Therapeutic Activity of a Topical Formulation Containing 8-Hydroxyquinoline for Cutaneous Leishmaniasis
Abstract
:1. Introduction
2. Materials and Methods
2.1. Materials
2.2. Preparation of Creams Containing 8-HQ
2.3. Physical Characterisation of Creams
2.4. Viscosity Analysis
2.5. Permeation Studies with Creams Containing 8-HQ
2.6. Animals
2.7. Cutaneous Toxicity Studies with Creams Containing 8-HQ
2.8. Parasite
2.9. Infection and Experimental Treatment
2.10. Development of Lesions and Determination of Tissue Parasitism
2.11. Cytokine Production Studies
2.12. Statistical Analysis
3. Results
3.1. Measurement of Particle Size
3.2. Viscosity
3.3. Franz Cell Diffusion Assay
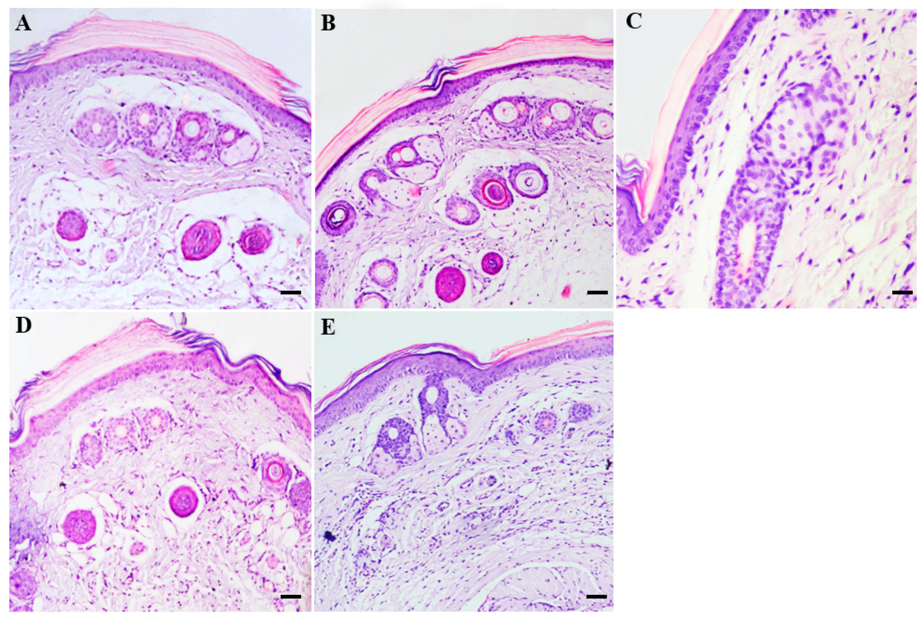
3.4. Histological Changes in the Skin from Healthy BALB/c Mice Treated with Topical Creams Containing 8-HQ
3.5. Efficacy of Topical Treatment
3.6. Histopathological Changes
3.7. Immunological Studies
4. Discussion
5. Conclusions
Author Contributions
Funding
Institutional Review Board Statement
Informed Consent Statement
Data Availability Statement
Conflicts of Interest
References
- Yadav, P.; Shah, K. Quinolines, a Perpetual, Multipurpose Scaffold in Medicinal Chemistry. Bioorg. Chem. 2021, 109, 104639. [Google Scholar] [CrossRef]
- Jain, S.; Chandra, V.; Kumar Jain, P.; Pathak, K.; Pathak, D.; Vaidya, A. Comprehensive Review on Current Developments of Quinoline-Based Anticancer Agents. Arab. J. Chem. 2019, 12, 4920–4946. [Google Scholar] [CrossRef]
- Gupta, R.; Luxami, V.; Paul, K. Insights of 8-Hydroxyquinolines: A Novel Target in Medicinal Chemistry. Bioorg. Chem. 2021, 108, 104633. [Google Scholar] [CrossRef] [PubMed]
- Albrecht, M.; Fiege, M.; Osetska, O. 8-Hydroxyquinolines in Metallosupramolecular Chemistry. Coord. Chem. Rev. 2008, 252, 812–824. [Google Scholar] [CrossRef]
- Oliveri, V.; Vecchio, G. 8-Hydroxyquinolines in Medicinal Chemistry: A Structural Perspective. Eur. J. Med. Chem. 2016, 120, 252–274. [Google Scholar] [CrossRef] [PubMed]
- Saadeh, H.; Sweidan, K.; Mubarak, M. Recent Advances in the Synthesis and Biological Activity of 8-Hydroxyquinolines. Molecules 2020, 25, 4321. [Google Scholar] [CrossRef]
- Scalese, G.; Machado, I.; Fontana, C.; Risi, G.; Salinas, G.; Pérez-Díaz, L.; Gambino, D. New Heteroleptic Oxidovanadium(V) Complexes: Synthesis, Characterization and Biological Evaluation as Potential Agents against Trypanosoma Cruzi. J. Biol. Inorg. Chem. 2018, 23, 1265–1281. [Google Scholar] [CrossRef]
- Rivas, F.; Medeiros, A.; Comini, M.; Suescun, L.; Rodríguez Arce, E.; Martins, M.; Pinheiro, T.; Marques, F.; Gambino, D. Pt-Fe Ferrocenyl Compounds with Hydroxyquinoline Ligands Show Selective Cytotoxicity on Highly Proliferative Cells. J. Inorg. Biochem. 2019, 199, 110779. [Google Scholar] [CrossRef]
- Allam, G.; Eweas, A.F.; Abuelsaad, A.S.A. In Vivo Schistosomicidal Activity of Three Novels 8-Hydroxyquinoline Derivatives against Adult and Immature Worms of Schistosoma Mansoni. Parasitol. Res. 2013, 112, 3137–3149. [Google Scholar] [CrossRef]
- Costa Duarte, M.; dos Reis Lage, L.M.; Lage, D.P.; Mesquita, J.T.; Salles, B.C.S.; Lavorato, S.N.; Menezes-Souza, D.; Roatt, B.M.; Alves, R.J.; Tavares, C.A.P.; et al. An Effective in Vitro and in Vivo Antileishmanial Activity and Mechanism of Action of 8-Hydroxyquinoline against Leishmania Species Causing Visceral and Tegumentary Leishmaniasis. Vet. Parasitol. 2016, 217, 81–88. [Google Scholar] [CrossRef]
- Duarte, M.C.; Lage, L.M.d.R.; Lage, D.P.; Martins, V.T.; Carvalho, A.M.R.S.; Roatt, B.M.; Menezes-Souza, D.; Tavares, C.A.P.; Alves, R.J.; Barichello, J.M.; et al. Treatment of Murine Visceral Leishmaniasis Using an 8-Hydroxyquinoline-Containing Polymeric Micelle System. Parasitol. Int. 2016, 65, 728–736. [Google Scholar] [CrossRef] [PubMed]
- Tavares, G.S.V.; Mendonça, D.V.C.; Pereira, I.A.G.; Oliveira-da-Silva, J.A.; Ramos, F.F.; Lage, D.P.; Machado, A.S.; Carvalho, L.M.; Reis, T.A.R.; Perin, L.; et al. A Clioquinol-Containing Pluronic® F127 Polymeric Micelle System Is Effective in the Treatment of Visceral Leishmaniasis in a Murine Model. Parasite 2020, 27, 29. [Google Scholar] [CrossRef] [PubMed]
- Tavares, G.S.V.; Mendonça, D.V.C.; Miyazaki, C.K.; Lage, D.P.; Soyer, T.G.; Carvalho, L.M.; Ottoni, F.M.; Dias, D.S.; Ribeiro, P.A.F.; Antinarelli, L.M.R.; et al. A Pluronic® F127-Based Polymeric Micelle System Containing an Antileishmanial Molecule Is Immunotherapeutic and Effective in the Treatment against Leishmania Amazonensis Infection. Parasitol. Int. 2019, 68, 63–72. [Google Scholar] [CrossRef]
- Lima, S.K.S.d.; Jesus, J.A.; Raminelli, C.; Laurenti, M.D.; Passero, L.F.D. High Selectivity of 8-Hydroxyquinoline on Leishmania (Leishmania) and Leishmania (Viannia) Species Correlates with a Potent Therapeutic Activity In Vivo. Pharmaceuticals 2023, 16, 707. [Google Scholar] [CrossRef] [PubMed]
- Musa, A.; Khalil, E.; Hailu, A.; Olobo, J.; Balasegaram, M.; Omollo, R.; Edwards, T.; Rashid, J.; Mbui, J.; Musa, B.; et al. Sodium Stibogluconate (SSG) & Paromomycin Combination Compared to SSG for Visceral Leishmaniasis in East Africa: A Randomised Controlled Trial. PLoS Negl. Trop. Dis. 2012, 6, e1674. [Google Scholar] [CrossRef]
- Sundar, S.; Singh, A. Chemotherapeutics of Visceral Leishmaniasis: Present and Future Developments. Parasitology 2018, 145, 481–489. [Google Scholar] [CrossRef] [PubMed]
- Mazire, P.; Agarwal, V.; Roy, A. Road-map of Pre-clinical Treatment for Visceral Leishmaniasis. Drug Dev. Res. 2022, 83, 317–327. [Google Scholar] [CrossRef]
- van Griensven, J.; Diro, E. Visceral Leishmaniasis. Infect. Dis. Clin. N. Am. 2019, 33, 79–99. [Google Scholar] [CrossRef]
- Berbert, T.R.N.; Mello, T.F.P.D.; Wolf Nassif, P.; Mota, C.A.; Silveira, A.V.; Duarte, G.C.; Demarchi, I.G.; Aristides, S.M.A.; Lonardoni, M.V.C.; Vieira Teixeira, J.J.; et al. Pentavalent Antimonials Combined with Other Therapeutic Alternatives for the Treatment of Cutaneous and Mucocutaneous Leishmaniasis: A Systematic Review. Dermatol. Res. Pract. 2018, 2018, 9014726. [Google Scholar] [CrossRef]
- Pradhan, S.; Schwartz, R.A.; Patil, A.; Grabbe, S.; Goldust, M. Treatment Options for Leishmaniasis. Clin. Exp. Dermatol. 2022, 47, 516–521. [Google Scholar] [CrossRef]
- Sundar, S.; Singh, A. Recent Developments and Future Prospects in the Treatment of Visceral Leishmaniasis. Ther. Adv. Infect. Dis. 2016, 3, 98–109. [Google Scholar] [CrossRef]
- Hamill, R.J. Amphotericin B Formulations: A Comparative Review of Efficacy and Toxicity. Drugs 2013, 73, 919–934. [Google Scholar] [CrossRef] [PubMed]
- Roatt, B.M.; de Oliveira Cardoso, J.M.; De Brito, R.C.F.; Coura-Vital, W.; de Oliveira Aguiar-Soares, R.D.; Reis, A.B. Recent Advances and New Strategies on Leishmaniasis Treatment. Appl. Microbiol. Biotechnol. 2020, 104, 8965–8977. [Google Scholar] [CrossRef] [PubMed]
- Sundar, S.; Chakravarty, J. An Update on Pharmacotherapy for Leishmaniasis. Expert Opin. Pharmacother. 2015, 16, 237–252. [Google Scholar] [CrossRef]
- Sundar, S.; Chakravarty, J. Leishmaniasis: An Update of Current Pharmacotherapy. Expert Opin. Pharmacother. 2013, 14, 53–63. [Google Scholar] [CrossRef]
- Passero, L.F.D.; Cruz, L.A.; Santos-Gomes, G.; Rodrigues, E.; Laurenti, M.D.; Lago, J.H.G. Conventional Versus Natural Alternative Treatments for Leishmaniasis: A Review. Curr. Top. Med. Chem. 2018, 18, 1275–1286. [Google Scholar] [CrossRef]
- Sundar, S.; Mondal, D.; Rijal, S.; Bhattacharya, S.; Ghalib, H.; Kroeger, A.; Boelaert, M.; Desjeux, P.; Richter-Airijoki, H.; Harms, G. Implementation Research to Support the Initiative on the Elimination of Kala Azar from Bangladesh, India and Nepal—The Challenges for Diagnosis and Treatment. Trop. Med. Int. Health 2008, 13, 2–5. [Google Scholar] [CrossRef]
- Sunyoto, T.; Potet, J.; Boelaert, M. Why Miltefosine—A Life-Saving Drug for Leishmaniasis—Is Unavailable to People Who Need It the Most. BMJ Glob. Health 2018, 3, e000709. [Google Scholar] [CrossRef]
- McGwire, B.S.; Satoskar, A.R. Leishmaniasis: Clinical Syndromes and Treatment. QJM 2014, 107, 7–14. [Google Scholar] [CrossRef]
- Srivastava, S.; Mishra, J.; Gupta, A.K.; Singh, A.; Shankar, P.; Singh, S. Laboratory Confirmed Miltefosine Resistant Cases of Visceral Leishmaniasis from India. Parasites Vectors 2017, 10, 49. [Google Scholar] [CrossRef]
- Drugs for Neglected Diseases Initiative Target Product Profile for Cutaneous Leishmaniasis. Available online: https://dndi.org/diseases/cutaneous-leishmaniasis/target-product-profile/ (accessed on 23 May 2023).
- Serrano, D.R.; Gordo, M.J.; Matji, A.; González, S.; Lalatsa, A.; Torrado, J.J. Tuning the Transdermal Delivery of Hydroquinone upon Formulation with Novel Permeation Enhancers. Pharmaceutics 2019, 11, 167. [Google Scholar] [CrossRef] [PubMed]
- Haq, A.; Goodyear, B.; Ameen, D.; Joshi, V.; Michniak-Kohn, B. Strat-M® Synthetic Membrane: Permeability Comparison to Human Cadaver Skin. Int. J. Pharm. 2018, 547, 432–437. [Google Scholar] [CrossRef] [PubMed]
- Arce, F.J.; Asano, N.; See, G.L.; Itakura, S.; Todo, H.; Sugibayashi, K. Usefulness of Artificial Membrane, Strat-M®, in the Assessment of Drug Permeation from Complex Vehicles in Finite Dose Conditions. Pharmaceutics 2020, 12, 173. [Google Scholar] [CrossRef] [PubMed]
- Silva, I.R.; Lima, F.A.; Reis, E.C.O.; Ferreira, L.A.M.; Goulart, G.A.C. Stepwise Protocols for Preparation and Use of Porcine Ear Skin for in Vitro Skin Permeation Studies Using Franz Diffusion Cells. Curr. Protoc. 2022, 2, e391. [Google Scholar] [CrossRef]
- Lalatsa, A.; Patel, P.V.; Sun, Y.; Kiun, C.C.; Karimi, F.; Zekonyte, J.; Emeriewen, K.; Saleh, G.M. Transcutaneous Anaesthetic Nano-Enabled Hydrogels for Eyelid Surgery. Int. J. Pharm. 2020, 577, 119003. [Google Scholar] [CrossRef]
- Aho, J.; Hvidt, S.; Baldursdottir, S. Rheology in Pharmaceutical Sciences. In Analytical Techniques in the Pharmaceutical Sciences; Springer: New York, NY, USA, 2016; pp. 719–750. [Google Scholar] [CrossRef]
- Haq, A.; Dorrani, M.; Goodyear, B.; Joshi, V.; Michniak-Kohn, B. Membrane Properties for Permeability Testing: Skin versus Synthetic Membranes. Int. J. Pharm. 2018, 539, 58–64. [Google Scholar] [CrossRef]
- Saha, P.; Mukhopadhyay, D.; Chatterjee, M. Immunomodulation by Chemotherapeutic Agents against Leishmaniasis. Int. Immunopharmacol. 2011, 11, 1668–1679. [Google Scholar] [CrossRef]
- Pereira, B.A.S.; Alves, C.R. Immunological Characteristics of Experimental Murine Infection with Leishmania (Leishmania) Amazonensis. Vet. Parasitol. 2008, 158, 239–255. [Google Scholar] [CrossRef]
- Bhide, S.; Shettar, A.; Repka, M.A.; Prado, R.; Kundu, S.; Richardson, N.; Murthy, S.N. Evaluating the Impact of Fatty Alcohols on Permeation of Clotrimazole from Topical Creams. Pharm. Technol. 2020, 44, 24–31. [Google Scholar]
- Barry, B.W. Mode of Action of Penetration Enhancers in Human Skin. J. Control. Release 1987, 6, 85–97. [Google Scholar] [CrossRef]
- Williams, A.C.; Barry, B.W. Penetration Enhancers. Adv. Drug Deliv. Rev. 2004, 56, 603–618. [Google Scholar] [CrossRef]
- Bezerra-Souza, A.; Jesus, J.A.; Laurenti, M.D.; Lalatsa, A.; Serrano, D.R.; Passero, L.F.D. Nanoemulsified Butenafine for Enhanced Performance against Experimental Cutaneous Leishmaniasis. J. Immunol. Res. 2021, 2021, 8828750. [Google Scholar] [CrossRef] [PubMed]
- Carvalho, A.K.; Carvalho, K.; Passero, L.F.D.; Sousa, M.G.T.; Da Matta, V.L.R.; Gomes, C.M.C.; Corbett, C.E.P.; Kallas, G.E.; Silveira, F.T.; Laurenti, M.D. Differential Recruitment of Dendritic Cells Subsets to Lymph Nodes Correlates with a Protective or Permissive T-Cell Response during Leishmania (Viannia) Braziliensis or Leishmania (Leishmania) Amazonensis Infection. Mediators Inflamm. 2016, 2016, 7068287. [Google Scholar] [CrossRef] [PubMed]
- Suarez, E.T.; Granados-Falla, D.S.; Robledo, S.M.; Murillo, J.; Upegui, Y.; Delgado, G. Antileishmanial Activity of Synthetic Analogs of the Naturally Occurring Quinolone Alkaloid N-Methyl-8-Methoxyflindersin. PLoS ONE 2020, 15, e0243392. [Google Scholar] [CrossRef]
- Passero, L.F.D.; Marques, C.; Vale-Gato, I.; Corbett, C.E.P.; Laurenti, M.D.; Santos-Gomes, G. Histopathology, Humoral and Cellular Immune Response in the Murine Model of Leishmania (Viannia) Shawi. Parasitol. Int. 2010, 59, 159–165. [Google Scholar] [CrossRef]
- Sacks, D.; Noben-Trauth, N. The Immunology of Susceptibility and Resistance to Leishmania Major in Mice. Nat. Rev. Immunol. 2002, 2, 845–858. [Google Scholar] [CrossRef]
- Rolão, N.; Cortes, S.; Gomes-Pereira, S.; Campino, L. Leishmania Infantum: Mixed T-Helper-1/T-Helper-2 Immune Response in Experimentally Infected BALB/c Mice. Exp. Parasitol. 2007, 115, 270–276. [Google Scholar] [CrossRef]
- Belda, W.; Criado, P.R.; Passero, L.F.D. Successful Treatment of Chromoblastomycosis Caused by Fonsecaea Pedrosoi Using Imiquimod. J. Dermatol. 2020, 47, 409–412. [Google Scholar] [CrossRef]
- Sundar, S.; Reed, S.G.; Sharma, S.; Mehrotra, A.; Murray, H.W. Circulating T Helper 1 (Th1) Cell- and Th2 Cell-Associated Cytokines in Indian Patients with Visceral Leishmaniasis. Am. J. Trop. Med. Hyg. 1997, 56, 522–525. [Google Scholar] [CrossRef]
- Louis, J.; Himmelrich, H.; Parra-Lopez, C.; Tacchini-Cottier, F.; Launois, P. Regulation of Protective Immunity against Leishmania Major in Mice. Curr. Opin. Immunol. 1998, 10, 459–464. [Google Scholar] [CrossRef]
- Ajdary, S.; Alimohammadian, M.H.; Eslami, M.B.; Kemp, K.; Kharazmi, A. Comparison of the Immune Profile of Nonhealing Cutaneous Leishmaniasis Patients with Those with Active Lesions and Those Who Have Recovered from Infection. Infect. Immun. 2000, 68, 1760. [Google Scholar] [CrossRef] [PubMed]
- Zhang, Z.; Tsai, P.-C.; Ramezanli, T.; Michniak-Kohn, B.B. Polymeric Nanoparticles-Based Topical Delivery Systems for the Treatment of Dermatological Diseases. Wiley Interdiscip. Rev. Nanomed. Nanobiotechnol. 2013, 5, 205–218. [Google Scholar] [CrossRef] [PubMed]







| Porcine Skin | Artificial Membrane | |||
|---|---|---|---|---|
| Parameter | Cream 1% | Cream 2% | Cream 1% | Cream 2% |
| Steady-state flux (μg/cm2/h) | 40.24 ± 1.09 | 25.55 ± 1.21 * | 30.66 ± 3.25 | 33.49 ± 6.09 |
| Lag time (h) | 0.46 ± 0.03 | 0.60 ± 0.16 | 0.35 ± 0.03 | 0.24 ± 0.05 |
| Permeability coefficient (mm2/h) | 0.20 ± 0.02 | 0.06 ± 0.003 * | 0.31 ± 0.03 | 0.24 ± 0.03 |
| Diffusion coefficient (μm/h) | 33.83 ± 4.68 | 10.63 ± 0.50 * | 9.20 ± 0.97 | 7.33 ± 0.87 |
| Cumulative amount of 8-HQ retained (μg/mg) | 0.20 ± 0.02 | 0.17 ± 0.04 | 0.10 ± 0.01 | 0.12 ± 0.01 |
Disclaimer/Publisher’s Note: The statements, opinions and data contained in all publications are solely those of the individual author(s) and contributor(s) and not of MDPI and/or the editor(s). MDPI and/or the editor(s) disclaim responsibility for any injury to people or property resulting from any ideas, methods, instructions or products referred to in the content. |
© 2023 by the authors. Licensee MDPI, Basel, Switzerland. This article is an open access article distributed under the terms and conditions of the Creative Commons Attribution (CC BY) license (https://creativecommons.org/licenses/by/4.0/).
Share and Cite
de Lima, S.K.S.; Cavallone, Í.N.; Serrano, D.R.; Anaya, B.J.; Lalatsa, A.; Laurenti, M.D.; Lago, J.H.G.; da Silva Souza, D.C.; Marinsek, G.P.; Lopes, B.S.; et al. Therapeutic Activity of a Topical Formulation Containing 8-Hydroxyquinoline for Cutaneous Leishmaniasis. Pharmaceutics 2023, 15, 2602. https://doi.org/10.3390/pharmaceutics15112602
de Lima SKS, Cavallone ÍN, Serrano DR, Anaya BJ, Lalatsa A, Laurenti MD, Lago JHG, da Silva Souza DC, Marinsek GP, Lopes BS, et al. Therapeutic Activity of a Topical Formulation Containing 8-Hydroxyquinoline for Cutaneous Leishmaniasis. Pharmaceutics. 2023; 15(11):2602. https://doi.org/10.3390/pharmaceutics15112602
Chicago/Turabian Stylede Lima, Sarah Kymberly Santos, Ítalo Novaes Cavallone, Dolores Remedios Serrano, Brayan J. Anaya, Aikaterini Lalatsa, Márcia Dalastra Laurenti, João Henrique Ghilardi Lago, Dalete Christine da Silva Souza, Gabriela Pustiglione Marinsek, Beatriz Soares Lopes, and et al. 2023. "Therapeutic Activity of a Topical Formulation Containing 8-Hydroxyquinoline for Cutaneous Leishmaniasis" Pharmaceutics 15, no. 11: 2602. https://doi.org/10.3390/pharmaceutics15112602
APA Stylede Lima, S. K. S., Cavallone, Í. N., Serrano, D. R., Anaya, B. J., Lalatsa, A., Laurenti, M. D., Lago, J. H. G., da Silva Souza, D. C., Marinsek, G. P., Lopes, B. S., de Britto Mari, R., & Passero, L. F. D. (2023). Therapeutic Activity of a Topical Formulation Containing 8-Hydroxyquinoline for Cutaneous Leishmaniasis. Pharmaceutics, 15(11), 2602. https://doi.org/10.3390/pharmaceutics15112602

