Computed Tomography Imaging Evaluation of Pancreatic Density and Muscular Mass as Predictive Risk Factors for Pancreatic Fistula Formation after Duodenocephalopancreasectomy
Abstract
1. Introduction
2. Materials and Methods
3. Results
4. Discussion
- Preoperative risk factors include the following:
- i.
- Obesity (BMI ≥ 30): obese patients undergoing minimally invasive pancreatic surgery (MIDP) have shown higher rates of intraoperative hemorrhage and longer operative times compared to normal-weight patients [19];
- ii.
- Anemia: the risk of developing MIDP is significantly higher in patients with anemia (Hb 12 < mg/dL) compared to those with normal Hb (31.0 % vs. 15.9 %) [20];
- iii.
- Among intraoperative risk factors, pancreatic stiffness is considered the best predictor of POPF. Technically, it is an intraoperative assessment of pancreatic consistency made by the surgeon during the operation [11]. Since it relies on the surgeon’s experience, pancreatic stiffness is considered a subjective parameter [4]. An increase in pancreatic consistency can occur due to fibrosis or pathological conditions that lead to chronic inflammation and the replacement of glandular tissue with fibrosis [4]. Conversely, a decrease in pancreatic consistency, resulting from progressive fatty infiltration, is a natural process associated with senile involution. This decrease correlates with the body mass index (BMI) and can also be linked to metabolic disorders such as abdominal obesity, insulin resistance, type 2 diabetes mellitus, dyslipidemia, hypertension, and metabolic syndrome. Similarly, autoimmune pathologies, viral infections, drug treatments, and toxic substances (including alcohol) may all contribute to the replacement of pancreatic tissue with fat [24,25].
- 3.
- Among the postoperative factors, fatty infiltration of the pancreas is the primary risk factor for developing a pancreatic fistula. However, this risk factor can only be identified after surgery through histological analysis of the surgical specimen. There are several signs related to fatty infiltration, including the following:
- (a)
- (b)
- (c)
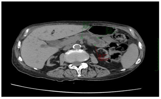
- The diameter of main pancreatic duct (MPD): a recent study has shown that a cut-off < 4 mm is associated with a higher risk of developing post-DCP fistula [30].
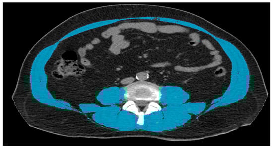
- Total psoas area (TPA): This consists of measuring the psoas muscle area bilaterally at the level of L3, along with the muscles of the middle third of the leg. However, it is considered less accurate in assessing overall muscle mass when compared to other methods [43].
5. Conclusions
Author Contributions
Funding
Institutional Review Board Statement
Informed Consent Statement
Data Availability Statement
Conflicts of Interest
References
- D’Cruz, J.R.; Misra, S.; Shamsudeen, S. Pancreaticoduodenectomy. In StatPearls; StatPearls Publishing: St. Petersburg, FL, USA, 2022; pp. 7–11. [Google Scholar]
- Ashitomi, Y.; Sugawara, S.; Takahashi, R.; Ashino, K.; Watanabe, T.; Hachiya, O.; Kimura, W. Severe acute pancreatitis 5 years after pancreaticoduodenectomy: A case report. Int. J. Surg. Case Rep. 2019, 61, 99–102. [Google Scholar] [CrossRef] [PubMed]
- Pulvirenti, A.; Ramera, M.; Bassi, C. Modifications in the International Study Group for Pancreatic Surgery (ISGPS) definition of postoperative pancreatic fistula. Transl. Gastroenterol. Hepatol. 2017, 2, 107. [Google Scholar] [CrossRef]
- Deng, Y.; Zhao, B.; Yang, M.; Li, C.; Zhang, L. Association Between the Incidence of Pancreatic Fistula After Pancreaticoduodenectomy and the Degree of Pancreatic Fibrosis. J. Gastrointest. Surg. 2018, 22, 438–443. [Google Scholar] [CrossRef] [PubMed]
- Bassi, C.; Dervenis, C.; Butturini, G.; Fingerhut, A.; Yeo, C.; Izbicki, J.; Neoptolemos, J.; Sarr, M.; Traverso, W.; Buchler, M.; et al. Postoperative pancreatic fistula: An international study group (ISGPF) definition. Surgery 2005, 138, 8–13. [Google Scholar] [CrossRef] [PubMed]
- Nishida, Y.; Kato, Y.; Kudo, M.; Aizawa, H.; Okubo, S.; Takahashi, D.; Nakayama, Y.; Kitaguchi, K.; Gotohda, N.; Takahashi, S.; et al. Preoperative Sarcopenia Strongly Influences the Risk of Postoperative Pancreatic Fistula Formation After Pancreaticoduodenectomy. J. Gastrointest. Surg. 2016, 20, 1586–1594. [Google Scholar] [CrossRef] [PubMed]
- Ibrahim, K.; May, C.; Patel, H.P.; Baxter, M.; Sayer, A.A.; Roberts, H. A feasibility study of implementing grip strength measurement into routine hospital practice (GRImP): Study protocol. Pilot Feasibility Study 2016, 2, 27. [Google Scholar] [CrossRef]
- Leong, D.P.; Teo, K.K.; Rangarajan, S.; Lopez-Jaramillo, P.; Avezum, A.; Orlandini, A.; Seron, P.; Ahmed, S.H.; Rosengren, A.; Kelishadi, R.; et al. Prognostic value of grip strength: Findings from the Prospective Urban Rural Epidemiology (PURE) study. Lancet 2015, 386, 266–273. [Google Scholar] [CrossRef]
- Cruz-Jentoft, A.J.; Bahat, G.; Bauer, J.; Boirie, Y.; Bruyère, O.; Cederholm, T.; Cooper, C.; Landi, F.; Rolland, Y.; Sayer, A.A.; et al. Sarcopenia: Revised European consensus on definition and diagnosis. Age Ageing 2019, 48, 16–31. [Google Scholar] [CrossRef]
- Jin, J.; Xiong, G.; Li, J.; Guo, X.; Wang, M.; Li, Z.; Zhu, F.; Qin, R. Predictive factors of postoperative pancreatic fistula after laparoscopic pancreatoduodenectomy. Ann. Transl. Med. 2021, 9, 41. [Google Scholar] [CrossRef]
- Yang, M.W.; Deng, Y.; Huang, T.; Zhang, L.D. Clinical study on the relationship between pancreatic fistula and the degree of pancreatic fibrosis after pancreatic and duodenal resection. Zhonghua Wai Ke Za Zhi 2017, 55, 373–377. [Google Scholar]
- Linder, N.; Schaudinn, A.; Langenhan, K.; Krenzien, F.; Hau, H.M.; Benzing, C.; Atanasov, G.; Schmelzle, M.; Kahn, T.; Busse, H.; et al. Power of computed-tomography-defined sarcopenia for prediction of morbidity after pancreaticoduodenectomy. BMC Med. Imaging 2019, 19, 32. [Google Scholar] [CrossRef]
- Dionigi, R. Chirurgia—Basi Teoriche e Chirurgia Generale, 6th ed.; Edra: Pisa, Italy, 2017; pp. 1727–1731. [Google Scholar]
- Cuschieri, A.; Jakimowicz, J.J.; van Spreeuwel, J. Laparoscopic distal 70% pancreatectomy and splenectomy for chronic pancreatitis. Ann. Surg. 1996, 223, 280–285. [Google Scholar] [CrossRef] [PubMed]
- Fancellu, A.; Petrucciani, N.; Porcu, A.; Deiana, G.; Sanna, V.; Ninniri, C.; Perra, T.; Celoria, V.; Nigri, G. The Impact on Survival and Morbidity of Portal-Mesenteric Resection During Pancreaticoduodenectomy for Pancreatic Head Adenocarcinoma: A Systematic Review and Meta-Analysis of Comparative Studies. Cancers 2020, 2, 1976. [Google Scholar] [CrossRef] [PubMed]
- Basilico, V.; Griffa, B.; Clerici, D.; Giacci, F.; Capriata, G. Tecnica di Traverso-Longmire e qualità di vita nei pazienti operati per neoplasie periampollari. Contributo clinico [Traverso-Longmire technique and quality of life in patients operated on for periampullary neoplasms. Clinical contribution]. Minerva Chir. 1998, 53, 973–978. [Google Scholar] [PubMed]
- Berger, A.C.; Howard, T.J.; Kennedy, E.P.; Sauter, P.K.; Bower-Cherry, M.; Dutkevitch, S.; Hyslop, T.; Schmidt, C.M.; Rosato, E.L.; Lavu, H.; et al. Does type of pancreaticojejunostomy after pancreaticoduodenectomy decrease rate of pancreatic fistula? A randomized, prospective, dual-institution trial. J. Am. Coll. Surg. 2009, 208, 738–749. [Google Scholar] [CrossRef]
- Søreide, K.; Healey, A.J.; Mole, D.J.; Parks, R.W. Pre-, peri- and post-operative factors for the development of pancreatic fistula after pancreatic surgery. HPB 2019, 21, 1621–1631. [Google Scholar] [CrossRef] [PubMed]
- van der Heijde, N.; Balduzzi, A.; Alseidi, A.; Dokmak, S.; Polanco, P.M.; Sandford, D.; Shrikhande, S.V.; Vollmer, C.; Wang, S.E.; Besselink, M.G.; et al. The role of older age and obesity in minimally invasive and open pancreatic surgery: A systematic review and meta-analysis. Pancreatology 2020, 20, 1234–1242. [Google Scholar] [CrossRef]
- Xu, J.Y.; Tian, X.D.; Yang, Y.M.; Song, J.H.; Wei, J.M. Preoperative Anemia Is a Predictor of Worse Postoperative Outcomes Following Open Pancreatoduodenectomy: A Propensity Score-Based Analysis. Front. Med. 2022, 9, 818805. [Google Scholar] [CrossRef]
- Nagakawa, Y.; Matsudo, T.; Hijikata, Y.; Kikuchi, S.; Bunso, K.; Suzuki, Y.; Kasuya, K.; Tsuchida, A. Bacterial contamination in ascitic fluid is associated with the development of clinically relevant pancreatic fistula after pancreatoduodenectomy. Pancreas 2013, 42, 701–706. [Google Scholar] [CrossRef]
- Sugiura, T.; Mizuno, T.; Okamura, Y.; Ito, T.; Yamamoto, Y.; Kawamura, I.; Kurai, H.; Uesaka, K. Impact of bacterial contamination of the abdominal cavity during pancreaticoduodenectomy on surgical-site infection. Br. J. Surg. 2015, 102, 1561–1566. [Google Scholar] [CrossRef]
- Rogers, M.B.; Aveson, V.; Firek, B.; Yeh, A.; Brooks, B.; Brower-Sinning, R.; Steve, J.; Banfield, J.F.; Zureikat, A.; Hogg, M.; et al. Disturbances of the Perioperative Microbiome Across Multiple Body Sites in Patients Undergoing Pancreaticoduodenectomy. Pancreas 2017, 46, 260–267. [Google Scholar] [CrossRef]
- Takahashi, M.; Hori, M.; Ishigamori, R.; Mutoh, M.; Imai, T.; Nakagama, H. Fatty pancreas: A possible risk factor for pancreatic cancer in animals and humans. Cancer Sci. 2018, 109, 3013–3023. [Google Scholar] [CrossRef]
- Barbier, L.; Mège, D.; Reyre, A.; Moutardier, V.M.; Ewald, J.A.; Delpero, J.R. Predict pancreatic fistula after pancreaticoduodenectomy: Ratio body thickness/main duct. ANZ J. Surg. 2018, 88, E451–E455. [Google Scholar] [CrossRef]
- He, Y.G.; Yang, X.M.; Peng, X.H.; Li, J.; Huang, W.; Jian, G.C.; Wu, J.; Tang, Y.C.; Wang, L.; Huang, X.B. Association of a Modified Blumgart Anastomosis With the Incidence of Pancreatic Fistula and Operation Time After Laparoscopic Pancreatoduodenectomy: A Cohort Study. Front. Surg. 2022, 9, 931109. [Google Scholar] [CrossRef]
- Del Chiaro, M.; Rangelova, E.; Ansorge, C.; Blomberg, J.; Segersvärd, R. Impact of body mass index for patients undergoing pancreaticoduodenectomy. World J. Gastrointest. Pathophysiol. 2013, 4, 37–42. [Google Scholar] [CrossRef] [PubMed]
- Callery, M.P.; Pratt, W.B.; Kent, T.S.; Chaikof, E.L.; Vollmer, C.M., Jr. A prospectively validated clinical risk score accurately predicts pancreatic fistula after pancreatoduodenectomy. J. Am. Coll. Surg. 2013, 216, 1–14. [Google Scholar] [CrossRef] [PubMed]
- Mathur, A.; Pitt, H.A.; Marine, M.; Saxena, R.; Schmidt, C.M.; Howard, T.J.; Nakeeb, A.; Zyromski, N.J.; Lillemoe, K.D. Fatty pancreas: A factor in postoperative pancreatic fistula. Ann. Surg. 2007, 246, 1058–1064. [Google Scholar] [CrossRef] [PubMed]
- Chen, J.S.; Liu, G.; Li, T.R.; Chen, J.Y.; Xu, Q.M.; Guo, Y.Z.; Li, M.; Yang, L. Pancreatic fistula after pancreaticoduodenectomy: Risk factors and preventive strategies. J. Cancer Res. Ther. 2019, 15, 857–863. [Google Scholar] [PubMed]
- Xiong, J.J.; Altaf, K.; Mukherjee, R.; Huang, W.; Hu, W.M. Systematic review and meta-analysis of outcomes after intraoperative pancreatic duct stent placement during pancreaticoduodenectomy. Br. J. Surg. 2012, 99, 1050–1061. [Google Scholar] [CrossRef]
- Erkan, M.; Hausmann, S.; Michalski, C.W.; Schlitter, A.M.; Fingerle, A.A.; Dobritz, M.; Friess, H.; Kleeff, J. How fibrosis influences imaging and surgical decisions in pancreatic cancer. Front. Physiol. 2012, 3, 389. [Google Scholar] [CrossRef]
- Van Dongen, J.C.; Wismans, L.V.; Suurmeijer, J.A.; Besselink, M.G.; de Wilde, R.F.; Koerkamp, B.G.; van Eijck, C.H. The effect of preoperative chemotherapy and chemoradiotherapy on pancreatic fistula and other surgical complications after pancreatic resection: A systematic review and meta-analysis of comparative studies. HPB 2021, 23, 1321–1331. [Google Scholar] [CrossRef]
- Cloyd, J.M.; Heh, V.; Pawlik, T.M.; Ejaz, A.; Dillhoff, M.; Tsung, A.; Williams, T.; Abushahin, L.; Bridges, J.F.; Santry, H. Neoadjuvant Therapy for Resectable and Borderline Resectable Pancreatic Cancer: A Meta-Analysis of Randomized Controlled Trials. J. Clin. Med. 2020, 9, 1129. [Google Scholar] [CrossRef] [PubMed]
- Van Dongen, J.C.; Suker, M.; Versteijne, E.; Bonsing, B.A.; Mieog, J.S.D.; de Vos-Geelen, J.; Van Der Harst, E.; Patijn, G.A.; De Hingh, I.H.; Festen, S.; et al. Surgical Complications in a Multicenter Randomized Trial Comparing Preoperative Chemoradiotherapy and Immediate Surgery in Patients With Resectable and Borderline Resectable Pancreatic Cancer (PREOPANC Trial). Ann. Surg. 2022, 275, 979–984. [Google Scholar] [CrossRef] [PubMed]
- Andrianello, S.; Paiella, S.; Allegrini, V.; Ramera, M.; Pulvirenti, A.; Malleo, G.; Salvia, R.; Bassi, C. Pancreaticoduodenectomy for distal cholangiocarcinoma: Surgical results, prognostic factors, and long-term follow-up. Langenbecks Arch. Surg. 2015, 400, 623–628. [Google Scholar] [CrossRef] [PubMed]
- Yang, Y.; Fu, X.; Zhu, S.; Cai, Z.; Qiu, Y.; Mao, L. Vater’s ampullary carcinoma increases the risk of clinically relevant postoperative pancreatic fistula after pancreaticoduodenectomy: A retrospective and propensity score-matched analysis. BMC Gastroenterol. 2022, 22, 51. [Google Scholar] [CrossRef] [PubMed]
- Ljungdahl, M.; Osterberg, J.; Ransjö, U.; Engstrand, L.; Haglund, U. Inflammatory response in patients with malignant obstructive jaundice. Scand. J. Gastroenterol. 2007, 42, 94–102. [Google Scholar] [CrossRef]
- Mourtzakis, M.; Prado, C.M.; Lieffers, J.R.; Reiman, T.; McCargar, L.J.; Baracos, V.E. A practical and precise approach to quantification of body composition in cancer patients using computed tomography images acquired during routine care. Appl. Physiol. Nutr. Metab. 2008, 33, 997–1006. [Google Scholar] [CrossRef]
- Fearon, K.; Strasser, F.; Anker, S.D.; Bosaeus, I.; Bruera, E.; Fainsinger, R.L.; Jatoi, A.; Loprinzi, C.; MacDonald, N.; Mantovani, G.; et al. Definition and classification of cancer cachexia: An international consensus. Lancet Oncol. 2011, 12, 489–495. [Google Scholar] [CrossRef]
- Kim, E.Y.; Kim, Y.S.; Park, I.; Ahn, H.K.; Cho, E.K.; Jeong, Y.M. Prognostic Significance of CT-Determined Sarcopenia in Patients with Small-Cell Lung Cancer. J. Thorac. Oncol. 2015, 10, 1795–1799. [Google Scholar] [CrossRef]
- Baracos, V.; Kazemi-Bajestani, S.M. Clinical outcomes related to muscle mass in humans with cancer and catabolic illnesses. Int. J. Biochem. Cell Biol. 2013, 45, 2302–2308. [Google Scholar] [CrossRef]
- Park, J.; Gil, J.R.; Shin, Y.; Won, S.E.; Huh, J.; You, M.W.; Park, H.J.; Sung, Y.S.; Kim, K.W. Reliable and robust method for abdominal muscle mass quantification using CT/MRI: An explorative study in healthy subjects. PLoS ONE 2019, 14, e0222042. [Google Scholar] [CrossRef] [PubMed]
- Martin, L.; Birdsell, L.; Macdonald, N.; Reiman, T.; Clandinin, M.T.; McCargar, L.J.; Murphy, R.; Ghosh, S.; Sawyer, M.B.; Baracos, V.E. Cancer cachexia in the age of obesity: Skeletal muscle depletion is a powerful prognostic factor, independent of body mass index. J. Clin. Oncol. 2013, 31, 1539–1547. [Google Scholar] [CrossRef] [PubMed]
- Pecorelli, N.; Carrara, G.; De Cobelli, F.; Cristel, G.; Damascelli, A.; Balzano, G.; Beretta, L.; Braga, M. Effect of sarcopenia and visceral obesity on mortality and pancreatic fistula following pancreatic cancer surgery. Br. J. Surg. 2016, 103, 434–442. [Google Scholar] [CrossRef] [PubMed]
- Gasteiger, S.; Primavesi, F.; Göbel, G.; Braunwarth, E.; Cardini, B.; Maglione, M.; Sopper, S.; Öfner, D.; Stättner, S. Early Post-Operative Pancreatitis and Systemic Inflammatory Response Assessed by Serum Lipase and IL-6 Predict Pancreatic Fistula. World J. Surg. 2020, 44, 4236–4244. [Google Scholar] [CrossRef]


| Histopatologic Data | N | % | FP |
|---|---|---|---|
| PDAC | 21 | 29.2 | 4 |
| ADK DBT | 9 | 12.5 | 2 |
| Papillary ADK | 10 | 13.9 | 6 |
| Duodenal ADK | 7 | 9.7 | 4 |
| NET | 2 | 2.8 | 0 |
| Chronic pancreatitis | 6 | 8.3 | 0 |
| High grade adenoma | 1 | 1.4 | 0 |
| Mixed carcinoma | 1 | 1.4 | 0 |
| MCN | 1 | 1.4 | 0 |
| Acinar ADK | 2 | 2.8 | 0 |
| IPMN | 1 | 1.4 | 0 |
| SEX | N | % | AG | SD | P50 | MIN | MAX | FP | % |
|---|---|---|---|---|---|---|---|---|---|
| F | 22 | 38.6 | 70.8 | 7.8 | 72.5 | 49 | 82 | 5 | 22.73 |
| M | 35 | 61.4 | 70.7 | 9.8 | 73 | 53 | 84 | 11 | 31.43 |
| Total | 57 | 100 | 70.8 | 9 | 73 | 49 | 84 | 16 | 28.07 |
| Pancreatic Density | Fistula Present | No Fistula |
|---|---|---|
| Patients | 16 | 41 |
| Average | 27 | 33 |
| MIN | −17 | 10 |
| MAX | 51 | 51 |
| Muscular Area | Fistula Present | No Fistula |
|---|---|---|
| Patients | 16 | 41 |
| Average | 98.1 | 94.2 |
| MIN | 61.9 | 38.7 |
| MAX | 154.5 | 217 |
Disclaimer/Publisher’s Note: The statements, opinions and data contained in all publications are solely those of the individual author(s) and contributor(s) and not of MDPI and/or the editor(s). MDPI and/or the editor(s) disclaim responsibility for any injury to people or property resulting from any ideas, methods, instructions or products referred to in the content. |
© 2023 by the authors. Licensee MDPI, Basel, Switzerland. This article is an open access article distributed under the terms and conditions of the Creative Commons Attribution (CC BY) license (https://creativecommons.org/licenses/by/4.0/).
Share and Cite
Calabrò, N.; Borraccino, C.; Garlisi, C.; Bongiovanni, T.; Basile, P.; Abu-Omar, A.; Scaglione, M.; Romito, R.; Carriero, A. Computed Tomography Imaging Evaluation of Pancreatic Density and Muscular Mass as Predictive Risk Factors for Pancreatic Fistula Formation after Duodenocephalopancreasectomy. Gastroenterol. Insights 2023, 14, 282-292. https://doi.org/10.3390/gastroent14030020
Calabrò N, Borraccino C, Garlisi C, Bongiovanni T, Basile P, Abu-Omar A, Scaglione M, Romito R, Carriero A. Computed Tomography Imaging Evaluation of Pancreatic Density and Muscular Mass as Predictive Risk Factors for Pancreatic Fistula Formation after Duodenocephalopancreasectomy. Gastroenterology Insights. 2023; 14(3):282-292. https://doi.org/10.3390/gastroent14030020
Chicago/Turabian StyleCalabrò, Naomi, Chiara Borraccino, Christian Garlisi, Teresa Bongiovanni, Paola Basile, Ahmed Abu-Omar, Mariano Scaglione, Raffaele Romito, and Alessandro Carriero. 2023. "Computed Tomography Imaging Evaluation of Pancreatic Density and Muscular Mass as Predictive Risk Factors for Pancreatic Fistula Formation after Duodenocephalopancreasectomy" Gastroenterology Insights 14, no. 3: 282-292. https://doi.org/10.3390/gastroent14030020
APA StyleCalabrò, N., Borraccino, C., Garlisi, C., Bongiovanni, T., Basile, P., Abu-Omar, A., Scaglione, M., Romito, R., & Carriero, A. (2023). Computed Tomography Imaging Evaluation of Pancreatic Density and Muscular Mass as Predictive Risk Factors for Pancreatic Fistula Formation after Duodenocephalopancreasectomy. Gastroenterology Insights, 14(3), 282-292. https://doi.org/10.3390/gastroent14030020

