Toltrazuril-Loaded Polymeric Nanocapsules as a Promising Approach for the Preventive Control of Coccidiosis in Poultry
Abstract
1. Introduction
2. Materials and Methods
2.1. Chemicals
2.2. Preparation of the Toltrazuril-Loaded Nanocapsules and Lipid-Core Nanocapsules
2.3. Physicochemical Characterization
2.4. Evaluation of the Presence of Nanocrystals
2.5. Evaluation of the Stability of the Formulations Exposed to Simulated Gastrointestinal Fluid
2.6. Cell Viability Assays
2.7. Birds, Coccidial Infection, and Sampling
2.8. Oocyst Counting (EPG) and Lesion Score
2.9. DNA Extraction
2.10. Identification of Eimeria spp. Using qPCR
2.11. Intestinal Morphological Analysis
2.12. Mucosal Sample Analysis
2.13. Statistical Analysis
3. Results and Discussion
3.1. Physicochemical Characterization
3.2. Presence of Nanocrystals
3.3. Stability of the Formulations Exposed to Simulated Gastrointestinal Fluid
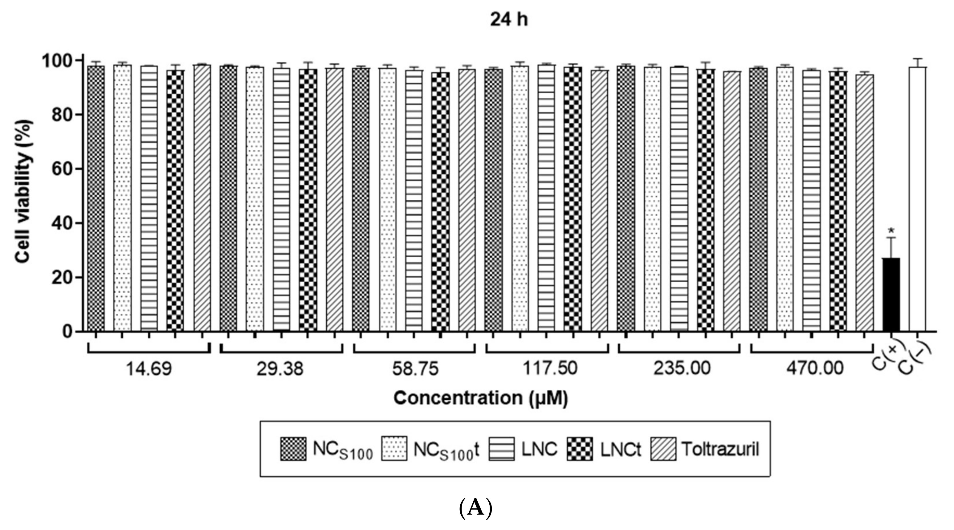
3.4. Cytotoxicity Assay
3.5. Dilution of LNCt in Water Prior to the Treatment of the Birds
3.6. OPG Analysis and Eimeria Identification Using qPCR
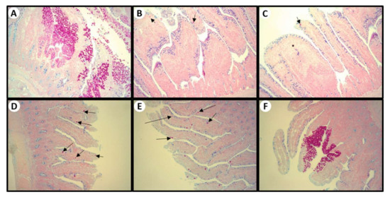
3.7. Pathological and Histological Lesions Due to Coccidiosis
3.8. Histomorphometric Measurements of the Small Intestine
3.9. Mucosal Sample Analysis
4. Conclusions
Supplementary Materials
Author Contributions
Funding
Institutional Review Board Statement
Informed Consent Statement
Data Availability Statement
Acknowledgments
Conflicts of Interest
References
- Fatoba, A.J.; Adeleke, M.A. Diagnosis and control of Chicken coccidiosis: A recent update. J. Parasit. Dis. 2018, 42, 483–493. [Google Scholar] [CrossRef]
- Gazoni, F.L. Prevalência de coccidiose e correlação com a saúde intestinal de frangos de corte em agroindústrias brasileiras entre os anos de 2012 a 2014. Master’s Thesis, Veterinary Medicine Postgraduate Program Course, Universidade Federal de Santa Maria, Santa Maria, Brazil, 2015. [Google Scholar]
- Mund, M.D.; Khan, U.H.; Tahir, U.; Mustafa, B.E.; Fayyaz, A. Antimicrobial drug residues in poultry products and implications on public health: A review. Int. J. Food Prop. 2016, 20, 1433–1446. [Google Scholar] [CrossRef]
- El-Sayed, A.; Kamel, M. Advanced applications of nanotechnology in veterinary medicine. Environ. Sci. Pollut. Res. 2018, 27, 19073–19086. [Google Scholar] [CrossRef]
- Sandri, S.; Hebeda, C.B.; Loiola, R.A.; Calgaroto, S.; Uchiyama, M.K.; Araki, K.; Frank, L.A.; Paese, K.; Guterres, S.S.; Pohlmann, A.R.; et al. Direct effects of poly(ε-caprolactone) lipid-core nanocapsules on human immunecells. Nanomed. J. 2019, 14, 1429–1442. [Google Scholar] [CrossRef]
- Dkhil, M.; Al-Quraishy, S.; Wahab, R. Anticoccidial and antioxidant activities of zinc oxide nanoparticles on Eimeria papillata-induced infection in the jejunum. Int. J. Nanomed. 2015, 10, 1961–1968. [Google Scholar] [CrossRef]
- Chauke, N.; Siebrits, F. Evaluation of silver nanoparticles as a possible coccidiostat in broiler production. S. Afr. J. Anim. Sci. 2012, 42, 493–497. [Google Scholar] [CrossRef]
- Pohlmann, A.R.; Fonseca, F.N.; Paese, K.; Detoni, C.B.; Coradini, K.; Beck, R.C.; Guterres, S. Poly(ϵ-caprolactone) microcapsules and nanocapsules in drug delivery. Expert Opin. Drug Deliv. 2013, 10, 623–638. [Google Scholar] [CrossRef]
- Fessi, H.; Puisieux, F.; Devissaguet, J.P.; Ammoury, N.; Benita, S. Nanocapsule formation by interfacial Polymer deposition following solvente displacement. Int. J. Pharm. 1989, 55, 1–4. [Google Scholar] [CrossRef]
- Silva, M.S. Desenvolvimento e validação de um método indicativo da estabilidade por cromatografia líquida de alta eficiência para determinação simultânea de diferentes antiparasitários em suas formulações farmacêuticas veterinárias. Master’s Thesis, Centro de Ciências Exatas, Universidade Federal do Espírito Santo, Espírito Santo, Brazil, 2015. [Google Scholar]
- Boisen, S.; Fernández, J.A. Prediction of the total tract digestibility of energy in feedstuffs and pig diets by in vitro analyses. Anim. Feed Sci. Technol. 1997, 68, 277–286. [Google Scholar] [CrossRef]
- Zhang, Q.; Chen, X.; Eicher, S.D.; Ajuwon, K.M.; Applegate, T.J. Effect of threonine deficiency on intestinal integrity and immune response to feed withdrawal combined with coccidial vaccine challenge in broiler chicks. Br. J. Nutr. 2016, 116, 2030–2043. [Google Scholar] [CrossRef]
- Johnson, J.; Reid, W.M. Anticoccidial drugs: Lesion scoring techniques in battery and floor open experiments with chickens. Exp. Parasitol. 1970, 28, 30–36. [Google Scholar] [CrossRef]
- Conway, D.P.; McKenzie, M.E.; Dayton, A.D. Relationship of coccidial lesion scores and weight gain in infections of Eimeria acervulina, E. maxima and E. tenella in broilers. Avian Pathol. 1990, 19, 489–496. [Google Scholar] [CrossRef] [PubMed]
- Vrba, V.; Blake, D.P.; Poplstein, M. Quantitative real-time PCR assays for detection and quantification of all seven Eimeria species that infect the chicken. Vet. Parasitol. 2010, 174, 183–190. [Google Scholar] [CrossRef] [PubMed]
- Blake, D.P.; Hesketh, P.; Archer, A.; Shirley, M.W.; Smith, A.L. Eimeria maxima: The influence of host genotype on parasite reproduction as revealed by quantitative real-time PCR. Int. J. Parasitol. 2006, 36, 97–105. [Google Scholar] [CrossRef]
- Bianchin, M.D.; Külkamp-Guerreiro, I.C.; de Oliveira, C.P.; Contri, R.V.; Guterres, S.S.; Pohlmann, A.R. Radar charts based on particle sizing as an approach to establish the fingerprints of polymeric nanoparticles in aqueous formulations. J. Drug Deliv. Sci. Technol. 2015, 30, 180–189. [Google Scholar] [CrossRef]
- Venturini, C.G.; Jäger, E.; Oliveira, C.P.; Bernardi, A.; Battastini, A.M.; Guterres, S.; Pohlmann, A.R. Formulation of lipid core nanocapsules. Colloids Surf. A Physicochem. Eng. Asp. 2011, 375, 200–208. [Google Scholar] [CrossRef]
- Friedrich, R.B.; Dimer, F.A.; Guterres, S.; Beck, R.C.R.; Pohlmann, A.R. Nanoencapsulation of Tacrolimus in Lipid-Core Nanocapsules Showed Similar Immunosuppressive Activity after Oral and Intraperitoneal Administrations. J. Biomed. Nanotechnol. 2014, 10, 1599–1609. [Google Scholar] [CrossRef] [PubMed]
- Beck, R.; Fontana, M.; Beckenkamp, A.; Buffon, A. Controlled release of raloxifene by nanoencapsulation: Effect on in vitro antiproliferative activity of human breast cancer cells. Int. J. Nanomed. J. 2014, 9, 2979–2991. [Google Scholar] [CrossRef]
- Antonow, M.B.; Asbahr AC, C.; Raddatz, P.; Beckenkamp, A.; Buffon, A.; Guterres, S.S.; Pohlmann, A.R. Liquid formulation containing doxorubicin-loaded lipid-core nanocapsules: Cytotoxicity in human breast cancer cell line and in vitro uptakemechanism. Mater. Sci. Eng. 2017, 76, 374–382. [Google Scholar] [CrossRef]
- Chaves, P.D.S.; Frank, L.A.; Frank, A.G.; Pohlmann, A.R.; Guterres, S.; Beck, R.C.R. Mucoadhesive Properties of Eudragit®RS100, Eudragit®S100, and Poly(ε-caprolactone) Nanocapsules: Influence of the vehicle and the mucosal surface. AAPS Pharmscitech. 2018, 19, 1637–1646. [Google Scholar] [CrossRef] [PubMed]
- Oliveira, C.P.; Venturini, C.G.; Donida, B.; Poletto, F.S.; Guterres, S.S.; Pohlmann, A.R. An algorithm to determine the mechanism of drug distribution in lipid-core nanocapsule formulations. Soft Matter 2013, 9, 1141–1150. [Google Scholar] [CrossRef]
- Jornada, D.S.; Fiel, L.A.; Bueno, K.; Gerent, J.F.; Petzhold, C.L.; Beck, R.C.R.; Guterres, S.S.; Pohlmann, A.R. Lipid-core nanocapsules: Mechanism of self-assembly, control of size and loading capacity. Soft Matter 2012, 8, 6646–6655. [Google Scholar] [CrossRef]
- Bruinsmann, F.A.; Buss, J.H.; Souto, G.D.; Schultze, E.; Alves, A.D.C.S.; Seixas, F.K.; Collares, T.; Pohlmann, A.R.; Guterres, S.S. Erlotinib-Loaded Poly(ε-Caprolactone) Nanocapsules improve in vitro cytotoxicity and anticlonogenic effects on human A549 lung cancer cells. AAPS Pharmscitech. 2020, 21, 229. [Google Scholar] [CrossRef]
- Gazzi, R.P.; Frank, L.A.; Onzi, G.; Pohlmann, A.R.; Guterres, S.S. New pectin-based hydrogel containing imiquimod-loaded polymeric nanocapsules for melanoma treatment. Drug Deliv. Transl. Res. 2020, 10, 1829–1840. [Google Scholar] [CrossRef]
- Zanotto-Filho, A.; Coradini, K.; Braganhol, E.; Schröder, R.; De Oliveira, C.M.; Simões-Pires, A.; Battastini, A.M.O.; Pohlmann, A.R.; Guterres, S.S.; Forcelini, C.M.; et al. Curcumin-loaded lipid-core nanocapsules as a strategy to improve pharmacological efficacy of curcumin in glioma treatment. Eur. J. Pharm. Biopharm. 2013, 83, 156–167. [Google Scholar] [CrossRef]
- Genari, B.; Leitune, V.C.B.; Jornada, D.S.; Camassola, M.; Pohlmann, A.R.; Guterres, S.; Samuel, S.M.W.; Collares, F.M. Effect of indomethacin-loaded nanocapsules incorporation in a dentin adhesive resin. Clin. Oral Investig. 2016, 21, 437–446. [Google Scholar] [CrossRef] [PubMed]
- Ramzy, L.; Metwally, A.A.; Nasr, M.; Awad, G.A.S. Novel thymoquinone lipidic core nanocapsules with anisamide-polymethacrylate shell for colon cancer cells overexpressing sigma receptors. Sci. Rep. 2020, 10, 1–15. [Google Scholar] [CrossRef] [PubMed]
- Ruangpanit, Y.; Matsushita, K.; Mukai, K.; Kikusato, M. Effect of trehalose supplementation on growth performance and intestinal morphology in broiler chickens. Vet. Anim. Sci. 2020, 10, 100–142. [Google Scholar] [CrossRef] [PubMed]
- Ruangpanit, Y.; Matsushita, K.; Mukai, K.; Kikusato, M. Changes with age in density of goblet cells in the small intestine of broiler chicks. Poult. Sci. J. 2020, 99, 2342–2348. [Google Scholar]
- Taylor, M.A.; Catchpole, J. Review article: Coccidiosis of domestic ruminants. Appl. Parasitol. 1994, 35, 73–86. [Google Scholar]
- Girard, F.; Fort, G.; Yvoré, P.; Quéré, P. Kinetics of specific immunoglobulin A, M and G production in the duodenal and caecal mucosa of chickens infected with Eimeria acervulina or Eimeria tenella. Int. J. Parasitol. 1997, 27, 803–809. [Google Scholar] [CrossRef]
- Trees, A.; Crozier, S.; McKellar, S.; Wachira, T. Class-specific circulating antibodies in infections with Eimeria tenella. Vet. Parasitol. 1995, 18, 349–357. [Google Scholar] [CrossRef]
- Lillehoj, H.S.; Trout, J.M. Avian gut-associated lymphoid tissues and intestinal serum responses to Eimeria parasites. Clin. Microbiol. Rev. 1996, 9, 349–360. [Google Scholar] [CrossRef] [PubMed]
- Onaga, H.; Saeki, H.; Hoshi, S.; Ueda, S. Na enzyme-linked immunosorbent assay for serodiagnosis of coccidiosis in chickens: Use of a single serum dilution. Avian Dis. 1986, 30, 658–661. [Google Scholar] [CrossRef] [PubMed]
- Gilbert, J.M.; Bhanushali, J.K.; McDougald, L.R. Na enzyme-linked immunosorbent assay for coccidiosis in chickens: Correlation of antibody levels with prior exposure to coccidia in the laboratory and in the field. Avian Dis. 1988, 32, 688–694. [Google Scholar] [CrossRef]
- Santana, R.C.; Zafalon, L.F.; Brandão, H.D.M.; Junior, G.A.; Pilon, L.E.; Giglioti, R.; Mosqueira, V.C.F.; Junior, W.B. Uso de antimicrobiano nanoparticulado para o tratamento da mastite subclínica de ovelhas de corte no período seco. Pesq. Vet. Bras. 2016, 9, 826–830. [Google Scholar] [CrossRef][Green Version]









| Score | Small Intestine | Cecum |
|---|---|---|
| 0 | No mucosal forms of Eimeria | No mucosal forms of Eimeria |
| 1 | Rare or few forms of Eimeria in the mucosa | Few forms of Eimeria in the mucosa |
| 2 | Moderate amount of mucosal Eimeria forms in at least one of the fragments | Few foci with abundant forms of Eimeria in the mucosa |
| 3 | Large number of Eimeria forms in one of the fragments, associated with mucosal injury | Several foci with abundant forms of Eimeria in the mucosa |
| 4 | Large number of Eimeria forms in at least two of the fragments, associated with mucosal injury | Many foci with abundant forms of Eimeria in the mucosa |
| LNC | NCS100 | LNCt | NCS100t | |
|---|---|---|---|---|
| d[4,3] (nm) | 173 ± 8 | 158 ± 4 | 190 ± 6 | 157 ± 2 |
| Span | 1.34 ± 0.27 | 1.40 ± 0.01 | 1.52 ± 0.04 | 1.41 ± 0.01 |
| z-average (nm) | 193 ± 5 | 164 ± 1 | 191 ± 6 | 166 ± 4 |
| PDI | 0.11 ± 0.02 | 0.12 ± 0.02 | 0.11 ± 0.02 | 0.10 ± 0.00 |
| pH | 5.08 ± 0.21 | 4.15 ± 0.21 | 5.14 ± 0.21 | 4.08 ± 0.37 |
| Zeta potential (mV) | −8.93 ± 0.57 | −12.73 ± 1.57 | −7.72 ± 0.41 | −11.53 ± 0.50 |
| Content (%) | n.d. | n.d. | 100.26 ± 1.13 | 98.86±2.12 |
| Encapsulation efficiency (%) | n.d. | n.d. | 93.25 | 92.68 |
| Group | Strain | ||
|---|---|---|---|
| E. acervulina | E. maxima | E. tenella | |
| G1 | 0 b | 0 b | 0 |
| G2 | 3.70 ± 0.15 a | 3.60 ± 0.22 a | 0.7 ± 0.21 |
| G3 | 0 b | 0 b | 0 |
| G4 | 0 b | 0.10 ± 0.10 b | 0 |
| G5 | 0 b | 0.10 ± 0.10 b | 0 |
| G6 | 0.10 ± 0.10 b | 0.40 ± 0.16 b | 0.50 ± 0.22 |
| G7 | 3.20 ± 0.20 a | 3.30 ± 0.15 a | 1.40 ± 0.22 a |
| Segment | Group | Goblet Cells (cells/mm2) | Mucosal Thickness (mm) | Villus Thickness (mm) | VH:CD Ratio |
|---|---|---|---|---|---|
| Duodenum | G1 | 123.50 ± 26.81 b | 36.11 ± 4.10 | 121.30 ± 30.12 b | 5.81 ± 0.80 b |
| G2 | 63.25 ± 17.04 a | 37.64 ± 5.43 | 213.40 ± 40.71 a | 2.80 ± 0.46 a | |
| G3 | 109.70 ± 17.00 b | 45.53 ± 12.36 | 164.60 ± 40.87 b | 4.63 ± 0.69 a, b | |
| G4 | 122.60 ± 24.29 b | 46.41 ± 16.76 | 175.60 ± 39.80 a | 4.92 ± 0.87 a, b | |
| G5 | 119.10 ± 16.99 b | 44.96 ± 8.44 | 186.40 ± 29.45 a | 4.73 ± 0.71 a, b | |
| G6 | 93.19 ± 27.52 a, b | 41.01 ± 6.32 | 177.10 ± 40.58 a | 3.57 ± 0.72 a | |
| G7 | 69.34 ± 29.57 a | 45.75 ± 5.48 | 183.90 ± 40.08 a | 1.36 ± 0.30 a, b | |
| Goblet cells (cells/mm2) | Mucosal thickness (mm) | Villus thickness (mm) | VH:CD ratio | ||
| Jejunum | G1 | 131.50 ± 24.63 b | 34.40 ± 3.81 | 108.00 ± 11.58 b | 5.83 ± 0.79 b |
| G2 | 70.26 ± 33.67 a | 36.14 ± 3.18 | 177.10 ± 24.11 a | 2.68 ± 0.67 a | |
| G3 | 104.60 ± 26.71 | 40.18 ± 5.50 | 140.50 ± 35.57 | 3.53 ± 0.73 a | |
| G4 | 107.00 ± 27.22 b | 37.35 ± 4.26 | 161.10 ± 31.48 a | 3.76 ± 0.84 a, b | |
| G5 | 90.50 ± 35.80 a | 38.97 ± 6.27 | 145.30 ± 36.70 | 3.61 ± 0.79 a, b | |
| G6 | 72.67 ± 23.94 a | 36.13 ± 4.78 | 153.80 ± 39.92 a | 2.80 ± 0.58 a | |
| G7 | 84.58 ± 37.38 a | 40.35 ± 5.78 | 156.20 ± 32.19 a | 3.00 ± 0.98 a | |
| Goblet cells (cells/mm2) | Mucosal thickness (mm) | Villus thickness (mm) | VH:CD ratio | ||
| Ileum | G1 | 121.70 ± 15.47 b | 35.08 ± 7.16 | 99.98 ± 18.46 b | 5.52 ± 0.79 b |
| G2 | 69.97 ± 27.02 a | 35.71 ± 3.33 | 149.40 ± 24.50 a | 2.92 ± 0.73 a | |
| G3 | 101.00 ± 33.07 | 41.01 ± 5.85 | 135.10 ± 26.31 | 3.45 ± 1.08 a | |
| G4 | 96.56 ± 39.99 | 38.18 ± 4.11 | 140.80 ± 19.05 a | 3.20 ± 1.06 a | |
| G5 | 59.07 ± 27.51 a | 38.94 ± 4.27 | 144.70 ± 50.61 a | 2.69 ± 0.93 a | |
| G6 | 57.47 ± 18.07 a | 37.35 ± 4.05 | 139.30 ± 33.81 a | 2.43 ± 0.52 a | |
| G7 | 71.19 ± 25.09 a | 39.04 ± 1.72 | 163.40 ± 36.37 a | 2.86 ± 0.59 a |
| Group | IgA (ng/mg protein) | IgM (ng/mg protein) |
|---|---|---|
| G1 | 789.7 ± 198.3 b | 987 ± 470.9 b |
| G2 | 1268 ± 216.7 a | 2141 ± 340.9 a |
| G3 | 1210 ± 515.6 a | 1520 ± 559.7 a, b |
| G4 | 968 ± 478.3 | 826.1 ± 194.5 b |
| G5 | 1034 ± 270.8 | 1048 ± 331 b |
| G6 | 1102 ± 282.5 | 1150 ± 486.9 b |
| G7 | 1075 ± 205.9 | 2059 ± 548.7 a |
Publisher’s Note: MDPI stays neutral with regard to jurisdictional claims in published maps and institutional affiliations. |
© 2022 by the authors. Licensee MDPI, Basel, Switzerland. This article is an open access article distributed under the terms and conditions of the Creative Commons Attribution (CC BY) license (https://creativecommons.org/licenses/by/4.0/).
Share and Cite
Baron, L.F.; Fonseca, F.N.d.; Maciag, S.S.; Bellaver, F.A.V.; Ibeli, A.M.G.; Mores, M.A.Z.; Almeida, G.F.d.; Guterres, S.S.; Bastos, A.P.A.; Paese, K. Toltrazuril-Loaded Polymeric Nanocapsules as a Promising Approach for the Preventive Control of Coccidiosis in Poultry. Pharmaceutics 2022, 14, 392. https://doi.org/10.3390/pharmaceutics14020392
Baron LF, Fonseca FNd, Maciag SS, Bellaver FAV, Ibeli AMG, Mores MAZ, Almeida GFd, Guterres SS, Bastos APA, Paese K. Toltrazuril-Loaded Polymeric Nanocapsules as a Promising Approach for the Preventive Control of Coccidiosis in Poultry. Pharmaceutics. 2022; 14(2):392. https://doi.org/10.3390/pharmaceutics14020392
Chicago/Turabian StyleBaron, Lana Flávia, Francisco Noé da Fonseca, Shaiana Salete Maciag, Franciana Aparecida Volpato Bellaver, Adriana Mércia Guaratini Ibeli, Marcos Antônio Zanella Mores, Gabryelle Furtado de Almeida, Silvia Stanisçuaski Guterres, Ana Paula Almeida Bastos, and Karina Paese. 2022. "Toltrazuril-Loaded Polymeric Nanocapsules as a Promising Approach for the Preventive Control of Coccidiosis in Poultry" Pharmaceutics 14, no. 2: 392. https://doi.org/10.3390/pharmaceutics14020392
APA StyleBaron, L. F., Fonseca, F. N. d., Maciag, S. S., Bellaver, F. A. V., Ibeli, A. M. G., Mores, M. A. Z., Almeida, G. F. d., Guterres, S. S., Bastos, A. P. A., & Paese, K. (2022). Toltrazuril-Loaded Polymeric Nanocapsules as a Promising Approach for the Preventive Control of Coccidiosis in Poultry. Pharmaceutics, 14(2), 392. https://doi.org/10.3390/pharmaceutics14020392

