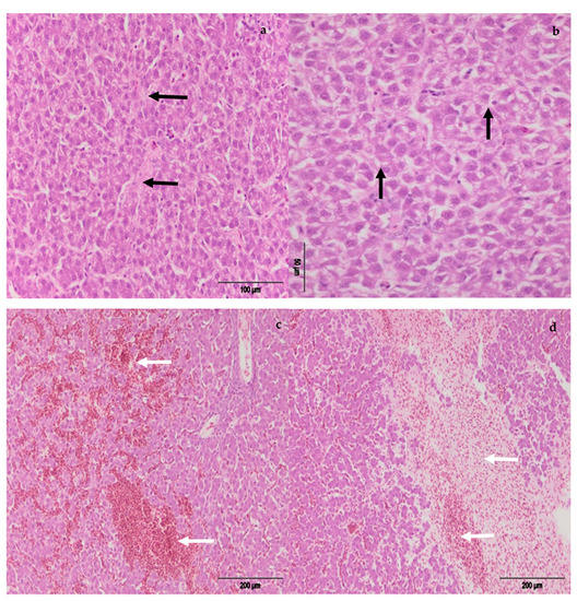
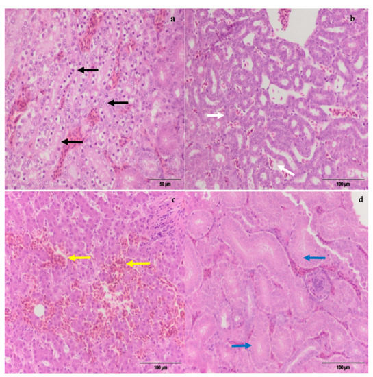
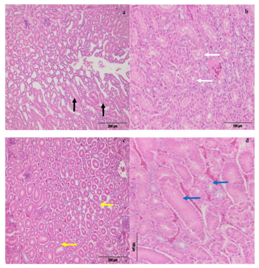
2.2. The Effect of Modified Clinoptilolite on Macroscopic and Pathomorphological Alterations in Target Organs
2.3. Residue of OTA in Eggs
Exposure Assessment and Risk Characterization
3. Conclusions
4. Materials and Methods
4.1. Birds and Diets
4.2. Hen Production Performance
4.3. Histopathological Examinations of Livers and Kidneys
4.4. Analysis of Mycotoxins
4.5. Residues of OTA in Eggs
4.6. Calculation of the Human Estimated Daily Intake
4.7. Statistical Analysis
Author Contributions
Funding
Institutional Review Board Statement
Informed Consent Statement
Data Availability Statement
Conflicts of Interest
References
- Malir, F.; Ostry, V.; Pfohl-Leszkowicz, A.; Malir, J.; Toman, J. Ochratoxin A: 50 Years of research. Toxins 2016, 8, 191. [Google Scholar] [CrossRef] [PubMed] [Green Version]
- Duarte, S.C.; Pena, A.; Lino, C.M. A review on ochratoxin A occurrence and effects of processing of cereal and cereal derived food products. Food Microbiol. 2010, 27, 187–198. [Google Scholar] [CrossRef] [PubMed]
- International Agency for Cancer Research. Group 2B: Possibly Carcinogenic to Humans. Pages 245–395 in Monographs on the Evaluation of Carcinogenic Risks of Chemicals to Humans; International Agency for Cancer Research: Lyon, France, 1993; Volume 56. [Google Scholar]
- Pleadin, J. Mycotoxins in grains and feed-contamination and toxic effect in animals. Biotechnol. Anim. Husb. 2015, 31, 441–456. [Google Scholar] [CrossRef]
- Yang, C.; Song, G.; Lim, W. Effects of mycotoxin-contaminated feed on farm animals. J. Hazard. Mater. 2020, 389, 122087. [Google Scholar] [CrossRef] [PubMed]
- Vila-Donat, P.; Marín, S.; Sanchis, V.; Ramos, A.J. A review of the mycotoxin adsorbing agents, with an emphasis on their multi-binding capacity, for animal feed decontamination. Food Chem. Toxicol. 2018, 114, 246–259. [Google Scholar] [CrossRef] [PubMed] [Green Version]
- Milicevic, D.; Jovanovic, M.; Matekalo-Sverak, V.; Radicevic, T.; Petrovic, M.M.; Lilic, S. A Survey of Spontaneous Occurrence of Ochratoxin A Residues in Chicken Tissues and Concurrence With Histopathological Changes in Liver and Kidneys. J. Environ. Sci. Health C Environ. Carcinog. Ecotoxicol. Rev. 2011, 29, 159–175. [Google Scholar] [CrossRef]
- Wang, L.; Zhang, Q.; Yan, Z.; Tan, Y.; Zhu, R.; Yu, D.; Yang, H.; Wu, A. Occurrence and Quantitative Risk Assessment of Twelve Mycotoxins in Eggs and Chicken Tissues in China. Toxins 2018, 10, 477. [Google Scholar] [CrossRef] [Green Version]
- Milićević, D.; Jovanović, M.; Matekalo-Sverak, V.; Radičević, T.; Petrović, M.M.; Vuković, Ž.D. Residue of ochratoxin A in chicken tissues-risk assessment. Arch. Oncol. 2011, 19, 23–27. [Google Scholar] [CrossRef]
- Kos, J.; Janić Hajnal, E.; Malachová, A.; Steiner, D.; Stranska, M.; Krska, R.; Poschmaier, B.; Sulyok, M. Mycotoxins in maize harvested in Republic of Serbia in the period 2012–2015. Part 1: Regulated mycotoxins and its derivatives. Food Chem. 2020, 312, 126034. [Google Scholar] [CrossRef]
- Udovicki, B.; Audenaert, K.; De Saeger, S.; Rajkovic, A. Overview on the Mycotoxins Incidence in Serbia in the Period 2004–2016. Toxins 2018, 10, 279. [Google Scholar] [CrossRef] [Green Version]
- Milićević, D.; Udovički, B.; Petrović, Z.; Janković, S.; Radulović, S.; Gurinović, M.; Rajković, A. Current status of mycotoxin contamination of food and feeds and associated public health risk in Serbia. Meat Technol. 2020, 61, 1–36. [Google Scholar] [CrossRef]
- Karovic, D.; Djermanovic, V.; Mitrovic, S.; Radovic, V.; Okanovic, D.; Filipovic, S.; Djekic, V. The effect of mineral adsorbents in poultry production. Worlds Poult. Sci. J. 2013, 69, 335–342. [Google Scholar] [CrossRef]
- Nedeljković-Trailović, J.; Trailović, S.; Resanović, R.; Milićević, D.; Jovanovic, M.; Vasiljevic, M. Comparative Investigation of the Efficacy of Three Different Adsorbents against OTA-Induced Toxicity in Broiler Chickens. Toxins 2015, 7, 1174–1191. [Google Scholar] [CrossRef]
- Elaroussi, M.A.; Mohamed, F.R.; EL Barkouky, E.M.; Atta, A.M.; Abdou, A.M.; Hatab, M.H. Experimental ochratoxicosis in broiler chickens. Avian Pathol. 2006, 35, 263–269. [Google Scholar] [CrossRef] [PubMed]
- Denli, M.; Blandon, J.C.; Guynot, M.E.; Salado, S.; Perez, J.F. Efficacy of a New Ochratoxin-Binding Agent (OcraTox) to Couteract the Deleterious Effects of Ochratoxin A in Laying Hens. Poult. Sci. 2008, 87, 2266–2272. [Google Scholar] [CrossRef] [PubMed]
- Pietro, C.L.C.; Aaron, F.; Fru-Nji, E.S.; Robert, K. Anna-Maria, and V. Viviane. Gastrointestinal functionality in animal nutrition and health: New opportunities for sustainable animal production. Anim. Feed Sci. Tech. 2017, 234, 88–100. [Google Scholar]
- Regulation, S. Maximum allowed contents of contaminants in food and feed. Off. Bull. Repub. Serb. 2011, 28, 1–6. [Google Scholar]
- European Commission (EC). Commission Recommendation 576/2006/EC of 17 August 2006 on the presence of deoxynivalenol, zearalenone, ochratoxin A, T-2 and HT-2 and fumonisins in products intended for animal feeding. Off. J. Eur. Union 2006, L229, 7. [Google Scholar]
- Raj, J.; Vasiljević, M.; Tassis, P.; Farkaš, H.; Bošnjak-Neumüller, J.; Männer, K. Effects of a modified clinoptilolite zeolite on growth performance, health status and detoxification of aflatoxin B1 and ochratoxin A in male broiler chickens. Br. Poult. Sci. 2021, 12, 1–10. [Google Scholar] [CrossRef]
- Shuangshuang, Z.; Yongwen, Z.; Peishi, F.; Macheng, L.; Wence, W.; Lin, Y.; Ye, Y. Ochratoxin A: Its impact on poultry gut health and microbiota, an Overview. Poult. Sci. 2021, 100, 101037. [Google Scholar] [CrossRef]
- Sakthivelan, S.M.; Rao, G.V.S. Effect of ochratoxin A on body weight, feed intake and feed conversion in broiler chicken. Vet. Med. Int. 2010, 2010, 590432. [Google Scholar] [CrossRef] [Green Version]
- Dakovic, A.; Matijaševic, S.; Rottinghaus, G.E.; Dondur, V.; Pietrass, T.; Clewett, C.F.M. Adsorption of zearalenone by organomodified natural zeolitic tuff. J. Colloid Interface Sci. 2007, 311, 8–13. [Google Scholar] [CrossRef] [PubMed]
- Vujakovic, A.D.; Tomasevic-Canovic, M.R.; Dakovic, A.S.; Dondur, V.T. The adsorption of sulphate, hydrogenchromate and dihydrogenphosphate anions on surfactant-modified Clinoptilolite. Appl. Clay Sci. 2000, 17, 265–277. [Google Scholar] [CrossRef]
- Stoev, D.S. Foodborne mycotoxicoses, risk assessment and underestimated hazard of masked mycotoxins and joint mycotoxin effects or interaction. Environ. Toxicol. Pharmacol. 2015, 39, 794–809. [Google Scholar] [CrossRef] [PubMed]
- Kumar, A.; Jindal, N.; Shukla, C.L.; Asrani, R.K.; Ledoux, D.R.; Rottinghaus, G.E. Pathological changes in broiler chickens fed ochratoxin A and inoculated with Escherichia coli. Avian Pathol. 2004, 33, 413–417. [Google Scholar] [CrossRef] [PubMed]
- Abidin, Z.; Khan, M.Z.; Khatoon, A.; Saleemi, M.K.; Khan, A. Protective effects of lcarnitine upon toxicopathological alterations induced by ochratoxin A in white Leghorn cockerels. Toxin Rev. 2016, 35, 157–164. [Google Scholar] [CrossRef]
- Fuchs, R.; Appelgren, L.E.; Hagelberg, S.; Hult, K. Carbon-14-ochratoxin A distribution in the Japanese quail (Coturnixcoturnix japonica) monitored by whole-body autography. Poult Sci. 1988, 67, 707–714. [Google Scholar] [CrossRef]
- Roth, A.; Chakor, K.; Ekuecreepy, E.; Kane, A.; Roschenthaler, R.; Dirheimer, G. Evidence for an enterohepatic circulation of ochratoxin A in mice. Toxicology 1988, 48, 293–308. [Google Scholar] [CrossRef]
- Dwivedi, P.; Burns, R.B. Pathology of ochratoxicosis in young broilerchicks. Res. Vet. Sci. 1984, 36, 92–103. [Google Scholar] [CrossRef]
- Stoev, S.D.; Djuvinov, D.; Mirtcheva, T.; Pavlov, D.; Mantle, P. Studies on some feed additives giving partial protection against ochratoxin A toxicity in chicks. Toxicol. Lett. 2002, 135, 33–50. [Google Scholar] [CrossRef]
- Bozzo, G.; Bonerba, E.; Ceci, E.; Colao, V.; Tantillo, G. Determination of ochratoxin A in eggs and target tissues of experimentally drugged hens using HPLC–FLD. Food Chem. 2011, 126, 1278–1282. [Google Scholar]
- Stoev, S.D. Studies on carcinogenic and toxic effects of ochratoxin A in chicks, Special issue “Ochratoxins”. Toxins 2010, 2, 649–664. [Google Scholar] [CrossRef] [Green Version]
- Bauer, J. Methods for detoxification of mycotoxins in feedstuffs. Monatsh. Veterinarmed. 1994, 49, 175–181. [Google Scholar]
- Krogh, P. Ochratoxin in food. In Mycotoxins in Food; Krogh, P., Ed.; Academic Press/Harcourt Brace Jovanovich: London, UK, 1987; pp. 97–122. [Google Scholar]
- Piskorska-Pliszczyńka, J.; Juszkiewicz, T. Tissue deposition and passage into eggs of ochratoxin A in Japanese quail. J. Environ. Pathol. Toxicol. Oncol. 1990, 10, 8–10. [Google Scholar]
- EFSA. Opinion of the Scientific Panel on Contaminants in the food Chain on a Request from the Commission Related to Ochratoxin A in Food. Efsa J. 2006, 365, 1–56. [Google Scholar]
- NRC (National Research Council). Nutrient Requirements of Poultry; Ninth Revised, Ed.; National Academy Press: Washington, DC, USA, 1994. [Google Scholar]
- Scheuer, P.J.; Chalk, B.T. Histopathology; Wolfe Medical Publications: London, UK, 1986. [Google Scholar]
- Frenich, A.G.; Romero-González, R.; Gómez-Pérez, M.L.; Vidal, J.L.M. Multi-mycotoxin analysis in eggs using a QuEChERS-based extraction procedure and ultra-high-pressure liquid chromatography coupled to triple quadrupole mass spectrometry. J. Chromatogr. A 2011, 1218, 4349–4356. [Google Scholar] [CrossRef] [PubMed]
- IPCS e International Programme on Chemical Safety. Dietary exposure assessment of chemicals in food. In Principles and Methods for the Risk Assessment of Chemicals in Food; WHO: Genève, Switzerland, 2009. [Google Scholar]
- Scientifis opinion Guidance on selected default values to be used by the EFSA Scientific Committee, Scientific Panels and Units in the absence of actual measured data. EFSA J. 2012, 10, 2579.








| Treatment Group | |||||
|---|---|---|---|---|---|
| OTA residue in eggs (μg/kg) | Days | E-I | E-II | E-III | E-IV |
| 7 | 0.173 ± 0.00 | ND | 0.063 ± 0.00 | ND | |
| 14 | 0.157 ± 0.00 | 0.070 ± 0.00 | |||
| 21 | 0.223 ± 0.02 | 0.079 ± 0.00 | |||
| 42 | 0.333 ± 0.01 | 0.084 ± 0.00 | |||
| 49 | 0.377 ± 0.02 | 0.088 ± 0.00 | |||
| EDI (ng/kg bw/day) | 7 | 0.090 | ND | 0.033 | ND |
| 14 | 0.082 | 0.036 | |||
| 21 | 0.116 | 0.041 | |||
| 42 | 0.173 | 0.044 | |||
| 49 | 0.196 | 0.046 | |||
Publisher’s Note: MDPI stays neutral with regard to jurisdictional claims in published maps and institutional affiliations. |
© 2021 by the authors. Licensee MDPI, Basel, Switzerland. This article is an open access article distributed under the terms and conditions of the Creative Commons Attribution (CC BY) license (https://creativecommons.org/licenses/by/4.0/).
Share and Cite
Vasiljević, M.; Marinković, D.; Milićević, D.; Pleadin, J.; Stefanović, S.; Trialović, S.; Raj, J.; Petrujkić, B.; Trialović, J.N. Efficacy of a Modified Clinoptilolite Based Adsorbent in Reducing Detrimental Effects of Ochratoxin A in Laying Hens. Toxins 2021, 13, 469. https://doi.org/10.3390/toxins13070469
Vasiljević M, Marinković D, Milićević D, Pleadin J, Stefanović S, Trialović S, Raj J, Petrujkić B, Trialović JN. Efficacy of a Modified Clinoptilolite Based Adsorbent in Reducing Detrimental Effects of Ochratoxin A in Laying Hens. Toxins. 2021; 13(7):469. https://doi.org/10.3390/toxins13070469
Chicago/Turabian StyleVasiljević, Marko, Darko Marinković, Dragan Milićević, Jelka Pleadin, Srđan Stefanović, Saša Trialović, Jog Raj, Branko Petrujkić, and Jelena Nedejković Trialović. 2021. "Efficacy of a Modified Clinoptilolite Based Adsorbent in Reducing Detrimental Effects of Ochratoxin A in Laying Hens" Toxins 13, no. 7: 469. https://doi.org/10.3390/toxins13070469
APA StyleVasiljević, M., Marinković, D., Milićević, D., Pleadin, J., Stefanović, S., Trialović, S., Raj, J., Petrujkić, B., & Trialović, J. N. (2021). Efficacy of a Modified Clinoptilolite Based Adsorbent in Reducing Detrimental Effects of Ochratoxin A in Laying Hens. Toxins, 13(7), 469. https://doi.org/10.3390/toxins13070469

