Next Article in Journal
Study on the Self-Healing Performance of Microcapsules and Microcapsule-Containing Asphalt
Next Article in Special Issue
Intelligent Adaptive Optimisation Method for Enhancement of Information Security in IoT-Enabled Environments
Previous Article in Journal
Traffic Flow Prediction with Attention Mechanism Based on TS-NAS
Previous Article in Special Issue
Artificial Ecosystem-Based Optimization with an Improved Deep Learning Model for IoT-Assisted Sustainable Waste Management
 
 
Font Type:
Arial Georgia Verdana
Font Size:
Aa Aa Aa
Line Spacing:
Column Width:
Background:
Article

A Novel COVID-19 Detection Technique Using Deep Learning Based Approaches

1
Department of Computer Science, College of Computer in Al-Lith, Umm Al-Qura University, Makkah 24382, Saudi Arabia
2
High Performance Computing Center, King Abdulaziz University, Jeddah 22254, Saudi Arabia
3
Department of Computer Science, King Abdulaziz University, Jeddah 22254, Saudi Arabia
4
Department of Computer Science, College of Computing and Information Technology, Shaqra University, Shaqra 11961, Saudi Arabia
5
Department of Computer Science, College of Science and Humanities, Dawadmi, Shaqra University, Shaqra 11961, Saudi Arabia
*
Author to whom correspondence should be addressed.
Sustainability 2022, 14(19), 12222; https://doi.org/10.3390/su141912222
Submission received: 8 September 2022 / Revised: 20 September 2022 / Accepted: 23 September 2022 / Published: 27 September 2022
(This article belongs to the Special Issue IoT Quality Assessment and Sustainable Optimization)

Abstract

:
The COVID-19 pandemic affects individuals in many ways and has spread worldwide. Current methods of COVID-19 detection are based on physicians analyzing the patient’s symptoms. Machine learning with deep learning approaches applied to image processing techniques also plays a role in identifying COVID-19 from minor symptoms. The problem is that such models do not provide high performance, which impacts timely decision-making. Early disease detection in many places is limited due to the lack of expensive resources. This study employed pre-implemented instances of a convolutional neural network and Darknet to process CT scans and X-ray images. Results show that the proposed new models outperformed the state-of-the-art methods by approximately 10% in accuracy. The results will help physicians and the health care system make preemptive decisions regarding patient health. The current approach might be used jointly with existing health care systems to detect and monitor cases of COVID-19 disease quickly.

1. Introduction

A novel coronavirus, which came to be known as SARS-CoV-2, was first observed in Wuhan, China toward the end of 2019. COVID-19 is the name of the disease caused by the newly discovered virus. It has affected almost everyone worldwide; however, older people are more affected than younger people. The primary symptoms of the infection are fever, dry cough, and tiredness. Some techniques to reduce the spread of the virus include using sanitizer to wash hands, wearing a mask, keeping a distance from others, and vaccinations. Unfortunately, many places suffer from a lack of essential equipment such as testing kits, vaccines, and ventilators. People are suffering from a lack of resources, treatment, and necessary equipment [1]. Radiology plays a fundamental role in the analysis of the disease based on clinical symptoms. X-ray and CT scan imaging modalities play a prominent role in diagnosing COVID-19. X-ray chest images make an outstanding contribution to initial diagnosis [2]. X-ray or CT scan chest images are typically used to analyze and medically diagnose the preliminary stage of the disease. CT-scan images are taken from the chest and processed using the deep learning approaches, where the variation in values of each image count and determine the affected images. Typical CT scans and X-ray images can help detect suspected COVID-19 cases early [3]. Diagnosing COVID-19 has focused on CT scan images, but hospital privacy does not lend to a collaborative learning modeling approach [4].
The availability of disease information including CT scans opens doors for machine learning methods including deep learning techniques. Deep learning models contribute in various ways such as early notification, warnings, social control, preliminary diagnosis, COVID-19 early detection, prediction, and prognosis [5]. However, the enormous amount of data required for these techniques may negatively affect the computing time because it is challenging to manage and process many large data repositories.
Other approaches play a role in diagnosing, analyzing, and detecting coronavirus disease [6]. However, this pandemic has generated a large amount of raw data that is arduous to manage and explore using a single technique. In this situation, big data analytics with artificial intelligence can be integrated to provide a timely and accurate detection of this disease. Big data play a vital role in diagnosing, estimating, or predicting risk rates, health care decision-making and pharmaceuticals, all of which contribute to identifying COVID-19 from symptoms and saving the lives of human beings [7].
Several algorithms have been used for COVID-19 detection, specifically ResNet-50, ResNet-101, ResNet-18, generative adversarial network (GAN), long short-term memory (LSTM), and experiential learning model (ELM) [8,9] using CT scan or X-ray images. These algorithms use an image dataset and analyzes the images for symptoms of the disease. These techniques still lack the performance and also suffer complexity in managing a state-of-the-art dataset that can be used in various experiments to help obtain the best solution.
There is still a lack of preliminary analysis [10] and a lack of a state-of-the-art, labelled dataset [11] to support the accurate detection of COVID-19 and localize abnormalities. Various techniques are being employed to overcome these issues, but they need to be more precise and reliable to provide health care solutions, especially during this pandemic. We proposed deep learning approaches for the accurate detection, early diagnosis and preliminary analysis of COVID-19 symptoms. The proposed model used a convolutional neural network (CNN) algorithm and Darknet for the binary classification of images as COVID-19 or normal. This Darknet algorithm also works for multiclass classification of images as COVID-19, normal, or other diseases.
The main objective of this research was to facilitate the efficient, early diagnosis of COVID-19-affected patients. The proposed model was based on the deep learning approaches of CNN and Darknet with image processing techniques supporting the analysis, detection, and localization of abnormalities in the CT scan and X-ray images. An accurate and precise solution is required to support decision-making derived from medical images used in health care. A research gap has been identified in treating COVID-19 patients with the help of deep learning approaches because of the number of patients that require an automatic system for fast diagnosis.
The remainder of this paper is organized as follows. Section 2 reviews the existing approaches applied to COVID-19 detection; Section 3 discusses the proposed model including the methodology and algorithms used for the model training; Section 4 presents the results and provides a discussion of them; finally, in Section 5, this paper is concluded and future work proposed.

2. Literature Review

This section discusses the various COVID-19 detection and analysis techniques using CT scans and X-ray images. Several approaches have applied machine learning and deep learning techniques to CT scans and X-ray images. The proposed method in [12] used deep learning to detect the disease using X-ray images. This approach used four stages to identify COVID-19. Stage 1 was for image pre-processing. Stage 2 required data augmentation because the available dataset was insufficient to train the model. Stage 3 used the ResNet-50 model for the model training. Stage 4 used the ResNet-101 model for the training and to check for the presence of COVID-19 in the X-ray images. Finally, a deep residual network was used to detect COVID-19. The proposed model obtained an accuracy of 93.01%, which proved the proposed method’s performance. There were two limitations. They first redesigned the network to increase the sensitivity or actual positive rate for COVID-19 detection. Second, the limited number of COVID-19 images made it difficult to train the network.
Lung disease is now a common disease affecting all age groups worldwide. COVID-19 has become a common cause of the increase in lung disease. In recognition of the impact of COVID-19, the World Health Organization declared it a pandemic disease. COVID-19 affects the respiratory system, which can be seen using any imaging modality. The technique in [13] focused on detecting COVID-19 using a transfer learning approach from deep learning. There were three phases in this detection process. Phase-1 used stationery wavelets with the data from the whole CT scan images applied for augmentation. Phase-2 used pre-trained CNN models to detect COVID-19. Phase-3, the last phase, localized abnormalities in CT scans using pre-trained models such as Squeeze Net, ResNet50, ReNet18, and ResNet101. This model classified only chest CT scans into the COVID-19 and non-COVID-19 classes. Abnormalities due to COVID-19 were localized in the chest CT scans used in this model. The developed model helped identify signature COVID-19 characteristics in lung CT scans. The proposed method needed to be investigated using the patients’ COVID-19 positive CT scans.
Various technologies are used to control COVID-19 globally. The tactile edge [14] has focused on 5G and has revealed multiple approaches. COVID-19 can be managed using edge technology through 5G wireless technology. Classical deep learning models face training problems that require a large amount of data to validate the findings. The proposed model suggests using the B5G framework, which uses CT scans and X-ray images to detect COVID-19. Edge technology also supports the mass surveillance system, which monitors mask-wearing, social distancing, and the temperature of the human body. The proposed framework used three deep learning models named ResNet50, Inception V3, and Deep Tree to find COVID-19 in the CT scans and X-ray images.
Chest X-ray images are already used for the analysis of chest disease. The detection of COVID-19 is still a challenging task. The authors in [15] proposed a technique based on deep learning models using chest X-ray images. The proposed model used deep feature extraction, end-to-end training for CNN, and the pre-trained models ResNet101, VGG19, ResNet50, ResNet18, and VGG16. A support vector machine (SVM) was used to classify the normal (healthy) and COVID-19 images. The experiments revealed that the proposed model with deep learning techniques performed well, and this model could be used for clinical usage. An approach was presented in [15] to efficiently and accurately detect and predict COVID-19. Various techniques such as deep learning and big data analytics are proposed, which provide optimum solutions to detect and predict coronavirus worldwide. Big data were used to trace contacts to identify people with the disease. Various techniques are suggested such as deep learning-based solutions using CNN, recurrent neural network (RNN), and other models.
Dinh et al. [16] proposed a technique to combat COVID-19 using blockchain with artificial intelligence (AI) techniques. The problem is that many people are suffering from COVID-19, and due to the overwhelming situation in hospitals and clinics, there is a lack of testing kits and vaccines worldwide. There is a lack of preliminary analysis techniques, a lack of state-of-the-art datasets, and a lack of accuracy in detecting affected areas in medical images. This study proposed a method to address these problems using blockchain and AI techniques. This survey guided choosing deep learning models with a decentralized data repository. This case study also provides a solution using federated AI for the COVID-19 detection technique.
The research reported in this paper contributes to this field by proposing a model for the preliminary diagnosis, detection, and segmentation of COVID-19 from the CT scans and chest X-ray images. This study focused on the binary classification (COVID-19 and normal) and multiclass classification (COVID-19, normal, and pneumonia) of CT scans and X-ray images.

3. Proposed Methodology

The proposed approach contains four significant steps: data acquisition, data preprocessing, model training, and classification (binary, multiclass), and finally, a discussion about the evaluation of the proposed model. Figure 1 shows the steps involved in the proposed methodology.
Step 1 is discussed in detail for the acquisition of the dataset, and it was the choice to choose the open-source dataset. The open-source dataset was stored in the central repository to use the given data in the model training. The proposed model was based on the deep learning approach, so it collected a large volume dataset for the best model training. Step 2 discussed the necessary steps of data pre-processing. Because the raw data could not be used for the model training directly as each model accepted the defined data type, the dataset collected was insufficient in the deep learning model training, so an augmentation technique was applied to increase data volume. Step 3 is elaborated for the model training in which the proposed model used 70% of data for the training purpose, whereas different deep learning algorithms were used for the model training. Step 4 discussed the model evaluation, whereas various measures were used to test the model’s performance. The details of each step are discussed below, where every point is highlighted in the proposed model.

3.1. Data Acquisition

This research study used an open-source dataset of X-ray and CT scan images [17]. This dataset contains COVID-19 patient data, pneumonia patient data (caused by other diseases like MERS, SARS, and ARDS), and normal function data. These data were obtained by clinical experiments and from various hospitals [18]. Figure 2 illustrates the sample images from the dataset.

3.2. Data Pre-Processing

A few pre-processing steps were applied to the images in the whole dataset. All images were scaled to the same size and dimension to satisfy a requirement of the training and testing processes. Unnecessary images such as outliers were removed from the data processing. The whole dataset was managed to balance and prepare for training purposes. A few pre-processed images ready for passing to the model for training are shown in Figure 3.
Pre-processing also applies feature engineering techniques. Image augmentation techniques expand an image dataset to make it large enough to effectively train deep learning models. After using image augmentation, features are extracted from the images to enable the deep learning model to classify an image automatically.

3.3. Model Training and Classification

The model trained in this study used a CNN and Darknet. The trained CNN model was used to classify between the COVID and No-Finding classes. The Darknet model was also used for binary classification for the CNN model. In addition, the Darknet model was trained to check for other classes present in the dataset (i.e., classifying COVID vs. no-findings vs. pneumonia (multi-class classification)). Features of the Darknet architecture were updated during the development of our dataset. Deep learning techniques play a significant role in the health care field for diagnosing various diseases. They have been proven to facilitate, in multiple ways, the solution of problems in the health care field, as mentioned in the literature review section. Deep learning algorithms such as CNN, RNN, ResNet, and SqueezeNet have mostly been used for detection and classification purposes. Our proposed model is based on CNN and Darknet architectures. The following sections provide additional details on these techniques.

3.3.1. CNN Algorithm Architecture

CNN is a deep learning algorithm. It takes images as input and assigns weights (importance) in various aspects, allowing it to distinguish between different images. Figure 4 [19] shows the detailed architecture of the CNN. The CNN performs two operations in the feature engineering process. First, it performs convolution and pooling. This process keeps running until the actual output or the last layer in the model is achieved. After this, the whole feature vector is flattened and passed to the fully connected layer, which decides the output. Finally, classification is performed between the classes using the SoftMax function.

3.3.2. Darknet Algorithm Architecture

Darknet is a deep learning algorithm mainly used to detect objects from images in a dataset. It can compute data using a graphics processing unit (GPU) or a tensor processing unit (TPU). This algorithm was used in our model to detect COVID-19 from the image dataset. It performs better than other detection algorithms because it is particularly designed for object detection. Darknet has multiple applications used for object detection such as YOLO (You Only Look Once). It performs by automatically extracting features and then performing classification to classify between the classes.

3.4. Evaluation Measures

The proposed model was evaluated using an open-source dataset. Evaluation measures such as accuracy, precision, recall, and F1 were computed to check the proposed model’s consistency and performance. Accuracy is the ratio of correct predictions and the total number of predictions. Equation (1) shows the accuracy of measure calculation. These evaluation measures are described in terms of TP (True Positive), TN (True Negative), FN (False Negative), and FP (False Positive).
Accuracy = TN + TP TP + TN + FP + FN
Precision is the ratio of true positive with total positive (true and false) responses. The calculation of precision is shown in Equation (2).
Precision = TP TP + FP .
Recall is the ratio of true positive with true positive and false negative responses. The calculation of recall is shown in Equation (3).
Recall = TP TP + FN .
Equation (4) provides the calculation of the F1-Measure values. F1-Measure is the evaluation measure used to check the model’s performance on the given dataset. Normally, it is used for the binary classification problem, which calculates the model’s performance in terms of accuracy.
F 1 Measure = ( 2 Precision Recall ) / ( Precision + Recall ) .
There are other evaluation measures, but the measures proposed above are key because they cover all possible situations for the proposed model. The evaluated model results are discussed in the following section.

4. Results and Discussion

The model was tested using unlabeled images that are classified between normal, COVID-19, and other diseases. Ultimately, our proposed model was evaluated using standard measures such as accuracy against both deep learning algorithms. Accuracy and execution time provide key insights about the proposed model. The proposed model uses CNN and Darknet algorithms since deep learning techniques have shown high efficiency in diagnosing COVID-19. The statistical and visual results were obtained separately for these algorithms, as discussed in detail below. As discussed in the literature review, various studies have used deep learning algorithms for model training and testing. In this research study, we proposed the CNN and Darknet algorithms, which can detect minor features that are anticipated to be a good approach.

4.1. Results Using CNN Algorithm

The CNN algorithm is trained from the given dataset using parameters that provide better results than the default parameter set. For example, 100 epochs provide better results. As a result, the proposed model using the CNN algorithm performed well, producing a 98% accuracy with a loss value of only 0.04. This proved our model performance. Visualized results from the CNN algorithm for classifying between the COVID and normal class are shown in Figure 5, in which (a) represents COVID-19 predicted, (b) represents COVID-19 predicted, and (c) predicted as a normal image. The statistical values for the model evaluation are shown in Table 1.
The graphical representation using the CNN algorithm depicts the accuracy of the proposed model using the open-source dataset. The accuracy and loss values from training and testing the model are shown in Table 1. Both values prove the efficiency of the proposed model in diagnosing COVID-19, providing very accurate information about the disease. Similarly, it provided very accurate results to classify COVID-19 and normal images for the dataset.

4.2. Results Using Darknet Algorithm

Darknet was also used as another deep learning algorithm with updated features to diagnose and detect COVID-19 and other diseases. The same dataset was used for binary classification between COVID-19 and non-outcome. Likewise, the dataset was used to detect COVID-19, no-findings, and pneumonia as a multi-class classifier. The statistical results for the binary and multiclass classification are shown in Table 2.
Figure 6 below shows a summary of the results calculated against the data and the “epochs” parameter.
Deep learning algorithms require these parameters to calculate the value loss during the model training to use the training dataset. It checks how the model best fits the training data, and these values may be positive or negative. At the same time, valid loss calculates the valid loss values or the model best fit for the validation data as an epoch is the one or more batches executed.
Figure 7 shows the accuracy and loss values. Five parameters are shown in the summary table: epoch, train loss, valid loss, accuracy, and time. This shows our model validation. Loss values represent how accurately the model is working. A practical model has a minor loss value and ahigh accuracy value. Our model achieved this, which proves its efficiency.

4.3. Comparison with State-of-the-Art Methods

The comparison between the proposed model and state-of-the-art methods is shown in Table 3. This comparison shows that the accuracy of our proposed model was better than the given state-of-the-art techniques.
Table 4 compares the dataset type, the number of cases used, architecture, and accuracy values. by comparing our proposed model with the state-of-the-art methods. All studies have used deep learning techniques on chest X-ray and CT scan images. It can be noticed that the proposed model performed outstandingly compared with the state-of-the-art models

4.4. Discussion

The proposed model has various aspects that prove that it provides the best results compared to the other techniques. The main points are mentioned below:
  • The proposed model determined that CT scans were better for analyzing COVID-19, which to our knowledge, has not been proven by the techniques found in the literature review. This may be because the CT scans give more resolution to the images.
  • As other techniques did, the proposed model identified two classes to classify between normal and COVID-19. This study identified another type from the same open-source data as pneumonia. Our model performed binary as well as multiclass classification.
  • CNN and Darknet deep learning algorithms were used to detect COVID-19 as they are popularly used to detect and segment images. Darknet was used for object detection from images and is based on the YOLO (You Only Look Once) concept, a real-time object detection system.
  • CNN outperformed when compared with the Darknet algorithm shown in Table 4. It uses a more precise architecture, and the features calculated obtain more accurate values. On the other hand, the Darknet algorithm can be used for real-time data, and is the best approach to target the current COVID-19 situation.
  • During the training phase, the maximum data used to train the model using both algorithms provided good results. Furthermore, maximum epochs were used in the CNN algorithm to obtain the optimum accuracy value from the training data.
  • Due to the presence of a large amount of data, blockchain decentralizes the data, which achieves data transparency for all users of the models. It also promotes the concept of DataOps in a collaborative and intelligent process among all system users. These points are not discussed in the previous work, which illustrates this work’s originality.

5. Conclusions and Future Work

This research proposed a smart, collaborative health care system to detect and analyze COVID-19 as a case study. Compared with state-of-the-art approaches, the proposed model employed big data and AI techniques to outperform the binary and multi-class classification. COVID-19 was accurately diagnosed using CNN and Darknet deep learning algorithms with excellent accuracy values, which showed the model’s performance. An open-source dataset was used to evaluate the model’s accuracy. We identified that the CT scan images were more efficient than other modalities and that the results showed 98% accuracy. This model can be used for clinical use after experimenting with more images, and it will replace other tools used for COVID-19 diagnosis. In future work, more can be done to source a larger dataset, apply various prediction algorithms, and train the model using more updated parameters. Furthermore, the Internet of Things and blockchain will be integrated as a concrete architecture to fulfil the complete requirements of the system.

Author Contributions

Conceptualization, W.A.S.; Data curation, W.A.S. and J.A.; Formal analysis, W.A.S.; Funding acquisition, W.A.S., J.A., K.A., S.M.A., N.J. and S.A.; Investigation, W.A.S., R.M. and S.M.A.; Methodology, W.A.S., J.A. and S.M.A.; Project administration, W.A.S., J.A., R.M., K.A., S.M.A., N.J. and S.A.; Resources, W.A.S., J.A., K.A., S.M.A. and S.A.; Software, W.A.S. and S.M.A.; Supervision, W.A.S., J.A., R.M. and S.M.A.; Validation, W.A.S., R.M. and S.M.A.; Writing—original draft, W.A.S., J.A. and S.M.A.; Writing—review & editing, N.J. and S.A. All authors have read and agreed to the published version of the manuscript.

Funding

This research received no external funding.

Institutional Review Board Statement

Not applicable.

Informed Consent Statement

Not applicable.

Data Availability Statement

Not applicable.

Acknowledgments

The author would like to thank the Deanship of Scientific Research at Shaqra University for supporting this work.

Conflicts of Interest

The authors declare no conflict of interest.

References

  1. He, F.; Yu, D.; Li, W. Coronavirus disease 2019: What we know? J. Med. Virol. 2020, 92, 719–725. [Google Scholar] [CrossRef]
  2. Perlman, S. Another decade, another coronavirus. N. Engl. J. Med. 2020, 382, 760–762. [Google Scholar] [CrossRef]
  3. Kumar, R.; Khan, A.A.; Kumar, J.; Golilarz, N.A.; Zhang, S.; Ting, Y.; Zheng, C.; Wang, W. Blockchain-federated-learning and deep learning models for COVID-19 detection using ct imaging. IEEE Sens. J. 2021, 21, 16301–16314. [Google Scholar] [CrossRef] [PubMed]
  4. Ciotti, M.; Ciccozzi, M.; Terrinoni, A.; Jiang, W.C.; Wang, C.B.; Bernardini, S. The COVID-19 pandemic. Crit. Rev. Clin. Lab. Sci. 2020, 57, 365–388. [Google Scholar] [CrossRef]
  5. Hussain, A.A.; Bouachir, O.; Al-Turjman, F.; Aloqaily, M. AI techniques for COVID-19. IEEE Access 2020, 8, 128776–128795. [Google Scholar] [CrossRef] [PubMed]
  6. Ulhaq, A.; Born, J.; Khan, A.; Gomes, D.P.S.; Chakraborty, S.; Paul, M. COVID-19 control by computer vision approaches: A survey. IEEE Access 2020, 8, 179437–179456. [Google Scholar] [CrossRef]
  7. Alsunaidi, S.J.; Almuhaideb, A.M.; Ibrahim, N.M.; Shaikh, F.S.; Alqudaihi, K.S.; Alhaidari, F.A.; Khan, I.U.; Aslam, N.; Alshahrani, M.S. Applications of big data analytics to control COVID-19 pandemic. Sensors 2021, 21, 2282. [Google Scholar] [CrossRef] [PubMed]
  8. Ismael, A.M.; Şengür, A. Deep learning approaches for COVID-19 detection based on chest X-ray images. Expert Syst. Appl. 2021, 164, 114054. [Google Scholar] [CrossRef]
  9. Nayak, S.R.; Nayak, D.R.; Sinha, U.; Arora, V.; Pachori, R.B. Application of deep learning techniques for detection of COVID-19 cases using chest X-ray images: A comprehensive study. Biomed. Signal Process. Control 2021, 64, 102365. [Google Scholar] [CrossRef]
  10. Roy, S.; Baranwal, A. Diverse Molecular Techniques for Early Diagnosis of COVID-19 and Other Coronaviruses. In Diagnostic Strategies for COVID-19 and Other Coronaviruses; Springer: Singapore, Singapore, 2020; pp. 135–159. [Google Scholar]
  11. Shah, F.M.; Joy, S.K.S.; Ahmed, F.; Hossain, T.; Humaira, M.; Ami, A.S.; Paul, S.; Jim, M.A.R.K.; Ahmed, S. A comprehensive survey of covid-19 detection using medical images. SN Comput. Sci. 2021, 2, 1–22. [Google Scholar] [CrossRef]
  12. Jain, G.; Mittal, D.; Thakur, D.; Mittal, M.K. A deep learning approach to detect Covid-19 coronavirus with X-ray images. Biocybern. Biomed. Eng. 2020, 40, 1391–1405. [Google Scholar] [CrossRef]
  13. Ahuja, S.; Panigrahi, B.K.; Dey, N.; Rajinikanth, V.; Gandhi, T.K. Deep transfer learning-based automated detection of COVID-19 from lung CT scan slices. Appl. Intell. 2021, 51, 571–585. [Google Scholar] [CrossRef]
  14. Hossain, M.S.; Muhammad, G.; Guizani, N. Explainable AI and mass surveillance system-based healthcare framework to combat COVID-I9 like pandemics. IEEE Netw. 2020, 34, 126–132. [Google Scholar] [CrossRef]
  15. Agbehadji, I.E.; Awuzie, B.O.; Ngowi, A.B.; Millham, R.C. Review of big data analytics, artificial intelligence and nature-inspired computing models towards accurate detection of COVID-19 pandemic cases and contact tracing. Int. J. Environ. Res. Public Health 2020, 17, 5330. [Google Scholar] [CrossRef]
  16. Nguyen, D.C.; Ding, M.; Pathirana, P.N.; Seneviratne, A. Blockchain and AI-based solutions to combat coronavirus (COVID-19)-like epidemics: A survey. IEEE Access 2021, 9, 95730–95753. [Google Scholar] [CrossRef] [PubMed]
  17. Cohen, J.P.; Morrison, P.; Dao, L.; Roth, K.; Duong, T.Q.; Ghassemi, M. COVID-19 image data collection: Prospective predictions are the future. arXiv 2020, arXiv:2006.11988. [Google Scholar]
  18. Jan, B.; Farman, H.; Khan, M.; Imran, M.; Islam, I.U.; Ahmad, A.; Ali, S.; Jeon, G. Deep learning in big data analytics: A comparative study. Comput. Electr. Eng. 2019, 75, 275–287. [Google Scholar] [CrossRef]
  19. Vaid, S.; Kalantar, R.; Bhandari, M. Deep learning COVID-19 detection bias: Accuracy through artificial intelligence. Int. Orthop. 2020, 44, 1539–1542. [Google Scholar] [CrossRef]
  20. Apostolopoulos, I.D.; Mpesiana, T.A. COVID-19: Automatic detection from X-ray images utilizing transfer learning with convolutional neural networks. Phys. Eng. Sci. Med. 2020, 43, 635–640. [Google Scholar] [CrossRef] [PubMed]
  21. Wang, L.; Lin, Z.Q.; Wong, A. COVID-net: A tailored deep convolutional neural network design for detection of COVID-19 cases from chest X-ray images. Sci. Rep. 2020, 10, 19549. [Google Scholar] [CrossRef]
  22. Sethy, P.K.; Behera, S.K. Detection of Coronavirus Disease (COVID-19) Based on Deep Features; Ram Arti Publishers: Dehradun, India, 2020. [Google Scholar]
  23. Hemdan, E.E.-D.; Shouman, M.A.; Karar, M.E. Covidx-net: A framework of deep learning classifiers to diagnose COVID-19 in X-ray images. arXiv 2020, arXiv:2003.11055. [Google Scholar]
  24. Narin, A.; Kaya, C.; Pamuk, Z. Automatic detection of coronavirus disease (COVID-19) using X-ray images and deep convolutional neural networks. Pattern Anal. Appl. 2021, 24, 1207–1220. [Google Scholar] [CrossRef] [PubMed]
  25. Song, Y.; Zheng, S.; Li, L.; Zhang, X.; Zhang, X.; Huang, Z.; Chen, J.; Wang, R.; Zhao, H.; Chong, Y.; et al. Deep learning enables accurate diagnosis of novel coronavirus (COVID-19) with CT images. IEEE/ACM Trans. Comput. Biol. Bioinform. 2021, 18, 2775–2780. [Google Scholar] [CrossRef]
  26. Wang, S.; Kang, B.; Ma, J.; Zeng, X.; Xiao, M.; Guo, J.; Cai, M.; Yang, J.; Li, Y.; Meng, X.; et al. A deep learning algorithm using CT images to screen for Corona Virus Disease (COVID-19). Eur. Radiol. 2021, 31, 6096–6104. [Google Scholar] [CrossRef]
  27. Zheng, C.; Deng, X.; Fu, Q.; Zhou, Q.; Feng, J.; Ma, H.; Liu, W.; Wang, X. Deep learning-based detection for COVID-19 from chest CT using weak label. MedRxiv 2020, 1–13. [Google Scholar] [CrossRef]
  28. Xu, X.; Jiang, X.; Ma, C.; Du, P.; Li, X.; Lv, S.; Yu, L.; Ni, Q.; Chen, Y.; Su, J.; et al. A deep learning system to screen novel coronavirus disease 2019 pneumonia. Engineering 2020, 6, 1122–1129. [Google Scholar] [CrossRef]
Figure 1. The methodology for the development and evaluation of a deep learning model.
Figure 1. The methodology for the development and evaluation of a deep learning model.
Sustainability 14 12222 g001
Figure 2. The sample images of the CT-scans and X-rays.
Figure 2. The sample images of the CT-scans and X-rays.
Sustainability 14 12222 g002
Figure 3. The pre-processed images for training.
Figure 3. The pre-processed images for training.
Sustainability 14 12222 g003
Figure 4. The CNN architecture for feature extraction and classification.
Figure 4. The CNN architecture for feature extraction and classification.
Sustainability 14 12222 g004
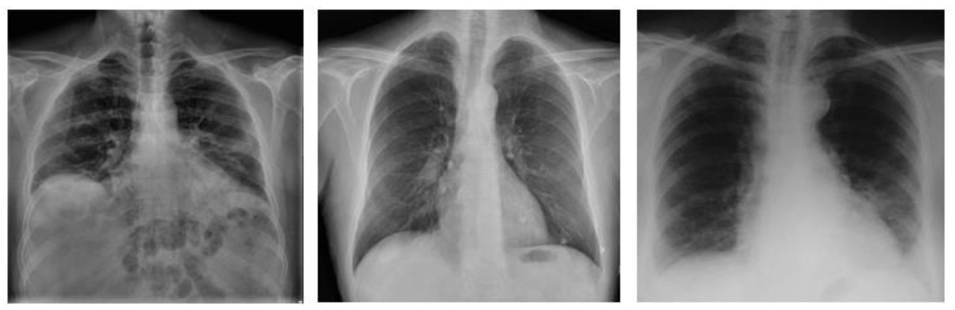
Figure 5. The visual results using the CNN algorithm represents (a) the COVID-19 predicted, (b) the COVID-19 predicted, and (c) the predicted normal.
Figure 5. The visual results using the CNN algorithm represents (a) the COVID-19 predicted, (b) the COVID-19 predicted, and (c) the predicted normal.
Sustainability 14 12222 g005
Figure 6. A graphical representation using Darknet accuracy and loss values.
Figure 6. A graphical representation using Darknet accuracy and loss values.
Sustainability 14 12222 g006
Figure 7. A summary of the Darknet metrics results.
Figure 7. A summary of the Darknet metrics results.
Sustainability 14 12222 g007
Table 1. The statistical results using the CNN algorithm.
Table 1. The statistical results using the CNN algorithm.
Algorithm NameAccuracy (%)Loss Value
Proposed model using CNN98.00%0.04
Table 2. The statistical results using the CNN algorithm.
Table 2. The statistical results using the CNN algorithm.
Algorithm NameAccuracy %PrecisionRecallF1-Score
Proposed Model using Darknet (binary class)98.08%0.980.980.98
Proposed Model using Darknet (three classes)87.02%0.890.890.89
Table 3. A comparison between the proposed model and the state-of-the-art methods.
Table 3. A comparison between the proposed model and the state-of-the-art methods.
Methodology NameAccuracy %PrecisionRecallF1-Score
SqueezeNet [20]95.2%0.9600.9500.960
ResNet101 [20]97.0%0.9700.9600.970
Transfer Learning CNN [20]96.3%0.9800.9640.973
Proposed Model (CNN, Darknet)98.08%0.9810.9800.980
Table 4. The proposed model compared with the state-of-the-art studies.
Table 4. The proposed model compared with the state-of-the-art studies.
Study NameDataset TypeCasesArchitecture NameAccuracy
(%)
Ioannis et al. [20]Chest X-ray224 COVID-19(+) 700 Pneumonia 504 HealthyVGG-1993.48
Wang and Wong [21]Chest X-ray53 COVID-19(+) 5526 COVID-19 (−) 8066 HealthyCOVID-Net92.4
Sethy and Behra [22]Chest X-ray25 COVID-19(+) 25 COVID-19 (−)ResNet50 + SVM95.38
Hemdan et al. [23]Chest X-ray25 COVID-19(+) 25 NormalCOVIDX-Net90.0
Narin et al. [24]Chest X-ray50 COVID-19(+) 50 COVID-19 (−)Deep CNN ResNet-5098.0
Song et al. [25] Chest CT777 COVID-19(+) 708 HealthyDRE-Net86.0
Wang et al. [26]Chest CT195 COVID-19(+) 258 COVID-19(−)M-Inception82.9
Zheng et al. [27]Chest CT313 COVID-19(+) 229 COVID-19(−)UNet + 3D Deep Network90.8
Xu et al. [28]Chest CT219 COVID-19(+) 224 Viral pneumonia 175 HealthyResNet + Location Attention86.7
Proposed ModelChest CT and Chest X-ray125 COVID-19(+) 500 No-FindingsArchitecture using CNN and Darknet algorithms98.08
125 COVID-19(+) 500 Pneumonia 500 No-Findings87.02
Publisher’s Note: MDPI stays neutral with regard to jurisdictional claims in published maps and institutional affiliations.

Share and Cite

MDPI and ACS Style

Al Shehri, W.; Almalki, J.; Mehmood, R.; Alsaif, K.; Alshahrani, S.M.; Jannah, N.; Alangari, S. A Novel COVID-19 Detection Technique Using Deep Learning Based Approaches. Sustainability 2022, 14, 12222. https://doi.org/10.3390/su141912222

AMA Style

Al Shehri W, Almalki J, Mehmood R, Alsaif K, Alshahrani SM, Jannah N, Alangari S. A Novel COVID-19 Detection Technique Using Deep Learning Based Approaches. Sustainability. 2022; 14(19):12222. https://doi.org/10.3390/su141912222

Chicago/Turabian Style

Al Shehri, Waleed, Jameel Almalki, Rashid Mehmood, Khalid Alsaif, Saeed M. Alshahrani, Najlaa Jannah, and Someah Alangari. 2022. "A Novel COVID-19 Detection Technique Using Deep Learning Based Approaches" Sustainability 14, no. 19: 12222. https://doi.org/10.3390/su141912222

APA Style

Al Shehri, W., Almalki, J., Mehmood, R., Alsaif, K., Alshahrani, S. M., Jannah, N., & Alangari, S. (2022). A Novel COVID-19 Detection Technique Using Deep Learning Based Approaches. Sustainability, 14(19), 12222. https://doi.org/10.3390/su141912222

Note that from the first issue of 2016, this journal uses article numbers instead of page numbers. See further details here.

Article Metrics

Back to TopTop