Non-Invasive Low Pulsed Electrical Fields for Inducing BBB Disruption in Mice—Feasibility Demonstration
Abstract
1. Introduction
2. Methods
2.1. Animals
2.2. MRI Experimental Outline
2.3. MRI Data Acquisition
2.4. Image Analysis
2.5. Evans Blue Experimental Outline
2.6. Numerical Modeling
2.7. Statistical Analysis
3. Results
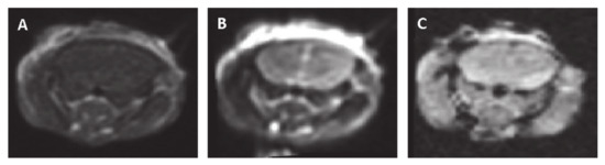
3.1. MRI Experiments
3.2. Dependency of BBBd on the Applied Voltage
3.3. Dependency of BBBd on the Number of Pulses
3.4. Safety MRI Experiments
3.5. Evans Blue Extravasation Experiments
3.6. Numerical Model
4. Discussion
5. Conclusions
6. Patents
Author Contributions
Funding
Institutional Review Board Statement
Informed Consent Statement
Data Availability Statement
Conflicts of Interest
References
- Dong, X. Current Strategies for Brain Drug Delivery. Theranostics 2018, 8, 1481–1493. [Google Scholar] [CrossRef]
 - Hashimoto, Y.; Campbell, M. Tight junction modulation at the blood-brain barrier: Current and future perspectives. Biochim. Biophys. Acta Biomembr. 2020, 1862, 183298. [Google Scholar] [CrossRef]
 - Patel, M.M.; Patel, B.M. Crossing the Blood–Brain Barrier: Recent Advances in Drug Delivery to the Brain. CNS Drugs 2017, 31, 109–133. [Google Scholar] [CrossRef]
 - Alexander, A.; Agrawal, M.; Uddin, A.; Siddique, S.; Shehata, A.M.; Shaker, M.A.; Rahman, S.A.U.; Abdul, M.I.M.; Shaker, M.A. Recent expansions of novel strategies towards the drug targeting into the brain. Int. J. Nanomed. 2019, 14, 5895–5909. [Google Scholar] [CrossRef]
 - Rossmeisl, J.H.; Herpai, D.; Quigley, M.; Cecere, T.E.; Robertson, J.L.; D’Agostino, R.B.; Debinski, W. Phase I trial of convection-enhanced delivery of IL13RA2 and EPHA2 receptor targeted cytotoxins in dogs with spontaneous intracranial gliomas. Neuro. Oncol. 2020. [Google Scholar] [CrossRef]
 - Heiss, J.D.; Lungu, C.; Hammoud, D.A.; Herscovitch, P.; Ehrlich, D.J.; Argersinger, D.P.; Bankiewicz, K.S. Trial of magnetic resonance-guided putaminal gene therapy for advanced Parkinson’s disease. Mov. Disord. 2019, 34, 1073–1078. [Google Scholar] [CrossRef]
 - Wang, H.-L.; Kuo, E.Y.; Lai, T.W. Vascular delivery of intraperitoneal Evans blue dye into the blood–brain barrier-intact and disrupted rat brains. NeuroReport 2018, 29, 924–931. [Google Scholar] [CrossRef] [PubMed]
 - Beccaria, K.; Sabbagh, A.; De Groot, J.; Canney, M.; Carpentier, A.; Heimberger, A.B. Blood–brain barrier opening with low intensity pulsed ultrasound for immune modulation and immune therapeutic delivery to CNS tumors. J. Neuro Oncol. 2020, 1–9. [Google Scholar] [CrossRef] [PubMed]
 - Rodriguez, A.; Tatter, S.B.; Debinski, W. Neurosurgical Techniques for Disruption of the Blood–Brain Barrier for Glioblastoma Treatment. Pharmaceutics 2015, 7, 175–187. [Google Scholar] [CrossRef] [PubMed]
 - Yarmush, M.L.; Golberg, A.; Serša, G.; Kotnik, T.; Miklavčič, D. Electroporation-based technologies for medicine: principles, applications, and challenges. Biomed. Eng. 2014, 16, 295–320. [Google Scholar] [CrossRef] [PubMed]
 - Sharabi, S.; Guez, D.; Daniels, D.; Cooper, I.; Atrakchi, D.; Liraz-Zaltsman, S.; Last, D.; Mardor, Y. The application of point source electroporation and chemotherapy for the treatment of glioma: A randomized controlled rat study. Sci. Rep. 2020, 10. [Google Scholar] [CrossRef] [PubMed]
 - Latouche, E.L.; Arena, C.B.; Ivey, J.W.; Garcia, P.A.; Pancotto, T.E.; Pavlisko, N.; Verbridge, S.S.; Davalos, R.V.; Rossmeisl, J.H. High-Frequency Irreversible Electroporation for Intracranial Meningioma: A Feasibility Study in a Spontaneous Canine Tumor Model. Technol. Cancer Res. Treat. 2018, 17, 1533033818785285. [Google Scholar] [CrossRef] [PubMed]
 - Garcia, P.A.; Kos, B.; Rossmeisl, J.H.; Pavliha, D.; Miklavcic, D.; Davalos, R.V. Predictive therapeutic planning for irreversible electroporation treatment of spontaneous malignant glioma. Med. Phys. 2017, 44, 4968–4980. [Google Scholar] [CrossRef] [PubMed]
 - O’Neill, C.; Hayat, T.; Hamm, J.; Healey, M.; Zheng, Q.; Li, Y.; Martin, R.C.G. A phase 1b trial of concurrent immunotherapy and irreversible electroporation in the treatment of locally advanced pancreatic adenocarcinoma. Surgery 2020, 168, 610–616. [Google Scholar] [CrossRef]
 - Frandsen, S.K.; Vissing, M.; Gehl, J. A Comprehensive Review of Calcium Electroporation—A Novel Cancer Treatment Modality. Cancers 2020, 12, 290. [Google Scholar] [CrossRef] [PubMed]
 - Wichtowski, M.; Murawa, D.; Czarnecki, R.; Piechocki, J.; Nowecki, Z.; Witkiewicz, W. Electrochemotherapy in the Treatment of Breast Cancer Metastasis to the Skin and Subcutaneous Tissue—Multicenter Experience. Oncol. Res. Treat. 2018, 42, 47–51. [Google Scholar] [CrossRef]
 - Garcia, P.A.; Rossmeisl, J.H.; Robertson, J.L.; Olson, J.D.; Johnson, A.J.; Ellis, T.L.; Davalos, R.V. 7.0-T Magnetic Resonance Imaging Characterization of Acute Blood-Brain-Barrier Disruption Achieved with Intracranial Irreversible Electroporation. PLoS ONE 2012, 7, e50482. [Google Scholar] [CrossRef]
 - Sharabi, S.; Last, D.; Guez, D.; Daniels, D.; Hjouj, M.I.; Salomon, S.; Maor, E.; Mardor, Y. Dynamic effects of point source electroporation on the rat brain tissue. Bioelectrochemistry 2014, 99, 30–39. [Google Scholar] [CrossRef]
 - Sharabi, S.; Kos, B.; Last, D.; Guez, D.; Daniels, D.; Harnof, S.; Mardor, Y.; Miklavcic, D. A statistical model describing combined irreversible electroporation and electroporation-induced blood-brain barrier disruption. Radiol. Oncol. 2016, 50, 28–38. [Google Scholar] [CrossRef]
 - Sharabi, S.; Last, D.; Daniels, D.; Zaltsman, S.L.; Mardor, Y. The effects of point-source electroporation on the blood-brain barrier and brain vasculature in rats: An MRI and histology study. Bioelectrochemistry 2020, 134, 107521. [Google Scholar] [CrossRef]
 - Lorenzo, M.F.; Thomas, S.C.; Kani, Y.; Hinckley, J.; Lee, M.; Adler, J.; Verbridge, S.S.; Hsu, F.-C.; Robertson, J.L.; Davalos, R.V.; et al. Temporal Characterization of Blood–Brain Barrier Disruption with High-Frequency Electroporation. Cancers 2019, 11, 1850. [Google Scholar] [CrossRef] [PubMed]
 - Hjouj, M.; Last, D.; Guez, D.; Daniels, D.; Sharabi, S.; Lavee, J.; Rubinsky, B.; Mardor, Y. MRI Study on Reversible and Irreversible Electroporation Induced Blood Brain Barrier Disruption. PLoS ONE 2012, 7, e42817. [Google Scholar] [CrossRef] [PubMed]
 - Sharabi, S.; Bresler, Y.; Ravid, O.; Shemesh, C.; Atrakchi, D.; Schnaider-Beeri, M.; Gosselet, F.; Dehouck, L.; Last, D.; Guez, D.; et al. Transient blood–brain barrier disruption is induced by low pulsed electrical fields in vitro: An analysis of permeability and trans-endothelial electric resistivity. Drug Deliv. 2019, 26, 459–469. [Google Scholar] [CrossRef] [PubMed]
 - Zach, L.; Guez, D.; Last, D.; Daniels, D.; Grober, Y.; Nissim, O.; Hoffmann, C.; Nass, D.; Talianski, A.; Spiegelmann, R.; et al. Delayed contrast extravasation MRI: A new paradigm in neuro-oncology. Neuro-Oncology 2015, 17, 457–465. [Google Scholar] [CrossRef] [PubMed]
 - Israeli, D.; Tanne, D.; Daniels, D.; Last, D.; Shneor, R.; Guez, D.; Landau, E.; Roth, Y.; Ocherashvilli, A.; Bakon, M.; et al. The Application of MRI for Depiction of Subtle Blood Brain Barrier Disruption in Stroke. Int. J. Biol. Sci. 2011, 7, 1–8. [Google Scholar] [CrossRef] [PubMed]
 - Tofts, P.S.; Kermode, A.G. Measurement of the blood-brain barrier permeability and leakage space using dynamic MR imaging. 1. Fundamental concepts. Magn. Reson. Med. 1991, 17, 357–367. [Google Scholar] [CrossRef]
 - Khalifa, F.; Soliman, A.; El-Baz, A.; El-Ghar, M.A.; El-Diasty, T.; Gimel’Farb, G.; Ouseph, R.; Dwyer, A.C. Models and methods for analyzing DCE-MRI: A review. Med. Phys. 2014, 41, 124301. [Google Scholar] [CrossRef]
 - Donaldson, S.B.; West, C.M.L.; Davidson, S.E.; Carrington, B.M.; Hutchison, G.; Jones, A.P.; Sourbron, S.P.; Buckley, D.L. A comparison of tracer kinetic models for T 1 -weighted dynamic contrast-enhanced MRI: Application in carcinoma of the cervix. Magn. Reson. Med. 2010, 63, 691–700. [Google Scholar] [CrossRef]
 - Goldim, M.P.D.S.; Della Giustina, A.; Petronilho, F. Using Evans Blue Dye to Determine Blood-Brain Barrier Integrity in Rodents. Curr. Protoc. Immunol. 2019, 126, e83. [Google Scholar] [CrossRef]
 - Wang, H.-L.; Lai, T.W. Optimization of Evans blue quantitation in limited rat tissue samples. Sci. Rep. 2014, 4, 6588. [Google Scholar] [CrossRef]
 - Gentilal, N.; Miranda, P.C. Heat transfer during TTFields treatment: Influence of the uncertainty of the electric and thermal parameters on the predicted temperature distribution. Comput. Methods Programs Biomed. 2020, 196, 105706. [Google Scholar] [CrossRef] [PubMed]
 - Nagel, S.J.; Reddy, C.G.; Frizon, L.A.; Chardon, M.K.; Holland, M.T.; Machado, A.G.; Gillies, G.T.; Howard, M.A.; Wilson, S. Spinal dura mater: Biophysical characteristics relevant to medical device development. J. Med. Eng. Technol. 2018, 42, 128–139. [Google Scholar] [CrossRef] [PubMed]
 - Elwassif, M.M.; Kong, Q.; Vazquez, M.; Bikson, M. Bio-heat transfer model of deep brain stimulation-induced temperature changes. J. Neural. Eng. 2006, 3, 306–315. [Google Scholar] [CrossRef]
 - Sel, D.; Lebar, A.M.; Miklavcic, D. Feasibility of Employing Model-Based Optimization of Pulse Amplitude and Electrode Distance for Effective Tumor Electropermeabilization. IEEE Trans. Biomed. Eng. 2007, 54, 773–781. [Google Scholar] [CrossRef] [PubMed][Green Version]
 - Ramon, C.; Garguilo, P.; Fridgeirsson, E.A.; Ehaueisen, J. Changes in scalp potentials and spatial smoothing effects of inclusion of dura layer in human head models for EEG simulations. Front. Neuroeng. 2014, 7, 32. [Google Scholar] [CrossRef]
 - Garcia, P.A.; Pearce, J.A.; Davalos, R.V. A Comparison Between the Pulsed and Duty Cycle Approaches Used to Capture the Thermal Response of Tissue During Electroporation-Based Therapies. In Proceedings of the ASME 2012 Summer Bioengineering Conference, Parts A and B, Fajardo, PR, USA, 20–23 June 2012. [Google Scholar]
 - Wong, W.K.; Lachenbruch, P.A. Tutorial in biostatistics. Designing studies for dose response. Stat. Med. 1996, 15, 343–359. [Google Scholar] [CrossRef]
 - Cohen, J. Statistical Power Analysis for the Behavioral Sciences, 2nd ed.; Routledge: New York, NY, USA, 1988. [Google Scholar]
 - Hawkins, B.T.; Egleton, R.D. Fluorescence imaging of blood–brain barrier disruption. J. Neurosci. Methods 2006, 151, 262–267. [Google Scholar] [CrossRef]
 - Kiyatkin, E.A.; Sharma, H.S. Permeability of the blood–brain barrier depends on brain temperature. Neuroscience 2009, 161, 926–939. [Google Scholar] [CrossRef]
 - Pardridge, W.M. Drug Transport across the Blood–Brain Barrier. Br. J. Pharmacol. 2012, 32, 1959–1972. [Google Scholar] [CrossRef]
 - Peleg, M. A model of microbial survival after exposure to pulsed electric fields. J. Sci. Food Agric. 1995, 67, 93–99. [Google Scholar] [CrossRef]
 - Lopez-Quintero, S.V.; Datta, A.; Amaya, R.; Elwassif, M.; Bikson, M.; Tarbell, J.M. DBS-relevant electric fields increase hydraulic conductivity of in vitro endothelial monolayers. J. Neural. Eng. 2010, 7, 16005. [Google Scholar] [CrossRef] [PubMed]
 








| Brain | Dura | Skull | |
|---|---|---|---|
| Thermal conductivity W/(m*K) | 0.565 [31] | 0.44 [32] | 0.16 [31] | 
| Heat capacity J/(kg*K) | 3650 [33] | 3364 [32] | 1700 [31] | 
| Density Kg/m3 | 1040 [31] | 1174 [32] | 1500 [31] | 
| Blood perfusion rate mL/(s*cm3) | 0.007 [33] | 0.143 × 10−3 [31] | 0.143 × 10−3 [31] | 
| Metabolic heat production W/m3 | 10437 [33] | 4144 [32] | 70 [31] | 
| Electric conductivity s/m | 0.258 [34] | 0.06 [32] | 0.01 [35] | 
| Brain Region | r2 | Significance | Prediction Equation | Fold Increase 0–100 | Fold Increase 0–200 | 
|---|---|---|---|---|---|
| Cortex | 0.54 | 0.006 | BBBd(V) = 0.008 V + 0.8 | 3.18 | 3.66 | 
| Cerebellum | 0.81 | 0.0002 | BBBd(V) = 0.004 + 0.40 | 1.63 | 3.05 | 
| Rest of brain | 0.67 | 0.001 | BBBd(V) = 0.004 + 0.53 | 1.85 | 2.22 | 
Publisher’s Note: MDPI stays neutral with regard to jurisdictional claims in published maps and institutional affiliations.  | 
© 2021 by the authors. Licensee MDPI, Basel, Switzerland. This article is an open access article distributed under the terms and conditions of the Creative Commons Attribution (CC BY) license (http://creativecommons.org/licenses/by/4.0/).
Share and Cite
Sharabi, S.; Last, D.; Daniels, D.; Fabian, I.D.; Atrakchi, D.; Bresler, Y.; Liraz-Zaltsman, S.; Cooper, I.; Mardor, Y. Non-Invasive Low Pulsed Electrical Fields for Inducing BBB Disruption in Mice—Feasibility Demonstration. Pharmaceutics 2021, 13, 169. https://doi.org/10.3390/pharmaceutics13020169
Sharabi S, Last D, Daniels D, Fabian ID, Atrakchi D, Bresler Y, Liraz-Zaltsman S, Cooper I, Mardor Y. Non-Invasive Low Pulsed Electrical Fields for Inducing BBB Disruption in Mice—Feasibility Demonstration. Pharmaceutics. 2021; 13(2):169. https://doi.org/10.3390/pharmaceutics13020169
Chicago/Turabian StyleSharabi, Shirley, David Last, Dianne Daniels, Ido Didi Fabian, Dana Atrakchi, Yael Bresler, Sigal Liraz-Zaltsman, Itzik Cooper, and Yael Mardor. 2021. "Non-Invasive Low Pulsed Electrical Fields for Inducing BBB Disruption in Mice—Feasibility Demonstration" Pharmaceutics 13, no. 2: 169. https://doi.org/10.3390/pharmaceutics13020169
APA StyleSharabi, S., Last, D., Daniels, D., Fabian, I. D., Atrakchi, D., Bresler, Y., Liraz-Zaltsman, S., Cooper, I., & Mardor, Y. (2021). Non-Invasive Low Pulsed Electrical Fields for Inducing BBB Disruption in Mice—Feasibility Demonstration. Pharmaceutics, 13(2), 169. https://doi.org/10.3390/pharmaceutics13020169
        
                                                
