A Truncated Nef Peptide from SIVcpz Inhibits the Production of HIV-1 Infectious Progeny
Abstract
:1. Introduction
2. Methods
2.1. Cell Lineages
2.2. Expression Plasmids
2.3. Infectivity Assays
2.4. Western Blotting
2.5. Flow Cytometry
2.6. Proteasome and Lysosomal Inhibition Assay
2.7. Lopinavir Treatment
3. Results
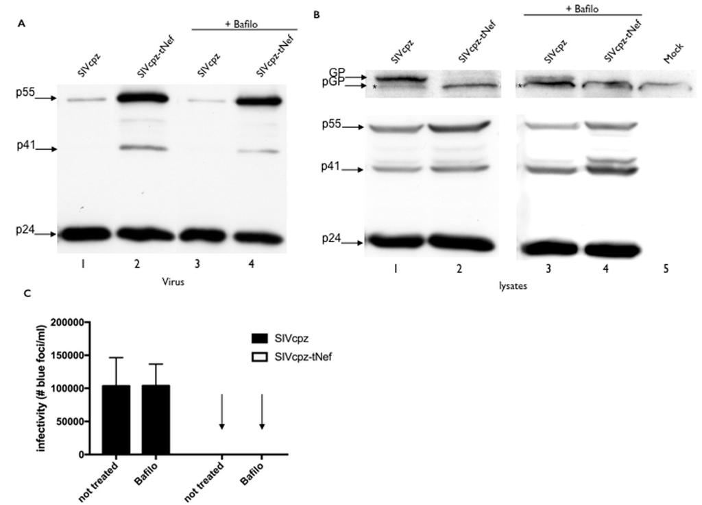
3.1. A Nef-Truncated Peptide from SIVcpz Inhibits Gag Processing and Viral Infectivity
3.2. The Loss of Infectivity of SIVcpz is Due to the tNef Peptide
3.3. The SIVcpz-Nef Protein and the SIVcpz Truncated Peptide Bind to GagPol Polyprotein
3.4. Inhibition of Proteasome or Lysosome Degradation Does Not Rescue GagPol Levels
3.5. The tNef Peptide Is a Dominant Negative
4. Discussion
5. Conclusions
Supplementary Materials
Acknowledgments
Author Contributions
Conflicts of Interest
Abbreviations
| AIDS | acquired immunodeficiency syndrome |
| CA | capsid |
| Env | envelope |
| Gag | group-specific antigen |
| GagPol | Gag-polymerase |
| HIV | human immunodeficiency virus |
| Nef | negative factor |
| SIV | simian immunodeficiency virus |
| VLP | virus-like particle |
| MLV | murine leukemia virus |
| RSV | Rous sarcoma virus |
| MuLV | Moloney murine leukemia virus |
| EIAV | equine infectious anemia virus |
References
- Gao, F.; Bailes, E.; Robertson, D.L.; Chen, Y.; Rodenburg, C.M.; Michael, S.F.; Cummins, L.B.; Arthur, L.O.; Peeters, M.; Shaw, G.M.; et al. Origin of HIV-1 in the chimpanzee Pan troglodytes troglodytes. Nature 1999, 397, 436–441. [Google Scholar] [CrossRef] [PubMed]
- Hahn, B.H.; Shaw, G.M.; de Cock, K.M.; Sharp, P.M. AIDS as a zoonosis: Scientific and public health implications. Science 2000, 287, 607–614. [Google Scholar] [CrossRef] [PubMed]
- Van Heuverswyn, F.; Li, Y.; Neel, C.; Bailes, E.; Keele, B.F.; Liu, W.; Loul, S.; Butel, C.; Liegeois, F.; Bienvenue, Y.; et al. Human immunodeficiency viruses: SIV infection in wild gorillas. Nature 2006, 444. [Google Scholar] [CrossRef] [PubMed]
- Gao, F.; Yue, L.; White, A.T.; Pappas, P.G.; Barchue, J.; Hanson, A.P.; Greene, B.M.; Sharp, P.M.; Shaw, G.M.; Hahn, B.H. Human infection by genetically diverse sivsm-related HIV-2 in west Africa. Nature 1992, 358, 495–499. [Google Scholar] [CrossRef] [PubMed]
- Hirsch, V.M.; Olmsted, R.A.; Murphey-Corb, M.; Purcell, R.H.; Johnson, P.R. An African primate lentivirus (SIVsm) closely related to HIV-2. Nature 1989, 339, 389–392. [Google Scholar] [CrossRef] [PubMed]
- Bentham, M.; Mazaleyrat, S.; Harris, M. Role of myristoylation and N-terminal basic residues in membrane association of the human immunodeficiency virus type 1 Nef protein. J. Gen. Virol. 2006, 87, 563–571. [Google Scholar] [CrossRef] [PubMed]
- Kotov, A.; Zhou, J.; Flicker, P.; Aiken, C. Association of nef with the human immunodeficiency virus type 1 core. J. Virol. 1999, 73, 8824–8830. [Google Scholar] [PubMed]
- Fackler, O.T.; Moris, A.; Tibroni, N.; Giese, S.I.; Glass, B.; Schwartz, O.; Krausslich, H.G. Functional characterization of HIV-1 Nef mutants in the context of viral infection. Virology 2006, 351, 322–339. [Google Scholar] [CrossRef] [PubMed]
- Fackler, O.T.; Kienzle, N.; Kremmer, E.; Boese, A.; Schramm, B.; Klimkait, T.; Kucherer, C.; Mueller-Lantzsch, N. Association of human immunodeficiency virus Nef protein with actin is myristoylation dependent and influences its subcellular localization. Eur. J. Biochem. 1997, 247, 843–851. [Google Scholar] [CrossRef] [PubMed]
- Geyer, M.; Fackler, O.T.; Peterlin, B.M. Structure—Function relationships in HIV-1 Nef. EMBO Rep. 2001, 2, 580–585. [Google Scholar] [CrossRef] [PubMed]
- Anderson, S.; Shugars, D.C.; Swanstrom, R.; Garcia, J.V. Nef from primary isolates of human immunodeficiency virus type 1 suppresses surface CD4 expression in human and mouse T cells. J. Virol. 1993, 67, 4923–4931. [Google Scholar] [PubMed]
- Arganaraz, E.R.; Schindler, M.; Kirchhoff, F.; Cortes, M.J.; Lama, J. Enhanced CD4 down-modulation by late stage HIV-1 Nef alleles is associated with increased Env incorporation and viral replication. J. Biol. Chem. 2003, 278, 33912–33919. [Google Scholar] [CrossRef] [PubMed]
- Ross, T.M.; Oran, A.E.; Cullen, B.R. Inhibition of HIV-1 progeny virion release by cell-surface CD4 is relieved by expression of the viral Nef protein. Curr. Biol. 1999, 9, 613–621. [Google Scholar] [CrossRef]
- Aiken, C.; Trono, D. Nef stimulates human immunodeficiency virus type 1 proviral DNA synthesis. J. Virol. 1995, 69, 5048–5056. [Google Scholar] [PubMed]
- Chowers, M.Y.; Pandori, M.W.; Spina, C.A.; Richman, D.D.; Guatelli, J.C. The growth advantage conferred by HIV-1 Nef is determined at the level of viral DNA formation and is independent of CD4 downregulation. Virology 1995, 212, 451–457. [Google Scholar] [CrossRef] [PubMed]
- Goldsmith, M.A.; Warmerdam, M.T.; Atchison, R.E.; Miller, M.D.; Greene, W.C. Dissociation of the CD4 downregulation and viral infectivity enhancement functions of human immunodeficiency virus type 1 Nef. J. Virol. 1995, 69, 4112–4121. [Google Scholar] [PubMed]
- Cheng-Mayer, C.; Iannello, P.; Shaw, K.; Luciw, P.A.; Levy, J.A. Differential effects of Nef on HIV replication: Implications for viral pathogenesis in the host. Science 1989, 246, 1629–1632. [Google Scholar] [CrossRef] [PubMed]
- Hammes, S.R.; Dixon, E.P.; Malim, M.H.; Cullen, B.R.; Greene, W.C. Nef protein of human immunodeficiency virus type 1: Evidence against its role as a transcriptional inhibitor. Proc. Natl. Acad. Sci. USA 1989, 86, 9549–9553. [Google Scholar] [CrossRef] [PubMed]
- Kim, S.; Ikeuchi, K.; Byrn, R.; Groopman, J.; Baltimore, D. Lack of a negative influence on viral growth by the nef gene of human immunodeficiency virus type 1. Proc. Natl. Acad. Sci. USA 1989, 86, 9544–9548. [Google Scholar] [CrossRef] [PubMed]
- Lama, J.; Mangasarian, A.; Trono, D. Cell-surface expression of CD4 reduces HIV-1 infectivity by blocking Env incorporation in a Nef- and Vpu-inhibitable manner. Curr. Biol. 1999, 9, 622–631. [Google Scholar] [CrossRef]
- Neri, F.; Giolo, G.; Potesta, M.; Petrini, S.; Doria, M. CD4 downregulation by the human immunodeficiency virus type 1 Nef protein is dispensable for optimal output and functionality of viral particles in primary T cells. J. Gen. Virol. 2011, 92, 141–150. [Google Scholar] [CrossRef] [PubMed]
- Rosa, A.; Chande, A.; Ziglio, S.; de Sanctis, V.; Bertorelli, R.; Goh, S.L.; McCauley, S.M.; Nowosielska, A.; Antonarakis, S.E.; Luban, J.; et al. HIV-1 Nef promotes infection by excluding SERINC5 from virion incorporation. Nature 2015, 526, 212–217. [Google Scholar] [CrossRef] [PubMed]
- Usami, Y.; Wu, Y.; Gottlinger, H.G. SERINC3 and SERINC5 restrict HIV-1 infectivity and are counteracted by Nef. Nature 2015, 526, 218–223. [Google Scholar] [CrossRef] [PubMed]
- Bukovsky, A.A.; Dorfman, T.; Weimann, A.; Gottlinger, H.G. Nef association with human immunodeficiency virus type 1 virions and cleavage by the viral protease. J. Virol. 1997, 71, 1013–1018. [Google Scholar] [PubMed]
- Chen, Y.L.; Trono, D.; Camaur, D. The proteolytic cleavage of human immunodeficiency virus type 1 Nef does not correlate with its ability to stimulate virion infectivity. J. Virol. 1998, 72, 3178–3184. [Google Scholar] [PubMed]
- Pandori, M.; Craig, H.; Moutouh, L.; Corbeil, J.; Guatelli, J. Virological importance of the protease-cleavage site in human immunodeficiency virus type 1 Nef is independent of both intravirion processing and CD4 down-regulation. Virology 1998, 251, 302–316. [Google Scholar] [CrossRef] [PubMed]
- Costa, L.J.; Zheng, Y.H.; Sabotic, J.; Mak, J.; Fackler, O.T.; Peterlin, B.M. Nef binds p6* in gagpol during replication of human immunodeficiency virus type 1. J. Virol. 2004, 78, 5311–5323. [Google Scholar] [CrossRef] [PubMed]
- Mendonca, L.M.; Poeys, S.C.; Abreu, C.M.; Tanuri, A.; Costa, L.J. HIV-1 Nef inhibits protease activity and its absence alters protein content of mature viral particles. PLoS ONE 2014, 9, e95352. [Google Scholar] [CrossRef] [PubMed]
- Munch, J.; Rajan, D.; Schindler, M.; Specht, A.; Rucker, E.; Novembre, F.J.; Nerrienet, E.; Muller-Trutwin, M.C.; Peeters, M.; Hahn, B.H.; et al. Nef-mediated enhancement of virion infectivity and stimulation of viral replication are fundamental properties of primate lentiviruses. J. Virol. 2007, 81, 13852–13864. [Google Scholar] [CrossRef] [PubMed]
- Coren, L.V.; Thomas, J.A.; Chertova, E.; Sowder, R.C., 2nd; Gagliardi, T.D.; Gorelick, R.J.; Ott, D.E. Mutational analysis of the C-terminal gag cleavage sites in human immunodeficiency virus type 1. J. Virol. 2007, 81, 10047–10054. [Google Scholar] [CrossRef] [PubMed]
- Schmokel, J.; Li, H.; Bailes, E.; Schindler, M.; Silvestri, G.; Hahn, B.H.; Apetrei, C.; Kirchhoff, F. Conservation of Nef function across highly diverse lineages of SIVsmm. Retrovirology 2009, 6. [Google Scholar] [CrossRef] [PubMed]
- Adachi, A.; Ono, N.; Sakai, H.; Ogawa, K.; Shibata, R.; Kiyomasu, T.; Masuike, H.; Ueda, S. Generation and characterization of the human immunodeficiency virus type 1 mutants. Arch. Virol. 1991, 117, 45–58. [Google Scholar] [CrossRef] [PubMed]
- Schindler, M.; Wurfl, S.; Benaroch, P.; Greenough, T.C.; Daniels, R.; Easterbrook, P.; Brenner, M.; Munch, J.; Kirchhoff, F. Down-modulation of mature major histocompatibility complex class II and up-regulation of invariant chain cell surface expression are well-conserved functions of human and simian immunodeficiency virus Nef alleles. J. Virol. 2003, 77, 10548–10556. [Google Scholar] [CrossRef] [PubMed]
- Pandori, M.W.; Fitch, N.J.; Craig, H.M.; Richman, D.D.; Spina, C.A.; Guatelli, J.C. Producer-cell modification of human immunodeficiency virus type 1: Nef is a virion protein. J. Virol. 1996, 70, 4283–4290. [Google Scholar] [PubMed]
- Tokunaga, K.; Kiyokawa, E.; Nakaya, M.; Otsuka, N.; Kojima, A.; Kurata, T.; Matsuda, M. Inhibition of human immunodeficiency virus type 1 virion entry by dominant-negative HCK. J. Virol. 1998, 72, 6257–6259. [Google Scholar] [PubMed]
- Jesus da Costa, L.; Dos Santos, A.L.; Mandic, R.; Shaw, K.; de Aguiar, R.S.; Tanuri, A.; Luciw, P.A.; Peterlin, B.M. Interactions between SIVNef, SIVGagPol and Alix correlate with viral replication and progression to AIDS in rhesus macaques. Virology 2009, 394, 47–56. [Google Scholar] [CrossRef] [PubMed]
- Ott, D.E.; Coren, L.V.; Sowder, R.C., 2nd; Adams, J.; Schubert, U. Retroviruses have differing requirements for proteasome function in the budding process. J. Virol. 2003, 77, 3384–3393. [Google Scholar] [CrossRef] [PubMed]
- Ott, D.E.; Coren, L.V.; Sowder, R.C., 2nd; Adams, J.; Nagashima, K.; Schubert, U. Equine infectious anemia virus and the ubiquitin-proteasome system. J. Virol. 2002, 76, 3038–3044. [Google Scholar] [CrossRef] [PubMed]
- Fackler, O.T.; d’Aloja, P.; Baur, A.S.; Federico, M.; Peterlin, B.M. Nef from human immunodeficiency virus type 1(F12) inhibits viral production and infectivity. J. Virol. 2001, 75, 6601–6608. [Google Scholar] [CrossRef] [PubMed]
- Olivetta, E.; Pugliese, K.; Bona, R.; D’Aloja, P.; Ferrantelli, F.; Santarcangelo, A.C.; Mattia, G.; Verani, P.; Federico, M. Cis expression of the F12 human immunodeficiency virus (HIV) Nef allele transforms the highly productive NL4-3 HIV type 1 to a replication-defective strain: Involvement of both Env gp41 and CD4 intracytoplasmic tails. J. Virol. 2000, 74, 483–492. [Google Scholar] [CrossRef] [PubMed]
- Terwilliger, E.; Sodroski, J.G.; Rosen, C.A.; Haseltine, W.A. Effects of mutations within the 3′ ORF open reading frame region of human T-cell lymphotropic virus type III (HTLV-III/LAV) on replication and cytopathogenicity. J. Virol. 1986, 60, 754–760. [Google Scholar] [PubMed]
- Niederman, T.M.; Thielan, B.J.; Ratner, L. Human immunodeficiency virus type 1 negative factor is a transcriptional silencer. Proc. Natl. Acad. Sci. USA 1989, 86, 1128–1132. [Google Scholar] [CrossRef] [PubMed]
- Pettit, S.C.; Everitt, L.E.; Choudhury, S.; Dunn, B.M.; Kaplan, A.H. Initial cleavage of the human immunodeficiency virus type 1 GagPol precursor by its activated protease occurs by an intramolecular mechanism. J. Virol. 2004, 78, 8477–8485. [Google Scholar] [CrossRef] [PubMed]
- Pettit, S.C.; Clemente, J.C.; Jeung, J.A.; Dunn, B.M.; Kaplan, A.H. Ordered processing of the human immunodeficiency virus type 1 GagPol precursor is influenced by the context of the embedded viral protease. J. Virol. 2005, 79, 10601–10607. [Google Scholar] [CrossRef] [PubMed]
- Pettit, S.C.; Lindquist, J.N.; Kaplan, A.H.; Swanstrom, R. Processing sites in the human immunodeficiency virus type 1 (HIV-1) Gag-Pro-Pol precursor are cleaved by the viral protease at different rates. Retrovirology 2005, 2. [Google Scholar] [CrossRef] [PubMed]
- Strack, B.; Calistri, A.; Accola, M.A.; Palu, G.; Gottlinger, H.G. A role for ubiquitin ligase recruitment in retrovirus release. Proc. Natl. Acad. Sci. USA 2000, 97, 13063–13068. [Google Scholar] [CrossRef] [PubMed]
- Schubert, U.; Ott, D.E.; Chertova, E.N.; Welker, R.; Tessmer, U.; Princiotta, M.F.; Bennink, J.R.; Krausslich, H.G.; Yewdell, J.W. Proteasome inhibition interferes with gag polyprotein processing, release, and maturation of HIV-1 and HIV-2. Proc. Natl. Acad. Sci. USA 2000, 97, 13057–13062. [Google Scholar] [CrossRef] [PubMed]
- Patnaik, A.; Chau, V.; Li, F.; Montelaro, R.C.; Wills, J.W. Budding of equine infectious anemia virus is insensitive to proteasome inhibitors. J. Virol. 2002, 76, 2641–2647. [Google Scholar] [CrossRef] [PubMed]
- Chung, H.Y.; Morita, E.; von Schwedler, U.; Muller, B.; Krausslich, H.G.; Sundquist, W.I. NEDD4L overexpression rescues the release and infectivity of human immunodeficiency virus type 1 constructs lacking PTAP and YPXL late domains. J. Virol. 2008, 82, 4884–4897. [Google Scholar] [CrossRef] [PubMed]
- Martin-Serrano, J. The role of ubiquitin in retroviral egress. Traffic 2007, 8, 1297–1303. [Google Scholar] [CrossRef] [PubMed]
- Alroy, I.; Tuvia, S.; Greener, T.; Gordon, D.; Barr, H.M.; Taglicht, D.; Mandil-Levin, R.; Ben-Avraham, D.; Konforty, D.; Nir, A.; et al. The trans-Golgi network-associated human ubiquitin-protein ligase POSH is essential for HIV type 1 production. Proc. Natl. Acad. Sci. USA 2005, 102, 1478–1483. [Google Scholar] [CrossRef] [PubMed]
- Sette, P.; Jadwin, J.A.; Dussupt, V.; Bello, N.F.; Bouamr, F. The ESCRT-associated protein Alix recruits the ubiquitin ligase Nedd4–1 to facilitate HIV-1 release through the LYPXnl l domain motif. J. Virol. 2010, 84, 8181–8192. [Google Scholar] [CrossRef] [PubMed]
- Votteler, J.; Iavnilovitch, E.; Fingrut, O.; Shemesh, V.; Taglicht, D.; Erez, O.; Sorgel, S.; Walther, T.; Bannert, N.; Schubert, U.; et al. Exploring the functional interaction between posh and alix and the relevance to HIV-1 release. BMC Biochem. 2009, 10. [Google Scholar] [CrossRef] [PubMed]
- Federico, M.; Nappi, F.; Ferrari, G.; Chelucci, C.; Mavilio, F.; Verani, P. A nonproducer, interfering human immunodeficiency virus (HIV) type 1 provirus can be transduced through a murine leukemia virus-based retroviral vector: Recovery of an anti-HIV mouse/human pseudotype retrovirus. J. Virol. 1995, 69, 6618–6626. [Google Scholar] [PubMed]
- Muller, B.; Anders, M.; Akiyama, H.; Welsch, S.; Glass, B.; Nikovics, K.; Clavel, F.; Tervo, H.M.; Keppler, O.T.; Krausslich, H.G. HIV-1 gag processing intermediates trans-dominantly interfere with HIV-1 infectivity. J. Biol. Chem. 2009, 284, 29692–29703. [Google Scholar] [CrossRef] [PubMed]
- Checkley, M.A.; Luttge, B.G.; Soheilian, F.; Nagashima, K.; Freed, E.O. The capsid-spacer peptide 1 gag processing intermediate is a dominant-negative inhibitor of HIV-1 maturation. Virology 2010, 400, 137–144. [Google Scholar] [CrossRef] [PubMed]
- Lee, S.K.; Harris, J.; Swanstrom, R. A strongly transdominant mutation in the human immunodeficiency virus type 1 gag gene defines an Achilles heel in the virus life cycle. J. Virol. 2009, 83, 8536–8543. [Google Scholar] [CrossRef] [PubMed]







© 2016 by the authors; licensee MDPI, Basel, Switzerland. This article is an open access article distributed under the terms and conditions of the Creative Commons Attribution (CC-BY) license (http://creativecommons.org/licenses/by/4.0/).
Share and Cite
Sabino Cunha, M.; Lima Sampaio, T.; Peterlin, B.M.; Jesus da Costa, L. A Truncated Nef Peptide from SIVcpz Inhibits the Production of HIV-1 Infectious Progeny. Viruses 2016, 8, 189. https://doi.org/10.3390/v8070189
Sabino Cunha M, Lima Sampaio T, Peterlin BM, Jesus da Costa L. A Truncated Nef Peptide from SIVcpz Inhibits the Production of HIV-1 Infectious Progeny. Viruses. 2016; 8(7):189. https://doi.org/10.3390/v8070189
Chicago/Turabian StyleSabino Cunha, Marcela, Thatiane Lima Sampaio, B. Matija Peterlin, and Luciana Jesus da Costa. 2016. "A Truncated Nef Peptide from SIVcpz Inhibits the Production of HIV-1 Infectious Progeny" Viruses 8, no. 7: 189. https://doi.org/10.3390/v8070189
APA StyleSabino Cunha, M., Lima Sampaio, T., Peterlin, B. M., & Jesus da Costa, L. (2016). A Truncated Nef Peptide from SIVcpz Inhibits the Production of HIV-1 Infectious Progeny. Viruses, 8(7), 189. https://doi.org/10.3390/v8070189
