Tolterodine Tartrate Proniosomal Gel Transdermal Delivery for Overactive Bladder
Abstract
:1. Introduction
2. Materials and Methods
2.1. Preparation of Proniosomal Gels
2.2. Characterization of Proniosomal Gels
2.2.1. Entrapment Efficiency (EE)
2.2.2. Vesicle Size
2.2.3. Surface Morphology
2.2.4. pH Measurement
2.3. Stability Study
2.4. Attenuated Total Reflectance-Fourier Transform Infrared (ATR-FTIR) Spectroscopy
2.5. In Vitro Permeation Studies
2.6. In Vivo Studies
2.6.1. Skin Irritancy Test
2.6.2. Acetic Acid (ACA)-Induced Bladder Hyperactivity
2.6.3. Salivary Secretion
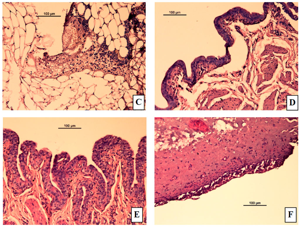
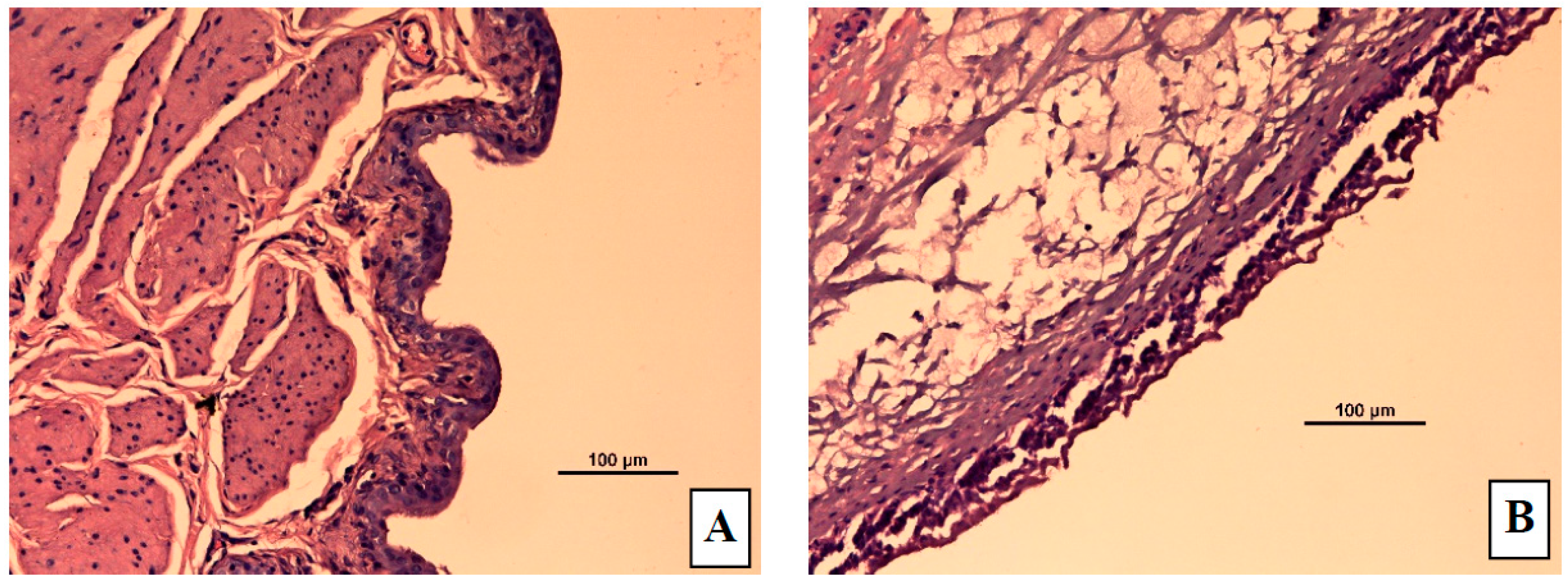
2.6.4. Histopathology
2.7. Statistical Analyses
3. Results
3.1. EE, Vesicle Size, and Stability Study
3.2. Surface Morphology
3.3. ATR-FTIR Analysis
3.4. In Vitro Permeation Studies
3.5. In Vivo Studies
3.5.1. Skin Irritancy Test
3.5.2. Salivary Secretion
3.5.3. Histopathology in Acetic Acid Induced Bladder Inflammation
4. Discussion
4.1. Entrapment Efficiency, Vesicle Size, and Stability Study
4.2. Surface Morphology
4.3. ATR-FTIR Spectroscopy
4.4. In Vitro Permeation Studies
4.5. In Vivo Studies
4.5.1. Skin Irritancy Test
4.5.2. Salivary Secretion
4.5.3. Histopathology in the Bladder Inflammation Model
5. Conclusions
Acknowledgments
Author Contributions
Conflicts of Interest
References
- Abrams, P.; Cardozo, L.; Fall, M.; Griffiths, D.; Rosier, P.; Ulmsten, U.; van Kerrebroeck, P.; Victor, A.; Wein, A. The standardisation of terminology of lower urinary tract function: Report from the Standardisation Sub-committee of the International Continence Society. Neurourol. Urodyn. 2002, 21, 167–178. [Google Scholar] [CrossRef] [PubMed]
- Eckhardt, M.D.; van Venrooij, G.E.; van Melick, H.H.; Boon, T.A. Prevalence and bothersomeness of lower urinary tract symptoms in benign prostatic hyperplasia and their impact on well-being. J. Urol. 2001, 166, 563–568. [Google Scholar] [CrossRef]
- Oki, T.; Toma-Okura, A.; Yamada, S. Advantages for transdermal over oral oxybutynin to treat overactive bladder: Muscarinic receptor binding, plasma drug concentration, and salivary secretion. J. Pharmacol. Exp. Ther. 2006, 316, 1137–1145. [Google Scholar] [CrossRef] [PubMed]
- Chu, F.M.; Dmochowski, R.R.; Lama, D.J.; Anderson, R.U.; Sand, P.K. Extended-release formulations of oxybutynin and tolterodine exhibit similar central nervous system tolerability profiles: A subanalysis of data from the OPERA trial. Am. J. Obstet. Gynecol. 2005, 192, 1849–1854. [Google Scholar] [CrossRef] [PubMed]
- Reinberg, Y.; Crocker, J.; Wolpert, J.; Vandersteen, D. Therapeutic efficacy of extended release oxybutynin chloride, and immediate release and long acting tolterodine tartrate in children with diurnal urinary incontinence. J. Urol. 2003, 169, 317–319. [Google Scholar] [CrossRef]
- DeMaagd, G.; Geibig, J.D. An overview of overactive bladder and its pharmacological management with a focus on anticholinergic drugs. Pharm. Ther. 2006, 31, 462–474. [Google Scholar]
- Nitti, V.W.; Sanders, S.; Staskin, D.R.; Dmochowski, R.R.; Sand, P.K.; MacDiarmid, S.; Maibach, H.I. Transdermal delivery of drugs for urologic applications: Basic principles and applications. Urology 2006, 67, 657–664. [Google Scholar] [CrossRef] [PubMed]
- Chancellor, M.; Freedman, S.; Mitcheson, H.; Primus, G.; Wein, A. Tolterodine, an effective and well tolerated treatment for urge incontinence and other overactive bladder symptoms. Clin. Drug Investig. 2000, 1, 83–91. [Google Scholar] [CrossRef]
- Zhao, L.; Li, Y.; Fang, L.; He, Z.; Liu, X.; Wang, L.; Xu, Y.; Ren, C. Transdermal delivery of tolterodine by O-acylmenthol: In vitro/in vivo correlation. Int. J. Pharm. 2009, 374, 73–81. [Google Scholar] [CrossRef] [PubMed]
- Elshafeey, A.H.; Kamel, A.O.; Fathallah, M.M. Utility of nanosized microemulsion for transdermal delivery of tolterodine tartrate: Ex-vivo permeation and in vivo pharmacokinetic studies. Pharm. Res. 2009, 26, 2446–2453. [Google Scholar] [CrossRef] [PubMed]
- Balakrishnan, P.; Shanmugam, S.; Lee, W.S.; Lee, W.M.; Kim, J.O.; Oh, D.H.; Kim, D.-D.; Kim, J.S.; Yoo, B.K.; Choi, H.-G.; et al. Formulation and in vitro assessment of minoxidil niosomes for enhanced skin delivery. Int. J. Pharm. 2009, 377, 1–8. [Google Scholar] [CrossRef] [PubMed]
- Radha, G.V.; Rani, T.S.; Sarvani, B. A review on proniosomal drug delivery system for targeted drug action. J. Basic Clin. Pharm. 2013, 4, 42–48. [Google Scholar] [CrossRef] [PubMed]
- Yasam, V.R.; Jakki, S.L.; Natarajan, J.; Kuppusamy, G. A review on novel vesicular drug delivery: Proniosomes. Drug Deliv. 2014, 21, 243–249. [Google Scholar] [CrossRef] [PubMed]
- Shamsheer Ahmad, S.; Sabareesh, M.; Khan, P.R.; Sai Krishna, P.; Sudheer, B. Formulation and evaluation of lisinopril dihydrate transdermal proniosomal gels. J. Appl. Pharm. Sci. 2011, 1, 181–185. [Google Scholar]
- Sun, F.; Sui, C.; Zhou, Y.; Liu, X.; Shi, Y.; Wu, Y.; Li, Y. Preparation, characterization and pharmacological evaluation of tolterodine hydrogels for the treatment of overactive bladder. Int. J. Pharm. 2013, 454, 532–538. [Google Scholar] [CrossRef] [PubMed]
- Rajabalaya, R.; David, S.R.; Chellian, J.; Xin Yun, G.; Chakravarthi, S. Transdermal delivery of oxybutynin chloride proniosomal gels for the treatment of overactive bladder. Drug Deliv. 2016, 23, 1578–1587. [Google Scholar] [CrossRef] [PubMed]
- Rajabalaya, R.; Khanam, J.; Nanda, A. Design of a matrix patch formulation for long-acting permeation of diclofenac potassium. Asian J. Pharm. Sci. 2008, 3, 30–39. [Google Scholar]
- Pawar, A.P.; Gholap, A.P.; Kuchekar, A.B.; Bothiraja, C.; Mali, A.J. Formulation and evaluation of optimized oxybenzone microsponge gel for topical delivery. J. Drug Deliv. 2015, 2015, 1–9. [Google Scholar] [CrossRef] [PubMed]
- Oki, T.; Maruyama, S.; Takagi, Y.; Yamamura, H.I.; Yamada, S. Characterization of muscarinic receptor binding and inhibition of salivation after oral administration of tolterodine in mice. Eur. J. Pharmacol. 2006, 529, 157–163. [Google Scholar] [CrossRef] [PubMed]
- Lehman, A.J.; Hanzlik, P.J.; Newman, H.W. Methods for the study of irritation and toxicity of substances applied to the skin and mucous membranes. J. Pharmacol. Exp. Ther. 1944, 82, 377–390. [Google Scholar]
- Ibrahim, M.M.A.; Sammour, O.A.; Hammad, M.A.; Megrab, N.A. In vitro evaluation of proniosomes as a drug carrier for flurbiprofen. AAPS PharmSciTech 2008, 9, 782–790. [Google Scholar] [CrossRef] [PubMed]
- Gupta, A.; Prajapati, S.K.; Balamurugan, M.; Singh, M.; Bhatia, D. Design and Development of a Proniosomal Transdermal Drug Delivery System for Captopril. Trop. J. Pharm. Res. 2007, 6, 687–693. [Google Scholar] [CrossRef]
- El-Laithy, H.M.; Shoukry, O.; Mahran, L.G. Novel sugar esters proniosomes for transdermal delivery of vinpocetine: preclinical and clinical studies. Eur. J. Pharm. Biopharm. 2011, 77, 43–55. [Google Scholar] [CrossRef] [PubMed]
- Fang, J.-Y.; Yu, S.-Y.; Wu, P.-C.; Huang, Y.-B.; Tsai, Y.-H. In vitro skin permeation of estradiol from various proniosome formulations. Int. J. Pharm. 2001, 215, 91–99. [Google Scholar] [CrossRef]
- Manconi, M.; Sinico, C.; Valenti, D.; Loy, G.; Fadda, A.M. Niosomes as carriers for tretinoin. I. Preparation and properties. Int. J. Pharm. 2002, 234, 237–248. [Google Scholar] [CrossRef]
- Yoshioka, T.; Sternberg, B.; Florence, A. Preparation and properties of vesicles (niosomes) of sorbitan monoesters (Span 20, 40, 60 and 80) and a sorbitan triester (Span 85). Int. J. Pharm. 1994, 105, 1–6. [Google Scholar] [CrossRef]
- Nasseri, B. Effect of cholesterol and temperature on the elastic properties of niosomal membranes. Int. J. Pharm. 2005, 300, 95–101. [Google Scholar] [CrossRef] [PubMed]
- Hao, Y.M.; Li, K. Entrapment and release difference resulting from hydrogen bonding interactions in niosome. Int. J. Pharm. 2011, 403, 245–253. [Google Scholar] [CrossRef] [PubMed]
- Mokhtar, M.; Sammour, O.A.; Hammad, M.A.; Megrab, N.A. Effect of some formulation parameters on flurbiprofen encapsulation and release rates of niosomes prepared from proniosomes. Int. J. Pharm. 2008, 361, 104–111. [Google Scholar] [CrossRef] [PubMed]
- David, S.R.N.; Hui, M.S.; Pin, C.F.; Ci, F.Y.; Rajabalaya, R. Formulation and in vitro evaluation of ethosomes as vesicular carrier for enhanced topical delivery of isotretinoin. Int. J. Drug Deliv. 2013, 5, 28–34. [Google Scholar]
- Hathout, R.M.; Mansour, S.; Mortada, N.D.; Guinedi, A.S. Liposomes as an ocular delivery system for acetazolamide: In vitro and in vivo studies. AAPS PharmSciTech 2007, 8, 1. [Google Scholar] [CrossRef] [PubMed]
- Kumar, G.P.; Rajeshwarrao, P. Nonionic surfactant vesicular systems for effective drug delivery—An overview. Acta Pharm. Sin. B 2011, 1, 208–219. [Google Scholar] [CrossRef]
- Alsarra, I.A.; Bosela, A.A.; Ahmed, S.M.; Mahrous, G.M. Proniosomes as a drug carrier for transdermal delivery of ketorolac. Eur. J. Pharm. Biopharm. 2005, 59, 485–490. [Google Scholar] [CrossRef] [PubMed]
- Fini, A.; Bergamante, V.; Ceschel, G.C.; Ronchi, C.; de Moraes, C.A.F. Control of transdermal permeation of hydrocortisone acetate from hydrophilic and lipophilic formulations. AAPS PharmSciTech 2008, 9, 762–768. [Google Scholar] [CrossRef] [PubMed]
- Liu, T.; Guo, R.; Hua, W.; Qiu, J. Structure behaviors of hemoglobin in PEG 6000/Tween 80/Span 80/H2O niosome system. Colloids Surfaces A Physicochem. Eng. Asp. 2007, 293, 255–261. [Google Scholar] [CrossRef]
- Devaraj, G.N.; Parakh, S.R.; Devraj, R.; Apte, S.S.; Rao, B.R.; Rambhau, D. Release studies on niosomes containing fatty alcohols as bilayer stabilizers instead of cholesterol. J. Colloid Interface Sci. 2002, 251, 360–365. [Google Scholar] [CrossRef] [PubMed]
- Pardakhty, A.; Varshosaz, J.; Rouholamini, A. In vitro study of polyoxyethylene alkyl ether niosomes for delivery of insulin. Int. J. Pharm. 2007, 328, 130–141. [Google Scholar] [CrossRef] [PubMed]
- Guinedi, A.S.; Mortada, N.D.; Mansour, S.; Hathout, R.M. Preparation and evaluation of reverse-phase evaporation and multilamellar niosomes as ophthalmic carriers of acetazolamide. Int. J. Pharm. 2005, 306, 71–82. [Google Scholar] [CrossRef] [PubMed]
- Gautam, D.; Heard, T.S.; Cui, Y.; Miller, G.; Bloodworth, L.; Wess, J. Cholinergic stimulation of salivary secretion studied with M1 and M3 muscarinic receptor single- and double-knockout mice. Mol. Pharmacol. 2004, 66, 260–267. [Google Scholar] [CrossRef] [PubMed]
- Wang, P.; Luthin, G.R.; Ruggieri, M.R. Muscarinic acetylcholine receptor subtypes mediating urinary bladder contractility and coupling to GTP binding proteins. J. Pharmacol. Exp. Ther. 1995, 273, 959–966. [Google Scholar] [PubMed]
- Yamanishi, T.; Chapple, C.R.; Chess-Williams, R. Which muscarinic receptor is important in the bladder? World J. Urol. 2001, 19, 299–306. [Google Scholar] [CrossRef] [PubMed]
- Abrams, P.; Andersson, K.-E.; Buccafusco, J.J.; Chapple, C.; de Groat, W.C.; Fryer, A.D.; Kay, G.; Laties, A.; Nathanson, N.M.; Pasricha, P.J.; et al. Muscarinic receptors: their distribution and function in body systems, and the implications for treating overactive bladder. Br. J. Pharmacol. 2006, 148, 565–578. [Google Scholar] [CrossRef] [PubMed]









| Code | Surfactant Type | Ratio (mg) | Wecobee (mg) | Cholesterol (mg) | Glyceryl Distearate (mg) | Lecithin (mg) | Entrapment (%) | Vesicle Size (nm) | Polydispersity Index | pH |
|---|---|---|---|---|---|---|---|---|---|---|
| S1 | S20:S60 | 500:500 | - | 50 | - | 100 | 91.7 ± 1.0 | 145.1 ± 5.3 | 0.4 ± 0.1 | 6.61 ± 0.5 |
| S2 | S20:S60 | 500:500 | - | 100 | - | 100 | 86.5 ± 1.1 | 178 ± 7.9 | 0.5 ± 0.2 | 6.80 ± 0.7 |
| S3 | S20:S60 | 500:500 | - | - | 100 | 100 | 88.4 ± 0.4 | 170.3 ± 11.4 | 0.5 ± 0.1 | 6.19 ± 0.9 |
| S4 | S20:S60 | 500:500 | 100 | - | 100 | 100 | 84.2 ± 0.7 | 447.6 ± 20.0 | 0.7 ± 0.2 | 6.58 ± 0.5 |
| S5 | S20:S40 | 500:500 | 100 | - | 100 | 100 | 56.8 ± 1.3 | 253.2 ± 23.4 | 0.7 ± 0.0 | 5.73 ± 0.9 |
| S6 | S40:S60 | 500:500 | - | - | 100 | 100 | 44.9 ± 3.7 | 348.2 ± 31.5 | 0.6 ± 0.2 | 5.89 ± 1.1 |
| Gel Code | Period | Drug Content (%) | ||
|---|---|---|---|---|
| 5 ± 2 °C | 25 ± 0.5 °C | 45 ± 0.5 °C | ||
| S1 | Initial | 91.68 ± 0.99 | 91.68 ± 0.99 | 91.68 ± 0.99 |
| After 3 months | 89.18 ± 2.06 | 88.02 ± 1.89 | 86.12 ± 2.08 | |
| S3 | Initial | 88.36 ± 0.41 | 88.36 ± 0.41 | 88.36 ± 0.41 |
| After 3 months | 85.98 ± 0.81 | 82.36 ± 1.07 | 80.08 ± 1.27 | |
| Formulation Code | Zero Order | First Order | Higuchi | Korsmeyer-Peppas Model | ||||
|---|---|---|---|---|---|---|---|---|
| r2 | K0 (h−1) | r2 | K1 (h−1) | r2 | KH | r2 | n | |
| S1 | 0.998 | 2.678 | 0.987 | 0.081 | 0.991 | 17.257 | 0.995 | 0.81 |
| S2 | 0.985 | 3.147 | 0.923 | 0.248 | 0.985 | 20.341 | 0.962 | 0.51 |
| S3 | 0.997 | 3.067 | 0.989 | 0.173 | 0.990 | 19.653 | 0.989 | 0.65 |
| S4 | 0.983 | 3.252 | 0.961 | 0.146 | 0.984 | 22.347 | 0.973 | 0.59 |
| Rats | Control | Formalin Solution | S1 Gel | S3 Gel | ||||
|---|---|---|---|---|---|---|---|---|
| Erythema | Edema | Erythema | Edema | Erythema | Edema | Erythema | Edema | |
| 1 | 0.0 | 0.0 | 4 | 2 | 0.0 | 0.0 | 0.5 | 0.0 |
| 2 | 0.0 | 0.0 | 4 | 1 | 0.5 | 0.0 | 1 | 0.0 |
| 3 | 0.0 | 0.0 | 3 | 3 | 1 | 0.0 | 1 | 0.0 |
| 4 | 0.0 | 0.0 | 3 | 3 | 1 | 0.0 | 0.5 | 0.0 |
| 5 | 0.0 | 0.0 | 3 | 3 | 1 | 0.0 | 1 | 0.0 |
| 6 | 0.0 | 0.0 | 4 | 3 | 1 | 0.0 | 1 | 0.0 |
| Mean | 0.0 | 0.0 | 3.5 | 2.5 | 0.75 | 0.0 | 0.83 | 0.0 |
| SD | 0.0 | 0.0 | 0.75 | 0.53 | 0.32 | 0.0 | 0.28 | 0.0 |
| PII | 0.0 ± 0.0 | 6.0 ± 1.36 | 0.75 ± 0.25 | 0.83 ± 0.31 | ||||
© 2016 by the authors; licensee MDPI, Basel, Switzerland. This article is an open access article distributed under the terms and conditions of the Creative Commons Attribution (CC-BY) license (http://creativecommons.org/licenses/by/4.0/).
Share and Cite
Rajabalaya, R.; Leen, G.; Chellian, J.; Chakravarthi, S.; David, S.R. Tolterodine Tartrate Proniosomal Gel Transdermal Delivery for Overactive Bladder. Pharmaceutics 2016, 8, 27. https://doi.org/10.3390/pharmaceutics8030027
Rajabalaya R, Leen G, Chellian J, Chakravarthi S, David SR. Tolterodine Tartrate Proniosomal Gel Transdermal Delivery for Overactive Bladder. Pharmaceutics. 2016; 8(3):27. https://doi.org/10.3390/pharmaceutics8030027
Chicago/Turabian StyleRajabalaya, Rajan, Guok Leen, Jestin Chellian, Srikumar Chakravarthi, and Sheba R. David. 2016. "Tolterodine Tartrate Proniosomal Gel Transdermal Delivery for Overactive Bladder" Pharmaceutics 8, no. 3: 27. https://doi.org/10.3390/pharmaceutics8030027
APA StyleRajabalaya, R., Leen, G., Chellian, J., Chakravarthi, S., & David, S. R. (2016). Tolterodine Tartrate Proniosomal Gel Transdermal Delivery for Overactive Bladder. Pharmaceutics, 8(3), 27. https://doi.org/10.3390/pharmaceutics8030027
