Alveolar Proteinosis Secondary to M. tuberculosis, in a Patient with Transient CD4 Lymphocytopenia Due to Cryptococcus neoformans Infection: First Case in the Literature
Abstract
1. Introduction
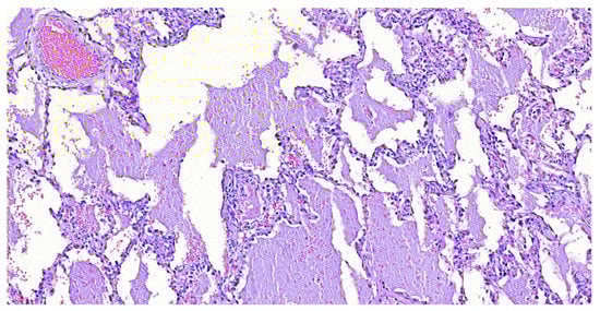
2. Case Report
3. Discussion
4. Conclusions
Author Contributions
Funding
Institutional Review Board Statement
Informed Consent Statement
Data Availability Statement
Conflicts of Interest
Abbreviations
| Anti-GM-CSF | Anti Granulocyte Macrophage Colony-Stimulating Factor antibodies |
| DRESS | Drug reaction with eosinophilia and systemic symptoms |
| ELISA | Enzyme-linked Immunosorbent Assay |
| GM-CSF | Granulocyte Macrophage Colony-Stimulating Factor |
| HRZE | Isoniazid, Rifampicin, Ethambutol, Pyrazinamide |
| IL-1β | Interleukin-1β |
| MBT | Mycobacterium tuberculosis |
| PCR | Polymerase Chain Reaction |
| PIIRS | Cryptococcal post infectious inflammatory response syndrome |
| RT PCR | Reverse Transcription - Polymerase Chain Reaction |
| SARS-CoV2 | Severe Acute Respiratory Syndrome Coronavirus 2 |
References
- Sattler, S. The Role of the Immune System Beyond the Fight Against Infection. Adv. Exp. Med. Biol. 2017, 1003, 3–14. [Google Scholar] [CrossRef] [PubMed]
- Smith, D.K.; Neal, J.J.; Holmberg, S.D. Unexplained opportunistic infections and CD4+ T-lymphocytopenia without HIV infection. An investigation of cases in the United States. The Centers for Disease Control Idiopathic CD4+ T-lymphocytopenia Task Force. N. Engl. J. Med. 1993, 328, 373–379. [Google Scholar] [CrossRef] [PubMed]
- Heemskerk, D.; Caws, M. Pathogenesis-Tuberculosis in Adults and Children-NCBI Bookshelf 2015. Available online: https://www.ncbi.nlm.nih.gov/books/NBK344406/ (accessed on 2 February 2022).
- de Athayde, R.A.B.; Arimura, F.E.; Kairalla, R.A.; Carvalho, C.R.R.; Baldi, B.G. Characterization and outcomes of pulmonary alveolar proteinosis in Brazil: A case series. J. Bras. Pneumol. 2018, 44, 231. [Google Scholar] [CrossRef] [PubMed]
- Tekgül, S.; Bilaceroglu, S.; Ozkaya, S.; Coskun, A.; Komurcuoglu, B.; Cirak, A.K. Pulmonary alveolar proteinosis and superinfection with pulmonary tuberculosis in a case. Respir. Med. Case Rep. 2012, 5, 25–28. [Google Scholar] [CrossRef] [PubMed]
- Ruben, F.L.; Talamo, T.S. Secondary pulmonary alveolar proteinosis occurring in two patients with acquired immune deficiency syndrome. Am. J. Med. 1986, 80, 1187–1190. [Google Scholar] [CrossRef]
- Pereira-Silva, J.L.; Marinho, M.M.; Veloso, T.V.; Coelho, J.C. Pulmonary Alveolar Proteinosis and tuberculosis in a diabetic patient: A rare or a seldom diagnosed association. Braz. J. Infect. Dis. 2002, 6, 188–195. [Google Scholar] [CrossRef] [PubMed][Green Version]
- Zhang, D.; Tian, X.; Feng, R.; Guo, X.; Wang, P.; Situ, Y.; Xiao, Y.; Xu, K.-F. Secondary pulmonary alveolar proteinosis: A single-center retrospective study (a case series and literature review). BMC Pulm. Med. 2018, 18, 15. [Google Scholar] [CrossRef] [PubMed]
- Ishii, H.; Tazawa, R.; Kaneko, C.; Saraya, T.; Inoue, Y.; Hamano, E.; Kogure, Y.; Tomii, K.; Terada, M.; Takada, T.; et al. Clinical features of secondary pulmonary alveolar proteinosis: Pre-mortem cases in Japan. Eur. Respir. J. 2011, 37, 465–468. [Google Scholar] [CrossRef] [PubMed]
- Kiani, A.; Parsa, T.; Naghan, P.A.; Dutau, H.; Razavi, F.; Farzanegan, B.; Tootkaboni, M.P.; Abedini, A. An eleven-year retrospective cross-sectional study on pulmonary alveolar proteinosis. Adv. Respir. Med. 2018, 86, 7–12. [Google Scholar] [CrossRef] [PubMed]
- Baro, A.; Shah, I.; Chandane, P.; Khosla, I. Pulmonary alveolar proteinosis in a 10-year-old girl masquerading as tuberculosis. Oxf. Med. Case Rep. 2015, 2015, 300. [Google Scholar] [CrossRef] [PubMed][Green Version]
- Witty, L.A.; Tapson, V.F.; Piantadosi, C.A. Isolation of mycobacteria in patients with pulmonary alveolar proteinosis. Medicine 1994, 73, 103–109. [Google Scholar] [CrossRef] [PubMed]
- Reyes, J.M.; Putong, P.B. Association of pulmonary alveolar lipoproteinosis with mycobacterial infection. Am. J. Clin. Pathol. 1980, 74, 478–485. [Google Scholar] [CrossRef] [PubMed]
- Lathan, S.R.; Williams, J.D.; McLean, R.L.; Ramirez, J. Pulmonary Alveolar Proteinosis: Treatment of a Case Complicated by Tuberculosis. Chest 1971, 59, 452–454. [Google Scholar] [CrossRef] [PubMed][Green Version]
- Mayoralas Alises, S.; Gómez Carrera, L.; Díaz Lobato, S. Proteinosis alveolar o la importancia de identificar infecciones sobreañadidas. Arch. Bronconeumol. 2003, 39, 327. [Google Scholar] [CrossRef]
- Tone, K.; Umeda, Y.; Makimura, K. Cross-reactivity in Cryptococcus antigen latex agglutination test in two commercial kits. Med. Mycol. 2016, 54, 439–443. [Google Scholar] [CrossRef] [PubMed]
- Kony, S.J.; Hane, A.A.; Larouzé, B.; Samb, A.; Cissoko, S.; Sow, P.S.; Sané, M.; Maynart, M.; Diouf, G.; Murray, J.; et al. Tuberculosis-associated severe CD4+ T-lymphocytopenia in HIV-seronegative patients from Dakar. SIDAK Research Group. J. Infect. 2000, 41, 167–171. [Google Scholar] [CrossRef] [PubMed]
- Luo, X.; Wu, F.; Ma, J.; Xiao, H.; Cui, H. Immunological recovery in patients with pulmonary tuberculosis after intensive phase treatment. J. Int. Med. Res. 2018, 46, 3539–3551. [Google Scholar] [CrossRef] [PubMed]
- Kumar, A.; Abdelmalak, B.; Inoue, Y.; Culver, D.A. Pulmonary alveolar proteinosis in adults: Pathophysiology and clinical approach. Lancet Respir. Med. 2018, 6, 554–565. [Google Scholar] [CrossRef]
- Williamson, P.R.; Jarvis, J.N.; Panackal, A.A.; Fisher, M.C.; Molloy, S.F.; Loyse, A.; Harrison, T. Cryptococcal meningitis: Epidemiology, immunology, diagnosis and therapy. Nat. Rev. Neurol. 2017, 13, 13–24. [Google Scholar] [CrossRef] [PubMed]
- Taweesedt, P.T.; Nordstrom, C.W.; Stoeckel, J.; Dumic, I. Pulmonary manifestations of drug reaction with eosinophilia and systemic symptoms (DRESS) syndrome: A systematic review. BioMed Res. Int. 2019, 2019, 7863815. [Google Scholar] [CrossRef] [PubMed]


| Laboratory | Specimen | Result |
|---|---|---|
| Galactomannan | Blood | Negative |
| Histoplasma urinary antigen | Urine | Negative |
| Respiratory FilmArray BioFire® (Adenovirus, Coronavirus 229E-HKU1-NL63-OC43, Human Metapneumovirus, Human Rhinovirus/Enterovirus, Influenza A-B, Parainfluenza virus 1-2-3-4, Respiratory Syncytial Virus, Bordetella parapertussis (IS1001), Bordetella pertussis (ptxP), Chlamydia pneumoniae, Mycoplasma pneumoniae) | Sputum | Negative |
| Microbiological culture (Tryptic Soy Broth media with and without CO2) | Sputum and blood | Negative |
| Gram stain | Sputum and blood | Negative |
| Bacilloscopy (serial) | Sputum | Negative |
| Mycobacterium tuberculosis PCR (1081 and 6110 genes with TaqMan probe) | Sputum | Negative |
| Mycobacterium tuberculosis culture (Löwenstein-Jensen media) | Sputum | Negative |
| RT-PCR for SARS-CoV-2 (RdRp, N and E genes) | Nasopharyngeal swab | Negative |
| Cytomegalovirus viral load | Blood | Negative |
| HIV antibodies 1/2 (4 generation ELISA) | Blood | Negative |
| HIV Viral load | Blood | Negative |
| Latex Cryptococcal antigen | Blood | Positive |
| Antinuclear antibodies | Blood | Negative |
| Autoantibodies to extractable nuclear antigens | Blood | Negative |
| Complement (C3, C4) | Blood | Normal |
| Rheumatoid factor | Blood | Negative |
| Anti-Scl-70 Antibodies | Blood | Negative |
Publisher’s Note: MDPI stays neutral with regard to jurisdictional claims in published maps and institutional affiliations. |
© 2022 by the authors. Licensee MDPI, Basel, Switzerland. This article is an open access article distributed under the terms and conditions of the Creative Commons Attribution (CC BY) license (https://creativecommons.org/licenses/by/4.0/).
Share and Cite
Martin Arsanios, D.A.; Cubides-Díaz, D.A.; Muñoz-Angulo, N.; Perez-Hernandez, M.A.; Zamora Posada, M.; Torres, M.B.; Calderón Vargas, C.M. Alveolar Proteinosis Secondary to M. tuberculosis, in a Patient with Transient CD4 Lymphocytopenia Due to Cryptococcus neoformans Infection: First Case in the Literature. Infect. Dis. Rep. 2022, 14, 169-175. https://doi.org/10.3390/idr14020021
Martin Arsanios DA, Cubides-Díaz DA, Muñoz-Angulo N, Perez-Hernandez MA, Zamora Posada M, Torres MB, Calderón Vargas CM. Alveolar Proteinosis Secondary to M. tuberculosis, in a Patient with Transient CD4 Lymphocytopenia Due to Cryptococcus neoformans Infection: First Case in the Literature. Infectious Disease Reports. 2022; 14(2):169-175. https://doi.org/10.3390/idr14020021
Chicago/Turabian StyleMartin Arsanios, Daniel Augusto, Diego Alejandro Cubides-Díaz, Natalia Muñoz-Angulo, Maria Alejandra Perez-Hernandez, Marlyn Zamora Posada, Mónica Briceño Torres, and Carlos Mauricio Calderón Vargas. 2022. "Alveolar Proteinosis Secondary to M. tuberculosis, in a Patient with Transient CD4 Lymphocytopenia Due to Cryptococcus neoformans Infection: First Case in the Literature" Infectious Disease Reports 14, no. 2: 169-175. https://doi.org/10.3390/idr14020021
APA StyleMartin Arsanios, D. A., Cubides-Díaz, D. A., Muñoz-Angulo, N., Perez-Hernandez, M. A., Zamora Posada, M., Torres, M. B., & Calderón Vargas, C. M. (2022). Alveolar Proteinosis Secondary to M. tuberculosis, in a Patient with Transient CD4 Lymphocytopenia Due to Cryptococcus neoformans Infection: First Case in the Literature. Infectious Disease Reports, 14(2), 169-175. https://doi.org/10.3390/idr14020021

