Piceatannol SNEDDS Attenuates Estradiol-Induced Endometrial Hyperplasia in Rats by Modulation of NF-κB and Nrf2/HO-1 Axes
Abstract
1. Introduction
2. Materials and Methods
2.1. Chemicals
2.2. Animals
2.3. Preparation of PIC Self-Nanoemulsifying Drug Delivery System (SNEDDS)
2.4. Acute Toxicity Study
2.5. Study Design and Animal Treatment
2.6. Histological Examination
2.7. Assessment of Apoptotic Markers
2.7.1. mRNA Expression of Bax and Bcl-2
2.7.2. Caspase-3 Concentration by ElISA
2.8. Oxidative Stress Biomarkers Assessment
2.9. Immunohistochemical Staining
2.10. Data Analysis
3. Results
3.1. Gross Examination
3.2. Body and Uterine Weights
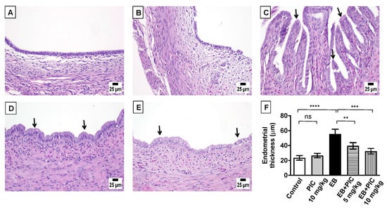
3.3. Histopathological Examination
3.4. Assessment of mRNA Expression of Bax and Bcl-2
3.5. Caspase-3
3.6. Assessment of Oxidative Stress Markers
3.7. Immunohistochemical Determination of Uterine Expression of IL-6, TNF-α, NFκB (p65), HO-1 and Nrf2
4. Discussions
5. Conclusions
Author Contributions
Funding
Institutional Review Board Statement
Informed Consent Statement
Data Availability Statement
Acknowledgments
Conflicts of Interest
References
- Singh, G.; Puckett, Y. Endometrial Hyperplasia. In StatPearls; StatPearls Publishing: Treasure Island, FL, USA, 2022. [Google Scholar]
- Yang, C.-H.; Almomen, A.; Wee, Y.S.; Jarboe, E.A.; Peterson, C.M.; Janát-Amsbury, M.M. An Estrogen-Induced Endometrial Hyperplasia Mouse Model Recapitulating Human Disease Progression and Genetic Aberrations. Cancer Med. 2015, 4, 1039–1050. [Google Scholar] [CrossRef] [PubMed]
- Tas, M.; Kutuk, M.S.; Serin, I.S.; Ozgun, M.T.; Oner, G.; Ozturk, F. Comparison of Antiproliferative Effects of Metformine and Progesterone on Estrogen-Induced Endometrial Hyperplasia in Rats. Gynecol. Endocrinol. 2013, 29, 311–314. [Google Scholar] [CrossRef] [PubMed]
- Furness, S.; Roberts, H.; Marjoribanks, J.; Lethaby, A. Hormone Therapy in Postmenopausal Women and Risk of Endometrial Hyperplasia. Cochrane Database Syst. Rev. 2012, 2012, CD000402. [Google Scholar] [CrossRef] [PubMed]
- Doherty, M.T.; Sanni, O.B.; Coleman, H.G.; Cardwell, C.R.; McCluggage, W.G.; Quinn, D.; Wylie, J.; McMenamin, Ú.C. Concurrent and Future Risk of Endometrial Cancer in Women with Endometrial Hyperplasia: A Systematic Review and Meta-Analysis. PLoS ONE 2020, 15, e0232231. [Google Scholar] [CrossRef]
- Siegel, R.L.; Miller, K.D.; Jemal, A. Cancer Statistics, 2018. CA Cancer J. Clin. 2018, 68, 7–30. [Google Scholar] [CrossRef]
- Sobczuk, K.; Sobczuk, A. New Classification System of Endometrial Hyperplasia WHO 2014 and Its Clinical Implications. Menopause Rev. 2017, 16, 107–111. [Google Scholar] [CrossRef]
- Vajpeyi, R. WHO Classification of Tumours: Pathology and Genetics of Tumours of the Breast and Female Genital Organs. J. Clin. Pathol. 2005, 58, 671–672. [Google Scholar]
- Chandra, V.; Kim, J.J.; Benbrook, D.M.; Dwivedi, A.; Rai, R. Therapeutic Options for Management of Endometrial Hyperplasia. J. Gynecol. Oncol. 2016, 27, e8. [Google Scholar] [CrossRef]
- Trimble, C.L.; Method, M.; Leitao, M.; Lu, K.; Ioffe, O.; Hampton, M.; Higgins, R.; Zaino, R.; Mutter, G.L. Management of Endometrial Precancers. Obstet. Gynecol. 2012, 120, 1160–1175. [Google Scholar] [CrossRef]
- Daud, S.; Jalil, S.S.A.; Griffin, M.; Ewies, A.A.A. Endometrial Hyperplasia—The Dilemma of Management Remains: A Retrospective Observational Study of 280 Women. Eur. J. Obstet. Gynecol. Reprod. Biol. 2011, 159, 172–175. [Google Scholar] [CrossRef]
- Holland, C. Unresolved Issues in the Management of Endometrial Cancer. Expert Rev. Anticancer Ther. 2011, 11, 57–69. [Google Scholar] [CrossRef] [PubMed]
- Modugno, F.; Ness, R.B.; Chen, C.; Weiss, N.S. Inflammation and Endometrial Cancer: A Hypothesis. Cancer Epidemiol. Prev. Biomark. 2005, 14, 2840–2847. [Google Scholar] [CrossRef] [PubMed]
- Kubyshkin, A.V.; Aliev, L.L.; Fomochkina, I.I.; Kovalenko, Y.P.; Litvinova, S.V.; Filonenko, T.G.; Lomakin, N.V.; Kubyshkin, V.A.; Karapetian, O.V. Endometrial Hyperplasia-Related Inflammation: Its Role in the Development and Progression of Endometrial Hyperplasia. Inflamm. Res. 2016, 65, 785–794. [Google Scholar] [CrossRef] [PubMed]
- Refaie, M.M.M.; El-Hussieny, M. The Role of Interleukin-1b and Its Antagonist (Diacerein) in Estradiol Benzoate-Induced Endometrial Hyperplasia and Atypia in Female Rats. Fundam. Clin. Pharmacol. 2017, 31, 438–446. [Google Scholar] [CrossRef] [PubMed]
- Vaskivuo, T.E.; Stenbäck, F.; Tapanainen, J.S. Apoptosis and Apoptosis-Related Factors Bcl-2, Bax, Tumor Necrosis Factor-α, and NF-ΚB in Human Endometrial Hyperplasia and Carcinoma. Cancer 2002, 95, 1463–1471. [Google Scholar] [CrossRef] [PubMed]
- Yıldırım, E.; Türkler, C.; Görkem, Ü.; Şimşek, Ö.Y.; Yılmaz, E.; Aladağ, H. The Relationship between Oxidative Stress Markers and Endometrial Hyperplasia: A Case-Control Study. Turk. J. Obstet. Gynecol. 2021, 18, 298–303. [Google Scholar] [CrossRef]
- Okoh, V.; Deoraj, A.; Roy, D. Estrogen-Induced Reactive Oxygen Species-Mediated Signalings Contribute to Breast Cancer. Biochim. Biophys. Acta BBA Rev. Cancer 2011, 1815, 115–133. [Google Scholar] [CrossRef]
- Banik, K.; Ranaware, A.M.; Harsha, C.; Nitesh, T.; Girisa, S.; Deshpande, V.; Fan, L.; Nalawade, S.P.; Sethi, G.; Kunnumakkara, A.B. Piceatannol: A Natural Stilbene for the Prevention and Treatment of Cancer. Pharmacol. Res. 2020, 153, 104635. [Google Scholar] [CrossRef]
- Setoguchi, Y.; Oritani, Y.; Ito, R.; Inagaki, H.; Maruki-Uchida, H.; Ichiyanagi, T.; Ito, T. Absorption and Metabolism of Piceatannol in Rats. J. Agric. Food Chem. 2014, 62, 2541–2548. [Google Scholar] [CrossRef]
- Piotrowska, H.; Kucinska, M.; Murias, M. Biological Activity of Piceatannol: Leaving the Shadow of Resveratrol. Mutat. Res./Rev. Mutat. Res. 2012, 750, 60–82. [Google Scholar] [CrossRef]
- Ashikawa, K.; Majumdar, S.; Banerjee, S.; Bharti, A.C.; Shishodia, S.; Aggarwal, B.B. Piceatannol Inhibits TNF-Induced NF-ΚB Activation and NF-ΚB-Mediated Gene Expression through Suppression of IκBα Kinase and P65 Phosphorylation. J. Immunol. 2002, 169, 6490–6497. [Google Scholar] [CrossRef] [PubMed]
- Kukreja, A.; Wadhwa, N. Therapeutic Role of Resveratrol and Piceatannol in Disease Prevention. J. Blood Disord. Transfus. 2014, 5, 9. [Google Scholar] [CrossRef]
- Li, H.; Shi, Y.; Wang, X.; Li, P.; Zhang, S.; Wu, T.; Yan, Y.; Zhan, Y.; Ren, Y.; Rong, X.; et al. Piceatannol Alleviates Inflammation and Oxidative Stress via Modulation of the Nrf2/HO-1 and NF-ΚB Pathways in Diabetic Cardiomyopathy. Chem. Biol. Interact. 2019, 310, 108754. [Google Scholar] [CrossRef] [PubMed]
- Eid, B.G.; Abdel-Naim, A.B. Piceatannol Attenuates Testosterone-Induced Benign Prostatic Hyperplasia in Rats by Modulation of Nrf2/HO-1/NFκB Axis. Front. Pharmacol. 2020, 11, 614897. [Google Scholar] [CrossRef]
- Algandaby, M.M.; Al-Sawahli, M.M. Augmentation of Anti-Proliferative, pro-Apoptotic and Oxidant Profiles Induced by Piceatannol in Human Breast Carcinoma MCF-7 Cells Using Zein Nanostructures. Biomed. Pharmacother. 2021, 138, 111409. [Google Scholar] [CrossRef]
- Murias, M.; Jäger, W.; Handler, N.; Erker, T.; Horvath, Z.; Szekeres, T.; Nohl, H.; Gille, L. Antioxidant, Prooxidant and Cytotoxic Activity of Hydroxylated Resveratrol Analogues: Structure-Activity Relationship. Biochem. Pharmacol. 2005, 69, 903–912. [Google Scholar] [CrossRef]
- Son, Y.; Chung, H.-T.; Pae, H.-O. Differential Effects of Resveratrol and Its Natural Analogs, Piceatannol and 3,5,4′-Trans-Trimethoxystilbene, on Anti-Inflammatory Heme Oxigenase-1 Expression in RAW264.7 Macrophages. BioFactors 2014, 40, 138–145. [Google Scholar] [CrossRef]
- Alhakamy, N.A.; Caruso, G.; Al-Rabia, M.W.; Badr-Eldin, S.M.; Aldawsari, H.M.; Asfour, H.Z.; Alshehri, S.; Alzaharani, S.H.; Alhamdan, M.M.; Rizg, W.Y.; et al. Piceatannol-Loaded Bilosome-Stabilized Zein Protein Exhibits Enhanced Cytostatic and Apoptotic Activities in Lung Cancer Cells. Pharmaceutics 2021, 13, 638. [Google Scholar] [CrossRef]
- Acar, N.; Balkarli, H.; Soyuncu, Y.; Ozbey, O.; Celik-Ozenci, C.; Korkusuz, P.; Ustunel, I. The Determination of Apoptosis Rates on Articular Cartilages of Ovariectomized Rats with and without Alendronate Treatment. Histol. Histopathol. 2016, 31, 635–645. [Google Scholar] [CrossRef]
- Gómez-Zubeldia, M.A.; Bazo, A.P.; Gabarre, J.J.A.; Nogales, A.G.; Palomino, J.C.M. Oxidative Stress in Endometrial Hyperplasia. Menopause 2008, 15, 363–368. [Google Scholar] [CrossRef]
- Jia, P.; Ji, S.; Zhang, H.; Chen, Y.; Wang, T. Piceatannol Ameliorates Hepatic Oxidative Damage and Mitochondrial Dysfunction of Weaned Piglets Challenged with Diquat. Animals 2020, 10, 1239. [Google Scholar] [CrossRef] [PubMed]
- Wahdan, S.A.; Azab, S.S.; Elsherbiny, D.A.; El-Demerdash, E. Piceatannol Protects against Cisplatin Nephrotoxicity via Activation of Nrf2/HO-1 Pathway and Hindering NF-ΚB Inflammatory Cascade. Naunyn. Schmiedebergs Arch. Pharmacol. 2019, 392, 1331–1345. [Google Scholar] [CrossRef] [PubMed]
- Liu, F.-C.; Tsai, Y.-F.; Tsai, H.-I.; Yu, H.-P. Anti-Inflammatory and Organ-Protective Effects of Resveratrol in Trauma-Hemorrhagic Injury. Mediat. Inflamm. 2015, 2015, e643763. [Google Scholar] [CrossRef] [PubMed]
- Tambuwala, M.M.; Khan, M.N.; Thompson, P.; McCarron, P.A. Albumin Nano-Encapsulation of Caffeic Acid Phenethyl Ester and Piceatannol Potentiated Its Ability to Modulate HIF and NF-KB Pathways and Improves Therapeutic Outcome in Experimental Colitis. Drug Deliv. Transl. Res. 2019, 9, 14–24. [Google Scholar] [CrossRef] [PubMed]
- Oettel, M.; Schillinger, E. Estrogens and Antiestrogens I: Physiology and Mechanisms of Action of Estrogens and Antiestrogens; Springer Science & Business Media: Berlin/Heidelberg, Germany, 2012; ISBN 978-3-642-58616-3. [Google Scholar]
- Kuhl, H. Pharmacology of Estrogens and Progestogens: Influence of Different Routes of Administration. Climacteric 2005, 8, 3–63. [Google Scholar] [CrossRef] [PubMed]
- Donovan, M.; Cotter, T.G. Control of Mitochondrial Integrity by Bcl-2 Family Members and Caspase-Independent Cell Death. Biochim. Biophys. Acta BBA Mol. Cell Res. 2004, 1644, 133–147. [Google Scholar] [CrossRef] [PubMed]
- Mirakhor Samani, S.; Ezazi Bojnordi, T.; Zarghampour, M.; Merat, S.; Fouladi, D.F. Expression of P53, Bcl-2 and Bax in Endometrial Carcinoma, Endometrial Hyperplasia and Normal Endometrium: A Histopathological Study. J. Obstet. Gynaecol. 2018, 38, 999–1004. [Google Scholar] [CrossRef]
- Yang, H.-L.; Chang, K.-K.; Mei, J.; Zhou, W.-J.; Liu, L.-B.; Yao, L.; Meng, Y.; Wang, M.-Y.; Ha, S.-Y.; Lai, Z.-Z.; et al. Estrogen Restricts the Apoptosis of Endometrial Stromal Cells by Promoting TSLP Secretion. Mol. Med. Rep. 2018, 18, 4410–4416. [Google Scholar] [CrossRef]
- Andrade, S.S.; Azevedo, A.d.C.; Monasterio, I.C.G.; Paredes-Gamero, E.J.; Gonçalves, G.A.; Bonetti, T.C.; Albertoni, G.; Schor, E.; Barreto, J.A.; Luiza Oliva, M.; et al. 17β-Estradiol and Steady-State Concentrations of H2O2: Antiapoptotic Effect in Endometrial Cells from Patients with Endometriosis. Free Radic. Biol. Med. 2013, 60, 63–72. [Google Scholar] [CrossRef]
- Potter, G.A.; Patterson, L.H.; Wanogho, E.; Perry, P.J.; Butler, P.C.; Ijaz, T.; Ruparelia, K.C.; Lamb, J.H.; Farmer, P.B.; Stanley, L.A.; et al. The Cancer Preventative Agent Resveratrol Is Converted to the Anticancer Agent Piceatannol by the Cytochrome P450 Enzyme CYP1B1. Br. J. Cancer 2002, 86, 774–778. [Google Scholar] [CrossRef]
- Arroo, R.R.J.; Androutsopoulos, V.; Patel, A.; Surichan, S.; Wilsher, N.; Potter, G.A. Phytoestrogens as Natural Prodrugs in Cancer Prevention: A Novel Concept. Phytochem. Rev. 2008, 7, 431–443. [Google Scholar] [CrossRef]
- Kuiper, G.G.; Lemmen, J.G.; Carlsson, B.; Corton, J.C.; Safe, S.H.; van der Saag, P.T.; van der Burg, B.; Gustafsson, J.A. Interaction of Estrogenic Chemicals and Phytoestrogens with Estrogen Receptor Beta. Endocrinology 1998, 139, 4252–4263. [Google Scholar] [CrossRef] [PubMed]
- Lian, Z.; Niwa, K.; Tagami, K.; Hashimoto, M.; Gao, J.; Yokoyama, Y.; Mori, H.; Tamaya, T. Preventive Effects of Isoflavones, Genistein and Daidzein, on Estradiol-17β-related Endometrial Carcinogenesis in Mice. Jpn. J. Cancer Res. 2001, 92, 726–734. [Google Scholar] [CrossRef] [PubMed]
- Pejić, S.; Todorović, A.; Stojiljković, V.; Kasapović, J.; Pajović, S.B. Antioxidant Enzymes and Lipid Peroxidation in Endometrium of Patients with Polyps, Myoma, Hyperplasia and Adenocarcinoma. Reprod. Biol. Endocrinol. RBE 2009, 7, 149. [Google Scholar] [CrossRef]
- Ye, W.; Zhu, S.; Liao, C.; Xiao, J.; Wu, Q.; Lin, Z.; Chen, J. Advanced Oxidation Protein Products Induce Apoptosis of Human Chondrocyte through Reactive Oxygen Species-Mediated Mitochondrial Dysfunction and Endoplasmic Reticulum Stress Pathways. Fundam. Clin. Pharmacol. 2017, 31, 64–74. [Google Scholar] [CrossRef]
- Pejic, S.; Kasapovic, J.; Cvetkovic, D.; Pajovic, S.B. The Modulatory Effect of Estradiol Benzoate on Superoxide Dismutase Activity in the Developing Rat Brain. Braz. J. Med. Biol. Res. 2003, 36, 579–586. [Google Scholar] [CrossRef][Green Version]
- Dvorakova, M.; Landa, P. Anti-Inflammatory Activity of Natural Stilbenoids: A Review. Pharmacol. Res. 2017, 124, 126–145. [Google Scholar] [CrossRef]
- Wardyn, J.D.; Ponsford, A.H.; Sanderson, C.M. Dissecting Molecular Cross-Talk between Nrf2 and NF-ΚB Response Pathways. Biochem. Soc. Trans. 2015, 43, 621–626. [Google Scholar] [CrossRef]
- Wung, B.-S.; Hsu, M.-C.; Wu, C.-C.; Hsieh, C.-W. Piceatannol Upregulates Endothelial Heme Oxygenase-1 Expression via Novel Protein Kinase C and Tyrosine Kinase Pathways. Pharmacol. Res. 2006, 53, 113–122. [Google Scholar] [CrossRef]
- Lee, H.-H.; Park, S.-A.; Almazari, I.; Kim, E.-H.; Na, H.-K.; Surh, Y.-J. Piceatannol Induces Heme Oxygenase-1 Expression in Human Mammary Epithelial Cells through Activation of ARE-Driven Nrf2 Signaling. Arch. Biochem. Biophys. 2010, 501, 142–150. [Google Scholar] [CrossRef]
- Gao, Y.; Li, S.; Li, Q. Uterine Epithelial Cell Proliferation and Endometrial Hyperplasia: Evidence from a Mouse Model. Mol. Hum. Reprod. 2014, 20, 776–786. [Google Scholar] [CrossRef] [PubMed]
- Abdel-Hamid, H.A.; Zenhom, N.M.; Toni, N.D.M. Melatonin Reduced Endometrial Hyperplasia Induced by Estradiol in Female Albino Rats. Gen. Physiol. Biophys. 2019, 38, 63–71. [Google Scholar] [CrossRef] [PubMed]
- Olowofolahan, A.O.; Oyebode, O.T.; Olorunsogo, O.O. Methyl Palmitate Reversed Estradiol Benzoate-Induced Endometrial Hyperplasia in Female Rats. Toxicol. Mech. Methods 2021, 31, 43–52. [Google Scholar] [CrossRef] [PubMed]
- Marcondes, F.K.; Bianchi, F.J.; Tanno, A.P. Determination of the Estrous Cycle Phases of Rats: Some Helpful Considerations. Braz. J. Biol. 2002, 62, 609–614. [Google Scholar] [CrossRef] [PubMed]





| Target Gene | Primer Sequence | Gene Bank Accession Number |
|---|---|---|
| Bax | Forward: 5′-CCTGAGCTGACCTTGGAGCA-3′ Reverse: 5′-GGTGGTTGCCCTTTTCTACT-3′ | U32098.1 |
| Bcl-2 | Forward: 5′-TGATAACCGGGAGATCGTGA-3′ Reverse: 5′-AAAGCACATCCAATAAAAAGC-3′ | NM_016993.1 |
| β-actin | Forward: 5′-CTAAGGCCAACCGTGAAAAG-3′ Reverse: 5′-GCCTGGATGGCTACGTACA-3′ | NM_031144.3 |
| Group | Uterine Weight (g) | Body Weight (g) | Relative Uterine Weight (× 103) |
|---|---|---|---|
| Control | 0.39 ± 0.06 | 188.6 ± 9.09 | 2.29 ± 0.10 |
| PIC (10 mg/kg) | 0.43 ± 0.12 | 191.0 ± 8.86 | 2.62 ± 0.12 |
| EB | 0.97 ± 0.12 | 190.4 ± 14.38 | 7.45 ± 0.54 a,b |
| EB + PIC (5 mg/kg) | 0.80 ± 0.05 | 181.4 ± 12.97 | 4.04 ± 0.29 a,b,c |
| EB + PIC (10 mg/kg) | 0.70 ± 0.11 | 170.0 ± 13.50 | 4.07 ± 0.32 a,b,c |
| Group | MDA (nmol/mg Protein) | SOD (U/mg Protein) | CAT (U/mg Protein) |
|---|---|---|---|
| Control | 0.51 ± 0.075 | 36.44 ± 4.51 | 2.44 ± 0.034 |
| PIC (10 mg/kg) | 0.46 ± 0.063 | 39.92 ± 4.70 | 2.33 ± 0.287 |
| EB | 1.72 ± 0.21 a,b | 19.82 ± 2.20 a,b | 1.81 ± 0.210 a,b |
| EB + PIC (5 mg/kg) | 1.01 ± 0.12 a,b,c | 29.57 ± 3.54 a,b,c | 2.21 ± 0.240 c |
| EB + PIC (10 mg/kg) | 0.82 ± 0.094 a,b,c | 32.35 ± 3.30 a,b,c | 2.25 ± 0.290 c |
Publisher’s Note: MDPI stays neutral with regard to jurisdictional claims in published maps and institutional affiliations. |
© 2022 by the authors. Licensee MDPI, Basel, Switzerland. This article is an open access article distributed under the terms and conditions of the Creative Commons Attribution (CC BY) license (https://creativecommons.org/licenses/by/4.0/).
Share and Cite
Binmahfouz, L.S.; Eid, B.G.; Bagher, A.M.; Shaik, R.A.; Binmahfouz, N.S.; Abdel-Naim, A.B. Piceatannol SNEDDS Attenuates Estradiol-Induced Endometrial Hyperplasia in Rats by Modulation of NF-κB and Nrf2/HO-1 Axes. Nutrients 2022, 14, 1891. https://doi.org/10.3390/nu14091891
Binmahfouz LS, Eid BG, Bagher AM, Shaik RA, Binmahfouz NS, Abdel-Naim AB. Piceatannol SNEDDS Attenuates Estradiol-Induced Endometrial Hyperplasia in Rats by Modulation of NF-κB and Nrf2/HO-1 Axes. Nutrients. 2022; 14(9):1891. https://doi.org/10.3390/nu14091891
Chicago/Turabian StyleBinmahfouz, Lenah S., Basma G. Eid, Amina M. Bagher, Rasheed A. Shaik, Najlaa S. Binmahfouz, and Ashraf B. Abdel-Naim. 2022. "Piceatannol SNEDDS Attenuates Estradiol-Induced Endometrial Hyperplasia in Rats by Modulation of NF-κB and Nrf2/HO-1 Axes" Nutrients 14, no. 9: 1891. https://doi.org/10.3390/nu14091891
APA StyleBinmahfouz, L. S., Eid, B. G., Bagher, A. M., Shaik, R. A., Binmahfouz, N. S., & Abdel-Naim, A. B. (2022). Piceatannol SNEDDS Attenuates Estradiol-Induced Endometrial Hyperplasia in Rats by Modulation of NF-κB and Nrf2/HO-1 Axes. Nutrients, 14(9), 1891. https://doi.org/10.3390/nu14091891

