Pseudo-Obstruction After Reversal of Ileostomy
Abstract
1. Introduction
2. Methods
2.1. Cases from Our Institution
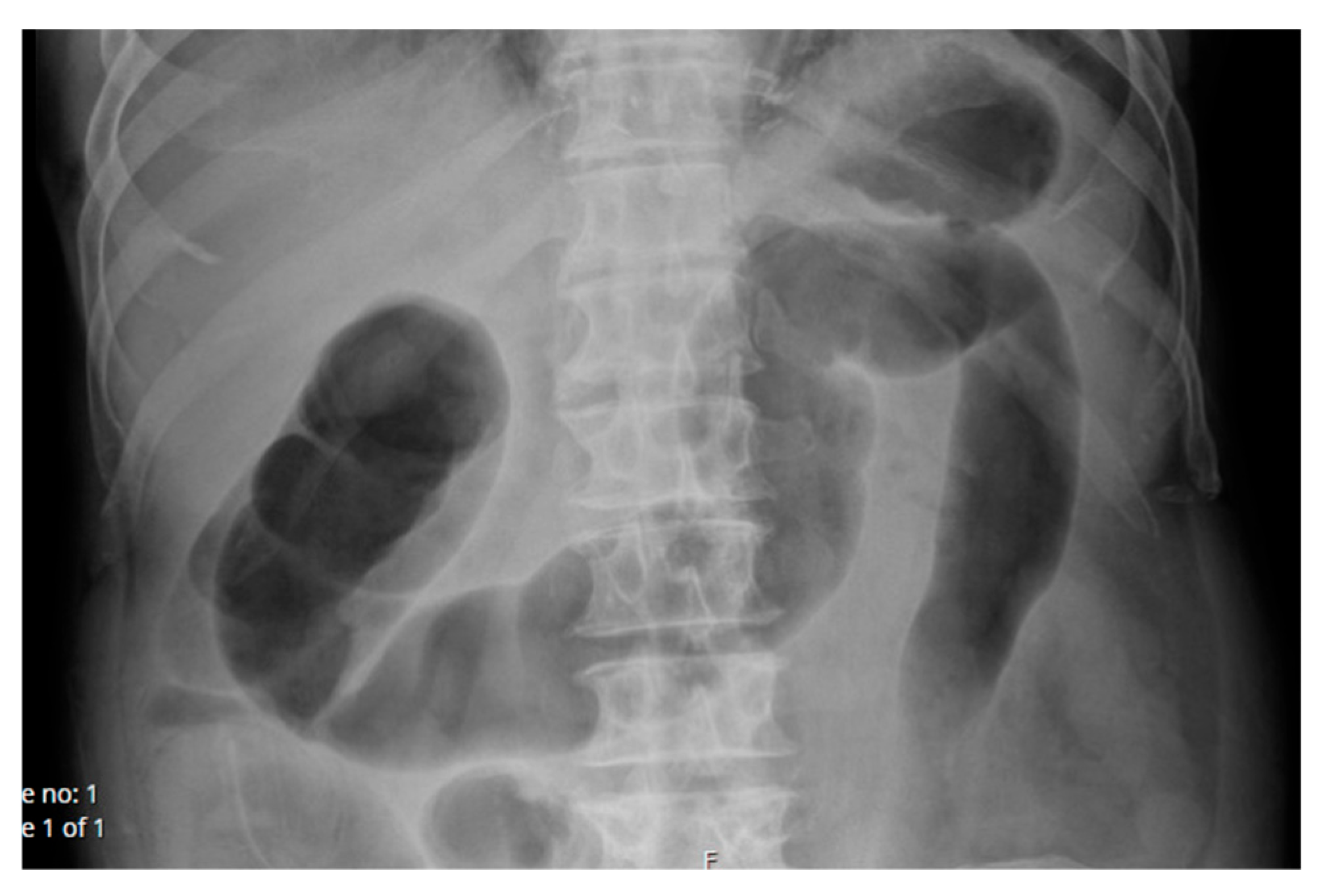
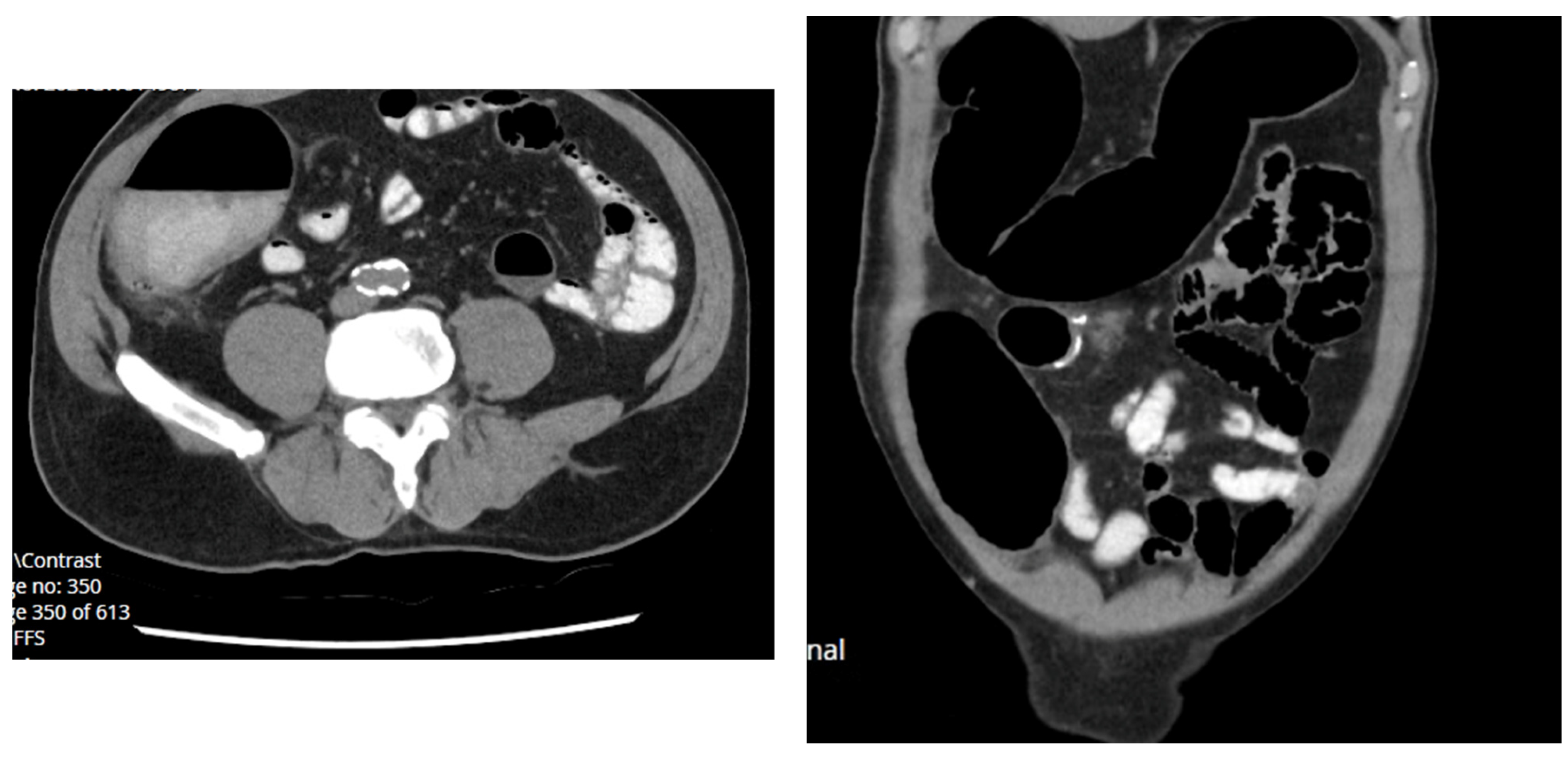
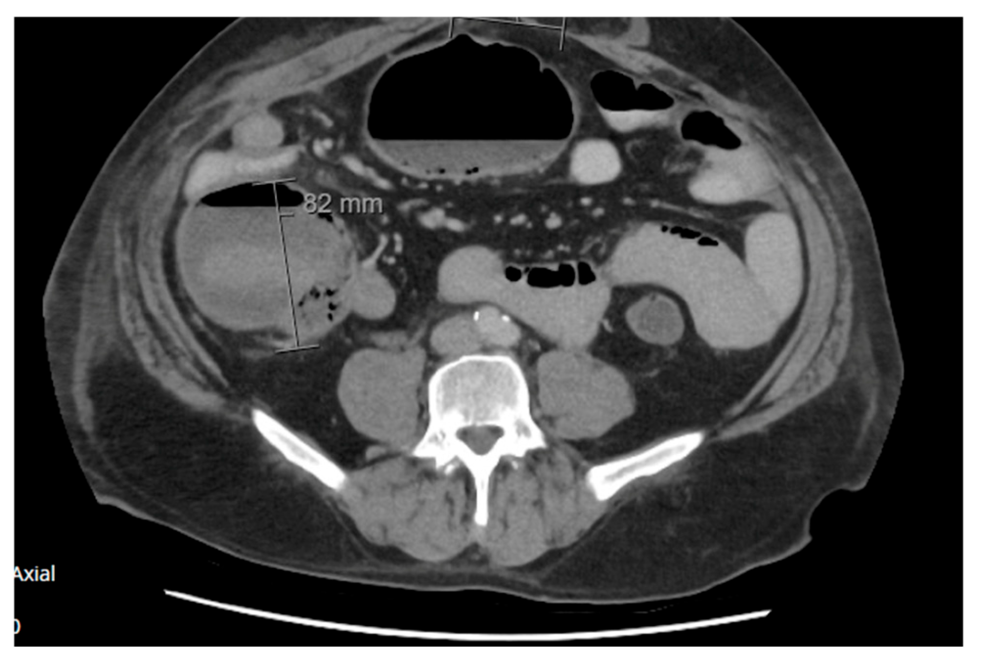
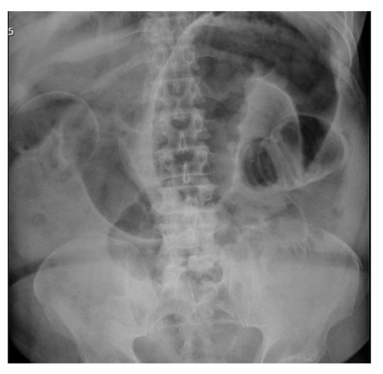
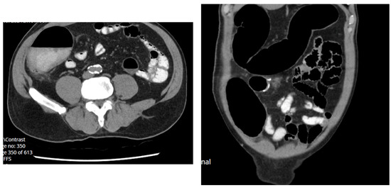
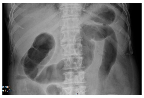
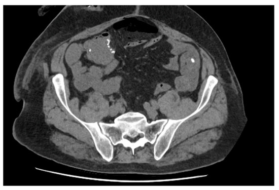
2.1.1. Case 1
2.1.2. Case 2
3. Results
4. Discussion
5. Conclusions
Author Contributions
Funding
Informed Consent Statement
Conflicts of Interest
References
- Wells, C.I.; O’Grady, G.; Bissett, I.P. Acute colonic pseudo-obstruction: A systematic review of aetiology and mechanisms. World J. Gastroenterol. 2017, 23, 5634–5644. [Google Scholar] [CrossRef] [PubMed] [PubMed Central]
- Vanek, V.W.; Al-Salti, M. Acute pseudo-obstruction of the colon (Ogilvie’s syndrome). An analysis of 400 cases. Dis. Colon Rectum 1986, 29, 203–210. [Google Scholar] [CrossRef] [PubMed]
- Maloney, N.; Vargas, H.D. Acute intestinal pseudo-obstruction (Ogilvie’s syndrome). Clin. Colon Rectal Surg. 2005, 18, 96–101. [Google Scholar] [CrossRef] [PubMed] [PubMed Central]
- Sharma, A.; Deeb, A.P.; Rickles, A.S.; Iannuzzi, J.C.; Monson, J.R.; Fleming, F.J. Closure of defunctioning loop ileostomy is associated with considerable morbidity. Colorectal Dis. 2013, 15, 458–462. [Google Scholar] [CrossRef] [PubMed]
- Tan, M.N.A.; Tham, H.Y.; How, K.Y.; Wong, K.Y. Colonic pseudo-obstruction following closure of loop ileostomy after ultralow rectal resections: Five Case reports. Clin. Case Stud. Rep. 2023, 6, 1–5. [Google Scholar] [CrossRef]
- Gortani, G.; Pederiva, F.; Ammar, L.; Miorin, E.; Tonin, G.; Dobbiani, G.; Marcuzzi, E.; Barbi, E. Ogilvie syndrome in a 8 year old girl after laparoscopic appendectomy. BMC Pediatr. 2019, 19, 82. [Google Scholar] [CrossRef] [PubMed] [PubMed Central]
- Nakamura, T.; Sugimoto, R.; Harada, S.; Nobori, S.; Ushigome, H.; Yoshikawa, M. Hand-Assisted Laparoscopic Subtotal Colectomy for Ogilvie Syndrome Associated With Idiopathic Fibrosis of Colon After Simultaneous Pancreas Kidney Transplant. Exp. Clin. Transplant. 2021, 19, 1348–1351. [Google Scholar] [CrossRef] [PubMed]
- Nakamura, K.; Sakuraba, S.; Koido, K.; Hazama, H.; Ohata, K. A Case of Acute Colonic Pseudo-Obstruction and Anastomotic Leakage After Sigmoidectomy for Sigmoid Volvulus. Cureus 2024, 16, e61133. [Google Scholar] [CrossRef] [PubMed] [PubMed Central]
- Tominaga, T.; Nagayama, S.; Takamatsu, M.; Miyanari, S.; Nagasaki, T.; Yamaguchi, T.; Akiyoshi, T.; Konishi, T.; Fujimoto, Y.; Fukunaga, Y.; et al. A case of severe megacolon due to acquired isolated hypoganglionosis after low anterior resection for lower rectal cancer. Clin. J. Gastroenterol. 2020, 13, 328–333. [Google Scholar] [CrossRef] [PubMed] [PubMed Central]
- Liberati, A.; Altman, D.G.; Tetzlaff, J.; Mulrow, C.; Gøtzsche, P.C.; Ioannidis, J.P.; Clarke, M.; Devereaux, P.J.; Kleijnen, J.; Moher, D. The PRISMA statement for reporting systematic reviews and meta-analyses of studies that evaluate healthcare interventions: Explanation and elaboration. BMJ 2009, 339, b2700. [Google Scholar] [CrossRef]
- Page, M.J.; McKenzie, J.E.; Bossuyt, P.M.; Boutron, I.; Hoffmann, T.C.; Mulrow, C.D.; Shamseer, L.; Tetzlaff, J.F.; Akl, E.A.; Brennan, S.E.; et al. The PRISMA 2020 statement: An updated guideline for reporting systematic reviews. BMJ 2021, 372, n71. [Google Scholar] [CrossRef] [PubMed]
- Park, Y.Y.; Yang, S.Y.; Han, Y.D.; Cho, M.S.; Hur, H.; Min, B.S.; Lee, K.Y.; Kim, N.K. Predictive Factors for Bowel Dysfunction After Sphincter-Preserving Surgery for Rectal Cancer: A Single-Center Cross-sectional Study. Dis. Colon Rectum. 2019, 62, 925–933. [Google Scholar] [CrossRef] [PubMed]
- Iizuka, I.; Koda, K.; Seike, K.; Shimizu, K.; Takami, Y.; Fukuda, H.; Tsuchida, D.; Oda, K.; Takiguchi, N.; Miyazaki, M. Defecatory malfunction caused by motility disorder of the neorectum after anterior resection for rectal cancer. Am. J. Surg. 2004, 188, 176–180. [Google Scholar] [CrossRef] [PubMed]
- Cheong, C.; Oh, S.Y.; Choi, S.J.; Suh, K.W. Ultralow Anterior Resection and Coloanal Anastomosis for Low-Lying Rectal Cancer: An Appraisal Based on Bowel Function. Dig. Surg. 2019, 36, 409–417. [Google Scholar] [CrossRef] [PubMed]
- Nowakowski, M.M.; Rubinkiewicz, M.; Gajewska, N.; Torbicz, G.; Wysocki, M.; Małczak, P.; Major, P.; Wierdak, M.; Budzyński, A.; Pędziwiatr, M. Defunctioning ileostomy and mechanical bowel preparation may contribute to development of low anterior resection syndrome. Wideochir. Inne Tech. Maloinwazyjne 2018, 13, 306–314. [Google Scholar] [CrossRef] [PubMed] [PubMed Central]
- Dingemann, J.; Puri, P. Isolated hypoganglionosis: Systematic review of a rare intestinal innervation defect. Pediatr. Surg. Int. 2010, 26, 1111–1115. [Google Scholar] [CrossRef] [PubMed]
- Ihnát, P.; Slívová, I.; Tulinsky, L.; Ihnát Rudinská, L.; Máca, J.; Penka, I. Anorectal dysfunction after laparoscopic low anterior rectal resection for rectal cancer with and without radiotherapy (manometry study). J. Surg. Oncol. 2018, 117, 710–716. [Google Scholar] [CrossRef] [PubMed]
- Boussios, S.; Pentheroudakis, G.; Katsanos, K.; Pavlidis, N. Systemic treatment-induced gastrointestinal toxicity: Incidence, clinical presentation and management. Ann. Gastroenterol. 2012, 25, 106–118. [Google Scholar] [PubMed] [PubMed Central]
- Bittorf, B.; Stadelmaier, U.; Merkel, S.; Hohenberger, W.; Matzel, K.E. Does anastomotic leakage affect functional outcome after rectal resection for cancer? Langenbecks Arch. Surg. 2003, 387, 406–410. [Google Scholar] [CrossRef] [PubMed]
- Bagnacci, G.; Guerrini, S.; Gentili, F.; Sordi, A.; Mazzei, F.G.; Pozzessere, C.; Guazzi, G.; Mura, G.; Savelli, V.; D’Amico, S.; et al. Non-occlusive mesenteric ischemia (NOMI) and prognostic signs at CT: Reperfusion or not reperfusion that is the question! Abdom. Radiol. 2022, 47, 1603–1613. [Google Scholar] [CrossRef] [PubMed]
- Williamson, S.; Muller, A.; Butts, C.A.; Geng, T.A.; Ong, A.W. Acute Colonic Pseudo-obstruction: Colonoscopy Versus Neostigmine First? J. Surg. Res. 2023, 288, 38–42. [Google Scholar] [CrossRef] [PubMed]







| Patient A * | Patient B * | Patient C * | Patient D * | Patient E * | Patient F ^ | Patient 1 # | Patient 2 # | |
|---|---|---|---|---|---|---|---|---|
| Demographics | 54-year-old male, ASA 1 | 70-year-old male, ASA 2 | 69-year-old male, ASA 2 | 67-year-old male, ASA 1 | 49-year-old male, ASA 1 | 39-year-old male, ASA unknown | 68-year-old male, ASA 2 | 61-year-old male, ASA 3 |
| Primary tumour | Mid-rectal tumour, 7 cm from anal verge | Low rectal tumour, 3 cm from anal verge | Low rectal tumour, 4 cm from anal verge | Mid-rectal tumour, 8 cm from anal verse | Low rectal tumour, 4 cm from anal verge | Lower rectal tumour, unknown distance from anal verge | Mid-rectal tumour, 10 cm from anal verge | Proximal rectum, 14 cm from anal verge |
| Neoadjuvant treatment | Long course chemoradiation | Short course radiation | Long course chemoradiation | Long course chemoradiation | Long course chemoradiation | Chemoradiation | Nil | Nil |
| Adjuvant treatment | Chemotherapy | Nil | Chemotherapy | Chemotherapy | Chemotherapy | Chemotherapy | Chemotherapy | Nil |
| Operative details | Robotic ULAR | Laparoscopic ULAR with ISR | Robotic ULAR with ISR | Robotic ULAR | Robotic ULAR | Laparoscopic LAR | Laparoscopic ULAR | Laparoscopic ULAR |
| Time to reversal (mo) | 7 | 4 | 12 | 10 | 8.5 | 7 | 12 | 22 |
| Medical therapy | Stool bulking, prokinetic agents | Stool bulking, prokinetic agents. | Stool bulking, prokinetic agents. | Stool bulking, prokinetic agents | Stool bulking, prokinetic agents | N/A | Stool bulking, prokinetic agents, neostigmine, aperients | Stool bulking, prokinetic agents, aperients |
| Flatus tube insertions | Multiple endoscopic insertions without resolution of symptoms. | Repeated bedside insertions without resolution of symptoms | Repeated bedside insertions with resolution of symptoms | Repeated bedside insertions with resolution of symptoms | Repeated bedside insertions with resolution of symptoms | Colonoscopic decompression, transanal ileus tube | One bedside resolution without resolution of symptoms. One endoscopic insertion with resolution of symptoms | One bedside insertion without resolution of symptoms |
| Surgical management | Defunctioning colostomy | N/A | N/A | N/A | N/A | Laparoscopic total colectomy | N/A | laparotomy, adhesiolysis, ventral hernia repair x2, right hemicolectomy, formation of end ileostomy and mucous fistula |
| Length of stay in hospital since initial operation | N/A | Died day 12 | 29 | 18 | 22 | N/A | 7 | 21 |
| Anastomotic complications | Post-reversal sigmoidoscopy revealed multiple anastomotic sinuses with recto-prostatic fistula. Required subsequent trans-anal suture repair | Not known; death | Small anastomotic sinus repaired transanally at same sitting as ileostomy reversal. Post-reversal endoscopy confirmed resolution of anastomotic dehiscence | Post reversal sigmoidoscopy noted a small peri-anastomotic sinus at 3 and 9 o’clock positions. Required subsequent transanal suture repair | Post reversal sigmoidoscopy noted a small anastomotic sinus as 12 o’clock. Resolved with conservative management | N/A | Nil | Nil |
| Final staging | ypT2N0 | ypT2N0 | ypT3N2a | ypT3N1a | ypT2N0 | ypT2N1M0 | ypT3N2a | ypT3N0 |
| Study | Gortani et al., 2019 [6] | Nakamura et al., 2024 [8] | Nakamura et al., 2021 [7] |
| Demographics | 8 year old female, ASA 1 | 83 year old male, ASA 2 | 45 year old female, ASA 3 |
| Pathology | Gangrenous appendicitis | Recurrent sigmoid volvulus | End-stage renal failure and type1 diabetes |
| Surgery | Laparoscopic appendicectomy | Laparoscopic sigmoidectomy | Simultaneous pancreas kidney transplant (duodenum to ileum with Braun anastomoses) |
| Post-operative day when pseudo-obstruction noted | 14 | 7 | 31 |
| Management of pseudo-obstruction | Nasogastric and rectal tube decompression, erythromycin | Colonoscopic decompression and transanal tube, aperients, nasogastric tube, | Transanal ileus tube, colonoscopic decompression, neostigmine, 2 weeks later performed subtotal colectomy with end ileostomy. |
| Post-operative discharge day | 25 | 26 | 14 |
| Complications | Nil | Re-admitted postoperative day 37 for relapse of pseudo-obstruction, sigmoid colon anastomotic site leak/perforation and pneumoperitoneum; underwent laparotomy and Hartmanns procedure. | High grade fever without other associated symptoms. |
Disclaimer/Publisher’s Note: The statements, opinions and data contained in all publications are solely those of the individual author(s) and contributor(s) and not of MDPI and/or the editor(s). MDPI and/or the editor(s) disclaim responsibility for any injury to people or property resulting from any ideas, methods, instructions or products referred to in the content. |
© 2025 by the authors. Licensee MDPI, Basel, Switzerland. This article is an open access article distributed under the terms and conditions of the Creative Commons Attribution (CC BY) license (https://creativecommons.org/licenses/by/4.0/).
Share and Cite
Carlaw, K.R.; Drahman, A.; Di Re, A. Pseudo-Obstruction After Reversal of Ileostomy. Surg. Tech. Dev. 2025, 14, 7. https://doi.org/10.3390/std14010007
Carlaw KR, Drahman A, Di Re A. Pseudo-Obstruction After Reversal of Ileostomy. Surgical Techniques Development. 2025; 14(1):7. https://doi.org/10.3390/std14010007
Chicago/Turabian StyleCarlaw, Kirsten R., Aizat Drahman, and Angelina Di Re. 2025. "Pseudo-Obstruction After Reversal of Ileostomy" Surgical Techniques Development 14, no. 1: 7. https://doi.org/10.3390/std14010007
APA StyleCarlaw, K. R., Drahman, A., & Di Re, A. (2025). Pseudo-Obstruction After Reversal of Ileostomy. Surgical Techniques Development, 14(1), 7. https://doi.org/10.3390/std14010007

