Repeated Administration of Guar Gum Hydrogel Containing Sesamol-Loaded Nanocapsules Reduced Skin Inflammation in Mice in an Irritant Contact Dermatitis Model
Abstract
1. Introduction
2. Materials and Methods
2.1. Materials
2.2. Preparation of Hydrogels
2.3. Fourier-Transformed Infrared (FTIR) Spectroscopy
2.4. Chemometrics Analysis—PCA Model
2.5. Microbiological Stability Evaluation
2.6. Physicochemical Stability Evaluation
2.7. Dynamic Rheological Analysis
2.8. Irritant Contact Dermatitis In Vivo Model
2.8.1. Experimental Model
2.8.2. Experimental Design
- (I)
- Naïve group: Mice did not receive croton oil or hydrogel.
- (II)
- Croton oil group: The mice’s right ear was sensitized by croton oil and did not receive cutaneous treatment.
- (III)
- Hydrogel vehicle group: The mice’s right ear was sensitized by croton oil and received cutaneous applications of hydrogel vehicle.
- (IV)
- Hydrogel NC placebo group: The mice’s right ear was sensitized by croton oil and received cutaneous applications of hydrogel NC placebo.
- (V)
- Hydrogel-free Sesamol group: The mice’s right ear was sensitized by croton oil and received cutaneous applications of hydrogel-free sesamol.
- (VI)
- Hydrogel NC Sesamol: The mice’s right ear was sensitized by croton oil and received cutaneous applications of hydrogel NC sesamol.
- (VII)
- Reference drug—0.1% Dexamethasone acetate: The mice’s right ear was sensitized by croton oil and received cutaneous applications of dexamethasone acetate.
2.8.3. Assessment of Inflammatory Markers
2.9. Data Presentation and Statistical Analysis
3. Results
3.1. Fourier-Transformed Infrared (FTIR) Spectroscopy Analyzes
3.2. Microbiological Stability
3.3. Physicochemical Stability Evaluation
3.4. Dynamic Rheological Analysis
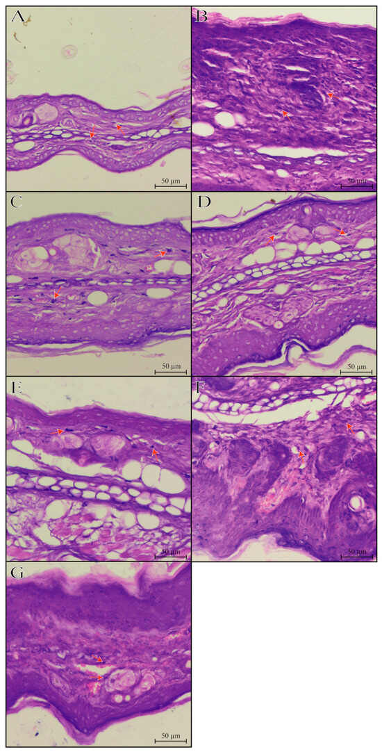
3.5. In Vivo Anti-Inflammatory Efficacy Assessment
4. Discussion
5. Conclusions
Author Contributions
Funding
Institutional Review Board Statement
Informed Consent Statement
Data Availability Statement
Acknowledgments
Conflicts of Interest
Abbreviations
| NC | Nanocapsules |
| FTIR | Fourier-transformed infrared |
| TSA | Tryptic soy agar |
| PCA | Principal Component Analysis |
References
- Nguyen, H.L.; Yiannias, J.A. Contact Dermatitis to Medications and Skin Products. Clin. Rev. Allergy Immunol. 2019, 56, 41–59. [Google Scholar] [CrossRef]
- Vallion, R.; Kerdine-Römer, S. Regulation of the Immune Response to Contact Sensitizers by Nrf2. Contact Dermat. 2022, 87, 13–19. [Google Scholar] [CrossRef]
- Jacobsen, G.; Rasmussen, K.; Bregnhøj, A.; Isaksson, M.; Diepgen, T.L.; Carstensen, O. Causes of Irritant Contact Dermatitis After Occupational Skin Exposure: A Systematic Review; Springer: Berlin/Heidelberg, Germany, 2022; Volume 95, ISBN 0042002101781. [Google Scholar]
- Pegoraro, N.S.; Camponogara, C.; Cruz, L.; Oliveira, S.M. Oleic Acid Exhibits an Expressive Anti-Inflammatory Effect in Croton Oil-Induced Irritant Contact Dermatitis without the Occurrence of Toxicological Effects in Mice. J. Ethnopharmacol. 2021, 267, 113486. [Google Scholar] [CrossRef]
- Scheinman, P.L.; Vocanson, M.; Thyssen, J.P.; Johansen, J.D.; Nixon, R.L.; Dear, K.; Botto, N.C.; Morot, J.; Goldminz, A.M. Contact Dermatitis. Nat. Rev. Dis. Prim. 2021, 7, 38. [Google Scholar] [CrossRef]
- Coondoo, A.; Phiske, M.; Verma, S.; Lahiri, K. Side-Effects of Topical Steroids: A Long Overdue Revisit. Indian Dermatol. Online J. 2014, 5, 416. [Google Scholar] [CrossRef]
- Simpson, E.L. Atopic Dermatitis: A Review of Topical Treatment Options. Curr. Med. Res. Opin. 2010, 26, 633–640. [Google Scholar] [CrossRef]
- Barnes, L.; Kaya, G.; Rollason, V. Topical Corticosteroid-Induced Skin Atrophy: A Comprehensive Review. Drug Saf. 2015, 38, 493–509. [Google Scholar] [CrossRef]
- Liu, Y.; Wang, Y.; Fu, Y.; Wang, N.N.; Liu, Q.; Zhao, S.; Yang, H.Y.; Liu, C. Fabrication of Temperature and PH Dual-Sensitive Semi-Interpenetrating Network Hydrogel with Enhanced Adhesion and Antibacterial Properties. Polymer 2025, 326, 128343. [Google Scholar] [CrossRef]
- Ye, Y.; Liu, Y.; Ma, S.; Li, X.; Wang, W.; Chen, X.; Zheng, J.; Fan, Z.; Jiang, Y.; Liao, Y. Multifunctional DNA Hydrogels with Light-Triggered Gas-Therapy and Controlled G-Exos Release for Infected Wound Healing. Bioact. Mater. 2025, 52, 422–437. [Google Scholar] [CrossRef]
- Rahman, M.; Rahaman, S.; Islam, R.; Rahman, F.; Mithi, F.M.; Alqahtani, T.; Almikhlafi, M.A.; Alghamdi, S.Q.; Alruwaili, A.S.; Hossain, S.; et al. Role of Phenolic Compounds in Human Disease: Current. Molecules 2022, 27, 233. [Google Scholar]
- Conte, R.; De Luca, I.; Valentino, A.; Cerruti, P.; Pedram, P.; Cabrera-Barjas, G.; Moeini, A.; Calarco, A. Hyaluronic Acid Hydrogel Containing Resveratrol-Loaded Chitosan Nanoparticles as an Adjuvant in Atopic Dermatitis Treatment. J. Funct. Biomater. 2023, 14, 82. [Google Scholar] [CrossRef]
- Majdalawieh, A.F.; Ahari, S.H.; Yousef, S.M.; Nasrallah, G.K. Sesamol: A Lignan in Sesame Seeds with Potent Anti-Inflammatory and Immunomodulatory Properties. Eur. J. Pharmacol. 2023, 960, 176163. [Google Scholar] [CrossRef]
- Bosebabu, B.; Cheruku, S.P.; Chamallamudi, M.R.; Nampoothiri, M.; Shenoy, R.R.; Nandakumar, K.; Parihar, V.K.; Kumar, N. An Appraisal of Current Pharmacological Perspectives of Sesamol: A Review. Mini-Rev. Med. Chem. 2020, 20, 988–1000. [Google Scholar] [CrossRef]
- Esposito, E.; Nastruzzi, C.; Sguizzato, M.; Cortesi, R. Nanomedicines to Treat Skin Pathologies with Natural Molecules. Curr. Pharm. Des. 2019, 25, 2323–2337. [Google Scholar] [CrossRef]
- Qu, F.; Geng, R.; Liu, Y.; Zhu, J. Advanced Nanocarrier- and Microneedle-Based Transdermal Drug Delivery Strategies for Skin Diseases Treatment. Theranostics 2022, 12, 3372–3406. [Google Scholar] [CrossRef]
- Geetha, T.; Kapila, M.; Prakash, O.; Deol, P.K.; Kakkar, V.; Kaur, I.P. Sesamol-Loaded Solid Lipid Nanoparticles for Treatment of Skin Cancer. J. Drug Target. 2015, 23, 159–169. [Google Scholar] [CrossRef]
- Gourishetti, K.; Keni, R.; Nayak, P.G.; Jitta, S.R.; Bhaskaran, N.A.; Kumar, L.; Kumar, N.; Krishnadas, N.; Shenoy, R.R. Sesamol-Loaded Plga Nanosuspension for Accelerating Wound Healing in Diabetic Foot Ulcer in Rats. Int. J. Nanomed. 2020, 15, 9265–9282. [Google Scholar] [CrossRef]
- Prado, V.C.; Moenke, K.; Pegoraro, N.S.; Saccol, C.P.; Nogueira-Librelotto, D.R.; Rechia, G.C.; Oliveira, S.M.; Cruz, L. Nano-Based Hydrogel for Cutaneous Sesamol Delivery in UVB-Induced Skin Injury. AAPS PharmSciTech 2025, 26, 75. [Google Scholar] [CrossRef]
- Liu, F.; Li, X.; Wang, L.; Yan, X.; Ma, D.; Liu, Z.; Liu, X. Sesamol Incorporated Cellulose Acetate-Zein Composite Nanofiber Membrane: An Efficient Strategy to Accelerate Diabetic Wound Healing. Int. J. Biol. Macromol. 2020, 149, 627–638. [Google Scholar] [CrossRef]
- Lima, A.L.; Gratieri, T.; Cunha-Filho, M.; Gelfuso, G.M. Polymeric Nanocapsules: A Review on Design and Production Methods for Pharmaceutical Purpose. Methods 2022, 199, 54–66. [Google Scholar] [CrossRef]
- Henrique Marcondes Sari, M.; Mota Ferreira, L.; Cruz, L. The Use of Natural Gums to Produce Nano-Based Hydrogels and Films for Topical Application. Int. J. Pharm. 2022, 626, 122166. [Google Scholar] [CrossRef]
- Prado, V.C.; Moenke, K.; Osmari, B.F.; Pegoraro, N.S.; Oliveira, S.M.; Cruz, L. Development of Guar Gum Hydrogel Containing Sesamol-Loaded Nanocapsules Designed for Irritant Contact Dermatitis Treatment Induced by Croton Oil Application. Pharmaceutics 2023, 15, 285. [Google Scholar] [CrossRef]
- Sharma, G.; Sharma, S.; Kumar, A.; Al-Muhtaseb, A.H.; Naushad, M.; Ghfar, A.A.; Mola, G.T.; Stadler, F.J. Guar Gum and Its Composites as Potential Materials for Diverse Applications: A Review. Carbohydr. Polym. 2018, 199, 534–545. [Google Scholar] [CrossRef]
- Elsaeed, S.M.; Zaki, E.G.; Omar, W.A.E.; Ashraf Soliman, A.; Attia, A.M. Guar Gum-Based Hydrogels as Potent Green Polymers for Enhanced Oil Recovery in High-Salinity Reservoirs. ACS Omega 2021, 6, 23421–23431. [Google Scholar] [CrossRef]
- Surek, M.; Cobre, A. de F.; Fachi, M.M.; Santos, T.G.; Pontarolo, R.; Crisma, A.R.; Felipe, K.B.; Souza, W.M. de Propolis Authentication of Stingless Bees by Mid-Infrared Spectroscopy and Chemometric Analysis. Lwt 2022, 161, 113370. [Google Scholar] [CrossRef]
- Bro, R.; Smilde, A.K. Principal Component Analysis. Anal. Methods 2014, 6, 2812–2831. [Google Scholar] [CrossRef]
- Ringnér, M. What Is Principal Component Analysis? Nat. Biotechnol. 2008, 26, 303–304. [Google Scholar] [CrossRef]
- Dias, M.S.; Zamberlan, A.M.; Lourenço, R.L.; Saraiva, E.S.; Neis, J.S.; Ferreira, L.M.; Adams, A.I.H. Stability of Sulfadiazine Sugar-Free Oral Suspensions for the Treatment of Congenital Toxoplasmosis. Braz. J. Pharm. Sci. 2023, 59, e23359. [Google Scholar] [CrossRef]
- Farmacopeia; 2024; ISBN 9786589701156.
- Camponogara, C.; Casoti, R.; Brusco, I.; Piana, M.; Boligon, A.A.; Cabrini, D.A.; Trevisan, G.; Ferreira, J.; Silva, C.R.; Oliveira, S.M. Tabernaemontana Catharinensis Leaves Exhibit Topical Anti-Inflammatory Activity without Causing Toxicity. J. Ethnopharmacol. 2019, 231, 205–216. [Google Scholar] [CrossRef]
- Giuliani, L.M.; Pegoraro, N.S.; Camponogara, C.; Osmari, B.F.; de Bastos Brum, T.; Reolon, J.B.; Rechia, G.C.; Oliveira, S.M.; Cruz, L. Locust Bean Gum-Based Hydrogel Containing Nanocapsules for 3,3′-Diindolylmethane Delivery in Skin Inflammatory Conditions. J. Drug Deliv. Sci. Technol. 2022, 78, 103960. [Google Scholar] [CrossRef]
- Sari, M.H.M.; Saccol, C.P.; Custódio, V.N.; da Rosa, L.S.; da Costa, J.S.; Fajardo, A.R.; Ferreira, L.M.; Cruz, L. Carrageenan-Xanthan Nanocomposite Film with Improved Bioadhesion and Permeation Profile in Human Skin: A Cutaneous-Friendly Platform for Ketoprofen Local Delivery. Int. J. Biol. Macromol. 2024, 265, 130864. [Google Scholar] [CrossRef]
- Al-Halaseh, L.K.; Al-Adaileh, S.; Mbaideen, A.; Hajleh, M.N.A.; Al-Samydai, A.; Zakaraya, Z.Z.; Dayyih, W.A. Implication of Parabens in Cosmetics and Cosmeceuticals: Advantages and Limitations. J. Cosmet. Dermatol. 2022, 21, 3265–3271. [Google Scholar] [CrossRef]
- Ferreira, L.M.; Sari, M.H.M.; Azambuja, J.H.; da Silveira, E.F.; Cervi, V.F.; Marchiori, M.C.L.; Maria-Engler, S.S.; Wink, M.R.; Azevedo, J.G.; Nogueira, C.W.; et al. Xanthan Gum-Based Hydrogel Containing Nanocapsules for Cutaneous Diphenyl Diselenide Delivery in Melanoma Therapy. Investig. New Drugs 2020, 38, 662–674. [Google Scholar] [CrossRef]
- Saccol, C.P.; Meinerz, M.; Prado, V.C.; Sari, M.H.M.; Mathes, D.; Macedo, L.B.; Nogueira-Librelotto, D.R.; Cruz, L. Mucoadhesive Xanthan-Carrageenan Hydrogel: A Nanocomposite Dosage Form with Sesame Components Designed for Local Therapy of Cervical Cancer. Bionanoscience 2025, 15, 212. [Google Scholar] [CrossRef]
- Rata, D.M.; Cadinoiu, A.N.; Atanase, L.I.; Popa, M.; Mihai, C.T.; Solcan, C.; Ochiuz, L.; Vochita, G. Topical Formulations Containing Aptamer-Functionalized Nanocapsules Loaded with 5-Fluorouracil—An Innovative Concept for the Skin Cancer Therapy. Mater. Sci. Eng. C 2021, 119, 111591. [Google Scholar] [CrossRef]
- Rigon, C.; Marchiori, M.C.L.; da Silva Jardim, F.; Pegoraro, N.S.; Chaves, P.d.S.; Velho, M.C.; Beck, R.C.R.; Ourique, A.F.; Sari, M.H.M.; de Oliveira, S.M.; et al. Hydrogel Containing Silibinin Nanocapsules Presents Effective Anti-Inflammatory Action in a Model of Irritant Contact Dermatitis in Mice. Eur. J. Pharm. Sci. 2019, 137, 104969. [Google Scholar] [CrossRef]
- Giuliani, L.M.; Osmari, B.F.; Camponogara, C.; Pegoraro, N.S.; Rechia, G.C.; Sari, M.H.M.; Oliveira, S.M.; Cruz, L. Locust Bean Gum Hydrogel Containing Indole-3-Carbinol Nanocapsules Has Prolonged Cutaneous Anti-Inflammatory Action. J. Drug Deliv. Sci. Technol. 2023, 87, 104866. [Google Scholar] [CrossRef]
- Mao, G.; Douglas, D.; Prajapati, M.; Janardhanam Raghavendra Rao, T.; Zheng, H.; Zhao, C.; Billack, B. Investigation of Inflammatory Mechanisms Induced by Croton Oil in Mouse Ear. Curr. Res. Toxicol. 2024, 7, 100184. [Google Scholar] [CrossRef]
- Xu, X.T.; Mou, X.Q.; Xi, Q.M.; Liu, W.T.; Liu, W.F.; Sheng, Z.J.; Zheng, X.; Zhang, K.; Du, Z.Y.; Zhao, S.Q.; et al. Anti-Inflammatory Activity Effect of 2-Substituted-1,4,5,6-Tetrahydrocyclopenta[b]Pyrrole on TPA-Induced Skin Inflammation in Mice. Bioorganic Med. Chem. Lett. 2016, 26, 5334–5339. [Google Scholar] [CrossRef]
- Chu, P.Y.; Hsu, D.Z.; Hsu, P.Y.; Liu, M.Y. Sesamol Down-Regulates the Lipopolysaccharide-Induced Inflammatory Response by Inhibiting Nuclear Factor-Kappa B Activation. Innate Immun. 2010, 16, 333–339. [Google Scholar] [CrossRef]









| Parameters | ||||
|---|---|---|---|---|
| AD a(nm) | PDI b | pH | Sesamol Content (%—1 mg/g) | |
| Initial time | ||||
| Hydrogel NC Sesamol | 131 ± 1 | 0.11 ± 0.02 | 6.40 ± 0.13 | 97.9 ± 1.5 |
| Hydrogel NC placebo | 133 ± 3 | 0.12 ± 0.01 | 6.38 ± 0.05 | - c |
| Hydrogel vehicle | - | - | 6.32 ± 0.11 | - |
| Hydrogel-free Sesamol | - | - | 6.47 ± 0.23 | 97.4 ± 0.3 |
| After 15 days | ||||
| Hydrogel NC Sesamol | 148 ± 10 | 0.15 ± 0.03 | 6.01 ± 0.10 | 97.4 ± 0.6 |
| Hydrogel NC placebo | 145 ± 3 * | 0.15 ± 0.04 | 5.90 ± 0.06 | - |
| Hydrogel vehicle | - | - | 6.32 ± 0.11 | - |
| Hydrogel-free Sesamol | - | - | 6.47 ± 0.23 | 96.1 ± 2.3 |
| After 30 days | ||||
| Hydrogel NC Sesamol | 175 ± 9 * | 0.20 ± 0.12 | 6.06 ± 0.03 | 96.0 ± 0.8 |
| Hydrogel NC placebo | 161 ± 2 * | 0.19 ± 0.01 | 5.97 ± 0.04 | - |
| Hydrogel vehicle | - | - | 6.32 ± 0.11 | - |
| Hydrogel-free Sesamol | - | - | 6.47 ± 0.23 | 95.9 ± 1.6 |
| After 60 days | ||||
| Hydrogel NC Sesamol | 200 ± 19 | 0.24 ± 0.11 | 5.83 ± 0.05 | 96.6 ± 2.5 |
| Hydrogel NC placebo | 208 ± 38 | 0.30 ± 0.10 | 5.86 ± 0.06 * | - |
| Hydrogel vehicle | - | - | 5.83 ± 0.09 * | - |
| Hydrogel-free Sesamol | - | - | 5.71 ± 0.17 | 96.4 ± 1.5 |
| Parameters | Hydrogel NC Sesamol | Hydrogel NC Placebo | Hydrogel Vehicle | Hydrogel-Free Sesamol |
|---|---|---|---|---|
| Mathematical model | Ostwald–de Waele | Ostwald–de Waele | Ostwald–de Waele | Ostwald–de Waele |
| r2 | 0.942 ± 0.005 | 0.939 ± 0.030 | 0.940 ± 0.006 | 0.944 ± 0.004 |
| Consistency index (Ƙ)—Pa∙s | 118.599 ± 6.984 | 114.358 ± 2.561 | 134.622 ± 3.119 | 119.677 ± 7.514 |
| Flow index (ղ) | 0.169 ± 0.001 | 0.163 ± 0.001 | 0.146 ± 0.003 | 0.151 ± 0.007 |
Disclaimer/Publisher’s Note: The statements, opinions and data contained in all publications are solely those of the individual author(s) and contributor(s) and not of MDPI and/or the editor(s). MDPI and/or the editor(s) disclaim responsibility for any injury to people or property resulting from any ideas, methods, instructions or products referred to in the content. |
© 2025 by the authors. Licensee MDPI, Basel, Switzerland. This article is an open access article distributed under the terms and conditions of the Creative Commons Attribution (CC BY) license (https://creativecommons.org/licenses/by/4.0/).
Share and Cite
Prado, V.C.; de Carvalho, B.R.F.; Moenke, K.; Zamberlan, A.M.; Atuati, S.F.; Assis, A.C.P.; Brum, E.d.S.; Lazo, R.E.L.; Adams, A.I.H.; Ferreira, L.M.; et al. Repeated Administration of Guar Gum Hydrogel Containing Sesamol-Loaded Nanocapsules Reduced Skin Inflammation in Mice in an Irritant Contact Dermatitis Model. Pharmaceutics 2025, 17, 1029. https://doi.org/10.3390/pharmaceutics17081029
Prado VC, de Carvalho BRF, Moenke K, Zamberlan AM, Atuati SF, Assis ACP, Brum EdS, Lazo REL, Adams AIH, Ferreira LM, et al. Repeated Administration of Guar Gum Hydrogel Containing Sesamol-Loaded Nanocapsules Reduced Skin Inflammation in Mice in an Irritant Contact Dermatitis Model. Pharmaceutics. 2025; 17(8):1029. https://doi.org/10.3390/pharmaceutics17081029
Chicago/Turabian StylePrado, Vinicius Costa, Bruna Rafaela Fretag de Carvalho, Kauani Moenke, Amanda Maccangnan Zamberlan, Samuel Felipe Atuati, Ana Clara Perazzio Assis, Evelyne da Silva Brum, Raul Edison Luna Lazo, Andréa Inês Horn Adams, Luana Mota Ferreira, and et al. 2025. "Repeated Administration of Guar Gum Hydrogel Containing Sesamol-Loaded Nanocapsules Reduced Skin Inflammation in Mice in an Irritant Contact Dermatitis Model" Pharmaceutics 17, no. 8: 1029. https://doi.org/10.3390/pharmaceutics17081029
APA StylePrado, V. C., de Carvalho, B. R. F., Moenke, K., Zamberlan, A. M., Atuati, S. F., Assis, A. C. P., Brum, E. d. S., Lazo, R. E. L., Adams, A. I. H., Ferreira, L. M., Oliveira, S. M., & Cruz, L. (2025). Repeated Administration of Guar Gum Hydrogel Containing Sesamol-Loaded Nanocapsules Reduced Skin Inflammation in Mice in an Irritant Contact Dermatitis Model. Pharmaceutics, 17(8), 1029. https://doi.org/10.3390/pharmaceutics17081029

