Radioimmunotheranostic Pair Based on the Anti-HER2 Monoclonal Antibody: Influence of Chelating Agents and Radionuclides on Biological Properties
Abstract
1. Introduction
2. Materials and Methods
2.1. Immunoconjugation and Radioimmunoconjugation
2.2. In Vitro Studies
2.2.1. Evaluation of the Stability of the Radioimmunoconjugates in Serum
2.2.2. Cell Culture
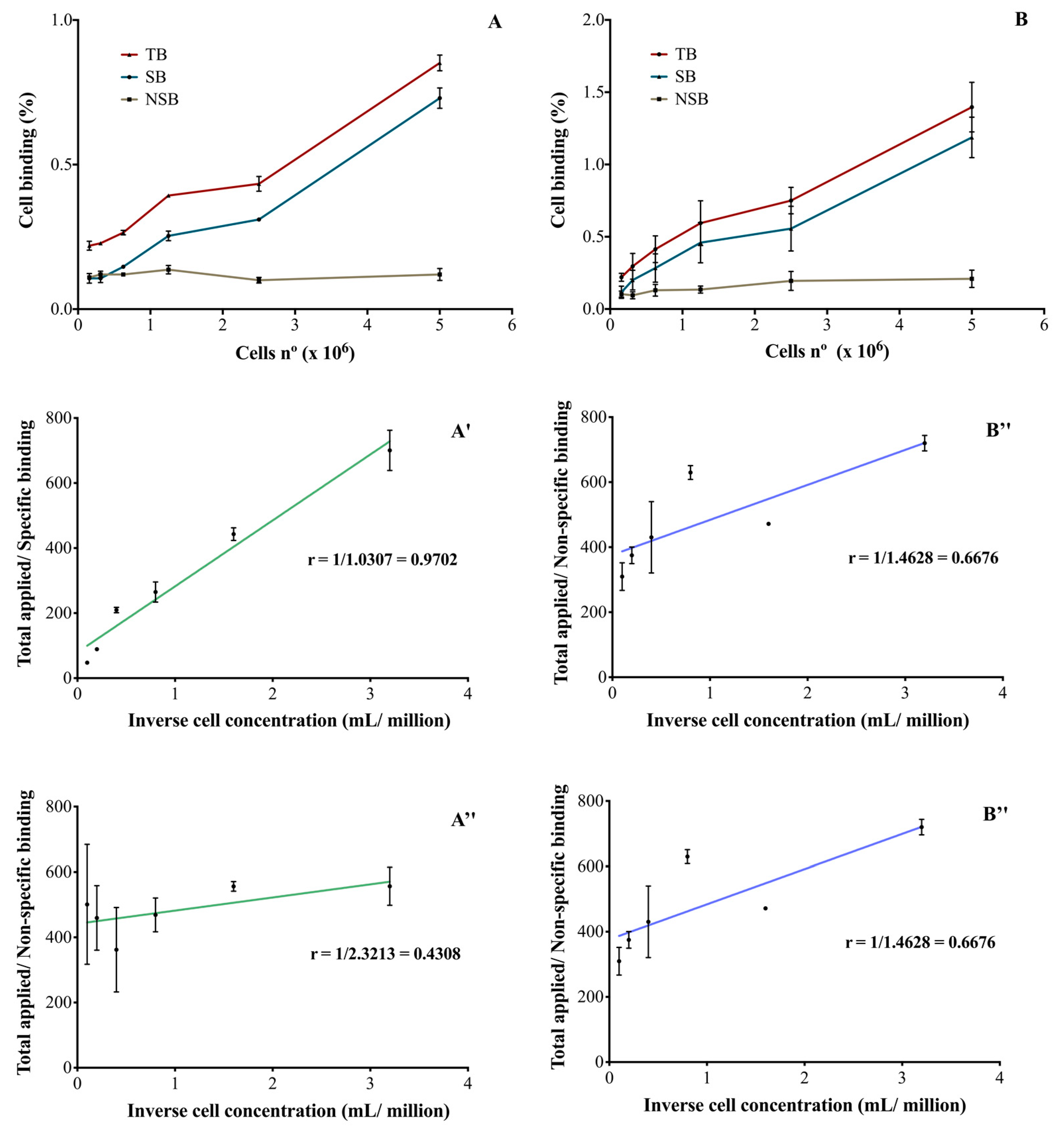
2.2.3. Determination of the Immunoreactive Fraction
2.2.4. Internalization
2.3. In Vivo Studies
2.3.1. Pharmacokinetics
2.3.2. Xenographic Breast Tumor Animal Model
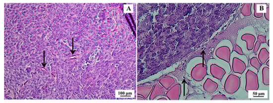
2.3.3. Histopathological Analysis
2.3.4. Ex Vivo Biodistribution Studies
2.3.5. Dosimetric Study
2.4. Statistical Analysis
3. Results
3.1. Immunoconjugation and Radioimmunoconjugation
3.2. In Vitro Studies
3.2.1. Evaluation of the Stability of the Radioimmunoconjugates in Serum
3.2.2. Determination of the Immunoreactive Fraction
3.2.3. Internalization
3.2.4. Pharmacokinetics
3.2.5. Xenographic Breast Tumor Animal Model and Histopathological Analysis
3.3. Ex Vivo Biodistribution Studies
Dosimetric Study
4. Discussion
5. Conclusions
Author Contributions
Funding
Institutional Review Board Statement
Informed Consent Statement
Data Availability Statement
Acknowledgments
Conflicts of Interest
References
- Kalia, M. Personalized oncology: Recent advances and future challenges. Metab. Clin. Exp. 2013, 62, s11–s14. [Google Scholar] [CrossRef]
- Massicano, A.V.F.; Marquez-Nostra, B.V.; Lapi, S.E. Targeting HER2 in Nuclear Medicine for Imaging and Therapy. Mol. Imaging 2018, 17, 1–11. [Google Scholar] [CrossRef] [PubMed]
- Weber, J.; Haberkorn, U.; Mier, W. Cancer Stratification by Molecular Imaging. Int. J. Mol. Sci. 2015, 16, 4918–4946. [Google Scholar] [CrossRef] [PubMed]
- Loibl, S.; Denkert, C.; Minckwitz, G.V. Neoadjuvant treatment of breast cancer—Clinical and research perspective. Breast 2015, 24, s73–s77. [Google Scholar] [CrossRef] [PubMed]
- Slamon, D.J.; Clark, G.M.; Wong, S.G.; Levin, W.J.; Ullrich, A.; McGuire, W.L. Human breast cancer: Correlation of relapse and survival with amplification of the HER-2/neu oncogene. Science 1987, 235, 177–182. [Google Scholar] [CrossRef] [PubMed]
- Wolff, A.C.; Hammond, M.E.H.; Schwartz, J.N.; Hagerty, K.L.; Allred, D.C.; Cote, R.J.; Dowsett, M.; Fitzgibbons, P.L.; Hanna, W.M.; Langer, A.; et al. American Society of Clinical Oncology. College of american pathologists guideline recommendations for human epidermal growth factor receptor 2 testing in breast cancer. J. Clin. Oncol. 2007, 25, 118–145. [Google Scholar] [CrossRef] [PubMed]
- Kraeber-Bodéré, F.; Bodet-Milin, C.; Rousseau, C. Radioimmnunoconjugates for the treatment of cancer. Semin. Oncol. 2014, 1, 613–622. [Google Scholar] [CrossRef]
- Rasaneh, S.; Rajabi, H.; Babaei, M.H.; Daha, F.J.; Salouti, M. Radiolabeling of trastuzumab with 177Lu via DOTA, a new radiopharmaceutical for radioimmunotherapy of breast cancer. Nucl. Med. Biol. 2009, 36, 363–369. [Google Scholar] [CrossRef]
- Orcutt, K.D.; Slusarczyk, A.L.; Cieslewicz, M.; Ruiz-Yi, B.; Bhushan, K.R.; Frangioni, J.V.; Wittrup, K.D. Engineering an antibody with picomolar affinity to DOTA chelates of multiple radionuclides for pretargeted radioimmunotherapy and imaging. Nucl. Med. Biol. 2011, 38, 223–233. [Google Scholar] [CrossRef]
- Hernandez, M.C.; Knox, S.J. Radiobiology of radioimmunotherapy: Targeting CD20 B-cell antigen in non-Hodgkin’s lymphoma. Int. J. Radiat. Oncol. Biol. Phys. 2004, 59, 1274–1287. [Google Scholar] [CrossRef]
- Larson, S.M.; Carrasquillo, J.A.; Cheung, N.K.; Press, O.W. Radioimmunotherapy of human tumours. Nat. Rev. Cancer 2015, 15, 347–360. [Google Scholar] [CrossRef] [PubMed]
- Schjoeth-Eskesen, C.; Nielsen, C.H.; Heissel, S.; Hojrup, P.; Hansen, P.R.; Gillings, N.; Kjaer, A. [64Cu]-labelled trastuzumab: Optimization of labeling by DOTA and NODAGA conjugation and initial evaluation in mice. J. Label. Compd. Radiopharm. 2015, 58, 227–233. [Google Scholar] [CrossRef] [PubMed]
- Glassman, P.M.; Balthasar, J.P. Mechanistic considerations for the use of monoclonal antibodies for cancer therapy. Cancer Biol. Med. 2014, 11, 20–33. [Google Scholar]
- Cho, H.S.; Mason, K.; Ramyar, K.X.; Stanley, A.M.; Gabelli, S.B.; Denney, D.W., Jr.; Leahy, D.J. Structure of the extracellular region of HER2 alone and in complex with the Herceptin Fab. Nature 2003, 421, 756–760. [Google Scholar] [CrossRef]
- Wadas, T.J.; Wong, E.H.; Weisman, G.R.; Aderson, C.J. Coordinating radiometals of cooper, gallium, indium, yttrium and zirconium for PET and SPECT imaging od disease. Chem. Rev. 2010, 110, 2858–2902. [Google Scholar] [CrossRef]
- Liu, S.; Edwards, D.S. Bifunctional chelators for therapeutic lanthanide radiopharmaceuticals. Bioconjug. Chem. 2001, 12, 7–34. [Google Scholar] [CrossRef]
- Liu, S. Bifunctional coupling agents for radiolabeling of biomolecules and target-specific delivery of metallic radionuclides. Adv. Drug Deliv. Rev. 2008, 60, 1347–1370. [Google Scholar] [CrossRef]
- Moi, M.K.; Meares, C.F.; McCall, M.J.; Cole, W.C.; Denardo, S.J. Copper chelates as probes of biological systems: Stable copper complexes with macrocyclic bifunctional chelating agent. Anal. Chem. 1985, 148, 249–253. [Google Scholar] [CrossRef]
- Ferreira, C.L.; Yapp, D.T.; Lamsa, E.; Gleave, M.; Bensimon, C.; Jurek, P.; Kiefer, G.E. Evaluation of novel bifunctional chelates for the development of Cu-64-based radiopharmaceuticals. Nucl. Med. Biol. 2008, 35, 875–882. [Google Scholar] [CrossRef] [PubMed]
- Bartholomã, M.D. Recent developments in the design of bifunctional chelators for metal-based radiopharmaceuticals used in Positron Emission Tomography. Inorg. Chim. Acta 2012, 389, 36–51. [Google Scholar] [CrossRef]
- Kraeber-Bodéré, F.; Rousseau, C.; Bodet-Milin, C.; Mathieu, C.; Guérard, F.; Frampas, E.; Carlier, T.; Chouin, N.; Haddad, F.; Chatal, J.F.; et al. Tumor immunotargeting using innovative radionuclides. Int. J. Mol. Sci. 2015, 16, 3932–3954. [Google Scholar] [CrossRef] [PubMed]
- Weiner, R.E.; Thakur, M.L. Chemistry of gallium and indium radiopharmaceuticals. In Handbook of radiopharmaceuticals: Radiochemistry and Applications, 1st ed.; Welch, M.J., Redvanly, C.S., Eds.; Wiley: West Sussex, UK, 2003; Volume 1, pp. 363–399. [Google Scholar]
- Bhusari, P.; Vatsa, R.; Singh, G.; Parmar, M.; Bal, A.; Dhawan, D.K.; Mittal, B.; Shukla, J. Development of Lu-177-trastuzumab for radioimmunoteraphy of HER2 expressing breast cancer and its feasibility assessment in breast cancer patients. Int. J. Cancer 2017, 140, 938–947. [Google Scholar] [CrossRef] [PubMed]
- Guleria, M.; Sharma, R.; Amirdhanayagam, J.; Sarma, H.D.; Rangarajan, V.; Dash, A.; Das, T. Formulation and clinical translation of [177Lu]Lu-trastuzumab for radioimmunotheranostics of metastatic breast cancer. RSC Med. Chem. 2020, 1–15. [Google Scholar] [CrossRef]
- Miranda, A.C.C.; Durante, A.C.R.; Fuscaldi, L.L.; Barbezan, A.B.; Lima, C.R.; Perini, E.; Araújo, E.B. Anti-HER2 monoclonal antiboby based-radioimmunoconjugates: Assessment of the chelating agent influence. Bioorg. Med. Chem. 2021, 33, 1–9. [Google Scholar] [CrossRef] [PubMed]
- Lindmo, T.; Boven, E.; Cuttitta, F.; Fedorko, J.; Bunn, P.A., Jr. Determination of the immunoreactivity fraction of radiolabeled monoclonal antibodies by linear extrapolation to binding at infinite antigen excess. J. Immunol. Methods 1984, 72, 891–984. [Google Scholar] [CrossRef]
- Alirezapour, B.; Jalilian, A.R.; Rajabifar, S.; Mirzaii, M.; Moradkhani, S.; Pouladi, M.; Aslani, G. Preclinical evaluation of [111In]-DOTA-trastuzumab for clinical trials. J. Cancer Res. Ther. 2014, 10, 112–120. [Google Scholar]
- Alirezapour, B.; Jalilian, A.R.; Rasaee, J.; Rajabifar, S.; Yavari, K.; Kamalidehghan, M.; Bolourinovin, F.; Aslani, G. Optimized preparation and preliminary of [64Cu]-DOTA-trastuzumab for targeting ErbB2/Neu espression. J. Radioanal. Nucl. Chem. 2013, 295, 1261–1271. [Google Scholar] [CrossRef]
- Rocha, A.F.; Oliveira, P.A.; Oliveira, J.P.; Guedes, C.T.; Maia, R.S.; Costa, R.G.; Colaço, B.; Pires, M.J.; Colaço, J.; Ferreira, R.; et al. Estimation of rat mammary tumor volume using caliper and ultrasonography measurements. Nat. Am. Lab Animal 2013, 42, 217–224. [Google Scholar] [CrossRef]
- Loevinger, R.; Budinger, T.; Watson, E. MIRD Primer for Absorbed Dose Calculations; Society of Nuclear Medicine: New York, NY, USA, 1988. [Google Scholar]
- Sparks, R.B.; Aydogan, B. Comparison of the effectiveness of some common animal data scaling techiques in stimating human radiation dose. In Sixth International Radiopharmaceutical Dosimetry Symposium; Oak Ridge Associated Universities: Oak Ridge, TN, USA, 1996; pp. 705–716. [Google Scholar]
- Thorne, M.C. ICRP Publication 60. 1990 Recommendations of the International Commission on Radiological Protection. Ann. ICRP 1991, 21, 1–3. [Google Scholar] [CrossRef]
- Valentin, J. Basic anatomical and physiological data for use in radiological protection: Reference values: ICRP Publication 89. Ann. ICRP 2001, 32, 3–4. [Google Scholar] [CrossRef]
- Stabin, M.G. MIRDOSE: Personal computer software for internal dose assessment in nuclear medicine. J. Nucl. Med. 1996, 37, 538–546. [Google Scholar] [PubMed]
- Stabin, M.G.; Sparks, R.B.; Crowe, E. OLINDA/EXM: The second-generation personal computer software for internal dose assessment in nuclear medicine. J. Nucl. Med. 2002, 46, 1023–1027. [Google Scholar]
- Cole, W.C.; DeNardo, S.J.; Meares, C.F.; McCall, M.J.; DeNardo, G.L.; Epstein, A.L.; O’Brien, H.A.; Moi, M.K. Serum stability of 67Cu chelates: Comparison with 111In and 57Co. Int. J. Radiat. Appl. Instrum. B 1986, 13, 363–368. [Google Scholar] [CrossRef]
- Lub-de Hooge, M.N.; Kosterink, J.G.W.; Perik, P.J.; Nijnuis, H.; Tran, L.; Bart, J.; Suurmeijer, A.J.H.; Jong, S.; Jager, P.L.; De Vries, E.G.E. Preclinical characterisation of 111In-DTPA-trastuzumab. Br. J. Pharmacol. 2004, 143, 99–106. [Google Scholar] [CrossRef]
- Blend, M.J.; Stastny, J.J.; Swanson, S.M.; Brechbiel, M.W. Labeling anti-Her2/neu monoclonal antibodies with 111In and 90Y using a bifunctional DTPA chelating agent. Cancer Biother. Radiopharm. 2003, 18, 355–362. [Google Scholar] [CrossRef]
- Kukis, D.L.; DeNardo, G.L.; Mirick, G.R.; Miers, L.A.; Greiner, D.P.; Meares, C.F. Effect of the extent of chelate substitution on the immunoreactivity and biodistribution of 2IT BAT Lym 1 immunoconjugates. Cancer Res. 1995, 55, 878–884. [Google Scholar] [PubMed]
- Hens, M.; Vaidyanathan, G.; Welsh, P.; Zalutsky, M.R. Labeling internalizing anti-epidermal growth fator receptor variant III monoclonal antibody with 177Lu: In vitro comparison of acyclic and macrocyclic ligands. Nucl. Med. Biol. 2009, 36, 117–128. [Google Scholar] [CrossRef] [PubMed][Green Version]
- Lewis, M.R.; Boswell, C.A.; Laforest, R.; Buettner, T.L.; Ye, D.; Connett, J.M.; Anderson, C.J. Conjugation of monoclonal antibodies with TETA using activated esters: Biological comparison of 64Cu-TETA-1A3 with 64Cu-BAT-2IT-1A3. Cancer Biother. Radiopharm. 2001, 16, 483–494. [Google Scholar] [CrossRef]
- Sabbah, E.N.; Kadouche, J.; Ellison, D.; Finucane, C.; Decaudin, D.; Mather, S.J. In vitro and in vivo comparison of DTPA- and DOTA-conjugated antiferritin monoclonal antibody for imaging and therapy of pancreatic cancer. Nucl. Med. Biol. 2007, 34, 293–304. [Google Scholar] [CrossRef] [PubMed]
- Boekhout, A.H.; Beijnen, J.H.; Schellens, J.H.M. Trastuzumab. Oncologist 2011, 16, 800–810. [Google Scholar] [CrossRef]
- Wang, B.; Lau, Y.Y.; Liang, M.; Vainshtein, I.; Zusmanovich, M.; Lu, H.; Magrini, F.; Sleeman, M.; Roskos, L. Mechanistic modeling of antigen sink effect for mavrilimumab following intravenous administration in patients with rheumatoid arthritis. J. Clin. Pharmacol. 2012, 52, 1150–1161. [Google Scholar] [CrossRef]
- McKeage, K.; Perry, C.M. Trastuzumab: A review of its use in the treatment of metastatic breast cancer overexpressing HER2. Drugs 2002, 62, 209–243. [Google Scholar] [CrossRef]
- Trastuzumab. Available online: https://go.drugbank.com/drugs/DB00072 (accessed on 3 May 2021).
- Wang, W.; Wang, E.Q.; Balthasar, J.P. Monoclonal antibody pharmacokinetics and pharmacodynamics. Clin. Pharmacol. Ther. 2008, 84, 548–558. [Google Scholar] [CrossRef]
- Costantini, D.L.; Chan, C.; Cai, Z.; Vallis, K.A.; Reilly, R.M. 111In-Labeled trastuzumab (Herceptin) modified with nuclear localization sequences (NLS): An auger electron-emitting radiotherapeutic agent for HER2/neu-amplified breast cancer. J. Nucl. Med. 2007, 48, 1357–1368. [Google Scholar] [CrossRef] [PubMed]
- Ramli, M.; Hidayat, B.; Aguswarini, S.; Ardiyatno, C.N.; Subur, M.; Humani, T.S.; Ritawidya, R.; Mutalib, A.; Masjhur, J. Preclinical study of 177Lu-DOTA-trastuzumab: A potential radiopharmaceutical for therapy of breast cancer positive HER-2. J. Ilmu Kefarmasian Indones. 2013, 11, 116–122. [Google Scholar]
- Cooper, M.S.; Ma, M.T.; Sunassee, K.; Shaw, K.P.; Williams, J.D.; Paul, R.L.; Donnelly, P.S.; Blower, P.J. Comparison of (64)Cu-complexing bifunctional chelators for radioimmunoconjugation: Labeling efficiency, specific activity, and in vitro/in vivo stability. Bioconjug. Chem. 2012, 23, 1029–1039. [Google Scholar] [CrossRef] [PubMed]
- Mier, W.; Hoffend, J.; Kramer, S.; Schuhmacher, J.; Hull, W.E.; Eisenhut, M.; Haberkorn, U. Conjugation of DOTA using isolated phenolic active esters: The labeling and biodistribution of albumin as blood pool marker. Bioconjug. Chem. 2005, 16, 237–240. [Google Scholar] [CrossRef]
- Quadri, S.M.; Vriesendorf, H.M. Effects of linker chemistry on the pharmacokinetics of radioimmunoconjugates. Q. J. Nucl. Med. 1998, 42, 250–256. [Google Scholar] [PubMed]
- Reilly, R. The immunoreactivity of radiolabeled antibodies—Its impact on tumor targeting and strategies for preservation. Cancer Biother. Radiopharm. 2004, 19, 669–672. [Google Scholar] [CrossRef]
- Zolghadri, S.; Yousefnia, H.; Jalilian, A.R.; Fazaeli, Y. Production, quality control, biodistribution, assessment and preliminary dose evaluation of [Lu-177]-tetra phenyl porphyrin complex as a possible therapeutic agent. Braz. J. Pharm. Sci. 2015, 51, 1–10. [Google Scholar] [CrossRef]
- Gaykema, S.B.M.; Jong, J.R.; Perik, P.J.; Brouwers, A.H.; Schröder, C.P.; Munnink, T.H.O.; Bongaerts, A.H.H.; De Vries, E.G.E.; Lub-de Hooge, M.N. 111In-trastuzumab scintigraphy in HER2-positive metastatic breast cancer patients remains feasible during trastuzumab treatment. Mol. Imaging 2014, 13, 1–6. [Google Scholar] [CrossRef] [PubMed]
- Perik, P.J.; Lub-De Hooge, M.N.; Gietema, J.A.; Van der Graaf, W.T.A.; Korte, M.A.; Jonkman, S.; Kosterink, J.G.W.; Van Veldhuisen, D.J.; Sleijfer, D.T.; Jager, P.L.; et al. Indium-111-labeled trastuzumab scintigraphy in patients with human epidermal growth factor receptor-2-positive metastatic breast cancer. J. Clin. Oncol. 2006, 24, 2276–2282. [Google Scholar] [CrossRef] [PubMed]
- Kurdziel, K.A.; Mena, E.; McKinney, Y.; Wong, K.; Adler, S.; Sissung, T.; Lee, J.; Lipkowitz, S.; Lindenberg, L.; Turkbey, B.; et al. First-in-human phase 0 study of 111In-CHX-A”-DTPA trastuzumab for HER2 tumor imaging. J. Transl. Sci. 2019, 5. [Google Scholar] [CrossRef]








| Pharmacokinetic Parameters | Symbol | [111In]In-DTPA-Trastuzumab | [177Lu]Lu-DOTA-Trastuzumab |
|---|---|---|---|
| Fast phase half-life (distribution) | T½ Kd | 4.43 h | 4.64 h |
| Slow phase half-life (elimination) | T½ Ke | 774.3 h | 1362.0 h |
| Constant of distribution | Kd | 0.16 h−1 | 0.15 h−1 |
| Constant of elimination | Ke | 0.0008 h−1 | 0.0005 h−1 |
| Clearance | CL | 0.28 mL·h−1 | 0.04 mL·h−1 |
| Volume of distribution | Vd | 0.005 L | 0.001 L |
| Effective half-life | T½ ef | 62.42 h | 144.78 h |
| Organs | [111In]In-DTPA-Trastuzumab | [177Lu]Lu-DOTA-Trastuzumab |
|---|---|---|
| Red marrow | 0.162 mGy/MBq | 0.080 mGy/MBq |
| Kidneys | 0.330 mGy/MBq | 0.920 mGy/MBq |
| Liver | 0.737 mGy/MBq | 0.690 mGy/MBq |
| Spleen | 0.444 mGy/MBq | - |
Publisher’s Note: MDPI stays neutral with regard to jurisdictional claims in published maps and institutional affiliations. |
© 2021 by the authors. Licensee MDPI, Basel, Switzerland. This article is an open access article distributed under the terms and conditions of the Creative Commons Attribution (CC BY) license (https://creativecommons.org/licenses/by/4.0/).
Share and Cite
Miranda, A.C.C.; dos Santos, S.N.; Fuscaldi, L.L.; Balieiro, L.M.; Bellini, M.H.; Guimarães, M.I.C.C.; de Araújo, E.B. Radioimmunotheranostic Pair Based on the Anti-HER2 Monoclonal Antibody: Influence of Chelating Agents and Radionuclides on Biological Properties. Pharmaceutics 2021, 13, 971. https://doi.org/10.3390/pharmaceutics13070971
Miranda ACC, dos Santos SN, Fuscaldi LL, Balieiro LM, Bellini MH, Guimarães MICC, de Araújo EB. Radioimmunotheranostic Pair Based on the Anti-HER2 Monoclonal Antibody: Influence of Chelating Agents and Radionuclides on Biological Properties. Pharmaceutics. 2021; 13(7):971. https://doi.org/10.3390/pharmaceutics13070971
Chicago/Turabian StyleMiranda, Ana Cláudia Camargo, Sofia Nascimento dos Santos, Leonardo Lima Fuscaldi, Luiza Mascarenhas Balieiro, Maria Helena Bellini, Maria Inês Calil Cury Guimarães, and Elaine Bortoleti de Araújo. 2021. "Radioimmunotheranostic Pair Based on the Anti-HER2 Monoclonal Antibody: Influence of Chelating Agents and Radionuclides on Biological Properties" Pharmaceutics 13, no. 7: 971. https://doi.org/10.3390/pharmaceutics13070971
APA StyleMiranda, A. C. C., dos Santos, S. N., Fuscaldi, L. L., Balieiro, L. M., Bellini, M. H., Guimarães, M. I. C. C., & de Araújo, E. B. (2021). Radioimmunotheranostic Pair Based on the Anti-HER2 Monoclonal Antibody: Influence of Chelating Agents and Radionuclides on Biological Properties. Pharmaceutics, 13(7), 971. https://doi.org/10.3390/pharmaceutics13070971

