Use of Botulinum Neurotoxin in Parkinson’s Disease: A Critical Appraisal
Abstract
1. Introduction
- torticollis spasmodicus (cervical dystonia)
- blepharospasm
- hemifacial spasm
- spastic equinus in cerebral palsy
- focal spasticity (arm and foot)
- axillary hyperhidrosis
- chronic migraine
- neurogenic/idiopathic bladder
- sialorrhea
- spasmodic dysphonia (approved only in some countries).
2. Approved Resp. Licensed Indications
2.1. Blepharospasm

2.2. Cervical Dystonia
2.3. Siallorhea
2.4. Detrusor-Hyperactivity (Overactive Bladder)
3. Non-Licensed Indications
3.1. Tremor
3.2. Camptocormia and Pisa syndrome
3.3. Focal Dystonia
3.3.1. Laryngeal and Oromandibular Dystonia
3.3.2. Dystonia of the Upper Limbs
3.3.3. Foot Dystonia
- (1)
- Involuntary extension of the big toe:The other toes remain in the resting position or move only slightly, over-flexing takes place in the big toes [66]. Therapy with BoNT has long been well established for these cases [69]. Here an injection into the extensor of the big toe (Musculus extensor hallucis longus). This muscle is positioned in the lower calf; a single injection suffices.
- (2)
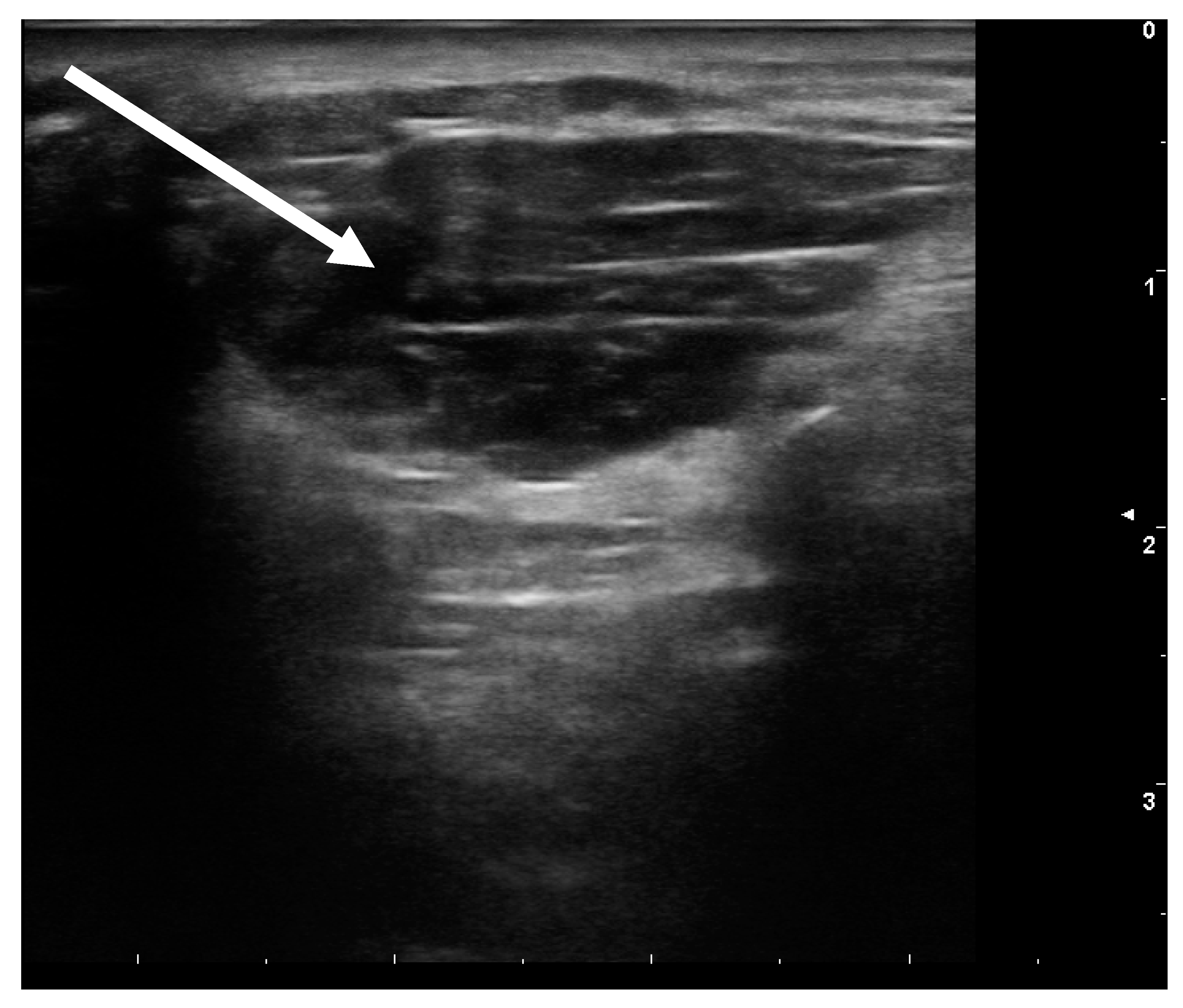
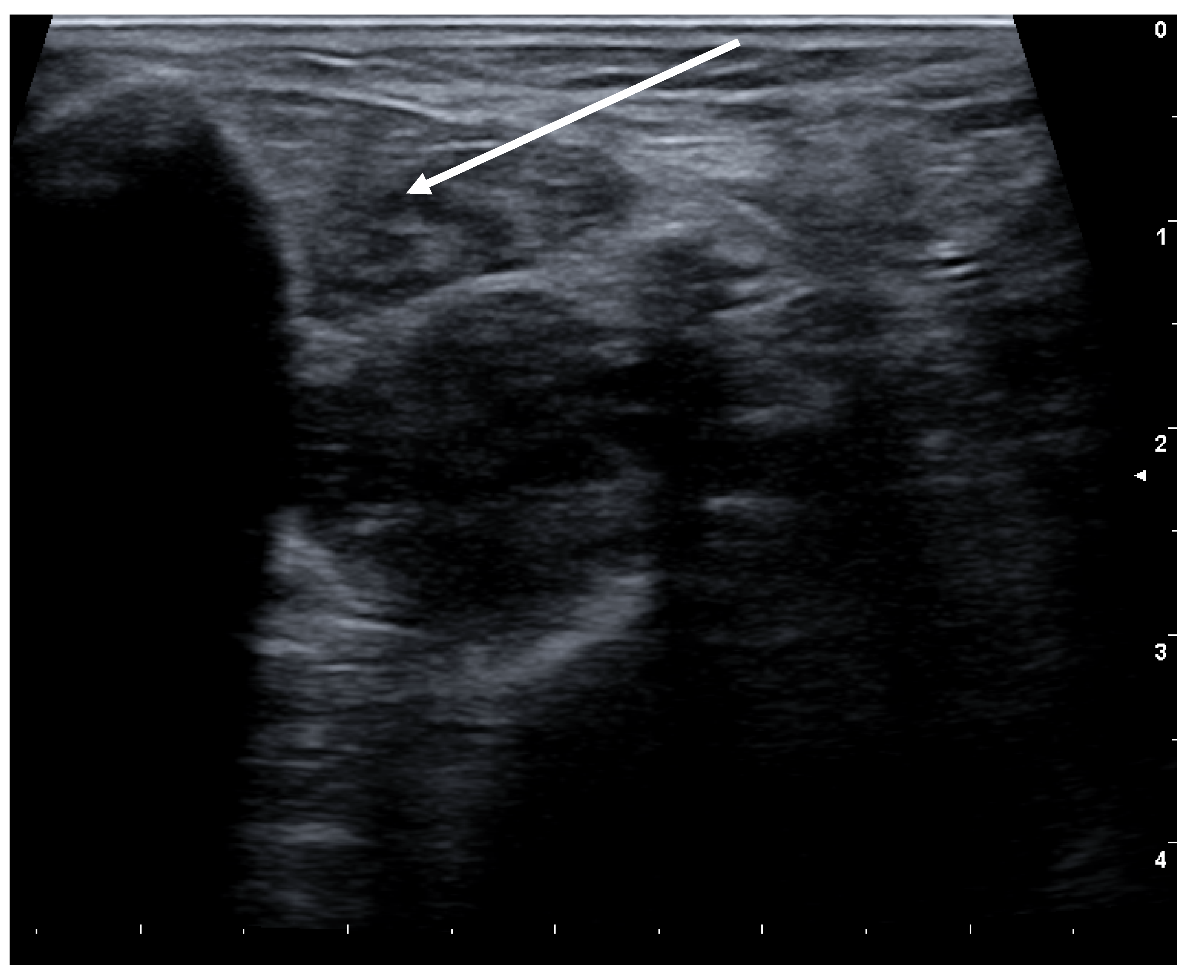
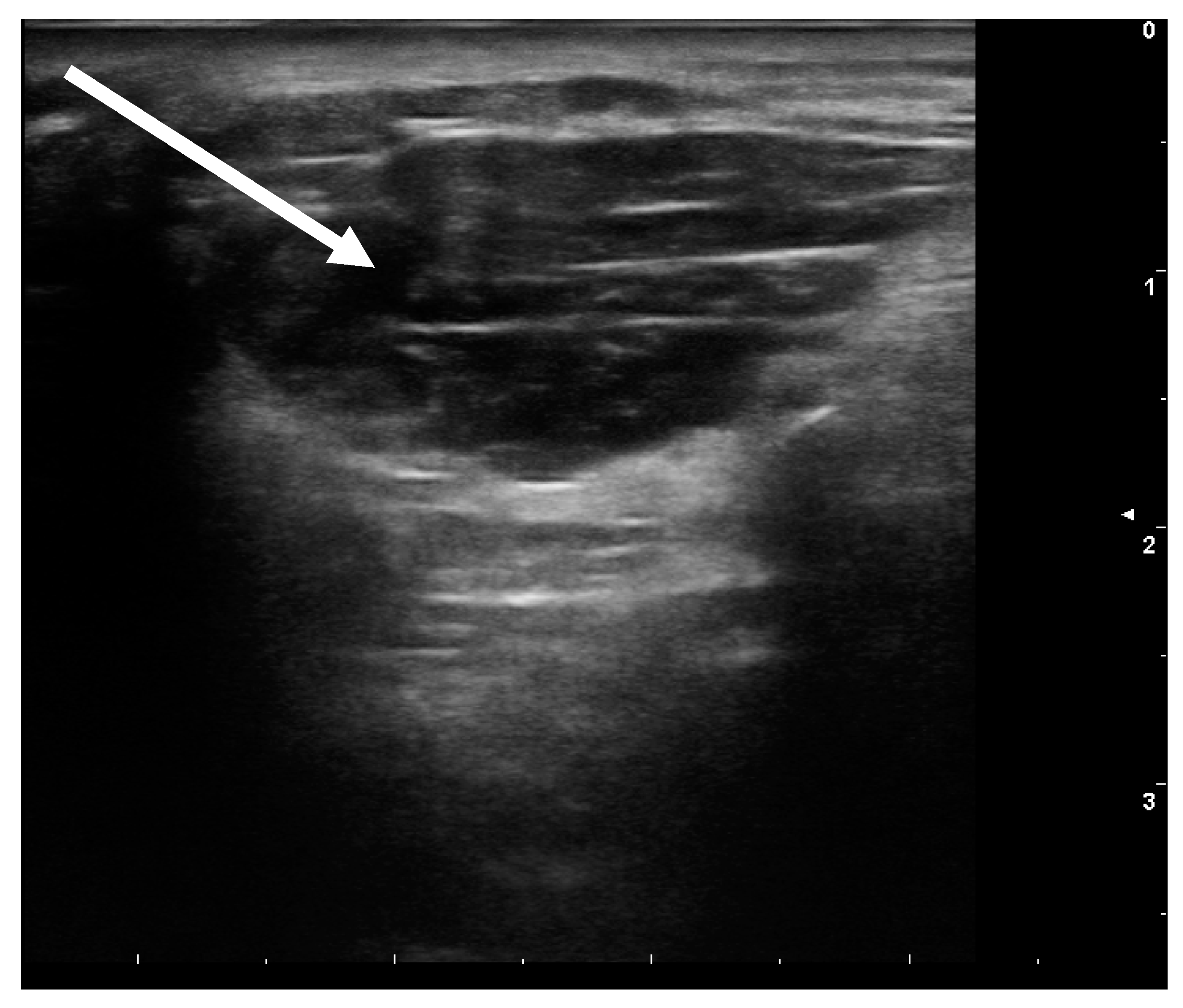
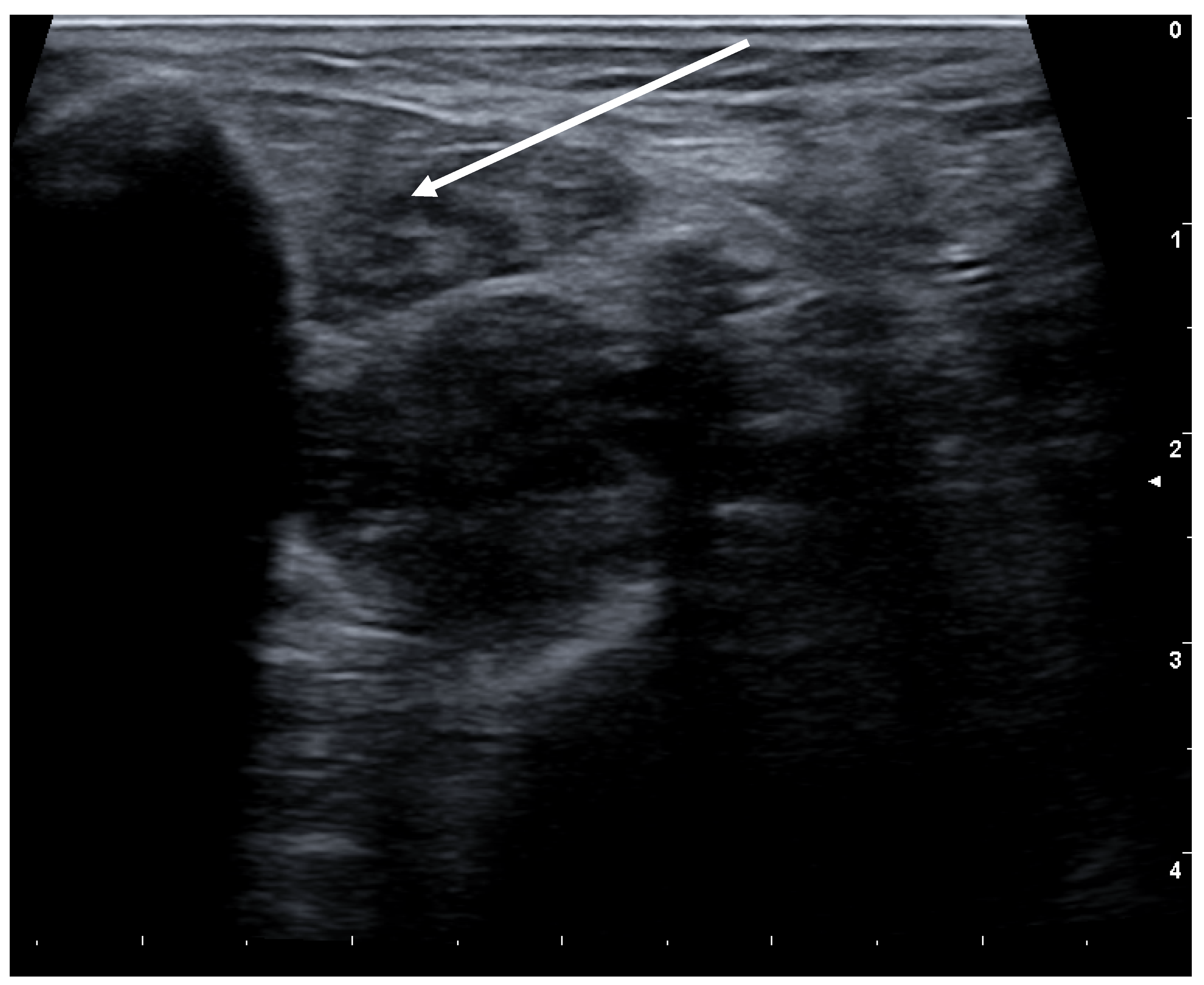
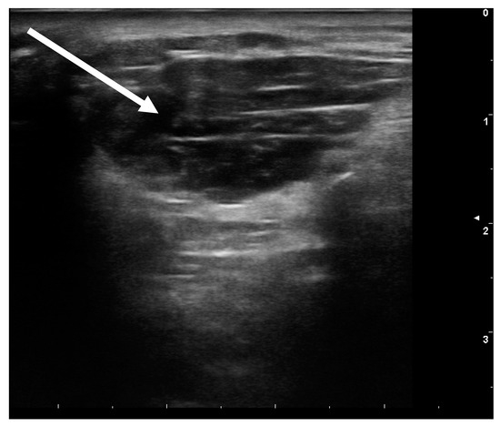
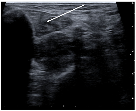
- Flexion of the toes:This second form usually causes more discomfort to the patients, as it induces involuntary movements in the toes, in particular the small ones, but also the big toes. It occurs frequently as exercise-induced dystonia. Here, a distinction has to be made whether only one of the two or both toe flexing muscles are involved. The short flexor is found in the sole of the foot, the long flexor in the lower calf. Here too the injection into the muscle is performed under ultrasonic guidance (see Figure 4).
- (3)
- Inversion and/or supination of the foot:This form of dystonia is frequently more complex and difficult to treat, as it causes occasional functional paralysis with an increased risk of falls resulting. A therapeutic trial with low dosage may be indicated in individual cases.
3.3.4. Dyskinesia
3.4. Freezing of Gait and RLS
3.5. Pain
3.6. Focal Hyperhidrosis
3.7. Gastrointestinal Tract (GIT)
4. Conclusions
Funding
Institutional Review Board Statement
Informed Consent Statement
Data Availability Statement
Acknowledgments
Conflicts of Interest
Abbreviations
| BoNT | Botulinum Neurotoxin |
| aboBoNT/A | AbobotulinumtoxinA |
| incoBoNT/A | IncobotulinumtoxinA |
| onaBoNT/A | OnabotulinumtoxinA |
| rimaBoNT/B | RimabotulinumtoxinB |
| U | Units |
| PD | Parkinson’s disease |
| PS | Parkinson’s syndrome |
| APS | Atypical Parkinson’s syndrome |
| EMG | Electromyography |
| RLS | Restless leg syndrome |
| SPC | Summary of Product Characteristics |
References
- Hallett, M.; Albanese, A.; Dressler, D.; Segal, K.R.; Simpson, D.M.; Truong, D.; Jankovic, J. Evidence-based review and assessment of botulinum neurotoxin for the treatment of movement disorders. Toxicon 2013, 67, 94–114. [Google Scholar] [CrossRef]
- Simpson, D.M.; Hallett, M.; Ashman, E.J.; Comella, C.L.; Green, M.W.; Gronseth, G.S.; Armstrong, M.J.; Gloss, D.; Potrebic, S.; Jankovic, J.; et al. Practice guideline update summary: Botulinum neurotoxin for the treatment of blepharospasm, cervical dystonia, adult spasticity, and headache: Report of the Guideline Development Subcommittee of the American Academy of Neurology. Neurology 2016, 86, 1818–1826. [Google Scholar] [CrossRef] [PubMed]
- Jankovic, J. Disease-oriented approach to botulinum toxin use. Toxicon 2009, 54, 614–623. [Google Scholar] [CrossRef] [PubMed]
- Jocson, A.; Lew, M. Use of botulinum toxin in Parkinson’s disease. Parkinsonism Relat. Disord. 2019, 59, 57–64. [Google Scholar] [CrossRef] [PubMed]
- Jost, W.H. Zulassungen der Botulinumtoxin-A-Präparate. Psychopharmakotherapie 2018, 25, 240–242. [Google Scholar]
- LeWitt, P.A.; Ray Chaudhuri, K. Unmet needs in Parkinson disease: Motor and non-motor. Parkinsonism Relat. Disord. 2020, 80 (Suppl. 1), S7–S12. [Google Scholar] [CrossRef] [PubMed]
- Krack, P.; Marion, M.H. “Apraxia of lid opening,” a focal eyelid dystonia: Clinical study of 32 patients. Mov. Disord. 1994, 9, 610–615. [Google Scholar] [CrossRef]
- Lepore, V.; Duvoisin, R.C. “Apraxia” of eyelid opening: An involuntary levator inhibition. Neurology 1985, 35, 423–427. [Google Scholar] [CrossRef]
- Martinez-Ramirez, D.; Giugni, J.C.; Hastings, E.; Wagle Shukla, A.; Malaty, I.A.; Okun, M.S.; Rodriguez, R.L. Comparable botulinum toxin outcomes between primary and secondary blepharospasm: A retrospective analysis. Tremor Other Hyperkinet. Mov. 2014, 4, 286. [Google Scholar] [CrossRef]
- Forget, R.; Tozlovanu, V.; Iancu, A.; Boghen, D. Botulinum toxin improves lid opening delays in blepharospasm-associated apraxia of lid opening. Neurology 2002, 58, 1843–1846. [Google Scholar] [CrossRef]
- Lepore, V.; Defazio, G.; Acquistapace, D.; Melpignano, C.; Pomes, L.; Lamberti, P.; Livrea, P.; Ferrari, E. Botulinum A toxin for the so-called apraxia of lid opening. Mov. Disord. 1995, 10, 525–526. [Google Scholar] [CrossRef]
- Boghen, D.; Tozlovanu, V.; Iancu, A.; Forget, R. Botulinum toxin therapy for apraxia of lid opening. Ann. N. Y. Acad. Sci. 2002, 956, 482–483. [Google Scholar] [CrossRef] [PubMed]
- Piccione, F.; Mancini, E.; Tonin, P.; Bizzarini, M. Botulinum toxin treatment of apraxia of eyelid opening in progressive supranuclear palsy: Report of two cases. Arch. Phys. Med. Rehabil. 1997, 78, 525–529. [Google Scholar] [CrossRef]
- Jost, W. Atlas of Botulinum Toxin-Injection, 3rd ed.; KVM-Publisher: Berlin, Germany, 2019. [Google Scholar]
- Kashihara, K.; Imamura, T. Frequency and clinical correlates of retrocollis in Parkinson’s disease. J. Neurol. Sci. 2013, 324, 106–108. [Google Scholar] [CrossRef] [PubMed]
- Ashour, R.; Jankovic, J. Joint and skeletal deformities in Parkinson’s disease, multiple system atrophy, and progressive supranuclear palsy. Mov. Disord. 2006, 21, 1856–1863. [Google Scholar] [CrossRef]
- Tyślerowicz, M.; Kiedrzyńska, W.; Adamkiewicz, B.; Jost, W.H.; Sławek, J. Cervical dystonia—Improving the effectiveness of botulinum toxin therapy. Neurol. Neurochir. Pol. 2020, 54, 232–242. [Google Scholar] [CrossRef]
- Jost, W.H.; Bäumer, T.; Laskawi, R.; Slawek, J.; Spittau, B.; Steffen, A.; Winterholler, M.; Bavikatte, G. Therapy of sialorrhea with botulinum neurotoxin. Neurol. Ther. 2019, 8, 554–563. [Google Scholar] [CrossRef]
- Chinnapongse, R.; Gullo, K.; Nemeth, P.; Zhang, Y.; Griggs, L. Safety and efficacy of botulinum toxin type B for treatment of sialorrhea in Parkinson’s disease: A prospective double-blind trial. Mov. Disord. 2012, 27, 219–226. [Google Scholar] [CrossRef]
- Guidubaldi, A.; Fasano, A.; Ialongo, T.; Piano, C.; Pompili, M.; Mascianà, R.; Siciliani, L.; Sabatelli, M.; Bentivoglio, A.R. Botulinum toxin A versus B in sialorrhea: A prospective, randomized, double-blind, crossover pilot study in patients with amyotrophic lateral sclerosis or Parkinson’s disease. Mov. Disord. 2011, 26, 313–319. [Google Scholar] [CrossRef]
- Jost, W.H. Treatment of drooling in Parkinson’s disease with botulinum toxin. Mov. Disord. 1999, 14, 1057. [Google Scholar] [CrossRef]
- Lagalla, G.; Millevolte, M.; Capecci, M.; Provinciali, L.; Ceravolo, M.G. Botulinum toxin type A for drooling in Parkinson’s disease: A double-blind, randomized, placebo-controlled study. Mov. Disord. 2006, 21, 704–707. [Google Scholar] [CrossRef]
- Lagalla, G.; Millevolte, M.; Capecci, M.; Provinciali, L.; Ceravolo, M.G. Long-lasting benefits of botulinum toxin type B in Parkinson’s disease-related drooling. J. Neurol. 2009, 256, 563–567. [Google Scholar] [CrossRef] [PubMed]
- Lipp, A.; Trottenberg, T.; Schink, T.; Kupsch, A.; Arnold, G. A randomized trial of botulinum toxin A for treatment of drooling. Neurology 2003, 61, 1279–1281. [Google Scholar] [CrossRef]
- Mancini, F.; Zangaglia, R.; Cristina, S.; Sommaruga, M.G.; Martignoni, E.; Nappi, G.; Pacchetti, C. Double-blind, placebo-controlled study to evaluate the efficacy and safety of botulinum toxin type A in the treatment of drooling in parkinsonism. Mov. Disord. 2003, 18, 685–688. [Google Scholar] [CrossRef] [PubMed]
- Mazlan, M.; Rajasegaran, S.; Engkasan, J.P.; Nawawi, O.; Goh, K.J.; Freddy, S.J. A double-blind randomized controlled trial investigating the most efficacious dose of botulinum toxin-A for sialorrhea treatment in asian adults with neurological diseases. Toxins 2015, 7, 3758–3770. [Google Scholar] [CrossRef]
- Petracca, M.; Guidubaldi, A.; Ricciardi, L.; Ialongo, T.; Del Grande, A.; Mulas, D.; Di Stasio, E.; Bentivoglio, A.R. Botulinum Toxin A and B in sialorrhea: Long-term data and literature overview. Toxicon 2015, 107, 129–140. [Google Scholar] [CrossRef] [PubMed]
- Ondo, W.G.; Hunter, C.; Moore, W. A double-blind placebo-controlled trial of botulinum toxin B for sialorrhea in Parkinson’s disease. Neurology 2004, 62, 37–40. [Google Scholar] [CrossRef] [PubMed]
- Jost, W.H.; Friedman, A.; Michel, O.; Oehlwein, C.; Slawek, J.; Bogucki, A.; Ochudlo, S.; Banach, M.; Pagan, F.; Flatau-Baqué, B.; et al. SIAXI: Placebo-controlled, randomized, double-blind study of incobotulinumtoxinA for sialorrhea. Neurology 2019, 92, e1982–e1991. [Google Scholar] [CrossRef]
- Jost, W.H.; Friedman, A.; Michel, O.; Oehlwein, C.; Slawek, J.; Bogucki, A.; Ochudlo, S.; Banach, M.; Pagan, F.; Flatau-Baqué, B.; et al. Long-term incobotulinumtoxinA treatment for chronic sialorrhea: Efficacy and safety over 64 weeks. Parkinsonism Relat. Disord. 2020, 70, 23–30. [Google Scholar] [CrossRef]
- Isaacson, S.H.; Ondo, W.; Jackson, C.E.; Trosch, R.M.; Molho, E.; Pagan, F.; Lew, M.; Dashtipour, K.; Clinch, T.; Espay, A.J.; et al. Safety and efficacy of rimabotulinumtoxinB for treatment of sialorrhea in adults: A randomized clinical trial. JAMA Neurol. 2020, 77, 461–469. [Google Scholar] [CrossRef]
- Jost, W.H. Urological problems in Parkinson’s disease: Clinical aspects. J. Neural. Transm. 2013, 120, 587–591. [Google Scholar] [CrossRef]
- Hajebrahimi, S.; Chapple, C.R.; Pashazadeh, F.; Salehi-Pourmehr, H. Management of neurogenic bladder in patients with Parkinson’s disease: A systematic review. Neurourol. Urodyn. 2019, 38, 31–62. [Google Scholar] [CrossRef] [PubMed]
- Giannantoni, A.; Conte, A.; Proietti, S.; Giovannozzi, S.; Rossi, A.; Fabbrini, G.; Porena, M.; Berardelli, A. Botulinum toxin type A in patients with Parkinson’s disease and refractory overactive bladder. J. Urol. 2011, 186, 960–964. [Google Scholar] [CrossRef] [PubMed]
- Kulaksizoglu, H.; Parman, Y. Use of botulinum toxin-A for the treatment of overactive bladder symptoms in patients with Parkinsons’s disease. Parkinsonism Relat. Disord. 2010, 16, 531–534. [Google Scholar] [CrossRef] [PubMed]
- Anderson, R.U.; Orenberg, E.K.; Glowe, P. OnabotulinumtoxinA office treatment for neurogenic bladder incontinence in Parkinson’s disease. Urology 2014, 83, 22–27. [Google Scholar] [CrossRef]
- Vurture, G.; Peyronnet, B.; Feigin, A.; Biagioni, M.C.; Gilbert, R.; Rosenblum, N.; Frucht, S.; Di Rocco, A.; Nitti, V.W.; Brucker, B.M. Outcomes of intradetrusor onabotulinum toxin A injection in patients with Parkinson’s disease. Neurourol. Urodyn. 2018, 37, 2669–2677. [Google Scholar] [CrossRef] [PubMed]
- Jost, W.H. Parkinsonian Drugs: Indications. NeuroPsychopharmacotherapy 2020, 1–19. [Google Scholar] [CrossRef]
- Jankovic, J.; Schwartz, K. Botulinum toxin treatment of tremors. Neurology 1991, 41, 1185–1188. [Google Scholar] [CrossRef]
- Henderson, J.M.; Ghika, J.A.; Van Melle, G.; Haller, E.; Einstein, R. Botulinum toxin A in non-dystonic tremors. Eur. Neurol. 1996, 36, 29–35. [Google Scholar] [CrossRef]
- Pullman, S.L.; Greene, P.; Fahn, S.; Pedersen, S.F. Approach to the treatment of limb disorders with botulinum toxin A. Experience with 187 patients. Arch. Neurol. 1996, 53, 617–624. [Google Scholar] [CrossRef]
- Rahimi, F.; Bee, C.; Debicki, D.; Roberts, A.C.; Bapat, P.; Jog, M. Effectiveness of BoNT A in Parkinson’s disease upper limb tremor management. Can. J. Neurol. Sci. 2013, 40, 663–669. [Google Scholar] [CrossRef] [PubMed]
- Trosch, R.M.; Pullman, S.L. Botulinum toxin A injections for the treatment of hand tremors. Mov. Disord. 1994, 9, 601–609. [Google Scholar] [CrossRef] [PubMed]
- Samotus, O.; Lee, J.; Jog, M. Long-term tremor therapy for Parkinson and essential tremor with sensor-guided botulinum toxin type A injections. PLoS ONE 2017, 12, e0178670. [Google Scholar] [CrossRef] [PubMed]
- Mittal, S.O.; Machado, D.; Richardson, D.; Dubey, D.; Jabbari, B. Botulinum toxin in Parkinson disease tremor: A randomized, double-blind, placebo-controlled study with a customized injection approach. Mayo Clin. Proc. 2017, 92, 1359–1367. [Google Scholar] [CrossRef]
- Samotus, O.; Lee, J.; Jog, M. Standardized algorithm for muscle selection and dosing of botulinum toxin for Parkinson tremor using kinematic analysis. Ther. Adv. Neurol. Disord. 2020, 13, 1756286420954083. [Google Scholar] [CrossRef]
- Brin, M.F.; Lyons, K.E.; Doucette, J.; Adler, C.H.; Caviness, J.N.; Comella, C.L.; Dubinsky, R.M.; Friedman, J.H.; Manyam, B.V.; Matsumoto, J.Y.; et al. A randomized, double masked, controlled trial of botulinum toxin type A in essential hand tremor. Neurology 2001, 56, 1523–1528. [Google Scholar] [CrossRef]
- Mittal, S.O.; Abhishek Lenkab, A.; Jankovic, J. Botulinum toxin for the treatment of tremor. Parkinsonism Relat. Disord. 2019, 63, 31–41. [Google Scholar] [CrossRef]
- Jankovic, J.; Schwartz, K.; Clemence, W.; Aswad, A.; Mordaunt, J. A randomized, double-blind, placebo-controlled study to evaluate botulinum toxin type A in essential hand tremor. Mov. Disord. 1996, 11, 250–256. [Google Scholar] [CrossRef]
- Schneider, S.S.; Edwards, M.J.; Cordivari, C.; Macleod, W.N.; Bhatia, K.B. Botulinum toxin A may be efficacious as treatment for jaw tremor in Parkinson’s disease. Mov. Disord. 2006, 21, 1722–1724. [Google Scholar] [CrossRef]
- Zheng, X.; Wei, W.; Liu, P.; Wu, C.; Lu, L.; Tang, C. Botulinum toxin type A for hand tremor: A meta-analysis of randomised controlled trials. Neurol. Neurochir. Pol. 2020. [Google Scholar] [CrossRef]
- Doherty, K.M.; van de Warrenburg, B.P.; Peralta, M.C.; Silveira-Moriyama, L.; Azulay, J.P.; Gershanik, O.S.; Bloem, B.R. Postural deformities in Parkinson’s disease. Lancet Neurol. 2011, 10, 538–549. [Google Scholar] [CrossRef]
- Colosimo, C.; Salvatori, F.M. Injection of the iliopsoas muscle with botulinum toxin in camptocormia. Mov. Disord. 2009, 24, 316–317. [Google Scholar] [CrossRef] [PubMed]
- Fietzek, U.M.; Schroeteler, F.E.; Ceballos-Baumann, A.O. Goal attainment after treatment of parkinsonian camptocormia with botulinum toxin. Mov. Disord. 2009, 24, 2027–2028. [Google Scholar] [CrossRef] [PubMed]
- Von Coelln, R.; Raible, A.; Gasser, T.; Asmus, F. Ultrasound-guided injection of the iliopsoas muscle with botulinum toxin in camptocormia. Mov. Disord. 2008, 23, 889–892. [Google Scholar] [CrossRef]
- Lubik, S.; Jost, W.; Bönhof, J.; Kohl, A. BTX-Injektionen in den M. psoas unter Ultraschallkontrolle. Der Schmerz 2001, 15, S72. [Google Scholar]
- Azher, S.N.; Jankovic, J. Camptocormia: Pathogenesis, classification, and response to therapy. Neurology 2005, 65, 355–935. [Google Scholar] [CrossRef]
- Bonanni, L.; Thomas, A.; Varanese, S.; Scorrano, V.; Onofrj, M. Botulinum toxin treatment of lateral axial dystonia in Parkinsonism. Mov. Disord. 2007, 22, 2097–2103. [Google Scholar] [CrossRef]
- Tassorelli, C.; De Icco, R.; Alfonsi, E.; Bartolo, M.; Serrao, M.; Avenali, M.; De Paoli, I.; Conte, C.; Pozzi, N.G.; Bramanti, P.; et al. Botulinum toxin type A potentiates the effect of neuromotor rehabilitation of Pisa syndrome in Parkinson disease: A placebo controlled study. Parkinsonism Relat. Disord. 2014, 20, 1140–1144. [Google Scholar] [CrossRef]
- Dupeyron, A.; Viollet, E.; Coroian, F.; Gagnard, C.; Renard, R.; Castelnovo, G. Botulinum Toxin-A for treatment of Pisa syndrome: A new target muscle. Parkinsonism Relat. Disord. 2015, 21, 669–670. [Google Scholar] [CrossRef]
- Todo, H.; Yamasaki, H.; Ogawa, G.; Nishida, K.; Futamura, N.; Funakawa, I. Injection of onabotulinum toxin A into the bilateral external oblique muscle attenuated camptocormia: A prospective open-label study in six patients with Parkinson’s disease. Neurol. Ther. 2018, 7, 365–371. [Google Scholar] [CrossRef]
- Srivanitchapoom, P.; Hallett, M. Camptocormia in Parkinson’s disease: Definition, epidemiology, pathogenesis and treatment modalities. J. Neurol. Neurosurg. Psychiatry 2016, 87, 75–85. [Google Scholar] [CrossRef] [PubMed]
- Artusi, C.A.; Bortolani, S.; Merola, A.; Zibetti, M.; Busso, M.; De Mercanti, S.; Arnoffi, P.; Martinetto, S.; Gaidolfi, E.; Veltri, A.; et al. Botulinum toxin for Pisa syndrome: An MRI-, ultrasound- and electromyography-guided pilot study. Parkinsonism Relat. Disord. 2019, 62, 231–235. [Google Scholar] [CrossRef]
- Etoom, M.; Alwardat, M.; Aburub, A.S.; Lena, F.; Fabbrizo, R.; Modugno, N.; Centonze, D. Therapeutic interventions for Pisa syndrome in idiopathic Parkinson’s disease. A Scoping Systematic Review. Clin. Neurol. Neurosurg. 2020, 198, 106242. [Google Scholar] [CrossRef] [PubMed]
- Tolosa, E.; Compta, Y. Dystonia in Parkinson’s disease. J. Neurol. 2006, 253 (Suppl. 7), VII7–VII13. [Google Scholar] [CrossRef]
- Ashour, R.; Tintner, R.; Jankovic, J. Striatal deformities of the hand and foot in Parkinson’s disease. Lancet Neurol. 2005, 4, 423–431. [Google Scholar] [CrossRef]
- Truong, D.D.; Bhidayasiri, R. Botulinum toxin therapy of laryngeal muscle hyperactivity syndromes: Comparing different botulinum toxin preparations. Eur. J. Neurol. 2006, 13 (Suppl. 1), 36–41. [Google Scholar] [CrossRef] [PubMed]
- Cordivari, C.; Misra, V.P.; Catania, S.; Lees, A.J. Treatment of dystonic clenched fist with botulinum toxin. Mov. Disord. 2001, 16, 907–913. [Google Scholar] [CrossRef]
- Giladi, N.; Meer, J.; Honigman, S. The use of botulinum toxin to treat “striatal” toes. J. Neurol. Neurosurg. Psychiatry 1994, 57, 659. [Google Scholar] [CrossRef][Green Version]
- Pacchetti, C.; Albani, G.; Martignoni, E.; Godi, L.; Alfonsi, E.; Nappi, G. “Off” painful dystonia in Parkinson’s disease treated with botulinum toxin. Mov. Disord. 1995, 10, 333–336. [Google Scholar] [CrossRef]
- Rieu, I.; Degos, B.; Castelnovo, G.; Vial, C.; Durand, E.; Pereira, B.; Simonetta-Moreau, M.; Sangla, S.; Fluchère, F.; Guehl, D.; et al. Incobotulinum toxin A in Parkinson’s disease with foot dystonia: A double blind randomized trial. Parkinsonism Relat. Disord. 2018, 46, 9–15. [Google Scholar] [CrossRef]
- Gupta, A.D.; Visvanathan, R. Botulinum toxin for foot dystonia in patients with Parkinson’s disease having deep brain stimulation: A case series and a pilot study. J. Rehabil. Med. 2016, 48, 559–562. [Google Scholar] [CrossRef] [PubMed]
- Gupta, A.D.; Tucker, G.; Koblar, S.; Visvanathan, R.; Cameron, I.D. Spatiotemporal gait analysis and lower limb functioning in foot dystonia treated with botulinum toxin. Toxins 2018, 10, 532. [Google Scholar] [CrossRef] [PubMed]
- Espay, A.J.; Vaughan, J.E.; Shukla, R.; Gartner, M.; Sahay, A.; Revilla, F.J.; Duker, A.P. Botulinum toxin type A for levodopa-induced cervical dyskinesias in Parkinson’s disease: Unfavorable risk-benefit ratio. Mov. Disord. 2011, 26, 913–914. [Google Scholar] [CrossRef] [PubMed]
- Giladi, N.; Honigman, S. Botulinum toxin injections to one leg alleviate freezing of gait in a patient with Parkinson’s disease. Mov. Disord. 1997, 12, 1085–1086. [Google Scholar] [CrossRef] [PubMed]
- Giladi, N.; Gurevich, T.; Shabtai, H.; Paleacu, D.; Simon, E.S. The effect of botulinum toxin injections to the calf muscles on freezing of gait in parkinsonism: A pilot study. J. Neurol. 2001, 248, 572–576. [Google Scholar] [CrossRef]
- Gurevich, T.; Peretz, C.; Moore, O.; Weizmann, N.; Giladi, N. The effect of injecting botulinum toxin type a into the calf muscles on freezing of gait in Parkinson’s disease: A double blind placebo-controlled pilot study. Mov. Disord. 2007, 22, 880–883. [Google Scholar] [CrossRef]
- Vastik, M.; Hok, P.; Hlustik, P.; Otruba, P.; Tüdös, Z.; Kanovsky, P. Botulinum toxin treatment of freezing of gait in Parkinson’s disease patients as reflected in functional magnetic resonance imaging of leg movement. Neuro. Endocrinol. Lett. 2016, 37, 147–153. [Google Scholar]
- Fernandez, H.H.; Lannon, M.C.; Trieschmann, M.E.; Friedman, J.H. Botulinum toxin type B for gait freezing in Parkinson’s disease. Med. Sci. Monit. 2004, 10, CR282–CR284. [Google Scholar]
- Agarwal, P.; Sia, C.; Vaish, N.; Roy-Faderman, I. Pilot Trial of onabotulinumtoxina (Botox) in moderate to severe restless legs syndrome. Int. J. Neurosci. 2011, 121, 622–625. [Google Scholar] [CrossRef]
- Ghorayeb, I.; Benard, A.; Vivot, A.; Tison, F.; Burbaud, P. A Phase II, Open-Label, Non-Comparative Study of Botulinum Toxin in Restless Legs Syndrome. Sleep Med. 2012, 13, 1313–1316. [Google Scholar] [CrossRef]
- Nahab, F.B.; Peckham, E.L.; Hallett, M. Double-blind, placebo-controlled, pilot prial of botulinum toxin A in restless legs syndrome. Neurology 2008, 71, 950–951. [Google Scholar] [CrossRef]
- Mittal, S.O.; Machado, D.; Richardson, D.; Dubey, D.; Jabbari, B. Botulinum toxin in restless legs syndrome. A randomized double-blind placebo-controlled crossover study. Toxins 2018, 10, 401. [Google Scholar] [CrossRef] [PubMed]
- Jost, W.H.; Buhmann, C. The challenge of pain in the pharmacological management of Parkinson’s disease. Expert Opin. Pharm. 2019, 20, 1847–1854. [Google Scholar] [CrossRef]
- Bruno, V.A.; Fox, S.H.; Mancini, D.; Miyasaki, J.M. Botulinum toxin use in refractory pain and other symptoms in Parkinsonism. Can. J. Neurol. Sci. 2016, 43, 697–702. [Google Scholar] [CrossRef] [PubMed]
- Bruno, V.; Freitas, M.E.; Mancini, D.; Lui, J.P.; Miyasaki, J.; Fox, S.H. Botulinum toxin type A for pain in advanced Parkinson’s disease. Can. J. Neurol. Sci. 2018, 45, 23–29. [Google Scholar] [CrossRef] [PubMed]
- Schestatsky, P.; Valls-Solé, J.; Ehlers, J.A.; Rieder, C.R.; Gomes, I. Hyperhidrosis in Parkinson’s disease. Mov. Disord. 2006, 21, 1744–1748. [Google Scholar] [CrossRef]
- Swinn, L.; Schrag, A.; Viswanathan, R.; Bloem, B.R.; Lees, A.; Quinn, N. Sweating dysfunction in Parkinson’s disease. Mov. Disord. 2003, 18, 1459–1463. [Google Scholar] [CrossRef] [PubMed]
- Jost, W.H. Gastrointestinal dysfunction in Parkinson’s disease. J. Neurol. Sci. 2010, 289, 69–73. [Google Scholar] [CrossRef]
- Alfonsi, E.; Merlo, I.M.; Ponzio, M.; Montomoli, C.; Tassorelli, C.; Biancardi, C.; Lozza, A.; Martignoni, E. An electrophysiological approach to the diagnosis of neurogenic dysphagia: Implications for botulinum toxin treatment. J. Neurol. Neurosurg. Psychiatry 2010, 81, 54–60. [Google Scholar] [CrossRef]
- Alfonsi, E.; Restivo, D.A.; Cosentino, G.; De Icco, R.; Bertino, G.; Schindler, A.; Todisco, M.; Fresia, M.; Cortese, A.; Prunetti, P.; et al. Botulinum toxin is effective in the management of neurogenic dysphagia. Clinical-electrophysiological findings and tips on safety in different neurological disorders. Front. Pharmacol. 2017, 8, 80. [Google Scholar] [CrossRef]
- Restivo, D.A.; Palmeri, A.; Marchese-Ragona, R. Botulinum toxin for cricopharyngeal dysfunction in Parkinson’s disease. N. Engl. J. Med. 2002, 346, 1174–1175. [Google Scholar] [CrossRef] [PubMed]
- Brisinda, G.; Sivestrini, N.; Bianco, G.; Maria, G. Treatment of gastrointestinal sphincters spasms with botulinum toxin A. Toxins 2015, 7, 1882–1916. [Google Scholar] [CrossRef] [PubMed]
- Gil, R.A.; Hwynn, N.; Fabian, T.; Joseph, S.; Fernandez, H.H. Botulinum toxin type A for the treatment of gastroparesis in Parkinson’s disease patients. Parkinsonism Relat. Disord. 2011, 17, 285–287. [Google Scholar] [CrossRef] [PubMed]
- Albanese, A.; Maria, G.; Bentivoglio, A.R.; Brisinda, G.; Cassetta, E.; Tonali, P. Severe constipation in Parkinson’s disease relieved by botulinum toxin. Mov. Disord. 1997, 12, 764–766. [Google Scholar] [CrossRef] [PubMed]
- Albanese, A.; Brisinda, G.; Bentivoglio, A.R.; Maria, G. Treatment of outlet obstruction constipation in Parkinson’s disease with botulinum neurotoxin A. Am. J. Gastroenterol. 2003, 98, 1439–1440. [Google Scholar] [CrossRef]
- Cadeddu, F.; Bentivoglio, A.R.; Brandara, F.; Marniga, G.; Brisinda, G.; Maria, G. Outlet type constipation in Parkinson’s disease: Results of botulinum toxin treatment. Aliment. Pharmacol. Ther. 2005, 22, 997–1003. [Google Scholar] [CrossRef]
- Jost, W.H.; Schrank, B.; Herold, A.; Leiß, O. Functional outlet obstruction: Anismus, spastic pelvic floor syndrome, and dyscoordination of the voluntary sphincter muscles. Scand. J. Gastroenterol. 1999, 34, 449–453. [Google Scholar] [CrossRef]



| Motor | Non-Motor | |
|---|---|---|
| Approved or licensed | Cervical dystonia * Blepharospasm * | Sialorrhea Overactive bladder |
| Probably or possibly effective | Lid opening inhibition Tremor Focal dystonia -hand and foot -laryngeal -oromandibular | Dysphagia Outlet constipation Focal hyperhidrosis |
| Conflicting data | Camptocormia Pisa syndrome |
Publisher’s Note: MDPI stays neutral with regard to jurisdictional claims in published maps and institutional affiliations. |
© 2021 by the author. Licensee MDPI, Basel, Switzerland. This article is an open access article distributed under the terms and conditions of the Creative Commons Attribution (CC BY) license (http://creativecommons.org/licenses/by/4.0/).
Share and Cite
Jost, W.H. Use of Botulinum Neurotoxin in Parkinson’s Disease: A Critical Appraisal. Toxins 2021, 13, 87. https://doi.org/10.3390/toxins13020087
Jost WH. Use of Botulinum Neurotoxin in Parkinson’s Disease: A Critical Appraisal. Toxins. 2021; 13(2):87. https://doi.org/10.3390/toxins13020087
Chicago/Turabian StyleJost, Wolfgang H. 2021. "Use of Botulinum Neurotoxin in Parkinson’s Disease: A Critical Appraisal" Toxins 13, no. 2: 87. https://doi.org/10.3390/toxins13020087
APA StyleJost, W. H. (2021). Use of Botulinum Neurotoxin in Parkinson’s Disease: A Critical Appraisal. Toxins, 13(2), 87. https://doi.org/10.3390/toxins13020087
