Assessment of Nasal-Brain-Targeting Efficiency of New Developed Mucoadhesive Emulsomes Encapsulating an Anti-Migraine Drug for Effective Treatment of One of the Major Psychiatric Disorders Symptoms
Abstract
:1. Introduction
2. Materials and Methods
2.1. Materials
2.2. Methodology
2.2.1. Solubility Study of EH in Different Solid Lipids
2.2.2. Experimental Design
2.2.3. Preparation of EH-Loaded Mucoadhesive Emulsomes
2.2.4. Evaluation of EH-Loaded Mucoadhesive Emulsomes
- EE% = EH entrapped amount/EH initial amount × 100
- DLC was determined by the following Equation [24]:
- DCL = (Total entrapped EH-free EH) weight of emulsomes
- The experiment was done in triplicates and results were expressed as mean ± SD
Particle Size Analysis
Zeta Potential Determination
2.2.5. Permeation Study of EH from the Prepared Mucoadhesive Emulsomes through the Nasal Mucosa
Nasal Mucosa Preparation
Apparatus Assembly
Determination of the Residence Time (RT) of the Prepared EH-Loaded Mucoadhesive Emulsomes
2.2.6. Optimization of EH-Loaded Mucoadhesive Emulsomes
2.2.7. Morphological Evaluation
2.2.8. Stability Study of the Optimized Formulation
2.2.9. In-Vivo Biodistribution Studies
Animals
Experimental Protocol
- Group 1: Intranasal (i.n) aqueous solution of EH (equivalent to 1 mg/kg body weight) (10 µL in each nostril).
- Group 2: Intravenous (i.v) aqueous EHsolution (equivalent to 1 mg/kg body weight) that was injected through the lateral tail vein of the mice.
- Group 3: The selected EHformulation at a dose equivalent to 1 mg/kg body weight was instilled into the nose of the mice fixed in a prostrate position.
Biochemical Analysis
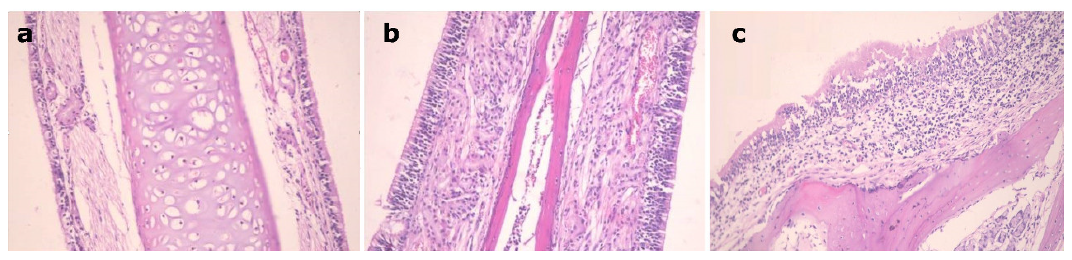
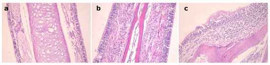
2.2.10. Histopathological Examination
2.2.11. Statistical Analysis
3. Results and Discussion
3.1. Solubility Test
3.2. EH-Emulsomes Formulation
3.3. Evaluation of the Prepared Emulsomes
3.3.1. Effect of Different Factors on Dependent Variables
3.3.2. Optimization of EH Mucoadhesive Emulsomes
3.4. Morphological Evaluation
3.5. Stability Study of the Optimized Formulation
3.6. In Vivo Biodistribution Study
3.7. Histopathological Study
4. Conclusions
Author Contributions
Funding
Institutional Review Board Statement
Informed Consent Statement
Data Availability Statement
Acknowledgments
Conflicts of Interest
References
- Ashina, M.; Hansen, J.M.; Do, T.P.; Melo-Carrillo, A.; Burstein, R.; Moskowitz, M.A. Migraine and the trigeminovascular system—40 years and counting. Lancet Neurol. 2019, 18, 795–804. [Google Scholar] [CrossRef]
- Latinovic, R.; Gulliford, M.; Ridsdale, L. Headache and migraine in primary care: Consultation, prescription, and referral rates in a large population. J. Neurol. Neurosurg. Psychiatry 2006, 77, 385–387. [Google Scholar] [CrossRef] [PubMed] [Green Version]
- Viana, M.; Khaliq, F.; Zecca, C.; Figuerola, M.D.L.; Sances, G.; Di Piero, V.; Petolicchio, B.; Alessiani, M.; Geppetti, P.; Lupi, C.; et al. Poor patient awareness and frequent misdiagnosis of migraine: Findings from a large transcontinental cohort. Eur. J. Neurol. 2020, 27, 536–541. [Google Scholar] [CrossRef] [PubMed] [Green Version]
- Charles, A. The pathophysiology of migraine: Implications for clinical management. Lancet Neurol. 2018, 17, 174–182. [Google Scholar] [CrossRef]
- Marmura, M.J.; Silberstein, S.D.; Schwedt, T.J. The acute treatment of migraine in adults: The American Headache Society evidence assessment of migraine pharmacotherapies. Headache J. Head Face Pain 2015, 55, 3–20. [Google Scholar] [CrossRef]
- Robbins, M.S. Diagnosis and Management of Headache: A Review. JAMA 2021, 325, 1874–1885. [Google Scholar] [CrossRef]
- Goadsby, P.J. Migraine pathophysiology. Headache J. Head Face Pain 2005, 45, S14–S24. [Google Scholar] [CrossRef]
- Thalakoti, S.; Patil, V.V.; Damodaram, S.; Vause, C.V.; Langford, L.E.; Freeman, S.E.; Durham, P.L. Neuron–glia signaling in trigeminal ganglion: Implications for migraine pathology. Headache J. Head Face Pain 2007, 47, 1008–1023. [Google Scholar] [CrossRef] [Green Version]
- Madasu, S.B.; Vekariya, N.A.; Kiran, M.H.; Gupta, B.; Islam, A.; Douglas, P.S.; Babu, K.R. Synthesis of compounds related to the anti-migraine drug eletriptan hydrobromide. Beilstein J. Org. Chem. 2012, 8, 1400–1405. [Google Scholar] [CrossRef] [Green Version]
- Himabindu, S.; Sathish, D.; Pavan Kumar, P.; Shayeda, S. Formulation and ex vivo evaluation of buccal tablets of isradipine in a β-Cyclodextrin complex to improve the photostability. Curr. Drug Ther. 2013, 8, 121–131. [Google Scholar] [CrossRef]
- Xie, J.; Shen, Z.; Anraku, Y.; Kataoka, K.; Chen, X. Nanomaterial-based blood-brain-barrier (BBB) crossing strategies. Biomaterials 2019, 224, 119491. [Google Scholar] [CrossRef] [PubMed]
- Johnson, N.J.; Hanson, L.R.; Frey, W.H. Trigeminal pathways deliver a low molecular weight drug from the nose to the brain and orofacial structures. Mol. Pharm. 2010, 7, 884–893. [Google Scholar] [CrossRef] [Green Version]
- Choudhury, H.; Zakaria, N.F.B.; Tilang, P.A.B.; Tzeyung, A.S.; Pandey, M.; Chatterjee, B.; Alhakamy, N.A.; Bhattamishra, S.K.; Kesharwani, P.; Gorain, B. Formulation development and evaluation of rotigotine mucoadhesive nanoemulsion for intranasal delivery. J. Drug Deliv. Sci. Technol. 2019, 54, 101301. [Google Scholar] [CrossRef]
- Wang, F.; Yang, Z.; Liu, M.; Tao, Y.; Li, Z.; Wu, Z.; Gui, S. Facile nose-to-brain delivery of rotigotine-loaded polymer micelles thermosensitive hydrogels: In vitro characterization and in vivo behavior study. Int. J. Pharm. 2020, 577, 119046. [Google Scholar] [CrossRef] [PubMed]
- Pires, P.C.; Santos, A.O. Nanosystems in nose-to-brain drug delivery: A review of non-clinical brain targeting studies. J. Control. Release 2018, 270, 89–100. [Google Scholar] [CrossRef] [PubMed]
- Shah, B.; Khunt, D.; Bhatt, H.; Misra, M.; Padh, H. Application of quality by design approach for intranasal delivery of rivastigmine loaded solid lipid nanoparticles: Effect on formulation and characterization parameters. Eur. J. Pharm. Sci. 2015, 78, 54–66. [Google Scholar] [CrossRef]
- Gadhave, D.; Gorain, B.; Tagalpallewar, A.; Kokare, C. Intranasal teriflunomide microemulsion: An improved chemotherapeutic approach in glioblastoma. J. Drug Deliv. Sci. Technol. 2019, 51, 276–289. [Google Scholar] [CrossRef]
- Pal, A.; Gupta, S.; Jaiswal, A.; Dube, A.; Vyas, S.P. Development and evaluation of tripalmitin emulsomes for the treatment of experimental visceral leishmaniasis. J. Liposome Res. 2012, 22, 62–71. [Google Scholar] [CrossRef]
- Ucisik, M.H.; B Sleytr, U.; Schuster, B. Emulsomes meet S-layer proteins: An emerging targeted drug delivery system. Curr. Pharm. Biotechnol. 2015, 16, 392–405. [Google Scholar] [CrossRef] [Green Version]
- Amselem, S.; Yogev, A.; Zawoznik, E.; Friedman, D. Emulsomes, a novel drug delivery technology. In Proceedings of the International Symposium on Controlled Release of Bioactive Materials, Nice, France, 27–30 June 1994; pp. 1368–1369. [Google Scholar]
- Nair, A.S.; Vidhya, K.; Saranya, T.; Sreelakshmy, K.; Nair, S.C. Emulsomes: A novel liposomal formulation for sustained drug delivery. Int. Res. J. Pharm. Appl. Sci. 2013, 3, 192–196. [Google Scholar]
- Singh, P.K.; Dinda, S.C. Development and validation of a stability indicating RP-HPLC method for determination of eletriptan in eletriptan hydrobromide orally disintegrating tablets. Int. Res. J. Pharm. 2013, 4, 179–182. [Google Scholar] [CrossRef]
- Zhou, X.; Chen, Z. Preparation and performance evaluation of emulsomes as a drug delivery system for silybin. Arch. Pharmacal Res. 2015, 38, 2193–2200. [Google Scholar] [CrossRef] [PubMed]
- Shinde, U.A.; Joshi, P.N.; Jain, D.D.; Singh, K. Preparation and evaluation of N-trimethyl chitosan nanoparticles of flurbiprofen for ocular delivery. Curr. Eye Res. 2019, 44, 575–582. [Google Scholar] [CrossRef]
- Shelke, S.; Pathan, I.; Shinde, G.; Agrawal, G.; Damale, M.; Chouthe, R.; Panzade, P.; Kulkarni, D. Poloxamer-Based In Situ Nasal Gel of Naratriptan Hydrochloride Deformable Vesicles for Brain Targeting. BioNanoScience 2020, 10, 633–648. [Google Scholar] [CrossRef]
- Omar, M.M.; Eleraky, N.E.; El Sisi, A.M.; Hasan, O.A. Development and evaluation of in-situ nasal gel formulations of nanosized transferosomal sumatriptan: Design, optimization, in vitro and in vivo evaluation. Drug Des. Dev. Ther. 2019, 13, 4413. [Google Scholar] [CrossRef] [PubMed] [Green Version]
- Pund, S.; Rasve, G.; Borade, G. Ex vivo permeation characteristics of venlafaxine through sheep nasal mucosa. Eur. J. Pharm. Sci. 2013, 48, 195–201. [Google Scholar] [CrossRef] [PubMed]
- Basu, S.; Bandyopadhyay, A.K. Development and Characterization of Mucoadhesive In Situ Nasal Gel of Midazolam Prepared with Ficus carica Mucilage. AAPS PharmSciTech 2010, 11, 1223–1231. [Google Scholar] [CrossRef] [Green Version]
- Bartos, C.; Szabó-Révész, P.; Horváth, T.; Varga, P.; Ambrus, R. Comparison of Modern In Vitro Permeability Methods with the Aim of Investigation Nasal Dosage Forms. Pharmaceutics 2021, 13, 846. [Google Scholar] [CrossRef]
- Mandal, S.D.; Mandal, S.; Patel, J. Brain targeting efficiency of Curcumin loaded mucoadhesive microemulsion through intranasal route. J. Pharm. Investig. 2016, 46, 179–188. [Google Scholar] [CrossRef]
- Paliwal, R.; Paliwal, S.R.; Mishra, N.; Mehta, A.; Vyas, S.P. Engineered chylomicron mimicking carrier emulsome for lymph targeted oral delivery of methotrexate. Int. J. Pharm. 2009, 380, 181–188. [Google Scholar] [CrossRef]
- Abdou, E.M.; Kandil, S.M.; El Miniawy, H.M. Brain targeting efficiency of antimigrain drug loaded mucoadhesive intranasal nanoemulsion. Int. J. Pharm. 2017, 529, 667–677. [Google Scholar] [CrossRef] [PubMed]
- Ahmed, S.; Atia, N.N. Fast and efficient zirconia-based reversed phase chromatography for selective determination of triptans in rat plasma. J. Pharm. Biomed. Anal. 2017, 143, 241–251. [Google Scholar] [CrossRef] [PubMed]
- Mittal, D.; Ali, A.; Md, S.; Baboota, S.; Sahni, J.K.; Ali, J. Insights into direct nose to brain delivery: Current status and future perspective. Drug Deliv. 2014, 21, 75–86. [Google Scholar] [CrossRef] [PubMed]
- Agarwal, R.; Katare, O.; Vyas, S. Preparation and in vitro evaluation of liposomal/niosomal delivery systems for antipsoriatic drug dithranol. Int. J. Pharm. 2001, 228, 43–52. [Google Scholar] [CrossRef]
- Khan, A.R.; Liu, M.; Khan, M.W.; Zhai, G. Progress in brain targeting drug delivery system by nasal route. J. Control. Release 2017, 268, 364–389. [Google Scholar] [CrossRef]
- Gill, V.; Nanda, A. Preparation and characterization of etodolac bearing emulsomes. Int. J. Appl. Pharm. 2020, 12, 166–172. [Google Scholar] [CrossRef]
- Chen, F.; Zhang, Z.-R.; Huang, Y. Evaluation and modification of N-trimethyl chitosan chloride nanoparticles as protein carriers. Int. J. Pharm. 2007, 336, 166–173. [Google Scholar] [CrossRef]
- Bagheri, A.; Chu, B.S.; Yaakob, H. Niosomal drug delivery systems: Formulation, preparation and applications. World Appl. Sci. J. 2014, 32, 1671–1685. [Google Scholar]
- Aboul-Einien, M.H.; Kandil, S.M.; Abdou, E.M.; Diab, H.M.; Zaki, M.S. Ascorbic acid derivative-loaded modified aspasomes: Formulation, in vitro, ex vivo and clinical evaluation for melasma treatment. J. Liposome Res. 2020, 30, 54–67. [Google Scholar] [CrossRef]
- Farhadian, A.; Dounighi, N.M.; Avadi, M. Enteric trimethyl chitosan nanoparticles containing hepatitis B surface antigen for oral delivery. Hum. Vaccines Immunother. 2015, 11, 2811–2818. [Google Scholar] [CrossRef]
- El-Zaafarany, G.M.; Soliman, M.E.; Mansour, S.; Awad, G.A. Identifying lipidic emulsomes for improved oxcarbazepine brain targeting: In vitro and rat in vivo studies. Int. J. Pharm. 2016, 503, 127–140. [Google Scholar] [CrossRef] [PubMed]
- Lourenco, C.; Teixeira, M.; Simões, S.; Gaspar, R. Steric stabilization of nanoparticles: Size and surface properties. Int. J. Pharm. 1996, 138, 1–12. [Google Scholar] [CrossRef]
- Santander-Ortega, M.; Jódar-Reyes, A.; Csaba, N.; Bastos-González, D.; Ortega-Vinuesa, J. Colloidal stability of pluronic F68-coated PLGA nanoparticles: A variety of stabilisation mechanisms. J. Colloid Interface Sci. 2006, 302, 522–529. [Google Scholar] [CrossRef]
- Agustinisari, I.; Mulia, K.; Nasikin, M. The effect of eugenol and chitosan concentration on the encapsulation of eugenol using whey protein–maltodextrin conjugates. Appl. Sci. 2020, 10, 3205. [Google Scholar] [CrossRef]
- Alzubaidi, A.F.; El-Helw, A.-R.M.; Ahmed, T.A.; Ahmed, O.A. The use of experimental design in the optimization of risperidone biodegradable nanoparticles: In vitro and in vivo study. Artif. Cells Nanomed. Biotechnol. 2017, 45, 313–320. [Google Scholar] [CrossRef]
- Bozzuto, G.; Molinari, A. Liposomes as nanomedical devices. Int. J. Nanomed. 2015, 10, 975. [Google Scholar] [CrossRef] [Green Version]
- Zaru, M.; Manca, M.-L.; Fadda, A.M.; Antimisiaris, S.G. Chitosan-coated liposomes for delivery to lungs by nebulisation. Colloids Surf. B Biointerfaces 2009, 71, 88–95. [Google Scholar] [CrossRef]
- Van Der Merwe, S.; Bouropoulos, N.; Katsamenis, D.; Lampou, O.; Fatouros, D.G. Preparation and characterization of large unilamellar vesicles mixed with trimethylchitosan (TMC): The effect of polyelectrolyte concentration. Open Biotechnol. J. 2018, 12. [Google Scholar] [CrossRef]
- Dünnhaupt, S.; Barthelmes, J.; Thurner, C.C.; Waldner, C.; Sakloetsakun, D.; Bernkop-Schnürch, A. S-protected thiolated chitosan: Synthesis and in vitro characterization. Carbohydr. Polym. 2012, 90, 765–772. [Google Scholar] [CrossRef] [Green Version]
- Mady, M.M.; Darwish, M.M. Effect of chitosan coating on the characteristics of DPPC liposomes. J. Adv. Res. 2010, 1, 187–191. [Google Scholar] [CrossRef] [Green Version]
- Rizvi, S.A.; Saleh, A.M. Applications of nanoparticle systems in drug delivery technology. Saudi Pharm. J. 2018, 26, 64–70. [Google Scholar] [CrossRef] [PubMed]
- Shen, J.; Sun, M.; Ping, Q.; Ying, Z.; Liu, W. Incorporation of liquid lipid in lipid nanoparticles for ocular drug delivery enhancement. Nanotechnology 2009, 21, 025101. [Google Scholar] [CrossRef] [PubMed]
- Mistry, A.; Stolnik, S.; Illum, L. Nose-to-brain delivery: Investigation of the transport of nanoparticles with different surface characteristics and sizes in excised porcine olfactory epithelium. Mol. Pharm. 2015, 12, 2755–2766. [Google Scholar] [CrossRef] [PubMed]
- Gieszinger, P.; Tomuta, I.; Casian, T.; Bartos, C.; Szabó-Révész, P.; Ambrus, R. Definition and validation of the Design Space for co-milled nasal powder containing nanosized lamotrigine. Drug Dev. Ind. Pharm. 2018, 44, 1622–1630. [Google Scholar] [CrossRef] [Green Version]
- Bunjes, H.; Unruh, T. Characterization of lipid nanoparticles by differential scanning calorimetry, X-ray and neutron scattering. Adv. Drug Deliv. Rev. 2007, 59, 379–402. [Google Scholar] [CrossRef]
- Gadhave, D.; Tupe, S.; Tagalpallewar, A.; Gorain, B.; Choudhury, H.; Kokare, C. Nose-to-brain delivery of amisulpride-loaded lipid-based poloxamer-gellan gum nanoemulgel: In vitro and in vivo pharmacological studies. Int. J. Pharm. 2021, 607, 121050. [Google Scholar] [CrossRef]
- Issa, M.M.; Köping-Höggård, M.; Artursson, P. Chitosan and the mucosal delivery of biotechnology drugs. Drug Discov. Today Technol. 2005, 2, 1–6. [Google Scholar] [CrossRef]
- Gieszinger, P.; Stefania Csaba, N.; Garcia-Fuentes, M.; Prasanna, M.; Gáspár, R.; Sztojkov-Ivanov, A.; Ducza, E.; Márki, Á.; Janáky, T.; Kecskeméti, G.; et al. Preparation and characterization of lamotrigine containing nanocapsules for nasal administration. Eur. J. Pharm. Biopharm. 2020, 153, 177–186. [Google Scholar] [CrossRef]
- Dodane, V.; Khan, M.A.; Merwin, J.R. Effect of chitosan on epithelial permeability and structure. Int. J. Pharm. 1999, 182, 21–32. [Google Scholar] [CrossRef]
- Disdier, C.; Devoy, J.; Cosnefroy, A.; Chalansonnet, M.; Herlin-Boime, N.; Brun, E.; Lund, A.; Mabondzo, A. Tissue biodistribution of intravenously administrated titanium dioxide nanoparticles revealed blood-brain barrier clearance and brain inflammation in rat. Part. Fibre Toxicol. 2015, 12, 1–20. [Google Scholar] [CrossRef] [Green Version]






| Independent Variables | Level of Variables Low(−1)–High (1) |
|---|---|
| X1: PC: CA molar ratio | 1–2 |
| X2: EH: T. lipids molar ratio | 0.25–0.5 |
| X3: TMC Conc. | 0.25% w/v–0.5% w/v |
| Responses | Constraints |
| Y1: Entrapment Efficiency (EE%) | Maximize |
| Y2: Particle size (PS) | Minimize |
| Y3: Zeta potential (ZP) | In-range |
| Y4: Permeability Coefficient (Kp) | Maximize |
| Y5: Residence time (RT) | In-range |
| Runs | Factors (Independent Variables) | Responses (Dependent Variables) | |||||||
|---|---|---|---|---|---|---|---|---|---|
| PC: CA Molar Ratio | EH: T. Lipids Molar Ratio | TMC Conc w/v | Y1:EE (%) | Y2: PS (nm) | Y3:ZP (mV) | Y4: Kp (cm/h) | Y5: RT (s) | DLC (%) | |
| F1 | 1:1 | 0.25: 1 | 0.25 | 41.63 ± 3.62 | 293.86 ± 18.32 | 26.23 ± 3.26 | 3.24 | 123 ± 12 | 5.4 ± 0.6 |
| F2 | 1:1 | 0.25: 1 | 0.50 | 35.42 ± 3.84 | 361.46 ± 22.48 | 28.61 ± 4.52 | 2.92 | 196 ± 16 | 3.6 ± 0.3 |
| F3 | 1:1 | 0.50: 1 | 0.25 | 55.78 ± 2.58 | 325.23 ± 30.57 | 25.48 ± 4.68 | 3.91 | 114 ± 11 | 13.2 ± 1.2 |
| F4 | 1:1 | 0.50: 1 | 0.50 | 46.66 ± 3.12 | 403.24 ± 26.27 | 27.97 ± 3.89 | 3.63 | 208 ± 20 | 8.9 ± 0.9 |
| F5 | 1.5:1 | 0.38: 1 | 0.38 | 73.52 ± 2.51 | 187.12 ± 16.81 | 32.48 ± 4.87 | 5.35 | 195 ± 15 | 11.6 ± 1.5 |
| F6 | 1.5:1 | 0.38: 1 | 0.38 | 74.63 ± 1.96 | 184.52 ± 21.24 | 32.43 ± 2.95 | 4.90 | 203 ± 23 | 11.3 ± 1.6 |
| F7 | 1.5:1 | 0.38: 1 | 0.38 | 78.61 ± 2.37 | 192.24 ± 20.85 | 33.15 ± 3.50 | 5.17 | 176 ± 18 | 11.7 ± 0.9 |
| F8 | 2:1 | 0.25: 1 | 0.25 | 65.52 ± 2.82 | 136.45 ± 14.69 | 32.14 ± 3.72 | 5.42 | 132 ± 16 | 8.1 ± 0.8 |
| F9 | 2:1 | 0.25: 1 | 0.50 | 57.48 ± 3.27 | 167.81 ± 19.27 | 34.56 ± 4.22 | 4.61 | 231 ± 24 | 5.7 ± 0.4 |
| F10 | 2:1 | 0.50: 1 | 0.25 | 79.73 ± 2.96 | 178.42 ± 21.36 | 32.12 ± 3.28 | 5.68 | 120 ± 13 | 17.8 ± 2.1 |
| F11 | 2:1 | 0.50: 1 | 0.50 | 66.49 ± 3.08 | 208.76 ± 18.96 | 33.92 ± 3.66 | 4.16 | 228 ± 19 | 12.3 ± 1.1 |
| Source | PS (nm) | EE% | ZP | Kp | RT | |||||
|---|---|---|---|---|---|---|---|---|---|---|
| F | p-Value | F | p-Value | F | p-Value | F | p-Value | F | p-Value | |
| Model | 733.64 | <0.0001 | 49.48 | 0.0043 | 109.95 | 0.0013 | 19.51 | 0.0168 | 22.93 | 0.0133 |
| A: PC: CA molar ratio | 3809.33 | <0.0001 | 201.52 | 0.0008 | 574.99 | 0.0002 | 82.56 | 0.0028 | 4.56 | 0.1223 |
| B: EH: T. lipids molar ratio | 193.57 | 0.0008 | 59.14 | 0.0046 | 4.04 | 0.1379 | 3.07 | 0.1780 | 0.13 | 0.7385 |
| C: TMC Conc (mg) | 341.54 | 0.0003 | 33.55 | 0.0102 | 79.47 | 0.0030 | 18.62 | 0.0229 | 130.27 | 0.0014 |
| AB3 | 0.4479 | 0.7540 | 0.5257 | 0.1038 | 0.6210 | |||||
| AC | 0.0049 | 0.4160 | 0.5691 | 0.0841 | 0.3094 | |||||
| BC | 0.4640 | 0.2896 | 0.6513 | 0.3965 | 0.4274 | |||||
| Lack of Fit | 0.4117 | 0.7908 | 0.5867 | 0.3623 | 0.7886 | |||||
| Adequate precision | 78.035 | 22.950 | 28.941 | 12.565 | 11.538 | |||||
| R2 | 0.9993 | 0.9900 | 0.9955 | 0.9750 | 0.9787 | |||||
| Adjusted R2 | 0.9980 | 0.9700 | 0.9864 | 0.9250 | 0.9360 | |||||
| Predicted R2 | 0.9861 | 0.9681 | 0.9503 | 0.9662 | 0.8989 | |||||
| SD | 3.97 | 2.23 | 0.36 | 0.24 | 11.59 | |||||
| %CV | 1.65 | 3.64 | 1.17 | 5.39 | 6.62 | |||||
| PS (nm) | EE% | ZP | Kp | RT | |
|---|---|---|---|---|---|
| Intercept | +259.40 | +56.09 | +30.13 | +4.20 | +169.00 |
| A: PC: CA molar ratio | −86.54 | +11.22 | +3.06 | +0.77 | +8.75 |
| B: EH: T. lipids molar ratio | +19.51 | +6.08 | −0.26 | +0.15 | −1.50 |
| C: TMC Conc (mg) | +25.91 | −4.58 | +1.14 | −0.37 | +46.75 |
| A × B | +1.22 | −0.27 | +0.091 | −0.20 | −2.25 |
| A × C | −10.49 | −0.74 | −0.081 | −0.22 | +5.00 |
| B × C | +1.17 | −1.01 | −0.064 | −0.084 | +3.75 |
| EE% | PS (nm) | ZP (mV) | |
|---|---|---|---|
| At zero time | 79.73 ± 2.96 | 178.42 ± 21.36 | 32.12 ± 3.28 |
| After 3 months stored at 25 ± 2 °C and controlled humidity of 75% | 78.85 ± 2.06 | 180.92 ± 19.19 | 32.44 ± 1.88 |
| After 3 months stored at 25 ± 2 °C and controlled humidity of 75% | 78.63 ± 1.96 | 183.12 ± 1.36 | 31.92 ± 2.14 |
| Formula | Cmax (ng/g) | Tmax (min) | AUC(0–8) (ng/g.hr) | DTI | DTE% | DTP% | |||
|---|---|---|---|---|---|---|---|---|---|
| Plasma | Brain | Plasma | Brain | Plasma | Brain | ||||
| EH emulsomes | 143 ± 22 # | 271 ± 56 *# | 60 | 30 # | 588 ± 103 *# | 582 ± 112 *# | 4.1 ± 0.35 # | 407.6 ± 35.7 # | 75.5 ± 4.8 # |
| i.n EH solution | 55 ± 17 | 85 ± 18 * | 60 | 60 | 243 ± 56 * | 90 ± 23 * | 1.5 ± 0.22 | 152.4 ± 22.4 | 34.4 ± 1.6 |
| i.v. EH solution | - | 189 ± 38 | - | 30 | 950 ± 89 | 231 ± 41 | - | - | - |
Publisher’s Note: MDPI stays neutral with regard to jurisdictional claims in published maps and institutional affiliations. |
© 2022 by the authors. Licensee MDPI, Basel, Switzerland. This article is an open access article distributed under the terms and conditions of the Creative Commons Attribution (CC BY) license (https://creativecommons.org/licenses/by/4.0/).
Share and Cite
Abo El-Enin, H.A.; Mostafa, R.E.; Ahmed, M.F.; Naguib, I.A.; A. Abdelgawad, M.; Ghoneim, M.M.; Abdou, E.M. Assessment of Nasal-Brain-Targeting Efficiency of New Developed Mucoadhesive Emulsomes Encapsulating an Anti-Migraine Drug for Effective Treatment of One of the Major Psychiatric Disorders Symptoms. Pharmaceutics 2022, 14, 410. https://doi.org/10.3390/pharmaceutics14020410
Abo El-Enin HA, Mostafa RE, Ahmed MF, Naguib IA, A. Abdelgawad M, Ghoneim MM, Abdou EM. Assessment of Nasal-Brain-Targeting Efficiency of New Developed Mucoadhesive Emulsomes Encapsulating an Anti-Migraine Drug for Effective Treatment of One of the Major Psychiatric Disorders Symptoms. Pharmaceutics. 2022; 14(2):410. https://doi.org/10.3390/pharmaceutics14020410
Chicago/Turabian StyleAbo El-Enin, Hadel A., Rasha E. Mostafa, Marwa F. Ahmed, Ibrahim A. Naguib, Mohamed A. Abdelgawad, Mohammed M. Ghoneim, and Ebtsam M. Abdou. 2022. "Assessment of Nasal-Brain-Targeting Efficiency of New Developed Mucoadhesive Emulsomes Encapsulating an Anti-Migraine Drug for Effective Treatment of One of the Major Psychiatric Disorders Symptoms" Pharmaceutics 14, no. 2: 410. https://doi.org/10.3390/pharmaceutics14020410
APA StyleAbo El-Enin, H. A., Mostafa, R. E., Ahmed, M. F., Naguib, I. A., A. Abdelgawad, M., Ghoneim, M. M., & Abdou, E. M. (2022). Assessment of Nasal-Brain-Targeting Efficiency of New Developed Mucoadhesive Emulsomes Encapsulating an Anti-Migraine Drug for Effective Treatment of One of the Major Psychiatric Disorders Symptoms. Pharmaceutics, 14(2), 410. https://doi.org/10.3390/pharmaceutics14020410

