CMV Colitis: A Rare Complication of Azacitidine and Venetoclax Chemotherapy
Abstract
1. Introduction
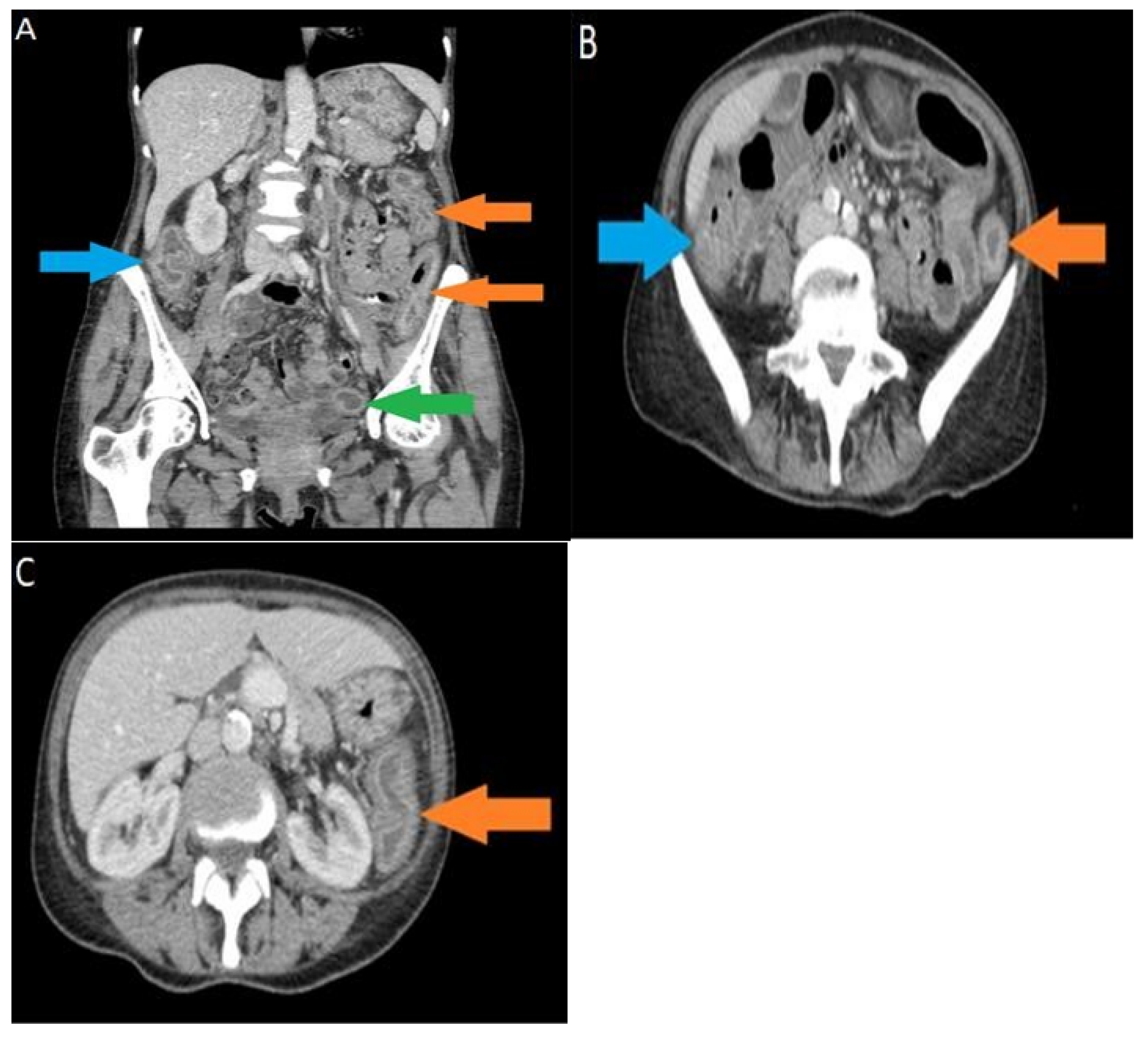
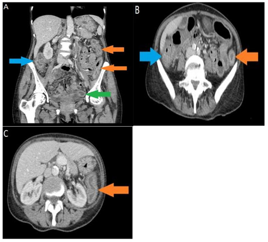
2. Case Presentation
2.1. Differential Diagnosis
2.2. Treatment, Outcome, and Follow Up
3. Discussion and Conclusions
Author Contributions
Funding
Institutional Review Board Statement
Informed Consent Statement
Data Availability Statement
Conflicts of Interest
References
- Styczynski, J. Who is the patient at risk of CMV recurrence: A review of the current scientific evidence with a focus on hematopoietic cell transplantation. Infect. Dis. Ther. 2018, 7, 1–6. [Google Scholar] [CrossRef] [PubMed]
- Marchesi, F.; Pimpinelli, F.; Ensoli, F.; Mengarelli, A. Cytomegalovirus infection in hematologic malignancy settings other than the allogeneic transplant. Hematol. Oncol. 2018, 36, 381–391. [Google Scholar] [CrossRef] [PubMed]
- Kaminskas, E.; Farrell, A.T.; Wang, Y.C.; Sridhara, R.; Pazdur, R. FDA Drug Approval Summary: Azacitidine (5-azacytidine, Vidaza™) for Injectable Suspension. Oncologist 2005, 10, 176–182. [Google Scholar] [CrossRef] [PubMed]
- Khan, R.; Rudkin, P.; Grewal, K.; Leonard, J.; Hamodat, M.; Hutchinson, J.; Daley, P. Cytomegalovirus colitis following azacitidine therapy. Can. J. Infect. Dis. Med. Microbiol. 2011, 22, e21–e23. [Google Scholar] [CrossRef] [PubMed]
- Handous, I.; Achour, B.; Marzouk, M.; Rouis, S.; Hazgui, O.; Brini, I.; Khelif, A.; Hannachi, N.; Boukadida, J. Co-infections of human herpesviruses (CMV, HHV-6, HHV-7 and EBV) in non-transplant acute leukemia patients undergoing chemotherapy. Virol. J. 2020, 17, 37. [Google Scholar] [CrossRef] [PubMed]
- Teraishi, F.; Shimamura, H.; Suzuki, T.; Nakamoto, M.; Chikuba, A.; Nezu, M.; Kohsaka, S.; Takiue, T.; Chikuba, H. Cytomegalovirus colitis after systemic chemotherapy in a patient with recurrent colon cancer: A case report. J. Med. Case Rep. 2008, 2, 289. [Google Scholar] [CrossRef] [PubMed]
- Chuang, T.M.; Hsu, C.M.; Liang, P.I.; Hsiao, H.H. Cytomegalovirus colitis with presentation of hemorrhagic colitis in chronic myeloid leukemia during dasatinib therapy. J. Formos. Med. Assoc. Taiwan Yi Zhi 2021, 120, 1155–1157. [Google Scholar] [CrossRef] [PubMed]
- Bossa, F.; Perri, F.; Niro, G.; Parente, P.; Graziano, P.; Andriulli, A. Cytomegalovirus colitis in a patient treated with ipilimumab for metastatic melanoma. Aliment. Pharmacol. Ther. 2016, 43, 174–175. [Google Scholar] [CrossRef] [PubMed]
- Van den Brande, J.; Schrijvers, D.; Colpaert, C.; Vermorken, J.B. Cytomegalovirus colitis after administration of docetaxel-5-fluorouracil-cisplatin chemotherapy for locally advanced hypopharyngeal cancer. Ann. Oncol. 1999, 10, 1369–1372. [Google Scholar] [CrossRef] [PubMed]
- Hayashi, H.; Komatsu, Y.; Uchida, T.; Abe, N.; Ito, K.; Hirata, K.; Matsuda, K.; Fujinaga, A. Cytomegalovirus colitis in a patient undergoing postoperative adjuvant chemotherapy for lung adenocarcinoma with uracil-tegafur. J. Infect. Chemother. 2016, 22, 826–829. [Google Scholar] [CrossRef] [PubMed]
- An, J.; Brownell, J.; Barker, D.; Stockinger, T.; Brady, R.; Cebe, K.; Baur, R. Cytomegalovirus Colitis Masquerading as Apple-Core Lesion after Systemic Chemotherapy in a Patient with Relapsed Acute Myeloid Leukemia. Case Rep. Oncol. Med. 2018, 2018, 5683417. [Google Scholar] [CrossRef] [PubMed]
- Polprasert, C.; Wongjitrat, C.; Wisedopas, N. Case report: Severe CMV colitis in a patient with follicular lymphoma after chemotherapy. J. Med. Assoc. Thail. 2011, 94, 498. [Google Scholar]
- Nomura, K.; Kamitsuji, Y.; Kono, E.; Matsumoto, Y.; Yoshida, N.; Konishi, H.; Horiike, S.; Okanoue, T.; Taniwaki, M. Severe cytomegalovirus enterocolitis after standard chemotherapy for non-Hodgkin’s lymphoma. Scand. J. Gastroenterol. 2005, 40, 604–606. [Google Scholar] [CrossRef] [PubMed]
- Matthes, T.; Kaiser, L.; Weber, D.; Kurt, A.M.; Dietrich, P.Y. Cytomegalovirus colitis—A severe complication after standard chemotherapy. Acta Oncol. 2002, 41, 704–706. [Google Scholar] [CrossRef] [PubMed]
- Case, R., Jr.; Stoner, P.; Myrick, S.; Zimmermann, E. Solitary ascending colon ulcer diagnosed as gastrointestinal CMV disease. BMJ Case Rep. CP 2019, 12, bcr-2018. [Google Scholar] [CrossRef] [PubMed]
- Ramos, C.P.; Lopes, E.O.; Diniz, A.N.; Lobato, F.C.; Vilela, E.G.; Silva, R.O. Evaluation of glutamate dehydrogenase (GDH) and toxin A/B rapid tests for Clostridioides (prev. Clostridium) difficile diagnosis in a university hospital in Minas Gerais, Brazil. Braz. J. Microbiol. 2020, 51, 1139–1143. [Google Scholar] [CrossRef] [PubMed]
- Novak-Weekley, S.M.; Hollingsworth, M.H. Comparison of the premier toxin A and B assay and the TOX A/B II assay for diagnosis of Clostridium difficile infection. Clin. Vaccine Immunol. 2008, 15, 575–578. [Google Scholar] [CrossRef] [PubMed][Green Version]
- Nakase, H.; Herfarth, H. Cytomegalovirus colitis, cytomegalovirus hepatitis and systemic cytomegalovirus infection: Common features and differences. Inflamm. Intest. Dis. 2016, 1, 15–23. [Google Scholar] [CrossRef] [PubMed]
- Murdaca, G.; Gerosa, A. Vitamind D and Microbiota: Is there a link with Allergies? Int. J. Mol. Sci. 2021, 22, 4288. [Google Scholar] [CrossRef] [PubMed]
- Yerushalmy-Feler, A.; Padlipsky, J.; Cohen, S. Diagnosis and management of CMV colitis. Curr. Infect. Dis. Rep. 2019, 21, 5. [Google Scholar] [CrossRef] [PubMed]





| Author | Cancer Type (Solid vs. Haem) | CMV Colitis (Yes/No) | CMV Viraemia (Yes/No) | Previous Transplant (Yes/No) | Chemotherapy Regimen during the CMV Episode | Numbers of Cycles of Chemo to CMV Reactivation | CMV-Death |
|---|---|---|---|---|---|---|---|
| Teraishi F [6] | Solid | Yes | Not available | No | 5-FU, Leucovorin, Irinotecan | 1 | not available |
| Chuang T M [7] | Haem | Yes | No | No | Dasatinib | Not available | No |
| Bossa F [8] | Solid | Yes | Not available | No | Ipilimumab | Not available | Not available |
| Van Den Brande J [9] | Solid | Yes | Not available | No | 5-FU, docetaxel, Cisplatin | 1 | No |
| Hayashi H [10] | Solid | Yes | Not available | No | Uracil-tegafur | Not available | No |
| An J [11] | Haem | Yes | Not available | No | Cytarabine, Mitoxantrone | 1 | No |
| Polprasert C [12] | Haem | Yes | Not available | No | Rituximab-Cyclophosphamide-Vincristine-Prednisolone | 8 | No |
| Nomura K [13] | Haem | Yes | Not available | No | Rituximab, Cyclophosphamide, Adriamycin, Vincristine, Prednisolone | 6 | No |
| Matthes T [14] | Solid | Yes | Yes | No | Cisplatin, Etoposide | 1 | No |
| Case Jr R [15] | Solid | Yes | Yes | No | Capecitabine | 3 | No |
| Khan R [4] | Haem | Yes | Not available | No | Azacitidine | 5 | No |
| Current case | Haem | Yes | no | N | Azacitidine + venetoclax | 2 | No |
| CBC Component | Result | Reference Range |
|---|---|---|
| White cell count | 7.79 × 10^9/L | 4.00–11.00 × 10^9/L |
| Neutrophils | 5.74 × 10^9/L | 2.2–6.3 × 10^9/L |
| Lymphocytes | 0.75 × 10^9/L | 1.3–4.0 × 10^9/L |
| Monocytes | 0.58 × 10^9/L | 0.2–1.0 × 10^9/L |
| Basophils | 0.05 × 10^9/L | 0–0.1 × 10^9/L |
| Eosinophils | 0.68 × 10^9/L | 0–0.4 × 10^9/L |
| Haemoglobin | 101 g/L | 115–155 g/L |
| Platelet | 404 × 10^9/L | 150–450 × 10^9/L |
| Faecal Virology Test | |
| Faecal adenovirus DNA | Negative |
| Astrovirus | Negative |
| Norovirus | Negative |
| Sapovirus | Negative |
| Rotavirus | Negative |
| Faecal Bacteriology Test | |
| Salmonella | Not isolated |
| Shigella | Not isolated |
| Campylobacter | Not isolated |
| E. coli 0157 | Not isolated |
| Clostridium difficile toxin | Negative |
| Faecal Parasitology Test | |
| Cryptosporidium ZN stain | Not seen |
| Marker for Inflammatory Bowel Disease | |
| Faecal Calprotectin level | 2260 [<50 ug/g] |
Publisher’s Note: MDPI stays neutral with regard to jurisdictional claims in published maps and institutional affiliations. |
© 2022 by the authors. Licensee MDPI, Basel, Switzerland. This article is an open access article distributed under the terms and conditions of the Creative Commons Attribution (CC BY) license (https://creativecommons.org/licenses/by/4.0/).
Share and Cite
Bankur, M.N.; Keeling, A.; Adil Shah, K.M.; Avenoso, D. CMV Colitis: A Rare Complication of Azacitidine and Venetoclax Chemotherapy. Hematol. Rep. 2022, 14, 213-221. https://doi.org/10.3390/hematolrep14030029
Bankur MN, Keeling A, Adil Shah KM, Avenoso D. CMV Colitis: A Rare Complication of Azacitidine and Venetoclax Chemotherapy. Hematology Reports. 2022; 14(3):213-221. https://doi.org/10.3390/hematolrep14030029
Chicago/Turabian StyleBankur, Mustafa Nissar, Archie Keeling, Khoodoruth Mohamed Adil Shah, and Daniele Avenoso. 2022. "CMV Colitis: A Rare Complication of Azacitidine and Venetoclax Chemotherapy" Hematology Reports 14, no. 3: 213-221. https://doi.org/10.3390/hematolrep14030029
APA StyleBankur, M. N., Keeling, A., Adil Shah, K. M., & Avenoso, D. (2022). CMV Colitis: A Rare Complication of Azacitidine and Venetoclax Chemotherapy. Hematology Reports, 14(3), 213-221. https://doi.org/10.3390/hematolrep14030029

