Renal Malacoplakia Following Obstetric Intervention: A Rare Cause of Acute Kidney Injury in a Young Woman
Abstract
1. Introduction
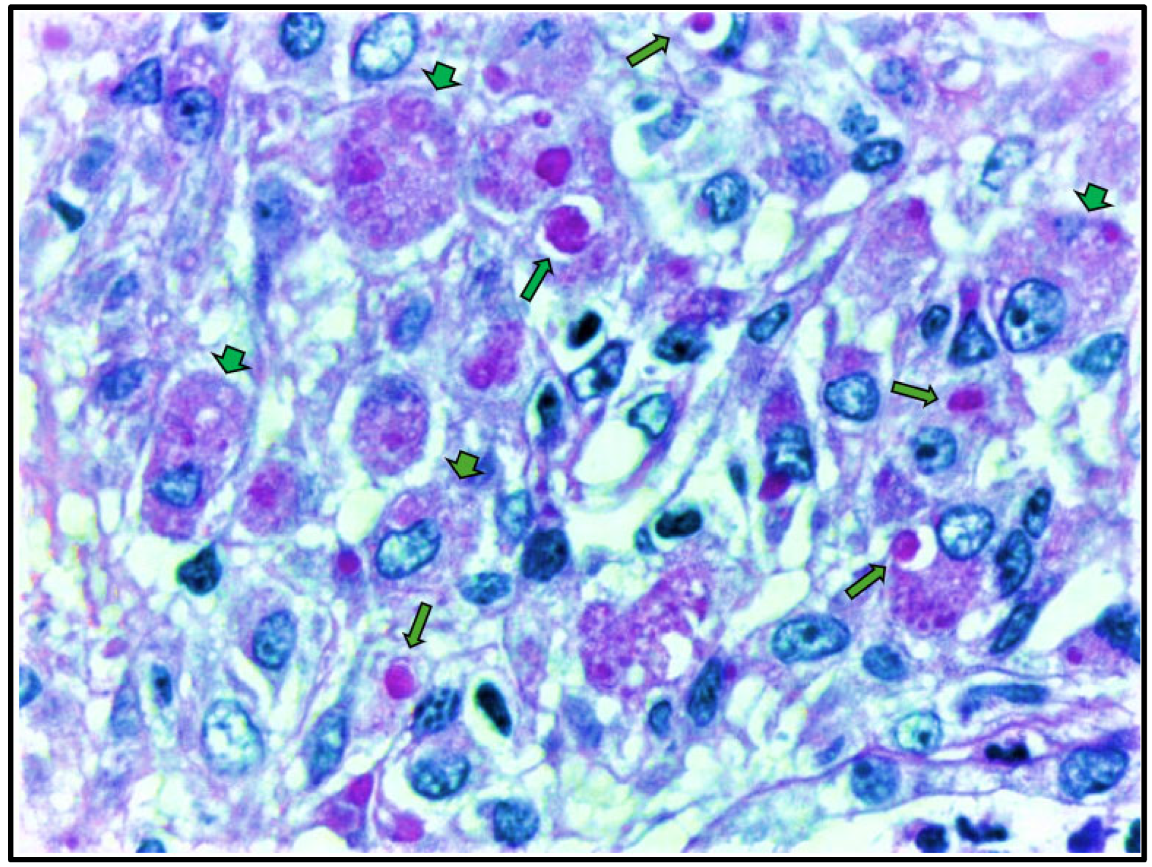
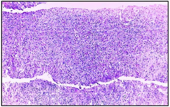
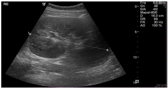
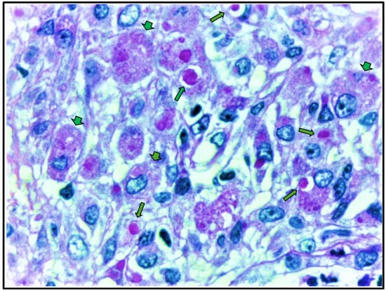
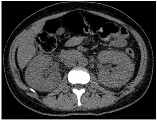
2. Case Presentation
3. Discussion
4. Conclusions
Author Contributions
Funding
Institutional Review Board Statement
Informed Consent Statement
Data Availability Statement
Conflicts of Interest
References
- Moore, P.K.; Hsu, R.K.; Liu, K.D. Management of Acute Kidney Injury: Core Curriculum 2018. Am. J. Kidney Dis. 2018, 72, 136–148. [Google Scholar] [CrossRef]
 - Jeon, D.-H.; Jang, H.N.; Cho, H.S.; Lee, T.W.; Bae, E.; Chang, S.-H. Incidence, risk factors, and clinical outcomes of acute kidney injury associated with acute pyelonephritis in patients attending a tertiary care referral center. Ren. Fail. 2019, 41, 204–210. [Google Scholar] [CrossRef] [PubMed]
 - Fogo, A.B.; Lusco, M.A.; Najafian, B.; Alpers, C.E. AJKD Atlas of Renal Pathology: Acute Pyelonephritis. Am. J. Kidney Dis. 2016, 68, E21–E22. [Google Scholar] [CrossRef] [PubMed][Green Version]
 - Fogo, A.B.; Lusco, M.A.; Najafian, B.; Alpers, C.E. AJKD Atlas of Renal Pathology: Chronic Pyelonephritis. Am. J. Kidney Dis. 2016, 68, E23–E25. [Google Scholar] [CrossRef][Green Version]
 - Stanton, M.J.; Maxted, W. Malacoplakia: A Study of the Literature and Current Concepts of Pathogenesis, Diagnosis, and Treatment. J. Urol. 1981, 125, 139–146. [Google Scholar] [CrossRef] [PubMed]
 - Lusco, M.A.; Fogo, A.B.; Njafian, B.; Alpers, C.E. AJKD Atlas of Renal Pathology: Malakoplakia. Am. J. Kidney Dis. 2016, 68, e27–e28. [Google Scholar] [CrossRef]
 - van der Voort, H.J.; ten Velden, J.A.; Wassenaar, R.P.; Silberbusch, J. Malacoplakia. Two case reports and a comparison of treatment modalities based on a literature review. Arch. Intern. Med. 1996, 56, 577–583. [Google Scholar] [CrossRef]
 - Long, J.P., Jr.; Althausen, A.F. Malacoplakia: A 25-year experience with a review of the literature. J. Urol. 1989, 141, 1328–1331. [Google Scholar] [CrossRef]
 - van Crevel, R.; Curfs, J.; van der Ven, A.J.; Assmann, K.; Meis, J.F.; van der Meer, J.W. Functional and morphological monocyte abnormalities in a patient with malakoplakia. Am. J. Med. 1998, 105, 74–77. [Google Scholar] [CrossRef]
 - Polisini, G.; Fave, R.C.D.; Capretti, C.; Marronaro, A.; Costa, A.M.; Quaresima, L.; Mazzaferro, D.; Galosi, A.B. Malakoplakia of the urinary tract bladder: A review of the literature. Arch. Ital. Urol. Androl. 2022, 94, 350–354. [Google Scholar] [CrossRef]
 - Taber-Hight, E.; Shah. Acute kidney injury in pregnancy. Adv. Chronic Kidney Dis. 2020, 27, 455–460. [Google Scholar] [CrossRef]
 - Szczepanski, J.; Griffin, A.; Novotny, S.; Wallace, K. Acute Kidney Injury in Pregnancies Complicated with Preeclampsia or HELLP Syndrome. Front. Med. 2020, 7, 22. [Google Scholar] [CrossRef]
 - Huang, C.; Chen, S. Acute kidney injury during pregnancy and puerperium: A retrospective study in a single center. BMC Nephrol. 2017, 18, 146. [Google Scholar] [CrossRef]
 - Mir, M.M.; Najar, M.S.; Chaudary, A.M.; Azad, H.; Reshi, A.R.; Banday, K.A.; Bhat, M.A.; Wani, I.A.; Wani, M.M.; Ursilla, M. Postpartum Acute Kidney Injury: Experience of a Tertiary Care Center. Indian J. Nephrol. 2017, 27, 181–184. [Google Scholar] [CrossRef]
 - Coles, H.; Steer, P.; Hughes, P.; Cauldwell, M. Factors associated with acute kidney injury during delivery or the postpartum period: A case control study. Eur. J. Obstet. Gynecol. Reprod. Biol. 2021, 261, 200–204. [Google Scholar] [CrossRef]
 - Gama, R.M.; Clark, K.; Bhaduri, M.; Clery, A.; Wright, K.; Smith, P.; Martin, H.; Vincent, R.P.; Jayawardene, S.; Bramham, K. Acute kidney injury e-alerts in pregnancy: Rates, recognition and recovery. Nephrol. Dial. Transplant. 2021, 36, 1023–1030. [Google Scholar] [CrossRef]
 - Arfeen, N.; Sinha, D.K.; Kishore, K. Acute kidney Injury in Postpartum patients: Risk Factors and Outcome. Int. J. Acad. Med. Pharm. 2024, 6, 1266–1270. [Google Scholar]
 - Shu, H.; Nie, F. Clinical characteristics and prognosis of postpartum acute kidney injury. J. Int. Med. Res. 2021, 49, 0300060520988388. [Google Scholar] [CrossRef] [PubMed]
 - Augusto, J.-F.; Sayegh, J.; Croue, A.; Subra, J.-F.; Onno, C. Renal transplant malacoplakia: Case report and review of the literature. NDT Plus 2008, 1, 340–343. [Google Scholar] [PubMed]
 - Lee, M.; Ko, H.M.; Rubino, A.; Lee, H.; Gill, R.; Lagana, S.M. Malacoplakia of the gastrointestinal tract: Clinicopathological analysis of 23 cases. Diagn. Pathol. 2020, 15, 97. [Google Scholar] [CrossRef] [PubMed]
 - Tam, V.K.K.; Kung, W.H.; Li, R.; Chan, K.W. Renal parenchymal malacoplakia: A rare cause of ARF with a review of recent literature. Am. J. Kidney Dis. 2003, 41, E13–E17. [Google Scholar] [CrossRef]
 - Sheerin, N.S.; Bhatacharia, K.F.; Webb, M.C. Positron emission tomography in a patient with renal malacoplakia. Am. J. Kidney Dis. 2003, 42, e17.1–e17.4. [Google Scholar] [CrossRef]
 - Kajbafzadeh, A.; Baharnoori, M. Renal malakoplakia simulating neoplasm in a child: Successful medical management. Urol. J. 2004, 1, 218–220. [Google Scholar]
 - Wielenberg, A.J.; Demos, T.C.; Rangachari, B.; Turk, T. Malakoplakia presenting as a solitary renal mass. AJR Am. J. Roentgenol. 2004, 183, 1703–1705. [Google Scholar] [CrossRef]
 - Cury, J.; Coelho, R.F.; Franco, M.; Srougi, M. Renal parenchymal malakoplakia with pleural effusion. Clinics 2007, 62, 87–88. [Google Scholar] [CrossRef][Green Version]
 - Richter, L.A.; Isaacson, M.; Verghese, M.; Krishnan, J. Bilateral renal malakoplakia with acute renal failure: A case report and literature review. Can. J. Urol. 2011, 18, 5911–5913. [Google Scholar]
 - Purnell, S.D.K.; Davis, B.; Burch-Smith, R.; Coleman, P. Renal malakoplakia mimicking a malignant renal carcinoma: A patient case with literature review. BMJ Case Rep. 2015, 2015, bcr2014208652. [Google Scholar] [CrossRef] [PubMed]
 - Kinsella, P.M.; Smibert, O.C.; Whitlam, J.B.; Steven, M.; Masia, R.; Gandhi, R.G.; Kotton, C.N.; Holmes, N.E. Successful use of azithromycin for Escherichia coli–associated renal allograft malakoplakia: A report of two cases. Eur. J. Clin. Microbiol. Infect. Dis. 2021, 40, 2627–2631. [Google Scholar] [CrossRef] [PubMed]
 - Grunhut, J.; Oroz, R.; Brown, S. Nazarian-Rostami, R. Renal malakoplakia with invasion of the liver and diaphragm: A patient case and literature review. BMJ Case Rep. 2022, 15, e251254. [Google Scholar] [CrossRef]
 - Triozzi, J.L.; Rodriguez, J.V.; Velagapudi, R.; Fallahzadeh, M.K.; Binari, L.A.; Paueksakon, P.; Fogo, A.B.; Concepcion, B.P. Malakoplakia of the Kidney Transplant. Kidney Int. Rep. 2022, 8, 680–684. [Google Scholar] [CrossRef] [PubMed]
 - Haq, K.; Ghaly, M.; Pelland, K.T.; Dogbe, P. Malakoplakia presenting with urinary tract infection, acute kidney injury, and bilateral renal enlargement in an immunocompetent patient. J. Nephrol. 2023, 36, 2641–2643. [Google Scholar] [CrossRef]
 - Vishwajeet, V.; Nalwa, A.; Jangid, M.K.; Choudhary, G.R.; Khera, P.; Bajpai, N.; Elhence, P.A. Renal Allograft Malakoplakia Presenting as a Pseudotumoral Lesion. Saudi J. Kidney Dis. Transpl. 2023, 34, 371–377. [Google Scholar] [CrossRef] [PubMed]
 - Rustom, D.S.; Wall, B.M.; Talwar, M. Malakoplakia in kidney transplant causing severe hydronephrosis and successful treatment with antibiotics and lowering immunosuppression. Transpl. Infect. Dis. 2023, 25, e14158. [Google Scholar] [CrossRef]
 - Bagnasco, S.; Gautam, S.C. Renal Malakoplakia. N. Engl. J. Med. 2024, 390, 746. [Google Scholar] [CrossRef]
 - Daghdagh, Y.; Razzouki, I.; Moataz, A.; Bennani, N.; Dakir, M.; Debbagh, A.; Aboutaieb, R. A case of extremely rare pathology: Renal malakoplakia. Urol. Case Rep. 2024, 54, 102737. [Google Scholar] [CrossRef]
 - Fatola, A.; Johnson, B.C.; Walsh, L.; Fang, D.; White, M.J.; Le, D.; Atta, M.G.; Sperati, C.J.; Hager, D.N. A very complicated UTI: Malakoplakia following E. coli urinary tract infection. BMC Nephrol. 2024, 25, 200. [Google Scholar] [CrossRef] [PubMed]
 - Abbasi, A.B.; Gamino, G.; Zambeli-Ljepović, A.; Whelan, A.M.; Roll, G.R.; Altshuler, P.J. Malakoplakia among kidney transplant recipients: Case series and literature review. Front. Immunol. 2025, 16, 1605146. [Google Scholar] [CrossRef]
 - Dalton, E.; Castillo, E. Post partum infections: A review for the non-OBGYN. Obstet. Med. 2014, 7, 98–102. [Google Scholar] [CrossRef] [PubMed]
 - Zhang, S.; Ananth, D.; Haselton, L.; Byrnes, J. Effects of Routine Catheterization on Urinary Tract Infection Rates After Minor Gynecologic Surgeries. Obstet. Gynecol. 2025, 145, 15–16. [Google Scholar] [CrossRef]
 - Rangel, E.B. Delving into the complexities of the interplay between acute kidney injury and diabetic kidney disease: A focus on glycemic control and outcomes. J. Bras. Nefrol. 2025, 47, e20240074. [Google Scholar] [CrossRef]
 - Schneeberger, C.; Erwich, J.J.H.M.; van den Heuvel, E.R.; Mol, B.W.J.; Ott, A.; Geerlings, S.E. Asymptomatic bacteriuria and urinary tract infection in pregnant women with and without diabetes: Cohort study. Eur. J. Obstet. Gynecol. Reprod. Biol. 2018, 222, 176–181. [Google Scholar] [CrossRef]
 - Yefet, E.; Bejerano, A.; Iskander, R.; Kimhi, T.Z.; Nachum, Z. The Association between Gestational Diabetes Mellitus and Infections in Pregnancy-Systematic Review and Meta-Analysis. Microorganisms 2023, 11, 1956. [Google Scholar] [CrossRef] [PubMed]
 - Albitar, S.; Genin, R.; Fen-Chong, M.; Schohn, D.; Riviere, J.P.; Serveaux, M.O.; Chuet, C. The febrile patient presenting with acute renal failure and enlarged kidneys-another mode of presentation of malakoplakia. Nephrol. Dial. Transplant. 1997, 12, 1724–1726. [Google Scholar] [CrossRef] [PubMed]
 - Mitchell, M.A.; Markovitz, D.M.; Killen, P.D.; Braun, D.K. Bilateral renal parenchymal malacoplakia presenting as fever of unknown origin: Case repost and review. Clin. Infect. Dis. 1994, 18, 704–718. [Google Scholar] [CrossRef] [PubMed]
 - Huynh, A.D.; Sweet, D.E.; Feldman, M.K.; Remer, E.M. Imaging of renal emergencies: Review of infectious, hemorrhagic, vascular, and traumatic etiologies. Br. J. Radiol. 2022, 95, 20211151. [Google Scholar] [CrossRef] [PubMed]
 - Lima, N.A.; Vasconcelos, C.C.; Filgueira, P.H.; Kretzmann, M.; Sindeaux, T.A.; Feitosa Neto, B.; Silva Junior, G.B.; Daher, E.F. Review of genitourinary tuberculosis with focus on end-stage renal disease. Rev. Inst. Med. Trop. Sao Paulo 2012, 54, 57–60. [Google Scholar] [CrossRef][Green Version]
 - Goldman, S.M.; Hartman, D.S.; Fishman, E.K.; Finizio, J.P.; Gatewood, O.M.; Siegelman, S.S. CT of xanthogranulomatous pyelonephritis: Radiologic-pathologic correlation. AJR Am. J. Roentgenol. 1984, 142, 963–969. [Google Scholar] [CrossRef]
 - Urban, B.A.; Fishman, E.K. Renal lymphoma: CT patterns with emphasis on helical CT. Radiographics. 2000, 20, 197–212. [Google Scholar] [CrossRef]
 - Chen, J.; Qi, N.; Zhu, S. Metastases to the Kidney: An Analysis of 35 Cases and a Review of Literature. Front. Oncol. 2020, 10, 632221. [Google Scholar] [CrossRef]
 - Coelho, R.F.; Schneider-Monteiro, E.D.; Mesquita, J.L.B.; Mazzucchi, E.; Lucon, A.M.; Srougi, M. Renal and perinephric abscesses: Analysis of 65 consecutive cases. World J. Surg. 2007, 31, 431–436. [Google Scholar] [CrossRef]
 - Witkowska, M.; Romejko-Jarosińska, J.; Giza, A.; Drozd-Sokołowska, J.; Mikulski, D.; Hałka, J.; Morawska-Krekora, A.; Paszkiewicz-Kozik, E.; Wdowiak, K.; Wołowiec, D.; et al. Primary Renal Lymphoma: Report of 32 Cases—A Retrospective Multicenter PLRG Analysis. Biomedicines 2025, 13, 548. [Google Scholar] [CrossRef] [PubMed]
 - Zornow, D.H.; Landes, R.R.; Morganstern, S.L.; Fried, F.A. Malacoplakia of the bladder: Efficacy of bethanechol chloride therapy. J. Urol. 1979, 122, 703–704. [Google Scholar] [CrossRef] [PubMed]
 - Kapasi, H.; Robertson, S.; Futter, N. Diagnosis of renal malacoplakia by fine needle aspiration cytology. A Case Report. Acta Cytol. 1998, 47, 341–344. [Google Scholar]
 




| Day 1 | Day 28 | Day 35 | Day 48 | Day 77 | Day 193 | Reference Values | |
|---|---|---|---|---|---|---|---|
| Hemoglobin (g/dL) | 8.7 | 7.8 | 9.0 | 9.5 | 13.2 | 14.1 | 12–15.5 | 
| Leukocytes (/µL) | 27,650 | 1330 | 55,800 | 9900 | 6400 | 7000 | 3500–10,500 | 
| Platelets (/mm3) | 80,000 | 572,000 | 145,000 | 212,000 | 257,000 | 192,000 | 150,000–450,000 | 
| Creatinine (mg/dL) | 4.43 | 1.81 | 1.88 | 1.61 | 1.50 | 1.46 | 0.6–1.0 | 
| eGFR (mL/min/1.73 m2) | 13.1 | 38.2 | 36.2 | 43.3 | 47.2 | 49 | >90 | 
| Urea (mg/dL) | 134 | 46 | 32 | 42 | 42 | 41 | 10–45 | 
| Potassium (mEq/L) | 3.5 | 4.7 | 3.5 | 3.2 | 3.1 | 3.3 | 3.6–5.0 | 
| Sodium (mEq/L) | 131 | 135 | 136 | 135 | 136 | 136 | 135–145 | 
| Glucose (mg/dL) | 118 | 80 | 90 | 70–99 | |||
| pH | 7.38 | 7.31 | 7.34 | 7.38 | 7.38 | 7.33–7.43 | |
| Bicarbonate (mmol/L) | 16.8 | 21.1 | 29.1 | 26 | 26 | 23–27 | |
| C-reactive protein (mg/dL) | 428 | 67 | 11.5 | 8.1 | 1.71 | <1.0 | |
| Urine (Protein in g/dL; Leukocytes and Erythrocytes *: per mL or per field)  | Protein: >0.5 L: >1 × 106/mL; E: 299 × 103/mL  | Protein: 0.75 L: 23 × 103/mL; E: 6 × 101/mL  | Protein: 1.09 L: 80; E: 40  | Protein: 0.60 L: 60; E: 50  | Protein: <0.15 L and E: <10.000/mL or L: 10; E: 10 (per field)  | ||
| Urinary albumin-to-creatinine ratio (mg/g) 24-h Proteinuria (g)  | 2.17 | 2220 (day 12) | 466 1.39  | 247 0.68  | <30 <0.15  | ||
| Ultrasound (kidney size, in cm)  | RK = 12.4 LK = 13.3 | RK = 15.8 LK = 16 (day 25) + kidney biopsy (day 27)  | |||||
| Antibiotic Ceftriaxone Ciprofloxacin  | + (D1 to 24) | + (D25) | + | + | + (D65) | 
| Number of Patients | Age | Gender | Bacteria Identified | Antibiotic Treatment | Surgery | Outcome | Type of Article | Reference | 
|---|---|---|---|---|---|---|---|---|
| 26 | 4 wks to 82 yrs | Female (n = 20, 77%) Male (n = 4, 15.4%) not specified (n = 2)  | E. coli (n = 20, 77%) Not identified (n = 5) Lactose-fermenting bacilli (n = 1)  | Ciprofloxacin,  Norfloxacin or Levofloxacin (n = 11, 42.3%) TMP-SMZ (n = 6; 23.1%) Cephalosporin (n = 2, 7.7%), Rifampin (n = 2), Ceftizoxime, Gentamicin, Ceftriaxone, Cefuroxime (n = 1, each), not specified (n = 2)  | Yes  (n = 6, 23.1%)  | Survival (n = 24, 92.3%), death (n = 2, 7.7%), HD  requirement at 12 m (n = 3, 11.5%), Creatinine: 2.33 ± 1.52 mg/dL (median = 2.0 mg/dL)  | Case report  and systematic review  | Tam et al.,  2003 [21]  | 
| 1 | 56 yrs | Female | Not identified | TMP-SMZ | No | Survival; creatinine 3.15 mg/dL | Case report | Sheerin NS et al.,  2003 [22]  | 
| 1 | 10 yrs | Male | Not identified | TMP-SMZ | No | Survival | Case report | Kajbafzadeh et al., 2004 [23] | 
| 1 | 37 yrs | Male | Not identified | None | Yes | Survival | Case report | Wilenberg et al., 2004 [24] | 
| 1 | 42 yrs | Female | Not identified | Ceftriaxone | Yes | Survival | Case report | Cury et al., 2007 [25]  | 
| 1 | 56 yrs | Female | E. coli | Gentamycin, levofloxacin | No | Survival, creatinine 2.54 mg/dL | Case report (kidney transplant) | Augusto et al.,  2008 [13]  | 
| 1 | 71 | Female | E. coli | Ciprofloxacin, vancomycin, aztreonam | Yes | Survival, kidney function not reported | Case report | Richter et al.,  2011 [26]  | 
| 1 | 62 yrs | Female | Not identified | Ciprofloxacin, TMP-SMZ,  piperacillin/tazobactam  | Yes | Survival, creatinine 3.4 mg/dL | Case report | Purnell et al.,  2015 [27]  | 
| 2 | 52 yrs 63 yrs  | Female Female  | E. coli E. coli  | Ciprofloxacin, azithromycin Cefepime, ceftriaxone, ciprofloxacin, azithromycin  | Yes (drainage) No  | Survival, creatinine clearance 53 mL/min and 50 mL/min  | Case reports (kidney transplant)  | Kinsella et al.,  2021 [28]  | 
| 1 | Her 50s | Female | E. coli | Yes, not reported | Yes (liver and diaphragm invasion)  | Survival, kidney function not reported | Case report | Grunhut et al.,  2022 [29]  | 
| 20 | 14–84 yrs | Female | E. coli (n = 17, 85%), Negative (n = 2), not reported (n = 1)  | Yes, not reported | Not reported | Survival, kidney failure (n = 4) | Case report and systematic review  (kidney transplant)  | Triozzi et al.,  2022 [30]  | 
| 1 | 63 yrs | Female | E. coli | Ceftriaxone, levofloxacin | No | Survival, creatinine 1.3 mg/dL | Case report | Haq et al.,  2023 [31]  | 
| 1 | 49 yrs | Female | Klebsiella pneumoniae | Yes, not reported | No | Survival, creatinine 2.5 mg/dL | Case report (kidney  transplant)  | Vishwajeet et al.,  2023 [32]  | 
| 1 | 55 yrs | Male | E. coli | Yes, Ceftriaxone, cefdinir, TMP-SMZ, levofloxacin | No | Survival, creatinine 1.5 mg/dL | Case report (kidney  transplant)  | Rustom et al.,  2023 [33]  | 
| 1 | 33 yrs | Female | Not identified | Yes, not reported | Yes | Survival, normal function | Images in Clinical Medicine | Bagnasco et al.,  2024 [34]  | 
| 1 | 53 yrs | Female | Not reported | Yes, not reported | Yes | Not reported | Case report | Daghdagh et al.,  2024 [35]  | 
| 1 | 32 yrs | Female | E. coli | Tigecycline, aztreonam, and minocycline | Yes | Survival, creatinine 1.2 mg/dL (eGFR 61 mL/min/1.73 m2) | Case report | Fatola et al.,  2024 [36]  | 
| 2 | 55 yrs 25 yrs  | Female Male  | E. coli Enterococcus  | Minocyclin Ceftriaxone and daptomycin, cefpodoxime and doxycycline  | Yes (drainage) Yes (nephrostomy)  | Survival, Creatinine 2.0 mg/dL and 2.5 mg/dL, respectively  | Case reports (kidney transplant)  | Abbasi et al.,  2025 [37]  | 
Disclaimer/Publisher’s Note: The statements, opinions and data contained in all publications are solely those of the individual author(s) and contributor(s) and not of MDPI and/or the editor(s). MDPI and/or the editor(s) disclaim responsibility for any injury to people or property resulting from any ideas, methods, instructions or products referred to in the content.  | 
© 2025 by the authors. Licensee MDPI, Basel, Switzerland. This article is an open access article distributed under the terms and conditions of the Creative Commons Attribution (CC BY) license (https://creativecommons.org/licenses/by/4.0/).
Share and Cite
Ito, L.M.; Oguma, J.M.; Miyahara, A.K.; da Veiga, M.A.S.; Favaro, L.; de Godoy, D.W.; da Silva, B.A.B.; Moura, L.A.; Durão, M.d.S.; Rangel, É.B. Renal Malacoplakia Following Obstetric Intervention: A Rare Cause of Acute Kidney Injury in a Young Woman. Clin. Pract. 2025, 15, 143. https://doi.org/10.3390/clinpract15080143
Ito LM, Oguma JM, Miyahara AK, da Veiga MAS, Favaro L, de Godoy DW, da Silva BAB, Moura LA, Durão MdS, Rangel ÉB. Renal Malacoplakia Following Obstetric Intervention: A Rare Cause of Acute Kidney Injury in a Young Woman. Clinics and Practice. 2025; 15(8):143. https://doi.org/10.3390/clinpract15080143
Chicago/Turabian StyleIto, Letícia Miyuki, Juliana Miki Oguma, André Kiyoshi Miyahara, Marco Aurélio Sales da Veiga, Leandro Favaro, David Wesley de Godoy, Bárbara Antunes Bruno da Silva, Luiz Antônio Moura, Marcelino de Souza Durão, and Érika Bevilaqua Rangel. 2025. "Renal Malacoplakia Following Obstetric Intervention: A Rare Cause of Acute Kidney Injury in a Young Woman" Clinics and Practice 15, no. 8: 143. https://doi.org/10.3390/clinpract15080143
APA StyleIto, L. M., Oguma, J. M., Miyahara, A. K., da Veiga, M. A. S., Favaro, L., de Godoy, D. W., da Silva, B. A. B., Moura, L. A., Durão, M. d. S., & Rangel, É. B. (2025). Renal Malacoplakia Following Obstetric Intervention: A Rare Cause of Acute Kidney Injury in a Young Woman. Clinics and Practice, 15(8), 143. https://doi.org/10.3390/clinpract15080143
        
