Safety of Repeated Administration of Xenogeneic Human Apoptotic State (Allocetra-OTS) in Sprague Dawley Rats
Abstract
1. Introduction
2. Materials and Methods
2.1. Investigational Product
2.2. Animal Husbandry and Maintenance
2.3. Experimental Design
2.4. Observations and Examinations
3. Results
3.1. Morbidity and Mortality, Clinical Signs, and Body Weights
3.2. Clinical Pathology
3.2.1. Hematology
3.2.2. Clinical Chemistry
3.2.3. Coagulation
3.3. Urinalysis
3.4. Organ Weight
3.5. Gross Pathology
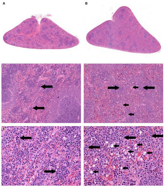
3.6. Histopathological Evaluation
4. Discussion
Supplementary Materials
Author Contributions
Funding
Institutional Review Board Statement
Informed Consent Statement
Data Availability Statement
Conflicts of Interest
References
- Mevorach, D.; Zuckerman, T.; Reiner, I.; Shimoni, A.; Samuel, S.; Nagler, A.; Rowe, J.M.; Or, R. Single Infusion of Donor Mononuclear Early Apoptotic Cells as Prophylaxis for Graft-versus-Host Disease in Myeloablative HLA-Matched Allogeneic Bone Marrow Transplantation: A Phase I/IIa Clinical Trial. Biol. Blood Marrow Transplant. 2014, 20, 58–65. [Google Scholar] [CrossRef]
- Mevorach, D. Immunotherapy: Treatment with Allocetra-Ots Apoptotic Cells In 21 Severely/Critically Ill Patients with COVID-19. Cytotherapy 2022, 24, S121–S122. [Google Scholar] [CrossRef]
- van Heerden, P.V.; Abutbul, A.; Sviri, S.; Zlotnick, E.; Nama, A.; Zimro, S.; El-Amore, R.; Shabat, Y.; Reicher, B.; Falah, B.; et al. Apoptotic Cells for Therapeutic Use in Cytokine Storm Associated with Sepsis—A Phase Ib Clinical Trial. Front. Immunol. 2021, 12, 718191. [Google Scholar] [CrossRef]
- James, H.; Alberto, B. Extracorporeal Photopheresis Suppresses Transplant Fibrosis by Inducing Decorin Expression in Alveolar Macrophages. Transplantation 2023, 107, 1010–1012. [Google Scholar]
- Beer, L.; Mildner, M.; Gyöngyösi, M.; Ankersmit, H.J. Peripheral blood mononuclear cell secretome for tissue repair. Apoptosis 2016, 21, 1336–1353. [Google Scholar] [CrossRef] [PubMed]
- Bonnefoy, F.; Gauthier, T.; Vallion, R.; Martin-Rodriguez, O.; Missey, A.; Daoui, A.; Valmary-Degano, S.; Saas, P.; Couturier, M.; Perruche, S. Factors produced by macrophages eliminating apoptotic cells demonstrate pro-resolutive properties and terminate ongoing inflammation. Front. Immunol. 2018, 9, 2586. [Google Scholar] [CrossRef]
- Elliott, M.R.; Ravichandran, K.S. Clearance of apoptotic cells: Implications in health and disease. J. Cell Biol. 2010, 189, 1059–1070. [Google Scholar] [CrossRef] [PubMed]
- Krispin, A.; Bledi, Y.; Atallah, M.; Trahtemberg, U.; Verbovetski, I.; Nahari, E.; Zelig, O.; Linial, M.; Mevorach, D. Apoptotic cell thrombospondin-1 and heparin-binding domain lead to dendritic-cell phagocytic and tolerizing states. Blood 2006, 108, 3580–3589. [Google Scholar] [CrossRef] [PubMed]
- Poon, I.K.H.; Lucas, C.D.; Rossi, A.G.; Ravichandran, K.S. Apoptotic cell clearance: Basic biology and therapeutic potential. Nat. Rev. Immunol. 2014, 14, 166–180. [Google Scholar] [CrossRef] [PubMed]
- Saas, P.; Daguindau, E.; Perruche, S. Concise Review: Apoptotic Cell-Based Therapies-Rationale, Preclinical Results and Future Clinical Developments. Stem Cells 2016, 34, 1464–1473. [Google Scholar] [CrossRef] [PubMed]
- Trahtemberg, U.; Mevorach, D. Apoptotic cells induced signaling for immune homeostasis in macrophages and dendritic cells. Front. Immunol. 2017, 8, 1356. [Google Scholar] [CrossRef]
- Inna, V.; Bychkov, H.; Trahtemberg, U.; Shapira, I.; Hareuveni, M.; Ben-Tal, O.; Kutikov, I.; Gill, O.; Mevorach, D. Opsonization of Apoptotic Cells by Autologous IC3b Facilitates Clearance by Immature Dendritic Cells, down-Regulates DR and CD86, and up-Regulates CC Chemokine Receptor 7. J. Exp. Med. 2002, 196, 1553–1561. [Google Scholar]
- Gordon, S.; Plüddemann, A. Macrophage clearance of apoptotic cells: A critical assessment. Front. Immunol. 2018, 9, 127. [Google Scholar] [CrossRef] [PubMed]
- Elliott, M.R.; Koster, K.M.; Murphy, P.S. Efferocytosis Signaling in the Regulation of Macrophage Inflammatory Responses. J. Immunol. 2017, 198, 1387–1394. [Google Scholar] [CrossRef]
- An, Y.; Zhang, H.; Wang, C.; Jiao, F.; Xu, H.; Wang, X.; Luan, W.; Ma, F.; Ni, L.; Tang, X.; et al. Activation of ROS/MAPKs/NF-κB/NLRP3 and inhibition of efferocytosis in osteoclast-mediated diabetic osteoporosis. FASEB J. 2019, 33, 12515–12527. [Google Scholar] [CrossRef]
- Das, A.; Ganesh, K.; Khanna, S.; Sen, C.K.; Roy, S. Engulfment of apoptotic cells by macrophages: A role of microRNA-21 in the resolution of wound inflammation. J. Immunol. 2014, 192, 1120–1129. [Google Scholar] [CrossRef] [PubMed]
- Arandjelovic, S.; Ravichandran, K. Phagocytosis of apoptotic cells in homeostasis. Nat. Immunol. 2015, 16, 907–917. [Google Scholar] [CrossRef]
- Fadok, V.A.; Voelker, D.R.; Campbell, P.A.; Cohen, J.J.; Bratton, D.L.; Henson, P.M. Exposure of phosphatidylserine on the surface of apoptotic lymphocytes triggers specific recognition and removal by macrophages. J. Immunol. 1992, 148, 2207–2216. [Google Scholar] [CrossRef] [PubMed]
- Perruche, S.; Saas, P.; Chen, W. Apoptotic cell-mediated suppression of streptococcal cell wall-induced arthritis is associated with alteration of macrophage function and local regulatory T-cell increase: A potential cell-based therapy? Arthritis Res. Ther. 2009, 11, R104. [Google Scholar] [CrossRef]
- Huynh, M.L.; Fadok, V.A.; Henson, P.M. Phosphatidylserine-dependent ingestion of apoptotic cells promotes TGF-beta1 secretion and the resolution of inflammation. J. Clin. Investig. 2002, 109, 41–50. [Google Scholar] [CrossRef]
- Kushwah, R.; Oliver, J.R.; Zhang, J.; Siminovitch, K.A.; Hu, J. Apoptotic dendritic cells induce tolerance in mice through suppression of dendritic cell maturation and induction of antigen-specific regulatory T cells. J. Immunol. 2009, 183, 7104–7118. [Google Scholar] [CrossRef] [PubMed]
- Sun, E.; Gao, Y.; Chen, J.; Roberts, A.; Wang, X.; Chen, Z.; Shi, Y. Allograft tolerance induced by donor apoptotic lymphocytes requires phagocytosis in the recipient. Cell Death Differ. 2004, 11, 1258–1264. [Google Scholar] [CrossRef] [PubMed][Green Version]
- Kleinclauss, F.; Perruche, S.; Masson, E.; de Carvalho Bittencourt, M.; Biichle, S.; Remy-Martin, J.P.; Ferrand, C.; Martin, M.; Bittard, H.; Chalopin, J.M.; et al. Intravenous apoptotic spleen cell infusion induces a TGF-beta-dependent regulatory T-cell expansion. Cell Death Differ. 2006, 13, 41–52. [Google Scholar] [CrossRef] [PubMed]
- Lichtenauer, M.; Mildner, M.; Baumgartner, A.; Hasun, M.; Werba, G.; Beer, L.; Altmann, P.; Roth, G.; Gyöngyösi, M.; Podesser, B.K.; et al. Intravenous and intramyocardial injection of apoptotic white blood cell suspensions prevents ventricular remodelling by increasing elastin expression in cardiac scar tissue after myocardial infarction. Basic Res. Cardiol. 2011, 106, 645–655. [Google Scholar] [CrossRef] [PubMed]
- Barten, M.J.; Sax, B.; Schopka, S.; Amarelli, C.; Epailly, E.; Natali, B.; Teszák, T.; Gökler, J.; Borchert, K.; Theil, J.; et al. European multicenter study on the real-world use and clinical impact of extracorporeal photopheresis after heart transplantation. J. Heart Lung Transpl. 2023, 42, 1131–1139. [Google Scholar] [CrossRef] [PubMed]
- Gregorini, M.; Del Fante, C.; Pattonieri, E.F.; Avanzini, M.A.; Grignano, M.A.; Cassaniti, I.; Baldanti, F.; Comolli, G.; Nocco, A.; Ramondetta, M.; et al. Photopheresis Abates the Anti-HLA Antibody Titer and Renal Failure Progression in Chronic Antibody-Mediated Rejection. Biology 2021, 10, 547. [Google Scholar] [CrossRef] [PubMed]
- Delbrück, C.; Gambichler, T.; Susok, L.; Peinemann, F. Extracorporeal photopheresis for systemic sclerosis: A meta-analysis of randomized clinical trials. Derm. Ther. 2022, 35, e15530. [Google Scholar] [CrossRef] [PubMed]
- Gandelman, J.S.; Song, D.J.; Chen, H.; Engelhardt, B.G.; Chen, Y.B.; Clark, W.B.; Giver, C.R.; Waller, E.K.; Jung, D.K.; Jagasia, M. A Prospective Trial of Extracorporeal Photopheresis for Chronic Graft-versus-Host Disease Reveals Significant Disease Response and No Association with Frequency of Regulatory T Cells. Biol. Blood Marrow Transpl. 2018, 24, 2373–2380. [Google Scholar] [CrossRef]
- Toussirot, E.; Bonnefoy, F.; Vauchy, C.; Perruche, S.; Saas, P. Mini-Review: The Administration of Apoptotic Cells for Treating Rheumatoid Arthritis: Current Knowledge and Clinical Perspectives. Front. Immunol. 2021, 12, 630170. [Google Scholar] [CrossRef]
- Karbian, N.; Abutbul, A.; El-Amore, R.; Eliaz, R.; Beeri, R.; Reicher, B.; Mevorach, D. Apoptotic cell therapy for cytokine storm associated with acute severe sepsis. Cell Death Dis. 2020, 11, 535. [Google Scholar] [CrossRef]
- Michalski, A.; Wójcicka, P.; Bielawska-Drózd, A.; Bartoszcze, M. Review of studies on SARS-CoV-2 infection inhibitors. Ann. Agric. Environ. Med. 2021, 28, 541–550. [Google Scholar] [CrossRef] [PubMed]
- Shin, S.A.; Moon, S.Y.; Park, D.; Park, J.B.; Lee, C.S. Apoptotic cell clearance in the tumor microenvironment: A potential cancer therapeutic target. Arch. Pharm. Res. 2019, 42, 658–671. [Google Scholar] [CrossRef] [PubMed]
- Bradley, A.E.; Black, L. Evaluation of Stem Cell-Derived Cellular Therapy Products. Toxicol. Pathol. 2021, 49, 1288–1293. [Google Scholar] [CrossRef]
- Schafer, K.A.; Eighmy, J.; Fikes, J.D.; Halpern, W.G.; Hukkanen, R.R.; Long, G.G.; Meseck, E.K.; Patrick, D.J.; Thibodeau, M.S.; Wood, C.E.; et al. Use of Severity Grades to Characterize Histopathologic Changes. Toxicol. Pathol. 2018, 46, 256–265. [Google Scholar] [CrossRef]
- Elmore, S.A.; Dixon, D.; Hailey, J.R.; Harada, T.; Herbert, R.A.; Maronpot, R.R.; Nolte, T.; Rehg, J.E.; Rittinghausen, S.; Rosol, T.J.; et al. Recommendations from the INHAND Apoptosis/Necrosis Working Group. Toxicol. Pathol. 2016, 44, 173–188. [Google Scholar] [CrossRef] [PubMed]
- Suttie, A.W. Histopathology of the spleen. Toxicol. Pathol. 2006, 34, 466–503. [Google Scholar] [CrossRef]
- Blazsó, G.; Koltai, M.; Ottlecz, A.; Minker, E. Dextran anaphylactoid reaction in Sprague-Dawley CFY rats. Acta Physiol. Acad. Sci. Hung 1979, 54, 281–286. [Google Scholar]
- De Brito, F.B.; Hanahoe, T.H.P.; Shah, P.; West, G.B. Delayed Hypersensitivity Reactions in Rats and Their Response to Clinical Dextran. Arch. Allergy Appl. Immunol. 1982, 69, 109–112. [Google Scholar] [CrossRef]
- Delitheos, A.; Nanahoe, T.; West, G. A Comparison of the Anaphylactoid Actions of a Synthetic Linear Dextran and a Natural Branched Dextran. Arch. Allergy Appl. Immunol. 1976, 50, 436–445. [Google Scholar] [CrossRef] [PubMed]
- Edlund, T.; Lofgren, B.; Vali, L. Toxicity of dextran in rats. Nature 1952, 170, 125. [Google Scholar] [CrossRef]
- Ashton, N. Physiology of red and white blood cells. Anaesth. Intensive Care Med. 2013, 14, 261–266. [Google Scholar] [CrossRef]
- Patel, S.S.; Thiagarajan, R.; Willerson, J.T.; Yeh, E.T.H. Inhibition of 4 Integrin and ICAM-1 Markedly Attenuate Macrophage Homing to Atherosclerotic Plaques in ApoE-Deficient Mice. Circulation 1998, 97, 75–81. [Google Scholar] [CrossRef]
- Iezzi, G.; Scheidegger, D.; Lanzavecchia, A. Brief Definitive Report Migration and Function of Antigen-primed Nonpolarized T Lymphocytes In Vivo. J. Exp. Med. 2001, 193, 987–993. [Google Scholar] [CrossRef]
- Hendrikx, P.; Martens, C.; Hagenbeek, A.; Keij, J.; Visser, J. Homing of fluorescently labeled murine hematopoietic stem cells. Exp. Hematol. 1996, 24, 129–140. [Google Scholar]
- Ankersmit, H.J.; Hoetzenecker, K.; Dietl, W.; Soleiman, A.; Horvat, R.; Wolfsberger, M.; Gerner, C.; Hacker, S.; Mildner, M.; Moser, B.; et al. Irradiated cultured apoptotic peripheral blood mononuclear cells regenerate infarcted myocardium. Eur. J. Clin. Investig. 2009, 39, 445–456. [Google Scholar] [CrossRef]
- Kurpisz, M.; Czepczyński, R.; Grygielska, B.; Majewski, M.; Fiszer, D.; Jerzykowska, O.; Sowiński, J.; Siminiak, T. Bone marrow stem cell imaging after intracoronary administration. Int. J. Cardiol. 2007, 121, 194–195. [Google Scholar] [CrossRef]
- Aicher, A.; Brenner, W.; Zuhayra, M.; Badorff, C.; Massoudi, S.; Assmus, B.; Eckey, T.; Henze, E.; Zeiher, A.M.; Dimmeler, S.; et al. Assessment of the tissue distribution of transplanted human endothelial progenitor cells by radioactive labeling. Circulation 2003, 107, 2134–2139. [Google Scholar] [CrossRef] [PubMed]
- Elliott, M.R.; Ravichandran, K.S. The Dynamics of Apoptotic Cell Clearance. Dev. Cell 2016, 38, 147–160. [Google Scholar] [CrossRef] [PubMed]
- Nagata, S. Apoptosis and Clearance of Apoptotic Cells. Annu. Rev. Immunol. 2018, 36, 489–517. [Google Scholar] [CrossRef] [PubMed]
- Kumari, D.; Nair, N.; Bedwal, R.S. Morphological changes in spleen after dietary zinc deficiency and supplementation in Wistar rats. Pharmacol. Rep. 2019, 71, 206–217. [Google Scholar] [CrossRef] [PubMed]
- Kim, C. Homeostatic and pathogenic extramedullary hematopoiesis. J. Blood Med. 2010, 1, 13–19. [Google Scholar] [CrossRef] [PubMed]
- Zhang, H.Z.; Li, Y.; Liu, X.; Chen, B.R.; Yao, G.H.; Peng, Y.N. Extramedullary hematopoiesis: A report of two cases. Exp. Ther. Med. 2016, 12, 3859–3862. [Google Scholar] [CrossRef] [PubMed]
- Raval, S.H.; Joshi, D.V.; Patel, B.J.; Patel, J.G.; Patel, P. Extramedullary haematopoiesis in spleen of Wistar rat: A case report. Indian J. Vet. Pathol. 2014, 38, 131. [Google Scholar] [CrossRef]
- Palazzi, X.; Burkhardt, J.E.; Caplain, H.; Dellarco, V.; Fant, P.; Foster, J.R.; Francke, S.; Germann, P.; Gröters, S.; Harada, T.; et al. Characterizing “adversity” of Pathology Findings in Nonclinical Toxicity Studies: Results from the 4th ESTP International Expert Workshop. Toxicol. Pathol. 2016, 44, 810–824. [Google Scholar] [CrossRef]
- Kerlin, R.; Bolon, B.; Burkhardt, J.; Francke, S.; Greaves, P.; Meador, V.; Popp, J. Scientific and Regulatory Policy Committee: Recommended (“Best”) Practices for Determining, Communicating, and Using Adverse Effect Data from Nonclinical Studies. Toxicol. Pathol. 2016, 44, 147–162. [Google Scholar] [CrossRef] [PubMed]
- Baldrick, P.; Cosenza, M.E.; Alapatt, T.; Bolon, B.; Rhodes, M.; Waterson, I. Toxicology Paradise: Sorting Out Adverse and Non-adverse Findings in Animal Toxicity Studies. Int. J. Toxicol. 2020, 39, 365–378. [Google Scholar] [CrossRef] [PubMed]
- Pandiri, A.R.; Kerlin, R.L.; Mann, P.C.; Everds, N.E.; Sharma, A.K.; Myers, L.P.; Steinbach, T.J. Is It Adverse, Nonadverse, Adaptive, or Artifact? Toxicol. Pathol. 2017, 45, 238–247. [Google Scholar] [CrossRef]
- Lewis, R.W.; Billington, R.; Debryune, E.; Gamer, A.; Lang, B.; Carpanini, F. Recognition of Adverse and Nonadverse Effects in Toxicity Studies. Toxicol. Pathol. 2002, 30, 66–74. [Google Scholar] [CrossRef]
- Engelhardt, J.A.; Dorato, M.A. Perspective on Adversity in Toxicology Evaluations. Toxicol. Pathol. 2021, 49, 408–410. [Google Scholar] [CrossRef]
- Jensen, N.K.; Ingvorsen, C.; Petersen, D.R.; Pereira, M.J.; Lu, T.T.H.; Alsted, T.J.; Kirkegaard, J.S.; Keane, K.A. Characterization of the Nonendocrine Cell Populations in Human Embryonic Stem Cell-Derived (hESC) Islet-Like Clusters Posttransplantation. Toxicol. Pathol. 2021, 49, 1269–1287. [Google Scholar] [CrossRef]


| Group | Animal No. (Total No.) | IV Treatment | Dose (Cells × 106/kg) | Dose Volume (mL/kg) | ||
|---|---|---|---|---|---|---|
| M | F | |||||
| Main Study | 1M/1F | 10 | 10 | Vehicle | NA | 10 |
| 2M/2F | 10 | 10 | Allocetra-OTS | 140 | ||
| 3M/3F | 10 | 10 | 700 | |||
| 4M/4F | 10 | 10 | 1260 | |||
| Recovery Phase—14 days | 1M/1F | 5 | 5 | Vehicle | NA | 10 |
| 4M/4F | 5 | 5 | Allocetra-OTS | 1260 | ||
| Recovery Phase—28 days | 1M/1F | 5 | 5 | Vehicle | NA | 10 |
| 4M/4F | 5 | 5 | Allocetra-OTS | 1260 | ||
| Relative Organ Weight (% of BW) | Vehicle (1M/1F) | Allocetra-OTS 140 × 106 cells/kg (2M/2F) | Allocetra-OTS 700 × 106 cells/kg (3M/3F) | Allocetra-OTS 1260 × 106 cells/kg (4M/4F) | ||||||||
| AVG | SEM | N | AVG | SEM | N | AVG | SEM | N | AVG | SEM | N | |
| Males, main study | ||||||||||||
| Spleen | 0.263 | 0.010 | 10 | 0.395 *** | 0.012 | 10 | 0.449 *** | 0.013 | 10 | 0.456 *** | 0.010 | 10 |
| Females, main study | ||||||||||||
| Spleen | 0.292 | 0.014 | 10 | 0.430 *** | 0.017 | 10 | 0.468 *** | 0.013 | 10 | 0.489 *** | 0.017 | 10 |
| Relative Organ Weight (% of BW) | Vehicle (1M/1F) | Allocetra-OTS 1260 × 106 cells/kg (4M/4F) | ||||||||||
| AVG | SEM | N | AVG | SEM | N | |||||||
| Males, recovery, 14 days | ||||||||||||
| Spleen | 0.260 | 0.013 | 5 | 0.294 | 0.008 | 5 | ||||||
| Females, recovery, 14 days | ||||||||||||
| Spleen | 0.296 | 0.017 | 5 | 0.332 | 0.005 | 5 | ||||||
| Males, recovery, 28 days | ||||||||||||
| Spleen | 0.223 | 0.004 | 5 | 0.265 * | 0.013 | 5 | ||||||
| Females, recovery, 28 days | ||||||||||||
| Spleen | 0.265 | 0.012 | 5 | 0.302 | 0.012 | 5 | ||||||
Disclaimer/Publisher’s Note: The statements, opinions and data contained in all publications are solely those of the individual author(s) and contributor(s) and not of MDPI and/or the editor(s). MDPI and/or the editor(s) disclaim responsibility for any injury to people or property resulting from any ideas, methods, instructions or products referred to in the content. |
© 2024 by the authors. Licensee MDPI, Basel, Switzerland. This article is an open access article distributed under the terms and conditions of the Creative Commons Attribution (CC BY) license (https://creativecommons.org/licenses/by/4.0/).
Share and Cite
Ankri, C.; Hershkovitz, O.; Hershkovitz, L.; Brami, M.; Levy, R.; Sarig, H.; Souli, E.; Reicher, B.; Amor-Baroukh, V.; Mevorach, D.; et al. Safety of Repeated Administration of Xenogeneic Human Apoptotic State (Allocetra-OTS) in Sprague Dawley Rats. Pharmaceutics 2024, 16, 426. https://doi.org/10.3390/pharmaceutics16030426
Ankri C, Hershkovitz O, Hershkovitz L, Brami M, Levy R, Sarig H, Souli E, Reicher B, Amor-Baroukh V, Mevorach D, et al. Safety of Repeated Administration of Xenogeneic Human Apoptotic State (Allocetra-OTS) in Sprague Dawley Rats. Pharmaceutics. 2024; 16(3):426. https://doi.org/10.3390/pharmaceutics16030426
Chicago/Turabian StyleAnkri, Chen, Oren Hershkovitz, Liat Hershkovitz, Meital Brami, Ronnie Levy, Hadar Sarig, Einat Souli, Barak Reicher, Veronique Amor-Baroukh, Dror Mevorach, and et al. 2024. "Safety of Repeated Administration of Xenogeneic Human Apoptotic State (Allocetra-OTS) in Sprague Dawley Rats" Pharmaceutics 16, no. 3: 426. https://doi.org/10.3390/pharmaceutics16030426
APA StyleAnkri, C., Hershkovitz, O., Hershkovitz, L., Brami, M., Levy, R., Sarig, H., Souli, E., Reicher, B., Amor-Baroukh, V., Mevorach, D., & Nyska, A. (2024). Safety of Repeated Administration of Xenogeneic Human Apoptotic State (Allocetra-OTS) in Sprague Dawley Rats. Pharmaceutics, 16(3), 426. https://doi.org/10.3390/pharmaceutics16030426

