Durable Response in Histiocytic Sarcoma After Allogeneic Stem Cell Transplantation: A Case Report
Abstract
1. Introduction
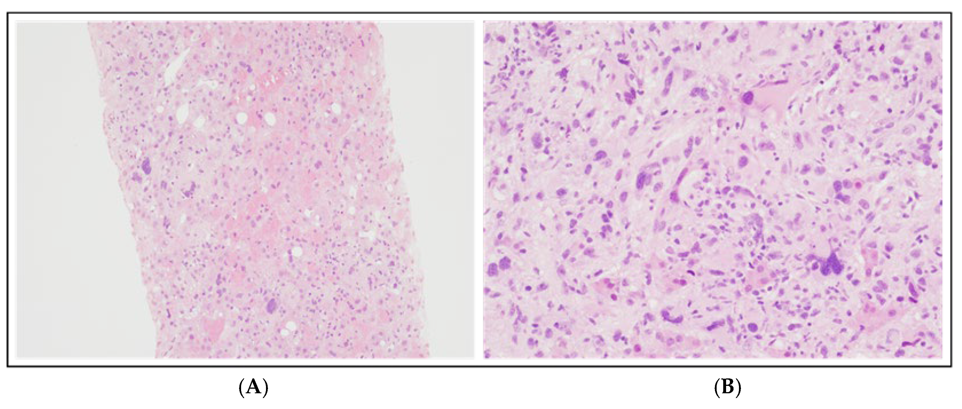
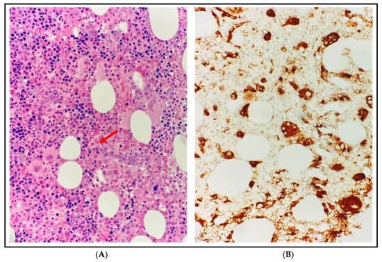
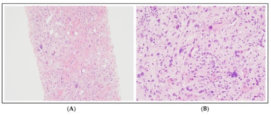
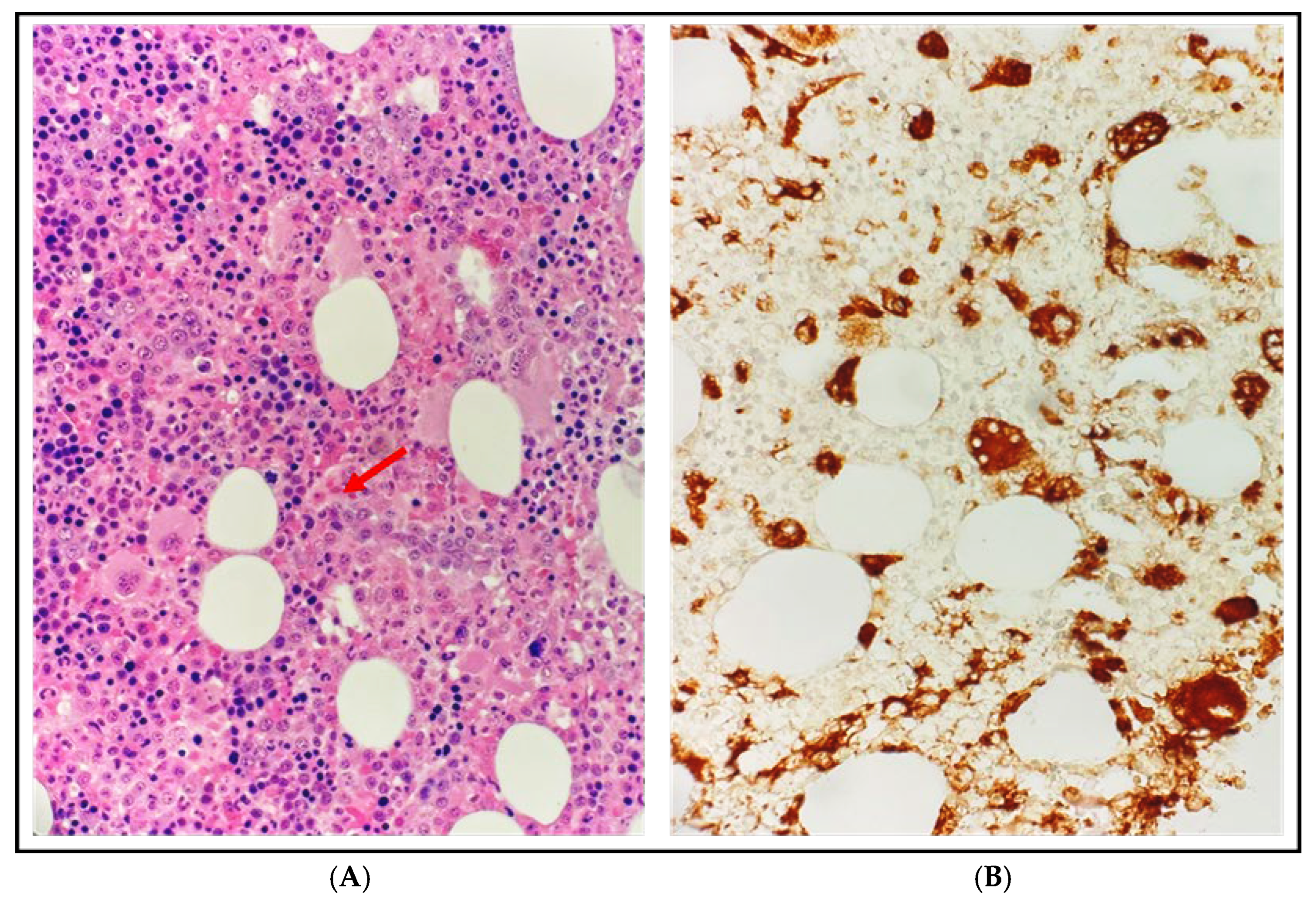
2. Case Report
3. Discussion
- −
- Timely diagnosis through comprehensive histopathologic and IHC evaluation.
- −
- Integration of molecular insights, despite technical and logistical limitations.
- −
- Strategic treatment sequencing, incorporating both HLH-targeted and HS-directed therapies.
- −
- Successful application of curative-intent allogeneic HSCT.
Author Contributions
Funding
Institutional Review Board Statement
Informed Consent Statement
Data Availability Statement
Acknowledgments
Conflicts of Interest
References
- Pileri, S.A.; Grogan, T.M.; Harris, N.L.; Banks, P.; Campo, E.; Chan, J.K.C.; Favera, R.D.; Delsol, G.; De Wolf-Peeters, C.; Falini, B.; et al. Tumours of histiocytes and accessory dendritic cells: An immunohistochemical approach to classification from the International Lymphoma Study Group based on 61 cases. Histopathology 2002, 41, 1–29. [Google Scholar] [CrossRef]
- Kommalapati, A.; Tella, S.H.; Durkin, M.; Go, R.S.; Goyal, G. Histiocytic sarcoma: A population-based analysis of incidence, demographic disparities, and long-term outcomes. Blood 2018, 131, 265–268. [Google Scholar] [CrossRef] [PubMed]
- La Rosée, P.; Horne, A.; Hines, M.; von Bahr Greenwood, T.; Machowicz, R.; Berliner, N.; Birndt, S.; Gil-Herrera, J.; Girschikofsky, M.; Jordan, M.B.; et al. Special Report Recommendations for the management of hemophagocytic lymphohistiocytosis in adults. Blood 2019, 133, 2465–2477. [Google Scholar] [CrossRef] [PubMed]
- Khoury, J.D.; Solary, E.; Abla, O.; Akkari, Y.; Alaggio, R.; Apperley, J.F.; Bejar, R.; Berti, E.; Busque, L.; Chan, J.K.C.; et al. The 5th edition of the World Health Organization Classification of Haematolymphoid Tumours: Myeloid and Histiocytic/Dendritic Neoplasms. Leukemia 2022, 36, 1703–1719. [Google Scholar] [CrossRef] [PubMed]
- Sorror, M.L.; Maris, M.B.; Storb, R.; Baron, F.; Sandmaier, B.M.; Maloney, D.G.; Storer, B. Hematopoietic cell transplantation (HCT)-specific comorbidity index: A new tool for risk assessment before allogeneic HCT. Blood 2005, 106, 2912–2919. [Google Scholar] [CrossRef]
- Harris, A.C.; Young, R.; Devine, S.; Hogan, W.J.; Ayuk, F.; Bunworasate, U.; Chanswangphuwana, C.; Efebera, Y.A.; Holler, E.; Litzow, M.; et al. International, Multicenter Standardization of Acute Graft-versus-Host Disease Clinical Data Collection: A Report from the Mount Sinai Acute GVHD International Consortium. Biol. Blood Marrow Transplant. 2016, 22, 4–10. [Google Scholar] [CrossRef]
- Akdur, N.C.; Donmez, M.; Gozel, S.; Ustun, H.; Hucumenoglu, S. Intravascular papillary endothelial hyperplasia: Histomorphological and immunohistochemical features. Diagn. Pathol. 2013, 8, 167. [Google Scholar] [CrossRef]
- Shanmugam, V.; Griffin, G.K.; Jacobsen, E.D.; Fletcher, C.D.; Sholl, L.M.; Hornick, J.L. Identification of diverse activating mutations of the RAS-MAPK pathway in histiocytic sarcoma. Mod. Pathol. 2019, 32, 830–843. [Google Scholar] [CrossRef]
- Egan, C.; Nicolae, A.; Lack, J.; Chung, H.J.; Skarshaug, S.; Pham, T.A.; Navaro, W.; Abdullaey, Z.; Aguilera, N.S.; Xi, L.; et al. Genomic profiling of primary histiocytic sarcoma reveals two molecular subgroups. Haematologica 2020, 105, 951–960. [Google Scholar] [CrossRef]
- Diamond, E.L.; Durham, B.H.; Ulaner, G.A.; Drill, E.; Buthorn, J.; Ki, M.; Bitner, L.; Cho, H.; Young, R.J.; Francis, J.H.; et al. Efficacy of MEK inhibition in patients with histiocytic neoplasms. Nature 2019, 567, 521–524. [Google Scholar] [CrossRef]
- Venkataraman, V.; Massoth, L.R.; Sullivan, R.J.; Friedmann, A.M. Secondary histiocytic sarcoma with BRAF(V600E) mutation after T-cell acute lymphoblastic leukemia in a very young child with dramatic response to dabrafenib and trametinib. Pediatr. Blood Cancer 2020, 67, e28200. [Google Scholar] [CrossRef] [PubMed]
- Hu, B.; Patel, J.L.; Tao, R.; Cannon, R.B.; Monroe, M.; Goyal, G. Near Complete Response to Trametinib Treatment in Histiocytic Sarcoma Harboring a Somatic KRAS Mutation. J. Natl. Compr. Canc. Netw. 2022, 20, 618–621. [Google Scholar] [CrossRef] [PubMed]
- Gounder, M.M.; Solit, D.B.; Tap, W.D. Trametinib in histiocytic sarcoma with an activating MAP2K1 (MEK1) mutation. N. Engl. J. Med. 2018, 378, 1945–1947. [Google Scholar] [CrossRef] [PubMed]
- Kumamoto, T.; Aoki, Y.; Sonoda, T.; Yamanishi, M.; Arakawa, A.; Sugiyama, M.; Shirakawa, N.; Ishimaru, S.; Saito, Y.; Meashima, A.; et al. A case of recurrent histiocytic sarcoma with MAP2K1 pathogenic variant treated with the MEK inhibitor trametinib. Int. J. Hematol. 2019, 109, 228–232. [Google Scholar] [CrossRef]
- Diamond, E.L.; Durham, B.H.; Haroche, J.; Yao, Z.; Ma, J.; Parikh, S.A.; Wang, Z.; Choi, J.; Kim, E.; Cohen-Aubart, F.; et al. Diverse and Targetable Kinase Alterations Drive Histiocytic Neoplasms. Cancer Discov. 2016, 6, 154–165. [Google Scholar] [CrossRef]
- Imataki, O.; Uemura, M.; Fujita, H.; Kadowaki, N. Application of PD - L1 blockade in refractory histiocytic sarcoma: A case report. Mol. Clin. Oncol. 2022, 17, 136. [Google Scholar] [CrossRef]
- Nguyen, L.T.; Pham, G.H.; Vu, P.T.; Yi, H.G. Favorable outcome of a histiocytic sarcoma patient treated with immune checkpoint inhibitor: A case report. Ann. Med. Surg. 2023, 85, 6274–6278. [Google Scholar] [CrossRef]
- Liu, P.; Pan, X.; Chen, C.; Niu, T.; Shuai, X.; Wang, J.; Che, X.; Liu, J.; Guo, Y.; Xie, L.; et al. Nivolumab treatment of relapsed/refractory Epstein-Barr virus—Associated hemophagocytic lymphohistiocytosis in adults. Blood 2020, 135, 826–833. [Google Scholar] [CrossRef]
- Zhao, Y.; Deng, Y.; Jiang, Y.; Zheng, W.; Tan, Y.; Yang, Z.; Wang, Z.; Xu, F.; Cheng, Z.; Yuan, L.; et al. Case report: Targeting the PD-1 receptor and genetic mutations validated in primary histiocytic sarcoma with hemophagocytic lymphohistiocytosis. Front. Immunol. 2023, 14, 1127599. [Google Scholar] [CrossRef]
- Zeidan, A.; Bolaños-Meade, J.; Kasamon, Y.; Aoki, J.; Borowitz, M.; Swinnen, L.; Symons, H.; Luznik, L.; Fuchs, E.; Jones, R.; et al. Human leukocyte antigen-haploidentical hematopoietic stem cell transplant for a patient with histiocytic sarcoma. Leuk. Lymphoma 2013, 54, 655–657. [Google Scholar] [CrossRef]
- Tomlin, J.; Orosco, R.K.; Boles, S.; Tipps, A.; Wang, H.Y.; Husseman, J.; Wieduwilt, M. Case Report Successful Treatment of Multifocal Histiocytic Mitoxantrone (CLAG-M)Followed by Allogeneic Hematopoietic Stem Cell Transplantation. Case Rep. Hematol. 2015, 2015, 728260. [Google Scholar] [CrossRef]
- Abidi, M.H.; Tove, I.; Ibrahim, R.B.; Maria, D.; Peres, E. Thalidomide for the treatment of histiocytic sarcoma after hematopoietic stem cell transplant. Am. J. Hematol. 2007, 82, 932–933. [Google Scholar] [CrossRef]
- Gergis, U.; Dax, H.; Ritchie, E.; Marcus, R.; Wissa, U.; Orazi, A. Autologous hematopoietic stem-cell transplantation in combination with thalidomide as treatment for histiocytic sarcoma: A case report and review of the literature. J. Clin. Oncol. 2011, 29, e251–e253. [Google Scholar] [CrossRef]
- Cazin, B.; Gorin, N.C.; Jouet, J.P.; Laporte, J.P.; Fenaux, P.; Walter, M.P.; Najman, A.; Gosselin, B.; Bauters, F. Successful autologous bone marrow transplantation in second remission of malignant histiocytosis. Bone Marrow Transplant. 1990, 5, 431–433. [Google Scholar]
- Huynh, K.N.; Nguyen, B.D. Histiocytosis and Neoplasms of Macrophage-Dendritic Cell Lineages: Multimodality Imaging with Emphasis on PET/CT. Radiographics 2021, 41, 576–594. [Google Scholar] [CrossRef]
- Cheon, M.; Yoo, J.; Kim, H.S.; Lee, M. Enhanced Computed Tomography and 18F-fluorodeoxyglucose Positron Emission Tomography/Computed Tomography in the Uncommon Histiocytic Sarcoma of Small Intestine Arising after Gastric Large B-Cell Lymphoma. Diagnostics 2023, 13, 3189. [Google Scholar] [CrossRef]
- Berry, J.; Russell, J.A. Salvage of relapsed malignant histiocytosis by autologous bone marrow transplant. Bone Marrow Transplant. 1989, 4, 123–124. [Google Scholar] [PubMed]





Disclaimer/Publisher’s Note: The statements, opinions and data contained in all publications are solely those of the individual author(s) and contributor(s) and not of MDPI and/or the editor(s). MDPI and/or the editor(s) disclaim responsibility for any injury to people or property resulting from any ideas, methods, instructions or products referred to in the content. |
© 2025 by the authors. Licensee MDPI, Basel, Switzerland. This article is an open access article distributed under the terms and conditions of the Creative Commons Attribution (CC BY) license.
Share and Cite
Oliva, S.; Gill, J.; Boccellato, E.; Mortara, U.; Molinaro, L.; Godio, L.; Sieni, E.; Buccoliero, A.M.; Dogliotti, I.; Busca, A.; et al. Durable Response in Histiocytic Sarcoma After Allogeneic Stem Cell Transplantation: A Case Report. Hematol. Rep. 2026, 18, 2. https://doi.org/10.3390/hematolrep18010002
Oliva S, Gill J, Boccellato E, Mortara U, Molinaro L, Godio L, Sieni E, Buccoliero AM, Dogliotti I, Busca A, et al. Durable Response in Histiocytic Sarcoma After Allogeneic Stem Cell Transplantation: A Case Report. Hematology Reports. 2026; 18(1):2. https://doi.org/10.3390/hematolrep18010002
Chicago/Turabian StyleOliva, Stefania, Jessica Gill, Elia Boccellato, Umberto Mortara, Luca Molinaro, Laura Godio, Elena Sieni, Anna Maria Buccoliero, Irene Dogliotti, Alessandro Busca, and et al. 2026. "Durable Response in Histiocytic Sarcoma After Allogeneic Stem Cell Transplantation: A Case Report" Hematology Reports 18, no. 1: 2. https://doi.org/10.3390/hematolrep18010002
APA StyleOliva, S., Gill, J., Boccellato, E., Mortara, U., Molinaro, L., Godio, L., Sieni, E., Buccoliero, A. M., Dogliotti, I., Busca, A., Califaretti, E., Benedetto, B., & Giaccone, L. (2026). Durable Response in Histiocytic Sarcoma After Allogeneic Stem Cell Transplantation: A Case Report. Hematology Reports, 18(1), 2. https://doi.org/10.3390/hematolrep18010002

