Optical Coherence Tomography in Huntington's Disease—A Potential Future Biomarker for Neurodegeneration?
Abstract
1. Introduction
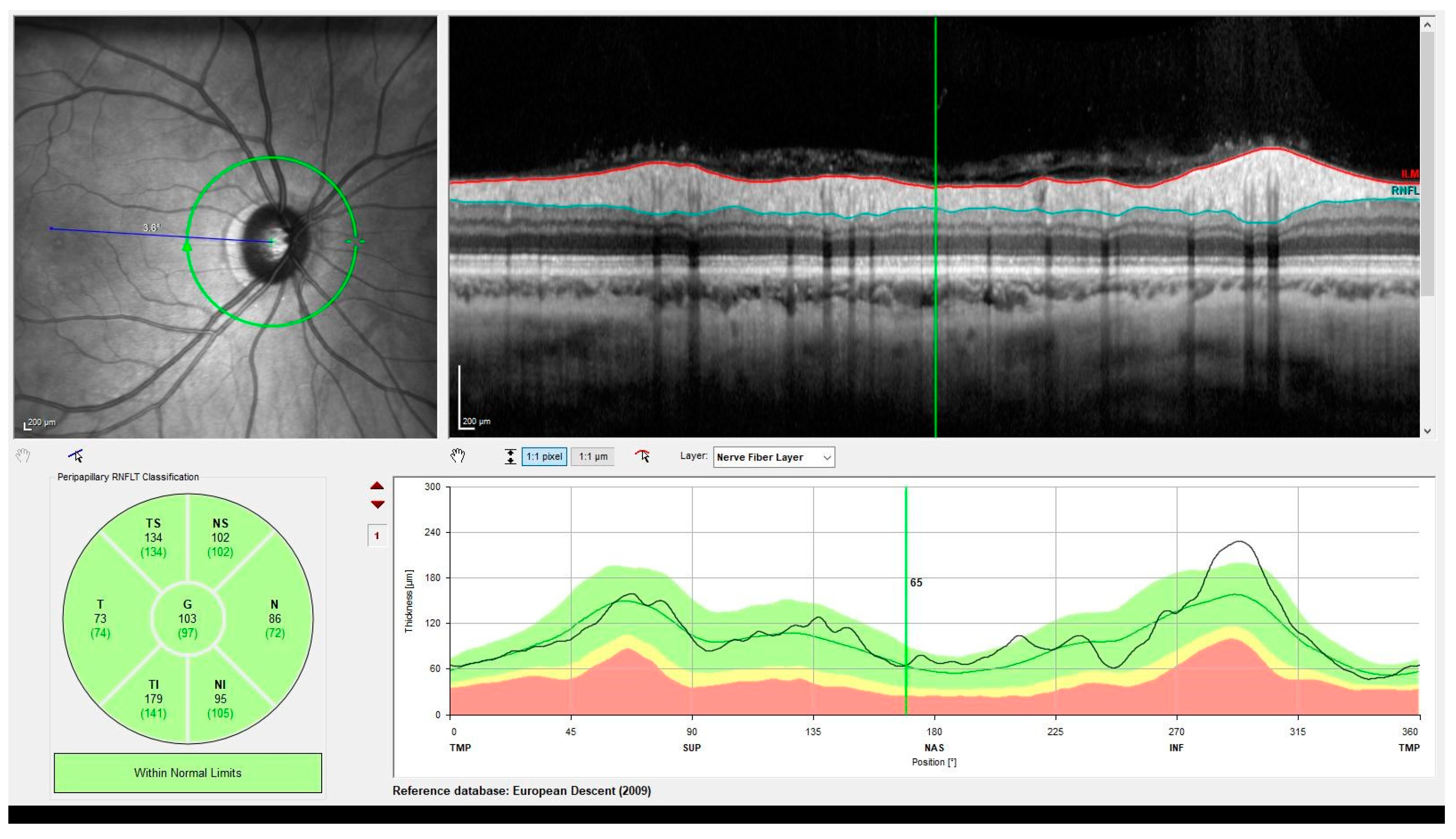
2. Optical Coherence Tomography
3. OCT Findings in Huntington's Disease
4. Discussion
5. Conclusions
Author Contributions
Funding
Data Availability Statement
Conflicts of Interest
References
- Ghosh, R.; Tabrizi, S.J. Clinical features of Huntington's disease. Adv. Exp. Med. Biol. 2018, 1049, 1–28. [Google Scholar] [PubMed]
- McColgan, P.; Tabrizi, S.J. Huntington's disease: A clinical review. Eur. J. Neurol. 2018, 25, 24–34. [Google Scholar] [CrossRef] [PubMed]
- Bates, G.P.; Dorsey, R.; Gusella, J.F.; Hayden, M.R.; Kay, C.; Leavitt, B.R.; Nance, M.; Ross, C.A.; Scahill, R.I.; Wetzel, R.; et al. Huntington disease. Nat. Rev. Dis. Primers 2015, 1, 15005. [Google Scholar] [CrossRef] [PubMed]
- Hogarth, P.; Kayson, E.; Kieburtz, K.; Marder, K.; Oakes, D.; Rosas, D.; Shoulson, I.; Wexler, N.S.; Young, A.B.; Zhao, H.; et al. Interrater agreement in the assessment of motor manifestations of Huntington's disease. Mov. Disord. 2005, 20, 293–297. [Google Scholar] [CrossRef] [PubMed]
- Liu, D.; Long, J.D.; Zhang, Y.; Raymond, L.A.; Marder, K.; Rosser, A.; McCusker, E.A.; Mills, J.A.; Paulsen, J.S.; PREDICT-HD Investigators and Coordinators of the Huntington Study Group. Motor onset and diagnosis in Huntington disease using the diagnostic confidence level. J. Neurol. 2015, 262, 2691–2698. [Google Scholar] [CrossRef] [PubMed]
- Tabrizi, S.J.; Schobel, S.; Gantman, E.C.; Mansbach, A.; Borowsky, B.; Konstantinova, P.; Mestre, T.A.; Panagoulias, J.; Ross, C.A.; Zauderer, M.; et al. A biological classification of Huntington's disease: The Integrated Staging System. Lancet Neurol. 2022, 21, 632–644. [Google Scholar] [CrossRef]
- Georgiou-Karistianis, N.; Scahill, R.; Tabrizi, S.J.; Squitieri, F.; Aylward, E. Structural MRI in Huntington's disease and recommendations for its potential use in clinical trials. Neurosci. Biobehav. Rev. 2013, 37, 480–490. [Google Scholar] [CrossRef]
- Rees, E.M.; Scahill, R.I.; Hobbs, N.Z. Longitudinal neuroimaging biomarkers in Huntington's disease. J. Huntington's Dis. 2013, 2, 21–39. [Google Scholar] [CrossRef] [PubMed]
- Beste, C.; Stock, A.K.; Ness, V.; Hoffmann, R.; Lukas, C.; Saft, C. A novel cognitive-neurophysiological state biomarker in premanifest Huntington's disease validated on longitudinal data. Sci. Rep. 2013, 3, 1797. [Google Scholar] [CrossRef]
- Tabrizi, S.J.; Reilmann, R.; Roos, R.A.; Durr, A.; Leavitt, B.; Owen, G.; Jones, R.; Johnson, H.; Craufurd, D.; Hicks, S.L.; et al. Potential endpoints for clinical trials in premanifest and early Huntington's disease in the TRACK-HD study: Analysis of 24 month observational data. Lancet Neurol. 2012, 11, 42–53. [Google Scholar] [CrossRef]
- Crair, M.C.; Mason, C.A. Reconnecting eye to brain. J. Neurosci. 2016, 36, 10707–10722. [Google Scholar] [CrossRef] [PubMed]
- Trost, A.; Lange, S.; Schroedl, F.; Bruckner, D.; Motloch, K.A.; Bogner, B.; Kaser-Eichberger, A.; Strohmaier, C.; Runge, C.; Aigner, L.; et al. Brain and retinal pericytes: Origin, function and role. Front. Cell. Neurosci. 2016, 10, 20. [Google Scholar] [CrossRef] [PubMed]
- Dhalla, A.; Pallikadavath, S.; Hutchinson, C.V. Visual dysfunction in Huntington's disease: A systematic review. J. Huntington's Dis. 2019, 8, 233–242. [Google Scholar] [CrossRef] [PubMed]
- Tsokolas, G.; Tsaousis, K.T.; Diakonis, V.F.; Matsou, A.; Tyradellis, S. Optical coherence tomography angiography in neurodegenerative diseases: A review. Eye Brain 2020, 12, 73–87. [Google Scholar] [CrossRef] [PubMed]
- Doustar, J.; Torbati, T.; Black, K.L.; Koronyo, Y.; Koronyo-Hamaoui, M. Optical coherence tomography in Alzheimer's disease and other neurodegenerative diseases. Front. Neurol. 2017, 8, 701. [Google Scholar] [CrossRef]
- Huang, D.; Swanson, E.A.; Lin, C.P.; Schuman, J.S.; Stinson, W.G.; Chang, W.; Hee, M.R.; Flotte, T.; Gregory, K.; Puliafito, C.A.; et al. Optical coherence tomography. Science 1991, 254, 1178–1181. [Google Scholar] [CrossRef]
- Grover, S.; Murthy, R.K.; Brar, V.S.; Chalam, K.V. Normative data for macular thickness by high-definition spectral-domain optical coherence tomography (spectralis). Am. J. Ophthalmol. 2009, 148, 266–271. [Google Scholar] [CrossRef]
- Kashani, A.H.; Asanad, S.; Chan, J.W.; Singer, M.B.; Zhang, J.; Sharifi, M.; Khansari, M.M.; Abdolahi, F.; Shi, Y.; Biffi, A.; et al. Past, present and future role of retinal imaging in neurodegenerative disease. Prog. Retin. Eye Res. 2021, 83, 100938. [Google Scholar] [CrossRef]
- Petzold, A.; de Boer, J.F.; Schippling, S.; Vermersch, P.; Kardon, R.; Green, A.; Calabresi, P.A.; Polman, C. Optical coherence tomography in multiple sclerosis: A systematic review and meta-analysis. Lancet Neurol. 2010, 9, 921–932. [Google Scholar] [CrossRef] [PubMed]
- den Haan, J.; Verbraak, F.D.; Visser, P.J.; Bouwman, F.H. Retinal thickness in Alzheimer's disease: A systematic review and meta-analysis. Alzheimer's Dement. 2017, 6, 162–170. [Google Scholar] [CrossRef] [PubMed]
- Wojtkowski, M.; Srinivasan, V.J.; Ko, T.H.; Fujimoto, J.G.; Kowalczyk, A.; Duker, J.S. Ultrahigh-resolution, high-speed, Fourier domain optical coherence tomography and methods for dispersion compensation. Opt. Express 2004, 12, 2404–2422. [Google Scholar] [CrossRef] [PubMed]
- Garcia-Martin, E.; Pablo, L.E.; Herrero, R.; Satue, M.; Polo, V.; Larrosa, J.M.; Martin, J.; Fernandez, J. Diagnostic ability of a linear discriminant function for spectral-domain optical coherence tomography in patients with multiple sclerosis. Ophthalmology 2012, 119, 1705–1711. [Google Scholar] [CrossRef] [PubMed]
- Garcia-Martin, E.; Satue, M.; Fuertes, I.; Otin, S.; Alarcia, R.; Herrero, R.; Bambo, M.P.; Fernandez, J.; Pablo, L.E. Ability and reproducibility of Fourier-domain optical coherence tomography to detect retinal nerve fiber layer atrophy in Parkinson's disease. Ophthalmology 2012, 119, 2161–2167. [Google Scholar] [CrossRef] [PubMed]
- Chan, V.T.; Sun, Z.; Tang, S.; Chen, L.J.; Wong, A.; Tham, C.C.; Wong, T.Y.; Chen, C.; Ikram, M.K.; Whitson, H.E.; et al. Spectral-domain OCT measurements in Alzheimer's disease: A systematic review and meta-analysis. Ophthalmology 2019, 126, 497–510. [Google Scholar] [CrossRef] [PubMed]
- Haider, S.; Raftopoulos, R.; Kapoor, R.; Tabrizi, S. The Paddington Consortium. E29 macular volume loss in Huntington's disease on optical coherence tomography—A pilot biomarker study. J. Neurol. Neurosurg. Psychiatry 2014, 85 (Suppl. S1), A46–A47. [Google Scholar] [CrossRef]
- Kersten, H.M.; Danesh-Meyer, H.V.; Kilfoyle, D.H.; Roxburgh, R.H. Optical coherence tomography findings in Huntington's disease: A potential biomarker of disease progression. J. Neurol. 2015, 262, 2457–2465. [Google Scholar] [CrossRef] [PubMed]
- Andrade, C.; Beato, J.; Monteiro, A.; Costa, A.; Penas, S.; Guimarães, J.; Reis, F.F.; Garrett, C. Spectral-Domain Optical Coherence Tomography as a Potential Biomarker in Huntington's Disease. Mov. Disord. 2016, 31, 377–383. [Google Scholar] [CrossRef]
- Gatto, E.; Parisi, V.; Persi, G.; Fernandez Rey, E.; Cesarini, M.; Luis Etcheverry, J.; Rivera, P.; Squitieri, F. Optical coherence tomography (OCT) study in Argentinean Huntington's disease patients. Int. J. Neurosci. 2018, 128, 1157–1162. [Google Scholar] [CrossRef] [PubMed]
- Gulmez Sevim, D.; Unlu, M.; Gultekin, M.; Karaca, C. Retinal single-layer analysis with optical coherence tomography shows inner retinal layer thinning in Huntington's disease as a potential biomarker. Int. Ophthalmol. 2019, 39, 611–621. [Google Scholar] [CrossRef]
- Svetozarskiy, S.; Kopishinskaya, S.; Smetankin, I. Early retinal degeneration in Huntington's disease based on optical coherence tomography: A case-control study. Med. Hypothesis Discov. Innov. Optom. 2020, 1, 18–24. [Google Scholar] [CrossRef]
- Di Maio, L.G.; Montorio, D.; Peluso, S.; Dolce, P.; Salvatore, E.; De Michele, G.; Cennamo, G. Optical coherence tomography angiography findings in Huntington's disease. Neurol. Sci. 2021, 42, 995–1001. [Google Scholar] [CrossRef] [PubMed]
- Amini, E.; Moghaddasi, M.; Habibi, S.A.; Azad, Z.; Miri, S.; Nilforushan, N.; Mirshahi, R.; Cubo, E.; Mohammadzadeh, N.; Rohani, M. Huntington's disease and neurovascular structure of retina. Neurol. Sci. 2022, 43, 5933–5941. [Google Scholar] [CrossRef] [PubMed]
- Schmid, R.D.; Remlinger, J.; Abegg, M.; Hoepner, R.; Hoffmann, R.; Lukas, C.; Saft, C.; Salmen, A. No optical coherence tomography changes in premanifest Huntington's disease mutation carriers far from disease onset. Brain Behav. 2022, 12, e2592. [Google Scholar] [CrossRef] [PubMed]
- Mazur-Michałek, I.; Kowalska, K.; Zielonka, D.; Leśniczak-Staszak, M.; Pietras, P.; Szaflarski, W.; Isalan, M.; Mielcarek, M. Structural abnormalities of the optic nerve and retina in Huntington's disease pre-clinical and clinical settings. Int. J. Mol. Sci. 2022, 23, 5450. [Google Scholar] [CrossRef]
- Dusek, P.; Kopal, A.; Brichova, M.; Roth, J.; Ulmanova, O.; Klempir, J.; Preiningerova, J.L. Is retina affected in Huntington's disease? Is optical coherence tomography a good biomarker? PLoS ONE 2023, 18, e0282175. [Google Scholar] [CrossRef] [PubMed]
- Murueta-Goyena, A.; Del Pino, R.; Acera, M.; Teijeira-Portas, S.; Romero, D.; Ayala, U.; Fernández-Valle, T.; Tijero, B.; Gabilondo, I.; Gómez Esteban, J.C. Retinal thickness as a biomarker of cognitive impairment in manifest Huntington's disease. J. Neurol. 2023, 270, 3821–3829. [Google Scholar] [CrossRef]
- Joseph, S.; Robbins, C.B.; Haystead, A.; Hemesath, A.; Allen, A.; Kundu, A.; Ma, J.P.; Scott, B.L.; Moore, K.P.; Agrawal, R.; et al. Characterizing differences in retinal and choroidal microvasculature and structure in individuals with Huntington's Disease compared to healthy controls: A cross-sectional prospective study. PLoS ONE 2024, 19, e0296742. [Google Scholar] [CrossRef] [PubMed]
- Paulus, W.; Schwarz, G.; Werner, A.; Lange, H.; Bayer, A.; Hofschuster, M.; Müller, N.; Zrenner, E. Impairment of retinal increment thresholds in Huntington's disease. Ann. Neurol. 1993, 34, 574–578. [Google Scholar] [CrossRef]
- Jackson, G.R.; Salecker, I.; Dong, X.; Yao, X.; Arnheim, N.; Faber, P.W.; MacDonald, M.E.; Zipursky, S.L. Polyglutamine-expanded human huntingtin transgenes induce degeneration of Drosophila photoreceptor neurons. Neuron 1998, 21, 633–642. [Google Scholar] [CrossRef] [PubMed]
- Petrasch-Parwez, E.; Habbes, H.W.; Weickert, S.; Löbbecke-Schumacher, M.; Striedinger, K.; Wieczorek, S.; Dermietzel, R.; Epplen, J.T. Fine-structural analysis and connexin expression in the retina of a transgenic model of Huntington's disease. J. Comp. Neurol. 2004, 479, 181–197. [Google Scholar] [CrossRef]
- Helmlinger, D.; Yvert, G.; Picaud, S.; Merienne, K.; Sahel, J.; Mandel, J.L.; Devys, D. Progressive retinal degeneration and dysfunction in R6 Huntington's disease mice. Hum. Mol. Genet. 2002, 11, 3351–3359. [Google Scholar] [CrossRef] [PubMed]
- Batcha, A.H.; Greferath, U.; Jobling, A.I.; Vessey, K.A.; Ward, M.M.; Nithianantharajah, J.; Hannan, A.J.; Kalloniatis, M.; Fletcher, E.L. Retinal dysfunction, photoreceptor protein dysregulation and neuronal remodelling in the R6/1 mouse model of Huntington's disease. Neurobiol. Dis. 2012, 45, 887–896. [Google Scholar] [CrossRef]
- Johnson, M.A.; Gelderblom, H.; Rüther, K.; Priller, J.; Bernstein, S.L. Evidence that Huntington's disease affects retinal structure and function. Investig. Ophthalmol. Vis. Sci. 2014, 55, 1644. [Google Scholar]
- Petrasch-Parwez, E.; Saft, C.; Schlichting, A.; Andrich, J.; Napirei, M.; Arning, L.; Wieczorek, S.; Dermietzel, R.; Epplen, J.T. Is the retina affected in Huntington disease? Acta Neuropathol. 2005, 110, 523–525. [Google Scholar] [CrossRef] [PubMed]
- Barboni, P.; Savini, G.; Valentino, M.L.; Montagna, P.; Cortelli, P.; De Negri, A.M.; Sadun, F.; Bianchi, S.; Longanesi, L.; Zanini, M.; et al. Retinal nerve fiber layer evaluation by optical coherence tomography in Leber's hereditary optic neuropathy. Ophthalmology 2005, 112, 120–126. [Google Scholar] [CrossRef]
- Fortuna, F.; Barboni, P.; Liguori, R.; Valentino, M.L.; Savini, G.; Gellera, C.; Mariotti, C.; Rizzo, G.; Tonon, C.; Manners, D.; et al. Visual system involvement in patients with Friedreich's ataxia. Brain 2009, 132, 116–123. [Google Scholar] [CrossRef]
- Narayanan, D.; Cheng, H.; Bonem, K.N.; Saenz, R.; Tang, R.A.; Frishman, L.J. Tracking changes over time in retinal nerve fiber layer and ganglion cell-inner plexiform layer thickness in multiple sclerosis. Mult. Scler. J. 2014, 20, 1331–1341. [Google Scholar] [CrossRef] [PubMed]
- Garcia-Martin, E.; Polo, V.; Larrosa, J.M.; Marques, M.L.; Herrero, R.; Martin, J.; Ara, J.R.; Fernandez, J.; Pablo, L.E. Retinal layer segmentation in patients with multiple sclerosis using spectral domain optical coherence tomography. Ophthalmology 2014, 121, 573–579. [Google Scholar] [CrossRef]
- Satue, M.; Obis, J.; Rodrigo, M.J.; Otin, S.; Fuertes, M.I.; Vilades, E.; Gracia, H.; Ara, J.R.; Alarcia, R.; Polo, V.; et al. Optical coherence tomography as a biomarker for diagnosis, progression, and prognosis of neurodegenerative diseases. J. Ophthalmol. 2016, 2016, 8503859. [Google Scholar] [CrossRef] [PubMed]
- Drouin-Ouellet, J.; Sawiak, S.J.; Cisbani, G.; Lagacé, M.; Kuan, W.L.; Saint-Pierre, M.; Dury, R.J.; Alata, W.; St-Amour, I.; Mason, S.L.; et al. Cerebrovascular and blood–brain barrier impairments in Huntington's disease: Potential implications for its pathophysiology. Ann. Neurol. 2015, 78, 160–177. [Google Scholar] [CrossRef]
- La Morgia, C.; Di Vito, L.; Carelli, V.; Carbonelli, M. Patterns of retinal ganglion cell damage in neurodegenerative disorders: Parvocellular vs magnocellular degeneration in optical coherence tomography studies. Front. Neurol. 2017, 8, 710. [Google Scholar] [CrossRef] [PubMed]
- Tick, S.; Rossant, F.; Ghorbel, I.; Gaudric, A.; Sahel, J.A.; Chaumet-Riffaud, P.; Paques, M. Foveal shape and structure in a normal population. Investig. Ophthalmol. Vis. Sci. 2011, 52, 5105–5110. [Google Scholar] [CrossRef] [PubMed]
- Salobrar-Garcia, E.; Méndez-Hernández, C.; Hoz, R.D.; Ramírez, A.I.; López-Cuenca, I.; Fernández-Albarral, J.A.; Rojas, P.; Wang, S.; García-Feijoo, J.; Gil, P.; et al. Ocular vascular changes in mild Alzheimer's disease patients: Foveal avascular zone, choroidal thickness, and ONH hemoglobin analysis. J. Pers. Med. 2020, 10, 231. [Google Scholar] [CrossRef]
- Bulut, M.; Kurtuluş, F.; Gözkaya, O.; Erol, M.K.; Cengiz, A.; Akıdan, M.; Yaman, A. Evaluation of optical coherence tomography angiographic findings in Alzheimer's type dementia. Br. J. Ophthalmol. 2018, 102, 233–237. [Google Scholar] [CrossRef]
- Gouravani, M.; Fekrazad, S.; Mafhoumi, A.; Ashouri, M.; DeBuc, D.C. Optical coherence tomography measurements in Huntington's disease: A systematic review and meta-analysis. J. Neurol. 2024, 271, 6471–6484. [Google Scholar] [CrossRef]
- Wang, X.; Jiao, B.; Liu, H.; Wang, Y.; Hao, X.; Zhu, Y.; Xu, B.; Xu, H.; Zhang, S.; Jia, X.; et al. Machine learning based on Optical Coherence Tomography images as a diagnostic tool for Alzheimer's disease. CNS Neurosci. Ther. 2022, 28, 2206–2217. [Google Scholar] [CrossRef]

| Study | Device | No. of Patients/HD Eyes | Main Results (Comparing the HD and/or Pre-HD Groups with Healthy Controls (HCs)) |
|---|---|---|---|
| 1. Haider S et al. (2014) [25] | 51 (HCs; premanifest, early, moderate, juvenile stage HD) | Significantly reduced in HD:
No significant thinning in HD:
| |
| 2. Kersten HM et al. (2015) [26] | Heidelberg Spectralis (Heidelberg Engineering, Germany) | 20 manifest eyes, 6 premanifest eyes, 29 control eyes | Significantly reduced in HD:
No significant difference between the HD and controls:
No significant difference between the premanifest HD and manifest HD:
|
| 3. Andrade C et al. (2016) [27] | Spectralis HRA + OCT, Heidelberg Engineering, Germany | 15 eyes of 8 HD patients, 16 eyes of 8 HCs | Significantly reduced in HD:
No significant difference between the HD and controls:
|
| 4. Gatto E et al. (2018) [28] | Heidelberg Spectralis OCT plus (Heidelberg Engineering, Inc, Germany) | 27 eyes of 14 HD patients, 26 eyes of 13 HCs | Significant thinning in HD:
No significant difference between the HD and controls:
|
| 5. Gulmez Sevim D et al. (2019) [29] | Heidelberg Engineering, Germany | 15 eyes of 15 HD patients, 15 eyes of 15 HCs | Significant decrease in the thicknesses of:
Significant increase in the thicknesses of:
Significant decrease in the volumes of:
No significant difference in the HD and control groups in:
|
| 6. Svetozarskiy S et al. (2020) [30] | RTVue-100 spectral-domain OCT; Optovue Inc., Fremont, CA, USA | 29 premanifest eyes, 31 manifest eyes, 31 HCs eyes | Significantly reduced thickness in HD (premanifest and manifest)
Significantly reduced thickness in manifest HD:
|
| 7. Di Maio LG et al. (2021) [31] | Software RTVue XR version 2017.1.0.151, Optovue Inc., Fremont, CA, USA) | 32 eyes of 16 HD patients, 26 eyes of 13 HCs | Significantly reduced in HD:
No significant differences between HD and control groups:
|
| 8. Amini E et al. (2022) [32] | Heidelberg Engineering, Germany | 46 eyes of 25 HD patients, 50 eyes of 25 HCs | Significantly reduced in HD:
No significant differences between HD and control groups:
|
| 9. Schmid RD et al. (2022) [33] | Spectralis, HRA + OCT, Heidelberg Engineering | 24 presymptomatic HD patients, 38 HCs |
|
| 10. Mazur-Michałek I et al. (2022) [34] | Revo NX 110 (Optopol, Zawiercie, Poland) spectral domain OCT | 13 presymptomatic HD patients, 14 HCs | Significant decrease in presymptomatic HD:
No significant difference in the pre-HD and control groups:
|
| 11. Dusek P et al. (2023) [35] | Heidelberg Spectralis | 94 eyes of 41 HD patients *, 82 eyes of 41 HCs | Significant difference in the HD and control group (not passing false discovery rate adjustment and with small effect size):
No significant difference in the HD and control groups in:
|
| 12.Murueta-Goyena A et al. (2023) [36] | Spectralis, Heidelberg Engineering | 32 eyes of 16 premanifest HD carriers, 38 eyes of 20 manifest HD patients, 72 eyes of 36 HCs |
|
| 13. Joseph S et al. (2024) [37] | Zeiss Cirrus HD-OCT 5000 with AngioPlex OCTA (Carl Zeiss Meditec, Dublin, CA, USA) | 44 eyes of 23 HD patients, 77 eyes of 39 HCs | Significantly reduced in HD:
|
Disclaimer/Publisher’s Note: The statements, opinions and data contained in all publications are solely those of the individual author(s) and contributor(s) and not of MDPI and/or the editor(s). MDPI and/or the editor(s) disclaim responsibility for any injury to people or property resulting from any ideas, methods, instructions or products referred to in the content. |
© 2025 by the authors. Licensee MDPI, Basel, Switzerland. This article is an open access article distributed under the terms and conditions of the Creative Commons Attribution (CC BY) license (https://creativecommons.org/licenses/by/4.0/).
Share and Cite
Cerejo, C.; De Cleene, N.; Mandler, E.; Schwarzová, K.; Labrecque, S.; Mahlknecht, P.; Krismer, F.; Djamshidian, A.; Seppi, K.; Heim, B. Optical Coherence Tomography in Huntington's Disease—A Potential Future Biomarker for Neurodegeneration? Neurol. Int. 2025, 17, 13. https://doi.org/10.3390/neurolint17010013
Cerejo C, De Cleene N, Mandler E, Schwarzová K, Labrecque S, Mahlknecht P, Krismer F, Djamshidian A, Seppi K, Heim B. Optical Coherence Tomography in Huntington's Disease—A Potential Future Biomarker for Neurodegeneration? Neurology International. 2025; 17(1):13. https://doi.org/10.3390/neurolint17010013
Chicago/Turabian StyleCerejo, Clancy, Nicolas De Cleene, Elias Mandler, Katarina Schwarzová, Samuel Labrecque, Philipp Mahlknecht, Florian Krismer, Atbin Djamshidian, Klaus Seppi, and Beatrice Heim. 2025. "Optical Coherence Tomography in Huntington's Disease—A Potential Future Biomarker for Neurodegeneration?" Neurology International 17, no. 1: 13. https://doi.org/10.3390/neurolint17010013
APA StyleCerejo, C., De Cleene, N., Mandler, E., Schwarzová, K., Labrecque, S., Mahlknecht, P., Krismer, F., Djamshidian, A., Seppi, K., & Heim, B. (2025). Optical Coherence Tomography in Huntington's Disease—A Potential Future Biomarker for Neurodegeneration? Neurology International, 17(1), 13. https://doi.org/10.3390/neurolint17010013

