Acute Acalculous Cholecystitis Due to a Primary Epstein Barr Virus Infection in a Pediatric Patient
Abstract
1. Introduction
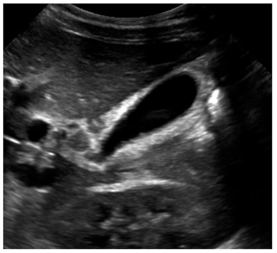
2. Case Report
3. Discussion
4. Conclusions
Author Contributions
Funding
Institutional Review Board Statement
Informed Consent Statement
Data Availability Statement
Conflicts of Interest
References
- Balmadrid, B. Recent advances in management of acalculous cholecystitis. F1000Research 2018, 7, 1660. [Google Scholar] [CrossRef] [PubMed]
- Poddighe, D.; Sazonov, V. Acute acalculous cholecystitis in children. World J. Gastroenterol. 2018, 24, 4870–4879. [Google Scholar] [CrossRef]
- Kim, A.; Yang, H.R.; Moon, J.S.; Chang, J.Y.; Ko, J.S. Epstein-Barr Virus Infection with Acute Acalculous Cholecystitis. Pediatr. Gastroenterol. Hepatol. Nutr. 2014, 17, 57–60. [Google Scholar] [CrossRef] [PubMed][Green Version]
- Young, C.; Lampe, R. Primary Epstein-Barr Virus Infection in an Adolescent Female Complicated by Acute Acalculous Cholecystitis. Cureus 2019, 11, e5044. [Google Scholar] [CrossRef]
- Agergaard, J.; Larsen, C. Acute acalculous cholecystitis in a patient with primary Epstein-Barr virus infection: A case report and literature review. Int. J. Infect. Dis. 2015, 35, 67–72. [Google Scholar] [CrossRef] [PubMed]
- Iglesias, C.; Lorenzo, G.; Rodríguez, L.; Gautreaux, S.; Mora, M. Acute acalculous cholecystitis in a patient without underlying pathology. An. Pediatr. 2014, 81, 271–272. [Google Scholar]
- Yoshie, K.; Ohta, M.; Okabe, N.; Komatsu, T.; Umemura, S. Gallbladder wall thickening associated with infectious mononucleosis. Abdom. Imaging 2004, 29, 694–695. [Google Scholar] [CrossRef]
- Lagona, E.; Sharifi, F.; Voutsioti, A.; Mavri, A.; Markouri, M.; Attilakos, A. Epstein-Barr Virus Infectious Mononucleosis Associated with Acute Acalculous Cholecystitis. Infection 2007, 35, 118–119. [Google Scholar] [CrossRef]
- Prassouli, A.; Panagiotou, J.; Vakaki, M.; Giannatou, I.; Atilakos, A.; Garoufi, A.; Papaevangelou, V. Acute acalculous cholecystitis as the initial presentation of primary Epstein-Barr virus infection. J. Pediatr. Surg. 2007, 42, e11–e13. [Google Scholar] [CrossRef] [PubMed]
- Gora-Gebka, M.; Liberek, A.; Bako, W.; Szarszewski, A.; Kamińska, B.; Korzon, M. Acute acalculous cholecystitis of viral etiology—A rare condition in children? J. Pediatr. Surg. 2008, 43, e25–e27. [Google Scholar] [CrossRef] [PubMed]
- Pelliccia, P.; Savino, A.; Cecamore, C.; Di Marzio, D.; Chiarelli, F.; Primavera, A.; Schiavone, C. Imaging spectrum of EBV-infection in a young patient. J. Ultrasound 2008, 11, 82–84. [Google Scholar] [CrossRef]
- Attilakos, A.; Prassouli, A.; Hadjigeorgiou, G.; Lagona, E.; Kitsiou-Tzeli, S.; Galla, A.; Stasinopoulou, A.; Karpathios, T. Acute acalculous cholecystitis in children with Epstein–Barr virus infection: A role for Gilbert’s syndrome? Int. J. Infect. Dis. 2009, 13, e161–e164. [Google Scholar] [CrossRef]
- Arya, S.O.; Saini, A.; El-Baba, M.; Salimnia, H.; Abdel-Haq, N. Epstein Barr Virus—Associated Acute Acalculous Cholecystitis: A Rare Occurrence but Favorable Outcome. Clin. Pediatr. 2010, 49, 799–804. [Google Scholar] [CrossRef] [PubMed]
- Aydın, T.T.; Tanır, G.; Özel, A.; Timur, Ö.M.; Ekşioğlu, A.S. A case of acute acalculous cholecystitis during the course of reactive Epstein-Barr virus infection. Turk. J. Gastroenterol. 2013, 24, 571–572. [Google Scholar] [CrossRef]
- Fretzayas, A.; Moustaki, M.; Attilakos, A.; Brozou, T.; Nicolaidou, P. Acalculous Cholecystitis or Biliary Dyskinesia for Epstein-Barr Virus Gallbladder Involvement? Prague Med. Rep. 2014, 115, 67–72. [Google Scholar] [CrossRef]
- Poddighe, D.; Cagnoli, G.; Mastricci, N.; Bruni, P. Acute acalculous cholecystitis associated with severe EBV hepatitis in an immunocompetent child. BMJ Case Rep. 2014, 2014. [Google Scholar] [CrossRef] [PubMed]
- Suga, K.; Shono, M.; Goji, A.; Matsuura, S.; Inoue, M.; Kawahito, M.; Mori, K. A case of acute acalculous cholecystitis complicated by primary Epstein-Barr virus infection. J. Med. Investig. 2014, 61, 426–429. [Google Scholar] [CrossRef]
- Alkhoury, F.; Diaz, D.; Hidalgo, J. Acute acalculous cholecystitis (AAC) in the pediatric population associated with Epstein-Barr Virus (EBV) infection. Case report and review of the literature. Int. J. Surg. Case Rep. 2015, 11, 50–52. [Google Scholar] [CrossRef]
- Shah, S.; Schroeder, S. A rare case of primary EBV infection causing acute acalculous cholecystitis. J. Pediatr. Surg. Case Rep. 2015, 3, 285–288. [Google Scholar] [CrossRef][Green Version]
- Branco, L.; Vieira, M.; Couto, C.; Coelho, M.D.; Laranjeira, C. Acute acalculous cholecystitis by Epstein-Barr virus infection: A rare association. Infect. Dis. Rep. 2015, 7, 6184. [Google Scholar] [CrossRef][Green Version]
- Majdalani, M.; Milad, N.; Sahli, Z.; Rizk, S. Acute acalculous cholecystitis in a Lebanese girl with primary Epstein-Barr viral infection. BMJ Case Rep. 2016, 2016. [Google Scholar] [CrossRef]
- Say, D.S.; Chaparro, J.; Koning, J.L.; Sivagnanam, M. Fever and Jaundice in a Previously Healthy Teenager. Clin. Pediatr. 2016, 55, 1081–1084. [Google Scholar] [CrossRef]
- Rodà, D.; Huici, M.; Ricart, S.; Vila, J.; Fortuny, C.; Alsina, L. Cholecystitis and nephrotic syndrome complicating Epstein–Barr virus primary infection. Paediatr. Int. Child Health 2016, 37, 1–4. [Google Scholar] [CrossRef]
- Graber, M.L.; Berg, D.; Jerde, W.; Kibort, P.; Olson, A.P.; Parkash, V. Learning from tragedy: The Julia Berg story. Diagnosis 2018, 5, 257–266. [Google Scholar] [CrossRef]
- Yi, D.Y.; Chang, E.J.; Kim, J.Y.; Lee, E.H.; Yang, H.R. Age, Predisposing Diseases, and Ultrasonographic Findings in Determining Clinical Outcome of Acute Acalculous Inflammatory Gallbladder Diseases in Children. J. Korean Med. Sci. 2016, 31. [Google Scholar] [CrossRef]
- Ntelis, K.; Mazarakis, D.; Sapountzis, A.; Zissi, D.; Sparangi, S.; Xidia, N.; Velissaris, D. Acute Acalculous Cholecystitis Associated with Epstein–Barr Infection: A Case Report and Review of the Literature. Case Rep. Med. 2020, 2020, 1–6. [Google Scholar] [CrossRef]
- Yesilbag, Z.; Karadeniz, A.; Kaya, F.O. Acute acalculous cholecystitis: A rare presentation of primary Epstein-Barr virus infection in adults-case report and review of the literature. Case Rep. Infect. Dis. 2017, 2017, 5790102. [Google Scholar] [CrossRef] [PubMed]
- Yi, D.Y.; Kim, J.Y.; Yang, H.R. Ultrasonographic Gallbladder Abnormality of Primary Epstein-Barr Virus Infec-tion in Children and Its Influence on Clinical Outcome. Medicine (Baltimore) 2015, 94, e1120. [Google Scholar] [CrossRef] [PubMed]
- Lu, Y.A.; Chiu, C.H.; Kong, M.S.; Wang, H.I.; Chao, H.C.; Chen, C.C. Risk factors for poor outcomes of children with acute acalculous cholecystitis. Pediatr. Neonatol. 2017, 58, 497–503. [Google Scholar] [CrossRef] [PubMed]

| Author | Year | Age | Sex | Antibiotic | Surgery | Favorable Outcome |
|---|---|---|---|---|---|---|
| Yoshie et al. [7] | 2004 | 15 | F | - | No | Yes |
| Lagona et al. [8] | 2007 | 4 | F | No | No | Yes |
| Prassouli et al. [9] | 2007 | 13 | F | Yes | No | Yes |
| Gora-Gebka et al. [10] | 2008 | 9 | F | Yes | No | Yes |
| Gora-Gebka et al. [10] | 2008 | 4 | F | Yes | No | Yes |
| Pelliccia et al. [11] | 2008 | 14 | F | No | No | Yes |
| Attilakos et al. [12] | 2009 | 5 | F | Yes | No | Yes |
| Attilakos et al. [12] | 2009 | 4 | M | No | No | Yes |
| Arya et al. [13] | 2010 | 16 | F | Yes | No | Yes |
| Aydin Teke et al. [14] | 2013 | 8 | F | No | No | Yes |
| Fretzayas et al. [15] | 2014 | 11 | F | - | No | Yes |
| Fretzayas et al. [15] | 2014 | 12 | F | - | No | Yes |
| Kim et al. [3] | 2014 | 10 | F | Yes | No | Yes |
| Poddighe et al. [16] | 2014 | 7 | F | Yes | No | Yes |
| Suga et al. [17] | 2014 | 6 | F | Yes | No | Yes |
| Alkhoury et al. [18] | 2015 | 15 | F | No | No | Yes |
| Shah et al. [19] | 2015 | 6 | F | Yes | No | Yes |
| Branco et al. [20] | 2015 | 16 | M | Yes | No | Yes |
| Majdalani et al. [21] | 2016 | 16 | F | Yes | No | Yes |
| Say et al. [22] | 2016 | 14 | F | Yes | No | Yes |
| Rodà et al. [23] | 2017 | 2 | M | Yes | No | Yes |
| Graber et al. [24] | 2018 | 15 | F | Yes | Yes | No |
| Young et al. [4] | 2019 | 14 | F | Yes | No | Yes |
| Present case | 2020 | 10 | F | No | No | Yes |
Publisher’s Note: MDPI stays neutral with regard to jurisdictional claims in published maps and institutional affiliations. |
© 2021 by the authors. Licensee MDPI, Basel, Switzerland. This article is an open access article distributed under the terms and conditions of the Creative Commons Attribution (CC BY) license (http://creativecommons.org/licenses/by/4.0/).
Share and Cite
Leganés Villanueva, C.; Goruppi, I.; Brun Lozano, N.; Bianchi, F.; Quinteiro González, M.; Boronat Guerrero, S. Acute Acalculous Cholecystitis Due to a Primary Epstein Barr Virus Infection in a Pediatric Patient. Pediatr. Rep. 2021, 13, 86-90. https://doi.org/10.3390/pediatric13010011
Leganés Villanueva C, Goruppi I, Brun Lozano N, Bianchi F, Quinteiro González M, Boronat Guerrero S. Acute Acalculous Cholecystitis Due to a Primary Epstein Barr Virus Infection in a Pediatric Patient. Pediatric Reports. 2021; 13(1):86-90. https://doi.org/10.3390/pediatric13010011
Chicago/Turabian StyleLeganés Villanueva, Carlos, Ilaria Goruppi, Nuria Brun Lozano, Federica Bianchi, María Quinteiro González, and Susana Boronat Guerrero. 2021. "Acute Acalculous Cholecystitis Due to a Primary Epstein Barr Virus Infection in a Pediatric Patient" Pediatric Reports 13, no. 1: 86-90. https://doi.org/10.3390/pediatric13010011
APA StyleLeganés Villanueva, C., Goruppi, I., Brun Lozano, N., Bianchi, F., Quinteiro González, M., & Boronat Guerrero, S. (2021). Acute Acalculous Cholecystitis Due to a Primary Epstein Barr Virus Infection in a Pediatric Patient. Pediatric Reports, 13(1), 86-90. https://doi.org/10.3390/pediatric13010011
