Post-COVID-19 Necrotizing Pneumonia in Patients on Invasive Mechanical Ventilation
Abstract
:1. Introduction
2. Materials and Methods
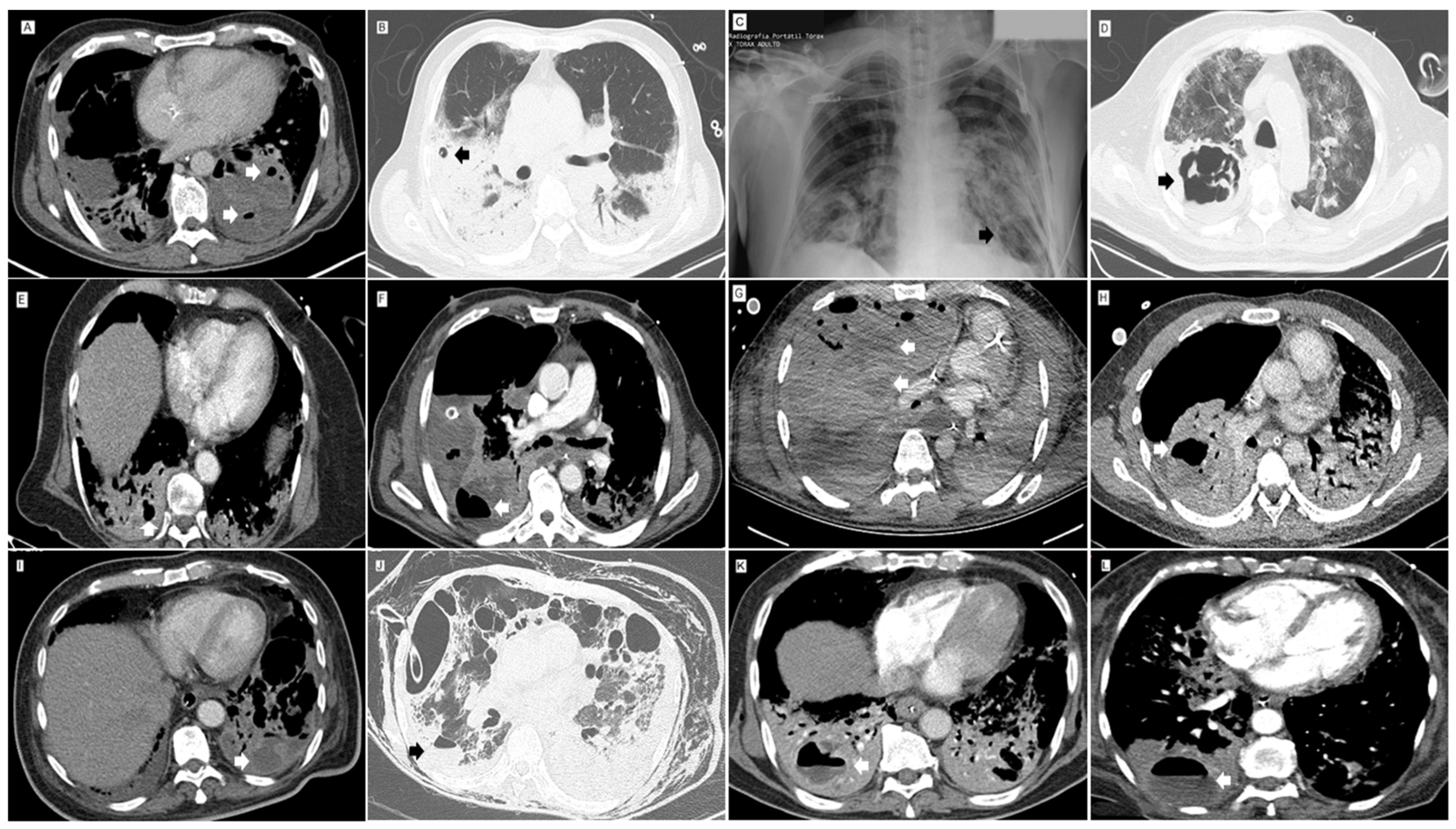
3. Results
4. Discussion
Author Contributions
Funding
Institutional Review Board Statement
Informed Consent Statement
Data Availability Statement
Acknowledgments
Conflicts of Interest
References
- Krutikov, M.; Rahman, A.; Tiberi, S. Necrotizing pneumonia (aetiology, clinical features and management). Curr. Opin. Pulm. Med. 2019, 25, 225–232. [Google Scholar] [CrossRef]
- Teng, E.; Bennett, L.; Morelli, T.; Banerjee, A. An unusual presentation of pulmonary embolism leading to infarction, cavitation, abscess formation and bronchopleural fistulation. BMJ Case Rep. 2018, 2018, bcr-2017. [Google Scholar] [CrossRef] [PubMed]
- Chatha, N.; Fortin, D.; Bosma, K.J. Management of Necrotizing Pneumonia and Pulmonary Gangrene: A Case Series and Review of the Literature. Can. Respir. J. 2014, 21, 239–245. [Google Scholar] [CrossRef] [PubMed]
- Tsai, Y.-F.; Ku, Y.-H. Necrotizing pneumonia: A rare complication of pneumonia requiring special consideration. Curr. Opin. Pulm. Med. 2012, 18, 246–252. [Google Scholar] [CrossRef] [PubMed]
- Chaudhry, B.; Alekseyev, K.; Didenko, L.; Malek, A.; Ryklin, G. Post COVID-19 MSSA pneumonia. SAGE Open Med. Case Rep. 2021, 9, 2050313X2110059. [Google Scholar] [CrossRef]
- Peeters, K.; Mesotten, D.; Willaert, X.; Deraedt, K.; Nauwelaers, S.; Lauwers, G. Salvage Lobectomy to Treat Necrotizing SARS-CoV-2 Pneumonia Complicated by a Bronchopleural Fistula. Ann. Thorac. Surg. 2021, 111, e241–e243. [Google Scholar] [CrossRef] [PubMed]
- Goursaud, S.; Mombrun, M.; du Cheyron, D. COVID-19 necrotising pneumonia and extracorporeal membrane oxygenation: A challenge for anticoagulation. ERJ Open Res. 2020, 6, 00182–02020. [Google Scholar] [CrossRef]
- Gurumurthy, B.; Das, S.K.; Hiremath, R.; Shetty, S.; Hiremath, A.; Gowda, T. Spectrum of atypical pulmonary manifestations of COVID-19 on computed tomography. Egypt. J. Radiol. Nucl. Med. 2021, 52, 72. [Google Scholar] [CrossRef]
- Reimel, B.A.; Krishnadasen, B.; Cuschieri, J.; Klein, M.B.; Gross, J.; Karmy-Jones, R. Surgical Management of Acute Necrotizing Lung Infections. Can. Respir. J. 2006, 13, 369–373. [Google Scholar] [CrossRef] [Green Version]
- Chung, M.; Bernheim, A.; Mei, X.; Zhang, N.; Huang, M.; Zeng, X.; Cui, J.; Xu, W.; Yang, Y.; Fayad, Z.A.; et al. CT Imaging Features of 2019 Novel Coronavirus (2019-nCoV). Radiology 2020, 295, 202–207. [Google Scholar] [CrossRef] [PubMed] [Green Version]
- Renaud-Picard, B.; Gallais, F.; Riou, M.; Zouzou, A.; Porzio, M.; Kessler, R. Delayed pulmonary abscess following COVID-19 pneumonia: A case report. Respir. Med. Res. 2020, 78, 100776. [Google Scholar] [CrossRef]
- Clancy, C.J.; Schwartz, I.S.; Kula, B.; Nguyen, M.H. Bacterial Superinfections Among Persons With Coronavirus Disease 2019: A Comprehensive Review of Data From Postmortem Studies. Open Forum Infect. Dis. 2021, 8, ofab065. [Google Scholar] [CrossRef]
- Blonz, G.; Kouatchet, A.; Chudeau, N.; Pontis, E.; Lorber, J.; Lemeur, A.; Planche, L.; Lascarrou, J.-B.; Colin, G. Epidemiology and microbiology of ventilator-associated pneumonia in COVID-19 patients: A multicenter retrospective study in 188 patients in an un-inundated French region. Crit. Care 2021, 25, 72. [Google Scholar] [CrossRef] [PubMed]
- Castiglioni, M.; Pelosi, G.; Meroni, A.; Tagliabue, M.; Uslenghi, E.; Salaris, D.; Incarbone, M. Surgical resections of superinfected pneumatoceles in a covid-19 patient. Ann. Thorac. Surg. 2020, 111, e23–e25. [Google Scholar] [CrossRef]
- Amaral, L.T.W.; Beraldo, G.L.; Brito, V.M.; Rosa, M.E.E.; Matos, M.J.R.d.; Fonseca, E.K.U.N.; Yokoo, P.; Silva, M.M.A.; Teles, G.B.d.S.; Shoji, H.; et al. Lung cavitation in COVID-19: Co-infection complication or rare evolution? Einstein 2020, 18, eAI5822. [Google Scholar] [CrossRef] [PubMed]
- Chen, Y.; Chen, W.; Zhou, J.; Sun, C.; Lei, Y. Large pulmonary cavity in COVID-19 cured patient case report. Ann. Palliat. Med. 2020, 9, 5. [Google Scholar] [CrossRef]
- Xu, Z.; Pan, A.; Zhou, H. Rare CT feature in a COVID-19 patient: Cavitation. Diagn. Interv. Radiol. 2020, 26, 380–381. [Google Scholar] [CrossRef] [PubMed]
- Muheim, M.; Weber, F.J.; Muggensturm, P.; Seiler, E. An unusual course of disease in two patients with COVID-19: Pulmonary cavitation. BMJ Case Rep. 2020, 13, e237967. [Google Scholar] [CrossRef] [PubMed]
- Zoumot, Z.; Bonilla, M.-F.; Wahla, A.S.; Shafiq, I.; Uzbeck, M.; El-Lababidi, R.M.; Hamed, F.; Abuzakouk, M.; ElKaissi, M. Pulmonary cavitation: An under-recognized late complication of severe COVID-19 lung disease. BMC Pulm. Med. 2021, 21, 24. [Google Scholar] [CrossRef] [PubMed]
- Selvaraj, V.; Dapaah-Afriyie, K. Lung cavitation due to COVID-19 pneumonia. BMJ Case Rep. 2020, 13, e237245. [Google Scholar] [CrossRef] [PubMed]
- Bikdeli, B.; Madhavan, M.V.; Jimenez, D.; Chuich, T.; Dreyfus, I.; Driggin, E.; Nigoghossian, C.D.; Ageno, W.; Madjid, M.; Guo, Y.; et al. COVID-19 and Thrombotic or Thromboembolic Disease: Implications for Prevention, Antithrombotic Therapy, and Follow-Up: JACC State-of-the-Art Review. J. Am. Coll. Cardiol. 2020, 75, 2950–2973. [Google Scholar] [CrossRef] [PubMed]
- Carsana, L.; Sonzogni, A.; Nasr, A.; Rossi, R.S.; Pellegrinelli, A.; Zerbi, P.; Rech, R.; Colombo, R.; Antinori, S.; Corbellino, M.; et al. Pulmonary post-mortem findings in a series of COVID-19 cases from northern Italy: A two-centre descriptive study. Lancet Infect. Dis. 2020, 20, 1135–1140. [Google Scholar] [CrossRef]
- Hoffer, F.A.; Bloom, D.A.; Colin, A.A.; Fishman, S.J. Lung abscess versus necrotizing pneumonia: Implications for interventional therapy. Pediatr. Radiol. 1999, 29, 87–91. [Google Scholar] [CrossRef] [PubMed]

| Hospital n (%) | |
|---|---|
| Hospital Pablo Tobón Uribe (HPTU) | 35 (83.3) |
| Clinica Cardiovid (CCV) | 7 (16.7) |
| Mean age—years (SD) | 61 ± 13 |
| Male sex n (%) | 35 (83.3) |
| Year of admission n (%) | |
| 2020 | 20 (47.6) |
| 2021 | 22 (52.4) |
| Median days from first symptom to dx (IQR) | 27 (22–32) |
| Median days of IMV to dx (IQR) | 15.5 (11–23) |
| Comorbidities n (%) * | |
| Obesity | 17 (40.5) |
| Hypertension | 16 (38.1) |
| Diabetes | 12 (28.6) |
| Current/former smoker | 8 (19.0) |
| Immunosuppression | 4 (9.52) |
| CKD | 2 (4.76) |
| COPD | 1 (2.38) |
| CAD | 1 (2.38) |
| No comorbidities | 9 (21.43) |
| Etiology n (%) | |
| K. pneumoniae | 24 (57.14) |
| P. aeruginosa | 14 (33.33) |
| S. marcescens | 5 (11.9) |
| P. mirabilis | 4 (9.52) |
| MSSA | 3 (7.14) |
| B. cepacia | 2 (4.76) |
| MRSA | 1 (2.38) |
| E. cloacae | 1 (2.38) |
| Candida, Aspergillus spp., or other molds (%) | 8 (19.0) |
| Bacteria isolated ≥ 2 times n (%) | 28 (66.67) |
| MIC creep n (%) | 11 (26.19) |
| Associated bacteremia n (%) | 12 (30) |
| Polymicrobial etiology n (%) | 22 (52.38) |
| Median antibiotic days prior to dx (IQR) | 13 (7–17) |
| Clinical findings | |
| Median D Dimer at admission (IQR) ng/mL | 1329 (713–3621) |
| Mean LDH at admission U/L | 541.81 ± 197.57 |
| Median PaFiO2 ratio at dx (IQR) | 138.5 (118–172) |
| Mean WBC count at dx cells/mm3 (SD) | 14161 ± 4845 |
| Median lymphocyte count at dx cells/mm3 (IQR) | 803.5 (500–1100) |
| Mean CRP at dx mg/dl (SD) | 20.06 ± 9.43 |
| Imaging and/or surgical findings n (%) * | |
| Abscess | 21 (50.0) |
| Mediastinal/hilar adenopathies | 20 (47.62) |
| Cavity | 17 (40.48) |
| Pneumatocele | 16 (38.1) |
| Pneumothorax | 15 (35.71) |
| Pulmonary embolism | 13 (30.95) |
| Bronchopleural fistula | 11 (26.19) |
| Empyema | 9 (21.43) |
| Pulmonary infarction | 8 (19.05) |
| Surgical/drainage procedure n (%) * | 19 (45.24) |
| Percutaneous drainage n (%) | 10 (23.81) |
| Decortication n (%) | 10 (23.81) |
| Lobectomy n (%) | 9 (21.43) |
| Median number of procedures per patient (IQR) | 1 (1–2) |
| Outcome n (%) | |
| Death (overall) | 24 (57.14) |
| Death (excluding patients still admitted) | 24 (70.58) |
| Median days from dx to death (IQR) | 37 (23.5–43) |
| Hospital discharge | 10 (23.81) |
Publisher’s Note: MDPI stays neutral with regard to jurisdictional claims in published maps and institutional affiliations. |
© 2021 by the authors. Licensee MDPI, Basel, Switzerland. This article is an open access article distributed under the terms and conditions of the Creative Commons Attribution (CC BY) license (https://creativecommons.org/licenses/by/4.0/).
Share and Cite
Hidron, A.; Quiceno, W.; Cardeño, J.J.; Roncancio, G.; García, C. Post-COVID-19 Necrotizing Pneumonia in Patients on Invasive Mechanical Ventilation. Infect. Dis. Rep. 2021, 13, 835-842. https://doi.org/10.3390/idr13030075
Hidron A, Quiceno W, Cardeño JJ, Roncancio G, García C. Post-COVID-19 Necrotizing Pneumonia in Patients on Invasive Mechanical Ventilation. Infectious Disease Reports. 2021; 13(3):835-842. https://doi.org/10.3390/idr13030075
Chicago/Turabian StyleHidron, Alicia, William Quiceno, John J. Cardeño, Gustavo Roncancio, and Cristian García. 2021. "Post-COVID-19 Necrotizing Pneumonia in Patients on Invasive Mechanical Ventilation" Infectious Disease Reports 13, no. 3: 835-842. https://doi.org/10.3390/idr13030075
APA StyleHidron, A., Quiceno, W., Cardeño, J. J., Roncancio, G., & García, C. (2021). Post-COVID-19 Necrotizing Pneumonia in Patients on Invasive Mechanical Ventilation. Infectious Disease Reports, 13(3), 835-842. https://doi.org/10.3390/idr13030075

