The Mechanism and Potential Therapeutic Effects of Cyclosporin, Cyclophilin, Probiotics and Syndecan-1 in an Animal Model of Inflammatory Bowel Disease
Abstract
1. Introduction
2. Materials and Methods
2.1. Animals
2.2. Experimental Design
2.3. Induction of IBD and Treatments
2.4. Clinical Course Assessment
2.5. Measurement of Fecal Occult Blood
2.6. Dissection, Colon Length Measurement and Biopsy Removal
2.7. Histology
2.8. Western Blot
2.9. Immunohistochemistry
2.10. Statistical Analysis
3. Results
3.1. Macroscopic Assessment
3.1.1. Clinical Symptoms and Signs
3.1.2. Shortening of the Colon
3.2. Microscopic Assessment
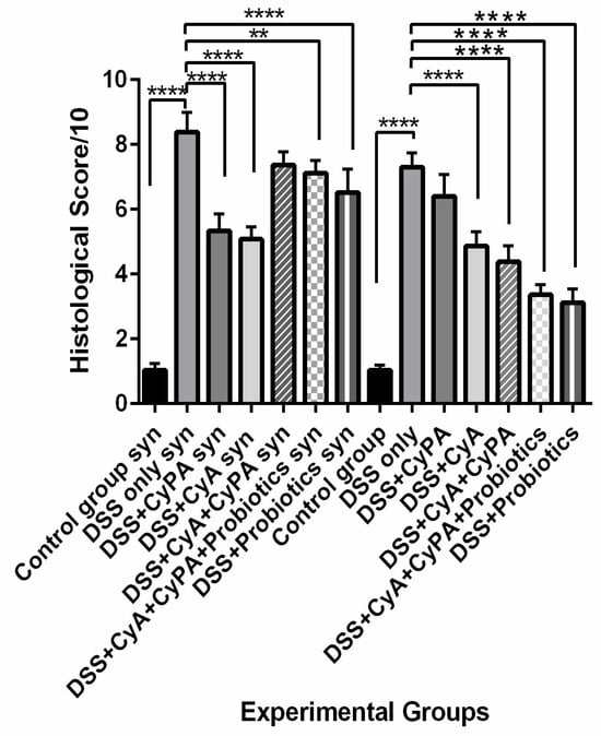
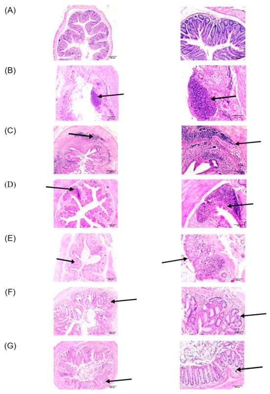
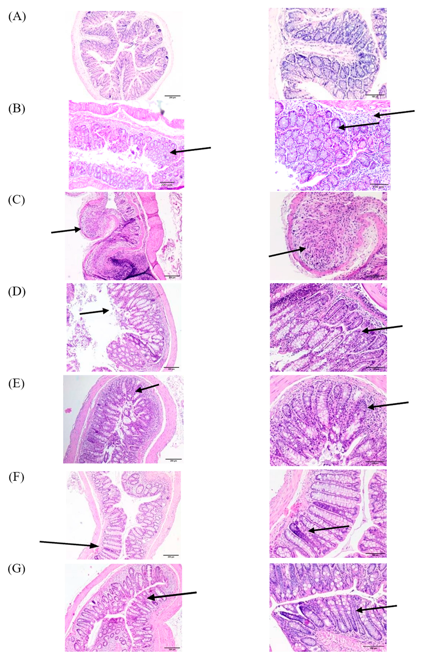
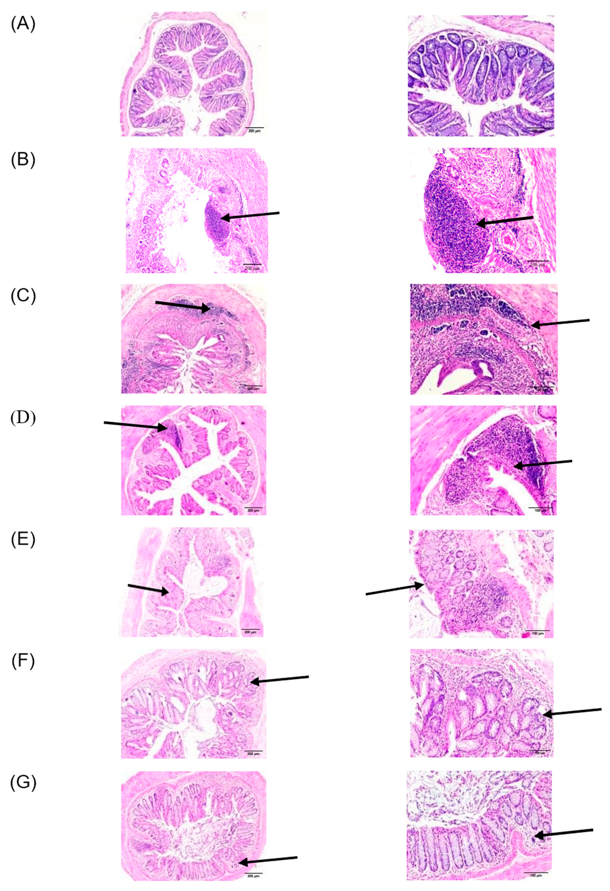
3.2.1. Assessment of Colon Histology by H&E Stain
Wild-Type Group
Syndecan-1 KO Group
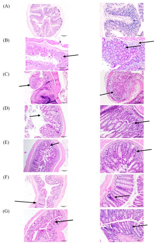
3.3. Assessment of Mucus Secreting Cells, Goblet Cell, by Periodic Acid Schiff Stain (PAS)
3.3.1. Wild-Type Group
3.3.2. Syndecan-1 KO Group
3.4. Modulation in Inflammatory Markers
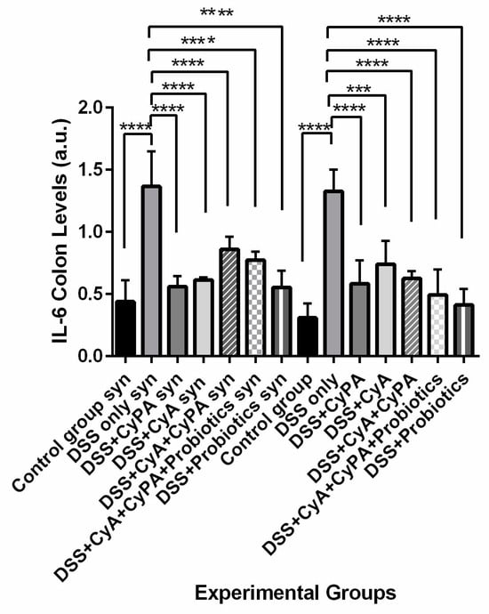
3.4.1. IL6
3.4.2. CD 147
3.4.3. CD3
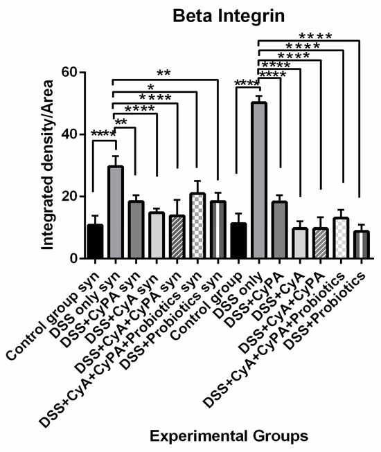
3.4.4. β1 Integrin
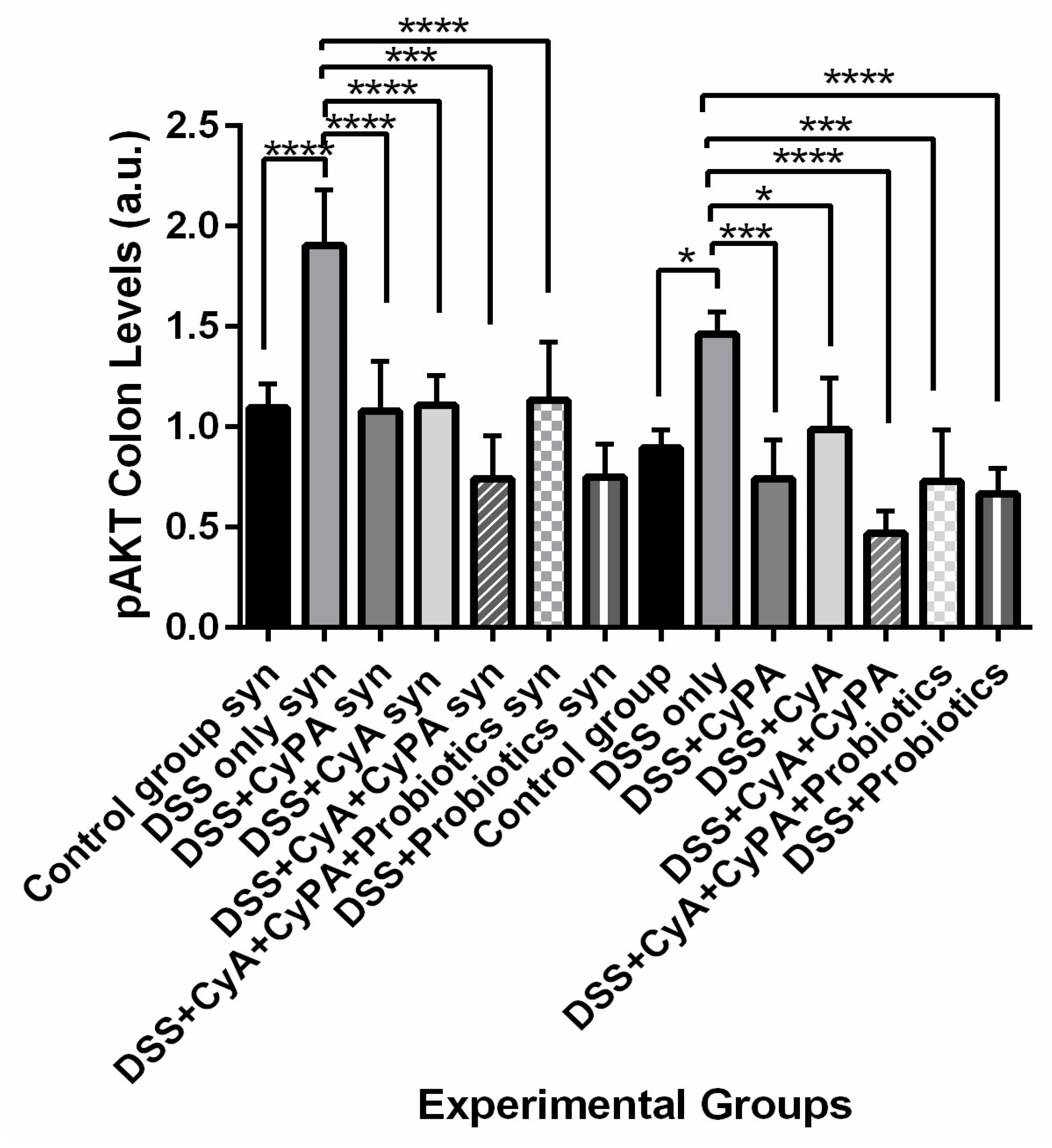
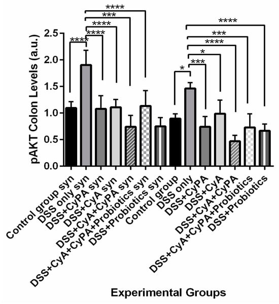
3.4.5. pAKT
4. Discussion
5. Conclusions
Author Contributions
Funding
Institutional Review Board Statement
Informed Consent Statement
Data Availability Statement
Conflicts of Interest
References
- de Mattos, B.R.R.; Garcia, M.P.G.; Nogueira, J.B.; Paiatto, L.N.; Albuquerque, C.G.; Souza, C.L.; Fernandes, L.G.R.; Tamashiro, W.M.d.S.C.; Simioni, P.U. Inflammatory Bowel Disease: An Overview of Immune Mechanisms and Biological Treatments. Mediat. Inflamm. 2015, 2015, 493012. [Google Scholar] [CrossRef] [PubMed]
- Geremia, A.; Biancheri, P.; Allan, P.; Corazza, G.R.; Di Sabatino, A. Innate and Adaptive Immunity in Inflammatory Bowel Disease. Autoimmun. Rev. 2014, 13, 3–10. [Google Scholar] [CrossRef] [PubMed]
- Khan, I.; Ullah, N.; Zha, L.; Bai, Y.; Khan, A.; Zhao, T.; Che, T.; Zhang, C. Alteration of Gut Microbiota in Inflammatory Bowel Disease (IBD): Cause or Consequence? IBD Treatment Targeting the Gut Microbiome. Pathogens 2019, 8, 126. [Google Scholar] [CrossRef]
- Foster, A.; Jacobson, K. Changing Incidence of Inflammatory Bowel Disease: Environmental Influences and Lessons Learnt from the South Asian Population. Front. Pediatr. 2013, 1, 34. [Google Scholar] [CrossRef] [PubMed]
- Luo, C.; Zhang, H. The Role of Proinflammatory Pathways in the Pathogenesis of Colitis-Associated Colorectal Cancer. Mediat. Inflamm. 2017, 2017, 5126048. [Google Scholar] [CrossRef] [PubMed]
- Jones, S.C.; Banks, R.E.; Haidar, A.; Gearing, A.J.; Hemingway, I.K.; Ibbotson, S.H.; Dixon, M.F.; Axon, A.T. Adhesion Molecules in Inflammatory Bowel Disease. Gut 1995, 36, 724–730. [Google Scholar] [CrossRef] [PubMed]
- Day, R.; Ilyas, M.; Daszak, P.; Talbot, I.; Forbes, A. Expression of Syndecan-1 in Inflammatory Bowel Disease and a Possible Mechanism of Heparin Therapy. Dig. Dis. Sci. 1999, 44, 2508–2515. [Google Scholar] [CrossRef]
- Santana, P.T.; Rosas, S.L.B.; Ribeiro, B.E.; Marinho, Y.; de Souza, H.S.P. Dysbiosis in Inflammatory Bowel Disease: Pathogenic Role and Potential Therapeutic Targets. Int. J. Mol. Sci. 2022, 23, 3464. [Google Scholar] [CrossRef]
- Cai, Z.; Wang, S.; Li, J. Treatment of Inflammatory Bowel Disease: A Comprehensive Review. Front. Med. 2021, 8, 765474. [Google Scholar] [CrossRef]
- Amer, M.; Nadeem, M.; Nazir, S.U.R.; Fakhar, M.; Abid, F.; Ain, Q.-U.; Asif, E. Probiotics and Their Use in Inflammatory Bowel Disease. Altern. Ther. Health Med. 2018, 24, 16–23. [Google Scholar]
- Tarabar, D.; El Jurdi, K.; Traboulsi, C.; Yvellez, O.; Milenkovic, Z.; Petrovic, S.; Subotic, B.; Gils, A.; Brocic, T.; Brcerevic, I.; et al. A Prospective Trial with Long Term Follow-up of Patients with Severe, Steroid-Resistant Ulcerative Colitis Who Received Induction Therapy With Cyclosporine and Were Maintained With Vedolizumab. Inflamm. Bowel Dis. 2022, 28, 1549–1554. [Google Scholar] [CrossRef] [PubMed]
- Ogando, N.S.; Metscher, E.; Moes, D.J.A.R.; Arends, E.J.; Tas, A.; Cross, J.; Snijder, E.J.; Teng, Y.K.O.; de Vries, A.P.J.; van Hemert, M.J. The Cyclophilin-Dependent Calcineurin Inhibitor Voclosporin Inhibits SARS-CoV-2 Replication in Cell Culture. Transpl. Int. 2022, 35, 10369. [Google Scholar] [CrossRef] [PubMed]
- Kumar, R.; Sood, U.; Gupta, V.; Singh, M.; Scaria, J.; Lal, R. Recent Advancements in the Development of Modern Probiotics for Restoring Human Gut Microbiome Dysbiosis. Indian J. Microbiol. 2020, 60, 12–25. [Google Scholar] [CrossRef]
- Atreya, R.; Neurath, M.F. New Therapeutic Strategies for Treatment of Inflammatory Bowel Disease. Mucosal Immunol. 2008, 1, 175–182. [Google Scholar] [CrossRef]
- Bouguen, G.; Chevaux, J.-B.; Peyrin-Biroulet, L. Recent Advances in Cytokines: Therapeutic Implications for Inflammatory Bowel Diseases. World J. Gastroenterol. 2011, 17, 547–556. [Google Scholar] [CrossRef] [PubMed]
- Vossenkämper, A.; Hundsrucker, C.; Page, K.; van Maurik, A.; Sanders, T.J.; Stagg, A.J.; Das, L.; MacDonald, T.T. A CD3-Specific Antibody Reduces Cytokine Production and Alters Phosphoprotein Profiles in Intestinal Tissues from Patients with Inflammatory Bowel Disease. Gastroenterology 2014, 147, 172–183. [Google Scholar] [CrossRef]
- Zhu, X.; Song, Z.; Zhang, S.; Nanda, A.; Li, G. CD147: A Novel Modulator of Inflammatory and Immune Disorders. Curr. Med. Chem. 2014, 21, 2138–2145. [Google Scholar] [CrossRef]
- Wu, X.-F.; Xu, R.; Ouyang, Z.-J.; Qian, C.; Shen, Y.; Wu, X.-D.; Gu, Y.-H.; Xu, Q.; Sun, Y. Beauvericin Ameliorates Experimental Colitis by Inhibiting Activated T Cells via Downregulation of the PI3K/Akt Signaling Pathway. PLoS ONE 2013, 8, e83013. [Google Scholar] [CrossRef]
- Stallmach, A.; Giese, T.; Pfister, K.; Wittig, B.M.; Künne, S.; Humphries, M.; Zeitz, M.; Meuer, S.C. Activation of Beta(1) Integrins Mediates Proliferation and Inhibits Apoptosis of Intestinal CD4-Positive Lymphocytes. Eur. J. Immunol. 2001, 31, 1228–1238. [Google Scholar] [CrossRef]
- Lee, J. Use of Antioxidants to Prevent Cyclosporine A Toxicity. Toxicol. Res. 2010, 26, 163–170. [Google Scholar] [CrossRef]
- Liu, C.; von Brunn, A.; Zhu, D. Cyclophilin A and CD147: Novel Therapeutic Targets for the Treatment of COVID-19. Med. Drug Discov. 2020, 7, 100056. [Google Scholar] [CrossRef]
- Çekiç, C.; Kırcı, A.; Vatansever, S.; Aslan, F.; Yılmaz, H.E.; Alper, E.; Arabul, M.; Sarıtaş Yüksel, E.; Ünsal, B. Serum Syndecan-1 Levels and Its Relationship to Disease Activity in Patients with Crohn’s Disease. Gastroenterol. Res. Pract. 2015, 2015, 850351. [Google Scholar] [CrossRef]
- Zhang, Y.; Wang, Z.; Liu, J.; Zhang, S.; Fei, J.; Li, J.; Zhang, T.; Wang, J.; Park, P.W.; Chen, Y. Cell Surface-anchored Syndecan-1 Ameliorates Intestinal Inflammation and Neutrophil Transmigration in Ulcerative Colitis. J. Cell. Mol. Med. 2017, 21, 13. [Google Scholar] [CrossRef]
- Patterson, A.M.; Delday, M.I.; van Kuppevelt, T.H.; Loh, G.; Blaut, M.; Haller, D.; Grant, G.; Kelly, D. Expression of Heparan Sulfate Proteoglycans in Murine Models of Experimental Colitis. Inflamm. Bowel Dis. 2012, 18, 1112–1126. [Google Scholar] [CrossRef]
- Kim, S.W.; Kim, H.M.; Yang, K.M.; Kim, S.-A.; Kim, S.-K.; An, M.J.; Park, J.J.; Lee, S.K.; Kim, T.I.; Kim, W.H.; et al. Bifidobacterium Lactis Inhibits NF-KappaB in Intestinal Epithelial Cells and Prevents Acute Colitis and Colitis-Associated Colon Cancer in Mice. Inflamm. Bowel Dis. 2010, 16, 1514–1525. [Google Scholar] [CrossRef]
- Ostrow, J.D. Tests for Fecal Occult Blood. In Clinical Methods: The History, Physical, and Laboratory Examinations; Walker, H.K., Hall, W.D., Hurst, J.W., Eds.; Butterworths: Boston, MA, USA, 1990; ISBN 978-0-409-90077-4. [Google Scholar]
- López-García, G.; Cilla, A.; Barberá, R.; Alegría, A.; Recio, M.C. Effect of a Milk-Based Fruit Beverage Enriched with Plant Sterols and/or Galactooligosaccharides in a Murine Chronic Colitis Model. Foods 2019, 8, 114. [Google Scholar] [CrossRef]
- Shihan, M.H.; Novo, S.G.; Le Marchand, S.J.; Wang, Y.; Duncan, M.K. A Simple Method for Quantitating Confocal Fluorescent Images. Biochem. Biophys. Rep. 2021, 25, 100916. [Google Scholar] [CrossRef]
- Angsana, J.; Chen, J.; Smith, S.; Xiao, J.; Wen, J.; Liu, L.; Haller, C.A.; Chaikof, E.L. Syndecan-1 Modulates the Motility and Resolution Responses of Macrophages. Arterioscler. Thromb. Vasc. Biol. 2015, 35, 332–340. [Google Scholar] [CrossRef]
- Bernfield, M.; Kokenyesi, R.; Kato, M.; Hinkes, M.T.; Spring, J.; Gallo, R.L.; Lose, E.J. Biology of the Syndecans: A Family of Transmembrane Heparan Sulfate Proteoglycans. Annu. Rev. Cell Biol. 1992, 8, 365–393. [Google Scholar] [CrossRef]
- Floer, M.; Götte, M.; Wild, M.K.; Heidemann, J.; Gassar, E.S.; Domschke, W.; Kiesel, L.; Luegering, A.; Kucharzik, T. Enoxaparin Improves the Course of Dextran Sodium Sulfate-Induced Colitis in Syndecan-1-Deficient Mice. Am. J. Pathol. 2010, 176, 146–157. [Google Scholar] [CrossRef]
- Feuerstein, J.D.; Akbari, M.; Tapper, E.B.; Cheifetz, A.S. Systematic Review and Meta-Analysis of Third-Line Salvage Therapy with Infliximab or Cyclosporine in Severe Ulcerative Colitis. Ann. Gastroenterol. 2016, 29, 341–347. [Google Scholar] [CrossRef]
- D’Haens, G.; Geboes, K.; Ponette, E.; Penninckx, F.; Rutgeerts, P. Healing of Severe Recurrent Ileitis with Azathioprine Therapy in Patients with Crohn’s Disease. Gastroenterology 1997, 112, 1475–1481. [Google Scholar] [CrossRef]
- Tiede, I.; Fritz, G.; Strand, S.; Poppe, D.; Dvorsky, R.; Strand, D.; Lehr, H.A.; Wirtz, S.; Becker, C.; Atreya, R.; et al. CD28-Dependent Rac1 Activation Is the Molecular Target of Azathioprine in Primary Human CD4+ T Lymphocytes. J. Clin. Investig. 2003, 111, 1133–1145. [Google Scholar] [CrossRef]
- Feagan, B.G.; Fedorak, R.N.; Irvine, E.J.; Wild, G.; Sutherland, L.; Steinhart, A.H.; Greenberg, G.R.; Koval, J.; Wong, C.J.; Hopkins, M.; et al. A Comparison of Methotrexate with Placebo for the Maintenance of Remission in Crohn’s Disease. North American Crohn’s Study Group Investigators. N. Engl. J. Med. 2000, 342, 1627–1632. [Google Scholar] [CrossRef]
- Aiko, S.; Conner, E.M.; Fuseler, J.A.; Grisham, M.B. Effects of Cyclosporine or FK506 in Chronic Colitis. J. Pharmacol. Exp. Ther. 1997, 280, 1075–1084. [Google Scholar]
- Yang, Y.; Lu, N.; Zhou, J.; Chen, Z.-N.; Zhu, P. Cyclophilin A Up-Regulates MMP-9 Expression and Adhesion of Monocytes/Macrophages via CD147 Signalling Pathway in Rheumatoid Arthritis. Rheumatology 2008, 47, 1299–1310. [Google Scholar] [CrossRef]
- Kim, J.-Y.; Kim, W.-J.; Kim, H.; Suk, K.; Lee, W.-H. The Stimulation of CD147 Induces MMP-9 Expression through ERK and NF-KappaB in Macrophages: Implication for Atherosclerosis. Immune Netw. 2009, 9, 90–97. [Google Scholar] [CrossRef]
- Siloşi, I.; Boldeanu, M.V.; Mogoantă, S.Ş.; Ghiluşi, M.; Cojocaru, M.; Biciuşcă, V.; Cojocaru, I.M.; Avrămescu, C.S.; Gheonea, D.I.; Siloşi, C.A.; et al. Matrix Metalloproteinases (MMP-3 and MMP-9) Implication in the Pathogenesis of Inflammatory Bowel Disease (IBD). Rom. J. Morphol. Embryol. 2014, 55, 1317–1324. [Google Scholar]
- Kim, M.; Lee, S.; Yang, S.-K.; Song, K.; Lee, I. Differential Expression in Histologically Normal Crypts of Ulcerative Colitis Suggests Primary Crypt Disorder. Oncol. Rep. 2006, 16, 663–670. [Google Scholar] [CrossRef][Green Version]
- Yuan, W.; Ge, H.; He, B. Pro-Inflammatory Activities Induced by CyPA-EMMPRIN Interaction in Monocytes. Atherosclerosis 2010, 213, 415–421. [Google Scholar] [CrossRef]
- Hayashi, S.; Hamada, T.; Zinsou, D.G.A.; Oshiro, M.; Itoi, K.; Yamamoto, T.; Kadowaki, M. PI3K P85α Subunit-Deficient Macrophages Protect Mice from Acute Colitis Due to the Enhancement of IL-10 Production. Sci. Rep. 2017, 7, 6187. [Google Scholar] [CrossRef] [PubMed]
- Astó, E.; Méndez, I.; Audivert, S.; Farran-Codina, A.; Espadaler, J. The Efficacy of Probiotics, Prebiotic Inulin-Type Fructans, and Synbiotics in Human Ulcerative Colitis: A Systematic Review and Meta-Analysis. Nutrients 2019, 11, 293. [Google Scholar] [CrossRef] [PubMed]
- Shanahan, F.; Quigley, E.M.M. Manipulation of the Microbiota for Treatment of IBS and IBD-Challenges and Controversies. Gastroenterology 2014, 146, 1554–1563. [Google Scholar] [CrossRef]
- Petrof, E.O.; Kojima, K.; Ropeleski, M.J.; Musch, M.W.; Tao, Y.; De Simone, C.; Chang, E.B. Probiotics Inhibit Nuclear Factor-KappaB and Induce Heat Shock Proteins in Colonic Epithelial Cells through Proteasome Inhibition. Gastroenterology 2004, 127, 1474–1487. [Google Scholar] [CrossRef] [PubMed]
- Maassen, C.B.; van Holten-Neelen, C.; Balk, F.; den Bak-Glashouwer, M.J.; Leer, R.J.; Laman, J.D.; Boersma, W.J.; Claassen, E. Strain-Dependent Induction of Cytokine Profiles in the Gut by Orally Administered Lactobacillus Strains. Vaccine 2000, 18, 2613–2623. [Google Scholar] [CrossRef]
- Mack, D.R.; Ahrne, S.; Hyde, L.; Wei, S.; Hollingsworth, M.A. Extracellular MUC3 Mucin Secretion Follows Adherence of Lactobacillus Strains to Intestinal Epithelial Cells in Vitro. Gut 2003, 52, 827–833. [Google Scholar] [CrossRef] [PubMed]
- Lomasney, K.W.; Cryan, J.F.; Hyland, N.P. Converging Effects of a Bifidobacterium and Lactobacillus Probiotic Strain on Mouse Intestinal Physiology. Am. J. Physiol. Gastrointest. Liver Physiol. 2014, 307, G241–G247. [Google Scholar] [CrossRef] [PubMed]
- Galdeano, C.M.; Perdigón, G. The Probiotic Bacterium Lactobacillus Casei Induces Activation of the Gut Mucosal Immune System through Innate Immunity. Clin. Vaccine Immunol. 2006, 13, 219–226. [Google Scholar] [CrossRef]
- Ahrne, S.; Hagslatt, M.-L.J. Effect of Lactobacilli on Paracellular Permeability in the Gut. Nutrients 2011, 3, 104–117. [Google Scholar] [CrossRef]
- Chen, P.; Xu, H.; Tang, H.; Zhao, F.; Yang, C.; Kwok, L.-Y.; Cong, C.; Wu, Y.; Zhang, W.; Zhou, X.; et al. Modulation of Gut Mucosal Microbiota as a Mechanism of Probiotics-Based Adjunctive Therapy for Ulcerative Colitis. Microb. Biotechnol. 2020, 13, 2032–2043. [Google Scholar] [CrossRef]
- Shiba, T.; Aiba, Y.; Ishikawa, H.; Ushiyama, A.; Takagi, A.; Mine, T.; Koga, Y. The Suppressive Effect of Bifidobacteria on Bacteroides Vulgatus, a Putative Pathogenic Microbe in Inflammatory Bowel Disease. Microbiol. Immunol. 2003, 47, 371–378. [Google Scholar] [CrossRef] [PubMed]
- Sartor, R.B. Therapeutic Manipulation of the Enteric Microflora in Inflammatory Bowel Diseases: Antibiotics, Probiotics, and Prebiotics. Gastroenterology 2004, 126, 1620–1633. [Google Scholar] [CrossRef] [PubMed]
- Constante, M.; Fragoso, G.; Lupien-Meilleur, J.; Calvé, A.; Santos, M.M. Iron Supplements Modulate Colon Microbiota Composition and Potentiate the Protective Effects of Probiotics in Dextran Sodium Sulfate-Induced Colitis. Inflamm. Bowel Dis. 2017, 23, 753–766. [Google Scholar] [CrossRef] [PubMed]
- Zhang, Y.; Zhao, X.; Zhu, Y.; Ma, J.; Ma, H.; Zhang, H. Probiotic Mixture Protects Dextran Sulfate Sodium-Induced Colitis by Altering Tight Junction Protein Expressions and Increasing Tregs. Mediat. Inflamm. 2018, 2018, e9416391. [Google Scholar] [CrossRef]











| Balb/C Mice—Control Group Given Normal Water | Syndecan-1 Null Mice—Control GROUP Given Normal Water |
|---|---|
| Balb/C mice + DSS only | Syndecan-1 null mice + DSS only |
| Balb/C mice + DSS + CypA | Syndecan-1 null mice + DSS + CypA |
| Balb/C mice + DSS + CyA | Syndecan-1 null mice + DSS + CYA |
| Balb/C mice + DSS + CypA + CyA | Syndecan-1 null mice + DSS + CypA + CyA |
| Balb/C mice + DSS + CypA + CyA + Probiotics | Syndecan-1 null mice + DSS + CypA + CyA + Probiotics |
| Balb/C mice + DSS + Probiotics | Syndecan-1 null mice + DSS + Probiotics |
| Feature | Score | Description |
|---|---|---|
| Severity of inflammation | 0 | None |
| 1 | Mild | |
| 2 | Moderate | |
| 3 | Severe | |
| Extent of inflammation | 0 | None |
| 1 | Mucosa | |
| 2 | Mucosa and submucosa | |
| 3 | Transmural | |
| Crypt damage | 0 | None |
| 1 | 1/3 damaged | |
| 2 | 2/3 damaged | |
| 3 | Crypts lost, surface epithelium present | |
| 4 | Crypt and surface epithelium lost |
| Wild-Type Balb/C | Syndecan-1 KO | |||
|---|---|---|---|---|
| Groups | Diarrhea | Hematochezia | Diarrhea | Hematochezia |
| 1-Control | 0 | 0 | 0 | 0 |
| 2-DSS only | 6 | 5 | 8 | 6 |
| 3-DSS + CypA | 5 | 5 | 7 | 5 |
| 4-DSS + CyA | 4 | 3 | 3 | 4 |
| 5-DSS + CypA + CyA | 6 | 3 | 3 | 4 |
| 6-DSS + CypA + CyA + probiotics | 4 | 2 | 3 | 3 |
| 7-DSS + probiotics | 2 | 0 | 2 | 0 |
| Group Number | Syndecan-1 Null Mice | Balb/C Mice |
|---|---|---|
| 1—Control | Normal architecture, normal crypts, continuous epithelial lining, normal distribution of goblet cells and elongated crypts—no inflammatory infiltrate | Normal architecture, normal crypts, continuous epithelial lining, normal distribution of goblet cells and elongated crypts—no inflammatory infiltrate |
| 2—DSS only | Epithelial loss, loss of crypts, cryptitis, massive infiltration of inflammatory cells and invasion of the mucosa and submucosa and more edema between mucosa and submucosa, loss of 80–90% of goblet cells | Epithelial loss, loss of crypts, cryptitis, infiltration of inflammatory cells, almost complete depletion of goblet cells (100%) |
| 3—DSS + CypA | Mild inflammation, 1/3 damaged crypts—low edema between mucosa and submucosa, presence of 75% of goblet cells partial resorption of mucosa and submucosa | High inflammatory infiltrate—disorganized crypts and partial loss of epithelial lining and loss of more than 60% of goblet cells |
| 4—DSS + CyA | Limited infiltration of inflammatory cells—partial restoration of the epithelial lining, mucosal architecture and crypts integrity, around 75% of goblet cells are still present | Limited infiltration of inflammatory cells-Partial effect on epithelial lining—restoration of mucosal architecture and crypts integrity, >70% of goblet cells present |
| 5—DSS + CypA + CyA | 2/3 of the crypts are lost, intensive infiltration in mucosa and submucosa, epithelia loss in most of the places, depletion of goblet cells | Moderate restoration of the majority of mucosal architecture and crypts, loss of 50% of goblet cells |
| 6—DSS + CypA + CyA + probiotics | Less effective than in wild-type mice—mild progress, crypts improved, partial relief-moderate inflammation and loss of 75% of goblet cells | Mild inflammation–restoration of the majority of mucosal architecture and crypts with loss of 50% of goblet cells |
| 7-DSS + probiotics | Some improvement, clear restoration of mucosal architecture, moderate infiltration, less improvement than in wild type, same effect on goblet cells, 75% of cells were restored | Limited infiltration: mild to no inflammation in some areas, restoration of the majority of the mucosal architecture and epithelial lining—very effective–high improvement, of goblet cells with 80% restored |
| Outcomes | Syndican-1/KO | Wild Type |
|---|---|---|
| Clinical signs and symptoms | More severe | Less severe |
| Histological alterations | More severe | Less severe |
| IL-6 | More inhibition | Less inhibition |
| C147 | More inhibition | Less inhibition |
| CD3 | More inhibition | Less inhibition |
| β1 integrin | Less inhibition | More inhibition |
| pAKT | Less inhibition | More inhibition |
| Outcomes | Syndican-1/KO | Wild Type |
|---|---|---|
| Clinical signs and symptoms | Slightly more severe | Same or less |
| Histological alterations | More severe | Less severe |
| IL-6 | Less effect/More IL-6 expression | More effect/Less IL-6 expression |
| C147 | Less effect/More C147 expression | More effect/Less C147 expression |
| CD3 | Less effect/More CD3 expression | More effect/Less CD3 expression |
| β1 integrin | Less effect/More β1 Integrin expression | More effect/Less β1 Integrin expression |
| pAKT | Less effect/More pAKT activity | More effect/Less pAKT activity |
Disclaimer/Publisher’s Note: The statements, opinions and data contained in all publications are solely those of the individual author(s) and contributor(s) and not of MDPI and/or the editor(s). MDPI and/or the editor(s) disclaim responsibility for any injury to people or property resulting from any ideas, methods, instructions or products referred to in the content. |
© 2024 by the authors. Licensee MDPI, Basel, Switzerland. This article is an open access article distributed under the terms and conditions of the Creative Commons Attribution (CC BY) license (https://creativecommons.org/licenses/by/4.0/).
Share and Cite
Dosh, L.; Rappa, F.; Jurjus, A.; Karam, G.; Lezeik, R.; El Masri, J.; Bucchieri, F.; Leone, A.; Jurjus, R. The Mechanism and Potential Therapeutic Effects of Cyclosporin, Cyclophilin, Probiotics and Syndecan-1 in an Animal Model of Inflammatory Bowel Disease. Pharmaceutics 2024, 16, 130. https://doi.org/10.3390/pharmaceutics16010130
Dosh L, Rappa F, Jurjus A, Karam G, Lezeik R, El Masri J, Bucchieri F, Leone A, Jurjus R. The Mechanism and Potential Therapeutic Effects of Cyclosporin, Cyclophilin, Probiotics and Syndecan-1 in an Animal Model of Inflammatory Bowel Disease. Pharmaceutics. 2024; 16(1):130. https://doi.org/10.3390/pharmaceutics16010130
Chicago/Turabian StyleDosh, Laura, Francesca Rappa, Abdo Jurjus, Gaelle Karam, Roaa Lezeik, Jad El Masri, Fabio Bucchieri, Angelo Leone, and Rosalyn Jurjus. 2024. "The Mechanism and Potential Therapeutic Effects of Cyclosporin, Cyclophilin, Probiotics and Syndecan-1 in an Animal Model of Inflammatory Bowel Disease" Pharmaceutics 16, no. 1: 130. https://doi.org/10.3390/pharmaceutics16010130
APA StyleDosh, L., Rappa, F., Jurjus, A., Karam, G., Lezeik, R., El Masri, J., Bucchieri, F., Leone, A., & Jurjus, R. (2024). The Mechanism and Potential Therapeutic Effects of Cyclosporin, Cyclophilin, Probiotics and Syndecan-1 in an Animal Model of Inflammatory Bowel Disease. Pharmaceutics, 16(1), 130. https://doi.org/10.3390/pharmaceutics16010130

