In Vitro Evolution of Bovine Foamy Virus Variants with Enhanced Cell-Free Virus Titers and Transmission
Abstract
:1. Introduction
2. Materials and Methods
2.1. Virus and Cell Culture
2.2. BFV Propagation, Titration and Neutralization Assays
2.3. DNA Transfection into 293T Cells
2.4. Purification of wt and Sub-Viral BFV Particles
2.5. Indirect Immunofluorescence
2.6. Transmission Electron Microscopy
2.7. Flow Cytometry
2.8. DNA Extraction, PCR and Cloning
| Oligonucleotides used for myr-add and -sub mutagenesis 5′-3′ | |
|---|---|
| Gwt-F | CGAGCCACCGGTCCGCCATGGCTCTTAATGACTTCGA |
| Gwt-R | CGAGCCGGATCCTTAAGATGATTGCCCTTGATTTCCAC |
| Src-sub | CGAGCCACCGGTCCGCCATGGGCAGCAGCAAGAGCAAGCCCAAGGCTCTCCAGGGGTATTTACC |
| Lck-sub | CGAGCCACCGGTCCGCCATGGGCTGCGGCTGCAGCAGCCACCCCGCTCTCCAGGGGTATTTACC |
| Src-add | CGAGCCACCGGTCCGCCATGGGCAGCAGCAAGAGCAAGCCCAAGATGGCTCTTAATGACTTCGA |
| Lck-add | CGAGCCACCGGTCCGCCATGGGCTGCGGCTGCAGCAGCCACCCCATGGCTCTTAATGACTTCGA |
| Oligonucleotides used to construct Gag and Env expression constructs 5′-3′ | |
| Gag-F | CGAGCCACCGGT GGAGGAGGTCACAACAATTGG |
| Gag-R | CGAGCCGGATCCCTCCACGTAATACACATC |
| Env-F | CGAGCCAAGCTTGGACCTGCCAAAGGTGTGGT |
| Env-R | GGGCCCTCCTCTAAGTTCATCTCG |
2.9. Immunoblotting
3. Results
3.1. Virological Characterization of the Original BFV-Riems Isolate
3.1.1. BFV-Riems Gene Expression in Primary Bovine KTR Cells

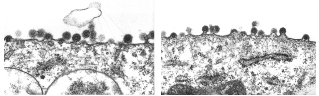
3.1.2. Morphogenesis, Budding and Release of BFV-Riems in KTR Cells

3.1.3. Bovine Cell-Based BFV Titration Cells
3.1.4. BFV-Riems Infectivity from KTR Cells is Not Inhibited by Bovine or Horse Serum Components
3.2. Consistent but Low Level Env-Dependent BFV Gag Budding
3.2.1. Low Budding Efficiency of BFV Gag upon Env Co-Expression

3.2.2. Env-Independent Budding of Myristoylated BFV Gag

3.3. Selection of High Titer Cell-Free Infectious BFV (HT–BFV) by Serial Passaging
3.3.1. Selection of BFV with Enhanced Budding Capability and HT Cell-Free Infectivity




3.3.2. HT–BFV Can Still Be Neutralized by Sera from BFV-Infected Cows
| HT-BFV derived from BHK-21 | Normal medium | Serum from BFV naturally infected cows 11 | Serum from BFV naturally infected cows 33 | ||||||||
| FFU/ml | 100 μl | 100 μl | 33 μl | 11 μl | 3.6 μl | 1.2 μl | 100 μl | 33 μl | 11 μl | 3.6 μl | 1.2 μl |
| 104 | ++++ | +++ | ++++ | ++++ | ++++ | ++++ | +++ | ++++ | ++++ | ++++ | ++++ |
| 103 | +++ | + | + | ++ | ++ | +++ | + | ++ | ++ | ++ | +++ |
| 102 | ++ | - | - | - | + | ++ | - | - | - | ++ | ++ |
| 101 | + | - | - | - | - | + | - | - | - | - | + |
| HT-BFV derived from MDBK | Normal medium | Serum from BFV naturally infected cows 11 | Serum from BFV naturally infected cows 33 | ||||||||
| FFU/ml | 100 μl | 100 μl | 33 μl | 11 μl | 3.6 μl | 1.2 μl | 100 μl | 33 μl | 11 μl | 3.6 μl | 1.2 μl |
| 104 | ++++ | +++ | +++ | ++++ | ++++ | ++++ | +++ | ++++ | ++++ | ++++ | ++++ |
| 103 | +++ | - | + | ++ | ++ | +++ | + | ++ | ++ | ++ | +++ |
| 102 | ++ | - | - | - | + | ++ | - | - | - | ++ | ++ |
| 101 | + | - | - | - | - | + | - | - | - | - | + |
3.3.3. HT-BFV Can Spread via Cell–Cell and Cell-Free Transmission

4. Discussion
5. Conclusions
Acknowledgments
Author Contributions
Conflicts of Interest
References
- Enders, J.F.; Peebles, T.C. Propagation in Tissue Cultures of Cytopathogenic Agents from Patients with Measles. Exp. Biol. Med. 1954, 86, 277–286. [Google Scholar] [CrossRef]
- Rethwilm, A. Molecular biology of foamy viruses. Med. Microbiol. Immunol. 2010, 199, 197–207. [Google Scholar] [CrossRef] [PubMed]
- Yu, S.F.; Linial, M.L. Analysis of the Role of the bel and bet Open Reading Frames of Human Foamy Virus by Using a New Quantitative Assay. J. Virol. 1993, 67, 6618–6624. [Google Scholar] [PubMed]
- Löchelt, M.; Muranyi, W.; Flügel, R.M. Human foamy virus genome possesses an internal, Bel-1-dependent and functional promoter. Proc. Natl. Acad. Sci. USA 1993, 90, 7317–7321. [Google Scholar] [CrossRef] [PubMed]
- Lindemann, D.; Rethwilm, A. Foamy Virus Biology and Its Application for Vector Development. Viruses 2011, 3, 561–585. [Google Scholar] [CrossRef] [PubMed]
- Pietschmann, T.; Heinkelein, M.; Heldmann, M.; Zentgraf, H.; Rethwilm, A.; Lindemann, D. Foamy Virus Capsids Require the Cognate Envelope Protein for Particle Export. J. Virol. 1999, 73, 2613–2621. [Google Scholar] [PubMed]
- Wilk, T.; Geiselhart, V.; Frech, M.; Fuller, S.D.; Flügel, R.M.; Löchelt, M. Specific Interaction of a Novel Foamy Virus Env Leader Protein with the N-Terminal Gag Domain. J. Virol. 2001, 75, 7995–8007. [Google Scholar] [CrossRef] [PubMed]
- Delelis, O.; Saib, A.; Sonigo, P. Biphasic DNA Synthesis in Spumaviruses. J. Virol. 2003, 77, 8141–8146. [Google Scholar] [CrossRef] [PubMed]
- Switzer, W.M.; Parekh, B.; Shanmugam, V.; Bhullar, V.; Phillips, S.; Ely, J.J.; Heneine, W. The Epidemiology of Simian Immunodeficiency Virus Infection in a Large Number of Wild- and Captive-Born Chimpanzees: Evidence for a Recent Introduction following Chimpanzee Divergence. AIDS Res. Hum. Retrovir. 2005, 21, 335–342. [Google Scholar] [CrossRef] [PubMed]
- Kehl, T.; Tan, J.; Materniak, M. Non-simian foamy viruses: molecular virology, tropism and prevalence and zoonotic/interspecies transmission. Viruses 2013, 5, 2169–2209. [Google Scholar] [CrossRef] [PubMed]
- Johnson, R.H.; Oginnusi, A.A.; Ladds, P.W. Isolations and serology of bovine spumavirus. Aust. Vet. J. 1983, 60, 147. [Google Scholar] [CrossRef] [PubMed]
- Lucas, M.H.; Roberts, D.H.; Parker, B.N.; Wibberley, G. Spread of bovine syncytial virus in a dairy herd over a two year period. Res. Vet. Sci. 1986, 40, 259–263. [Google Scholar] [PubMed]
- Romen, F.; Backes, P.; Materniak, M.; Sting, R.; Vahlenkamp, T.W.; Riebe, R.; Pawlita, M.; Kuzmak, J.; Loechelt, M. Serological detection systems for identification of cows shedding bovine foamy virus via milk. Virology 2007, 364, 123–131. [Google Scholar] [CrossRef] [PubMed]
- Bastone, P.; Truyen, U.; Löchelt, M. Potential of zoonotic transmission of non-primate foamy viruses to humans. J. Vet. Med. B Infect. Dis. Vet. Public Health 2003, 50, 417–423. [Google Scholar] [CrossRef] [PubMed]
- Materniak, M.; Sieradzki, Z.; Kuzmak, J. Detection of Bovine Foamy Virus in Milk and Saliva of BFV Seropositive Cattle. Bull. Vet. Inst. Pulawy 2010, 54, 461–465. [Google Scholar]
- Holzschu, D.L.; Delaney, M.A.; Renshaw, R.W.; Casey, J.W. The nucleotide sequence and spliced pol mRNA levels of the nonprimate spumavirus bovine foamy virus. J. Virol. 1998, 72, 2177–2182. [Google Scholar] [PubMed]
- Han, G.Z.; Worobey, M. An Endogenous Foamy Virus in the Aye-Aye (Daubentonia madagascariensis). J. Virol. 2012, 86, 7696–7698. [Google Scholar] [CrossRef] [PubMed]
- Yu, H.; Li, T.; Qiao, W.; Chen, Q.; Geng, Y. Guanine tetrad and palindromic sequence play critical roles in the RNA dimerization of bovine foamy virus. Arch. Virol. 2007, 152, 2159–2167. [Google Scholar] [CrossRef] [PubMed]
- Materniak, M.; Bicka, L.; Kuzmak, J. Isolation and partial characterization of bovine foamy virus from Polish cattle. Pol. J. Vet. Sci. 2005, 9, 207–211. [Google Scholar]
- Hechler, T.; Materniak, M.; Kehl, T.; Kuzmak, J.; Löchelt, M. Complete genome sequences of two novel European clade bovine foamy viruses from Germany and Poland. J. Virol. 2012, 86, 10905–10906. [Google Scholar] [CrossRef] [PubMed]
- Liebermann, H.; Riebe, R. Isolation of Bovine Syncytia Virus in GDR. Arch. Exper. Vet. Med. 1981, 35, 917–919. [Google Scholar]
- Liebermann, H.; Riebe, R. Detection of Bovine Syncytia virus in Newborn Calves prior to Colostrum Intake. Arch. Exper. Vet. Med. 1986, 39, 707–711. [Google Scholar]
- Geiselhart, V.; Schwantes, A.; Bastone, P.; Frech, M.; Löchelt, M. Features of the Env leader protein and the N-terminal Gag domain of feline foamy virus important for virus morphogenesis. Virology 2003, 310, 235–244. [Google Scholar] [CrossRef]
- Gottlinger, H.G.; Sodroski, J.G.; Haseltine, W.A. Role of capsid precursor processing and myristoylation in morphogenesis and infectivity of human immunodeficiency virus type 1. Proc. Natl. Acad. Sci. USA 1989, 86, 5781–5785. [Google Scholar] [CrossRef] [PubMed]
- Farazi, T.A.; Waksman, G.; Gordon, J.I. The Biology and Enzymology of Protein N-Myristoylation. J. Biol. Chem. 2001, 276, 39501–39504. [Google Scholar] [CrossRef] [PubMed]
- Zhadina, M.; McClure, M.O.; Johnson, M.C.; Bieniasz, P.D. Ubiquitin-dependent virus particle budding without viral protein ubiquitination. Proc. Natl. Acad. Sci. USA 2007, 104, 20031–20036. [Google Scholar] [CrossRef] [PubMed]
- Life, R.B.; Lee, E.G.; Eastman, S.W.; Linial, M.L. Mutations in the Amino Terminus of Foamy Virus Gag Disrupt Morphology and Infectivity but Do Not Target Assembly. J. Virol. 2008, 82, 6109–6119. [Google Scholar] [CrossRef] [PubMed]
- Liu, Y.; Kim, Y.-B.; Löchelt, M. N-Terminally Myristoylated Feline Foamy Virus Gag Allows Env-Independent Budding of Sub-Viral Particles. Viruses 2011, 3, 2223–2237. [Google Scholar] [CrossRef] [PubMed]
- Ho, Y.-P.; Schnabel, V.; Swiersy, A.; Stirnnagel, K.; Lindemann, D. A small-molecule-controlled system for efficient pseudotyping of prototype foamy virus vectors. Mol. Ther. 2012, 20, 1167–1176. [Google Scholar] [CrossRef] [PubMed]
- Sattentau, Q. Avoiding the void: cell-to-cell spread of human viruses. Nat. Rev. Micro. 2008, 6, 815–826. [Google Scholar] [CrossRef] [PubMed]
- Johnson, D.C.; Huber, M.T. Directed Egress of Animal Viruses Promotes Cell-to-Cell Spread. J. Virol. 2002, 76, 1–8. [Google Scholar] [CrossRef] [PubMed]
- Helenius, A.; Kartenbeck, J.; Simons, K.; Fries, E. On the entry of semliki forest virus into BHK-21 cells. J. Cell Biol. 1980, 84, 1–17. [Google Scholar] [CrossRef]
- Zhong, P.; Agosto, L.M.; Ilinskaya, A.; Dorjbal, B.; Truong, R.; Derse, D.; Uchil, P.D.; Heidecker, G.; Mothes, W. Cell-to-Cell Transmission Can Overcome Multiple Donor and Target Cell Barriers Imposed on Cell-Free HIV. PLoS ONE 2013, 8, e53138. [Google Scholar] [CrossRef] [PubMed]
- Mazurov, D.; Ilinskaya, A.; Heidecker, G.; Lloyd, P.; Derse, D. Quantitative Comparison of HTLV-1 and HIV-1 Cell-to-Cell Infection with New Replication Dependent Vectors. PLoS Pathog. 2010, 6, e1000788. [Google Scholar] [CrossRef] [PubMed]
- Jolly, C.; Mitar, I.; Sattentau, Q.J. Requirement for an Intact T-Cell Actin and Tubulin Cytoskeleton for Efficient Assembly and Spread of Human Immunodeficiency Virus Type 1. J. Virol. 2007, 81, 5547–5560. [Google Scholar] [CrossRef] [PubMed]
- Agosto, L.M.; Uchil, P.D.; Mothes, W. HIV cell-to-cell transmission: effects on pathogenesis and antiretroviral therapy. Trends Microbiol. 2015, 23, 1–7. [Google Scholar] [CrossRef] [PubMed]
- Ma, Z.; Qiao, W.-T.; Xuan, C.-H.; Xie, J.-H.; Chen, Q.-M.; Geng, Y.-Q. Detection and analysis of bovine foamy virus infection by an indicator cell line. Acta Pharmacol. Sinica 2007, 28, 994–1000. [Google Scholar] [CrossRef] [PubMed]
- Kräusslich, H.G.; Fäcke, M.; Heuser, A.M.; Konvalinka, J.; Zentgraf, H. The spacer peptide between human immunodeficiency virus capsid and nucleocapsid proteins is essential for ordered assembly and viral infectivity. J. Virol. 1995, 69, 3407–3419. [Google Scholar] [PubMed]
- Liu, W.; Backes, P.; Löchelt, M. Importance of the major splice donor and redefinition of cis-acting sequences of gutless feline foamy virus vectors. Virology 2009, 394, 208–217. [Google Scholar] [CrossRef] [PubMed]
- Peters, K.; Wiktorowicz, T.; Heinkelein, M.; Rethwilm, A. RNA and protein requirements for incorporation of the Pol protein into foamy virus particles. J. Virol. 2005, 79, 7005–7013. [Google Scholar] [CrossRef] [PubMed]
- Heinkelein, M.; Dressler, M.; Jarmy, G.; Rammling, M.; Imrich, H.; Thurow, J.; Lindemann, D.; Rethwilm, A. Improved Primate Foamy Virus Vectors and Packaging Constructs. J. Virol. 2002, 76, 3774–3783. [Google Scholar] [CrossRef] [PubMed]
- Xu, F.; Tan, J.; Liu, R.; Xu, D.; Li, Y.; Geng, Y.; Liang, C.; Qiao, W. Tetherin inhibits prototypic foamy virus release. Virol. J. 2011, 8, 198. [Google Scholar] [CrossRef] [PubMed]
- Abela, I.A.; Berlinger, L.; Schanz, M.; Reynell, L.; Günthard, H.F.; Rusert, P.; Trkola, A. Cell-Cell Transmission Enables HIV-1 to Evade Inhibition by Potent CD4bs Directed Antibodies. PLoS Pathog. 2012, 8, e1002634. [Google Scholar] [CrossRef] [PubMed]
- Chen, P.; Hubner, W.; Spinelli, M.A.; Chen, B.K. Predominant Mode of Human Immunodeficiency Virus Transfer between T Cells Is Mediated by Sustained Env-Dependent Neutralization-Resistant Virological Synapses. J. Virol. 2007, 81, 12582–12595. [Google Scholar] [CrossRef] [PubMed]
- Casartelli, N.; Sourisseau, M.; Feldmann, J.; Guivel-Benhassine, F.; Mallet, A.; Marcelin, A.-G.; Guatelli, J.; Schwartz, O. Tetherin Restricts Productive HIV-1 Cell-to-Cell Transmission. PLoS Pathog. 2010, 6, e1000955. [Google Scholar] [CrossRef] [PubMed]
- Borghesi, J.; Mario, L.C.; Rodrigues, M.N.; Favaron, P.O.; Miglino, M.A. Immunoglobulin Transport during Gestation in Domestic Animals and Humans—A Review. OJAS 2014, 4, 323–336. [Google Scholar] [CrossRef]
- Tobaly-Tapiero, J.; Zamborlini, A.; Bittoun, P.; Saib, A. Investigating the intercellular spreading properties of the foamy virus Gag protein. PLoS ONE 2012, 7, e31108. [Google Scholar] [CrossRef] [PubMed][Green Version]
- McCoy, L.E.; Groppelli, E.; Blanchetot, C.; de Haard, H.; Verrips, T.; Rutten, L.; Weiss, R.A.; Jolly, C. Neutralisation of HIV-1 cell-cell spread by human and llama antibodies. Retrovirology 2014, 11, 1–15. [Google Scholar] [CrossRef] [PubMed]
- Kong, X.H.; Yu, H.; Xuan, C.H.; Wang, J.Z.; Chen, Q.M.; Geng, Y.Q. The requirements and mechanism for capsid assembly and budding of bovine foamy virus. Arch. Virol. 2005, 150, 1677–1684. [Google Scholar] [CrossRef] [PubMed]
- Materniak, M.; Hechler, T.; Löchelt, M.; Kuzmak, J. Similar Patterns of Infection with Bovine Foamy Virus in Experimentally Inoculated Calves and Sheep. J. Virol. 2013, 87, 3516–3525. [Google Scholar] [CrossRef] [PubMed]
- Santillana-Hayat, M.; Rozain, F.; Bittoun, P.; Chopin-Robert, C.; Lasneret, J.; Périès, J.; Canivet, M. Transient immunosuppressive effect induced in rabbits and mice by the human spumaretrovirus prototype HFV (human foamy virus). Res. Virol. 1993, 144, 389–396. [Google Scholar] [CrossRef]
© 2015 by the authors; licensee MDPI, Basel, Switzerland. This article is an open access article distributed under the terms and conditions of the Creative Commons by Attribution (CC-BY) license (http://creativecommons.org/licenses/by/4.0/).
Share and Cite
Bao, Q.; Hipp, M.; Hugo, A.; Lei, J.; Liu, Y.; Kehl, T.; Hechler, T.; Löchelt, M. In Vitro Evolution of Bovine Foamy Virus Variants with Enhanced Cell-Free Virus Titers and Transmission. Viruses 2015, 7, 5855-5874. https://doi.org/10.3390/v7112907
Bao Q, Hipp M, Hugo A, Lei J, Liu Y, Kehl T, Hechler T, Löchelt M. In Vitro Evolution of Bovine Foamy Virus Variants with Enhanced Cell-Free Virus Titers and Transmission. Viruses. 2015; 7(11):5855-5874. https://doi.org/10.3390/v7112907
Chicago/Turabian StyleBao, Qiuying, Michaela Hipp, Annette Hugo, Janet Lei, Yang Liu, Timo Kehl, Torsten Hechler, and Martin Löchelt. 2015. "In Vitro Evolution of Bovine Foamy Virus Variants with Enhanced Cell-Free Virus Titers and Transmission" Viruses 7, no. 11: 5855-5874. https://doi.org/10.3390/v7112907
APA StyleBao, Q., Hipp, M., Hugo, A., Lei, J., Liu, Y., Kehl, T., Hechler, T., & Löchelt, M. (2015). In Vitro Evolution of Bovine Foamy Virus Variants with Enhanced Cell-Free Virus Titers and Transmission. Viruses, 7(11), 5855-5874. https://doi.org/10.3390/v7112907
