Continuous-Flow Production of Liposomes with a Millireactor under Varying Fluidic Conditions
Abstract
1. Introduction
2. Materials and Methods
2.1. Materials
2.2. Design and Fabrication of Millireactors
2.3. Liposome Production
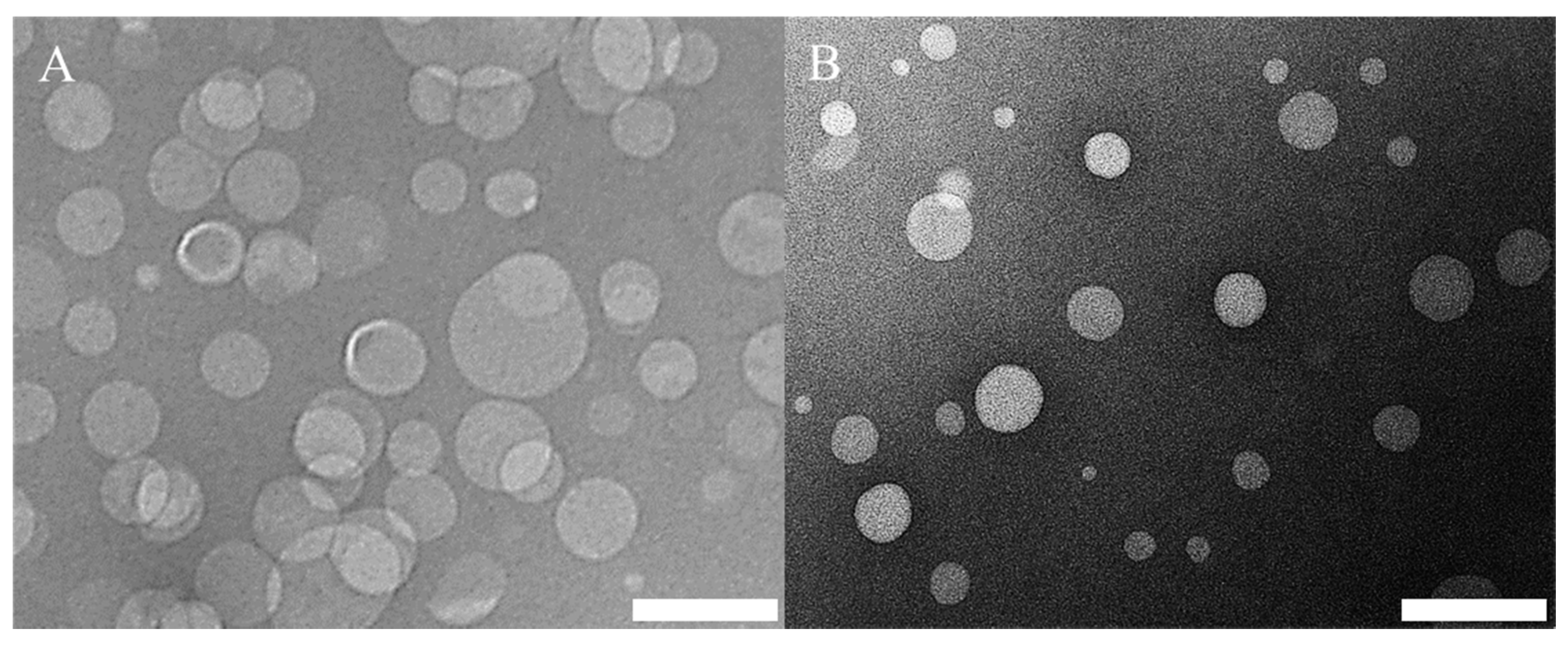
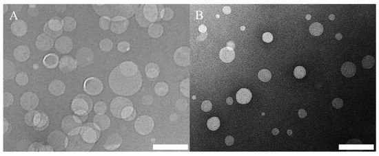
2.4. Liposome Characterization
3. Results and Discussion
3.1. Millifluidic Reactor: Design Rationale
3.2. Methodological Rationale
3.3. Effects of TFR and FRR on Liposome Size
3.4. Evaluation of Liposome Stability upon Storage
3.5. The Effect of Lipid Concentration on Liposome Size
3.6. The Effect of Cholesterol on Liposome Size
3.7. The Effects of Liposomes’ Compositions on Their Dimensional Properties
3.8. The Effect of Production Temperature on Liposome Size
3.9. Comparison between Batch and Millifluidic-Based Liposome Production
4. Conclusions
Supplementary Materials
Author Contributions
Funding
Acknowledgments
Conflicts of Interest
References
- Cans, A.-S.; Wittenberg, N.; Karlsson, R.; Sombers, L.; Karlsson, M.; Orwar, O.; Ewing, A. Artificial cells: Unique insights into exocytosis using liposomes and lipid nanotubes. Proc. Natl. Acad. Sci. USA 2003, 100, 400–404. [Google Scholar] [CrossRef] [PubMed]
- Ahmed, K.S.; Hussein, S.A.; Ali, A.H.; Korma, S.A.; Lipeng, Q.; Jinghua, C. Liposome: Composition, characterisation, preparation, and recent innovation in clinical applications. J. Drug Target. 2019, 27, 742–761. [Google Scholar] [CrossRef] [PubMed]
- Bozzuto, G.; Molinari, A. Liposomes as nanomedical devices. Int. J. Nanomed. 2015, 10, 975. [Google Scholar] [CrossRef] [PubMed]
- Bulbake, U.; Doppalapudi, S.; Kommineni, N.; Khan, W. Liposomal formulations in clinical use: An updated review. Pharmaceutics 2017, 9, 12. [Google Scholar] [CrossRef] [PubMed]
- Gregoriadis, G. Engineering liposomes for drug delivery: Progress and problems. Trends Biotechnol. 1995, 13, 527–537. [Google Scholar] [CrossRef]
- Sercombe, L.; Veerati, T.; Moheimani, F.; Wu, S.Y.; Sood, A.K.; Hua, S. Advances and challenges of liposome assisted drug delivery. Front. Pharmacol. 2015, 6, 286. [Google Scholar] [CrossRef]
- Barenholz, Y.C. Doxil®—The first FDA-approved nano-drug: Lessons learned. J. Control. Release 2012, 160, 117–134. [Google Scholar] [CrossRef]
- Hay, R. Liposomal amphotericin B, AmBisome. J. Infect. 1994, 28, 35–43. [Google Scholar] [CrossRef]
- Harashima, H.; Kiwada, H. Liposomal targeting and drug delivery: Kinetic consideration. Adv. Drug Deliv. Rev. 1996, 19, 425–444. [Google Scholar] [CrossRef]
- Šentjurc, M.; Vrhovnik, K.; Kristl, J. Liposomes as a topical delivery system: The role of size on transport studied by the EPR imaging method. J. Control. Release 1999, 59, 87–97. [Google Scholar] [CrossRef]
- Danaei, M.; Dehghankhold, M.; Ataei, S.; Hasanzadeh Davarani, F.; Javanmard, R.; Dokhani, A.; Khorasani, S.; Mozafari, M.R. Impact of particle size and polydispersity index on the clinical applications of lipidic nanocarrier systems. Pharmaceutics 2018, 10, 57. [Google Scholar] [CrossRef] [PubMed]
- Nagayasu, A.; Uchiyama, K.; Kiwada, H. The size of liposomes: A factor which affects their targeting efficiency to tumors and therapeutic activity of liposomal antitumor drugs. Adv. Drug Deliv. Rev. 1999, 40, 75–87. [Google Scholar] [CrossRef]
- Bahari, L.A.S.; Hamishehkar, H. The impact of variables on particle size of solid lipid nanoparticles and nanostructured lipid carriers; a comparative literature review. Adv. Pharm. Bull. 2016, 6, 143. [Google Scholar] [CrossRef]
- Maherani, B.; Wattraint, O. Liposomal structure: A comparative study on light scattering and chromatography techniques. J. Dispers. Sci. Technol. 2017, 38, 1633–1639. [Google Scholar] [CrossRef]
- Etheridge, M.L.; Campbell, S.A.; Erdman, A.G.; Haynes, C.L.; Wolf, S.M.; McCullough, J. The big picture on nanomedicine: The state of investigational and approved nanomedicine products. Nanomed. Nanotechnol. Biol. Med. 2013, 9, 1–14. [Google Scholar] [CrossRef] [PubMed]
- Akbarzadeh, A.; Rezaei-Sadabady, R.; Davaran, S.; Joo, S.W.; Zarghami, N.; Hanifehpour, Y.; Samiei, M.; Kouhi, M.; Nejati-Koshki, K. Liposome: Classification, preparation, and applications. Nanoscale Res. Lett. 2013, 8, 102. [Google Scholar] [CrossRef] [PubMed]
- Bera, B. Nanoporous silicon prepared by vapour phase strain etch and sacrificial technique. Int. J. Comput. Appl. 2015, 975, 8887. [Google Scholar]
- Jesorka, A.; Orwar, O. Liposomes: Technologies and analytical applications. Annu. Rev. Anal. Chem. 2008, 1, 801–832. [Google Scholar] [CrossRef]
- Shaker, S.; Gardouh, A.R.; Ghorab, M.M. Factors affecting liposomes particle size prepared by ethanol injection method. Res. Pharm. Sci. 2017, 12, 346. [Google Scholar] [CrossRef]
- Kulkarni, V.; Shaw, C. (Eds.) Chapter 4—Formulating creams, gels, lotions, and suspensions. In Essential Chemistry for Formulators of Semisolid and Liquid Dosages; Academic Press: Cambridge, MA, USA, 2016; pp. 29–41. [Google Scholar]
- Capretto, L.; Carugo, D.; Cheng, W.; Hill, M.; Zhang, X. Continuous-flow production of polymeric micelles in microreactors: Experimental and computational analysis. J. Colloid Interface Sci. 2011, 357, 243–251. [Google Scholar] [CrossRef]
- Maherani, B.; Arab-Tehrany, E.; RMozafari, M.; Gaiani, C.; Linder, M. Liposomes: A review of manufacturing techniques and targeting strategies. Curr. Nanosci. 2011, 7, 436–452. [Google Scholar] [CrossRef]
- Carugo, D.; Bottaro, E.; Owen, J.; Stride, E.; Nastruzzi, C. Liposome production by microfluidics: Potential and limiting factors. Sci. Rep. 2016, 6, 25876. [Google Scholar] [CrossRef] [PubMed]
- Whitesides, G.M. The origins and the future of microfluidics. Nature 2006, 442, 368–373. [Google Scholar] [CrossRef] [PubMed]
- Khan, I.U.; Serra, C.A.; Anton, N.; Vandamme, T.F. Production of nanoparticle drug delivery systems with microfluidics tools. Expert Opin. Drug Deliv. 2015, 12, 547–562. [Google Scholar] [CrossRef]
- Kurakazu, T.; Takeuchi, S. Generation of lipid vesicles using microfluidic T-junctions with pneumatic valves. In Proceedings of the 2010 IEEE 23rd International Conference on Micro Electro Mechanical Systems (MEMS), Hong Kong, China, 24–28 January 2010; IEEE: New York, NY, USA, 2010. [Google Scholar]
- Davies, R.T.; Kim, D.; Park, J. Formation of liposomes using a 3D flow focusing microfluidic device with spatially patterned wettability by corona discharge. J. Micromech. Microeng. 2012, 22, 055003. [Google Scholar] [CrossRef]
- Tan, Y.-C.; Longmuir, K.; Lee, A. Microfluidic Liposome Generation from Monodisperse Droplet Emulsion-Towards the Realization of Artificial Cells. In Proceedings of the Summer Bioengineering Conference, Key Biscayne, FL, USA, 25–29 June 2003. [Google Scholar]
- Cristaldi, D.A.; Yanar, F.; Mosayyebi, A.; García-Manrique, P.; Stulz, E.; Carugo, D.; Zhang, X. Easy-to-perform and cost-effective fabrication of continuous-flow reactors and their application for nanomaterials synthesis. New Biotechnol. 2018, 47, 1–7. [Google Scholar] [CrossRef]
- Gomez, F.A. The future of microfluidic point-of-care diagnostic devices. Bioanalysis 2013, 5, 1–3. [Google Scholar] [CrossRef] [PubMed]
- Chen, Z.; Han, J.Y.; Shumate, L.; Fedak, R.; DeVoe, D.L. High Throughput Nanoliposome Formation Using 3D Printed Microfluidic Flow Focusing Chips. Adv. Mater. Technol. 2019, 4, 1800511. [Google Scholar] [CrossRef]
- Hulme, J.P.; Mohr, S.; Goddard, N.J.; Fielden, P.R. Rapid prototyping for injection moulded integrated microfluidic devices and diffractive element arrays. Lab Chip 2002, 2, 203–206. [Google Scholar] [CrossRef]
- Kitson, P.J.; Rosnes, M.H.; Sans, V.; Dragone, V.; Cronin, L. Configurable 3D-Printed millifluidic and microfluidic ‘lab on a chip’ reactionware devices. Lab Chip 2012, 12, 3267–3271. [Google Scholar] [CrossRef]
- Sanchez-Salmeron, A.; Lopez-Tarazon, R.; Guzman-Diana, R.; Ricolfe-Viala, C. Recent development in micro-handling systems for micro-manufacturing. J. Mater. Process. Technol. 2005, 167, 499–507. [Google Scholar] [CrossRef]
- García-Manrique, P.; Gutiérrez, G.; Matos, M.; Cristaldi, A.; Mosayyebi, A.; Carugo, D.; Zhang, X.; Blanco-López, M.C. Continuous flow production of size-controllable niosomes using a thermostatic microreactor. Colloids Surf. B Biointerfaces 2019, 182, 110378. [Google Scholar] [CrossRef] [PubMed]
- Lohse, S.E.; Eller, J.R.; Sivapalan, S.T.; Plews, M.R.; Murphy, C.J. A simple millifluidic benchtop reactor system for the high-throughput synthesis and functionalization of gold nanoparticles with different sizes and shapes. ACS Nano 2013, 7, 4135–4150. [Google Scholar] [CrossRef] [PubMed]
- Wang, L.; Karadaghi, L.R.; Brutchey, R.L.; Malmstadt, N. Self-optimizing parallel millifluidic reactor for scaling nanoparticle synthesis. Chem. Commun. 2020, 56, 3745–3748. [Google Scholar] [CrossRef]
- Seaberg, J.; Kaabipour, S.; Hemmati, S.; Ramsey, J.D. A rapid millifluidic synthesis of tunable polymer-protein nanoparticles. Eur. J. Pharm. Biopharm. 2020, 154, 127–135. [Google Scholar] [CrossRef]
- Vikram, A.; Kumar, V.; Ramesh, U.; Balakrishnan, K.; Oh, N.; Deshpande, K.; Ewers, T.; Trefonas, P.; Shim, M.; Kenis, P.J.A. A Millifluidic Reactor System for Multistep Continuous Synthesis of InP/ZnSeS Nanoparticles. ChemNanoMat 2018, 4, 943–953. [Google Scholar] [CrossRef]
- Carugo, D.; Lee, J.Y.; Pora, A.; Browning, R.J.; Capretto, L.; Nastruzzi, C.; Stride, E. Facile and cost-effective production of microscale PDMS architectures using a combined micromilling-replica moulding (μMi-REM) technique. Biomed. Microdevices 2016, 18, 4. [Google Scholar] [CrossRef]
- Laouini, A.; Charcosset, C.; Fessi, H.; Holdich, R.G.; Vladisavljević, G.T. Preparation of liposomes: A novel application of microengineered membranes–From laboratory scale to large scale. Colloids Surf. B Biointerfaces 2013, 112, 272–278. [Google Scholar] [CrossRef][Green Version]
- Pham, T.T.; Jaafar-Maalej, C.; Charcosset, C.; Fessi, H. Liposome and niosome preparation using a membrane contactor for scale-up. Colloids Surf. B Biointerfaces 2012, 94, 15–21. [Google Scholar] [CrossRef]
- Charcosset, C.; Juban, A.; Valour, J.P.; Urbaniak, S.; Fessi, H. Preparation of liposomes at large scale using the ethanol injection method: Effect of scale-up and injection devices. Chem. Eng. Res. Des. 2015, 94, 508–515. [Google Scholar] [CrossRef]
- Elhissi, A.; Phoenix, D.; Ahmed, W. Some approaches to large-scale manufacturing of liposomes. In Emerging Nanotechnologies for Manufacturing; Elsevier: Amsterdam, The Netherlands, 2015; pp. 402–417. [Google Scholar]
- Wagner, A.; Vorauer-Uhl, K. Liposome technology for industrial purposes. J. Drug Deliv. 2011, 2011. [Google Scholar] [CrossRef]
- Hills, E.E.; Abraham, M.H.; Hersey, A.; Bevan, C.D. Diffusion coefficients in ethanol and in water at 298 K: Linear free energy relationships. Fluid Phase Equilibria 2011, 303, 45–55. [Google Scholar] [CrossRef]
- Varenne, F.; Botton, J.; Merlet, C.; Hillaireau, H.; Legrand, F.-X.; Barratt, J.; Vauthier, C. Size of monodispersed nanomaterials evaluated by dynamic light scattering: Protocol validated for measurements of 60 and 203 nm diameter nanomaterials is now extended to 100 and 400 nm. Int. J. Pharm. 2016, 515, 245–253. [Google Scholar] [CrossRef]
- Malvern Instruments. Dynamic Light Scattering, Common Terms Defined; Inform White Paper; Malvern Instruments Limited: Malvern, UK, 2011; pp. 1–6. [Google Scholar]
- Kastner, E.; Verma, V.; Lowry, D.; Perrie, Y. Microfluidic-controlled manufacture of liposomes for the solubilisation of a poorly water soluble drug. Int. J. Pharm. 2015, 485, 122–130. [Google Scholar] [CrossRef] [PubMed]
- Hashmi, A.; Xu, J. On the quantification of mixing in microfluidics. J. Lab. Autom. 2014, 19, 488–491. [Google Scholar] [CrossRef] [PubMed]
- Jahn, A.; Vreeland, W.N.; DeVoe, D.L.; Locascio, L.E.; Gaitan, M. Microfluidic directed formation of liposomes of controlled size. Langmuir 2007, 23, 6289–6293. [Google Scholar] [CrossRef] [PubMed]
- Jahn, A.; Stavis, S.M.; Hong, J.S.; Vreeland, W.N.; DeVoe, D.L.; Gaitan, M. Microfluidic mixing and the formation of nanoscale lipid vesicles. ACS Nano 2010, 4, 2077–2087. [Google Scholar] [CrossRef]
- Kimura, N.; Maeki, M.; Sato, Y.; Note, Y.; Ishida, A.; Tani, H.; Harashima, H.; Tokeshi, M. Development of the iLiNP device: Fine tuning the lipid nanoparticle size within 10 nm for drug delivery. ACS Omega 2018, 3, 5044–5051. [Google Scholar] [CrossRef]
- Lee, J.; Lee, M.G.; Jung, C.; Park, Y.H.; Song, C.; Choi, M.; Park, H.G.; Park, J.-K. High-throughput nanoscale lipid vesicle synthesis in a semicircular contraction-expansion array microchannel. BioChip J. 2013, 7, 210–217. [Google Scholar] [CrossRef]
- Sedighi, M.; Sieber, S.; Rahimi, F.; Shahbazi, M.A.; Rezayan, A.H.; Huwyler, J.; Witzigmann, D. Rapid optimization of liposome characteristics using a combined microfluidics and design-of-experiment approach. Drug Deliv. Transl. Res. 2019, 9, 404–413. [Google Scholar] [CrossRef]
- Zizzari, A.; Bianco, M.; Carbone, L.; Perrone, E.; Amato, F.; Maruccio, G.; Rendina, F.; Arima, V. Continuous-Flow Production of Injectable Liposomes via a Microfluidic Approach. Materials 2017, 10, 1411. [Google Scholar] [CrossRef] [PubMed]
- Pradhan, P.; Guan, J.; Lu, D.; Wang, P.G.; Lee, L.J.; Lee, R.J. A facile microfluidic method for production of liposomes. Anticancer Res. 2008, 28, 943–947. [Google Scholar] [PubMed]
- Jovanović, A.A.; Balanč, B.D.; Ota, A.; Ahlin Grabnar, P.; Djordjević, V.B.; Šavikin, K.P.; Bugarski, B.M.; Nedović, V.A.; Ulrih, N.P. Comparative Effects of Cholesterol and β-Sitosterol on the Liposome Membrane Characteristics. Eur. J. Lipid Sci. Technol. 2018, 120, 1800039. [Google Scholar] [CrossRef]
- Lee, S.-C.; Lee, K.E.; Kim, J.J.; Lim, S.H. The effect of cholesterol in the liposome bilayer on the stabilization of incorporated retinol. J. Liposome Res. 2005, 15, 157–166. [Google Scholar] [CrossRef] [PubMed]
- Briuglia, M.-L.; Rotella, C.; McFarlane, A.; Lamprou, D.A. Influence of cholesterol on liposome stability and on in vitro drug release. Drug Deliv. Transl. Res. 2015, 5, 231–242. [Google Scholar] [CrossRef] [PubMed]
- Nele, V.; Holme, M.N.; Kauscher, U.; Thomas, M.R.; Doutch, J.J.; Stevens, M.M. Effect of formulation method, lipid composition, and PEGylation on vesicle lamellarity: A small-angle neutron scattering study. Langmuir 2019, 35, 6064–6074. [Google Scholar] [CrossRef] [PubMed]
- Li, J.; Wang, X.; Zhang, T.; Wang, C.; Huang, Z.; Luo, X.; Deng, Y. A review on phospholipids and their main applications in drug delivery systems. Asian J. Pharm. Sci. 2015, 10, 81–98. [Google Scholar] [CrossRef]
- Tagami, T.; Ernsting, M.J.; Li, S.-D. Optimization of a novel and improved thermosensitive liposome formulated with DPPC and a Brij surfactant using a robust in vitro system. J. Control. Release 2011, 154, 290–297. [Google Scholar] [CrossRef] [PubMed]
- Rajendran, V.; Rohra, S.; Raza, M.; Hasan, G.M.; Dutt, S.; Ghosh, P.C. Stearylamine liposomal delivery of monensin in combination with free artemisinin eliminates blood stages of Plasmodium falciparum in culture and P. berghei infection in murine malaria. Antimicrob. Agents Chemother. 2016, 60, 1304–1318. [Google Scholar] [CrossRef]
- Kotouček, J.; Hubatka, F.; Mašek, J.; Kulich, P.; Velínská, K.; Bezděková, J.; Fojtíková, M.; Bartheldyová, E.; Tomečková, A.; Stráská, J.; et al. Preparation of nanoliposomes by microfluidic mixing in herring-bone channel and the role of membrane fluidity in liposomes formation. Sci. Rep. 2020, 10, 1–11. [Google Scholar]
- Has, C.; Phapal, S.M.; Sunthar, P. Rapid single-step formation of liposomes by flow assisted stationary phase interdiffusion. Chem. Phys. Lipids 2018, 212, 144–151. [Google Scholar] [CrossRef] [PubMed]
- Forbes, N.; Hussain, M.T.; Briuglia, M.L.; Edwards, D.P.; Ter Horst, J.H.; Szita, N.; Perrie, Y. Rapid and scale-independent microfluidic manufacture of liposomes entrapping protein incorporating in-line purification and at-line size monitoring. Int. J. Pharm. 2019, 556, 68–81. [Google Scholar] [CrossRef] [PubMed]
- Rawicz, W.; Olbrich, K.C.; McIntosh, T.; Needham, D.; Evans, E. Effect of chain length and unsaturation on elasticity of lipid bilayers. Biophys. J. 2000, 79, 328–339. [Google Scholar] [CrossRef]
- Jiang, F.Y.; Bouret, Y.; Kindt, J.T. Molecular dynamics simulations of the lipid bilayer edge. Biophys. J. 2004, 87, 182–192. [Google Scholar] [CrossRef]
- Nakamura, K.; Yamashita, K.; Itoh, Y.; Yoshino, K.; Nozawa, S.; Kasukawa, H. Comparative studies of polyethylene glycol-modified liposomes prepared using different PEG-modification methods. Biochim. Biophys. Acta BBA Biomembr. 2012, 1818, 2801–2807. [Google Scholar] [CrossRef]
- Chibowski, E.; Szcześ, A. Zeta potential and surface charge of DPPC and DOPC liposomes in the presence of PLC enzyme. Adsorption 2016, 22, 755–765. [Google Scholar] [CrossRef]
- Villasmil-Sánchez, S.; Drhimeur, W.; Ospino, S.C.S.; Rabasco Alvarez, A.M.; González-Rodríguez, M.L. Positively and negatively charged liposomes as carriers for transdermal delivery of sumatriptan: In vitro characterization. Drug Dev. Ind. Pharm. 2010, 36, 666–675. [Google Scholar] [CrossRef]
- Ruozi, B.; Belletti, D.; Tombesi, A.; Tosi, G.; Bondioli, L.; Forni, F.; Vandelli, M.A. AFM, ESEM, TEM, and CLSM in liposomal characterization: A comparative study. Int. J. Nanomed. 2011, 6, 557. [Google Scholar] [CrossRef]
- Regev, O.; Gohy, J.F.; Lohmeijer, B.G.; Varshney, S.K.; Hubert, D.H.; Frederik, P.M.; Schubert, U.S. Dynamic light scattering and cryogenic transmission electron microscopy investigations on metallo-supramolecular aqueous micelles: Evidence of secondary aggregation. Colloid Polym. Sci. 2004, 282, 407–411. [Google Scholar] [CrossRef]
- Zook, J.M.; Vreeland, W.N. Effects of temperature, acyl chain length, and flow-rate ratio on liposome formation and size in a microfluidic hydrodynamic focusing device. Soft Matter 2010, 6, 1352–1360. [Google Scholar] [CrossRef]













| Batch Code 1 | Fluidic Parameters | Lipid Composition (mM) 3 | Temperature (°C) | Size (Z-Average) (nm) | Dispersity | Z-Potential (mV) | ||||||
|---|---|---|---|---|---|---|---|---|---|---|---|---|
| TFR (mL/min) | FRR | Reynolds Number 2 | PC | DPPC | Chol | ODA | PEG-40 | |||||
| #1 PC | 1 | 5 | 9.79 | 100 | - | - | - | - | RT | 171.9 ± 2.7 | 0.285 ± 0.042 | ND |
| #2 PC | 1 | 10 | 13.17 | 100 | - | - | - | - | RT | 170.5 ± 4.6 | 0.241 ± 0.030 | ND |
| #3 PC | 1 | 25 | 16.18 | 100 | - | - | - | - | RT | 169.0 ± 0.8 | 0.133 ± 0.025 | ND |
| #4 PC | 1 | 50 | 17.30 | 100 | - | - | - | - | RT | 179.8 ± 2.4 | 0.188 ± 0.009 | ND |
| #5 PC | 5 | 5 | 48.95 | 100 | - | - | - | - | RT | 177.9 ± 1.8 | 0.279 ± 0.029 | ND |
| #6 PC | 5 | 10 | 65.83 | 100 | - | - | - | - | RT | 173.4 ± 2.0 | 0.252 ± 0.016 | ND |
| #7 PC | 5 | 25 | 80.88 | 100 | - | - | - | - | RT | 184.2 ± 1.5 | 0.320 ± 0.008 | ND |
| #8 PC | 5 | 50 | 86.52 | 100 | - | - | - | - | RT | 214.0 ± 3.3 | 0.375 ± 0.010 | ND |
| #9 PC | 10 | 5 | 97.90 | 100 | - | - | - | - | RT | 228.4 ± 9.5 | 0.437 ± 0.036 | ND |
| #10 PC | 10 | 10 | 131.66 | 100 | - | - | - | - | RT | 240.3 ± 9.2 | 0.481 ± 0.018 | ND |
| #11 PC | 10 | 25 | 161.75 | 100 | - | - | - | - | RT | 253.9 ± 3.0 | 0.494 ± 0.020 | ND |
| #12 PC | 10 | 50 | 173.04 | 100 | - | - | - | - | RT | 272.5 ± 7.4 | 0.522 ± 0.011 | ND |
| #13 PC | 1 | 10 | 13.17 | 16 | - | - | - | - | RT | 122.1 ± 0.5 | 0.145 ± 0.013 | −3.4 ± 0.3 |
| #14 PC | 1 | 10 | 13.17 | 50 | - | - | - | - | RT | ND | ND | −13.2 ± 0.5 |
| #15 PC | 1 | 5 | 9.79 | 200 | - | - | - | - | RT | 245.6 ± 4.0 | 0.469 ± 0.086 | ND |
| #16 PC | 1 | 5 | 9.79 | 40 | - | - | - | - | RT | 150.5 ± 5.4 | 0.240 ± 0.043 | ND |
| #17 PC | 1 | 5 | 9.79 | 5 | - | - | - | - | RT | 125.4 ± 1.1 | 0.220 ± 0.006 | ND |
| #18 PC | 1 | 10 | 13.17 | 14.4 | - | 1.6 | - | - | RT | 110.9 ± 2.6 | 0.184 ± 0.033 | ND |
| #19 PC | 1 | 10 | 13.17 | 12.8 | - | 3.2 | - | - | RT | 143.0 ± 0.4 | 0.175 ± 0.006 | ND |
| #20 PC | 1 | 10 | 13.17 | 11.2 | - | 4.8 | - | - | RT | 134.5 ± 1.4 | 0.146 ± 0.022 | −0.3 ± 0.2 |
| #21 PC | 1 | 10 | 13.17 | 9.6 | - | 6.4 | - | - | RT | 142.3 ± 1.5 | 0.082 ± 0.023 | ND |
| #22 PC | 1 | 5 | 9.79 | 11.2 | - | 4.8 | - | - | RT | 80.0 ± 0.2 | 0.117 ± 0.017 | ND |
| #23 PC | 1 | 15 | 14.75 | 11.2 | - | 4.8 | - | - | RT | 135.8 ± 1.0 | 0.087 ± 0.018 | ND |
| #24 PC | 1 | 20 | 15.63 | 11.2 | - | 4.8 | - | - | RT | 141.5 ± 0.9 | 0.075 ± 0.006 | ND |
| #25 PC | 1 | 10 | 13.17 | 12.8 | - | 1.6 | 1.6 | - | RT | 92.9 ± 0.2 | 0.167 ± 0.006 | 15.6 ± 0.3 |
| #26 DPPC | 1 | 10 | 13.17 | - | 16 | - | - | - | RT | ND | ND | 7.8 ± 0.7 |
| #27 DPPC | 1 | 5 | 9.79 | - | 11.2 | 4.8 | - | - | RT | 162.8 ± 1.6 | 0.167 ± 0.046 | ND |
| #28 DPPC | 1 | 10 | 13.17 | - | 11.2 | 4.8 | - | - | RT | 185.2 ± 1.7 | 0.212 ± 0.004 | 3.7 ± 0.4 |
| #29 DPPC | 1 | 15 | 14.75 | - | 11.2 | 4.8 | - | - | RT | 198.8 ± 1.2 | 0.208 ± 0.012 | ND |
| #30 DPPC | 1 | 20 | 15.63 | - | 11.2 | 4.8 | - | - | RT | 201.1 ± 0.6 | 0.219 ± 0.007 | ND |
| #31 DPPC | 5 | 5 | 48.95 | - | 11.2 | 4.8 | - | - | RT | 131.9 ± 1.0 | 0.085 ± 0.028 | ND |
| #32 DPPC | 5 | 10 | 65.83 | - | 11.2 | 4.8 | - | - | RT | 139.7 ± 1.3 | 0.073 ± 0.002 | ND |
| #33 DPPC | 5 | 15 | 73.75 | - | 11.2 | 4.8 | - | - | RT | 136.9 ± 0.4 | 0.089 ± 0.016 | ND |
| #34 DPPC | 5 | 20 | 78.13 | - | 11.2 | 4.8 | - | - | RT | 138.6 ± 1.9 | 0.088 ± 0.011 | ND |
| #35 DPPC | 10 | 5 | 97.90 | - | 11.2 | 4.8 | - | - | RT | 105.9 ± 1.1 | 0.093 ± 0.017 | ND |
| #36 DPPC | 10 | 10 | 131.66 | - | 11.2 | 4.8 | - | - | RT | 97.3 ± 0.6 | 0.103 ± 0.012 | ND |
| #37 DPPC | 10 | 15 | 147.50 | - | 11.2 | 4.8 | - | - | RT | 94.9 ± 0.9 | 0.085 ± 0.011 | ND |
| #38 DPPC | 10 | 20 | 156.26 | - | 11.2 | 4.8 | - | - | RT | 88.4 ± 1.1 | 0.069 ± 0.015 | ND |
| #39 DPPC | 1 | 10 | 13.17 | - | 12.8 | 1.6 | 1.6 | RT | ND | ND | 25.9 ± 1.6 | |
| #40 DPPC | 1 | 10 | 13.17 | - | 13.6 | - | 1.6 | 0.8 | RT | 54.4 ± 0.5 | 0.144 ± 0.020 | 29.8 ± 3.0 |
| #41 DPPC | 1 | 15 | 14.75 | - | 13.6 | - | 1.6 | 0.8 | RT | 54.8 ± 0.9 | 0.130 ± 0.007 | 45.6 ± 3.4 |
| #42 DPPC | 1 | 20 | 15.63 | - | 13.6 | - | 1.6 | 0.8 | RT | 56.6 ± 0.7 | 0.158 ± 0.013 | 36.3 ± 2.7 |
| #43 DPPC | 1 | 10 | 13.17 | - | 12.8 | - | 1.6 | 1.6 | RT | 75.3 ± 0.3 | 0.190 ± 0.016 | 17.4 ± 0.7 |
| #44 DPPC | 1 | 15 | 14.75 | - | 12.8 | - | 1.6 | 1.6 | RT | 81.3 ± 1.0 | 0.209 ± 0.010 | 20.8 ± 0.5 |
| #45 DPPC | 1 | 20 | 15.63 | - | 12.8 | - | 1.6 | 1.6 | RT | 77.2 ± 1.0 | 0.195 ± 0.007 | 29.8 ± 2.9 |
| #46 DPPC | 1 | 5 | 9.79 | - | 11.2 | 4.8 | - | - | 65 | 177.6 ± 2.1 | 0.222 ± 0.017 | ND |
| #47 DPPC | 1 | 10 | 13.17 | - | 11.2 | 4.8 | - | - | 65 | 196.1 ± 1.5 | 0.238 ± 0.023 | ND |
| #48 DPPC | 1 | 15 | 14.75 | - | 11.2 | 4.8 | - | - | 65 | 186.7 ± 1.9 | 0.154 ± 0.005 | ND |
| #49 DPPC | 1 | 20 | 15.63 | - | 11.2 | 4.8 | - | - | 65 | 195.8 ± 2.7 | 0.224 ± 0.017 | ND |
| #50 DPPC | 5 | 5 | 48.95 | - | 11.2 | 4.8 | - | - | 65 | 138.7 ± 2.3 | 0.076 ± 0.019 | ND |
| #51 DPPC | 5 | 10 | 65.83 | - | 11.2 | 4.8 | - | - | 65 | 143.5 ± 1.0 | 0.101 ± 0.006 | ND |
| #52 DPPC | 5 | 15 | 73.75 | - | 11.2 | 4.8 | - | - | 65 | 124.9 ± 1.3 | 0.094 ± 0.026 | ND |
| #53 DPPC | 5 | 20 | 78.13 | - | 11.2 | 4.8 | - | - | 65 | 125.6 ± 1.9 | 0.085 ± 0.015 | ND |
| #54 DPPC | 10 | 5 | 97.90 | - | 11.2 | 4.8 | - | - | 65 | 101.1 ± 0.7 | 0.044 ± 0.009 | ND |
| #55 DPPC | 10 | 10 | 131.66 | - | 11.2 | 4.8 | - | - | 65 | 93.9 ± 1.2 | 0.055 ± 0.008 | ND |
| #56 DPPC | 10 | 15 | 147.50 | - | 11.2 | 4.8 | - | - | 65 | 90.6 ± 0.4 | 0.057 ± 0.008 | ND |
| #57 DPPC | 10 | 20 | 156.26 | - | 11.2 | 4.8 | - | - | 65 | 86.6 ± 1.7 | 0.066 ± 0.008 | ND |
| #58 PC * | - | 5 * | - | 100 | - | - | - | - | RT | 193.6 ± 2.9 | 0.260 ± 0.012 | ND |
| #59 PC * | - | 10 * | - | 100 | - | - | - | - | RT | 192.1 ± 2.7 | 0.242 ± 0.007 | ND |
| #60 PC * | - | 25 * | - | 100 | - | - | - | - | RT | 193.2 ± 1.7 | 0.302 ± 0.030 | ND |
| #61 PC * | - | 50 * | - | 100 | - | - | - | - | RT | 208.2 ± 24.5 | 0.325 ± 0.056 | ND |
Publisher’s Note: MDPI stays neutral with regard to jurisdictional claims in published maps and institutional affiliations. |
© 2020 by the authors. Licensee MDPI, Basel, Switzerland. This article is an open access article distributed under the terms and conditions of the Creative Commons Attribution (CC BY) license (http://creativecommons.org/licenses/by/4.0/).
Share and Cite
Yanar, F.; Mosayyebi, A.; Nastruzzi, C.; Carugo, D.; Zhang, X. Continuous-Flow Production of Liposomes with a Millireactor under Varying Fluidic Conditions. Pharmaceutics 2020, 12, 1001. https://doi.org/10.3390/pharmaceutics12111001
Yanar F, Mosayyebi A, Nastruzzi C, Carugo D, Zhang X. Continuous-Flow Production of Liposomes with a Millireactor under Varying Fluidic Conditions. Pharmaceutics. 2020; 12(11):1001. https://doi.org/10.3390/pharmaceutics12111001
Chicago/Turabian StyleYanar, Fatih, Ali Mosayyebi, Claudio Nastruzzi, Dario Carugo, and Xunli Zhang. 2020. "Continuous-Flow Production of Liposomes with a Millireactor under Varying Fluidic Conditions" Pharmaceutics 12, no. 11: 1001. https://doi.org/10.3390/pharmaceutics12111001
APA StyleYanar, F., Mosayyebi, A., Nastruzzi, C., Carugo, D., & Zhang, X. (2020). Continuous-Flow Production of Liposomes with a Millireactor under Varying Fluidic Conditions. Pharmaceutics, 12(11), 1001. https://doi.org/10.3390/pharmaceutics12111001

