Thiamethoxam Actara® Induced Alterations in Kidney Liver Cerebellum and Hippocampus of Male Rats
Abstract
:Introduction
Materials and Methods
Experimental animals and research design
Biochemical measurements
Histopathological examination
Statistical analysis
Results
Body weight
Absolute and relative organ weights
Biochemical parameters
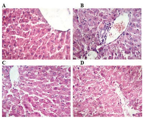
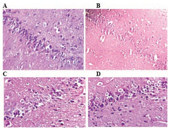
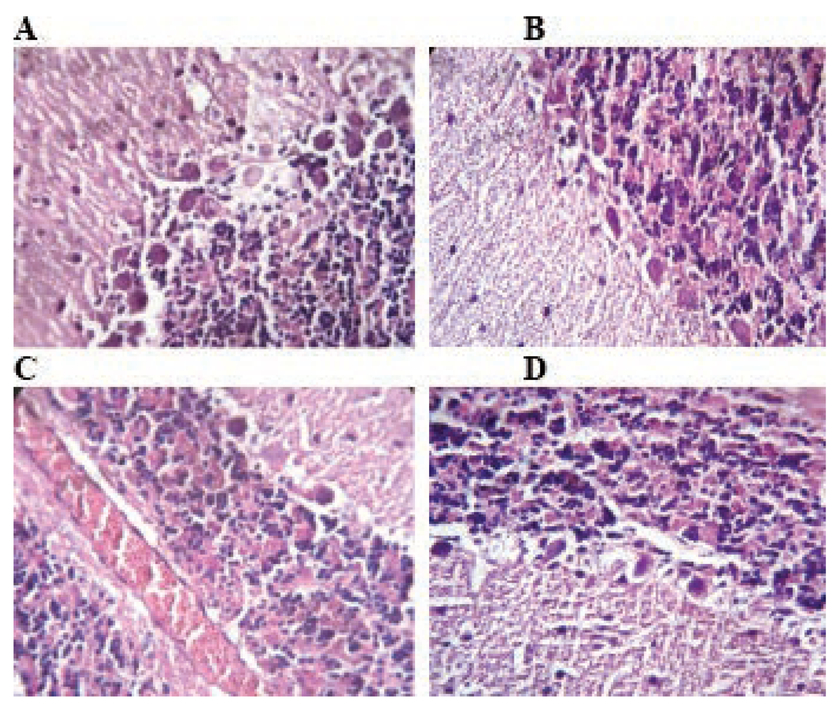
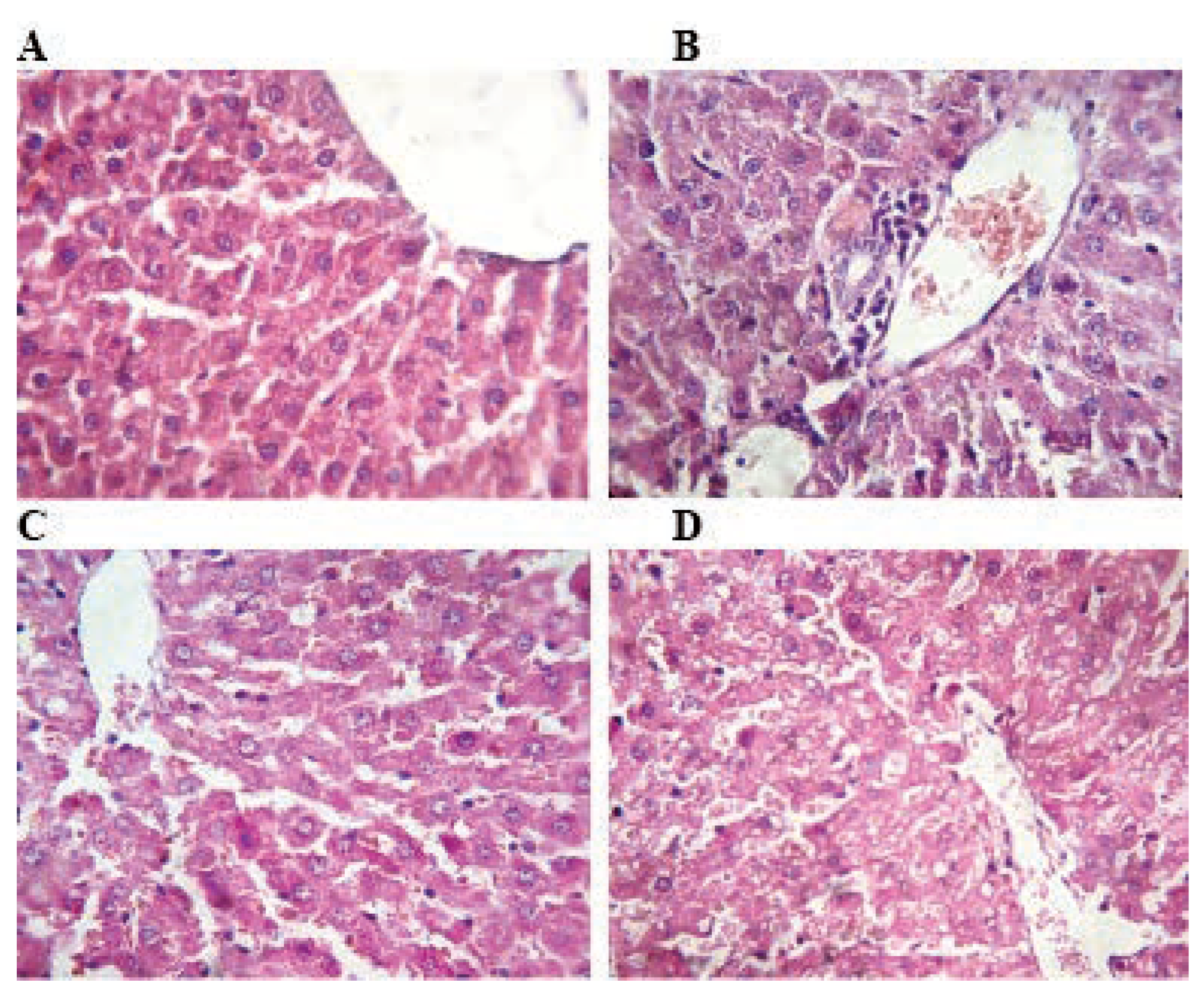
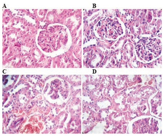
Histopathological finding
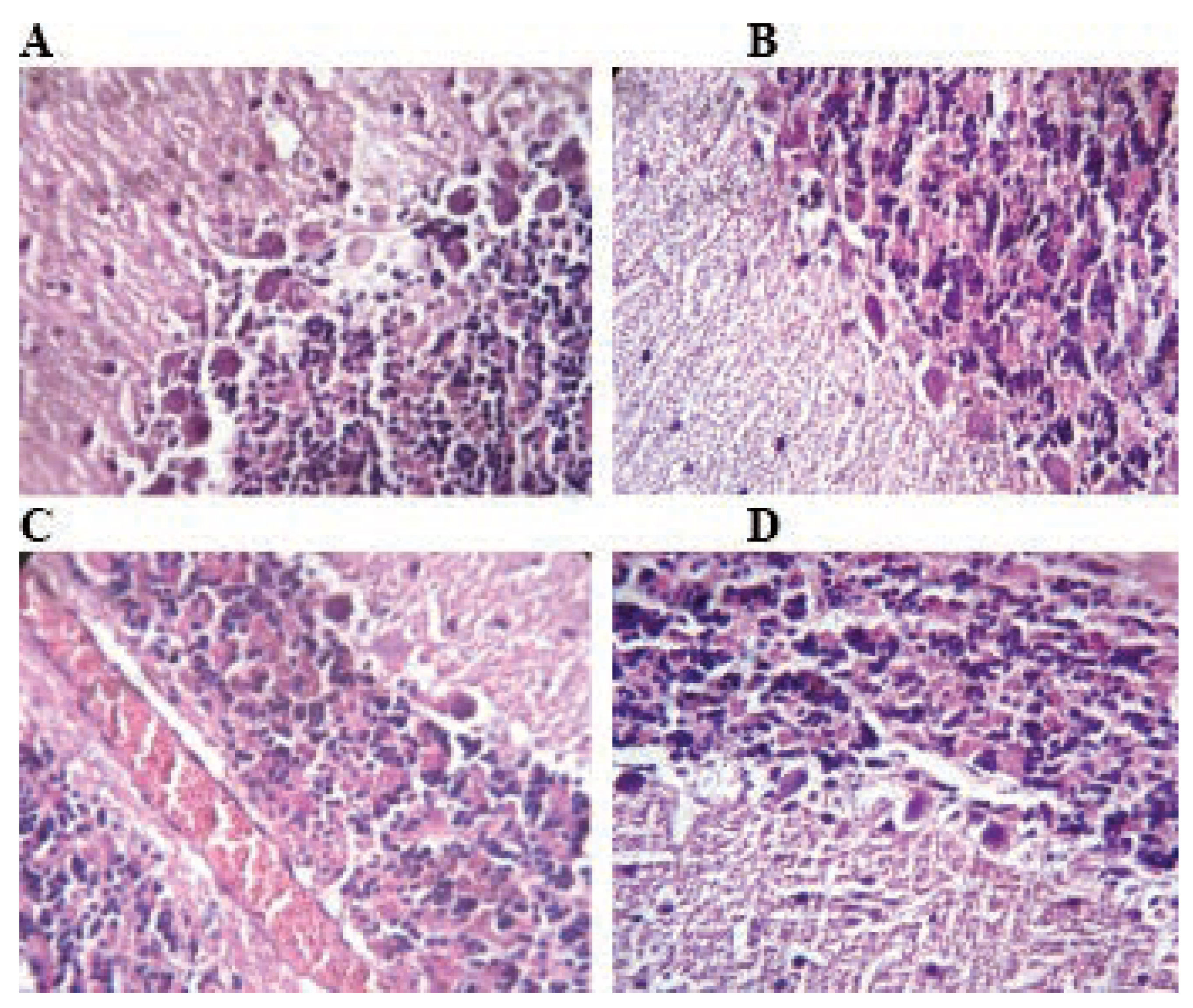
Effect of thiamethoxam on histological structure of the liver
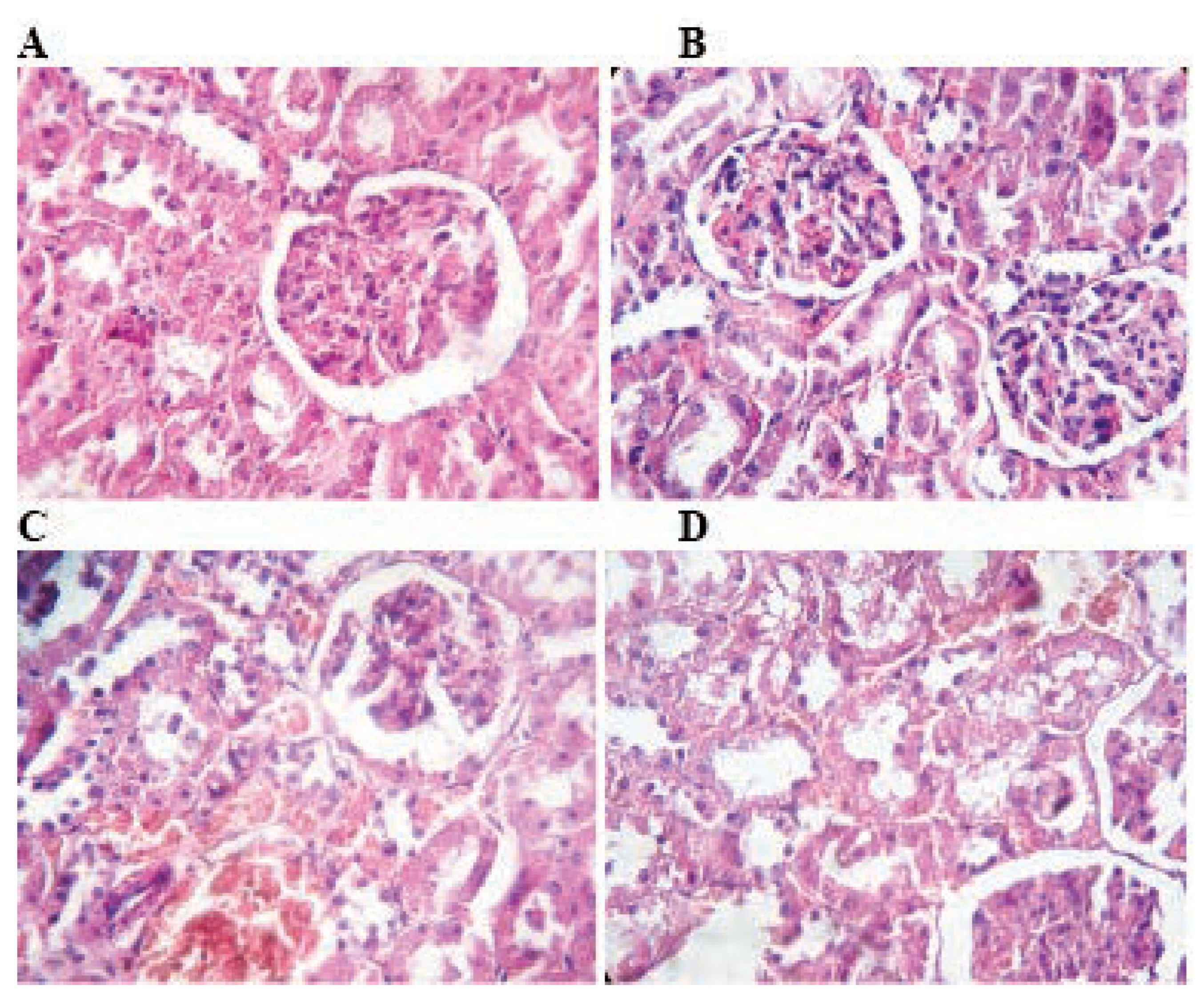
Effect of thiamethoxam on histological structure of the kidneys
Effect of thiamethoxam on histological structure of the cerebellum
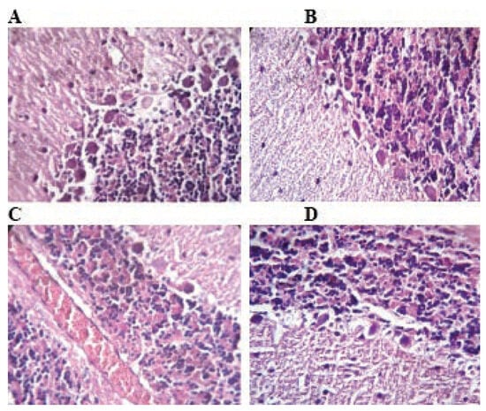
Effect of thiamethoxam on histological structure of the hippocampus
Discussion and Conclusions
References
- Parks, C.G.; De Roos, A.J. Pesticides, chemical and industrial exposures in rela- tion to systemic lupus erythematosus. Lupus 2014, 23, 527–36. [Google Scholar] [CrossRef]
- Yan, D.; Zhang, Y.; Liu, L.; Yana, H. Pesticide exposure and risk of Alzheimer’s disease: a systematic review and meta-analysis. Sci Rep 2016, 6, 322–22. [Google Scholar] [CrossRef]
- Tomizawa, M.; Casida, J.E. Selective toxici- ty of neonicotinoids attributable to speci- ficity of insect and mammalian nicotinic receptors. Ann Rev Entomol 2003, 48, 339–64. [Google Scholar] [CrossRef]
- Ensley, S.M. Chapter 48: Neonicotinoids. Veterinary Toxicology (Second Edition); 2012. pp 596-598.
- Sheets, L.P.A.A.; Lib, D.J.; Minnemac, R.H.; Collierd, M.R.; Creeke, R.C.; Pefferc, A. Critical review of neonicotinoids insecti- cides for developmental neurotoxicity. Crit Rev Toxicol 2016, 46, 153–90. [Google Scholar] [CrossRef]
- Tomizawa, M.; Casida, J.E. Neonicotinoid insecticide toxicology: mechanisms of selective action. Ann Rev Pharmacol Toxical 2005, 45, 247–68. [Google Scholar] [CrossRef]
- David, D.; George, I.A.; Peter, J.V. Toxicology of the newer neonicotinoid insecticides: imidacloprid poisoning in a human. Clin Toxicol 2007, 45, 485–6. [Google Scholar] [CrossRef]
- Hung, Y.M.; Meier, K.H. Acute Confidor® (imidacloprid-N-methyl pyrrolidone) insecticides intoxication with mimicking cholinergic syndrome. Toxicol Ind Health 2005, 21, 137–40. [Google Scholar] [CrossRef]
- Rodrigues, K.J.; Santana, M.B.; Do Nascimento, J.L.; Picanço-Diniz, D.L.; Maués, L.A.; Santos, S.N.; et al. Behavioral and bio- chemical effects of neonicotinoid thi- amethoxam on the cholinergic system in rats. Ecotoxicol Environ Saf 2010, 73, 101–7. [Google Scholar] [CrossRef]
- Maienfisch, P.; Huerlimann, H.; Rindlisbacher, A.; Gsell, L.; Dettwiler, H.; Haettenschwiler, J.; et al. The discovery of thiamethoxam: a second-generation neon- icotinoid. Pest Manage Science 2001, 57, 165–76. [Google Scholar] [CrossRef]
- Baines, D.; Wilton, E.; Pawluk, A.; Gorter Md Chomistek, N. Neonicotinoids act like endocrine disrupting chemicals in newly- emerged bees and winter bees. Sci Rep 2017, 7, 109–79. [Google Scholar] [CrossRef]
- Tami, L.; Swenson, J.; Casida, E. Neonicotinoid formaldehyde generators: possible mechanism of mouse-specific hepatotoxicity/hepatocarcinogenicity of thiamethoxam. Toxicol Lett 2013, 216, 139–45. [Google Scholar]
- Ford, K.A.; Casida, J.E. Unique and common metabolites of thiamethoxam, clothiani- din, and dinotefuran in mice. Chem Res Toxicol 2006, 19, 1549–56. [Google Scholar] [CrossRef]
- Green, T.; Toghill, A.; Lee, R.; Waechter, F.; Weber, E.; Peffer, R.; et al. Thiamethoxam induced mouse liver tumors and their rele- vance to humans. Part 2: species differ- ences in response. Toxicol Sci 2005, 86, 48–55. [Google Scholar] [CrossRef]
- Organization for Economic Co-operation and Development (OECD). Repeated dose 90 day oral toxicity study in rodents. Guideline No. 408.; 2010.
- Directive 2010/63/EU of The European Parliament And Of The Council of 22 September 2010 on the protection of ani- mals used for scientific purposes (Text with EEA relevance). Official Journal of the European Union.
- Dubovický, M. Neurobehavioral manifestations of developmental impairment of the brain. Interdisc Toxicol 2010, 3, 59–67. [Google Scholar] [CrossRef]
- Arfat, Y.; Mahmood, N.; Tahir, M.U.; Rashid, M.; Fan Zhao, S.A.; Li, D.-J.; et al. Effect of imidacloprid on hepatotoxicity and nephrotoxicity in male albino mice. Toxicol Rep 2014, 1, 554–61. [Google Scholar] [CrossRef]
- Hirano, T.; Yanai, S.; Omotehara, T.; Hashimoto, R.; Umemura, Y.; Kubota, N.; et al. The combined effect of clothianidin and environmental stress on the behavioral and reproductive function in male mice. J Vet Med Sci 2015, 77, 1207–15. [Google Scholar] [CrossRef]
- Bal, R.; Türk, G.; Tuzcu, M.; Yılmaz, Ö.; Kuloğlu, T.; Baydaş, G.; et al. Effects of the neonicotinoid insecticide, clothianidin, on the reproductive organ system in adult male rats. Drug Chem Toxicol 2013, 36, 421–9. [Google Scholar] [CrossRef]
- Engin, E.; Treit, D. The role of hippocampus in anxiety: intracerebral infusion studies. Behav Pharmacol 2007, 18, 365–74. [Google Scholar] [CrossRef]
- Ozer, J.; Ratner, M.; Shaw, M.; Bailey, W.; Schomarker, S. The current state of serum biomarkers of hepatotoxicity. Toxicology 2008, 245, 194–205. [Google Scholar] [CrossRef]
- Hernández, A.; Gil, F.; Lacasaña, M.; Rodríguez-Barranco, M.; Tsatsakis, A.; Tesifón Parrón, M.R.; et al. Pesticide expo- sure and genetic variation in xenobiotic- metabolizing enzymes interact to induce biochemical liver damage. Food Chem Toxicol 2013, 61, 144–51. [Google Scholar] [CrossRef]
- Khalil, S.R.; Hesham, A.A.; AbdoNassan, H.M. Imidacloprid insecticide exposure induces stress and disrupts glucose home- ostasis in male rats. Environ Toxicol Pharmacol 2017, 55, 165–74. [Google Scholar] [CrossRef]
- Duzguner, V.; Erdogan, S. Acute oxidant and inflammatory effects of imidacloprid on the mammalian central nervous system and liver in rats. Pestic Biochem Physiol 2010, 97, 13–8. [Google Scholar] [CrossRef]
- Kapoor, U.; Srivastava, M.K.; Bhardwaj, S.; Srivastava, L.P. Effect of imidacloprid on antioxidant enzymes and lipid peroxida- tion in female rats. J Toxicol Sci 2010, 35, 577–81. [Google Scholar] [CrossRef]
- Phua, D.H.; Lin, C.C.; Wu, M.L.; Deng, J.F.; Yang, C.C. Neonicotinoid insecticides: an emerg- ing cause of acute pesticide poisoning. Clin Toxicol 2009, 47, 4. [Google Scholar] [CrossRef]
- Dwyer, J.B.; Mcquown, S.C.; Leslie, F.M. The dynamic effects of nicotine on the devel- oping brain. Pharmacol Ther 2009, 122, 125–39. [Google Scholar] [CrossRef]
- Kimura-Kuroda, J.; Komuta, Y.; Kuroda, Y.; Hayashi, M.; Kawano, H. Nicotine-like effects of the neonicotinoid insecticides acetamiprid and imidacloprid on cerebel- lar neurons from neonatal Rats. PLoS One 2012, 7, e32432. [Google Scholar] [CrossRef]








© Copyright H. Khaldoun-Oularbi et al., 2017 This work is licensed under a Creative Commons Attribution NonCommercial 4.0 License (CC BY-NC 4.0).
Share and Cite
Khaldoun-Oularbi, H.; Bouzid, N.; Boukreta, S.; Makhlouf, C.; Derriche, F.; Djennas, N. Thiamethoxam Actara® Induced Alterations in Kidney Liver Cerebellum and Hippocampus of Male Rats. J. Xenobiot. 2017, 7, 7149. https://doi.org/10.4081/xeno.2017.7149
Khaldoun-Oularbi H, Bouzid N, Boukreta S, Makhlouf C, Derriche F, Djennas N. Thiamethoxam Actara® Induced Alterations in Kidney Liver Cerebellum and Hippocampus of Male Rats. Journal of Xenobiotics. 2017; 7(1):7149. https://doi.org/10.4081/xeno.2017.7149
Chicago/Turabian StyleKhaldoun-Oularbi, Hassina, Noura Bouzid, Soumia Boukreta, Chahrazed Makhlouf, Fariza Derriche, and Nadia Djennas. 2017. "Thiamethoxam Actara® Induced Alterations in Kidney Liver Cerebellum and Hippocampus of Male Rats" Journal of Xenobiotics 7, no. 1: 7149. https://doi.org/10.4081/xeno.2017.7149
APA StyleKhaldoun-Oularbi, H., Bouzid, N., Boukreta, S., Makhlouf, C., Derriche, F., & Djennas, N. (2017). Thiamethoxam Actara® Induced Alterations in Kidney Liver Cerebellum and Hippocampus of Male Rats. Journal of Xenobiotics, 7(1), 7149. https://doi.org/10.4081/xeno.2017.7149
