Effective Management of a Skin and Soft Tissue Infection Caused by Community-Acquired MRSA Through Triple-Targeted Therapy Along with Aggressive Source Control: A Case Report
Abstract
1. Introduction
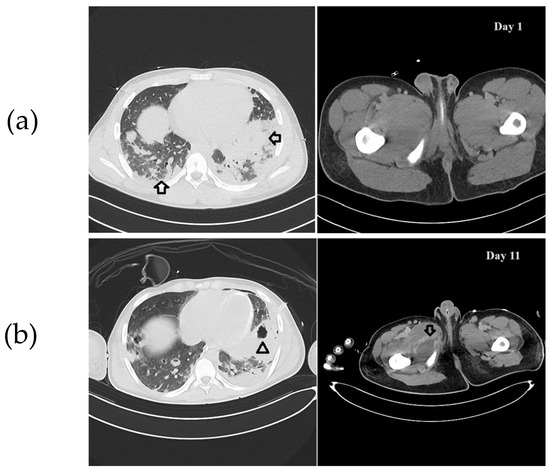
2. Case Description
3. Discussion
4. Conclusions
Author Contributions
Funding
Institutional Review Board Statement
Informed Consent Statement
Data Availability Statement
Acknowledgments
Conflicts of Interest
References
- European Centre for Disease Prevention and Control. Antimicrobial Resistance in the EU/EEA (EARS-Net)—Annual Epidemiological Report 2022; European Centre for Disease Prevention and Control (ECDC): Stockholm, Sweden, 2023. [Google Scholar]
- European Centre for Disease Prevention and Control; World Health Organization. Antimicrobial Resistance Surveillance in Europe 2022: 2020 Data; Publications Office: Luxembourg, 2022. [Google Scholar]
- Tong, S.Y.C.; Davis, J.S.; Eichenberger, E.; Holland, T.L.; Fowler, V.G. Staphylococcus aureus Infections: Epidemiology, Pathophysiology, Clinical Manifestations, and Management. Clin. Microbiol. Rev. 2015, 28, 603–661. [Google Scholar] [CrossRef] [PubMed]
- Klevens, R.; Morrison, M.; Fridkin, S.; Reingold, A.; Petit, S.; Gershman, K.; Ray, S.; Harrison, L.; Lynfield, R.; Dumyati, G.; et al. Community-Associated Methicillin-Resistant Staphylococcus aureus and Healthcare Risk Factors. Emerg. Infect. Dis. 2006, 12, 1991–1993. [Google Scholar] [CrossRef]
- Bellis, K.L.; Dissanayake, O.M.; Harrison, E.M.; Aggarwal, D. Community Methicillin-Resistant Staphylococcus aureus Outbreaks in Areas of Low Prevalence. Clin. Microbiol. Infect. 2025, 31, 182–189. [Google Scholar] [CrossRef] [PubMed]
- Chambers, H.F.; DeLeo, F.R. Waves of Resistance: Staphylococcus aureus in the Antibiotic Era. Nat. Rev. Microbiol. 2009, 7, 629–641. [Google Scholar] [CrossRef]
- Gatti, M.; Viaggi, B.; Rossolini, G.M.; Pea, F.; Viale, P. Targeted Therapy of Severe Infections Caused by Staphylococcus aureus in Critically Ill Adult Patients: A Multidisciplinary Proposal of Therapeutic Algorithms Based on Real-World Evidence. Microorganisms 2023, 11, 394. [Google Scholar] [CrossRef] [PubMed]
- Rose, W.; Fantl, M.; Geriak, M.; Nizet, V.; Sakoulas, G. Current Paradigms of Combination Therapy in Methicillin-Resistant Staphylococcus aureus (MRSA) Bacteremia: Does It Work, Which Combination, and For Which Patients? Clin. Infect. Dis. 2021, 73, 2353–2360. [Google Scholar] [CrossRef]
- Kuehl, R.; Morata, L.; Boeing, C.; Subirana, I.; Seifert, H.; Rieg, S.; Kern, W.V.; Kim, H.B.; Kim, E.S.; Liao, C.-H.; et al. Defining Persistent Staphylococcus aureus Bacteraemia: Secondary Analysis of a Prospective Cohort Study. Lancet Infect. Dis. 2020, 20, 1409–1417. [Google Scholar] [CrossRef]
- Miller, L.G.; Spellberg, B. Treatment of Community-Associated Methicillin-Resistant Staphylococcus aureus Skin and Soft Tissue Infections With Drainage But No Antibiotic Therapy. Pediatr. Infect. Dis. J. 2004, 23, 795. [Google Scholar] [CrossRef]
- De Marco, G.; Vazquez, O.; Gavira, N.; Ramadani, A.; Steiger, C.; Dayer, R.; Ceroni, D. Surgery’s Role in Contemporary Osteoarticular Infection Management. Front. Pediatr. 2022, 10, 1043251. [Google Scholar] [CrossRef]
- Minejima, E.; Mai, N.; Bui, N.; Mert, M.; Mack, W.J.; She, R.C.; Nieberg, P.; Spellberg, B.; Wong-Beringer, A. Defining the Breakpoint Duration of Staphylococcus aureus Bacteremia Predictive of Poor Outcomes. Clin. Infect. Dis. 2020, 70, 566–573. [Google Scholar] [CrossRef]
- Liu, C.; Bayer, A.; Cosgrove, S.E.; Daum, R.S.; Fridkin, S.K.; Gorwitz, R.J.; Kaplan, S.L.; Karchmer, A.W.; Levine, D.P.; Murray, B.E.; et al. Clinical Practice Guidelines by the Infectious Diseases Society of America for the Treatment of Methicillin-Resistant Staphylococcus aureus Infections in Adults and Children. Clin. Infect. Dis. 2011, 52, e18–e55. [Google Scholar] [CrossRef] [PubMed]
- Weigelt, J.; Itani, K.; Stevens, D.; Lau, W.; Dryden, M.; Knirsch, C. Linezolid versus Vancomycin in Treatment of Complicated Skin and Soft Tissue Infections. Antimicrob. Agents Chemother. 2005, 49, 2260–2266. [Google Scholar] [CrossRef] [PubMed]
- Kato, H.; Hagihara, M.; Asai, N.; Shibata, Y.; Koizumi, Y.; Yamagishi, Y.; Mikamo, H. Meta-Analysis of Vancomycin versus Linezolid in Pneumonia with Proven Methicillin-Resistant Staphylococcus aureus. J. Glob. Antimicrob. Resist. 2021, 24, 98–105. [Google Scholar] [CrossRef]
- Hong, X.-B.; Yu, Z.-L.; Fu, H.-B.; Cai, Z.-H.; Chen, J. Daptomycin and Linezolid for Severe Methicillin-Resistant Staphylococcus aureus Psoas Abscess and Bacteremia: A Case Report and Review of the Literature. World J. Clin. Cases 2022, 10, 2550–2558. [Google Scholar] [CrossRef]
- Mpenge, M.; MacGowan, A. Ceftaroline in the Management of Complicated Skin and Soft Tissue Infections and Community Acquired Pneumonia. Ther. Clin. Risk Manag. 2015, 11, 565–579. [Google Scholar] [CrossRef]
- Gil Romero, Y.; Gómez-Garcés, J.-L. Actividad in vitro de la combinación de ceftarolina con otros antimicrobianos activos frente a Staphylococcus spp. Enfermedades Infecc. Microbiol. Clínica 2020, 38, 25–27. [Google Scholar] [CrossRef]
- Villa, G.; Di Maggio, P.; De Gaudio, A.R.; Novelli, A.; Antoniotti, R.; Fiaccadori, E.; Adembri, C. Effects of Continuous Renal Replacement Therapy on Linezolid Pharmacokinetic/Pharmacodynamics: A Systematic Review. Crit. Care 2016, 20, 374. [Google Scholar] [CrossRef]
- Corona, A.; Veronese, A.; Santini, S.; Cattaneo, D. “CATCH” Study: Correct Antibiotic Therapy in Continuous Hemofiltration in the Critically Ill in Continuous Renal Replacement Therapy: A Prospective Observational Study. Antibiotics 2022, 11, 1811. [Google Scholar] [CrossRef]
- Lin, B.; Hu, Y.; Xu, P.; Xu, T.; Chen, C.; He, L.; Zhou, M.; Chen, Z.; Zhang, C.; Yu, X.; et al. Expert Consensus Statement on Therapeutic Drug Monitoring and Individualization of Linezolid. Front. Public Health 2022, 10, 967311. [Google Scholar] [CrossRef]
- Gatti, M.; Cojutti, P.G.; Bartoletti, M.; Tonetti, T.; Bianchini, A.; Ramirez, S.; Pizzilli, G.; Ambretti, S.; Giannella, M.; Mancini, R.; et al. Expert Clinical Pharmacological Advice May Make an Antimicrobial TDM Program for Emerging Candidates More Clinically Useful in Tailoring Therapy of Critically Ill Patients. Crit. Care 2022, 26, 178. [Google Scholar] [CrossRef]
- Saravolatz, L.D.; Pawlak, J. In Vitro Activity of Fosfomycin Alone and in Combination against Staphylococcus aureus with Reduced Susceptibility or Resistance to Methicillin, Vancomycin, Daptomycin or Linezolid. J. Antimicrob. Chemother. 2023, 78, 238–241. [Google Scholar] [CrossRef]
- Finazzi, S.; Luci, G.; Olivieri, C.; Langer, M.; Mandelli, G.; Corona, A.; Viaggi, B.; Di Paolo, A. Tissue Penetration of Antimicrobials in Intensive Care Unit Patients: A Systematic Review—Part I. Antibiotics 2022, 11, 1164. [Google Scholar] [CrossRef] [PubMed]
- Dijkmans, A.C.; Zacarías, N.V.O.; Burggraaf, J.; Mouton, J.W.; Wilms, E.; Van Nieuwkoop, C.; Touw, D.J.; Stevens, J.; Kamerling, I.M.C. Fosfomycin: Pharmacological, Clinical and Future Perspectives. Antibiotics 2017, 6, 24. [Google Scholar] [CrossRef] [PubMed]
- Holland, T.L.; Arnold, C.; Fowler, V.G. Clinical Management of Staphylococcus aureus Bacteremia: A Review. JAMA 2014, 312, 1330. [Google Scholar] [CrossRef]
- Holland, T.L.; Bayer, A.S.; Fowler, V.G. Persistent Methicillin-Resistant Staphylococcus aureus Bacteremia: Resetting the Clock for Optimal Management. Clin. Infect. Dis. 2022, 75, 1668–1674. [Google Scholar] [CrossRef]
- Reitz, K.M.; Kennedy, J.; Li, S.R.; Handzel, R.; Tonetti, D.A.; Neal, M.D.; Zuckerbraun, B.S.; Hall, D.E.; Sperry, J.L.; Angus, D.C.; et al. Association Between Time to Source Control in Sepsis and 90-Day Mortality. JAMA Surg. 2022, 157, 817. [Google Scholar] [CrossRef]
- Fanelli, V.; Ranieri, M.V.; Mancebo, J.; Moerer, O.; Quintel, M.; Morley, S.; Moran, I.; Parrilla, F.; Costamagna, A.; Gaudiosi, M.; et al. Feasibility and Safety of Low-Flow Extracorporeal Carbon Dioxide Removal to Facilitate Ultra-Protective Ventilation in Patients with Moderate Acute Respiratory Distress Syndrome. Crit. Care 2016, 20, 36. [Google Scholar] [CrossRef]
- Combes, A.; Fanelli, V.; Pham, T.; Ranieri, V.M.; On behalf of the European Society of Intensive Care Medicine Trials Group. The “Strategy of Ultra-Protective lung ventilation with Extracorporeal CO2 Removal for New-Onset moderate to severe ARDS” (SUPERNOVA) investigators. Feasibility and Safety of Extracorporeal CO2 Removal to Enhance Protective Ventilation in Acute Respiratory Distress Syndrome: The SUPERNOVA Study. Intensive Care Med. 2019, 45, 592–600. [Google Scholar] [CrossRef]



| Parameter | ED Admission (2:00 PM) | ED T1 (4:00–6:00 PM) | ICU Admission (7:00 PM) | ICU Day 1 | ICU Day 2 | ICU Day 4 | ICU Day 11 | ICU Day 17 | ICU Day 21 | ICU Discharge |
|---|---|---|---|---|---|---|---|---|---|---|
| WBC (109/L) | 4.56 | 6.45 | 6.05 | 12.6 | 21.96 | 24.4 | 21.5 | 9.86 | 9.05 | 8.2 |
| Hb (g/dL) | 13.7 | 15 | 13.4 | 9.8 | 9.5 | 9.6 | 7.8 | 8 | 9.4 | 8.7 |
| HCT (%) | 40.9 | 45.4 | 41.6 | 30.9 | 29.4 | 30 | 24.2 | 24.5 | 29.9 | 27.4 |
| PLT (109/L) | 37 | 49 | 34 | 48 | 61 | 70 | 203 | 130 | 59 | 140 |
| INR | 1.37 | 1.27 | 1.37 | 1.57 | 1.39 | 1.32 | 1.02 | 0.98 | 1.02 | 1.25 |
| PTT ratio | 1.77 | 1.57 | 1.65 | 1.61 | 1.29 | 1.07 | 1.1 | 1.73 | 1.17 | 1.16 |
| Mioglobin (ug/L) | NA | NA | 3374 | 5312 | 1341 | 422 | 1277 | 288 | 384 | 26 |
| CK-MB (ng/mL) | NA | 19.6 | 23.1 | 68.5 | 33.4 | 4.8 | 6.8 | 3.1 | 4.5 | 2 |
| T-Troponine (mg/dL) | 75 | 877.4 | 1046 | 555 | 357 | 860 | 248 | 73 | 99.4 | 101.1 |
| CK (U/L) | 2136 | 3103 | 2039 | 4106 | 2753 | 592 | 72 | 95 | 91 | 13 |
| Lactate (mmol/L) | 4.56 | 5.22 | 4.64 | 3.22 | 2.65 | 1.65 | 2.42 | 2.46 | 1.88 | 1 |
| Creatinine (mg/dL) | 1.57 | 1.73 | 1.5 | 1.68 | 1.18 | 0.79 | 1.22 | 0.37 | 0.84 | 1.02 |
| Urea (mg/dL) | 115 | 108 | 122 | 132 | 113 | 100 | 89 | 51 | 36 | 47 |
| Na+ (mmol/L) | 131 | 128 | 134 | 134 | 135 | 140 | 130 | 136 | 138 | 136 |
| K+ (mmol/L) | 3.8 | 3.8 | 3.9 | 4.5 | 4.6 | 4 | 4.1 | 4.3 | 3.3 | 3.8 |
| Albumin (g/dL) | NA | NA | 2.68 | 3.05 | 2.56 | 2.78 | 1.94 | 3.21 | 2.62 | 2.66 |
| AST (U/L) | NA | 325 | 268 | 206 | 153 | 89 | 76 | 265 | 53 | 30 |
| ALT (U/L) | 109 | 133 | 110 | 86 | 93 | 80 | 49 | 185 | 79 | 21 |
| Bilirubin tot. (mg/dL) | 4.17 | 4.85 | 4.59 | 4.06 | 3.66 | 6.36 | 7.6 | 8.96 | 1.67 | 0.78 |
| Pro-BNP (ng/L) | 5601 | NA | 7949 | 14,239 | 14,124 | 7419 | 5118 | 701 | 6670 | 15,066 |
| LDH (U/L) | 729 | NA | 572 | 627 | 588 | 543 | 375 | 227 | 207 | 232 |
| Ferritine (ng/mL) | 2965 | NA | 1876 | NA | NA | 1632 | NA | NA | NA | 747 |
| Procalcitonin (ng/mL) | 83.18 | NA | 80.55 | NA | 48.64 | 22.6 | 3.66 | 2.09 | 1.54 | 0.27 |
| CRP (mg/dL) | 31.8 | NA | NA | NA | NA | NA | NA | NA | NA | NA |
Disclaimer/Publisher’s Note: The statements, opinions and data contained in all publications are solely those of the individual author(s) and contributor(s) and not of MDPI and/or the editor(s). MDPI and/or the editor(s) disclaim responsibility for any injury to people or property resulting from any ideas, methods, instructions or products referred to in the content. |
© 2025 by the authors. Licensee MDPI, Basel, Switzerland. This article is an open access article distributed under the terms and conditions of the Creative Commons Attribution (CC BY) license (https://creativecommons.org/licenses/by/4.0/).
Share and Cite
Laratta, M.; Agliardi, S.; Sola, M.; Spina, S.; Fumagalli, R. Effective Management of a Skin and Soft Tissue Infection Caused by Community-Acquired MRSA Through Triple-Targeted Therapy Along with Aggressive Source Control: A Case Report. Infect. Dis. Rep. 2025, 17, 27. https://doi.org/10.3390/idr17020027
Laratta M, Agliardi S, Sola M, Spina S, Fumagalli R. Effective Management of a Skin and Soft Tissue Infection Caused by Community-Acquired MRSA Through Triple-Targeted Therapy Along with Aggressive Source Control: A Case Report. Infectious Disease Reports. 2025; 17(2):27. https://doi.org/10.3390/idr17020027
Chicago/Turabian StyleLaratta, Matteo, Stefano Agliardi, Matteo Sola, Stefano Spina, and Roberto Fumagalli. 2025. "Effective Management of a Skin and Soft Tissue Infection Caused by Community-Acquired MRSA Through Triple-Targeted Therapy Along with Aggressive Source Control: A Case Report" Infectious Disease Reports 17, no. 2: 27. https://doi.org/10.3390/idr17020027
APA StyleLaratta, M., Agliardi, S., Sola, M., Spina, S., & Fumagalli, R. (2025). Effective Management of a Skin and Soft Tissue Infection Caused by Community-Acquired MRSA Through Triple-Targeted Therapy Along with Aggressive Source Control: A Case Report. Infectious Disease Reports, 17(2), 27. https://doi.org/10.3390/idr17020027

