Abstract
Background: In the landscape of thoracic surgery, innovation continually drives progress, offering novel approaches to address complex pathologies while prioritizing patient well-being. Dual-port robotic-assisted thoracic surgery (DRATS) represents a new frontier in this evolution. In this report, we describe our experience with the fully dual-port robotic-assisted thoracic surgery (F-DRATS) approach for segmentectomy with the indocyanine green intersegmental plane identification. Methods: We define as F-DRATS the robotic thoracic surgery performed by two intercostal incisions without rib spreading, using the robotic camera, robotic dissecting instruments, and exclusively robotic staplers. We herein describe our F-DRATS approach in lingulectomy and lymphadenectomy of stations 5, 6, 7, and 10 using the da Vinci Surgical System. Results: The patient’s postoperative course was uneventful with the chest tube removed on the second postoperative day. The final pathological analysis confirmed a low-grade malignant potential adenocarcinoma, with a main diameter of 1.1 cm, at 3 cm from the lung margins. Conclusions: This is the first description in the literature of a F-DRATS lingulectomy with ICG intersegmental plane identification.
1. Introduction
In the landscape of thoracic surgery, innovation continually drives progress, offering novel approaches to address complex pathologies while prioritizing patient well-being. Based on our expertise in uniportal video-assisted thoracic surgery VATS (U-VATS) and standard robotic techniques, we recently started on a new frontier by introducing fully biportal robotic-assisted thoracic surgery (RATS), subsequently coined F-dual-portal RATS (F-DRATS). Traditional approaches often entail substantial incisions, resulting in prolonged hospital stay, increased postoperative pain, and extended recovery times. However, the introduction of robotic assistance has transformed the landscape, enabling surgeons to perform complex procedures with greater precision and minimal invasiveness. F-DRATS represents the next frontier in this evolution, offering a nuanced approach that combines the advantages of robotic technology with the versatility of dual-port access, further minimizing invasiveness by reducing the number of incisions.
Segmentectomy has emerged as a feasible option for treating small primary lung cancers while preserving lung function [1]. Compared to wedge resection, segmentectomy provides superior oncological results and a more appropriate surgical margin [2]. However, segmentectomy poses challenges due to the intricacy of a precise identification of the intersegmental plane. Several techniques have been proposed to address this challenge, mostly represented by the inflation–deflation test; however, their efficacy is limited, above all in patients with lung pathologies like emphysema [3,4].
At our institution, the intersegmental plane is identified utilizing intravenous ICG under near-infrared fluorescence imaging after all appropriate bronchovascular structures to the segment have been divided [5,6].
In this paper, we describe our fluorescence-guided visualization with intravenous indocyanine green (ICG) injection during lingulectomy in F-DRATS.
2. Materials and Methods
This video presents the case of a 57-year-old female patient with a history of malignant melanoma on the right cheek, surgically treated in 2020.
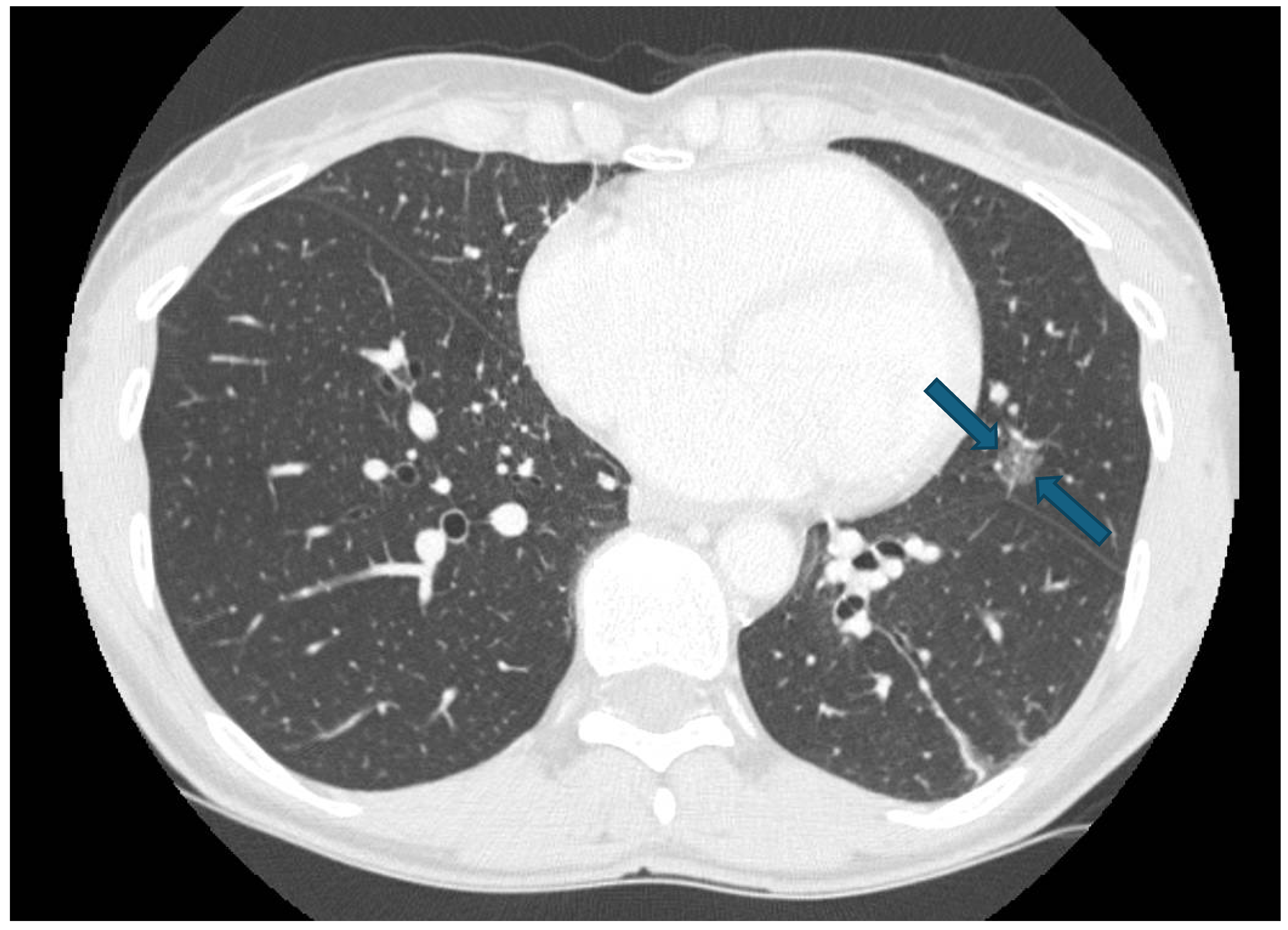
The patient came in 2024 to our attention for oncological assessment after the detection of a subtle enlargement of a subsolid nodule of 11 mm within the lower lingular segment on a recent chest CT scan, suspicious for primary lung disease or metastatic involvement (Figure 1). Pulmonary function testing demonstrated a preserved spirometry profile with notable findings of increased residual volume (RV) and RV/total lung capacity (TLC) ratio, indicative of potential air trapping. The case was discussed in a multi-disciplinary meeting and 3D reconstruction was performed and evaluated together with radiologists with expertise in lung cancer. Due to considerations about the nodule location, size, and reduced pulmonary function, segmentectomy was indicated to preserve lung parenchyma while ensuring appropriate oncological intervention.
Figure 1.
Preoperative CT scan.
The patient underwent F-DRATS lingulectomy and lymphadenectomy of stations 5, 6, 7, and 10 using the da Vinci® XI Surgical System (USA Intuitive Surgical, Inc. 1020 Kifer Road, Building 108 Sunnyvale, CA 94086-5304, USA).
3. Results
3.1. Surgical Technique
We define as F-DRATS the robotic thoracic surgery performed through two intercostal incisions without rib spreading, using the robotic camera, robotic dissecting instruments, and exclusively robotic staplers.
The patient was positioned in lateral decubitus, under general anesthesia and single-lung ventilation. The da Vinci Xi Surgical System was placed behind the patient. The biportal technique does not let the traditional docking of the robot. The laser’s cross was aligned with the upper part of the skin incision, running parallel to the spine.
A 2–3 cm working port using a wound protector (Alexis wound retractor XS®, Applied Medical, Rancho Santa Margarita, CA, USA) was created in the fifth intercostal space along the posterior axillary line as a main port. A 1.2 cm working port was created and adjusted in accordance with the patient body shape, usually at the eighth intercostal space, on the midaxillary line (Figure 2).
Figure 2.
Incision and docking.
To avoid collision, arm 1 on the right side (arm 2 for camera) and arm 4 on the left side (arm 3 for camera) were excluded. The camera is normally placed in the upper part of the incision to allow the other robotic instruments to work below in parallel. A 30° camera was used, usually with a downward orientation.
While the operator was at the console, the assistant scrubbed at the table helped the operator with the arm positioning, and stayed in front of the patient, like the U-VATS approach used in our unit. The uniportal-VATS (Scanlan International, 1 Scanlan Plz, Saint Paul, MN 55107, USA) instruments and open-surgery kit must be in the operating room. The use of one long-curved suction was very helpful to obtain a better exposure by the assistant.
The F-DRATS technique is a totally robotic approach that relies on the use of modern robotic staplers. We used a 30-stapler SureForm (da Vinci® Stapling components, Intuitive Surgical Inc., Sunnyvale, CA, USA) with a curved tip, a 45-stapler with a curved tip, or a 60-stapler for parenchyma. One reason for having another incision in an inferior location is to facilitate proper articulation of the staplers instead of having the assistant conduct this operation with the manual stapler.
An intraoperative video of a lingulectomy using the D-RATS approach is available (Video 1). Additionally, an intraoperative video of a superior mediastinal lymph node dissection using the D-RATS approach is also provided (Video 2).
In our case, the nodule described in the CT scan was confirmed to be in the lingular parenchyma. First, the artery was found in the anterior side of the fissure, which was opened using a SureForm stapler 45 mm. Then, after the identification of the lingular artery, it was isolated with the use of fenestrated bipolar forceps and Maryland forceps. The artery was then closed with a SureForm 45 curved-tip stapler. Then, the hilum was accessed to identify the lingular vein, which was first isolated and then closed with a SureForm 45 curved-tip stapler. Beyond the lingular vein, the bronchial branches were identified. The lingular bronchus was identified thanks to an insufflation and disinflation test, and then was closed with a SureForm 30 stapler.
In order to delineate the intersegmental plane, a 3 mL indocyanine green (ICG) solution was injected intravenously. The ICG solution was prepared by dissolving 25 mg ICG in 10 mL distilled water. Using an energy device, the intersegmental line was marked on the visceral pleura (Video 3). Subsequently, the targeted segment was resected using the 45/60 mm SureForm stapler along the intersegmental plane on the visceral pleura, marked by the ICG fluorescence.
After segmentectomy, a “bubble” test was carried out to detect any air leakage from the lung by inflating the lung underwater. Lobe-specific lymphadenectomy was performed, so stations 5, 6, and 7 were sampled and sent for pathological analysis. Hilar and intersegmental lymph nodes were removed during the hilum dissection. For better postoperative analgesia, an intrapleural paravertebral intercostal nerve block was performed, infiltrating 20 mL ropivacaine 7.5 mg/mL in 3–4 intercostal spaces above and below the incision, under endoscopic view. A single chest drain was then inserted toward the apex through the incision at the eighth ICS. The total duration of the surgery was 126 min, and there was an estimated blood loss of 200 mL.
3.2. Postoperative Outcome
The patient’s postoperative course was uneventful. As she was operated on early in the morning, according to the ERAS program in use in our unit, in the evening, she could have a light dinner and a little walk in her room. The following day, she had physiotherapy and normal feeding. The pain was well controlled after surgery, and the usual therapy (1 g paracetamol 3/die) was enough to guarantee a painless recovery. Serial hematologic and radiologic assessments during the immediate postoperative period demonstrated stable parameters and good lung expansion. On the second postoperative day, a chest X-ray was performed, showing no sign of pleural effusion and no pneumothorax. The tribute was lower than 200 mL in the 24 h and no air leak was detected. For this reason, the chest tube was removed on the second postoperative day. Discharge occurred on the third postoperative day. The final pathology was consistent with low-grade malignant potential adenocarcinoma, with a main diameter of 1.1 cm, at 3 cm from the lung margins. A total of 12 nodes were removed from stations 5, 6, 7, 10, and 11, all of them free of metastases.
4. Discussion
In the current medical landscape, minimally invasive surgery has become widely accepted as the standard approach for lung cancer surgery. The latest version of the National Comprehensive Cancer Network Guidelines highly recommends VATS or minimally invasive surgery, including robotic-assisted approaches, for patients who do not have any anatomic or surgical contraindications, as long as the standard oncologic and anatomic principles of thoracic surgery are not compromised in the process [7].
The use of robotic-assisted surgery has recently increased due to innovations and technologies such as three-dimensional vision, mitigation of physiological tremors, camera stability, and a shorter learning curve compared to traditional endoscopic procedures [4].
To enhance the minimally invasive nature of robotic procedures, conventionally reliant on four thoracoports and a service mini-thoracotomy, we tried to combine the robotic approach, with its enhanced view and fine plane dissection, together with the uniportal VATS surgical idea of the instrument moving through a single incision. This amalgamation would establish a new protocol utilizing uniportal VATS access in conjunction with a robotic trocar, thereby advancing the field of surgical innovation.
Furthermore, segmentectomy offers the advantage of preserving more lung function rather than lobectomies. Therefore, it emerges as a viable option not only for patients with compromised lung function but also as curative surgery for patients with stage IA lung cancer. Our case perfectly matched the criteria defined by the two recent randomized clinical trials that describe the advantages of segmentectomies for a particular kind of lung nodule [8,9]. However, the technical complexities associated with segmentectomy pose significant challenges, preventing its widespread application [10,11].
In our case report, we have described, to the best of our knowledge, the first F-DRATS lingulectomy with ICG near-red intersegmental plane identification. Talking about the surgical technique, the aim of the F-DRATS approach is to make surgery less invasive, if compared to the four ports traditionally used in the RATS lung surgery. Of course, we were aware of some challenging aspects we were going to face when planning this operation. The absence of CO2 and secondly, the absence of the fourth arm that could help in the hilum exposition were overcome by robotic application of the U-VATS technique. During the hilum exposition, in our approach, one robotic arm was the operative one, the second one was used as a grasper, while the assistant at the table provided further exposure by handling the long curved suction.
The port from the eighth intercostal space was very useful for stapler access, which was maneuvered by the main operator who stayed at the console; this fact makes the surgery much smoother if compared to the hybrid approach in which the stapler is moved from the table by the assistant. One more advantage of the two ports approach is the fact that, in case of bleeding, which is one of the worst intraoperative complications in thoracic surgery, the robot undocking is much faster rather than in the case of four ports. Thanks to the 3 cm access, it is already possible to push through this access-clamping devices that may help in bleeding control. This makes this approach potentially safer if compared to the four-port technique. This is one of the main reasons for which we are convinced that enhancing the learning curve on the F-DRATS would implement the safety of the robotic approach.
Concerning the kind of lung resection, we know that one of the most crucial aspects of segmentectomy is the accurate identification of the intersegmental plane. Erroneous identification can result in excessive resection of lung tissue, inadequate surgical margins, and or residual lesions. Such inaccuracies can also increase the risk of postoperative complications, such as air leakage, atelectasis, and hemoptysis. To address these issues, several approaches have been developed to ensure precise identification of the intersegmental plane [5,12,13].
The traditional inflation–deflation technique is commonly used to define the intersegmental plane by selectively inflating the target segment while deflating the surrounding lung tissue. However, this method is hampered by its tendency to restrict the thoracic operating space within the thorax and may produce an unclear and inaccurate demarcation line due to collateral ventilation pathways such as Kohn pores, Lambert canals, and direct airway anastomosis [3].
Another method involves using staining techniques through bronchial injection of dyes like methylene blue or ICG to highlight intersegmental planes [14].
Concerning methylene blue, this method not only makes the intersegmental planes visible on the lung surface but also stains the target lung tissue. However, a potential drawback of this technique is the possibility of dye spreading to adjacent segments through structures like Kohn pores.
In contrast, the ICG fluorescence method offers distinct advantages. It obviates the need for intraoperative lung reinflation, thus preserving maneuver space during video-assisted thoracic surgery. As we reported in a previous paper [4], ICG offers a clear view of the intersegmental plane after the closure of the vein and artery and it is our first choice when planning a segmentectomy.
Of course, one of the main concerns when planning surgery is patient safety. When deciding to approach this emerging technique, we based our decision on the literature data reporting promising results in terms of safety and feasibility. A large analysis of 5721 cases from Kent and co-workers compared anatomical lung resections performed with the robotic or VATS approaches to the open technique [15]. Robotic and VATS lobectomies were associated with favorable perioperative outcomes compared to the open ones. Robotic-assisted lobectomies were also associated with a reduced length of stay and decreased conversion rate when compared to VATS.
D-RATS is rarely described in the literature. Only Asiatic authors described their experiences.
Yang and colleagues already reported an experience with the D-RATS approach, with 18 cases, considering it a safe and feasible technique [16]. Watanabe and colleagues in their work described 20 cases of planned D-RATS for anatomical pulmonary resections, with no need for conversions to thoracotomy and no need for extra ports [17].
For this reason, having some data present in the literature, having our main operator overcome the learning curve with the traditional robotic approach, and having a long experience with the U-VATS, we decided to move from the fourth access to the dual-port approach. Before this case report description, we operated with the F-DRATS technique on more than 20 patients, confirming the feasibility and safety of the technique already reported in the literature.
Obviously, the F-DRATS technique is at the beginning of its development but we are confident that this initial experience can be encouraging to implement the less invasive use of the robot.
5. Conclusions
F-DRATS is a new, promising, and potentially valuable tool in thoracic surgery.
The use of ICG fluorescence navigation in segmentectomy provides an effective solution, offering real-time visualization of the intersegmental plane.
The chance to handle staplers by the first operator, and the possibility to immediately access the pulmonary hilum through mini-thoracotomy in the case of massive bleeding, in our opinion, make this technique less invasive and more safe than the classic four-arm approach.
Further studies, of course, are needed to validate this technique.
Supplementary Materials
The following supporting information can be downloaded at: Video 1: lingulectomy using the DRATS approach (https://drive.google.com/file/d/15VphjY4CkxTS7cgoOU0AoonZ-ukV3_e6/view), Video 2: superior mediastinal lymph node dissection using the DRATS approach (https://drive.google.com/file/d/1qrMR8EQFufTheCsLyMONnwXau6e8fFbh/view), Video 3: ICG intersegmental plane identification (https://drive.google.com/file/d/1HlxnLrlQWJZCf0ZCHaAT7q8wX5W4Vjad/view).
Author Contributions
Conceptualization, E.M.; methodology, C.S., K.K.; validation, M.T.C., E.M.; formal analysis, C.S.; investigation, K.K.; resources, M.T.C.; data curation, D.N.; writing—original draft preparation, K.K.; writing—review and editing, C.S.; visualization, E.M.; supervision, S.M. All authors have read and agreed to the published version of the manuscript.
Funding
This research received no external funding.
Institutional Review Board Statement
The study was conducted according to the guidelines of the Declaration of Helsinki and approved by the Institutional Review Board (or Ethics Committee) of Università Cattolica del Sacro Cuore, Rome. Approval Code: 2020/8903. Approval Date: 19 January 2020.
Informed Consent Statement
Informed consent was obtained from all subjects involved in the study.
Data Availability Statement
Dataset available on request from the authors. The raw data supporting the conclusions of this article will be made available by the authors on request.
Conflicts of Interest
The authors declare no conflicts of interest.
References
- Landreneau, R.J.; Normolle, D.P.; Christie, N.A.; Awais, O.; Wizorek, J.J.; Abbas, G.; Pennathur, A.; Shende, M.; Weksler, B.; Luketich, J.D.; et al. Recurrence and survival outcomes after anatomic segmentectomy versus lobectomy for clinical stage I non-small-cell lung cancer: A propensity-matched analysis. J. Clin. Oncol. 2014, 32, 2449–2455. [Google Scholar] [CrossRef] [PubMed]
- Kent, M.; Landreneau, R.; Mandrekar, S.; Hillman, S.; Nichols, F.; Jones, D.; Starnes, S.; Tan, A.; Putnam, J.; Meyers, B.; et al. Segmentectomy versus wedge resection for non-small cell lung cancer in high-risk operable patients. Ann. Thorac. Surg. 2013, 96, 1747–1754; discussion 1754–1755. [Google Scholar] [CrossRef] [PubMed]
- Nex, G.; Schiavone, M.; de Palma, A.; Quercia, R.; Brascia, D.; de Iaco, G.; Signore, F.; Panza, T.; Marulli, G. How to identify intersegmental planes in performing sublobar anatomical resections. J. Thorac. Dis. 2020, 12, 3369–3375. [Google Scholar] [CrossRef] [PubMed]
- Meacci, E.; Nachira, D.; Congedo, M.T.; Chiappetta, M.; Petracca Ciavarella, L.; Margaritora, S. Uniportal video-assisted thoracic lung segmentectomy with near infrared/indocyanine green intersegmental plane identification. J. Vis. Surg. 2018, 4, 17. [Google Scholar] [CrossRef] [PubMed] [PubMed Central]
- Pischik, V.G.; Kovalenko, A. The role of indocyanine green fluorescence for intersegmental plane identification during video-assisted thoracoscopic surgery segmentectomies. J. Thorac. Dis. 2018, 10, S3704–S3711. [Google Scholar] [CrossRef] [PubMed]
- Iwata, H.; Shirahashi, K.; Mizuno, Y.; Matsui, M.; Takemura, H. Surgical technique of lung segmental resection with two intersegmental planes. Interact. Cardiovasc. Thorac. Surg. 2013, 16, 423–425. [Google Scholar] [CrossRef] [PubMed]
- Ettinger, D.S.; Wood, D.E.; Aisner, D.L.; Akerley, W.; Bauman, J.R.; Bharat, A.; Bruno, D.S.; Chang, J.Y.; Chirieac, L.R.; D’Amico, T.A.; et al. Non-Small Cell Lung Cancer, Version 3.2022, NCCN Clinical Practice Guidelines in Oncology. J. Natl. Compr. Cancer Netw. 2022, 20, 497–530. [Google Scholar] [CrossRef] [PubMed]
- Saji, H.; Okada, M.; Tsuboi, M.; Nakajima, R.; Suzuki, K.; Aokage, K.; Aoki, T.; Okami, J.; Yoshino, I.; Ito, H.; et al. Segmentectomy versus lobectomy in small-sized peripheral non-small-cell lung cancer (JCOG0802/WJOG4607L): A multicentre, open-label, phase 3, randomised, controlled, non-inferiority trial. Lancet 2022, 399, 1607–1617. [Google Scholar] [CrossRef] [PubMed]
- Altorki, N.; Wang, X.; Kozono, D.; Watt, C.; Landrenau, R.; Wigle, D.; Port, J.; Jones, D.R.; Conti, M.; Ashrafi, A.S.; et al. Lobar or Sublobar Resection for Peripheral Stage IA Non-Small-Cell Lung Cancer. N. Engl. J. Med. 2023, 388, 489–498. [Google Scholar] [CrossRef] [PubMed] [PubMed Central]
- Tane, S.; Nishio, W.; Nishioka, Y.; Tanaka, H.; Ogawa, H.; Kitamura, Y.; Takenaka, D.; Yoshimura, M. Evaluation of the residual lung function after thoracoscopic segmentectomy compared with lobectomy. Ann. Thorac. Surg. 2019, 108, 1543–1550. [Google Scholar] [CrossRef] [PubMed]
- Nomori, H.; Shiraishi, A.; Cong, Y.; Sugimura, H.; Mishima, S. Differences in post-operative changes in pulmonary functions following segmentectomy compared with lobectomy. Eur. J. Cardiothorac. Surg. 2018, 53, 640–647. [Google Scholar] [CrossRef] [PubMed]
- Wang, J.; Xu, X.; Wen, W.; Wu, W.; Zhu, Q.; Chen, L. Modified method for distinguishing the intersegmental border for lung segmentectomy. Thorac. Cancer 2018, 9, 330–333. [Google Scholar] [CrossRef] [PubMed]
- Oh, S.; Suzuki, K.; Miyasaka, Y.; Matsunaga, T.; Tsushima, Y.; Takamochi, K. New technique for lung segmentectomy using indocyanine green injection. Ann. Thorac. Surg. 2013, 95, 2188–2190. [Google Scholar] [CrossRef] [PubMed]
- Zhang, Z.; Liao, Y.; Ai, B.; Liu, C. Methylene blue staining: A new technique for identifying intersegmental planes in anatomic segmentectomy. Ann. Thorac. Surg. 2015, 99, 238–242. [Google Scholar] [CrossRef] [PubMed]
- Kent, M.S.; Hartwig, M.G.; Vallières, E.; Abbas, A.E.; Cerfolio, R.J.; Dylewski, M.R.; Fabian, T.; Herrera, L.J.; Jett, K.G.; Lazzaro, R.S.; et al. Pulmonary Open, Robotic, and Thoracoscopic Lobectomy (PORTaL) Study: An Analysis of 5721 Cases. Ann. Surg. 2023, 277, 528–533. [Google Scholar] [CrossRef] [PubMed] [PubMed Central]
- Yang, N.; He, X.; Bai, Q.; Cui, B.; Gou, Y. Analysis of the short-term outcomes of biportal robot-assisted lobectomy. Int. J. Med. Robot. 2021, 17, e2326, Erratum in: Int. J. Med. Robot. 2022, 18, e2436. [Google Scholar] [CrossRef] [PubMed]
- Watanabe, H.; Ebana, H.; Kanauchi, N.; Suzuki, J.; Ujiie, H.; Chiba, M.; Sato, K.; Matsuo, S.; Hoshijima, K.; Kobayashi, A.; et al. Dual-portal robotic-assisted thoracic surgery (DRATS) as a reduced port RATS: Early experiences in three institutions in Japan. J. Thorac. Dis. 2023, 15, 6475–6482. [Google Scholar] [CrossRef] [PubMed] [PubMed Central]
Disclaimer/Publisher’s Note: The statements, opinions and data contained in all publications are solely those of the individual author(s) and contributor(s) and not of MDPI and/or the editor(s). MDPI and/or the editor(s) disclaim responsibility for any injury to people or property resulting from any ideas, methods, instructions or products referred to in the content. |
© 2024 by the authors. Licensee MDPI, Basel, Switzerland. This article is an open access article distributed under the terms and conditions of the Creative Commons Attribution (CC BY) license (https://creativecommons.org/licenses/by/4.0/).

