A Case of Yellow Nail Syndrome Complicated with Pulmonary Infection Due to Nocardia cyriacigeorgica
Abstract
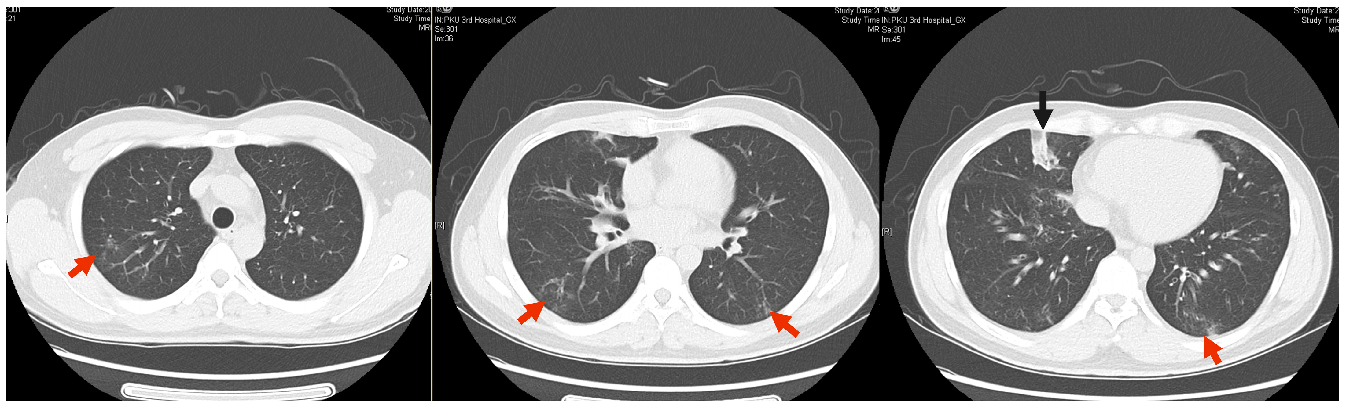
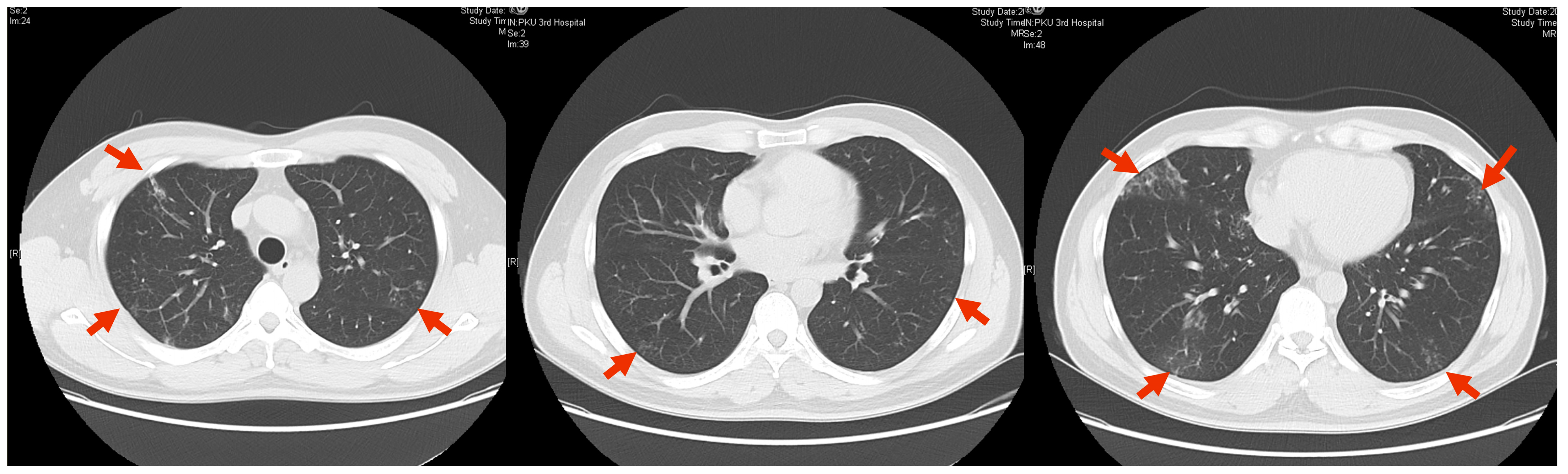
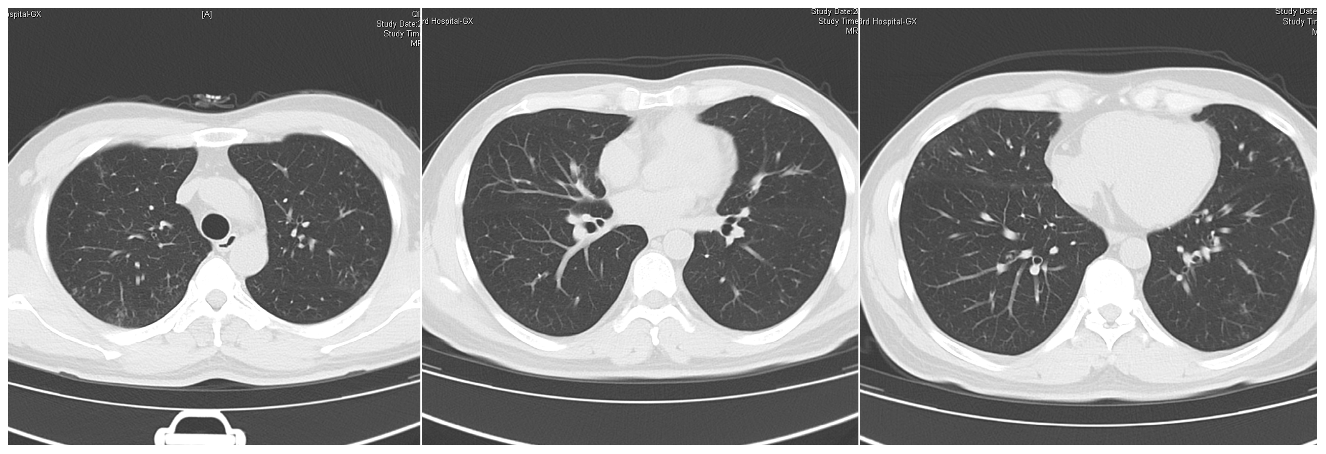
1. Case Presentation
2. Discussion
3. Conclusions
Author Contributions
Funding
Institutional Review Board Statement
Informed Consent Statement
Data Availability Statement
Conflicts of Interest
References
- Samman, P.D.; White, W.F. The “Yellow Nail” Syndrome. Br. J. Dermatol. 1964, 76, 153–157. [Google Scholar] [CrossRef] [PubMed]
- Emerson, P.A. Yellow nails, lymphoedema, and pleural effusions. Thorax 1966, 21, 247–253. [Google Scholar] [CrossRef] [PubMed]
- Runyon, B.A.; Forker, E.L.; Sopko, J.A. Pleural-fluid kinetics in a patient with primary lymphedema, pleural effusions, and yellow nails. Am. Rev. Respir. Dis. 1979, 119, 821–825. [Google Scholar] [CrossRef] [PubMed]
- Valdés, L.; Huggins, J.T.; Gude, F.; Ferreiro, L.; Alvarez-Dobaño, J.M.; Golpe, A.; Toubes, M.E.; González-Barcala, F.J.; José, E.S.; Sahn, S.A. Characteristics of patients with yellow nail syndrome and pleural effusion. Respirology 2014, 19, 985–992. [Google Scholar] [CrossRef] [PubMed]
- Woodfield, G.; Nisbet, M.; Jacob, J.; Mok, W.; Loebinger, M.R.; Hansell, D.M.; Wells, A.U.; Wilson, R. Bronchiectasis in yellow nail syndrome. Respirology 2017, 22, 101–107. [Google Scholar] [CrossRef] [PubMed]
- Hiller, E.; Rosenow, E.C., 3rd; Olsen, A.M. Pulmonary manifestations of the yellow nail syndrome. Chest 1972, 61, 452–458. [Google Scholar] [CrossRef] [PubMed]
- Rivière, F.; Billhot, M.; Soler, C.; Vaylet, F.; Margery, J. Pulmonary nocardiosis in immunocompetent patients: Can COPD be the only risk factor? Eur. Respir. Rev. 2011, 20, 210–212. [Google Scholar] [CrossRef] [PubMed]
- Garcia-Bellmunt, L.; Sibila, O.; Solanes, I.; Sanchez-Reus, F.; Plaza, V. Pulmonary nocardiosis in patients with COPD: Characteristics and prognostic factors. Arch. Bronconeumol. 2012, 48, 280–285. [Google Scholar] [CrossRef] [PubMed]
- Severo, C.B.; Oliveira, F.d.M.; Hochhegger, B.; Severo, L.C. Nocardia cyriacigeorgica intracavitary lung colonization: First report of an actinomycetic rather than fungal ball in bronchiectasis. BMJ Case Rep. 2013, 2013, bcr2012007900. [Google Scholar] [CrossRef] [PubMed]
- Aidê, M.A.; Lourenço, S.S.; Marchiori, E.; Zanetti, G.; Mondino, P.J. Pulmonary nocardiosis in a patient with chronic obstructive pulmonary disease and bronchiectasis. J. Bras. Pneumol. 2008, 34, 985–988. [Google Scholar] [CrossRef] [PubMed][Green Version]
- Brown-Elliott, B.A.; Biehle, J.; Conville, P.S.; Cohen, S.; Saubolle, M.; Sussland, D.; Wengenack, N.; Kriel, K.; Bridge, L.; McNulty, S.; et al. Sulfonamide resistance in isolates of Nocardia spp. from a US multicenter survey. J. Clin. Microbiol. 2012, 50, 670–672. [Google Scholar] [CrossRef] [PubMed]
- Fihman, V.; Berçot, B.; Mateo, J.; Losser, M.R.; Raskine, L.; Riahi, J.; Loirat, P.; Pors, M.J. First successful treatment of Nocardia farcinica brain abscess with moxifloxacin. J. Infect. 2006, 52, e99–e102. [Google Scholar] [CrossRef] [PubMed]
- Moylett, E.H.; Pacheco, S.E.; Brown-Elliott, B.A.; Perry, T.R.; Buescher, E.S.; Birmingham, M.C.; Schentag, J.J.; Gimbel, J.F.; Apodaca, A.; Schwartz, M.A.; et al. Clinical experience with linezolid for the treatment of nocardia infection. Clin. Infect. Dis. 2003, 36, 313–318. [Google Scholar] [CrossRef] [PubMed]







| Detected Species | Log (Score) |
|---|---|
| Nocardia cyriacigeorgica NO 23 HUA | 1.602 |
| Nocardia cyriacigeorgica 121106 01 HUA | 1.557 |
| Nocardia sp. N1064 IBS | 1.554 |
| Nocardia cyriacigeorgica 120619 13 HUA | 1.543 |
| Nocardia cyriacigeorgica 120619 20 HUA | 1.487 |
| Nocardia sp. N394 IBS | 1.447 |
| Nocardia cyriacigeorgica 121106 16 HUA | 1.443 |
| Nocardia cyriacigeorgica 120619 18 HUA | 1.435 |
| Nocardia cyriacigeorgica NO 24 HUA | 1.432 |
| Nocardia cyriacigeorgica 120619 08 HUA | 1.418 |
| Sequences | Description | Total Score |
|---|---|---|
| GCCGCCCGAATCGGGCTGATCACCGAGATCAGCGCCGATCCGATGGCCGA | Nocardia cyriacigeorgica strain 3012STDY6756504 genome assembly, chromosome: 1 | 87.9 |
| ATGCAGGTAGCCGAGATGACGTTCGTATTGGTCGAGGATGTCGCCGATGA | Nocardia cyriacigeorgica strain 3012STDY6756504 genome assembly, chromosome: 1 | 93.5 |
| CAGGCCGCGGTGAGCGGTTCGGCCAACGACGCCGTCGCCGCCCGCGATGT | Nocardia cyriacigeorgica strain MDA3349 chromosome, complete genome | 93.5 |
| GAACCGATCCGAGATGAGGAGCCAATGAGCTACAACCCCTATGACGCTCT | Nocardia cyriacigeorgica strain MDA3349 chromosome, complete genome | 93.5 |
| CGGACGTTGTTGATCGTGAATCCGAATGCCACCTCTACCACCGCGGCCCC | Nocardia cyriacigeorgica strain 3012STDY6756504 genome assembly, chromosome: 1 | 89.8 |
| GGTTTCCGCCCGGCCGAGGTCATCGCGCATGCAGCCGAATCTATTGCCCC | Nocardia cyriacigeorgica strain 3012STDY6756504 genome assembly, chromosome: 1 | 75.0 |
| GCGGTCGATCGTGGCGACCGCGCCGTTATCGGCCGACGAGGACGACGAAC | Nocardia cyriacigeorgica strain NBC_00369 chromosome, complete genome | 93.5 |
| ATCCACAACCTACTCTTCGGTAGGACTATCCGAGTTCGGCGTCTGTTGGC | Nocardia cyriacigeorgica strain 3012STDY6756504 genome assembly, chromosome: 1 | 93.5 |
| CTTTCACCTGCGCTGGTTCACCCCGCGGGTGGAGGTGGACATGTGCGGGC | Nocardia cyriacigeorgica strain 3012STDY6756504 genome assembly, chromosome: 1 | 93.5 |
| GTGCAGCACGGCGAACAGGGCGACGTAATCCGAGCGCGGCACGCCCTGCG | Nocardia cyriacigeorgica strain 3012STDY6756504 genome assembly, chromosome: 1 | 93.5 |
| ACCAGGCCTGCAGGATGTGGTTGTGCACGCTCCACCAGCCGAGATCGCGG | Nocardia cyriacigeorgica strain 3012STDY6756504 genome assembly, chromosome: 1 | 82.4 |
Disclaimer/Publisher’s Note: The statements, opinions and data contained in all publications are solely those of the individual author(s) and contributor(s) and not of MDPI and/or the editor(s). MDPI and/or the editor(s) disclaim responsibility for any injury to people or property resulting from any ideas, methods, instructions or products referred to in the content. |
© 2024 by the authors. Licensee MDPI, Basel, Switzerland. This article is an open access article distributed under the terms and conditions of the Creative Commons Attribution (CC BY) license (https://creativecommons.org/licenses/by/4.0/).
Share and Cite
Li, Q.; Zheng, J.; Zhang, Q.; Liang, Y.; Zhu, H.; Sun, Y. A Case of Yellow Nail Syndrome Complicated with Pulmonary Infection Due to Nocardia cyriacigeorgica. Infect. Dis. Rep. 2024, 16, 906-913. https://doi.org/10.3390/idr16050072
Li Q, Zheng J, Zhang Q, Liang Y, Zhu H, Sun Y. A Case of Yellow Nail Syndrome Complicated with Pulmonary Infection Due to Nocardia cyriacigeorgica. Infectious Disease Reports. 2024; 16(5):906-913. https://doi.org/10.3390/idr16050072
Chicago/Turabian StyleLi, Qiuyu, Jiajia Zheng, Qiuyue Zhang, Ying Liang, Hong Zhu, and Yongchang Sun. 2024. "A Case of Yellow Nail Syndrome Complicated with Pulmonary Infection Due to Nocardia cyriacigeorgica" Infectious Disease Reports 16, no. 5: 906-913. https://doi.org/10.3390/idr16050072
APA StyleLi, Q., Zheng, J., Zhang, Q., Liang, Y., Zhu, H., & Sun, Y. (2024). A Case of Yellow Nail Syndrome Complicated with Pulmonary Infection Due to Nocardia cyriacigeorgica. Infectious Disease Reports, 16(5), 906-913. https://doi.org/10.3390/idr16050072

