Zearalenone Affect the Intestinal Villi Associated with the Distribution and the Expression of Ghrelin and Proliferating Cell Nuclear Antigen in Weaned Gilts
Abstract
1. Introduction
2. Results
2.1. Serum ZEA, α-ZOL, and β-ZOL
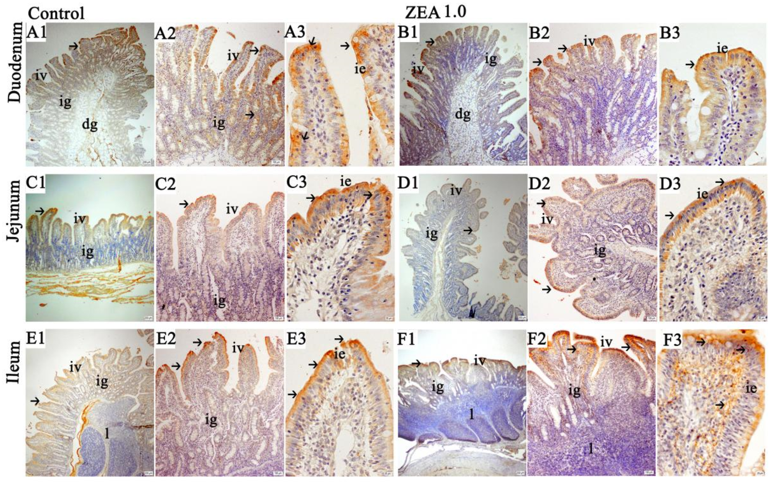
2.2. Morphological Structure and Measurement
2.3. The Ghrelin Immunoreactive Cells Distribution
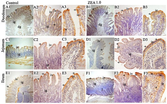
2.4. The Distribution of PCNA Immunoreactive Cells
2.5. The mRNA and Protein Relative Expressions of Ghrelin and PCNA
3. Discussion
3.1. Morphological Structure of Small Intestine and Serum ZEA, α-ZOL and β-ZOL
3.2. The Distribution and Expression of Ghrelin
3.3. The Distribution and Expression of PCNA
4. Conclusions
5. Materials and Methods
5.1. Ethics Statement, Experimental Design, Animals and Treatments
5.2. Sample Collection and Preparation
5.3. The Concentrations of ZEA, β-ZOL and α-ZOL during Serum Detection
5.4. Small Intestine Histology Examination
5.5. Immunohistochemistry (IHC)
5.6. Measurement of the Integrated Optical Density
5.7. Quantitative Real-Time PCR
5.8. Western Blot Analysis
5.9. Statistical Analysis
Author Contributions
Funding
Institutional Review Board Statement
Informed Consent Statement
Data Availability Statement
Conflicts of Interest
References
- Obremski, K.; Zielonka, L.; Gajecka, M.; Jakimiuk, E.; Bakuła, T.; Baranowski, M.; Gajęcki, M. Histological estimation of the small intestine wall after administration of feed containing deoxynivalenol, T-2 toxin and zearalenone in the pig. Pol. J. Vet. Sci. 2008, 11, 339–345. [Google Scholar]
- Gajecki, M.T.; Gajecka, M.; Zielonka, L. The presence of mycotoxins in feed and their influence on animal health. Toxins 2020, 12, 663. [Google Scholar] [CrossRef] [PubMed]
- Pack, E.; Stewart, J.; Rhoads, M.; Knight, J.; De Vita, R.; Clark-Deener, S.; Schmale, D.G., III. Quantification of zearalenone and alpha-zearalenol in swine liver and reproductive tissues using GC-MS. Toxicon X 2020, 8, 100058. [Google Scholar] [CrossRef]
- Wan, L.Y.; Turner, P.C.; El-Nezami, H. Individual and combined cytotoxic effects of Fusarium toxins (deoxynivalenol, nivalenol, zearalenone and fumonisins B1) on swine jejunal epithelial cells. Food Chem. Toxicol. 2013, 57, 276–283. [Google Scholar] [CrossRef] [PubMed]
- Su, Y.; Sun, Y.; Ju, D.; Chang, S.; Shi, B.; Shan, A. The detoxification effect of vitamin C on zearalenone toxicity in piglets. Ecotoxicol. Environ. Saf. 2018, 158, 284–292. [Google Scholar] [CrossRef]
- Zhang, Y.; Gao, R.; Liu, M.; Shi, B.; Shan, A.; Cheng, B. Use of modified halloysite nanotubes in the feed reduces the toxic effects of zearalenone on sow reproduction and piglet development. Theriogenology 2015, 83, 932–941. [Google Scholar] [CrossRef]
- Cheng, Q.; Jiang, S.; Huang, L.; Ge, J.; Wang, Y.; Yang, W. Zearalenone induced oxidative stress in the jejunum in postweaning gilts through modulation of the Keap1-Nrf2 signaling pathway and relevant genes. J. Anim. Sci. 2019, 97, 1722–1733. [Google Scholar] [CrossRef] [PubMed]
- Gajecka, M.; Zielonka, L.; Gajecki, M. Activity of zearalenone in the porcine intestinal tract. Molecules 2016, 22, 18. [Google Scholar] [CrossRef] [PubMed]
- Marin, D.E.; Motiu, M.; Taranu, I. Food contaminant zearalenone and its metabolites affect cytokine synthesis and intestinal epithelial integrity of porcine cells. Toxins 2015, 7, 1979–1988. [Google Scholar] [CrossRef]
- Rajendran, P.; Ammar, R.B.; Al-Saeedi, F.J.; Mohamed, M.E.; ElNaggar, M.A.; Al-Ramadan, S.Y.; Bekhet, G.M.; Soliman, A.M. Kaempferol inhibits zearalenone-induced oxidative stress and apoptosis via the PI3K/Akt-Mediated Nrf2 Signaling pathway: In vitro and in vivo Studies. Int. J. Mol. Sci. 2020, 22, 217. [Google Scholar] [CrossRef]
- Taranu, I.; Braicu, C.; Marin, D.E.; Pistol, G.C.; Motiu, M.; Balacescu, L.; Beridan Neagoe, I.; Burlacu, R. Exposure to zearalenone mycotoxin alters in vitro porcine intestinal epithelial cells by differential gene expression. Toxicol. Lett. 2015, 232, 310–325. [Google Scholar] [CrossRef]
- Lewczuk, B.; Przybylska-Gornowicz, B.; Gajecka, M.; Targonska, K.; Ziolkowska, N.; Prusik, M.; Gajecki, M. Histological structure of duodenum in gilts receiving low doses of zearalenone and deoxynivalenol in feed. Exp. Toxicol. Pathol. 2016, 68, 157–166. [Google Scholar] [CrossRef] [PubMed]
- Oswald, I.P. Role of intestinal epithelial cells in the innate immune defence of the pig intestine. Vet. Res. 2006, 37, 359–368. [Google Scholar] [CrossRef] [PubMed]
- Fan, W.; Lv, Y.; Ren, S.; Shao, M.; Shen, T.; Huang, K.; Zhou, J.; Yan, L.; Song, S. Zearalenone (ZEA)-induced intestinal inflammation is mediated by the NLRP3 inflammasome. Chemosphere 2018, 190, 272–279. [Google Scholar] [CrossRef]
- Fan, W.; Shen, T.; Ding, Q.; Lv, Y.; Li, L.; Huang, K.; Yan, L.; Song, S. Zearalenone induces ROS-mediated mitochondrial damage in porcine IPEC-J2 cells. J. Biochem. Mol. Toxicol. 2017, 31, e21944–e21953. [Google Scholar] [CrossRef] [PubMed]
- Perchard, R.; Clayton, P.E. Ghrelin and growth. Endocr. Dev. 2017, 32, 74–86. [Google Scholar] [CrossRef] [PubMed]
- Mani, B.K.; Zigman, J.M. Ghrelin as a survival hormone. Trends Endocrinol. Metab. 2017, 28, 843–854. [Google Scholar] [CrossRef]
- Lv, Y.; Liang, T.; Wang, G.; Li, Z. Ghrelin, a gastrointestinal hormone, regulates energy balance and lipid metabolism. Biosci. Rep. 2018, 38, BSR20181061. [Google Scholar] [CrossRef]
- Yanagi, S.; Sato, T.; Kangawa, K.; Nakazato, M. The homeostatic force of ghrelin. Cell Metab. 2018, 27, 786–804. [Google Scholar] [CrossRef]
- Eissa, N.; Ghia, J.E. Immunomodulatory effect of ghrelin in the intestinal mucosa. Neurogastroenterol. Motil. 2015, 27, 1519–1527. [Google Scholar] [CrossRef]
- Kitazawa, T.; Kaiya, H. Regulation of gastrointestinal motility by motilin and ghrelin in vertebrates. Front. Endocrinol. 2019, 10, 278–294. [Google Scholar] [CrossRef] [PubMed]
- Dong, X.Y.; Xu, J.; Tang, S.Q.; Li, H.Y.; Jiang, Q.Y.; Zou, X.T. Ghrelin and its biological effects on pigs. Peptides 2009, 30, 1203–1211. [Google Scholar] [CrossRef] [PubMed]
- Willemen, S.A.; De Vos, M.; Huygelen, V.; Fransen, E.; Tambuyzer, B.R.; Casteleyn, C.; Van Cruchten, S.; Van Ginneken, C. Ghrelin in the gastrointestinal tract and blood circulation of perinatal low and normal weight piglets. Animal 2013, 7, 1978–1984. [Google Scholar] [CrossRef]
- Dai, M.; Jiang, S.; Yuan, X.; Yang, W.; Yang, Z.; Huang, L. Effects of zearalenone-diet on expression of ghrelin and PCNA genes in ovaries of post-weaning piglets. Anim. Reprod. Sci. 2016, 168, 126–137. [Google Scholar] [CrossRef] [PubMed]
- Kuiper-Goodman, T.; Scott, P.; Watanabe, H. Risk Assessment of the mycotoxin zearalenone. Regul. Toxicol. Pharmacol. 1987, 7, 253–306. [Google Scholar] [CrossRef]
- Yang, J.Y.; Wang, G.X.; Liu, J.L.; Fan, J.J.; Cui, S. Toxic effects of zearalenone and its derivatives alpha-zearalenol on male reproductive system in mice. Reprod. Toxicol. 2007, 24, 381–387. [Google Scholar] [CrossRef]
- Zinedine, A.; Soriano, J.M.; Molto, J.C.; Manes, J. Review on the toxicity, occurrence, metabolism, detoxification, regulations and intake of zearalenone: An oestrogenic mycotoxin. Food Chem. Toxicol. 2007, 45, 1–18. [Google Scholar] [CrossRef]
- Liu, X.; Xu, C.; Yang, Z.; Yang, W.; Huang, L.; Wang, S.; Liu, F.; Liu, M.; Wang, Y.; Jiang, S. Effects of dietary zearalenone exposure on the growth performance, small intestine disaccharidase, and antioxidant activities of weaned Gilts. Animals 2020, 10, 2157. [Google Scholar] [CrossRef]
- Antfolk, M.; Jensen, K.B. A bioengineering perspective on modelling the intestinal epithelial physiology in vitro. Nat. Commun. 2020, 11, 6244–6254. [Google Scholar] [CrossRef]
- Avritscher, E.B.; Cooksley, C.D.; Elting, L.S. Scope and epidemiology of cancer therapy-induced oral and gastrointestinal mucositis. Semin. Oncol. Nurs. 2004, 20, 3–10. [Google Scholar] [CrossRef]
- Billeschou, A.; Hunt, J.E.; Ghimire, A.; Holst, J.J.; Kissow, H. Intestinal adaptation upon chemotherapy-induced intestinal injury in mice depends on GLP-2 receptor activation. Biomedicines 2021, 9, 46. [Google Scholar] [CrossRef] [PubMed]
- Jia, R.; Liu, W.; Zhao, L.; Cao, L.; Shen, Z. Low doses of individual and combined deoxynivalenol and zearalenone in naturally moldy diets impair intestinal functions via inducing inflammation and disrupting epithelial barrier in the intestine of piglets. Toxicol. Lett. 2020, 333, 159–169. [Google Scholar] [CrossRef]
- Liew, W.P.; Mohd-Redzwan, S. Mycotoxin: Its impact on gut health and microbiota. Front. Cell Infect. Microbiol. 2018, 8, 60–76. [Google Scholar] [CrossRef]
- Wang, P.; Huang, L.; Yang, W.; Liu, Q.; Li, F.; Wang, C. Deoxynivalenol induces inflammation in the small intestine of weaned rabbits by activating mitogen-activated protein kinase signaling. Front. Vet. Sci. 2021, 8, 632599–632608. [Google Scholar] [CrossRef]
- Przybylska-Gornowicz, B.; Lewczuk, B.; Prusik, M.; Hanuszewska, M.; Petrusewicz-Kosinska, M.; Gajecka, M.; Zielonka, L.; Gajecki, M. The effects of deoxynivalenol and zearalenone on the pig large intestine. a light and electron microscopy Study. Toxins 2018, 10, 148. [Google Scholar] [CrossRef]
- Altshuler, A.E.; Lamadrid, I.; Li, D.; Ma, S.R.; Kurre, L.; Schmid-Schonbein, G.W.; Penn, A.H. Transmural intestinal wall permeability in severe ischemia after enteral protease inhibition. PLoS ONE 2014, 9, e96655–e96668. [Google Scholar] [CrossRef] [PubMed]
- Varga, J.; Tóth, Š.; Tomečková, V.; Gregová, K.; Veselá, J. The relationship between morphology and disaccharidase activity in ischemia- reperfusion injured intestine. Acta Biochim. Pol. 2012, 59, 631–638. [Google Scholar] [CrossRef] [PubMed]
- Przybylska-Gornowicz, B.; Tarasiuk, M.; Lewczuk, B.; Prusik, M.; Ziolkowska, N.; Zielonka, L.; Gajecki, M.; Gajecka, M. The effects of low doses of two Fusarium toxins, zearalenone and deoxynivalenol, on the pig jejunum. A light and electron microscopic study. Toxins 2015, 7, 4684–4705. [Google Scholar] [CrossRef] [PubMed]
- Biehl, M.L.; Prelusky, D.B.; Koritz, G.D.; Hartin, K.E.; Buck, W.B.; Trenholm, H.L. Biliary excretion and enterohepatic cycling of zearalenone in immature pigs. Regul. Toxicol. Pharmacol. 1993, 121, 152–159. [Google Scholar] [CrossRef]
- Peeters, T.L. Ghrelin and the gut. Endocr. Dev. 2013, 25, 41–48. [Google Scholar] [CrossRef]
- Zhang, S.; Okuhara, Y.; Iijima, M.; Takemi, S.; Sakata, I.; Kaiya, H.; Teraoka, H.; Kitazawa, T. Identification of pheasant ghrelin and motilin and their actions on contractility of the isolated gastrointestinal tract. Gen. Comp. Endocrinol. 2020, 285, 113294. [Google Scholar] [CrossRef]
- Zhang, S.; Teraoka, H.; Kaiya, H.; Kitazawa, T. Motilin- and ghrelin-induced contractions in isolated gastrointestinal strips from three species of frogs. Gen. Comp. Endocrinol. 2021, 300, 113649–113682. [Google Scholar] [CrossRef]
- Date, Y.; Kojima, M.; Hosoda, H.; Sawaguchi, A.; Mondal, M.S.; Suganuma, T.; Matsukura, S.; Kangawa, K.; Nakazato, M. Ghrelin, a novel growth hormone-releasing acylated peptide, is synthesized in a distinct endocrine cell type in the gastrointestinal tracts of rats and humans. Endocrinology 2000, 141, 4255–4261. [Google Scholar] [CrossRef]
- Joost, O.; Scott, F.R.; Grill, H.J.; Kaplan, J.M.; Cummings, D.E. Role of the duodenum and macronutrient type in ghrelin regulation. Endocrinology 2005, 146, 845–850. [Google Scholar] [CrossRef]
- Onishi, S.; Kaji, T.; Yamada, W.; Nakame, K.; Machigashira, S.; Kawano, M.; Yano, K.; Harumatsu, T.; Yamada, K.; Masuya, R.; et al. Ghrelin stimulates intestinal adaptation following massive small bowel resection in parenterally fed rats. Peptides 2018, 106, 59–67. [Google Scholar] [CrossRef]
- El-Salhy, M. Ghrelin in gastrointestinal diseases and disorders: A possible role in the pathophysiology and clinical implications (review). Int. J. Mol. Med. 2009, 24, 727–732. [Google Scholar] [CrossRef][Green Version]
- Tumer, C.; Oflazoglu, H.D.; Obay, B.D.; Kelle, M.; Tasdemir, E. Effect of ghrelin on gastric myoelectric activity and gastric emptying in rats. Regul. Pept. 2008, 146, 26–32. [Google Scholar] [CrossRef]
- Alamri, B.N.; Shin, K.; Chappe, V.; Anini, Y. The role of ghrelin in the regulation of glucose homeostasis. Horm. Mol. Biol. Clin. Investig. 2016, 26, 3–11. [Google Scholar] [CrossRef]
- King, S.J.; Rodrigues, T.; Watts, A.; Murray, E.; Wilson, A.; Abizaid, A. Investigation of a role for ghrelin signaling in binge-like feeding in mice under limited access to high-fat diet. Neuroscience 2016, 319, 233–245. [Google Scholar] [CrossRef]
- Cheng, Q.; Jiang, S.; Huang, L.; Wang, Y.; Yang, W.; Yang, Z.; Ge, J. Effects of zearalenone-induced oxidative stress and Keap1-Nrf2 signaling pathway-related gene expression in the ileum and mesenteric lymph nodes of post-weaning gilts. Toxicology 2020, 429, 152337–152378. [Google Scholar] [CrossRef]
- Cheng, Y.; Wei, Y.; Yang, W.; Cai, Y.; Chen, B.; Yang, G.; Shang, H.; Zhao, W. Ghrelin attenuates intestinal barrier dysfunction following intracerebral hemorrhage in mice. Int. J. Mol. Sci. 2016, 17, 2032. [Google Scholar] [CrossRef]
- Yamada, W.; Kaji, T.; Onishi, S.; Nakame, K.; Yamada, K.; Kawano, T.; Mukai, M.; Souda, M.; Yoshioka, T.; Tanimoto, A.; et al. Ghrelin improves intestinal mucosal atrophy during parenteral nutrition: An experimental study. J. Pediatr. Surg. 2016, 51, 2039–2043. [Google Scholar] [CrossRef]
- Hatoya, S.; Torii, R.; Kumagai, D.; Sugiura, K.; Kawate, N.; Tamada, H.; Sawada, T.; Inaba, T. Expression of estrogen receptor α and β genes in the mediobasal hypothalamus, pituitary and ovary during the canine estrous cycle. Neurosci. Lett. 2003, 347, 131–135. [Google Scholar] [CrossRef]
- Petruzzelli, M.; Piccinin, E.; Pinto, C.; Peres, C.; Bellafante, E.; Moschetta, A. Biliary phospholipids sustain enterocyte proliferation and intestinal tumor progression via nuclear receptor Lrh1 in mice. Sci. Rep. 2016, 6, 39278–39287. [Google Scholar] [CrossRef]
- Phoophitphong, D.; Wangnaitham, S.; Srisuwatanasagul, S.; Tummaruk, P. The use of proliferating cell nuclear antigen (PCNA) immuno-staining technique to determine number and type of follicles in the gilt ovary. Livest. Sci. 2012, 150, 425–431. [Google Scholar] [CrossRef]
- Liu, M.; Gao, R.; Meng, Q.; Zhang, Y.; Bi, C.; Shan, A. Toxic effects of maternal zearalenone exposure on intestinal oxidative stress, barrier function, immunological and morphological changes in rats. PLoS ONE 2014, 9, e106412–e106425. [Google Scholar] [CrossRef]
- Fan, L.; Bi, T.; Wang, L.; Xiao, W. DNA-damage tolerance through PCNA ubiquitination and sumoylation. Biochem. J. 2020, 477, 2655–2677. [Google Scholar] [CrossRef]
- Ripley, B.M.; Gildenberg, M.S.; Washington, M.T. Control of DNA damage bypass by ubiquitylation of PCNA. Genes 2020, 11, 138. [Google Scholar] [CrossRef]
- Verdile, N.; Mirmahmoudi, R.; Brevini, T.A.L.; Gandolfi, F. Evolution of pig intestinal stem cells from birth to weaning. Animal 2019, 13, 2830–2839. [Google Scholar] [CrossRef]
- Yang, L.J.; Huang, L.B.; Li, S.M.; Liu, F.X.; Jiang, S.Z.; Yang, Z.B. Effects of zearalenone on ovary index, distribution and expression of progesterone receptors in ovaries of weaned gilts. Chin. J. Anim. Nutr. 2017, 29, 4510–4517. [Google Scholar] [CrossRef]
- Yang, L.J.; Zhou, M.; Huang, L.B.; Yang, W.R.; Yang, Z.B.; Jiang, S.Z. Zearalenone promotes follicle growth through modulation of wnt-1/β-catenin signaling pathway and expression of estrogen receptor genes in ovaries of post-weaning piglets. J. Agric. Food Chem. 2018, 66, 7899–7906. [Google Scholar] [CrossRef]
- Song, T.T.; Liu, X.F.; Yuan, X.J.; Yang, W.R.; Liu, F.X.; Hou, Y.M.; Huang, L.B.; Jiang, S.Z. Dose-effect of zearalenone on the localization and expression of growth hormone, growth hormone receptor, and heat shock protein 70 in the ovaries of post-weaning gilts. Front. Vet. Sci. 2021, 8, 629006–629017. [Google Scholar] [CrossRef]
- Zhou, M.; Yang, L.J.; Chen, Y.H.; Sun, T.; Wang, N.; Chen, X.; Yang, Z.B.; Ge, J.S.; Jiang, S.Z. Comparative study of stress response, growth, and development of uteri in post-weaning gilts challenged with zearalenone and estradiol benzoate. J. Anim. Physiol. Anim. Nutr. 2019, 103, 1885–1894. [Google Scholar] [CrossRef]
- Zhou, M.; Yang, L.; Shao, M.; Wang, Y.; Yang, W.; Huang, L.; Zhou, X.; Jiang, S.; Yang, Z. Effects of zearalenone exposure on the TGF-beta1/Smad3 signaling pathway and the expression of proliferation or apoptosis related genes of post-weaning gilts. Toxins 2018, 10, 49. [Google Scholar] [CrossRef]
- Livak, K.J.; Schmittgen, T.D. Analysis of relative gene expression data using real-time quantitative PCR and the 2 (-Delta Delta C(T)) method. Methods 2001, 25, 402–408. [Google Scholar] [CrossRef]





| Items | Zearalenone | α-Zearalenol | β-Zearalenol |
|---|---|---|---|
| Control | 0.00 ± 0.00 b | 0.291 ± 0.02 b | 0.035 ± 0.01 b |
| ZEA1.0 | 0.15 ± 0.04 a | 0.91 ± 0.10 a | 0.77 ± 0.01 a |
| Items | Villus Length (μm) | Crypt Depth (μm) | VL/CD | |
|---|---|---|---|---|
| Duodenum | Control | 515.91 ± 7.43 a | 713.31 ± 7.58 b | 0.73 ± 0.01 a |
| ZEA1.0 | 355.86 ± 7.66 b | 880.36 ± 12.76 a | 0.41 ± 0.01 b | |
| Jejunum | Control | 1059.37 ± 19.13 a | 493.21 ± 7.03 b | 2.16 ± 0.05 a |
| ZEA1.0 | 376.12 ± 13.49 b | 847.03±7.01 a | 0.59 ± 0.03 b | |
| Ileum | Control | 334.67 ± 9.85 a | 895.51 ± 10.68 b | 0.48 ± 0.01 a |
| ZEA1.0 | 178.83 ± 8.68 b | 1759.83 ± 23.93 a | 0.10 ± 0.01 b | |
| Ingredients (%) | Content | Nutrients (%) | Analyzed Values |
|---|---|---|---|
| Corn | 53.00 | Metabolizable energy, MJ/kg | 13.22 |
| Whey powder | 6.50 | Crude protein | 19.40 |
| Wheat middling | 5.00 | L-Lysine HCl | 0.30 |
| Sodium chloride | 0.20 | Sulfur amino acid | 0.79 |
| Soybean oil | 2.50 | Total phosphorus | 0.73 |
| Limestone, Pulverized | 0.30 | Threonine | 0.90 |
| Fish meal | 5.50 | Methionine | 0.46 |
| Calcium phosphate | 0.80 | Tryptophan | 0.25 |
| Soybean meal | 24.76 | Lysine | 1.36 |
| L-threonine | 0.04 | DON mg/kg | 0.41 |
| DL-methionine | 0.10 | AFL ug/kg | 1.62 |
| Calcium | 0.84 | FUM mg/kg | 0.28 |
| Premix 1 | 1.00 | ZEA mg/kg | 0.14 |
| Total | 100 |
| Target Genes | Accession No. | Primer Sequences | Product (bp) |
|---|---|---|---|
| Ghrelin | AF_308930 | F: CCGAACACCAGAAAGTGCAG | 144 |
| R: CGTTGAACCGGATTTCCAGC | |||
| PCNA | NM_001291925.1 | F: GTGATTCCACCACCATGTTC | 145 |
| R: TGAGACGAGTCCATGCTCTG | |||
| GAPDH | NM_001206359.1 | F: ATGGTGAAGGTCGGAGTGAA | 154 |
| R: CGTGGGTGGAATCATACTGG |
Publisher’s Note: MDPI stays neutral with regard to jurisdictional claims in published maps and institutional affiliations. |
© 2021 by the authors. Licensee MDPI, Basel, Switzerland. This article is an open access article distributed under the terms and conditions of the Creative Commons Attribution (CC BY) license (https://creativecommons.org/licenses/by/4.0/).
Share and Cite
Zhang, Q.; Huang, L.; Leng, B.; Li, Y.; Jiao, N.; Jiang, S.; Yang, W.; Yuan, X. Zearalenone Affect the Intestinal Villi Associated with the Distribution and the Expression of Ghrelin and Proliferating Cell Nuclear Antigen in Weaned Gilts. Toxins 2021, 13, 736. https://doi.org/10.3390/toxins13100736
Zhang Q, Huang L, Leng B, Li Y, Jiao N, Jiang S, Yang W, Yuan X. Zearalenone Affect the Intestinal Villi Associated with the Distribution and the Expression of Ghrelin and Proliferating Cell Nuclear Antigen in Weaned Gilts. Toxins. 2021; 13(10):736. https://doi.org/10.3390/toxins13100736
Chicago/Turabian StyleZhang, Quanwei, Libo Huang, Bo Leng, Yang Li, Ning Jiao, Shuzhen Jiang, Weiren Yang, and Xuejun Yuan. 2021. "Zearalenone Affect the Intestinal Villi Associated with the Distribution and the Expression of Ghrelin and Proliferating Cell Nuclear Antigen in Weaned Gilts" Toxins 13, no. 10: 736. https://doi.org/10.3390/toxins13100736
APA StyleZhang, Q., Huang, L., Leng, B., Li, Y., Jiao, N., Jiang, S., Yang, W., & Yuan, X. (2021). Zearalenone Affect the Intestinal Villi Associated with the Distribution and the Expression of Ghrelin and Proliferating Cell Nuclear Antigen in Weaned Gilts. Toxins, 13(10), 736. https://doi.org/10.3390/toxins13100736

