Effect of Penetration Enhancers and Safety on the Transdermal Delivery of Apremilast in Skin
Abstract
:1. Introduction
2. Materials and Methods
2.1. Materials
2.2. Validation of Analytical Method
2.3. Apremilast Solution Preparation
2.4. Ex Vivo Skin Permeation Test
2.5. Biopharmaceutical Parameter Data Analysis
2.6. Amount of Drug Retained in the Skin
2.7. In Vitro Skin Tolerance Study
2.8. In Vivo Skin Tolerance Study
2.8.1. Biomechanical Skin Properties Evaluation
2.8.2. Colorimetric Parameters
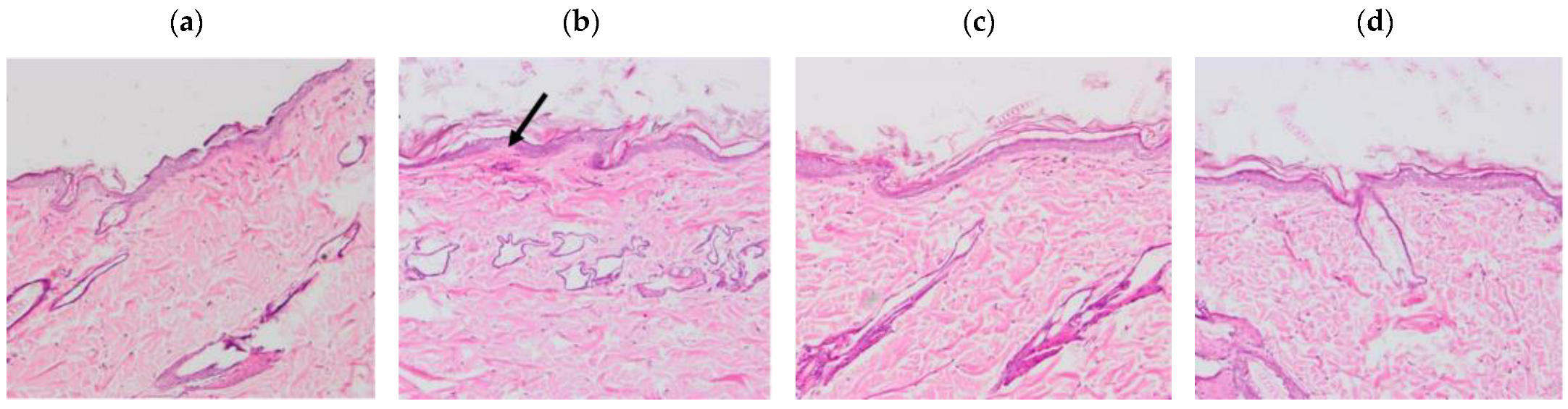
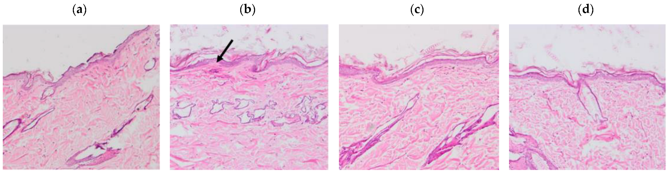
2.8.3. Histological Analysis
3. Results
3.1. Validation of Analythical Method
3.2. Ex Vivo Skin Permeation Studies
3.3. In Vitro Tolerance Studies or Cell Viability Studies
3.4. In Vivo Skin Tolerance Study
3.4.1. Biomechanical Skin Properties Evaluation
3.4.2. Colorimetric Parameters
4. Discussion
5. Conclusions
Author Contributions
Funding
Institutional Review Board Statement
Informed Consent Statement
Data Availability Statement
Acknowledgments
Conflicts of Interest
References
- Zaid Alkilani, A.; McCrudden, M.T.C.; Donnelly, R.F. Transdermal drug delivery: Innovative pharmaceutical developments based on disruption of the barrier properties of the stratum corneum. Pharmaceutics 2015, 7, 438–470. [Google Scholar] [CrossRef] [PubMed] [Green Version]
- Prausnitz, M.R.; Langer, R. Transdermal drug delivery. Nat. Biotechnol. 2008, 26, 1261–1268. [Google Scholar] [CrossRef] [PubMed]
- Clausen, B.E.; Stoitzner, P. Functional specialization of skin dendritic cell subsets in regulating T Cell responses. Front. Immunol. 2015, 6, 534. [Google Scholar] [CrossRef] [PubMed] [Green Version]
- Lodi, G.; Sannino, M.; Caterino, P.; Cannarozzo, G.; Bennardo, L.; Nisticò, S.P. Fractional CO2 laser-assisted topical rifamycin drug delivery in the treatment of pediatric cutaneous leishmaniasis. Pediatric. Dermatol. 2021, 38, 717–720. [Google Scholar] [CrossRef] [PubMed]
- Kligman, A.M. What is the ‘true’ function of skin? Exp. Dermatol. 2002, 11, 159–187. [Google Scholar] [CrossRef]
- Wilhelm, K.-P.; Cua, A.B.; Maibach, H.I. Skin aging: Effect on transepidermal water loss, stratum corneum hydration, skin surface ph, and casual sebum content. Arch. Dermatol. 1991, 127, 1806–1809. [Google Scholar] [CrossRef]
- Yousef, H.; Alhajj, M.; Sharma, S. Anatomy, skin (integument), epidermis. In StatPearls; StatPearls Publishing: Treasure Island, FL, USA, 2022. [Google Scholar]
- Javadzadeh, Y.; Azharshekoufeh Bahari, L. Chapter 8—Therapeutic nanostructures for dermal and transdermal drug delivery. In Nano- and Microscale Drug Delivery Systems; Grumezescu, A.M., Ed.; Elsevier: Amsterdam, The Netherlands, 2017; pp. 131–146. ISBN 978-0-323-52727-9. [Google Scholar]
- Naik, A.; Kalia, Y.N.; Guy, R.H. Transdermal drug delivery: Overcoming the skin’s barrier function. Pharm. Sci. Technol. Today 2000, 3, 318–326. [Google Scholar] [CrossRef]
- Hueber, F.; Wepierre, J.; Schaefer, H. Role of transepidermal and transfollicular routes in percutaneous absorption of hydrocortisone and testosterone: In vivo study in the hairless rat. Skin Pharmacol. 1992, 5, 99–107. [Google Scholar] [CrossRef]
- Charoo, N.A.; Shamsher, A.A.A.; Kohli, K.; Pillai, K.; Rahman, Z. Improvement in bioavailability of transdermally applied flurbiprofen using tulsi (ocimum sanctum) and turpentine oil. Colloids Surf. B Biointerfaces 2008, 65, 300–307. [Google Scholar] [CrossRef]
- Walker, R.B.; Smith, E.W. The role of percutaneous penetration enhancers. Adv. Drug Deliv. Rev. 1996, 18, 295–301. [Google Scholar] [CrossRef]
- Foldvari, M. Non-invasive administration of drugs through the skin: Challenges in delivery system design. Pharm. Sci. Technol. Today 2000, 3, 417–425. [Google Scholar] [CrossRef]
- Parmar, P.K.; Bansal, A.K. Novel nanocrystal-based formulations of apremilast for improved topical delivery. Drug Deliv. Transl. Res. 2020, 11, 966–983. [Google Scholar] [CrossRef] [PubMed]
- Guo, J.-W.; Cheng, Y.-P.; Liu, C.-Y.; Thong, H.-Y.; Huang, C.-J.; Lo, Y.; Wu, C.-Y.; Jee, S.-H. Salvianolic acid B in microemulsion formulation provided sufficient hydration for dry skin and ameliorated the severity of imiquimod-induced psoriasis-like dermatitis in mice. Pharmaceutics 2020, 12, 457. [Google Scholar] [CrossRef] [PubMed]
- Fala, L. Otezla (apremilast), an oral PDE-4 inhibitor, receives FDA approval for the treatment of patients with active psoriatic arthritis and plaque psoriasis. Am. Health Drug Benefits 2015, 8, 105–110. [Google Scholar] [PubMed]
- FDA Approves OTEZLA® (apremilast) for the Treatment of Oral Ulcers Associated with Behçet’s Disease. Available online: https://ir.celgene.com/press-releases-archive/press-release-details/2019/FDA-Approves-OTEZLA-apremilast-for-the-Treatment-of-Oral-Ulcers-Associated-with-Behets-Disease/default.aspx (accessed on 13 February 2022).
- Langley, A.; Beecker, J. Management of common side effects of apremilast. J. Cutan. Med. Surg. 2018, 22, 415–421. [Google Scholar] [CrossRef] [PubMed]
- Rapalli, V.K.; Sharma, S.; Roy, A.; Singhvi, G. Design and dermatokinetic evaluation of apremilast loaded nanostructured lipid carriers embedded gel for topical delivery: A potential approach for improved permeation and prolong skin deposition. Colloids Surf. B Biointerfaces 2021, 206, 111945. [Google Scholar] [CrossRef] [PubMed]
- Rapalli, V.K.; Sharma, S.; Roy, A.; Alexander, A.; Singhvi, G. Solid lipid nanocarriers embedded hydrogel for topical delivery of apremilast: In-vitro, ex-vivo, dermatopharmacokinetic and anti-psoriatic evaluation. J. Drug Deliv. Sci. Technol. 2021, 63, 102442. [Google Scholar] [CrossRef]
- Sarango-Granda, P.; Silva-Abreu, M.; Calpena, A.C.; Halbaut, L.; Fábrega, M.-J.; Rodríguez-Lagunas, M.J.; Díaz-Garrido, N.; Badia, J.; Espinoza, L.C. Apremilast microemulsion as topical therapy for local inflammation: Design, characterization and efficacy evaluation. Pharmaceuticals 2020, 13, 484. [Google Scholar] [CrossRef] [PubMed]
- Mulleria, S.S.; Marina, K.; Ghetia, S.M. Formulation, optimization and in vitro evaluation of apremilast nanoemulgel for topical delivery. Int. J. Pharm. Investig. 2021, 11, 230–237. [Google Scholar] [CrossRef]
- Sindhoor, S.M.; Koland, M. Topical delivery of apremilast loaded nanostructured lipid carrier based hydrogel for psoriasis therapy. J. Pharm. Res. Int. 2021, 33, 7–20. [Google Scholar] [CrossRef]
- ICH: Quality Guidelines. Available online: https://www.ich.org/page/quality-guidelines (accessed on 14 February 2022).
- Zsikó, S.; Csányi, E.; Kovács, A.; Budai-Szűcs, M.; Gácsi, A.; Berkó, S. Methods to evaluate skin penetration in vitro. Sci. Pharm. 2019, 87, 19. [Google Scholar] [CrossRef] [Green Version]
- Guth, K.; Schäfer-Korting, M.; Fabian, E.; Landsiedel, R.; van Ravenzwaay, B. Suitability of skin integrity tests for dermal absorption studies in vitro. Toxicol. Vitr. 2015, 29, 113–123. [Google Scholar] [CrossRef] [PubMed] [Green Version]
- Espinoza, L.C.; Silva-Abreu, M.; Calpena, A.C.; Rodríguez-Lagunas, M.J.; Fábrega, M.-J.; Garduño-Ramírez, M.L.; Clares, B. Nanoemulsion strategy of pioglitazone for the treatment of skin inflammatory diseases. Nanomed. Nanotechnol. Biol. Med. 2019, 19, 115–125. [Google Scholar] [CrossRef] [PubMed]
- Liu, Y.; Zhou, S.; Nissel, J.; Wu, A.; Lau, H.; Palmisano, M. The pharmacokinetic effect of coadministration of apremilast and methotrexate in individuals with rheumatoid arthritis and psoriatic arthritis. Clin. Pharmacol. Drug Dev. 2014, 3, 456–465. [Google Scholar] [CrossRef] [Green Version]
- Sekizawa, J.; Yasuhara, K.; Suyama, Y.; Yamanaka, S.; Tobe, M.; Nishimura, M. A simple method for screening assessment of skin and eye irritation. J. Toxicol. Sci. 1994, 19, 25–35. [Google Scholar] [CrossRef] [PubMed]
- Limón, D.; Jiménez-Newman, C.; Rodrigues, M.; González-Campo, A.; Amabilino, D.B.; Calpena, A.C.; Pérez-García, L. Cationic supramolecular hydrogels for overcoming the skin barrier in drug delivery. ChemistryOpen 2017, 6, 585–598. [Google Scholar] [CrossRef] [Green Version]
- Xiong, K.; Ma, X.; Cao, N.; Liu, L.; Sun, L.; Zou, Q.; Wei, P. Identification, characterization and HPLC quantification of impurities in apremilast. Anal. Methods 2016, 8, 1889–1897. [Google Scholar] [CrossRef]
- Landge, S.B.; Dahale, S.B.; Jadhav, S.A.; Solanki, P.V.; Bembalkar, S.R.; Mathad, V.T. Development and Validation of stability indicating rapid RP-LC method for determination of process and degradation related impurities of apremilast, an anti-inflammatory drug. AJAC 2017, 08, 380–394. [Google Scholar] [CrossRef] [Green Version]
- Panchumarthy, R.; Sulthana, S.; Harsha Sri, K. Development and Validation of a Stability-Indicating Reversed Phase Hplc Method for Determination of Apremilast in Bulk and Pharmaceutical Dosage Form; Scholars Research Library: Uxbridge, UK, 2020. [Google Scholar]
- Kulkarni, P.; Deshpande, A. Analytical methods for determination of apremilast from bulk, dosage form and biological fluids: A critical review. Crit. Rev. Anal. Chem. 2020, 51, 258–267. [Google Scholar] [CrossRef]
- Patel, N.; Patel, S.; Surati, J.; Akbari, A.; Shah, D. Apremilast—A review of analytical methods developed for API with its impurities, pharmaceutical formulations and biological matrices. Int. J. Pharm. Res. Appl. 2021, 6, 735–755. [Google Scholar]
- European Medicines Agency ICH Q2 (R1) Validation of Analytical Procedures: Text and Methodology. Available online: https://www.ema.europa.eu/en/ich-q2-r1-validation-analytical-procedures-text-methodology (accessed on 15 July 2020).
- Madan, J.R.; Khobaragade, S.; Dua, K.; Awasthi, R. Formulation, optimization, and in vitro evaluation of nanostructured lipid carriers for topical delivery of apremilast. Dermatol. Ther. 2020, 33, e13370. [Google Scholar] [CrossRef] [PubMed]
- Shakeel, F.; Haq, N.; Alanazi, F.K.; Alsarra, I.A. Solubility and thermodynamics of apremilast in different mono solvents: Determination, correlation and molecular interactions. Int. J. Pharm. 2017, 523, 410–417. [Google Scholar] [CrossRef] [PubMed]
- Osborne, D.W.; Musakhanian, J. Skin penetration and permeation properties of transcutol®—Neat or diluted mixtures. AAPS PharmSciTech 2018, 19, 3512–3533. [Google Scholar] [CrossRef]
- Amin, S.; Kohli, K.; Khar, R.K.; Mir, S.R.; Pillai, K.K. Mechanism of in vitro percutaneous absorption enhancement of carvedilol by penetration enhancers. Pharm. Dev. Technol. 2008, 13, 533–539. [Google Scholar] [CrossRef] [PubMed]
- Kováčik, A.; Kopečná, M.; Vávrová, K. Permeation enhancers in transdermal drug delivery: Benefits and limitations. Expert Opin. Drug Deliv. 2020, 17, 145–155. [Google Scholar] [CrossRef] [PubMed]
- Chen, J.; Jiang, Q.-D.; Wu, Y.-M.; Liu, P.; Yao, J.-H.; Lu, Q.; Zhang, H.; Duan, J.-A. Potential of essential oils as penetration enhancers for transdermal administration of ibuprofen to treat dysmenorrhoea. Molecules 2015, 20, 18219–18236. [Google Scholar] [CrossRef] [PubMed] [Green Version]
- Hadgraft, J.; Peck, J.; Williams, D.G.; Pugh, W.J.; Allan, G. Mechanisms of action of skin penetration enhancers/retarders: Azone and analogues. Int. J. Pharm. 1996, 141, 17–25. [Google Scholar] [CrossRef]
- Haq, A.; Michniak-Kohn, B. Effects of solvents and penetration enhancers on transdermal delivery of thymoquinone: Permeability and skin deposition study. Drug Deliv. 2018, 25, 1943–1949. [Google Scholar] [CrossRef] [Green Version]
- Sapra, B.; Jain, S.; Tiwary, A.; Sapra, B.; Jain, S.; Tiwary, A.K. Percutaneous permeation enhancement by terpenes: Mechanistic view. AAPS J. 2008, 10, 120–132. [Google Scholar] [CrossRef] [Green Version]
- Fox, L.T.; Gerber, M.; Plessis, J.D.; Hamman, J.H. Transdermal drug delivery enhancement by compounds of natural origin. Molecules 2011, 16, 10507–10540. [Google Scholar] [CrossRef]
- Gref, R.; Deloménie, C.; Maksimenko, A.; Gouadon, E.; Percoco, G.; Lati, E.; Desmaële, D.; Zouhiri, F.; Couvreur, P. Vitamin C–squalene bioconjugate promotes epidermal thickening and collagen production in human skin. Sci. Rep. 2020, 10, 16883. [Google Scholar] [CrossRef] [PubMed]
- Pragst, F.; Auwärter, V.; Kießling, B.; Dyes, C. Wipe-test and patch-test for alcohol misuse based on the concentration ratio of fatty acid ethyl esters and squalene CFAEE/CSQ in skin surface lipids. Forensic Sci. Int. 2004, 143, 77–86. [Google Scholar] [CrossRef] [PubMed]
- Huang, Z.-R.; Lin, Y.-K.; Fang, J.-Y. Biological and pharmacological activities of squalene and related compounds: Potential uses in cosmetic dermatology. Molecules 2009, 14, 540–554. [Google Scholar] [CrossRef] [PubMed]
- Herman, A.; Herman, A.P. Essential oils and their constituents as skin penetration enhancer for transdermal drug delivery: A review. J. Pharm. Pharmacol. 2015, 67, 473–485. [Google Scholar] [CrossRef] [PubMed]
- Chapter 5—Chemical permeation enhancers. In Transdermal Drug Delivery; Ita, K. (Ed.) Academic Press: Cambridge, MA, USA, 2020; pp. 63–96. ISBN 978-0-12-822550-9. [Google Scholar]
- Junginger, H.E.; Verhoef, J.C. Macromolecules as safe penetration enhancers for hydrophilic drugs—A fiction? Pharm. Sci. Technol. Today 1998, 1, 370–376. [Google Scholar] [CrossRef]
- Ly, B.C.K.; Dyer, E.B.; Feig, J.L.; Chien, A.L.; Del Bino, S. Research techniques made simple: Cutaneous colorimetry: A reliable technique for objective skin color measurement. J. Investig. Dermatol. 2020, 140, 3–12.e1. [Google Scholar] [CrossRef] [Green Version]
- Nam, G.W.; Baek, J.H.; Koh, J.S.; Hwang, J.-K. The seasonal variation in skin hydration, sebum, scaliness, brightness and elasticity in Korean females. Skin Res. Technol. 2015, 21, 1–8. [Google Scholar] [CrossRef]








| Molecular Formula | Molecular Mass | Permeation Enhancer Substance | CAS Register Number |
|---|---|---|---|
| C18H35NO | 281.5 g/mol | Azone® | 59227-89-3 |
| C10H16 | 136.2 g/mol | Carene | 13466-78-9 |
| C10H16 | 136.24 g/mol | Limonene | 5989-27-5 |
| C10H18O | 154.25 g/mol | Menthone | 14073-97-3 |
| C9H20 | 128.25 g/mol | Nonane | 111-84-2 |
| C10H16 | 136.23 g/mol | Alpha-Pinene | 80-56-8 |
| C30H62 | 422.8 g/mol | Squalene | 111-01-3 |
| Condition | Description |
|---|---|
| Receptor fluid: | Transcutol® P: Water (60:40 v/v) |
| Cell volume: | 6 mL |
| Diffusion area: | 0.64 cm2 |
| Membrane: | Human skin |
| Thickness: | 400 µm |
| Replicates: | 3 replicates |
| Temperature: | 32 ± 0.5 °C |
| Stirring: | 500 r.p.m. |
| Dose: | 500 µL (1.5 mg/mL) |
| Sample volume: | 200 µL |
| Sampling times: | 0 (pre-sample time point), 14, 17, 20, 23 and 24 h |
| Concentration (µg/mL) | Ratio 1 | Ratio 2 | Ratio 3 | Ratio 4 | Ratio 5 |
|---|---|---|---|---|---|
| 0.156 | 252,307.69 | 269,166.67 | 249,397.44 | 256,782.05 | 242,217.95 |
| 0.313 | 260,434.50 | 262,038.34 | 256,102.24 | 249,444.09 | 259,776.36 |
| 0.625 | 264,326.40 | 258,344.00 | 253,980.80 | 256,646.40 | 260,494.40 |
| 1.25 | 265,984.00 | 263,853.60 | 257,673.60 | 260,917.60 | 266,177.60 |
| 2.5 | 268,948.00 | 266,495.20 | 261,592.80 | 261,648.80 | 264,435.20 |
| 5 | 254,123.20 | 265,660.60 | 263,674.80 | 260,534.60 | 264,838.60 |
| Concentration (µg/mL) | Ratio 1 | Ratio 2 | Ratio 3 | Ratio 4 | Ratio 5 |
|---|---|---|---|---|---|
| 5 | 109,557.800 | 74,592.400 | 82,219.400 | 99,394.400 | 84,412.600 |
| 10 | 106,052.700 | 73,916.800 | 93,962.200 | 93,504.300 | 85,729.500 |
| 25 | 107,647.960 | 86,377.760 | 91,944.640 | 100,525.680 | 97,117.120 |
| 50 | 103,422.940 | 87,307.680 | 105,285.220 | 90,515.760 | 95,526.080 |
| 75 | 104,525.933 | 95,189.893 | 87,206.813 | 100,035.547 | 103,939.733 |
| 100 | 104,007.780 | 93,685.270 | 104,641.200 | 107,957.790 | 97,844.260 |
| Theoretical Conc. (µg/mL) | Calculated Conc. (µg/mL) | %RE | %RSD |
|---|---|---|---|
| 0.156 | 0.15 ± 0.02 | 2.52 | 11.93 |
| 0.313 | 0.31 ± 0.01 | 1.49 | 4.38 |
| 0.625 | 0.62 ± 0.00 | 1.18 | 0.58 |
| 1.25 | 1.25 ± 0.01 | −0.31 | 1.04 |
| 2.5 | 2.52 ± 0.05 | −0.92 | 1.79 |
| 5 | 4.99 ± 0.02 | 0.22 | 0.47 |
| Theoretical Conc. (µg/mL) | Calculated Conc. (µg/mL) | %RE | %RSD |
|---|---|---|---|
| 5 | 5.70 ± 0.76 | −12.21 | 13.28 |
| 10 | 10.19 ± 0.60 | −1.82 | 5.89 |
| 25 | 25.079 ± 0.66 | −0.31 | 2.64 |
| 50 | 48.79 ± 3.17 | 2.47 | 6.50 |
| 75 | 73.86 ± 4.78 | 1.54 | 6.47 |
| 100 | 101.38 ± 2.90 | −1.36 | 2.86 |
| n = 3 | Jss (µg h−1 cm−2) | Kp (cm2 h−1) | Cum AP 24 h (µg) | Css (ng/mL) | Qret (µg/g skin/cm2) |
|---|---|---|---|---|---|
| Azone® | 0.28 ± 0.07 e,g,h | 1.88 × 10−4 e,g,h | 8.15 ± 0.75 h | 0.81 ± 0.01 a,c,e,h | 96.05 ± 3.10 b,c,e,h |
| Carene | 0.11 ± 0.06 g,h | 7.21 × 10−5 g,h | 8.41 ± 0.50 h | 0.31 ± 0.05 h | 52.27 ± 2.10 h |
| Limonene | 0.10 ± 0.06 g | 6.49 × 10−5 g | 5.30 ± 0.92 h | 0.28 ± 0.03 h | 40.91 ± 5.50 h |
| Menthone | 0.10 ± 0.06 g | 6.67 × 10−5 g | 6.01 ± 0.80 h | 0.28 ± 0.05 a,e,h | 52.61 ± 5.60 a,e,h |
| Nonane | 0.07 ± 0.06 g | 4.48 × 10−5 g | 4.85 ± 0.90 h | 0.19 ± 0.02 b,c,h | 15.13 ± 4.20 b,c |
| Pinene | 0.16 ± 0.06 g,h | 1.04 × 10−4 g,h | 6.84 ± 0.80 h | 0.45 ± 0.02 d,a,e,c,b,h | 104.99 ± 4.30 b,c,d,e,h |
| Squalene | 0.74 ± 0.10 a,b,c,d,e,f,h | 4.93 × 10−4 a,b,c,d,e,f,h | 18.17 ± 3.10 a,b,c,d,e,f,h | 2.13 ± 0.02 a,b,c,d,e,f,h | 230.40 ± 4.50 a,b,c,d,e,f,h |
| No promoter | 0.01 ± 0.01 | 3.8 × 10−6 | 0.08 ± 0.30 | 0.02 ± 0.01 | 15.14 ± 2.40 |
| Group | RGB Value | Difference | Squares | Sum Square | Square Root of Sum | Normalized Dose | %Erythema | ||||||
|---|---|---|---|---|---|---|---|---|---|---|---|---|---|
| R | G | B | dR | dG | dB | dR | dG | dB | |||||
| Basal | 195 | 174 | 181 | 0.0 | 0.0 | 0.0 | 0.0 | 0.0 | 0.0 | 0.0 | 0.0 | 0.0 | 0% |
| (195–196) | (174–175) | (180–181) | |||||||||||
| C+ | 183 | 144 | 157 | −12.0 | −30.0 | −24.0 | 144.0 | 900.0 | 576.0 | 1620.0 | 40.3 | 8.1 | 100% |
| (182–183) | (144–144) | (157–158) | |||||||||||
| APR-Squalene | 195 | 173 | 180 | 0.0 | −1.0 | −1.0 | 0.0 | 1.0 | 1.0 | 2.0 | 1.4 | 0.3 | 4% |
| (194–195) | (170–174) | (179–181) | |||||||||||
| Blank-Squalene | 193 | 161 | 166 | −1.0 | 0.0 | 0.0 | 1.0 | 0.0 | 0.0 | 1.0 | 1.0 | 0.2 | 3% |
| (193–194) | (161–163) | (166–166) | |||||||||||
Publisher’s Note: MDPI stays neutral with regard to jurisdictional claims in published maps and institutional affiliations. |
© 2022 by the authors. Licensee MDPI, Basel, Switzerland. This article is an open access article distributed under the terms and conditions of the Creative Commons Attribution (CC BY) license (https://creativecommons.org/licenses/by/4.0/).
Share and Cite
Sarango-Granda, P.; Espinoza, L.C.; Díaz-Garrido, N.; Alvarado, H.; Rodríguez-Lagunas, M.J.; Baldomá, L.; Calpena, A. Effect of Penetration Enhancers and Safety on the Transdermal Delivery of Apremilast in Skin. Pharmaceutics 2022, 14, 1011. https://doi.org/10.3390/pharmaceutics14051011
Sarango-Granda P, Espinoza LC, Díaz-Garrido N, Alvarado H, Rodríguez-Lagunas MJ, Baldomá L, Calpena A. Effect of Penetration Enhancers and Safety on the Transdermal Delivery of Apremilast in Skin. Pharmaceutics. 2022; 14(5):1011. https://doi.org/10.3390/pharmaceutics14051011
Chicago/Turabian StyleSarango-Granda, Paulo, Lupe Carolina Espinoza, Natalia Díaz-Garrido, Helen Alvarado, María J. Rodríguez-Lagunas, Laura Baldomá, and Ana Calpena. 2022. "Effect of Penetration Enhancers and Safety on the Transdermal Delivery of Apremilast in Skin" Pharmaceutics 14, no. 5: 1011. https://doi.org/10.3390/pharmaceutics14051011
APA StyleSarango-Granda, P., Espinoza, L. C., Díaz-Garrido, N., Alvarado, H., Rodríguez-Lagunas, M. J., Baldomá, L., & Calpena, A. (2022). Effect of Penetration Enhancers and Safety on the Transdermal Delivery of Apremilast in Skin. Pharmaceutics, 14(5), 1011. https://doi.org/10.3390/pharmaceutics14051011

