Development and Evaluation of Two-Phase Gel Formulations for Enhanced Delivery of Active Ingredients: Sodium Diclofenac and Camphor
Abstract
1. Introduction
2. Materials and Methods
2.1. Materials
2.2. Bigel Preparation
2.3. Evaluation of Sensory Parameters
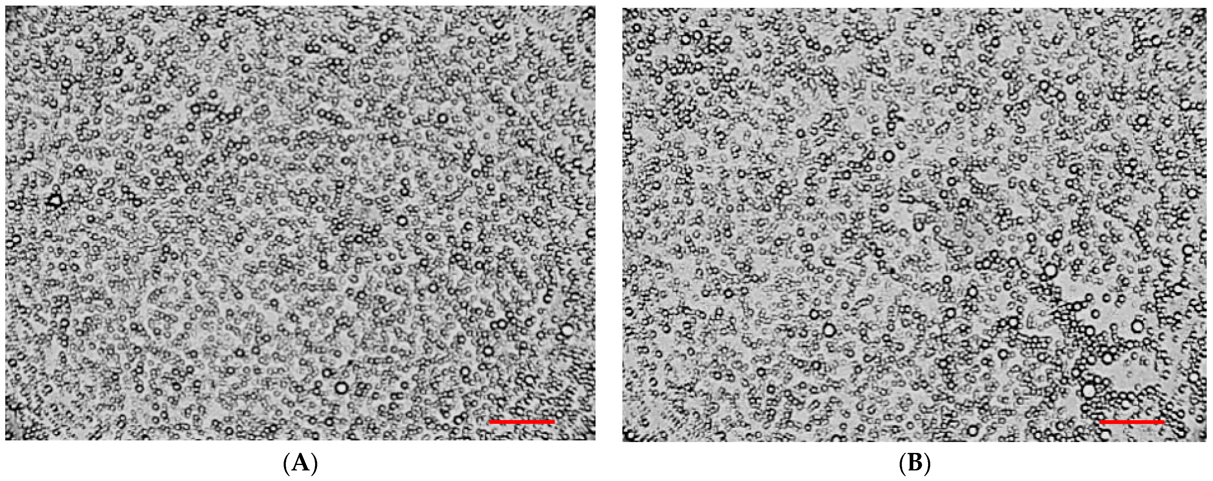
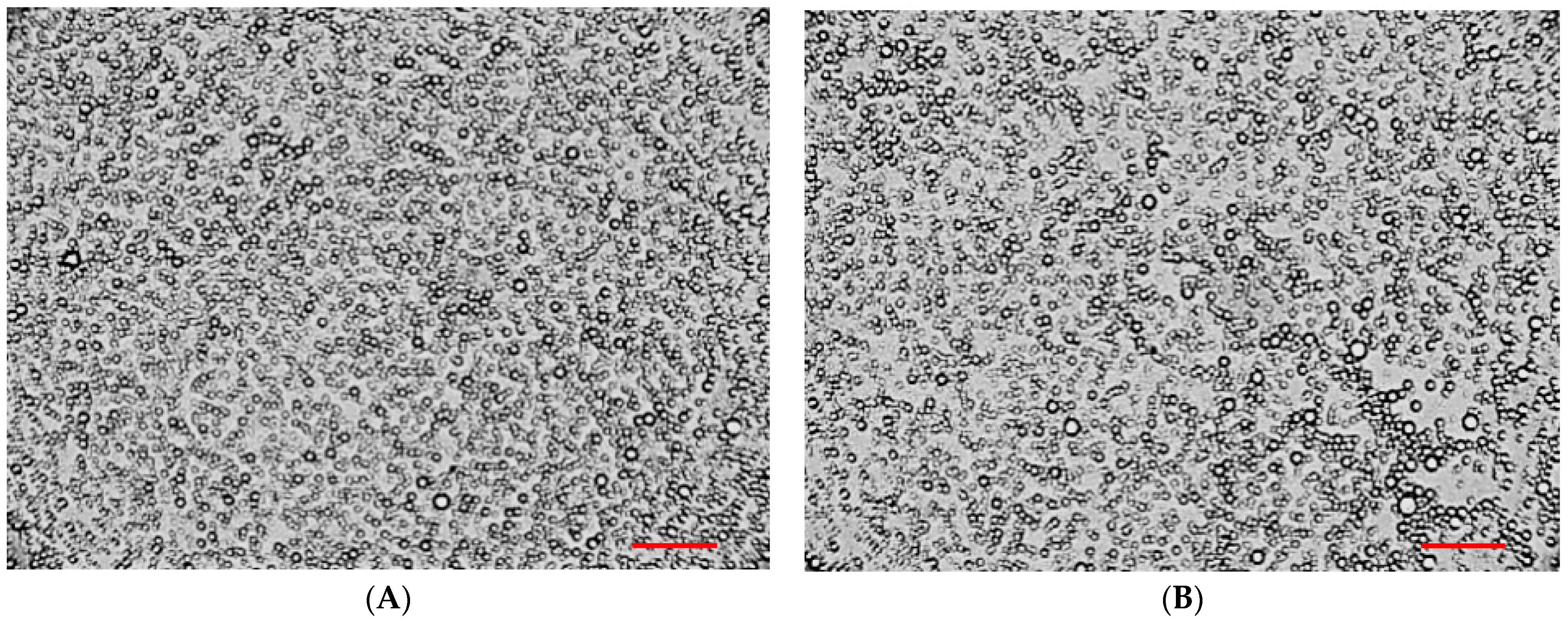
2.4. Microscopic Analysis of the Bigels
2.5. Particle Size and Distribution Measurements
2.6. Determination of the Bigels’ Stability
2.7. Viscometric Evaluation
2.8. Determination of pH Values
2.9. Texture Analysis
2.9.1. Back Extrusion Test
2.9.2. Spreadability Test
2.10. Rheological Studies of the Bigels
2.11. In Vitro Release Test
2.12. Quantification of Diclofenac by High-Pressure Liquid Chromatography–Photodiode Array Analysis
2.13. Quantification of Camphor by Gas Chromatography–Mass Spectrometry Headspace Analysis
2.14. Statistical Analysis
3. Results and Discussion
3.1. Evaluation of Physical and Mechanical Properties of Organogel and Hydrogel
3.2. Quality Evaluation for Prepared Bigels
3.2.1. Effects of Organogel/Hydrogel Ratio on Sensory and Physical Properties of Bigels
3.2.2. Effects of Organogel/Hydrogel Ratio on Mechanical Properties of Bigels
3.2.3. Effects of Organogel/Hydrogel Ratio on Rheological Properties of Bigels
3.2.4. Effects of Organogel/Hydrogel Ratio on Particle Size and Distribution in Bigels
3.2.5. Effects of Organogel/Hydrogel Ratio on Dynamics of API Release
3.3. Quantitative Analysis of APIs in the Bigel Formulation
3.4. Stability Evaluation of Bigels
4. Conclusions
Author Contributions
Funding
Institutional Review Board Statement
Informed Consent Statement
Data Availability Statement
Conflicts of Interest
References
- Stanos, S.P. Topical Agents for the Management of Musculoskeletal Pain. JPSM 2007, 33, 342–355. [Google Scholar] [CrossRef]
- Blyth, F.M.; Briggs, A.M.; Schneider, C.H.; Hoy, D.G.; March, L.M. The Global Burden of Musculoskeletal Pain—Where to From Here? Am. J. Public Health 2019, 109, 35–40. [Google Scholar] [CrossRef]
- Havelin, J.; King, T. Mechanisms underlying bone and joint pain. Curr. Osteoporos. Rep. 2018, 16, 763–771. [Google Scholar] [CrossRef] [PubMed]
- Puntillo, F.; Giglio, M.; Paladini, A.; Perchiazzi, G.; Viswanath, O.; Urits, I.; Sabbà, C.; Varrassi, G.; Brienza, N. Pathophysiology of musculoskeletal pain: A narrative review. Ther. Adv. Musculoskelet. Dis. 2021, 13, 1–12. [Google Scholar] [CrossRef] [PubMed]
- Machado, G.C.; Abdel-Shaheed, C.; Underwood, M.; Day, R.O. Non-steroidal anti-inflammatory drugs (NSAIDs) for musculoskeletal pain. BMJ 2021, 372, n104. [Google Scholar] [CrossRef] [PubMed]
- McMahon, S.B.; Dargan, P.; Lanas, A.; Wiffen, P. The burden of musculoskeletal pain and the role of topical non-steroidal anti-inflammatory drugs (NSAIDs) in its treatment. Ten underpinning statements from a global pain faculty. Curr. Med. Res. Opin. 2021, 37, 287–292. [Google Scholar] [CrossRef] [PubMed]
- Heyneman, C.A.; Lowless-Liday, C.; Wall, G.C. Oral versus topical NSAIDs in rheumatic disease a comparison. Drugs 2000, 60, 555–574. [Google Scholar] [CrossRef] [PubMed]
- Brown, M.B.; Martin, G.P.; Jones, S.A.; Akomeah, F.K. Dermal and transdermal drug delivery systems: Current and future prospects. Drug. Deliv. 2006, 13, 175–187. [Google Scholar] [CrossRef] [PubMed]
- N’Da, D.D. Prodrug Strategies for Enhancing the Percutaneous Absorption of Drugs. Molecules 2014, 19, 20780–20807. [Google Scholar] [CrossRef] [PubMed]
- Gorzelanny, C.; Mess, C.; Schneider, S.W.; Huck, V.; Brandner, J.M. Skin Barriers in Dermal Drug Delivery: Which Barriers Have to Be Overcome and How Can We Measure Them? Pharmaceutics 2020, 12, 684. [Google Scholar] [CrossRef]
- Atchison, J.W.; Herndon, C.M.; Rusie, E. NSAIDs for Musculoskeletal Pain Management: Current Perspectives and Novel Strategies to Improve Safety. JMCP 2013, 19, S3–S19. [Google Scholar] [CrossRef]
- Boarescu, I.; Pop, R.M.; Boarescu, P.-M.; Bocscan, I.C.; Gheban, D.; Râjnoveanu, R.-M.; Râjnoveanu, A.; Bulboacâ, A.E.; Buzoianu, A.D.; Bolboacâ, S.D. Anti-Inflammatory and Analgesic Effects of Curcumin Nanoparticles Associated with Diclofenac Sodium in Experimental Acute Inflammation. Int. J. Mol. Sci. 2022, 23, 11737. [Google Scholar] [CrossRef]
- Mahdy, A.M.; Galley, H.F.; Abdel-Wahed, M.A.; El-Korny, K.F.; Sheta, S.A.; Webster, N.R. Differential modulation of interleukin-6 and interleukin-10 by diclofenac in patients undergoing major surgery. Br. J. Anaesth. 2002, 88, 797–802. [Google Scholar] [CrossRef]
- Amanullah, A.; Upadhyay, A.; Dhiman, R.; Singh, S.; Kumar, A.; Ahirwar, D.C.; Gutti, R.K.; Mishra, A. Development and Challenges of Diclofenac-Based Novel Therapeutics: Targeting Cancer and Complex Diseases. Cancers 2022, 14, 4385. [Google Scholar] [CrossRef]
- Derry, S.; Moore, R.A.; Gaskell, H.; McIntyre, M.; Wiffen, P.J. Topical NSAIDs for acute musculoskeletal pain in adults. Cochrane Database Syst. Rev. 2015, 6, CD007402. [Google Scholar] [CrossRef] [PubMed]
- Vuurberg, G.; Kerkhoffs, G.M. Topical NSAIDs significantly reduces pain in adults with acute musculoskeletal injuries. Evid. Based. Med. 2016, 21, 187–1888. [Google Scholar] [CrossRef] [PubMed]
- Revel, F.B.; Fayet, M.; Hagen, M. Topical Diclofenac, an Efficacious Treatment for Osteoarthritis: A Narrative Review. Rheumatol. Ther. 2020, 7, 217–236. [Google Scholar] [CrossRef] [PubMed]
- Compendium Online. Available online: https://compendium.com.ua/uk/ (accessed on 20 January 2024).
- Hui, X.; Hewitt, P.G.; Poblete, N.; Maibach, H.I.; Zev Shainhouse, J.; Wester, R.C. In vivo bioavailability and metabolism of topical diclofenac lotion in human volunteer. Pharm. Res. 1998, 15, 1589–1595. [Google Scholar] [CrossRef]
- Barkin, R.L. Topical Nonsteroidal Anti-Inflammatory Drugs: The Importance of Drug, Delivery, and Therapeutic Outcome. Am. J. Ther. 2015, 22, 388–407. [Google Scholar] [CrossRef]
- Miyatake, S.; Ichiyama, H.; Kondo, E.; Yasuda, K. Randomized clinical comparisons of diclofenac concentration in the soft tissues and blood plasma between topical and oral applications. Br. J. Clin. Pharmacol. 2009, 67, 125–129. [Google Scholar] [CrossRef]
- Pergolizzi, J.V.; Taylor, R.; LeQuang, J.A.; Raffa, R.B.; Group, N.R. The role and mechanism of action of menthol in topical analgesic products. J. Clin. Pharm. Ther. 2018, 43, 313–319. [Google Scholar] [CrossRef]
- Pauwels, J.; D’Autry, W.; Van den Bossche, L.; Dewever, C.; Forier, M.; Vandenwaeyenberg, S. Optimization and validation of liquid chromatography and headspace-gas chromatography based methods for the quantitative determination of capsaicinoids, salicylic acid, glycol monosalicylate, methyl salicylate, ethyl salicylate, camphor and l-menthol in a topical formulation. J. Pharm. Biomed. Anal. 2012, 60, 51–58. [Google Scholar] [CrossRef]
- Xu, H.; Blair, N.T.; Clapham, D.E. Camphor activates and strongly desensitizes the transient receptor potential vanilloid subtype 1 channel in a vanilloid-independent mechanism. J. Neurosci. 2005, 25, 8924–8937. [Google Scholar] [CrossRef]
- Manoguerra, A.S.; Erdman, A.R.; Wax, P.M.; Nelson, L.S.; Caravati, E.M.; Cobaugh, D.J.; Chyka, P.A.; Olson, K.R.; Booze, L.L.; Woolfet, A.D.; et al. Camphor poisoning: An evidence-based practice guideline for out-of-hospital management. Clin. Toxicol. 2006, 44, 357–370. [Google Scholar] [CrossRef]
- Hamidpour, R.; Hamidpour, S.; Hamidpour, M.; Shahlari, M. Camphor (Cinnamomum camphora), a traditional remedy with the history of treating several diseases. IJCRI 2012, 4, 86–89. [Google Scholar] [CrossRef]
- Niko, B.; Snezhana, R.B. Unique Case with Seizures after Prolonged Use of Camphor Crème in Elderly Patient. J. Clin. Toxicol. 2012, 2, 126. [Google Scholar] [CrossRef]
- Raman, P. Curcumin on Camphor-Induced Chemical Burn on the Palate: Report of a Peculiar Self-Inflicted Case. Cureus 2021, 13, e20589. [Google Scholar] [CrossRef] [PubMed]
- Allen Loyd, V., Jr. Camphor 0.3%, Menthol 0.3% and Phenol 0.3% Topical Gel. IJPC 2004, 8, 385–386. [Google Scholar]
- Aslam, M.M.T.M.; Srinivasan, S.; Amitkumar, R.V.; Mehta, S.K. Simultaneous Estimation of Menthol, Camphor and Methyl Salicylate in Anti-Arthritic Spray Using Gas Chromatography. Res. Rev. J. Pharm. Anal. 2022, 11, 1–14. [Google Scholar] [CrossRef]
- Anusha, P.; TripuraSundar, P. Formulation and Comparative Evaluation of Semisolid Dosage Forms of Natural Agents (Camphor and Menthol) For Muscle Spasms. AJPTR 2019, 9, 211–229. [Google Scholar] [CrossRef]
- Guo, J.; Hu, X.; Wang, J.; Yu, B.; Li, J.; Chen, J.; Nie, X.; Zheng, Z.; Wang, S.; Qin, Q. Safety and efficacy of compound methyl salicylate liniment for topical pain: A multicenter real-world study in China. Front. Pharmacol. 2022, 13, 1015941. [Google Scholar] [CrossRef]
- Ibrahim, M.M.; Hafeza, S.A.; Mahdy, M.M. Organogels, hydrogels and bigels as transdermal delivery systems for diltiazem hydrochloride. AJPS 2013, 8, 48–57. [Google Scholar] [CrossRef]
- Lupi, F.R.; Shakeel, A.; Greco, V.; Rossi, C.O.; Baldino, N.; Gabriele, D. A rheological and microstructural characterization of bigels for cosmetic and pharmaceutical uses. Mater. Sci. Eng. 2016, 69, 358–365. [Google Scholar] [CrossRef]
- Shakeel, A.; Farooq, U.; Gabriele, D.; Marangoni, A.G.; Lupi, F.R. Bigels and multi-component organogels: An overview from rheological perspective. Food Hydrocoll. 2021, 111, 106190. [Google Scholar] [CrossRef]
- Rehman, K.; Zulfakar, M.H. Recent advances in gel technologies for topical and transdermal drug delivery. Drug. Dev. Ind. Pharm. 2014, 40, 433–440. [Google Scholar] [CrossRef]
- Shakeel, A.; Lupi, F.R.; Gabriele, D.; Baldino, N.; De Cindio, B. Bigels: A unique class of materials for drug delivery applications. Soft Mater. 2018, 16, 77–93. [Google Scholar] [CrossRef]
- Andonova, V.Y.; Peneva, P.T.; Apostolova, E.G.; Dimcheva, T.D.; Peychev, Z.L.; Kassarova, M.I. Carbopol hydrogel/sorbitan monostearate-almond oil based organogel biphasic formulations: Preparation and characterization of the bigels. TJPR 2017, 16, 1455–1463. [Google Scholar] [CrossRef]
- Singh, V.K.; Anis, A.; Banerjee, I.; Pramanik, K.; Bhattacharya, M.K.; Pal, K. Preparation and characterization of novel carbopol based bigels for topical delivery of metronidazole for the treatment of bacterial vaginosis. Mater. Sci. Eng. C Mater. Biol. Appl. 2014, 44, 151–158. [Google Scholar] [CrossRef] [PubMed]
- Behera, B.; Singh, V.; Kulanthaivel, S.; Bhattacharya, M.; Paramanik, K.; Banerjee, I.; Pal, K. Physical and mechanical properties of sunflower oil and synthetic polymers based bigels for the delivery of nitroimidazole antibiotic—A therapeutic approach for controlled drug delivery. Eur. Polym. J. 2015, 64, 253–264. [Google Scholar] [CrossRef]
- Mazurkeviciute, A.; Ramanauskiene, K.; Ivaskiene, M.; Grigonis, A.; Briedis, V. Topical antifungal bigels: Formulation, characterization and evaluation. Acta Pharm. 2018, 68, 223–233. [Google Scholar] [CrossRef]
- Rehman, K.; Amin, M.C.I.M.; Zulfakar, M.H. Development and physical characterization of polymer-fish oil bigel (hydrogel/organogel) system as a transdermal drug delivery vehicle. J. Oleo Sci. 2014, 63, 961–970. [Google Scholar] [CrossRef]
- Corredor-Chaparro, M.Y.; Vargas-Riveros, D.; Mora-Huertas, C.E. Hypromellose—Collagen hydrogels/sesame oil organogel based bigels as controlled drug delivery systems. J. Drug. Deliv. Sci. Technol. 2022, 75, 103637. [Google Scholar] [CrossRef]
- Martín-Illana, A.; Notario-Pérez, F.; Cazorla-Luna, R.; Ruiz-Caro, R.; Veiga, M.D. Smart freeze-dried bigels for the prevention of the sexual transmission of HIV by accelerating the vaginal release of tenofovir during intercourse. Pharmaceutics 2019, 11, 232. [Google Scholar] [CrossRef]
- Sagiri, S.S.; Singh, V.K.; Pal, K.; Anis, A. Mechanical properties and delivery of drug/probiotics from starch and non-starch based novel bigels: A comparative study. Starch Staerke 2014, 66, 865–879. [Google Scholar] [CrossRef]
- Sagiri, S.S.; Singh, V.K.; Senthilguru, K.; Indranil, B.; Piyali, B.; Battachrya, M.K.; Pal, K. Stearate organogel-gelatin hydrogel based bigels: Physicochemical, thermal, mechanical characterizations and in vitro drug delivery applications. J. Mech. Behav. Biomed. Mater. 2015, 43, 1–17. [Google Scholar] [CrossRef]
- Wakhet, S.; Singh, V.K.; Sahoo, S.; Sagiri, S.S.; Kulanthaivel, S.; Bhattacharya, M.K.; Kumar, N.; Banerjee, I.; Pal, K. Characterization of gelatin-agar based phase separated hydrogel, emulgel and bigel: A comparative study. J. Mater. Sci. Mater. Med. 2015, 26, 118. [Google Scholar] [CrossRef]
- Behera, B.; Sagiri, S.S.; Pal, K.; Pramanik, K.; Rana, U.A.; Shakir, I.; Anis, A. Sunflower oil and protein-based novel bigels as matrices for drug delivery applications—Characterization and in vitro antimicrobial efficiency. Polym. Plast. Technol. Eng. 2015, 54, 837–850. [Google Scholar] [CrossRef]
- Lupi, F.; Gentile, L.; Gabriele, D.; Mazzulla, S.; Baldino, N.; De Cindio, B. Olive oil and hyperthermal water bigels for cosmetic uses. J. Colloid Interface Sci. 2015, 459, 70–78. [Google Scholar] [CrossRef] [PubMed]
- Kodela, S.P.; Pandey, P.M.; Nayak, S.K.; Kasiviswanathan, U.; Anis, A.; Pal, K. Novel agar-stearyl alcohol organogel-based bigels as structured delivery vehicles. Int. J. Polym. Mater. 2017, 66, 669–678. [Google Scholar] [CrossRef]
- Patel, A.; Patel, A.R.; Mankoč, B.; Bin Sintang, M.D.; Lesafferb, A.; Dewettincka, K. Fumed silica-based organogels and ‘aqueous-organic’ bigels. RSC Adv. 2015, 5, 9703–9708. [Google Scholar] [CrossRef]
- Zheng, H.; Mao, L.; Cui, M.; Liu, J.; Gao, Y. Development of food-grade bigels based on κ-carrageenan hydrogel and monoglyceride organogels as carriers for β-carotene: Roles of organogel fraction. Food Hydrocoll. 2020, 105, 105855. [Google Scholar] [CrossRef]
- Sahoo, S.; Singh, V.K.; Uvanesh, K.; Biswal, D.; Anis, A.; Rana, U.A.; Saeed Al-Zahrani, M.; Pal, K. Development of ionic and non-ionic natural gum-based bigels: Prospects for drug delivery application. J. Appl. Polym. Sci. 2015, 132, 42561. [Google Scholar] [CrossRef]
- Singh, V.K.; Banerjee, I.; Agarwal, T.; Pramanik, K.; Bhattacharya, M.K.; Pal, K. Guar gum and sesame oil based novel bigels for controlled drug delivery. Colloids Surf. B Biointerfaces 2014, 123, 582–592. [Google Scholar] [CrossRef] [PubMed]
- Behera, B.; Dey, S.; Sharma, V.; Pal, K. Rheological and viscoelastic properties of novel sunflower oil-span 40-biopolymer–based bigels and their role as a functional material in the delivery of antimicrobial agents. Adv. Polym. Technol. 2015, 34, 21488. [Google Scholar] [CrossRef]
- Singh, V.K.; Pal, K.; Pradhan, D.K.; Dillip, K.; Pramanik, K. Castor oil and sorbitan monopalmitate based organogel as a probable matrix for controlled drug delivery. J. Appl. Polym. Sci. 2013, 130, 1503–1515. [Google Scholar] [CrossRef]
- Fayaz, G.; Goli, S.A.H.; Kadivar, M.; Valoppi, F.; Barba, L.; Balducci, C.; Conte, L.; Calligaris, S.; Nicoli, M.C. Pomegranate seed oil organogels structured by propolis wax, beeswax, and their mixture. Eur. J. Lipid. Sci. Technol. 2017, 119, 1700032. [Google Scholar] [CrossRef]
- Rehman, K.; Zulfakar, M.H. Novel fish oil-based bigel system for controlled drug delivery and its influence on immunomodulatory activity of imiquimod against skin cancer. Pharm. Res. 2017, 34, 36–48. [Google Scholar] [CrossRef] [PubMed]
- Tavernier, I.; Doan, C.D.; Van de Walle, D.; Danthine, S.; Rimaux, T.; Dewettinck, K. Sequential crystallization of high and low melting waxes to improve oil structuring in wax-based oleogels. RSC Adv. 2017, 7, 12113–12125. [Google Scholar] [CrossRef]
- Winkler-Moser, J.K.; Anderson, J.; Felker, F.C.; Hwang, H.-S. Physical properties of beeswax, sunflower wax, and candelilla wax mixtures and organogels. JAOCS 2019, 96, 1125–1142. [Google Scholar] [CrossRef]
- Gravelle, A.J.; Blach, C.; Weiss, J.; Barbut, S.; Marangoni, A.G. Structure and properties of an ethylcellulose and stearyl alcohol/stearic acid (EC/SO:SA) hybrid organogelator system. Eur. J. Lipid. Sci. Technol. 2017, 119, 1700069. [Google Scholar] [CrossRef]
- Paul, S.R.; Qureshi, D.; Yogalakshmi, Y.; Nayak, S.K.; Singh, V.K.; Syed, I.; Sarkar, P.; Pal, K. Development of bigels based on stearic acid–rice bran oil organogels and tamarind gum hydrogels for controlled delivery applications. JSD 2018, 21, 17–29. [Google Scholar] [CrossRef]
- Toro-Vazquez, J.F.; Morales-Rueda, J.; Torres-Martínez, A.; Charó-Alonso, M.A.; Mallia, V.A.; Weiss, R.G. Cooling rate effects on the microstructure, solid content, and rheological properties of organogels of amides derived from stearic and (R)-12-Hydroxystearic acid in vegetable oil. Langmuir 2013, 29, 7642–7654. [Google Scholar] [CrossRef] [PubMed]
- Gilbert, L.; Picard, C.; Savary, G.; Grisel, M. Rheological and textural characterization of cosmetic emulsions containing natural and synthetic polymers: Relationships between both data. Colloids Surf. A Physicochem. Eng. Asp. 2013, 421, 150–163. [Google Scholar] [CrossRef]
- Lai-Cheong, J.E.; McGrath, J.A. Structure and function of skin, hair and nails. Medicine 2017, 45, 347–351. [Google Scholar] [CrossRef]
- Chen, Y.; Cui, G.; Dan, N.; Huang, Y.; Bai, Z.; Yang, C.; Dan, W. Preparation and characterization of dopamine-sodium carboxymethyl cellulose hydrogel. SN Appl. Sci. 2019, 1, 609. [Google Scholar] [CrossRef]
- Martins, A.J.; Silva, P.; Maciel, F.; Pastrana, L.M.; Cunha, R.L.; Cerqueira, M.; Vicente, A.A. Hybrid gels: Influence of oleogel/hydrogel ratio on rheological and textural properties. Food Res. Int. 2019, 116, 1298–1305. [Google Scholar] [CrossRef] [PubMed]
- Andonova, V.; Peneva, P.; Georgiev, G.S.; Toncheva, V.T.; Apostolova, E.; Peychev, Z.; Dimitrova, S.; Katsarova, M.; Petrova, N.; Kassarova, M. Ketoprofen-loaded polymer carriers in bigel formulation: An approach to enhancing drug photostability in topical application forms. Int. J. Nanomed. 2017, 26, 6221–6238. [Google Scholar] [CrossRef] [PubMed]
- Binder, L.; Mazál, J.; Petz, R.; Klang, V.; Valenta, C. The role of viscosity on skin penetration from cellulose ether-based hydrogels. Skin. Res. Technol. 2019, 25, 725–734. [Google Scholar] [CrossRef]
- Ilomuanya, M.O.; Amenaghawon, N.A.; Odimegwu, J.; Okubanjo, O.O.; Aghaizu, C.; Adeyinka, O.; Akhimien, T.; Ajayi, T. Formulation and optimization of gentamicin hydrogel infused with Tetracarpidium conophorum extract via central composite design for topical delivery. Turk. J. Pharm. Sci. 2018, 15, 319–327. [Google Scholar] [CrossRef]
- Douguet, M.; Picard, C.; Savary, G.; Merlaud, F.; Loubat-Bouleuc, N.; Grisel, M. Spreading properties of cosmetic emollients: Use of synthetic skin surface to elucidate structural effect. Colloids Surf. B Biointerfaces 2017, 154, 307–314. [Google Scholar] [CrossRef]
- Agarwal, M.; Sachdeva, M.; Sharma, P.K. Development and Characterization of novel bigel of loxoprofen for topical drug delivery. JDDT 2022, 12, 46–54. [Google Scholar] [CrossRef]
- Nasaruddin, F.; Chin, N.L.; Yusof, Y.A. Effect of Processing on Instrumental Textural Properties of Traditional Dodol Using Back Extrusion. Int. J. Food Prop. 2012, 15, 495–506. [Google Scholar] [CrossRef]
- Mazurkevičiūtė, A.; Matulytė, I.; Ivaškienė, M.; Žilius, M. Assessment of Physical, Mechanical, Biopharmaceutical Properties of Emulgels and Bigel Containing Ciclopirox Olamine. Polymers 2022, 14, 2783. [Google Scholar] [CrossRef]
- Martín-Illana, A.; Notario-Pérez, F.; Cazorla-Luna, R.; Ruiz-Caro, R.; Bonferoni, M.C.; Tamayo, A.; Veiga, M.D. Bigels as drug delivery systems: From their components to their applications. Drug Discov. Today. 2022, 27, 1008–1026. [Google Scholar] [CrossRef] [PubMed]
- Bui, T.; Frampton, H.; Huang, S.; Collins, I.R.; Striolo, A.; Michaelides, A. Water/oil interfacial tension reduction—An interfacial entropy driven process. Phys. Chem. Chem. Phys. 2021, 23, 25075–25085. [Google Scholar] [CrossRef]
- Reyes, V.G., Jr.; Jindal, V.K. A small sample back extrusion test for measuring texture of cooked-rice. J. Food Qual. 1990, 13, 109–118. [Google Scholar] [CrossRef]
- Liu, H.; Xu, X.M.; Guo, S.D. Rheological, texture and sensory properties of low-fat mayonnaise with different fat mimetics. LWT-Food Sci. Technol. 2007, 40, 946–954. [Google Scholar] [CrossRef]
- Maslii, Y.; Ruban, O.; Kasparaviciene, G.; Kalveniene, Z.; Materiienko, A.; Ivanauskas, L.; Mazurkeviciute, A.; Kopustinskiene, D.M.; Bernatoniene, J. The Influence of pH Values on the Rheological, Textural and Release Properties of Carbomer Polacril® 40P-Based Dental Gel Formulation with Plant-Derived and Synthetic Active Components. Molecules 2020, 25, 5018. [Google Scholar] [CrossRef]
- Ionescu, C.M.; Birs, I.R.; Copot, D.; Muresan, C.I.; Caponetto, R. Mathematical modelling with experimental validation of viscoelastic properties in non-Newtonian fluids. Philos. Trans. R. Soc. A 2020, 378, 20190284. [Google Scholar] [CrossRef]
- Kamar, S.S.; Abdel-Kader, D.H.; Rashed, L.A. Beneficial Effect of Curcumin Nanoparticles-Hydrogel on Excisional Skin Wound Healing in Type-I Diabetic Rat: Histological and Immunohistochemical Studies. Ann. Anat. 2019, 222, 94–102. [Google Scholar] [CrossRef]
- Akram, M.A.; Khan, B.A.; Khan, M.K.; Alqahtani, A.; Alshahrani, S.M.; Hosny, K.M. Fabrication and Characterization of Polymeric Pharmaceutical Emulgel Co-Loaded with Eugenol and Linalool for the Treatment of Trichophyton rubrum Infections. Polymers 2021, 13, 3904. [Google Scholar] [CrossRef]
- Costa, C.; Medronho, B.; Filipe, A.; Mira, I.; Lindman, B.; Edlund, H.; Norgren, M. Emulsion Formation and Stabilization by Biomolecules: The Leading Role of Cellulose. Polymers 2019, 11, 1570. [Google Scholar] [CrossRef]
- Pradal, J.; Vallet, C.M.; Frappin, G.; Bariguian, F.; Lombardi, M.S. Importance of the formulation in the skin delivery of topical diclofenac: Not all topical diclofenac formulations are the same. J. Pain Res. 2019, 12, 1149–1154. [Google Scholar] [CrossRef] [PubMed]
- Pradal, J. Comparison of Skin Permeation and Putative Anti-Inflammatory Activity of Commercially Available Topical Products Containing Ibuprofen and Diclofenac. J. Pain Res. 2020, 13, 2805–2814. [Google Scholar] [CrossRef] [PubMed]
- Manian, M.; Jain, P.; Vora, D.; Banga, A.K. Formulation and Evaluation of the In Vitro Performance of Topical Dermatological Products Containing Diclofenac Sodium. Pharmaceutics 2022, 14, 1892. [Google Scholar] [CrossRef] [PubMed]
- ICH. Q1A(R2): Stability Testing of New Drug Substances and Products. In ICH Harmonised Tripartite Guideline Stability; ICH: Geneva, Switzerland, 2003; pp. 1–18. [Google Scholar]
- Ilomuanya, M.O.; Hameedat, A.T.; Akang, E.N.; Ekama, S.O.; Silva, B.O.; Akanmu, A.S. Development and evaluation of mucoadhesive bigel containing tenofovir and maraviroc for HIV prophylaxis. Future J. Pharm. Sci. 2020, 6, 81. [Google Scholar] [CrossRef] [PubMed]
- Martinez, R.M.; Magalhães, W.V.; Sufi, B.D.S.; Padovani, G.; Nazato, L.I.S.; Velasco, M.V.R.; Lannes, S.C.D.S.; Baby, A.R. Vitamin E-loaded bigels and emulsions: Physicochemical characterization and potential biological application. Colloids Surf. B Biointerfaces 2021, 201, 111651. [Google Scholar] [CrossRef] [PubMed]
- Worth, A.P.; Cronin, M.T. The use of pH measurements to predict the potential of chemicals to cause acute dermal and ocular toxicity. Toxicology 2001, 169, 119–131. [Google Scholar] [CrossRef]













| Hydrogels | Organogels |
|---|---|
|
|
| Characteristics | Data |
|---|---|
| Average Retention Time, RT | 17.79 |
| Relative standard deviation, RSD | 0.001 |
| Accuracy, % | 0.002 |
| Confidence Interval of RT, (min) | 17.78–17.80 |
| Limit of detection, LOD (µg/mL) | 0.434 |
| Limit of quantitation, LOQ (µg/mL) | 1.449 |
| Regression equation | y = 2.10 × 106x − 2.39 × 104 |
| Correlation coefficient, R2 | 0.9987 |
| Parameter | Organogel | Hydrogel |
|---|---|---|
| pH | 6.25 ± 0.31 | 6.45 ± 0.32 |
| Viscosity (mPa·s) | 64,745 ± 3237 | 76,213 ± 3810 |
| Firmness (g) | 130.6 ± 6.53 | 329.17 ± 16.45 |
| Spreadability (g·s) | 87.85 ± 4.3 | 201.69 ± 10.08 |
| Consistency (g·s) | 287.72 ± 14.38 | 419.26 ± 20.96 |
| Cohesion (g) | 160 ± 8.10 | 210 ± 10.50 |
| Viscosity index (g·s) | 18.64 ± 0.9 | 28.26 ± 1.41 |
| Bigels (Organogel/Hydrogel Ratio) | Odour | Colour | Uniformity | Stability (after Centrifugation) | pH | Viscosity, mPa·s |
|---|---|---|---|---|---|---|
| 5/95 | Light CO | White | H | + | 6.26 ± 0.3 | 44,502 ± 222 |
| 10/90 | Light CO | White | H | + | 6.43 ± 0.3 | 52,242 ± 261 |
| 15/85 | CO | White | H | + | 6.50 ± 0.3 | 71,750 ± 358 |
| 20/80 | CO | White | H | + | 6.41 ± 0.3 | 76,502 ± 382 |
| 25/75 | CO | White | H | + | 6.35 ± 0.3 | 80,594 ± 402 |
| 30/70 | CO | Yellowish | H | + | 6.40 ± 0.3 | 87,090 ± 435 |
| 35/65 | Intense CO | Yellowish | H | + | 6.50 ± 0.3 | 90,848 ± 454 |
| 40/60 | Intense CO | Yellowish | H | + | 6.48 ± 0.3 | 112,754 ± 563 |
| 45/55 | Intense CO | Yellow–creamy | NH | — | - | - |
| 50/50 | Intense CO | Yellow–creamy | NH | — | - | - |
| Dr, 1/s | Viscosity (η), mPa·s | |||
|---|---|---|---|---|
| 20/80 | 25/75 | |||
| 25 °C | 32 °C | 25 °C | 32 °C | |
| 0.199 | 97,193 | 86,763 | 98,758 | 92,001 |
| 1 | 56,712 | 48,709 | 53,790 | 48,321 |
| 2 | 34,977 | 29,657 | 33,153 | 29,643 |
| 5.01 | 19,280 | 16,305 | 18,115 | 15,889 |
| 10 | 12,347 | 10,431 | 11,449 | 10,018 |
| 20 | 7901.9 | 6653.7 | 7265.3 | 6342.6 |
| 50.1 | 4379.9 | 3675.9 | 3991.9 | 3460.2 |
| 100 | 2797.3 | 2384.2 | 2561.6 | 2202.6 |
| 100 | 2775.9 | 2354.5 | 2559.6 | 2179.6 |
| 50.1 | 4138.7 | 3398.3 | 3803.8 | 3077.9 |
| 20 | 6768.3 | 5450.5 | 6198.4 | 4756.7 |
| 10 | 9487.2 | 7521.6 | 8718.2 | 6389.9 |
| 5.01 | 12,937 | 10,160 | 11,991 | 8694.3 |
| 2 | 18,788 | 14,694 | 17,811 | 13,529 |
| 1 | 24,248 | 19,179 | 23,771 | 18,485 |
| 0.199 | 41,918 | 35,464 | 47,563 | 37,136 |
| Parameters | Organogel/Hydrogel Ratio | |||
|---|---|---|---|---|
| 20/80 | 25/75 | |||
| 25 °C | 32 °C | 25 °C | 32 °C | |
| Coefficient of consistency (K) | 42.932 ± 1.361 | 39.652 ± 1.112 | 46.119 ± 1.580 | 39.722 ± 1.254 |
| Flow index (n) | 0.452 ± 0.005 | 0.423 ± 0.003 | 0.424 ± 0.002 | 0.424 ± 0.002 |
| Coefficient of determination (R2) | 0.9476 | 0.9612 | 0.9816 | 0.9802 |
| Sample | D10 (µm) | D50 (µm) | D90 (µm) |
|---|---|---|---|
| 20/80 | 0.388 ± 0.022 | 0.536 ± 0.019 | 1.040 ± 0.031 |
| 25/75 | 0.374 ± 0.017 | 0.524 ± 0.028 | 1.050 ± 0.025 |
Disclaimer/Publisher’s Note: The statements, opinions and data contained in all publications are solely those of the individual author(s) and contributor(s) and not of MDPI and/or the editor(s). MDPI and/or the editor(s) disclaim responsibility for any injury to people or property resulting from any ideas, methods, instructions or products referred to in the content. |
© 2024 by the authors. Licensee MDPI, Basel, Switzerland. This article is an open access article distributed under the terms and conditions of the Creative Commons Attribution (CC BY) license (https://creativecommons.org/licenses/by/4.0/).
Share and Cite
Kasparaviciene, G.; Maslii, Y.; Herbina, N.; Kazlauskiene, D.; Marksa, M.; Bernatoniene, J. Development and Evaluation of Two-Phase Gel Formulations for Enhanced Delivery of Active Ingredients: Sodium Diclofenac and Camphor. Pharmaceutics 2024, 16, 366. https://doi.org/10.3390/pharmaceutics16030366
Kasparaviciene G, Maslii Y, Herbina N, Kazlauskiene D, Marksa M, Bernatoniene J. Development and Evaluation of Two-Phase Gel Formulations for Enhanced Delivery of Active Ingredients: Sodium Diclofenac and Camphor. Pharmaceutics. 2024; 16(3):366. https://doi.org/10.3390/pharmaceutics16030366
Chicago/Turabian StyleKasparaviciene, Giedre, Yuliia Maslii, Nataliia Herbina, Daiva Kazlauskiene, Mindaugas Marksa, and Jurga Bernatoniene. 2024. "Development and Evaluation of Two-Phase Gel Formulations for Enhanced Delivery of Active Ingredients: Sodium Diclofenac and Camphor" Pharmaceutics 16, no. 3: 366. https://doi.org/10.3390/pharmaceutics16030366
APA StyleKasparaviciene, G., Maslii, Y., Herbina, N., Kazlauskiene, D., Marksa, M., & Bernatoniene, J. (2024). Development and Evaluation of Two-Phase Gel Formulations for Enhanced Delivery of Active Ingredients: Sodium Diclofenac and Camphor. Pharmaceutics, 16(3), 366. https://doi.org/10.3390/pharmaceutics16030366

