Preparation of Nanoemulsions with Low-Molecular-Weight Collagen Peptides from Sturgeon Fish Skin and Evaluation of Anti-Diabetic and Wound-Healing Effects in Mice
Abstract
:1. Introduction
2. Materials and Methods
2.1. Materials
2.2. Extraction and Purification of Collagen Peptide from Sturgeon Fish Skin
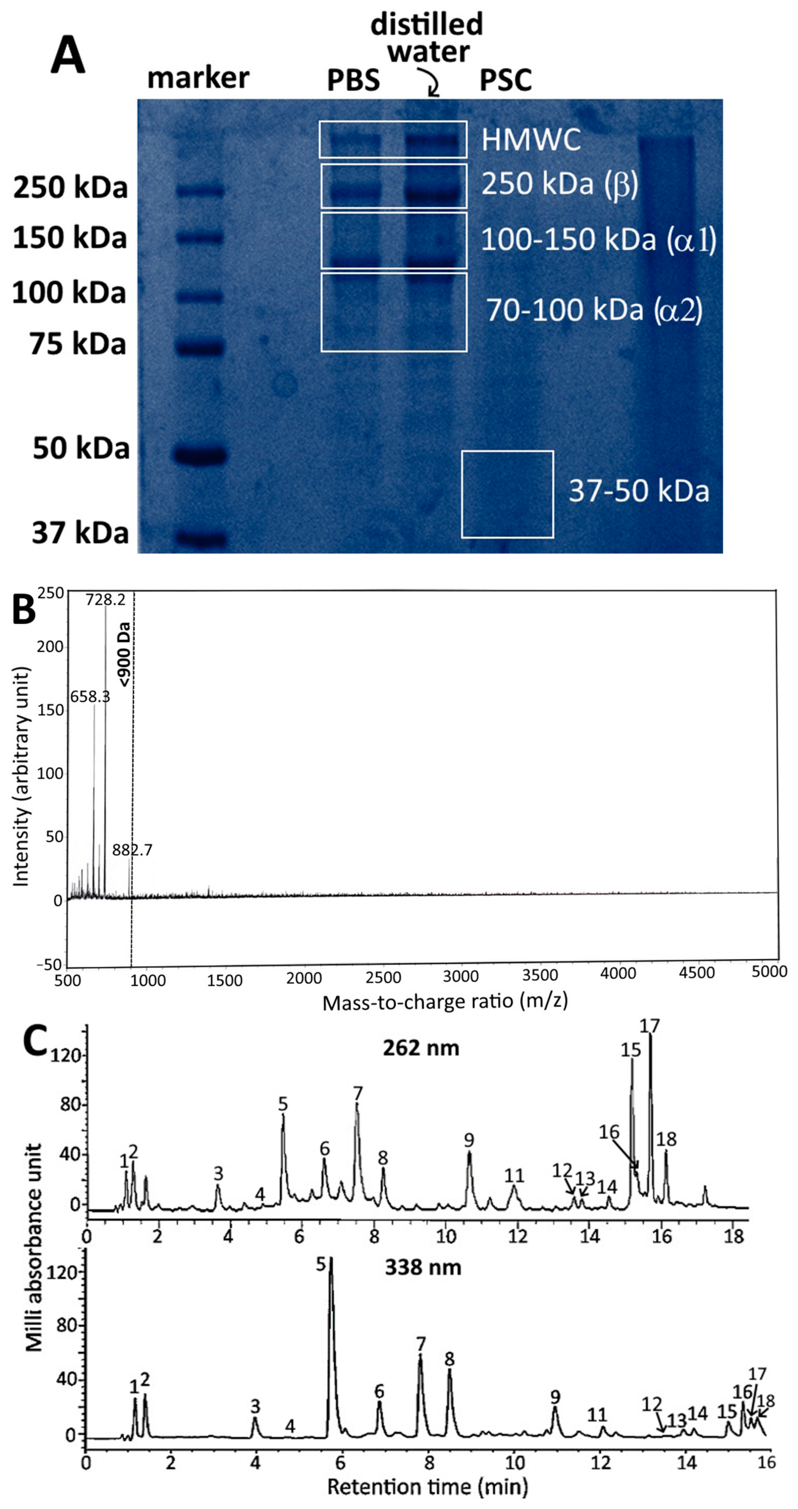
2.3. Determination of Collagen Variety and Peptide MW Using SDS-PAGE
2.4. MW Distribution of Peptide via LR-MALDI-TOF/MS
2.5. Amino Acid Analysis of Collagen Peptide via HPLC
2.6. Determination of Degree of Hydrolysis of PSC and Collagen Peptide via O-Phthalaldehyde (OPA) Method
2.7. Preparation of Collagen Peptide Nanoemulsion
2.8. Characteristics Determination of Collagen Peptide Nanoemulsion
2.9. Stability Study of Collagen Peptide Nanoemulsion
2.10. Animal Experiment
- Positive control group (C): a total of 8 C57BL/6 male mice were used for wound opening with a round shape (0.85 cm diameter) and tube feeding with distilled water started at the second day for 14 days.
- Control group (D): a total of 8 db/db mice were used without wound opening and tube feeding with distilled water every day for 14 days.
- Induction group (E): a total of 8 db/db mice were used without wound opening and tube feeding with metformin at 250 mg/kg/day for 14 days to induce diabetes.
- Wound control group (F): a total of 8 db/db mice were used for wound opening with a round shape (0.85 cm diameter) and tube feeding with distilled water started at the second day for 14 days.
- Low-molecular-weight (728 Da) and low-dose extract group (LLE): a total of 8 db/db mice were used for wound opening with a round shape (0.85 cm diameter) and tube feeding with LLE at 100 mg/kg/day started at the second day for 14 days.
- Low-molecular-weight (728 Da) and high-dose extract group (LHE): a total of 8 db/db mice were used for wound opening with a round shape (0.85 cm diameter) and tube feeding with LHE at 300 mg/kg/day started at the second day for 14 days.
- High-molecular-weight (37 kDa) and low-dose extract group (HLE): a total of 8 db/db mice were used for wound opening with a round shape (0.85 cm diameter) and tube feeding with HLE at 100 mg/kg/day started at the second day for 14 days.
- High-molecular-weight (37 kDa) and high-dose extract group (HHE): a total of 8 db/db mice were used for wound opening with a round shape (0.85 cm diameter) and tube feeding with HHE at 300 mg/kg/day started at the second day for 14 days.
- Low-molecular-weight (728 Da) and low-dose nanoemulsion group (LLN): a total of 8 db/db mice were used for wound opening with a round shape (0.85 cm diameter) and tube feeding with LLN started at the second day for 14 days.
- Low-molecular-weight (728 Da) and high-dose nanoemulsion group (LHN): a total of 8 db/db mice were used for wound opening with a round shape (0.85 cm diameter) and tube feeding with LHN started at the second day for 14 days.
- High-molecular-weight (37 kDa) and low-dose nanoemulsion group (HLN): a total of 8 db/db mice were used for wound opening with a round shape (0.85 cm diameter) and tube feeding with HLN started at the second day for 14 days.
- High-molecular-weight (37 kDa) and high-dose nanoemulsion group (HHN): a total of 8 db/db mice were used for wound opening with a round shape (0.85 cm diameter) and tube feeding with HHN started at the second day for 14 days.
2.11. Wound Opening of Mice
2.12. Measurement of Wound Area
2.13. Measurement of Fasting Blood Glucose
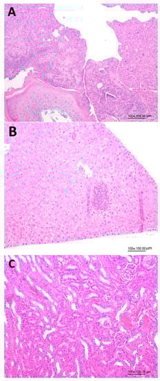
2.14. Tissue Pathological Section
2.15. Statistical Analysis
3. Results and Discussion
3.1. Extraction and Purification of Collagen Peptide from Sturgeon Fish Skin
3.2. Characteristics of Collagen Peptide Nanoemulsion
3.3. Stability of Collagen Peptide Nanoemulsion
3.4. Animal Experiment
3.5. Wound Healing Effect in Diabetic Mice
3.6. Pathological Analysis of Wounded Skin, Kidney and Liver of Mice
4. Conclusions
Author Contributions
Funding
Institutional Review Board Statement
Informed Consent Statement
Data Availability Statement
Acknowledgments
Conflicts of Interest
References
- Silva, T.H.; Moreira-Silva, J.; Marques, A.L.; Domingues, A.; Bayon, Y.; Reis, R.L. Marine origin collagens and its potential applications. Mar. Drugs 2014, 12, 5881–5901. [Google Scholar] [CrossRef] [PubMed]
- Hou, N.T.; Chen, B.H. Extraction, Purification and characterization of collagen peptide prepared from skin hydrolysate of Sturgeon fish. Food Qual. Saf. 2023; in press. [Google Scholar] [CrossRef]
- Sridhar, K.; Inbaraj, B.S.; Chen, B.H. Recent developments on production, purification and biological activity of marine peptides. Food Res. Int. 2021, 147, 110468. [Google Scholar] [CrossRef]
- Rivero-Pino, F.; Espejo-Carpio, F.J.; Guadix, E.M. Production and identification of dipeptidyl peptidase IV (DPP-IV) inhibitory peptides from discarded Sardine pilchardus protein. Food Chem. 2020, 328, 127096. [Google Scholar] [CrossRef] [PubMed]
- McLaughlin, C.M.; Sharkey, S.J.; Harnedy-Rothwell, P.; Parthsarathy, V.; Allsopp, P.J.; McSorley, E.M.; FitzGerald, R.J.; O’Harte, F.P. Twice daily oral administration of Palmaria palmata protein hydrolysate reduces food intake in streptozotocin induced diabetic mice, improving glycaemic control and lipid profiles. J. Funct. Foods 2020, 73, 104101. [Google Scholar] [CrossRef]
- American Diabetes Association. Standards of medical care in diabetes—2015 abridged for primary care providers. Clin. Diabetes 2015, 33, 97–111. [Google Scholar] [CrossRef]
- Yang, T.; Zhang, K.; Li, B.; Hou, H. Effects of oral administration of peptides with low molecular weight from Alaska Pollock (Theragra chalcogramma) on cutaneous wound healing. J. Funct. Foods 2018, 48, 682–691. [Google Scholar] [CrossRef]
- Xiong, X.; Liang, J.; Xu, Y.; Liu, J.; Liu, Y. The wound healing effects of the Tilapia collagen peptide mixture TY001 in streptozotocin-induced diabetic mice. J. Sci. Food Agric. 2020, 100, 2848–2858. [Google Scholar] [CrossRef]
- Choudhury, H.; Pandey, M.; Lim, Y.Q.; Low, C.Y.; Lee, C.T.; Marilyn, T.C.; Loh, H.S.; Lim, Y.P.; Lee, C.F.; Bhattamishra, S.K. Silver nanoparticles: Advanced and promising technology in diabetic wound therapy. Mater. Sci. Eng. C 2020, 112, 110925. [Google Scholar] [CrossRef]
- TFDA. Method for Determination of Amino Acid Composition in Peptide; Taiwan Food & Drug Administration: Taipei, Taiwan, 2017.
- Church, F.C.; Swaisgood, H.E.; Porter, D.H.; Catignani, G.L. Spectrophotometric assay using o-phthaldialdehyde for determination of proteolysis in milk and isolated milk proteins. J. Dairy Sci. 1983, 66, 1219–1227. [Google Scholar] [CrossRef]
- SAS. SAS Procedures and SAS/Graph User’s Guide, Version 6; Statistical Analysis System Institute Inc.: Cary, NC, USA, 2019.
- Zhao, Q.; Wu, C.; Yu, C.; Bi, A.; Xu, X.; Du, M. High stability of bilayer nano-emulsions fabricated by Tween 20 and specific interfacial peptides. Food Chem. 2021, 340, 127877. [Google Scholar] [CrossRef]
- Adjonu, R.; Doran, G.S.; Torley, P.; Sampson, G.O.; Agboola, S.O. Whey protein peptides have dual functions: Bioactivity and emulsifiers in oil-in-water nanoemulsion. Foods 2022, 11, 1812. [Google Scholar] [CrossRef] [PubMed]
- Hassan, P.A.; Rana, S.; Verma, G. Making sense of Brownian motion: Colloid characterization by dynamic light scattering. Langmuir 2015, 31, 3–12. [Google Scholar] [CrossRef] [PubMed]
- Malatesta, M. Transmission electron microscopy as a powerful tool to investigate the interaction of nanoparticles with subcellular structures. Int. J. Mol. Sci. 2021, 22, 12789. [Google Scholar] [CrossRef] [PubMed]
- Clogston, J.D.; Patri, A.K. Zeta potential measurement. In Characterization of Nanoparticles Intended for Drug Delivery. Methods in Molecular Biology—Springer Protocols; McNeil, S.E., Ed.; Humana Press: Totowa, NJ, USA, 2011; Volume 697. [Google Scholar]
- Singh, Y.; Meher, J.G.; Raval, K.; Khan, F.A.; Chaurasia, M.; Jain, N.K.; Chourasia, M.K. Nanoemulsion: Concepts, development and applications in drug delivery. J. Control Release 2017, 252, 28–49. [Google Scholar] [CrossRef]
- Huang, Y.C.; Chen, B.H. A comparative study on improving streptozotocin-induced type 2 diabetes in rats by hydrosol, extract and nanoemulsion prepared from cinnamon leaves. Antioxidants 2022, 12, 29. [Google Scholar] [CrossRef]
- Zhang, R.; Chen, J.; Jiang, X.; Yin, L.; Zhang, X. Antioxidant and hypoglycaemic effects of tilapia skin collagen peptide in mice. Int. J. Food Sci. Technol. 2016, 51, 2157–2163. [Google Scholar] [CrossRef]
- Sonaje, K.; Lin, Y.H.; Juang, J.H.; Wey, S.P.; Chen, C.T.; Sung, H.W. In vivo evaluation of safety and efficacy of self-assembled nanoparticles for oral insulin delivery. Biomaterials 2009, 30, 2329–2339. [Google Scholar] [CrossRef]
- Li, X.; Qi, J.; Xie, Y.; Zhang, X.; Hu, S.; Xu, Y.; Lu, Y.; Wu, W. Nanoemulsions coated with alginate/chitosan as oral insulin delivery systems: Preparation, characterization, and hypoglycemic effect in rats. Int. J. Nanomed. 2013, 8, 23–32. [Google Scholar]
- Souto, E.B.; Souto, S.B.; Campos, J.R.; Severino, P.; Pashirova, T.N.; Zakharova, L.Y.; Silva, A.M.; Durazzo, A.; Lucarini, M.; Izzo, A.A. Nanoparticle delivery systems in the treatment of diabetes complications. Molecules 2019, 24, 4209. [Google Scholar] [CrossRef]
- Teo, S.Y.; Yew, M.Y.; Lee, S.Y.; Rathbone, M.J.; Gan, S.N.; Coombes, A.G.A. In vitro evaluation of novel phenytoin-loaded alkyd nanoemulsions designed for application in topical wound healing. J. Pharm. Sci. 2017, 106, 377–384. [Google Scholar] [CrossRef]
- Bonferoni, M.C.; Riva, F.; Invernizzi, A.; Dellera, E.; Sandri, G.; Rossi, S.; Marrubini, G.; Bruni, G.; Vigani, B.; Caramella, C.; et al. Alpha tocopherol loaded chitosan oleate nanoemulsions for wound healing. Evaluation on cell lines and ex vivo human biopsies, and stabilization in spray dried trojan microparticles. Eur. J. Pharm. Biopharm. 2018, 123, 31–41. [Google Scholar] [CrossRef] [PubMed]
- Shanmugapriya, K.; Kim, H.; Kang, H.W. A new alternative insight of nanoemulsion conjugated with κ-carrageenan for wound healing study in diabetic mice: In vitro and in vivo evaluation. Eur. J. Pharm. Sci. 2019, 133, 236–250. [Google Scholar] [CrossRef]
- Ali, M.; Khan, N.R.; Subhan, Z.; Mehmood, S.; Amin, A.; Rabbani, I.; Rehman, F.U.; Baist, H.M.; Syed, H.K.; Khan, I.U.; et al. Novel curcumin-encapsulated α-tocopherol nanoemulsion system and its potential application for wound healing in diabetic animals. BioMed Res. Int. 2022, 2022, 7669255. [Google Scholar] [CrossRef] [PubMed]
- Tang, J.; Liu, H.; Gao, C.; Mu, L.; Yang, S.; Rong, M.; Zhang, Z.; Liu, J.; Ding, Q.; Lai, R. A small peptide with potential ability to promote wound healing. PLoS ONE 2014, 9, e92082. [Google Scholar] [CrossRef]
- Felician, F.F.; Yu, R.H.; Li, M.Z.; Li, C.J.; Chen, H.Q.; Jiang, Y.; Tang, T.; Qi, W.Y.; Xu, H.M. The wound healing potential of collagen peptides derived from the jellyfish Rhopilema esculentum. Chin. J. Traumatol. 2019, 22, 12–20. [Google Scholar] [CrossRef] [PubMed]
- Hao, M.; Ding, C.; Sun, S.; Peng, X.; Liu, W. Chitosan/sodium alginate/velvet antler blood peptides hydrogel promotes diabetic wound healing via regulating angiogenesis, inflammatory response and skin flora. J. Inflamm. Res. 2022, 15, 4921–4938. [Google Scholar] [CrossRef]
- Knefeli, H.C.; Durani, B. Improved wound healing after oral application of specific bioactive collagen peptides. Nutrafoods 2017, 16, 9–12. [Google Scholar]
- Li, D.; Li, L.; Xu, T.; Wang, T.; Ren, J.; Liu, X.; Li, Y. Effect of low molecular weight oligopeptides isolated from sea cucumber on diabetic wound healing in db/db mice. Mar. Drugs 2018, 16, 16. [Google Scholar] [CrossRef]
- Das, S.; Baker, A.B. Biomaterials and nanotherapeutics for enhancing skin wound healing. Front. Bioeng. Biotechnol. 2016, 4, 82. [Google Scholar] [CrossRef]
- Berthet, M.; Gauthier, Y.; Lacroix, C.; Verrier, B.; Monge, C. Nanoparticle-based dressing: The future of wound treatment? Trends Biotechnol. 2017, 35, 770–784. [Google Scholar] [CrossRef] [PubMed]
- Chereddy, K.K.; Her, C.H.; Comune, M.; Moia, C.; Lopes, A.; Porporato, P.E.; Vanacker, J.; Lam, M.C.; Steinstraesser, L.; Sonveaux, P.; et al. PLGA nanoparticles loaded with hose defense peptide LL37 promote wound healing. J. Control. Release 2014, 194, 138–147. [Google Scholar] [CrossRef] [PubMed]
- Sun, T.; Zhan, B.; Zhang, W.; Qin, D.; Xia, G.; Zhang, H.; Lee, W.H. Carboxymethyl chitosan nanoparticles loaded with bioactive peptide OH-CATH30 benefit nonscar wound healing. Int. J. Nanomed. 2018, 13, 5771–5786. [Google Scholar] [CrossRef]
- Nakao, K.; Kusubata, M.; Hara, K.; Igarashi, M.; Yamazaki, N.; Koyama, Y. Effects of collagen peptide ingestion on healing of skin wound in a rat model of pressure ulcer. Jpn. Pharmacol. Ther. 2013, 41, 587–596. [Google Scholar]
- Sugihara, F.; Inoue, N.; Venkateswarathirukumara, S. Ingestion of bioactive collagen hydrolysates enhanced pressure ulcer healing in a randomized double-blind placebo-controlled clinical study. Sci. Rep. 2018, 8, 11403. [Google Scholar] [CrossRef]
- Ichikawa, S.; Ohara, H.; lto, K.; Oba, C.; Matsumoto, H.; Takeuchi, Y.; Kanegae, M. Influence on quantity of hydroxyproline-containing peptides in human blood after oral ingestion by the different average molecular weight collagen peptides. Igakutoyakugaku 2009, 62, 801–807. [Google Scholar]





| Ingredient | Percentage (Amount) | |
|---|---|---|
| 37 kDa Peptide | 728 Da Peptide | |
| Soybean oil | 2% (200 mg) | 1.2% (120 mg) |
| Lecithin | 4% (400 mg) | 0.5% (50 mg) |
| Tween 80 | 8% (800 mg) | 6.0% (600 mg) |
| Water | 86% (8.6 g) | 92.3 (9.23 g) |
| Temperature (°C) | Day | Mean Diameter (nm) | Polydispersity Index (PDI) | Zeta Potential (mV) |
|---|---|---|---|---|
| 4 | LLN | |||
| 0 | 16.9 ± 0.6 A | 0.198 ± 0.007 A | −61.2 ± 0.6 A | |
| 15 | 23.2 ± 0.2 B | 0.250 ± 0.016 AB | −57.2 ± 0.9 B | |
| 30 | 22.5 ± 0.7 B | 0.265 ± 0.003 C | −55.8 ± 0.4 C | |
| 45 | 24.1 ± 1.0 C | 0.220 ± 0.006 B | −53.8 ± 3.3 CD | |
| 60 | 27.2 ± 0.6 D | 0.243 ± 0.005 C | −50.8 ± 0.8 E | |
| 75 | 30.1 ± 0.6 D | 0.298 ± 0.005 D | −52.2 ± 1.9 CD | |
| 90 | 33.3 ± 0.8 E | 0.289 ± 0.005 D | −52.6 ± 1.1 CD | |
| 25 | 0 | 16.9 ± 0.6 A | 0.198 ± 0.007 A | −61.2 ± 0.6 A |
| 15 | 36.8 ± 0.3 B | 0.299 ± 0.002 F | −44.1 ± 0.5 F | |
| 30 | 48.2 ± 0.5 E | 0.262 ± 0.012 D | −52.3 ± 0.4 D | |
| 45 | 43.5 ± 0.2 C | 0.271 ± 0.008 E | −56.8 ± 0.4 C | |
| 60 | 44.4 ± 0.5 D | 0.254 ± 0.004 C | −61.4 ± 0.5 A | |
| 75 | 51.2 ± 0.2 F | 0.246 ± 0.028 B | −59.6 ± 0.8 B | |
| 90 | 69.3 ± 0.5 G | 0.242 ± 0.008 B | −50.8 ± 0.5 E | |
| 4 | LHN | |||
| 0 | 15.3 ± 0.2 ABC | 0.215 ± 0.007 B | −63.0 ± 0.2 A | |
| 15 | 15.4 ± 0.2 BC | 0.184 ± 0.004 A | −44.3 ± 0.2 E | |
| 30 | 15.1 ± 0.1 A | 0.247 ± 0.005 E | −47.1 ± 0.4 C | |
| 45 | 15.2 ± 0.3 AB | 0.229 ± 0.003 C | −50.7 ± 0.5 B | |
| 60 | 15.5 ± 0.2 C | 0.240 ± 0.012 D | −50.4 ± 0.5 B | |
| 75 | 16.1 ± 0.2 D | 0.255 ± 0.003 F | −47.6 ± 0.4 C | |
| 90 | 17.0 ± 0.2 E | 0.273 ± 0.018 G | −45.1 ± 0.2 D | |
| 25 | 0 | 15.3 ± 0.2 A | 0.215 ± 0.007 A | −63.0 ±0.2 A |
| 15 | 38.6 ± 0.1 B | 0.304 ± 0.003 D | −44.2 ± 0.9 D | |
| 30 | 42.6 ± 0.8 C | 0.234 ± 0.002 C | −42.0 ± 0.4 E | |
| 45 | 47.5 ± 0.2 D | 0.223 ± 0.002 B | −42.7 ± 1.0 E | |
| 60 | 49.2 ± 0.3 E | 0.235 ± 0.024 C | −43.2 ± 1.0 CD | |
| 75 | 50.3 ± 0.1 F | 0.235 ± 0.003 C | −45.6 ± 1.0 B | |
| 90 | 51.6 ± 0.6 G | 0.229 ± 0.003 C | −43.2 ± 0.3 CD |
| Temperature (°C) | Day | Mean Diameter (nm) | Polydispersity Index (PDI) | Zeta Potential (mV) |
|---|---|---|---|---|
| 4 | HLN | |||
| 0 | 28.1 ± 0.2 C | 0.231± 0.003 A | −41.4 ± 0.7 D | |
| 15 | 25.2 ± 0.3 B | 0.275 ± 0.003 C | −40.4 ± 0.2 E | |
| 30 | 25.6 ± 0.2 B | 0.247 ± 0.004 B | −48.4 ± 0.4 C | |
| 45 | 29.2 ± 0.3 D | 0.233 ± 0.005 A | −51.3 ± 0.5 A | |
| 60 | 25.4 ± 0.6 B | 0.282 ± 0.012 D | −47.8± 0.4 C | |
| 75 | 21.9 ± 0.6 A | 0.340 ± 0.002 E | −49.5 ± 0.3 B | |
| 90 | 28.4 ± 0.2 C | 0.232 ± 0.002 A | −48.6 ± 0.4 C | |
| 25 | 0 | 28.1 ± 0.2 A | 0.231 ± 0.003 F | −41.4 ± 0.7 CD |
| 15 | 28.6 ± 0.1 B | 0.198 ± 0.005 C | −32.6 ± 0.2 E | |
| 30 | 50.8 ± 0.3 C | 0.282 ± 0.003 G | −40.5 ± 0.4 D | |
| 45 | 131 ± 0.7 E | 0.156 ± 0.026 A | −45.8 ± 0.2 B | |
| 60 | 129.3 ± 0.4 D | 0.203 ± 0.017 D | −50.3 ± 1.6 A | |
| 75 | 131.6 ± 0.6 E | 0.216 ± 0.002 E | −42.1 ± 0.7 C | |
| 90 | 130 ± 0.7 D | 0.183 ± 0.003 B | −47.1 ± 0.8 B | |
| 4 | HHN | |||
| 0 | 24.2 ± 0.2 E | 0.222 ± 0.003 A | −42.7 ± 0.4 D | |
| 15 | 19.8 ± 0.3 C | 0.283 ± 0.004 D | −36.2 ± 0.2 E | |
| 30 | 17.3 ± 0.3 B | 0.295 ± 0.002 E | −42.3 ± 0.3 D | |
| 45 | 16.3 ± 0.2 A | 0.375 ± 0.004 F | −46.5 ± 0.4 C | |
| 60 | 19.5 ± 0.3 C | 0.266 ± 0.002 C | −48.3 ± 0.4 B | |
| 75 | 21.4 ± 0.2 D | 0.246 ± 0.003 B | −50.1 ± 0.2 A | |
| 90 | 24.4 ± 0.3 E | 0.262 ± 0.002 C | −48.1 ± 0.5 B | |
| 25 | 0 | 24.1 ± 0.2 B | 0.222 ± 0.003 B | −42.7 ± 0.4 B |
| 15 | 21.3 ± 0.4 A | 0.276 ± 0.012 D | −34.9 ± 1.7 D | |
| 30 | 25.5 ± 0.2 C | 0.273 ± 0.004 D | −40.3 ± 0.4 C | |
| 45 | 32.3 ± 0.3 F | 0.224 ± 0.004 B | −45.3 ± 0.4 A | |
| 60 | 26.5 ± 0.2 D | 0.235 ± 0.023 C | −43.2 ± 0.6 B | |
| 75 | 29.1 ± 0.3 E | 0.273 ± 0.002 D | −41.9 ± 0.6 B | |
| 90 | 38.0 ± 0.2 G | 0.215 ± 0.003 A | −42.6 ± 0.3 B |
| Temperature (°C) | Particle Size (nm) | Zeta Potential (mV) | Polydispersity Index (PDI) | |||||||||
|---|---|---|---|---|---|---|---|---|---|---|---|---|
| 0.5 h | 1.0 h | 1.5 h | 2.0 h | 0.5 h | 1.0 h | 1.5 h | 2.0 h | 0.5 h | 1.0 h | 1.5 h | 2.0 h | |
| LHN | ||||||||||||
| Control (unheated) | 15.2 | −45.4 | 0.277 | |||||||||
| 40 | 15.3 | 15.8 | 16.2 | 17.9 | −44.2 | −43.6 | −43.4 | −41.9 | 0.228 | 0.278 | 0.292 | 0.297 |
| 60 | 16.2 | 17.3 | 18.2 | 18.3 | −39.8 | −42.5 | −43.8 | −42.5 | 0.251 | 0.233 | 0.271 | 0.282 |
| 80 | 15.0 | 16.9 | 17.8 | 18.5 | −44.5 | −43.6 | −45.1 | −38.4 | 0.291 | 0.253 | 0.242 | 0.272 |
| 100 | 16.3 | 17.8 | 20.8 | 22.2 | −40.3 | −36.5 | −33.0 | −32.2 | 0.254 | 0.232 | 0.257 | 0.288 |
| HHN | ||||||||||||
| Control (unheated) | 16.5 | −54.0 | 0.263 | |||||||||
| 40 | 18.3 | 19.7 | 21.8 | 22.3 | −45.0 | −46.9 | −46.1 | −46.2 | 0.219 | 0.273 | 0.283 | 0.294 |
| 60 | 17.9 | 20.5 | 23.3 | 25.6 | −47.6 | −46.8 | −45.8 | −44.2 | 0.248 | 0.236 | 0.240 | 0.248 |
| 80 | 20.4 | 22.1 | 25.7 | 28.8 | −44.9 | −43.1 | −43.3 | −42.2 | 0.248 | 0.246 | 0.262 | 0.270 |
| 100 | 30.8 | 49.7 | 58.1 | 61.2 | −46.5 | −45.3 | −43.2 | −44.5 | 0.262 | 0.254 | 0.270 | 0.298 |
| Groups | Post-Traumatic Body Weight (g) | |||||||
|---|---|---|---|---|---|---|---|---|
| Before Wounded | Day 1 | Day 4 | Day 6 | Day 8 | Day 10 | Day 12 | Day 15 | |
| C | 21.69 ± 1.03 Fabc | 21.36 ± 1.02 Ebc | 20.62 ± 0.96 Ed | 22.42 ± 0.89 Fab | 22.28 ± 0.93 Gab | 21.56 ± 0.97 Gcd | 23.41 ± 1.09 Ha | 22.55 ± 0.89 Fab |
| D | 36.56 ± 2.91 BCDa | 36.18 ± 3.01 Bab | 34.26 ± 2.89 Bb | 34.98 ± 2.67 BCDab | 35.73 ± 2.82 Bab | 34.21 ± 2.51 Bb | 34.76 ± 2.63 Bab | 34.61 ± 2.88 Bb |
| E | 40.39 ± 1.70 Aa | 40.01 ± 1.63 Aa | 38.64 ± 1.82 Aabc | 38.89 ± 1.77 Aabc | 39.15 ± 1.88 Aab | 37.62 ± 1.93 Ac | 37.54 ± 1.91 Abc | 37.47 ± 1.94 Abc |
| F | 34.23 ± 2.67 DEa | 33.81 ± 2.64 CDab | 31.55 ± 2.37 Dbc | 32.02 ± 2.56 Ec | 32.52 ± 2.67 BCabc | 30.33 ± 2.45 DEFc | 30.28 ± 2.47 EFGc | 29.39 ± 2.78 CDc |
| LLE | 35.22 ± 1.63 DEa | 34.86 ± 1.61 BCDa | 32.30 ± 1.38 CDb | 32.49 ± 1.22 CDEb | 31.11 ± 1.00 Fc | 30.13 ± 1.09 EFc | 30.22 ± 1.45 DEFGc | 27.34 ± 1.52 Ed |
| LHE | 36.11 ± 1.93 CDa | 35.84 ± 1.97 Ba | 33.77 ± 2.10 BCbc | 33.50 ± 3.01 BCbc | 31.58 ± 3.97 Ebc | 31.51 ± 3.36 CDEc | 32.42 ± 4.57 CDb | 29.63 ± 4.97 DEc |
| LLN | 37.47 ± 1.55 Ba | 36.95 ± 1.70 Bab | 35.34 ± 1.64 Bbc | 35.64 ± 1.76 Bbc | 35.71 ± 1.68 BCab | 33.32 ± 1.19 BCde | 33.54 ± 1.21 BCcd | 31.99 ± 1.14 Ce |
| LHN | 33.15 ± 4.34 Ea | 32.59 ± 4.35 Dab | 30.89 ± 3.78 CDcd | 31.60 ± 3.46 Ebc | 30.87 ± 2.90 Fd | 29.34 ± 2.52 Fe | 29.14 ± 2.23 Ge | 28.30 ± 1.63 DEf |
| HLE | 38.06 ± 1.26 BCa | 37.61 ± 1.18 Ba | 35.06 ± 1.98 Bb | 35.09 ± 2.20 Bb | 34.59 ± 2.31 BCb | 32.09 ± 1.75 CDc | 31.38 ± 1.86 DEFcd | 30.26 ± 2.13 CDd |
| HHE | 35.86 ± 2.58 DEa | 35.48 ± 2.83 BCa | 33.58 ± 3.00 BCDb | 32.81 ± 2.90 CDEbc | 32.49 ± 2.99 DEcd | 32.01 ± 3.12 CDcd | 31.33 ± 3.20 DEFde | 30.91 ± 3.43 CDe |
| HLN | 36.50 ± 1.06 BCDa | 35.98 ± 1.08 Bab | 34.19 ± 1.19 BCbc | 33.94 ± 1.10 BCDcd | 33.38 ± 1.06 CDcd | 32.96 ± 0.96 BCde | 32.09 ± 1.28 CDEe | 31.36 ± 1.71 Ce |
| HHN | 35.35 ± 1.28 BCDa | 35.09 ± 1.24 BCa | 32.64 ± 1.29 BCDb | 31.97 ± 1.45 Ec | 31.68 ± 1.38 EFbc | 31.00 ± 1.41 Fd | 29.85 ± 1.47 FGde | 28.78 ± 1.84 DEe |
| Groups | Fasting Serum Glucose (mg/dL) | |||
|---|---|---|---|---|
| Before Wounding | Post-Wounding | |||
| Day 4 | Day 10 | Day 15 | ||
| C | 156.40 ± 22.63 Db | 212.40 ± 52.53 Fa | 224.20 ± 50.20 Ca | 196.40 ± 42.08 Bab |
| D | 459.80 ± 71.65 Aa | 487.40 ± 61.90 ABa | 527.20 ± 68.50 Aa | 505.80 ± 79.00 Aa |
| E | 530.20 ± 70.75 Aa | 558.40 ± 48.76 Aa | 560.60 ± 0.00 Aa | 533.80 ± 16.19 Aa |
| F | 395.00 ± 9.17 ABb | 408.00 ± 16.52 CDb | 582.66 ± 15.04 Aa | 512.33 ± 0.00 Aa |
| LLE | 428.75 ± 42.00 Ab | 440.50 ± 90.52 BCb | 490.50 ± 25.46 Aa | 506.00 ± 19.80 Aa |
| LHE | 415.25 ± 43.47 ABb | 414.00 ± 41.09 CDb | 385.25 ± 45.80 Bb | 496.00 ± 50.77 Aa |
| LLN | 363.25± 68.59 ABb | 350.75 ± 78.49 DEb | 481.25 ± 52.57 Aa | 517.75 ± 75.63 Aa |
| LHN | 451.25 ± 28.99 ABa | 357.00 ± 24.75 DEc | 382.75 ± 66.47 Bb | 240.25 ± 16.97 Bd |
| HLE | 401.66 ± 21.08 ABb | 423.00 ± 40.71 BCb | 577.00 ± 39.84 Aa | 600.00 ± 0.00 Aa |
| HHE | 379.00 ± 44.20 Bb | 383.50 ± 44.90 CDb | 550.75 ± 39.05 Aa | 460.75 ± 82.71 Aa |
| HLN | 275.75 ± 44.99 Cb | 249.75 ± 67.93 Fb | 511.50 ± 44.74 Aa | 521.75 ± 0.00 Aa |
| HHN | 220.00 ± 27.07 Cc | 320.00 ± 26.01 DEb | 539.00 ± 77.19 Aa | 514.00 ± 87.31 Aa |
| Groups | Post-Wounding Area (%) | |||||||
|---|---|---|---|---|---|---|---|---|
| Day 1 | Day 3 | Day 6 | Day 8 | Day 10 | Day 12 | Day 15 | Total Healing Area | |
| C | 100 ± 5.15 Aa | 75.45 ± 3.30 Cb | 67.74 ± 3.36 Fc | 56.34 ± 4.72 Gd | 42.39 ± 3.51 DEe | 22.02 ± 1.78 EFf | 3.09 ± 1.02 Cg | 96.91 |
| F | 100 ± 2.31 Aa | 88.16 ± 4.91 Bb | 85.22 ± 5.22 DEbc | 79.72 ± 4.64 CDc | 35.40 ± 3.19 Fd | 28.25 ± 3.40 CDd | 15.89 ± 4.77 Be | 84.11 |
| LHN | 100 ± 3.00 Aa | 98.64 ± 3.38 Aab | 94.26 ± 3.23 ABb | 54.18 ± 2.91 Gc | 42.18 ± 1.92 Dd | 25.36 ± 3.63 De | 4.47 ± 1.99 Cf | 95.53 |
| LLE | 100 ± 3.26 Aa | 90.82 ± 4.02 Bb | 83.49 ± 2.48 CDc | 69.60 ± 4.80 Ed | 69.07 ± 4.40 Bd | 19.82 ± 4.37 Fe | 14.04 ± 3.12 Bf | 85.96 |
| LHE | 100 ± 3.89 Aa | 97.47 ± 3.18 Aa | 92.34 ± 2.67 ABb | 72.3 ± 3.53 DEc | 58.85 ± 5.19 Cd | 54.91 ± 3.78 Ad | 7.77 ± 1.73 Ce | 92.23 |
| LLN | 100 ± 4.79 Aa | 97.77 ± 3.90 Aa | 97.02 ± 3.13 Aa | 96.95 ± 3.90 Aa | 46.33 ± 3.68 Db | 26.06 ± 3.58 DEc | 20.20 ± 5.98 Ac | 79.80 |
| HHE | 100 ± 3.48 Aa | 85.04 ± 4.08 Bb | 82.14 ± 4.35 Eb | 65.20 ± 4.57 Fc | 39.09 ± 5.31 EFd | 18.25 ± 2.58 Fe | 11.68 ± 5.73 Cf | 88.32 |
| HLN | 100 ± 3.09 Aa | 97.96 ± 3.88 Aa | 92.3 ± 2.06 ABb | 80.59 ± 3.51 Cc | 76.66 ± 3.29 Ac | 50.20 ± 4.03 Bd | 23.83 ± 5.32 Ae | 76.17 |
| HLE | 100 ± 3.50 Aa | 96.21 ± 2.59 Aa | 95.48 ± 4.94 ABab | 89.56 ± 4.72 Bb | 66.76 ± 3.27 Bc | 40.29 ± 3.02 Bd | 25.18 ± 6.45 Ae | 74.82 |
| HHN | 100 ± 3.54 Aa | 99.01 ± 4.25 Aa | 95.31 ± 3.95 ABa | 75.3 ± 3.79 CDb | 57.07 ± 3.37 Cc | 31.67 ± 3.15 Cd | 23.09 ± 5.40 Ae | 76.91 |
Disclaimer/Publisher’s Note: The statements, opinions and data contained in all publications are solely those of the individual author(s) and contributor(s) and not of MDPI and/or the editor(s). MDPI and/or the editor(s) disclaim responsibility for any injury to people or property resulting from any ideas, methods, instructions or products referred to in the content. |
© 2023 by the authors. Licensee MDPI, Basel, Switzerland. This article is an open access article distributed under the terms and conditions of the Creative Commons Attribution (CC BY) license (https://creativecommons.org/licenses/by/4.0/).
Share and Cite
Hou, N.-T.; Chen, B.-H. Preparation of Nanoemulsions with Low-Molecular-Weight Collagen Peptides from Sturgeon Fish Skin and Evaluation of Anti-Diabetic and Wound-Healing Effects in Mice. Pharmaceutics 2023, 15, 2304. https://doi.org/10.3390/pharmaceutics15092304
Hou N-T, Chen B-H. Preparation of Nanoemulsions with Low-Molecular-Weight Collagen Peptides from Sturgeon Fish Skin and Evaluation of Anti-Diabetic and Wound-Healing Effects in Mice. Pharmaceutics. 2023; 15(9):2304. https://doi.org/10.3390/pharmaceutics15092304
Chicago/Turabian StyleHou, Nian-Ting, and Bing-Huei Chen. 2023. "Preparation of Nanoemulsions with Low-Molecular-Weight Collagen Peptides from Sturgeon Fish Skin and Evaluation of Anti-Diabetic and Wound-Healing Effects in Mice" Pharmaceutics 15, no. 9: 2304. https://doi.org/10.3390/pharmaceutics15092304
APA StyleHou, N.-T., & Chen, B.-H. (2023). Preparation of Nanoemulsions with Low-Molecular-Weight Collagen Peptides from Sturgeon Fish Skin and Evaluation of Anti-Diabetic and Wound-Healing Effects in Mice. Pharmaceutics, 15(9), 2304. https://doi.org/10.3390/pharmaceutics15092304

