In Vivo Evaluation of a Gastro-Resistant HPMC-Based “Next Generation Enteric” Capsule
Abstract
1. Introduction
2. Materials and Methods
2.1. Study Materials
2.2. Study Participants
2.3. Experimental Design
2.4. Salivary Sample Preparation and Evaluation of Caffeine Pharmacokinetics
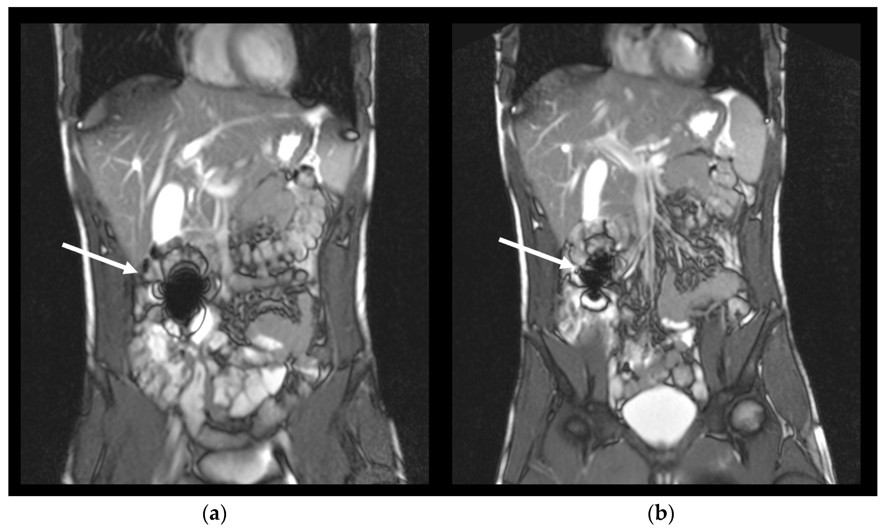
2.5. Magnetic Resonance Imaging Sequences
2.6. Image Analysis
2.7. Capsule Evaluation Criteria
2.8. Statistical Analysis
3. Results and Discussion
4. Conclusions
Author Contributions
Funding
Institutional Review Board Statement
Informed Consent Statement
Data Availability Statement
Acknowledgments
Conflicts of Interest
References
- Wang, J.; Yadav, V.; Smart, A.L.; Tajiri, S.; Basit, A.W. Toward Oral Delivery of Biopharmaceuticals: An Assessment of the Gastrointestinal Stability of 17 Peptide Drugs. Mol. Pharm. 2015, 12, 966–973. [Google Scholar] [CrossRef]
- Vinarov, Z.; Abrahamsson, B.; Artursson, P.; Batchelor, H.; Berben, P.; Bernkop-Schnürch, A.; Butler, J.; Ceulemans, J.; Davies, N.; Dupont, D.; et al. Current Challenges and Future Perspectives in Oral Absorption Research: An Opinion of the UNGAP Network. Adv. Drug Deliv. Rev. 2021, 171, 289–331. [Google Scholar] [CrossRef] [PubMed]
- O’Driscoll, C.M.; Bernkop-Schnürch, A.; Friedl, J.D.; Préat, V.; Jannin, V. Oral Delivery of Non-Viral Nucleic Acid-Based Therapeutics—Do We Have the Guts for This? Eur. J. Pharm. Sci. 2019, 133, 190–204. [Google Scholar] [CrossRef] [PubMed]
- Fu, M.; Al-gousous, J.; Blechar, J.A.; Langguth, P. Enteric Hard Capsules for Targeting the Small Intestine: Positive Correlation between in Vitro Disintegration and Dissolution Times. Pharmaceutics 2020, 12, 123. [Google Scholar] [CrossRef] [PubMed]
- Rump, A.; Weiss, F.N.; Schulz, L.; Kromrey, M.L.; Scheuch, E.; Tzvetkov, M.V.; White, T.; Durkee, S.; Judge, K.W.; Jannin, V.; et al. The Effect of Capsule-in-Capsule Combinations on in Vivo Dis-Integration in Human Volunteers: A Combined Imaging and Salivary Tracer Study. Pharmaceutics 2021, 13, 2002. [Google Scholar] [CrossRef] [PubMed]
- Sulaiman, S.; Gershkovich, P.; Hoad, C.L.; Calladine, M.; Spiller, R.C.; Stolnik, S.; Marciani, L. Application of In Vivo MRI Imaging to Track a Coated Capsule and Its Disintegration in the Gastrointestinal Tract in Human Volunteers. Pharmaceutics 2022, 14, 270. [Google Scholar] [CrossRef] [PubMed]
- Newton, R.; Broughton, L.J.; Lind, M.J.; Morrison, P.J.; Rogers, H.J.; Bradbrook, I.D. Plasma and Salivary Pharmacokinetics of Caffeine in Man. Eur. J. Clin. Pharmacol. 1981, 21, 45–52. [Google Scholar] [CrossRef] [PubMed]
- Sager, M.; Grimm, M.; Jedamzik, P.; Merdivan, S.; Kromrey, M.L.; Hasan, M.; Koziolek, M.; Tzvetkov, M.V.; Weitschies, W. Combined Application of MRI and the Salivary Tracer Technique to Determine the in Vivo Disintegration Time of Immediate Release Formulation Administered to Healthy, Fasted Subjects. Mol. Pharm. 2019, 16, 1782–1786. [Google Scholar] [CrossRef] [PubMed]
- Sager, M.; Schick, P.; Mischek, M.; Schulze, C.; Hasan, M.; Kromrey, M.L.; Benameur, H.; Wendler, M.; Tzvetkov, M.V.; Weitschies, W.; et al. Comparison of in Vitro and in Vivo Results Using the Gastroduo and the Salivary Tracer Technique: Immediate Release Dosage Forms under Fasting Conditions. Pharmaceutics 2019, 11, 659. [Google Scholar] [CrossRef] [PubMed]
- Takahashi, T. Interdigestive Migrating Motor Complex -Its Mechanism and Clinical Importance. J. Smooth Muscle Res. 2013, 49, 99–111. [Google Scholar] [CrossRef] [PubMed]
- Schneider, F.; Grimm, M.; Koziolek, M.; Modeß, C.; Dokter, A.; Roustom, T.; Siegmund, W.; Weitschies, W. Resolving the Physiological Conditions in Bioavailability and Bioequivalence Studies: Comparison of Fasted and Fed State. Eur. J. Pharm. Biopharm. 2016, 108, 214–219. [Google Scholar] [CrossRef] [PubMed]
- Mojaverian, P.; Reynolds, J.C.; Ouyang, A.; Wirth, F.; Kellner, P.E.; Vlasses, P.H. Mechanism of Gastric Emptying of a Nondisintegrating Radiotelemetry Capsule in Man. Pharm. Res. An Off. J. Am. Assoc. Pharm. Sci. 1991, 8, 97–100. [Google Scholar]





| Ingredient | Producer/Distributor |
|---|---|
| NGE size 0 | Lonza, France |
| Black iron oxide E172 | Caesar & Loretz GmbH, Hilden, Germany |
| 13C3-labeled caffeine | SIGMA-ALDRICH CHEMIE GmbH, Schnelldorf, Germany |
| Croscarmellose, Ph.Eur. | JRS Pharma GmbH & Co. KG, Rosenberg, Germany |
| Mannitol, Ph.Eur. | Fagron GmbH & Co. KG, Barsbüttel, Germany |
| Silicon dioxide, Ph.Eur. | Fagron GmbH & Co. KG, Barsbüttel, Germany |
| Parameter | Coronary Sequence Settings | Transversal Sequence Settings |
|---|---|---|
| Repetition time | 3.4 ms | 3.24 ms |
| Echo time | 1.43 ms | 1.37 ms |
| Slice thickness | 5.0 mm | 5.0 mm |
| Interslice gap | 0.0 mm | 0.5 mm |
| Voxel size | 3.11 mm3 | 3.28 mm3 |
| Flip angle | 63° | 63° |
| Disintegration Site | GRT (min) | DTMRI (min) | DTCAF (min) | ITT_DMRI (min) | ITT_DCAF (min) | |
|---|---|---|---|---|---|---|
| Subject 1 | Ileum | 7.5 | 52.5 | 52.5 | 45 | 45 |
| Subject 2 | Ileum | 22.5 | 82.5 | 82.5 | 60 | 60 |
| Subject 3 | Ileum | 82.5 | 127.5 | 127.5 | 45 | 45 |
| Subject 4 | Jejunum | 82.5 | 97.5 | 82.5 | 15 | 0 |
| Subject 5 | Cecum | 22.5 | 142.5 | 37.5 | 120 | 15 |
| Subject 6 | Jejunum | 67.5 | 112.5 | 112.5 | 45 | 45 |
| Subject 7 | Jejunum | 7.5 | 52.5 | 52.5 | 45 | 45 |
| Subject 8 | Ileum | 52.5 | 112.5 | 82.5 | 60 | 30 |
| Mean | -//- | 43 | 98 | 79 | 54 | 36 |
| SD | -//- | 30 | 31 | 29 | 28 | 18 |
Publisher’s Note: MDPI stays neutral with regard to jurisdictional claims in published maps and institutional affiliations. |
© 2022 by the authors. Licensee MDPI, Basel, Switzerland. This article is an open access article distributed under the terms and conditions of the Creative Commons Attribution (CC BY) license (https://creativecommons.org/licenses/by/4.0/).
Share and Cite
Rump, A.; Kromrey, M.-L.; Scheuch, E.; Jannin, V.; Rehenbrock, L.; Tzvetkov, M.V.; Weitschies, W.; Grimm, M. In Vivo Evaluation of a Gastro-Resistant HPMC-Based “Next Generation Enteric” Capsule. Pharmaceutics 2022, 14, 1999. https://doi.org/10.3390/pharmaceutics14101999
Rump A, Kromrey M-L, Scheuch E, Jannin V, Rehenbrock L, Tzvetkov MV, Weitschies W, Grimm M. In Vivo Evaluation of a Gastro-Resistant HPMC-Based “Next Generation Enteric” Capsule. Pharmaceutics. 2022; 14(10):1999. https://doi.org/10.3390/pharmaceutics14101999
Chicago/Turabian StyleRump, Adrian, Marie-Luise Kromrey, Eberhard Scheuch, Vincent Jannin, Lara Rehenbrock, Mladen Vassilev Tzvetkov, Werner Weitschies, and Michael Grimm. 2022. "In Vivo Evaluation of a Gastro-Resistant HPMC-Based “Next Generation Enteric” Capsule" Pharmaceutics 14, no. 10: 1999. https://doi.org/10.3390/pharmaceutics14101999
APA StyleRump, A., Kromrey, M.-L., Scheuch, E., Jannin, V., Rehenbrock, L., Tzvetkov, M. V., Weitschies, W., & Grimm, M. (2022). In Vivo Evaluation of a Gastro-Resistant HPMC-Based “Next Generation Enteric” Capsule. Pharmaceutics, 14(10), 1999. https://doi.org/10.3390/pharmaceutics14101999

