Abstract
Intracolonic lipomas are benign lesions but can cause serious complications, especially when they are large. Regarding a 3 cm intracecal lipoma, we describe an ultrasound modality called a hydrocolonic ultrasound and how this technique can be used in the long-term follow-up of these lesions.
1. Introduction
Gastrointestinal lipomas are rare, benign, nonepithelial tumours [1]. They are most commonly located in the colon, [1] and within this, the cecum (45%), followed by the sigmoid colon (30.3%), descending colon (15.2%) and transverse colon (9.1%) [2]. More than 70% of colon lipomas are located in the right colon, however, while in women, they are most commonly located in the right colon, in men, they are more frequently found in the left colon [3]. Their prevalence is 0.2–4.4%, and they account for 1.8% of all benign colon lesions [1]. They are usually asymptomatic and are usually found by chance, but they may present with symptoms such as abdominal pain, obstruction, melena and occasionally, intussusception [1]. The presence of symptoms is related to the size of the lipoma [1]; 75% of patients with lipomas larger than 4 cm experience symptoms [3,4,5]. Although in most cases they appear as single tumours, they can also appear as diffuse lipomatosis [1,6]. They are more common in females [3,7] and in the fifth and sixth decade of life [1]. The aetiology of colonic lipomas is unknown [1,7]. Some authors relate the accumulation of fat in certain areas to underdeveloped arterial, venous, and lymphatic circulation [8,9]. Chronic irritation and inflammation have also been postulated as a cause for lipoma development [1].
The reference technique used to study the colon is optical colonoscopy (OC), and when we use imaging techniques to study the colon, we often resort to abdominal-CT, CT-colonography or MR of the rectum. The use of the abdominal ultrasound technique is mainly limited by the presence of intracolonic gas, which prevents the visualisation of the colon wall. However, there is an ultrasound technique called hydrocolonic sonography (HS) which, like an enema, fills the colon with saline solution and allows it to be studied [10,11,12,13,14,15,16,17,18,19,20]. HS was initially recommended as a method to achieve a better definition of the anatomy of the pelvis [21], but subsequent studies have mainly focused on three aspects: the detection of colonic lesions, tumour staging and the study of inflammatory bowel disease (Table 1).
Table 1.
Hydrocolonic sonography.
Although different methodologies have been followed by different authors in studies concerning the detection of colonic lesions via HS, from these previous studies, it can be determined that the sensitivity of HS in the detection of lesions greater than or equal to 7 mm is 50–91% [11,15,18] and that the sensitivity of this technique is higher when the lesions are larger [20]. This is most evident in the case of adenocarcinomas, which are usually large lesions, so in terms of these lesions, the sensitivity of HS can reach 100% [20]. However, in the detection of small lesions, the sensitivity of HS is low, from 0 to 12.5% [15,18,20]. In addition, HS is a useful technique in the determination of the degree of local invasion (T) of tumour lesions [11,17,20].
In the assessment of the extent and activity of inflammatory bowel disease [22,23], the results of HS are similar to those obtained using abdominal ultrasound, especially in terms of locating the site of inflammation [24]. In inflammatory bowel disease, HS can be a useful technique in the assessment of the extent of inflammatory bowel disease when previously diagnosed using OC [25] or in cases of incomplete OC, provided that a histological diagnosis is available [17].
2. Case Report
A 66-year-old woman with a positive faecal occult blood test underwent OC. The OC showed multiple small polyps and small lipomas. In addition, a 3 cm fatty lesion of sessile morphology was observed in the cecum. Due to its size, the 3 cm fatty lesion was not removed during OC, because its endoscopic resection posed a risk of bleeding and perforation. However, a biopsy was performed during the OC, and the result showed it was a lipoma. An abdominal-CT was performed, and no serous infiltration was observed. Due to the size and morphology of the lesion, surgical resection was recommended, but the benign nature of the lesion and the absence of serous invasion suggested that treatment using surgery would be too aggressive. A conservative recommendation that did not recommend resection but suggested a follow-up of the lesion may have been an option to avoid surgery and its risks.
In our case, it was possible to follow up on the lipoma during biannual OCs performed because of her personal history of polyposis. Initially, it was proposed that abdominal-CT scans (Figure 1 and Figure 2) should be performed the year after each OC. This way, the size of the lesion could be monitored, and the degree of local infiltration could be determined. After the first abdominal-CT follow-up, to avoid exposure to radiation, HS (Figure 3) was included as an alternative to abdominal-CT. In the subsequent follow-up, in addition to the biannual OCs, two hydrocolonic ultrasound scans (without cleansing preparation) and one abdominal-CT scan were performed. During the seven years of follow-up, the lipoma remained stable, and the patient remains asymptomatic.
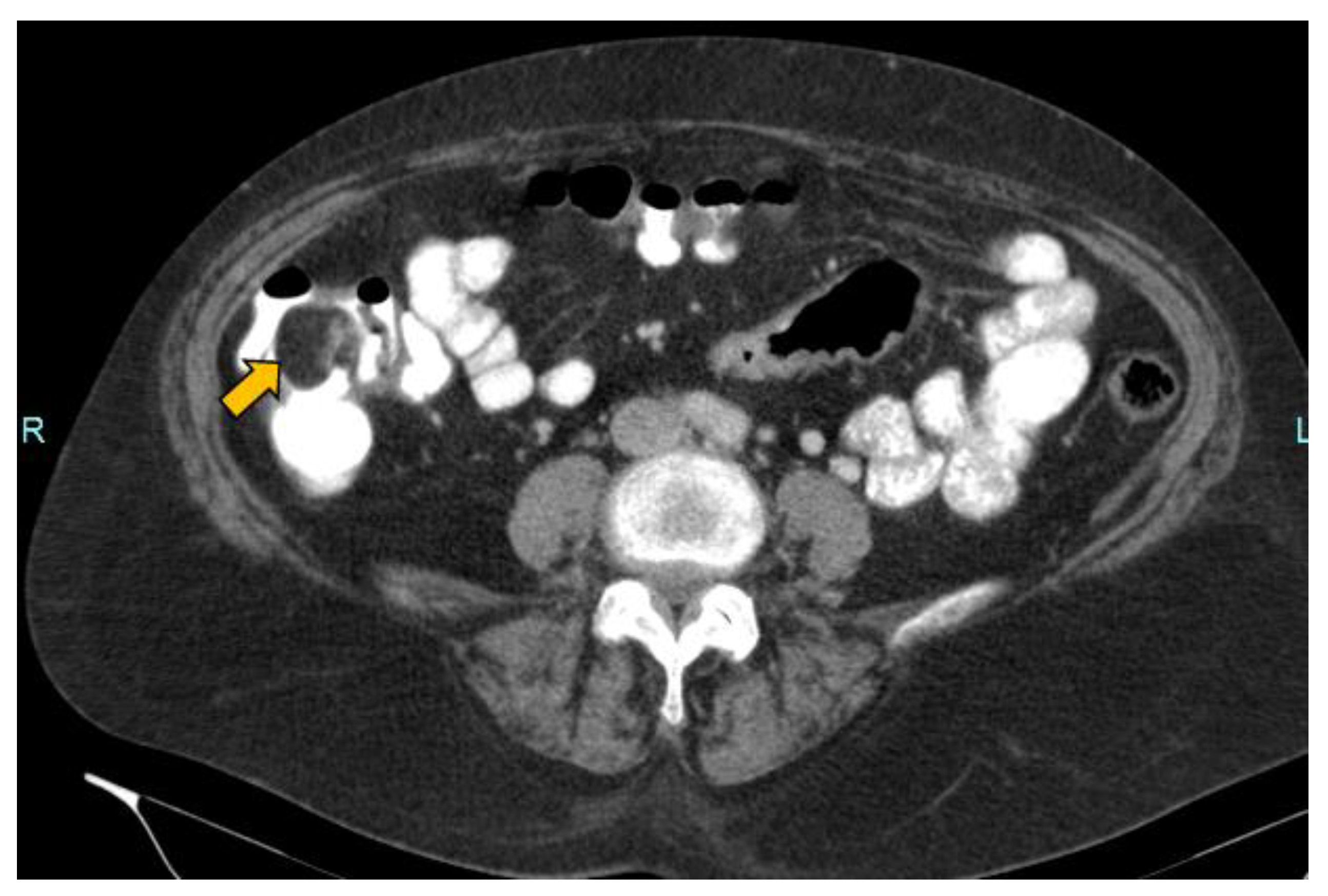
Figure 1.
Axial CT scan of the abdomen with intravenous and oral contrast showing the intracolonic lipoma in the caecum as a hypodense image (yellow arrow).
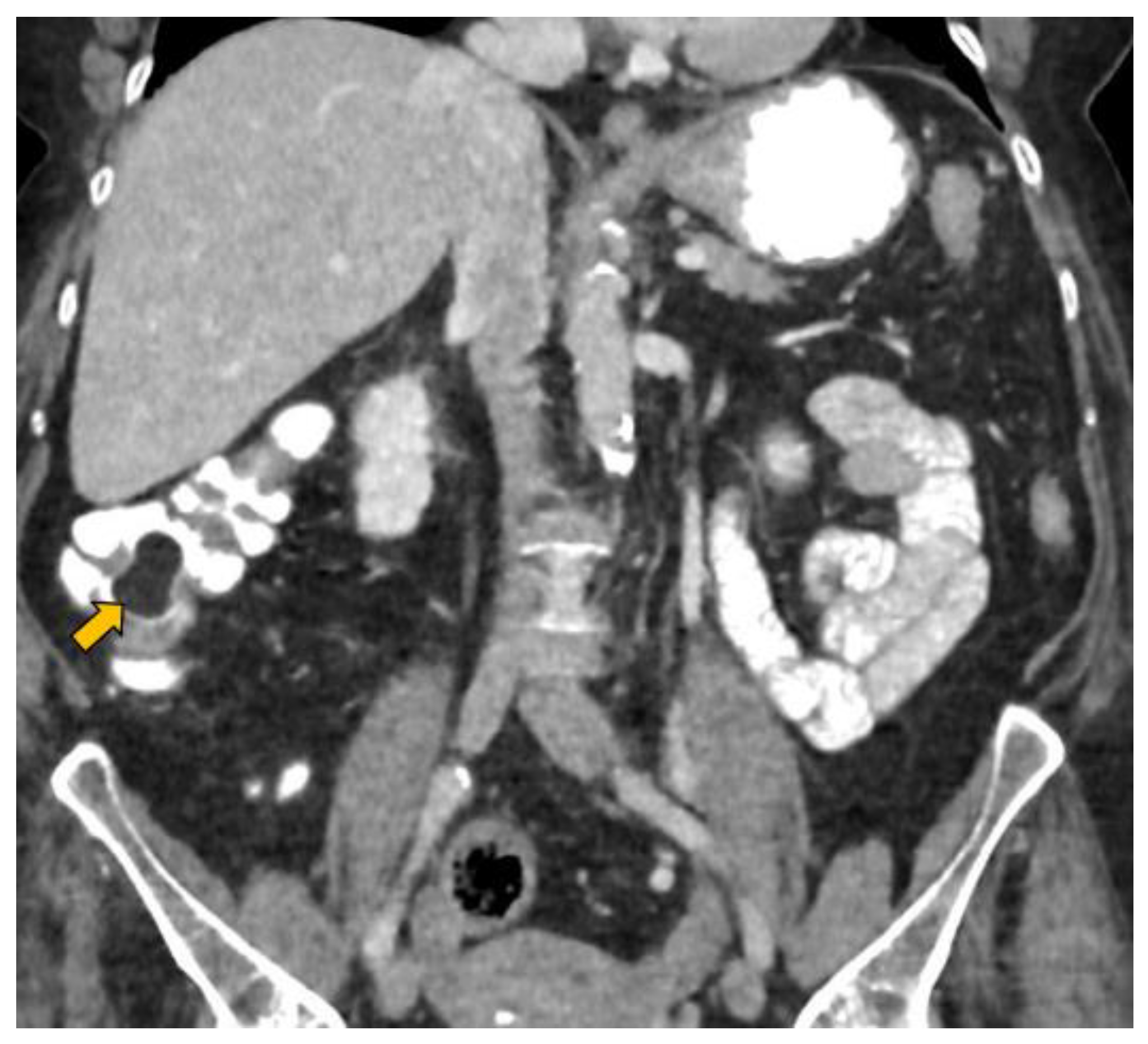
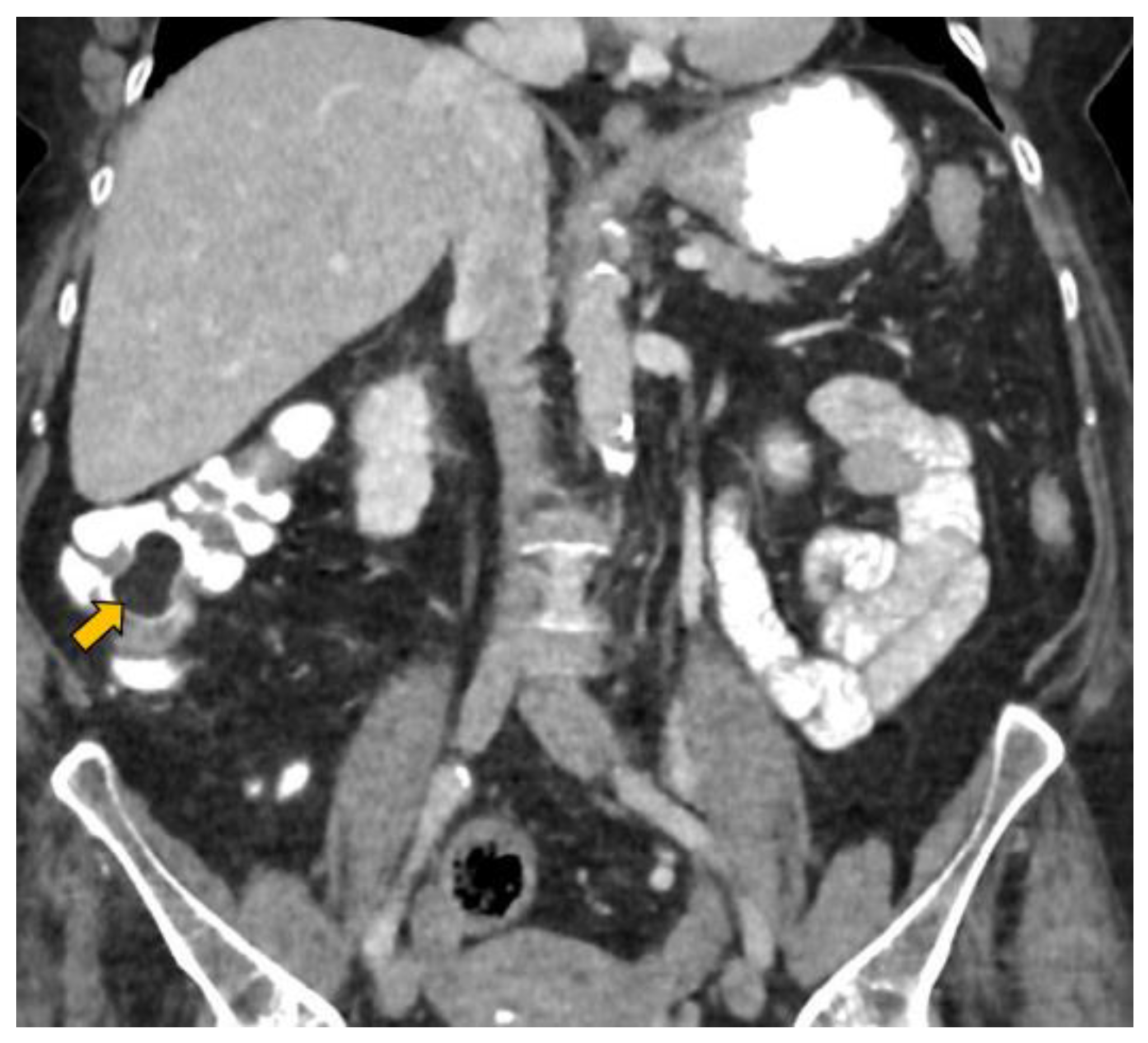
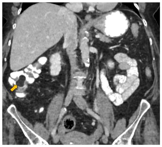
Figure 2.
Coronal CT reconstruction of the abdomen with intravenous and oral contrast showing the colonic lipoma (yellow arrow).
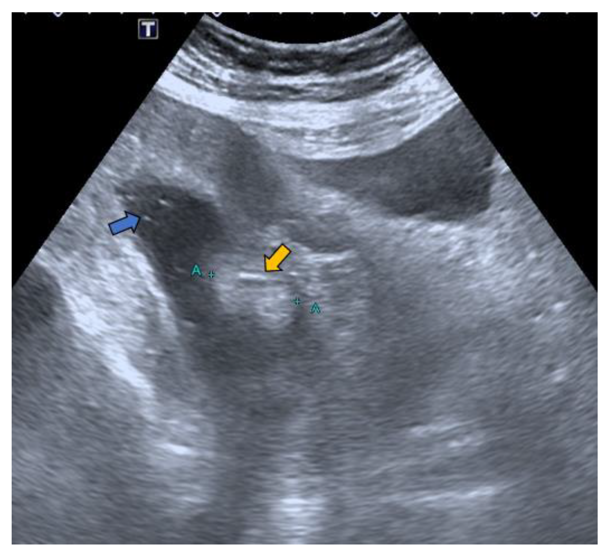
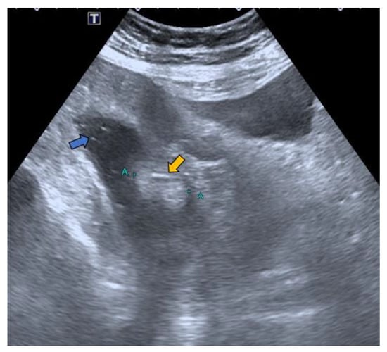
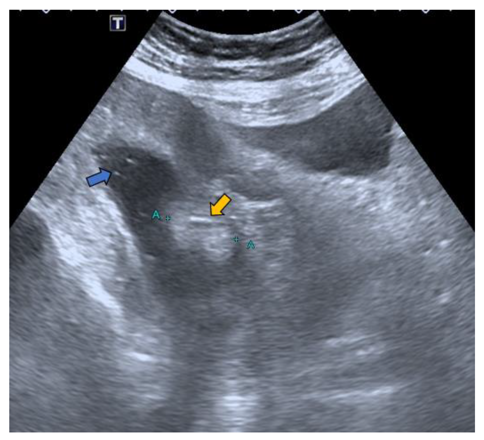
Figure 3.
Hydrocolonic sonography without cleaning preparation. The lipoma between the blue marks (A +, + A) is seen as a hyperechoic image (yellow arrow) projecting into the lumen of the cecum. Faecal remains are observed floating as hyperechoic dotted images in the lumen of the co-lon distended by the serum (blue arrow).
Because of this case, we describe HS, its advantages and disadvantages and how this technique can be useful in the follow-up of these types of lesions.
3. Discussion
HS is a simple and cost-effective technique; however, it is more complex to perform than an abdominal ultrasound. It requires two operators, a sonographer and a helper. HS requires a bag of saline solution or warm water hanging from a drip stand at a height of 150–200 cm. The bag of saline solution is attached to an infusion system anastomosed to a balloon-catheter probe. A balloon-catheter probe must be used, as this type of probe “plugs” the colon and prevents the saline solution from flowing out. The patient must be in the lateral decubitus position and, after the insertion of the probe into the rectal ampulla, the balloon is inflated. The patient is then placed in the supine position, the infusion system is opened, and via gravity, the saline solution fills the colon. In this way, intracolonic gas is eliminated, the lumen of the colon is distended and lesions on the colon wall can be observed. During this process, it is advisable to turn the patient onto their side so that the saline solution can reach the areas that were previously only partially filled. The amount of saline solution or warm water that is introduced is variable and depends on the patient’s tolerance level, but ranges from 300 to 2000 mL [10,11,12,15,16,18,20,26], with 1500 mL [10,11,12,15,16] being the most commonly used volume (Table 2).
Table 2.
Description of the technique.
HS requires cleansing preparation to remove faecal debris, which is the main cause of poor visualisation [15,20]. This cleansing preparation is similar to that used in OC, opaque enema or CT-colonography, and therefore consists of a low-residue diet and the consumption of an evacuating solution. In the case of the CT-colonography technique, if “stool marking” is performed, oral contrast is also necessary. Stool marking is used to differentiate between lesions and faecal remains.
HS is a generally well tolerated technique, but sometimes, bowel distension is not well tolerated and may cause the procedure to be incomplete [18,20,26]. This intolerance has been described in cases of stenosing neoplasm [20]. Relaxants improve bowel distention and suppress the feeling of urgency of elimination [11] and could be an option in cases of poor tolerance. Regarding the use of relaxants, some authors have used an intravenous injection of 20 mg of scopolamine-n-butyl bromide [10,11,12], 10 mg of N-butylscopolamine oral [18] or an intramuscular injection of 1 or 2 mg of glucagon or 1 or 2 mg of hyoscyamine sulphate [26]. This technique does not require sedation, but to improve cooperation in children, they can be lightly sedated with rectal quinalbarbitone or chloral hydrate [14]. Although most authors have not described serious complications [10,11,12,13,14,15,16,17,18,19,20], vasovagal episodes and diaphoresis have been reported [26].
The average scanning time for the HS procedure is 13.7–30 min [10,11,12,14,15,16,18,26]. However, more time is spent in the ultrasound room, as the balloon-catheter probe must be inserted first. In addition, after the scan, the saline solution must be allowed to flow out of the colon. This is done by placing the saline solution bag below the level of the scanning table, although frequently, after removing the balloon-catheter probe, the patient feels the need to evacuate their bowels, so it is advisable to have a bathroom nearby.
HS allows the evaluation of the colon from the sigma to cecum; the study of the rectum yields poor results [17,19,20]. Its deep location [18], the interposition of the pubic symphysis [18,27] and gas, the presence of the balloon-catheter probe in the rectal ampulla [15,20], obesity and the impossibility of distending the lower third of the rectum [12] are frequently associated with the difficulty in studying the rectum.
Although HS can be a useful technique, it is not the gold standard for the study of the colon. An important limitation is the impossibility of studying the rectum, but there are also factors such as being a dependent operator, obesity, a poor acoustic window, the presence of intraluminal gas, the persistence of fecaloid remains, or the existence of anatomical variants such as dolichomegalosigma that limit this technique (Table 1).
HS is clearly superior to the abdominal ultrasound technique in the detection of colonic lesions, as the findings described using abdominal ultrasounds, such as wall thickening, irregular hypoechoic walls and/or the loss of stratification [11,18], correspond to advanced stages of the disease. HS can detect polypoid lesions smaller than 5 mm, but with a very low sensitivity, which is lower than that of the CT-colonography technique [20]. However, these small lesions often have a low histological degree, as there is a relationship between the size of the lesion and the degree of histological severity [20]. In contrast, in the detection of larger lesions, the sensitivity of HS and CT-colonography is similar. The sensitivity of HS in the detection of lesions greater than or equal to 7 mm is 50–91% [11,15,18] and 70% for lesions between 6 and 10 mm in size [20]. The sensitivity of CT-colonography in the detection of lesions between 6 and 9 mm in size is 55–84% [28]. In the detection of lesions larger than 10 mm, the sensitivity of HS is 93% [20], and that of CT-colonography for lesions larger than or equal to 10 mm is 83,3% [29]. In a meta-analysis by Mulhall, the sensitivity of CT-colonography in the detection of lesions larger than or equal to 10 mm was reported to be 48–100% [28].
Although it is possible to perform low-radiation CT-colonography protocols, even with radiation doses lower than those associated with a double-contrast opaque enema [30], HS can be very useful in the most radiation-sensitive population groups. In children with episodes of rectal bleeding, HS has proven its value as an early diagnostic technique in the diagnosis of juvenile colonic polyps [14,31,32]. HS is a useful technique in the early assessment and follow-up of colon lesions in children and adults with poor tolerance to radiological and endoscopic procedures [17]. However, sometimes, poor tolerance to these procedures is not related to the technique but to the discomfort caused by the cleansing preparation.
One advantage of HS is that it can be performed intrasurgically. Occasionally, ink marking performed during OC does not allow for the localisation of a lesion because the ink migrates. This may require a new OC to mark the lesion again. In these cases, HS is a useful technique for intrasurgical lesion localisation [33,34,35]. However, the migration of ink beyond the marked lesion often occurs when saline solution is not used or the ink is not applied correctly. When this is suspected, HS before surgery is a less complicated procedure than intrasurgical marking and allows for presurgical marking. Presurgical marking via HS is a simple technique in which the location of the colon tumour is marked on the skin [20].
There is currently no consensus on the management of intracolonic lipomas. Follow-up is recommended for asymptomatic lipomas smaller than 2 cm if the colonoscopy biopsy is negative for malignancy [3]. In a review, Crocetti advises excision if they are symptomatic or larger than 2 cm [1]. If follow-up is chosen, there are two fundamental aspects to be considered. The first is size control, as there is a correlation between size and symptomatology [1,3]. Lipomas larger than 4 cm are the most frequent cause of intussusception for benign tumours in adults [3]. The second is to determine the degree of local infiltration of the colonic wall, as, if there is infiltration of the muscularis propria or serosa, surgical resection is advised [3]. For the first aspect, OC is the most appropriate technique, but to determine the degree of infiltration, it is necessary to use imaging techniques. Barium enema, ultrasound, MR and abdominal-CT are imaging techniques used in the study of lipomas.
Barium enema findings are nonspecific; it is difficult to differentiate lipomas from malignant lesions using a barium enema [1], and it is not possible to determine the degree of infiltration. Endoscopic or transabdominal ultrasounds show lipomas as hyperechoic images. A hyperechoic image on an endoscopic ultrasound in children is diagnostic of lipoma [1,5]. Although lipomas have been previously diagnosed using transabdominal ultrasound [8], the main limitation of using ultrasounds to study the colon is the presence of intracolonic gas that prevents the visualisation of the colon wall [10,11,12,13,14,15,16,17,18,19,20].
MR with fat saturation techniques can also be useful for detecting lipomas, but the detection of small lesions can be complicated [7]. The sensitivity of MR in the detection of fat composition is 100% [1]. Lipomas are easily distinguishable using abdominal-CT, as they appear as well-defined hypodense lesions between −40 and −120 Hounsfield units [36] (Figure 1 and Figure 2). The sensitivity of abdominal-CT in the detection of lipomas is 58–100%, and they have a characteristic image that looks like a “target sign” or “doughnut sign” [5,37]. Abdominal-CT is a very useful technique in urgent cases, but for follow-up, it presents problems due to the associated radiation. In addition, local infiltration can be difficult to exclude using abdominal-CT or MR [1].
In our case, there were four reasons why HS was included in the follow-up: the follow-up time, control of the degree of wall infiltration, lesion size and lesion location.
- Follow-up time: In a long-term follow-up in which the patient will undergo numerous check-ups, the use of a technique that does not include radiation is advisable. In this way, the patient’s exposure to radiation is reduced, and the time between check-ups can be shortened without fear of harming the patient.
- Control of the degree of wall infiltration: In studies concerning tumour pathology, this technique has made it possible to determine whether infiltration of the serosa [11,20] and the muscularis propria is present [11].
- Lesion size: The sensitivity of HS in the detection of lesions larger than 10 mm is 93% [20]. In our case of a lesion size of 33 mm, it was possible to avoid the discomfort associated with the cleansing preparation. In a recent study, 18 mm lesions were detected with HS without using cleansing preparation [20].
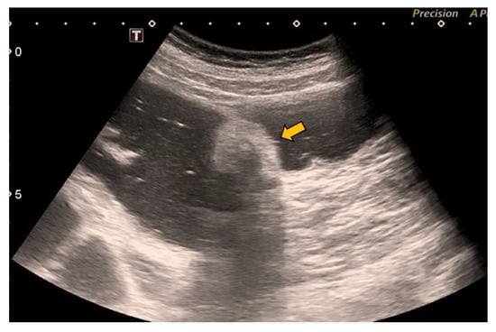
- Lesion location: The segment of the colon in which the lesion is located is an important factor if HS is to be used in follow-up. The rectum is a non-assessable segment. The position of the sigma in the pelvis, the disposition of the transverse colon [20] or the existence of dolichomegalosigma [15,20] are factors that limit the study of these colonic segments. However, the cecum, and ascending and descending colon are more superficial segments and are easier to assess by HS. Our lesion located in the cecum is accessible by HS. However, studying the cecum has peculiarities. First, the presence of faecal remains. Faecal remains frequently accumulate in the right colon [14,15,20]. Faecal remains are observed in the lumen of the colon during retrograde instillation of saline solution and can be moved by using the transducer to compress the abdomen rapidly and lightly [10,11,14,20]. Moving the patient sideways also allows the faecal matter to be displaced, allowing better visualisation. However, they can sometimes be abundant. The concentration of faecal matter can be reduced by increasing the infusion of saline solution [14] if the patient can tolerate it. It is also possible to decrease the faecal concentration by emptying and refilling the colon [20]. Thus, the saline solution together with the faecal remains return to the bag and a new bag of saline solution is used. Second, the ileocecal valve can also be mistaken for a lipoma. The ileocecal valve is seen as a pseudopolyp image projecting into the colon lumen from the ileocecal junction [38] (Figure 4). A lipoma in the cecum may be confused with lipomatosis of the ileocecal valve, which is a more common entity than lipoma [7,36].
Figure 4. The ileocecal valve (yellow arrow) is observed as a pseudopolyp hyperechoic image projecting into the colon lumen from the ileocecal junction.
4. Conclusions
Colonic lipomas are fatty, benign and rare tumours that are susceptible to follow-up as they can present serious complications such as bleeding or intussusception. The use of HS is a very valuable alternative for long term follow-ups because it is radiation-free, and it allows the degree of mural infiltration and the size of the lesion to be determined. In addition, it does not always require cleansing preparation. However, for its correct use, it is necessary to coordinate it with an OC, as in most cases, optical colonoscopies allow biopsies and resections to be carried out.
Author Contributions
Conceptualization: D.M.G., M.T.B.A., G.M.G. and F.J.M.P., Resources: D.M.G., M.T.B.A., C.B.R., M.Á.M.R. and G.M.G., Visualization: J.E.B.M., Supervision: J.E.B.M. and M.Á.M.R. All authors have read and agreed to the published version of the manuscript.
Funding
No funding has been received.
Institutional Review Board Statement
The study was conducted in accordance with the Declaration of Helsinki, and approved by the Ethics Committee of Hospital General Universitario de Elche (20 de diciembre de 2017).
Informed Consent Statement
Written Informed consent has been obtained from the patient to publish this paper.
Data Availability Statement
Not available.
Conflicts of Interest
The authors declare no conflict of interest.
References
- Crocetti, D.; Sapienza, P.; Sterpetti, A.V.; Paliotta, A.; De Gori, A.; Pedulla, G.; De Toma, G. Surgery for syntomatic colon lipoma: A systematic review of the literature. Anticancer Res. 2014, 34, 6271–6276. [Google Scholar] [PubMed]
- Rogers, S.O., Jr.; Lee, M.C.; Ashley, S.W. Giant colonic lipoma as lead point for intermittent colo-colonic intussusception. Surgery 2002, 131, 687–688. [Google Scholar] [CrossRef] [PubMed]
- Nallamothu, G.; Adler, D.G. Large colonic lipomas. Gastroenterol. Hepatol. 2011, 7, 490–492. [Google Scholar]
- Rogy, M.A.; Mirza, D.; Berlakovich, G.; Winkellbauer, F.; Rauhs, R. Submucous large-bowell lipomas presentation and management: An 18-year study. Eur. J. Surg. 1991, 157, 51–55. [Google Scholar]
- Law, Y.Y.; Patel, R.; Cusick, M.; Van Eps, J.L. A case of colonic intussception and obstruction secondary to giant colonic lipoma. J. Surg. Case Rep. 2020, 10, rjaa429. [Google Scholar] [CrossRef]
- Katsinelos, P.; Chatzimavroudis, G.; Zavos, C.; Pilpilidis, I.; Lazaraki, G.; Papaziogas, B.; Paroutoglou, G.; Kountouras, J.; Paikos, D. Cecal lipoma with psuedomalignant features. A case report and review of the literature. World J. Gastroenterol. 2007, 13, 2510–2513. [Google Scholar] [CrossRef]
- Liang, M.M.; Win, T.T.; Rasheed, S. A Cecal lipoma causing intussuscepction, detected on routine outpatient abdominal ultrasound. J. Med. Ultrasound 2020, 28, 44–47. [Google Scholar]
- Jiang, L.; Jiang, L.S.; Li, F.Y.; Ye, H.; Li, N.; Cheng, N.S.; Zhou, Y. Giant submubosal lipoma located in the descending colon: A case report and review of the literature. World J. Gastroenterol. 2007, 13, 5664–5667. [Google Scholar] [CrossRef]
- Tsiaousidou, A.; Chatzitheoklitos, E.; Hatzis, I.; Alatsakis, M.; Katsourakis, A. Giant transmural lipoma of the sigmoid colon. Hippokratia 2012, 16, 278–279. [Google Scholar]
- Limberg, B. Diagnosis of large bowell tumors by colonic sonography. Lancet 1990, 335, 144–146. [Google Scholar] [CrossRef]
- Limberg, B. Diagnosis and staging of colonic tumors by conventional abdominal sonography as compared with hydrocolonic sonography. N. Engl. J. Med. 1992, 327, 65–69. [Google Scholar] [CrossRef]
- Hernández-Socorro, C.R.; Guerra, C.; Hernández-Romero, J.; Rey, A.; López-Facal, P.; Alvaréz-Santullano, V. Colorectal carninomas: Diagnosis and preoperative staging by hydrocolonic sonography. Surgery 1995, 117, 609–615. [Google Scholar] [CrossRef]
- Candia, C.; Ciacci, V.; Di Segni, R.; Santini, E. Hydrocolonic sonography in the study of colonic diseases: Comparision with double-contrast enema. Radiol. Med. 1995, 89, 258–263. [Google Scholar] [PubMed]
- Ling, U.P.; Chen, J.Y.; Hwang, C.J.; Lin, C.K.; Chang, M.H. Hydrosonography in the evaluation of colorectal polyps. Arch. Dis. Child. 1995, 73, 70–73. [Google Scholar] [CrossRef][Green Version]
- Segura, J.M.; Molina, E.; Herrera, A.; Berges, M.A.; Erdozain, J.C.; Arjonilla, A.; Suárez, J.M. Hidrocolonic ultrasonography in the detection of tumoral processes in the inferior gastrointestinal tract. Rev. Esp. Enferm. Dig. 1998, 90, 779–787. [Google Scholar] [PubMed]
- Dixit, R.; Chowdhury, V.; Kumar, N. Hydrocolonic sonography in the evaluation of colonic lesions. Abdom. Imaging 1999, 24, 497–505. [Google Scholar] [CrossRef]
- Maconi, G.; Radice, E.; Bareggi, E.; Porro, G.B. Hydronosonography of the gastrointestinal tract. AJR 2009, 193, 700–708. [Google Scholar] [CrossRef]
- Caldeira, A.; Pereira, E.; Baldaque-Silva, F.; Pereira, B.; Sousa, R.; Tristan, J.; Banhudo, A. Role of hydrocolonic sonography in the detection of colonic neoplastic lesions. J. Diagn. Med. Sonogr. 2011, 27, 160–164. [Google Scholar] [CrossRef]
- Siripongsakun, S.; Charoenvisal, L.; Pantongrag-Brown, L.; Dusitanond, N.; Siripongpreeda, B. Hydrocolonic sonography: A complete corectal evaluation technique with preliminary results. J. Clin. Ultrasound 2013, 41, 402–407. [Google Scholar] [CrossRef]
- Martínez García, D.; Maria, T.B.A.; Javier, E.B.M.; Jose, M.L.L.; Carlos, B.R.; Francisco, J.M.P.; Miguel Angel, M.R.; Maria Luz, P.M.; Mihaela Alina, G.; Paula, R.E. Hydrocolonic sonography. A Forgotten technique. Jpn. J. Gastroenterol. Hepatol. 2021, 6, 1–11. [Google Scholar]
- Carl Rubin, D.O.; Alfred, B.; Kurtz, M.D.; Barry, B.; Goldberg, M.D. Water enema: A new ultrasound technique in defining pelvic anatomy. J. Clin. Ultrasound 1978, 6, 28–33. [Google Scholar] [CrossRef] [PubMed]
- Limberg, B.; Osswald, B. Diagnosis and differential diagnosis of ulcerative colitis and Crohn’s disease by hydrocolonic sonography. Am. J. Gastroenterol. 1994, 89, 1051–1057. [Google Scholar]
- Bru, C.; Sans, M.; Defelitto, M.M.; Gilabert, R.; Fuster, D.; Llach, J.; Lomeña, F.; Bordas, J.M.; Piqué, J.M.; Panés, J. Hydrocolonic sonography for evaluating inflammatory bowel disease. Am. J. Roentgenol. 2001, 177, 99–105. [Google Scholar] [CrossRef] [PubMed]
- Parente, F.; Greco, S.; Molteni, M.; Cucino, C.; Maconi, G.; Sampietro, G.M.; Danelli, P.G.; Cristaldi, M.; Bianco, R.; Gallus, S.; et al. Role of early ultrasound in detecting inflammatory intestinal disorders and identifying their anatomical location within the bowel. Aliment. Pharmacol. Ther. 2003, 18, 1009–1014. [Google Scholar] [CrossRef]
- Düx, M. Hydrocolonic sonography. Abdom. Imaging 1999, 24, 506–507. [Google Scholar] [CrossRef]
- Chui, D.W.; Gooding, G.A.; McQuaid, K.R.; Griswold, V.; Grendell, J.H. Hydrocolonic ultrasonography in the detection of colonic polyps and tumors. N. Engl. J. Med. 1994, 332, 1685–1688. [Google Scholar] [CrossRef]
- Düx, M.; Roeren, T.; Kuntz, C.; Ritcher, G.M.; Kauffmann, G.W. TNM staging of gastrointestinal tumors by hydrosonography: Results of a histopathologically controlled study in 60 patients. Abdom. Imaging 1997, 22, 24–34. [Google Scholar] [CrossRef]
- Mulhall, B.P.; Veerappan, G.R.; Jackson, J.L. Meta-analysis: Computed tomographic colonography. Ann. Intern. Med. 2005, 142, 635–650. [Google Scholar] [CrossRef]
- McArthur, D.R.; Mehrzad, H.; Patel, R.; Dadds, J.; Pallan, A.; Karandikar, S.S.; Roy-Choudhury, S. CT colonography for synchronous colorectal lesions in patients with colorectal cancer: Initial experience. Eur. Radiol. 2010, 20, 621–629. [Google Scholar] [CrossRef]
- Neri, E.; Faggioni, L.; Cerri, F.; Turini, F.; Angeli, S.; Cini, L.; Perrone, F.; Paolicchi, F.; Bartolozzi, C. CT colonography versus double-contrast barium enema for screening of colorectal cancer: Comparison of radiation burden. Abdom. Imaging 2010, 35, 596–601. [Google Scholar] [CrossRef]
- Walter, D.F.; Govil, S.; Korula, A.; William, R.R.; Chandy, G. Pedunculated colonic polyp diagnosed by colonic sonography. Pediatr. Radiol. 1992, 22, 148–149. [Google Scholar] [CrossRef] [PubMed]
- Nagita, A.; Amemoto, K.; Yoden, A.; Yamazaki, T.; Mino, M.; Miyoshi, H. Ultrasonographic diagnosis of juvenile colonic polyps. J. Pediatr. 1994, 124, 535–540. [Google Scholar] [CrossRef]
- Luck, A.J.; Thomas, M.L.; Roediger, E.W.; Hewett, P.J. Localization of the nonpalpable colonic lesion with intraoperative ultrasound. Surg. Endosc. 1999, 13, 526–527. [Google Scholar] [CrossRef] [PubMed]
- Luck, A.; Copley, J.; Hewett, P. Ultrasound of colonic neoplasia. An operative tool? Surg. Endosc. 2000, 14, 185–188. [Google Scholar] [CrossRef] [PubMed]
- Greif, F.; Belenky, A.; Aranovich, D.; Yampolski, I.; Hannanel, N. Intraoperative ultrasonography: A tool for localizing small colonic colonic polyps. Int. J. Colorectal. Dis. 2005, 20, 502–506. [Google Scholar] [CrossRef] [PubMed]
- Thompson, W.M. Imaging and findings of lipomas of the gastrointestinal tract. Am. J. Roentgenol. 2005, 184, 163–171. [Google Scholar] [CrossRef]
- Marinis, A.; Yiallourou, A.; Samanides, L.; Dafnios, N.; Anastasopoulos, G.; Vassiliou, I.; Theodosopoulos, T. Intussusception of the bowell in adults: A rewiew. World J. Gastroenterol. 2009, 15, 407–411. [Google Scholar] [CrossRef]
- Limberg, B. Diagnosis of inflammatory and tumorous changes of the large intestine using colonic sonography. Dtsch. Med. Wochenschr. 1986, 111, 1273–1276. (In German) [Google Scholar] [CrossRef]
Publisher’s Note: MDPI stays neutral with regard to jurisdictional claims in published maps and institutional affiliations. |
© 2022 by the authors. Licensee MDPI, Basel, Switzerland. This article is an open access article distributed under the terms and conditions of the Creative Commons Attribution (CC BY) license (https://creativecommons.org/licenses/by/4.0/).



