Electric Scooter Falls: The 2023–2024 Experience in the Clinical Emergency Children’s Hospital in Galați
Abstract
1. Introduction
2. 2023–2024 Epidural Hematomas Following E-Scooter Falls in the Clinical Emergency Children’s Hospital in Galați
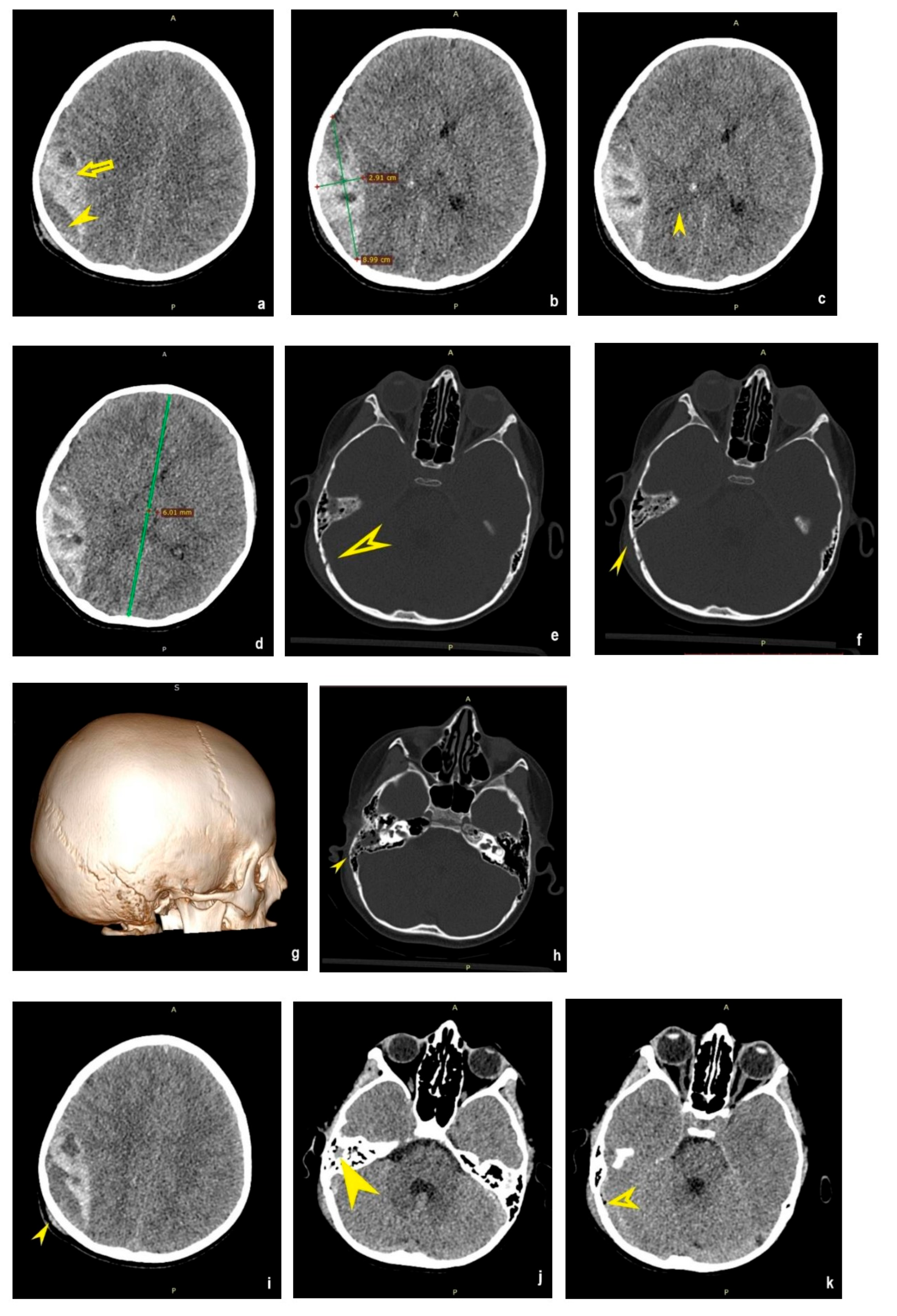
2.1. First Case Report
2.2. Second Case Report
3. Discussion
4. Conclusions
Author Contributions
Funding
Institutional Review Board Statement
Informed Consent Statement
Data Availability Statement
Conflicts of Interest
References
- Hanalioglu, S.; Hanalioglu, D.; Elbir, C.; Gulmez, A.; Sahin, O.S.; Sahin, B.; Turkoglu, M.E.; Kertmen, H.H. A Novel Decision-Support Tool (IniCT Score) for Repeat Head Computed Tomography in Pediatric Mild Traumatic Brain Injury. World Neurosurg. 2022, 165, e102–e109. [Google Scholar] [CrossRef] [PubMed]
- Call, L.; Qiu, Q.; Morris, J.; Flaherty, B.; Vavilala, M.S.; Mills, B.; Bratton, S.; Mossa-Basha, M. Characteristics of pediatric patients with traumatic epidural hematomas who can be safely observed: A clinical validation study. Br. J. Radiol. 2020, 93, 20190968. [Google Scholar] [CrossRef] [PubMed] [PubMed Central]
- Mizu, D.; Matsuoka, Y.; Huh, J.Y.; Onishi, M.; Ariyoshi, K. Head CT findings and deterioration risk in children with head injuries and Glasgow Coma Scales of 15. Am. J. Emerg. Med. 2021, 50, 399–403. [Google Scholar] [CrossRef] [PubMed]
- Zhang, F.; Huang, L.; Singichetti, B.; Li, H.; Sullivan, L.; Yang, J.G. Sex and age differences in hospitalized pediatric traumatic brain injury. Pediatr. Int. 2019, 61, 904–912. [Google Scholar] [CrossRef] [PubMed]
- Araki, T.; Yokota, H.; Morita, A. Pediatric Traumatic Brain Injury: Characteristic Features, Diagnosis, and Management. Neurol. Med. Chir. 2017, 57, 82–93. [Google Scholar] [CrossRef] [PubMed] [PubMed Central]
- Bracher, A.I.; Klingler, S.; Koba, S.; Jakob, D.A.; Exadaktylos, A.; Klukowska-Rötzler, J.; Burkhard, J.P. Trauma Characteristics Associated with E-Scooter Accidents in Switzerland-A Case Series Study. Int. J. Environ. Res. Public Health 2023, 20, 4233. [Google Scholar] [CrossRef] [PubMed] [PubMed Central]
- ITF Safer Micromobility. 28 March 2024. Available online: https://doi.org/10.1787/0d2e0dd5-en (accessed on 10 May 2024).
- Kobayashi, L.M.; Williams, E.; Brown, C.V.; Emigh, B.J.; Bansal, V.; Badiee, J.; Checchi, K.D.; Castillo, E.M.; Doucet, J. The e-merging e-pidemic of e-scooters. Trauma. Surg. Acute Care Open 2019, 4, e000337. [Google Scholar] [CrossRef] [PubMed] [PubMed Central]
- Iriondo Muruzábal, M.; González Grado, C.; Trenchs Sainz de la Maza, V.; Luaces, C. Emerging epidemic of head injuries related to electric scooter use by under-18-year-olds. Emergencias 2023, 35, 229–230. [Google Scholar] [CrossRef] [PubMed]
- Badeau, A.; Carman, C.; Newman, M.; Steenblik, J.; Carlson, M.; Madsen, T. Emergency department visits for electric scooter-related injuries after introduction of an urban rental program. Am. J. Emerg. Med. 2019, 37, 1531–1533. [Google Scholar] [CrossRef] [PubMed]
- Kim, W.C.; Campbell, A.R. Common Injury Patterns from Standing Motorized Scooter Crashes. Curr. Surg. Rep. 2021, 9, 8. [Google Scholar] [CrossRef] [PubMed] [PubMed Central]
- Riley, D.S.; Barber, M.S.; Kienle, G.S.; Aronson, J.K.; von Schoen-Angerer, T.; Tugwell, P.; Kiene, H.; Helfand, M.; Altman, D.G.; Sox, H.; et al. CARE guidelines for case reports: Explanation and elaboration document. J. Clin. Epidemiol. 2017, 89, 218–235. [Google Scholar] [CrossRef] [PubMed]
- Oge, D.D.; Arsava, E.M.; Pektezel, M.Y.; Gocmen, R.; Topcuoglu, M.A. Intracerebral hemorrhage volume estimation: Is modification of the ABC/2 formula necessary according to the hematoma shape? Clin. Neurol. Neurosurg. 2021, 207, 106779. [Google Scholar] [CrossRef] [PubMed]
- Popescu, C.M.; Marina, V.; Munteanu, A.; Popescu, F. Acute Computer Tomography Findings in Pediatric Accidental Head Trauma-Review. Pediatric Health Med. Ther. 2024, 15, 231–241. [Google Scholar] [CrossRef] [PubMed] [PubMed Central]
- Bullock, M.R.; Chesnut, R.; Ghajar, J.; Gordon, D.; Hartl, R.; Newell, D.W.; Servadei, F.; Walters, B.C.; Wilberger, J.E.; Surgical Management of Traumatic Brain Injury Author Group. Surgical management of acute epidural hematomas. Neurosurgery 2006, 58, S2-7–S2-15, discussion Si-iv. [Google Scholar] [CrossRef] [PubMed]
- Dragomir, L.; Marina, V.; Anghele, M.; Anghele, A.-D. Clinical or Imaging Diagnosis of the Current Medical Practice for Superior Vena Cava Syndrome? Diagnostics 2021, 11, 2058. [Google Scholar] [CrossRef]
- Dragomir, L.; Marina, V.; Moscu, C.A.; Anghele, M. The Patient Hides the Truth, but the Computer Tomography Examination Restores It! Diagnostics 2022, 12, 876. [Google Scholar] [CrossRef]
- Trivedi, T.K.; Liu, C.; Antonio, A.L.M.; Wheaton, N.; Kreger, V.; Yap, A.; Schriger, D.; Elmore, J.G. Injuries Associated with Standing Electric Scooter Use. JAMA Netw. Open 2019, 2, e187381. [Google Scholar] [CrossRef] [PubMed] [PubMed Central]
- Ssi Yan Kai, N.; Haworth, N.; Schramm, A. Understanding nonuse of mandatory e-scooter helmets. Traffic Inj. Prev. 2024, 25, 757–764. [Google Scholar] [CrossRef] [PubMed]
- Saulitis, A.; Kocane, E.; Dolgopolova, J.; Kalnins, R.; Auslands, K.; Rancans, K.; Valeinis, E.; Millers, A. Characteristics and Injury Patterns in Traumatic Brain Injury Related to E-Scooter Use in Riga, Latvia: Multicenter Case Series. Medicina 2024, 60, 540. [Google Scholar] [CrossRef] [PubMed] [PubMed Central]
- Morgan, C.; Morgan, R.; Dela Cruz, N.J.M.V.; Ng Man Sun, S.; Sarraf, K.M. Pediatric electric scooter injuries in the UK: Case series and review of literature. Traffic Inj. Prev. 2022, 23, 369–371. [Google Scholar] [CrossRef] [PubMed]
- Cohen, L.L.; Geller, J.S.; Yang, B.W.; Allegra, P.R.; Dodds, S.D. Pediatric injuries related to electric scooter use: A national database review. J. Pediatr. Orthop. B 2022, 31, e241–e245. [Google Scholar] [CrossRef] [PubMed]
- Schlaff, C.D.; Sack, K.D.; Elliott, R.J.; Rosner, M.K. Early Experience with Electric Scooter Injuries Requiring Neurosurgical Evaluation in District of Columbia: A Case Series. World Neurosurg. 2019, 132, 202–207. [Google Scholar] [CrossRef] [PubMed]
- Available online: https://www.euroavocatura.ro/print2.php?print2=lege&idItem=1861 (accessed on 5 July 2024).
- Hirsch, S.; Wang, T.; Mann, S. Impact of modern recreational conveyances on rates of pediatric craniofacial fractures. Laryngoscope Investig. Otolaryngol. 2024, 9, e1269. [Google Scholar] [CrossRef] [PubMed] [PubMed Central]
- Mitchell, G.; Tsao, H.; Randell, T.; Marks, J.; Mackay, P. Impact of electric scooters to a tertiary emergency department: 8-week review after implementation of a scooter share scheme. Emerg. Med. Australas. 2019, 31, 930–934. [Google Scholar] [CrossRef] [PubMed]
- Crowe, B.S.; Elkbuli, A. Electric scooter-related injuries: The desperate need for regulation. Am. J. Emerg. Med. 2021, 47, 303–304. [Google Scholar] [CrossRef] [PubMed]
- Wei, W.; Petit, Y.; Arnoux, P.J.; Bailly, N. Head-ground impact conditions and helmet performance in E-scooter falls. Accid. Anal. Prev. 2023, 181, 106935. [Google Scholar] [CrossRef] [PubMed]
- Fournier, M.; Bailly, N.; Schäuble, A.; Petit, Y. Head impact kinematics and injury risks during E-scooter collisions against a curb. Heliyon 2023, 9, e19254. [Google Scholar] [CrossRef] [PubMed] [PubMed Central]
- Cevik, J.; Read, D.; Putland, M.; Fazio, T.; Gumm, K.; Varma, A.; Santos, R.; Ramakrishnan, A. The impact of electric scooters in Melbourne: Data from a major trauma service. ANZ J. Surg. 2024, 94, 572–579. [Google Scholar] [CrossRef] [PubMed]
- Gudeman, A.; Loder, R.T.; Figueras, J.; Osterbur, T.; Fitzgerald, R. Seasonal differences in emergency department visits for scooter associated injuries. Chronobiol. Int. 2022, 39, 241–248. [Google Scholar] [CrossRef] [PubMed]
- Moftakhar, T.; Wanzel, M.; Vojcsik, A.; Kralinger, F.; Mousavi, M.; Hajdu, S.; Aldrian, S.; Starlinger, J. Incidence and severity of electric scooter related injuries after introduction of an urban rental programme in Vienna: A retrospective multicentre study. Arch. Orthop. Trauma. Surg. 2021, 141, 1207–1213. [Google Scholar] [CrossRef] [PubMed] [PubMed Central]
- Grill, F.D.; Roth, C.; Zyskowski, M.; Fichter, A.; Kollmuss, M.; Stimmer, H.; Deppe, H.; Wolff, K.D.; Nieberler, M. E-scooter-related craniomaxillofacial injuries compared with bicycle-related injuries—A retrospective study. J. Craniomaxillofac Surg. 2022, 50, 738–744. [Google Scholar] [CrossRef] [PubMed]
- Leone, E.; Ferrari, R.; Trinci, M.; Cingolani, E.; Galluzzo, M. Imaging features of electric scooter trauma: What an emergency radiologist needs to know. Radiol. Med. 2022, 127, 872–880. [Google Scholar] [CrossRef] [PubMed]
- Popescu, C.M.; Marina, V.; Avram, G.; Cristescu Budala, C.L. Spectrum of Magnetic Resonance Imaging Findings in Acute Pediatric Traumatic Brain Injury—A Pictorial Essay. J. Multidiscip. Healthc. 2024, 17, 2921–2934. [Google Scholar] [CrossRef] [PubMed] [PubMed Central]
- Anghele, M.; Marina, V.; Moscu, C.A.; Dragomir, L.; Anghele, A.D.; Lescai, A.M. Emotional Distress in a Patients Following Polytrauma. J. Multidiscip. Healthc. 2023, 16, 1161–1170. [Google Scholar] [CrossRef] [PubMed] [PubMed Central]
- Tallapragada, K.; Peddada, R.S.; Dexter, M. Paediatric mild head injury: Is routine admission to a tertiary trauma hospital necessary? ANZ J. Surg. 2018, 88, 202–206. [Google Scholar] [CrossRef] [PubMed]
- Choi, D.H.; Jeong, T.S.; Kim, W.K.; KNTDB Investigators. Clinical Outcome of Patients Diagnosed Traumatic Intracranial Epidural Hematoma with Severe Brain Injury (Glasgow Coma Scale ≤8) Who Undergo Surgery: A Report from the Korean Neuro-Trauma Data Bank System. Korean J. Neurotrauma. 2022, 18, 153–160. [Google Scholar] [CrossRef] [PubMed]
- Echara, M.; Das, A.K.; Agrawal, M.; Gupta, A.; Sharma, A.; Singh, S.K. Prognostic Factors and Outcome of Surgically Treated Supratentorial versus Infratentorial Epidural Hematoma in Pediatrics: A Comparative Study of 350 Patients at a Tertiary Center of a Developing Country. World Neurosurg. 2023, 171, e447–e455. [Google Scholar] [CrossRef] [PubMed]
- Umerani, M.S.; Abbas, A.; Aziz, F.; Shahid, R.; Ali, F.; Rizvi, R.K. Pediatric Extradural Hematoma: Clinical Assessment Using King’s Outcome Scale for Childhood Head Injury. Asian J. Neurosurg. 2018, 13, 681–684. [Google Scholar] [CrossRef] [PubMed] [PubMed Central]
- Buckley, B.; Rohan, P.; Keating, H.; Delaney, F.; Welaratne, I.; Bolster, F. E-scooter-related imaging: A new emerging high-energy trauma patient. Ir. J. Med. Sci. 2024, 193, 4. [Google Scholar] [CrossRef] [PubMed]
- Bhatnagar, A.; Al-Hihi, M.; Ali, R.; Sharma, N.; Lai, P.; Monga, A.; Hadidchi, S.; Kayder, O.; Amalraj, B.; Kordbacheh, H.; et al. Imaging Utilization Patterns and Injury Characteristics Associated with Electric Standing Scooters in a Major Urban Area. J. Emerg. Med. 2022, 62, 182–190. [Google Scholar] [CrossRef] [PubMed]
- Rashed, S.; Vassiliou, A.; Barber, J. Neurosurgical trauma from E-Scooter usage: A review of early case series in London and a review of the literature. Br. J. Neurosurg. 2022, 36, 532–543. [Google Scholar] [CrossRef] [PubMed]
- Azab, M.; Gamboa, N.; Nadel, J.; Cutler, C.; Henson, J.C.; Lucke-Wold, B.; Panther, E.; Brandel, M.G.; Khalessi, A.A.; Rennert, R.C.; et al. Case Series and Systematic Review of Electronic Scooter Crashes and Severe Traumatic Brain Injury. World Neurosurg. 2022, 167, e184–e195. [Google Scholar] [CrossRef] [PubMed]
- McKay, W.; Kerscher, W.; Riaz, M.; Mason, A. Neurosurgical Consequences of e-Scooter Use: Strategies to Prevent Neurological Injury. Neurotrauma Rep. 2023, 4, 218–224. [Google Scholar] [CrossRef] [PubMed] [PubMed Central]
- McGalliard, R.; Hallam, K.; Townley, S.; Messahel, S.; Durand, C.L. Two-year paediatric trauma centre analysis of electric scooter injuries. Arch. Dis. Child. 2022, 107, 1061–1062. [Google Scholar] [CrossRef] [PubMed]

Disclaimer/Publisher’s Note: The statements, opinions and data contained in all publications are solely those of the individual author(s) and contributor(s) and not of MDPI and/or the editor(s). MDPI and/or the editor(s) disclaim responsibility for any injury to people or property resulting from any ideas, methods, instructions or products referred to in the content. |
© 2024 by the authors. Licensee MDPI, Basel, Switzerland. This article is an open access article distributed under the terms and conditions of the Creative Commons Attribution (CC BY) license (https://creativecommons.org/licenses/by/4.0/).
Share and Cite
Popescu, C.-M.; Marina, V.; Popescu, F.; Oprea, A. Electric Scooter Falls: The 2023–2024 Experience in the Clinical Emergency Children’s Hospital in Galați. Clin. Pract. 2024, 14, 1818-1826. https://doi.org/10.3390/clinpract14050145
Popescu C-M, Marina V, Popescu F, Oprea A. Electric Scooter Falls: The 2023–2024 Experience in the Clinical Emergency Children’s Hospital in Galați. Clinics and Practice. 2024; 14(5):1818-1826. https://doi.org/10.3390/clinpract14050145
Chicago/Turabian StylePopescu, Cristina-Mihaela, Virginia Marina, Floriana Popescu, and Andreea Oprea. 2024. "Electric Scooter Falls: The 2023–2024 Experience in the Clinical Emergency Children’s Hospital in Galați" Clinics and Practice 14, no. 5: 1818-1826. https://doi.org/10.3390/clinpract14050145
APA StylePopescu, C.-M., Marina, V., Popescu, F., & Oprea, A. (2024). Electric Scooter Falls: The 2023–2024 Experience in the Clinical Emergency Children’s Hospital in Galați. Clinics and Practice, 14(5), 1818-1826. https://doi.org/10.3390/clinpract14050145

