Equilibrium and Kinetics of Sin Nombre Hantavirus Binding at DAF/CD55 Functionalized Bead Surfaces
Abstract
:1. Introduction

2. Results and Discussion
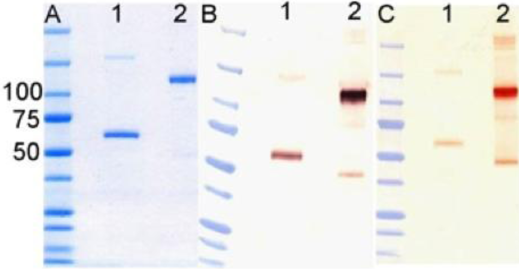
2.1. Molecular Assembly of (DAF)2-FcAlexa488 on Beads: Equilibrium and Kinetic Parameters

2.2. Binding between DAF and SNV on Beads and Tanoue B Cells Is Governed by Comparable Equilibrium Dissociation Constants
| Cell | DAF a | Total αvβ3 b |
|---|---|---|
| Vero E6 | 5.85 ± 1.37 × 103 i | 1.61 ± 0.38 × 106 |
| 2.54 ± 0.84 × 105 ii | ||
| 2.26 ± 0.28 × 105 iii | ||
| Tanoue B | 9.29 ± 2.18 × 104 i | None detected |
Kinetic Binding Analysis


2.3. Binding Parameters Derived from Bead Platform Provide a Reasonable Model for Infection Inhibition

3. Experimental Section
3.1. Materials
3.2. Production of Sin Nombre Virus
3.3. Fluorescent Labeling of SNV
3.4. Cloning, Expression and Purification of (DAF)2-Fc (v2) from Nicotiana benthamiana.
3.5. Fluorescent Labeling of (DAF)2-Fc

3.6. Cell Culture
3.7. Confocal Microscopy Imaging
3.8. Cytometry Experiments
3.9. Supported Bilayer Membranes on Glass Beads
3.10. Equilibrium Binding of Molecular Assembly Components (DAF)2-Fc, and SNVR18 on Protein G Beads
3.11. Cell Surface Distribution of DAF and αvβ3 Integrins
3.12. Virus Binding to DAF Expressed on Tanoue B Cells
3.13. Infectivity Assays
3.14. Ligand Binding Kinetic Measurements
3.15. Kinetic Modeling of Virus Binding

4. Conclusions
Acknowledgements
Author Contributions
Conflicts of Interest
References and Notes
- Coyne, C.B.; Shen, L.; Turner, J.R.; Bergelson, J.M. Coxsackievirus entry across epithelial tight junctions requires occludin and the small gtpases rab34 and rab5. Cell Host Microbe 2007, 2, 181–192. [Google Scholar] [CrossRef]
- Rezaikin, A.B.; Novoselov, A.B.; Fadeev, F.A.; Sergeev, A.G.; Lebedev, S.B. Mapping of point mutations leading to loss of virus ech011 affinity for receptor daf (cd55). Vopr. Virusol. 2009, 54, 41–44. [Google Scholar]
- Rezaikin, A.V.; Novoselov, A.V.; Sergeev, A.G.; Fadeyev, F.A.; Lebedev, S.V. Two clusters of mutations map distinct receptor-binding sites of echovirus 11 for the decay-accelerating factor (cd55) and for canyon-binding receptors. Virus Res. 2009, 145, 74–79. [Google Scholar] [CrossRef]
- Sobo, K.; Rubbia-Brandt, L.; Brown, T.D.; Stuart, A.D.; McKee, T.A. Decay-accelerating factor binding determines the entry route of echovirus 11 in polarized epithelial cells. J. Virol. 2010, 85, 12376–12386. [Google Scholar]
- Selinka, H.C.; Wolde, A.; Sauter, M.; Kandolf, R.; Klingel, K. Virus-receptor interactions of coxsackie b viruses and their putative influence on cardiotropism. Med. Microbiol. Immunol. 2004, 193, 127–131. [Google Scholar] [CrossRef]
- Pettigrew, D.M.; Williams, D.T.; Kerrigan, D.; Evans, D.J.; Lea, S.M.; Bhella, D. Structural and functional insights into the interaction of echoviruses and decay-accelerating factor. J. Biol. Chem. 2006, 281, 5169–5177. [Google Scholar]
- Milstone, A.M.; Petrella, J.; Sanchez, M.D.; Mahmud, M.; Whitbeck, J.C.; Bergelson, J.M. Interaction with coxsackievirus and adenovirus receptor, but not with decay-accelerating factor (daf), induces a-particle formation in a daf-binding coxsackievirus b3 isolate. J. Virol. 2005, 79, 655–660. [Google Scholar] [CrossRef]
- Uhrinova, S.; Lin, F.; Ball, G.; Bromek, K.; Uhrin, D.; Medof, M.E.; Barlow, P.N. Solution structure of a functionally active fragment of decay-accelerating factor. Proc. Natl. Acad. Sci. USA 2003, 100, 4718–4723. [Google Scholar] [CrossRef]
- Anderson, K.L.; Billington, J.; Pettigrew, D.; Cota, E.; Simpson, P.; Roversi, P.; Chen, H.A.; Urvil, P.; du Merle, L.; Barlow, P.N.; et al. An atomic resolution model for assembly, architecture, and function of the dr adhesins. Mol. Cell 2004, 15, 647–657. [Google Scholar] [CrossRef]
- O'Brien, D.P.; Israel, D.A.; Krishna, U.; Romero-Gallo, J.; Nedrud, J.; Medof, M.E.; Lin, F.; Redline, R.; Lublin, D.M.; Nowicki, B.J.; et al. The role of decay-accelerating factor as a receptor for helicobacter pylori and a mediator of gastric inflammation. J. Biol. Chem. 2006, 281, 13317–13323. [Google Scholar] [CrossRef]
- Hafenstein, S.; Bowman, V.D.; Chipman, P.R.; Bator Kelly, C.M.; Lin, F.; Medof, M.E.; Rossmann, M.G. Interaction of decay-accelerating factor with coxsackievirus b3. J. Virol. 2007, 81, 12927–12935. [Google Scholar]
- Kuttner-Kondo, L.; Hourcade, D.E.; Anderson, V.E.; Muqim, N.; Mitchell, L.; Soares, D.C.; Barlow, P.N.; Medof, M.E. Structure-based mapping of daf active site residues that accelerate the decay of c3 convertases. J. Biol. Chem. 2007, 282, 18552–18562. [Google Scholar] [CrossRef]
- Coyne, C.B.; Bergelson, J.M. Virus-induced abl and fyn kinase signals permit coxsackievirus entry through epithelial tight junctions. Cell 2006, 124, 119–131. [Google Scholar] [CrossRef]
- Rougeaux, C.; Berger, C.N.; Servin, A.L. Hceacam1–4l downregulates hdaf-associated signalling after being recognized by the dr adhesin of diffusely adhering escherichia coli. Cell. Microbiol. 2008, 10, 632–654. [Google Scholar] [CrossRef]
- Krautkramer, E.; Zeier, M. Hantavirus causing hemorrhagic fever with renal syndrome enters from the apical surface and requires decay-accelerating factor (daf/cd55). J. Virol. 2008, 82, 4257–4264. [Google Scholar] [CrossRef]
- Popugaeva, E.; Witkowski, P.T.; Schlegel, M.; Ulrich, R.G.; Auste, B.; Rang, A.; Kruger, D.H.; Klempa, B. Dobrava-belgrade hantavirus from germany shows receptor usage and innate immunity induction consistent with the pathogenicity of the virus in humans. PLoS One 2012, 7, e35587. [Google Scholar] [CrossRef]
- Buranda, T.; Wu, Y.; Perez, D.; Jett, S.D.; Bondu-Hawkins, V.; Ye, C.; Lopez, G.P.; Edwards, B.; Hall, P.; Larson, R.S.; Sklar, L.A.; Hjelle, B. Recognition of daf and avb3 by inactivated hantaviruses, towards the development of hts flow cytometry assays. Anal. Biochem. 2010, 402, 151–160. [Google Scholar] [CrossRef]
- Mackow, E.R.; Gavrilovskaya, I.N. Hantavirus regulation of endothelial cell functions. Thromb. Haemostasis 2009, 102, 1030–1041. [Google Scholar]
- Hjelle, B.; Anderson, B.; Torrez-Martinez, N.; Song, W.; Gannon, W.L.; Yates, T.L. Prevalence and geographic genetic variation of hantaviruses of new world harvest mice (reithrodontomys): Identification of a divergent genotype from a costa rican reithrodontomys mexicanus. Virology 1995, 207, 452–459. [Google Scholar] [CrossRef]
- Hjelle, B.; Chavez-Giles, F.; Torrez-Martinez, N.; Yates, T.; Sarisky, J.; Webb, J.; Ascher, M. Genetic identification of a novel hantavirus of the harvest mouse reithrodontomys megalotis. J. Virol. 1994, 68, 6751–6754. [Google Scholar]
- Hjelle, B.; Jenison, S.A.; Goade, D.E.; Green, W.B.; Feddersen, R.M.; Scott, A.A. Hantaviruses: Clinical, microbiologic, and epidemiologic aspects. Crit. Rev. Clin. Lab. Sci. 1995, 32, 469–508. [Google Scholar] [CrossRef]
- Jonsson, C.B.; Schmaljohn, C.S. Replication of hantaviruses. Curr. Top. Microbiol. Immunol. 2001, 256, 15–32. [Google Scholar]
- Buranda, T.; Basuray, S.; Swanson, S.; Bondu-Hawkins, V.; Agola, J.; Wandinger-Ness, A. Rapid parallel flow cytometry assays of active gtpases using effector beads. Anal. Biochem. 2013, 144, 149–157. [Google Scholar]
- Casasnovas, J.M.; Springer, T.A. Kinetics and thermodynamics of virus binding to receptor—Studies with rhinovirus, intercellular-adhesion molecule-1 (icam-1), and surface-plasmon resonance. J. Biol. Chem. 1995, 270, 13216–13224. [Google Scholar] [CrossRef]
- Liu, X.; Vilenski, O.; Kwan, J.; Apparsundaram, S.; Weikert, R. Unbound brain concentration determines receptor occupancy: A correlation of drug concentration and brain serotonin and dopamine reuptake transporter occupancy for eighteen compounds in rats. Drug Metabol. Dispos. 2009, 37, 1548–1556. [Google Scholar] [CrossRef]
- Motulsky, H.J.; Mahan, L.C. The kinetics of competitive radioligand binding predicted by the law of mass action. Mol. Pharmacol. 1984, 25, 1–9. [Google Scholar]
- Buranda, T.; Wu, Y.; Perez, D.; Chigaev, A.; Sklar, L.A. Real-time partitioning of octadecyl rhodamine b into bead-supported lipid bilayer membranes revealing quantitative differences in saturable binding sites in dopc and 1:1:1 dopc/sm/cholesterol membranes. J. Phys. Chem. 2010, 114, 1336–1349. [Google Scholar]
- Buranda, T.; Waller, A.; Wu, Y.; Simons, P.C.; Biggs, S.; Prossnitz, E.R.; Sklar, L.A. Some mechanistic insights into gpcr activation from detergent-solubilized ternary complexes on beads. Adv. Protein Chem. 2007, 74, 95–135. [Google Scholar] [CrossRef]
- Saha, K.; Bender, F.; Gizeli, E. Comparative study of igg binding to proteins g and a: Nonequilibrium kinetic and binding constant determination with the acoustic waveguide device. Anal. Chem. 2003, 75, 835–842. [Google Scholar] [CrossRef]
- Benson, S.W. Foundations of Chemical Kinetics; McGraw-Hill: New York, NY, USA, 1960; p. 81. [Google Scholar]
- Cheng, Y.; Prusoff, W.H. Relationship between the inhibition constant (ki) and the concentration of inhibitor which causes 50 per cent inhibition (I50) of an enzymatic reaction. Biochem. Pharmacol. 1973, 22, 3099–3108. [Google Scholar]
- Graphpad Prism, version 5.04; GraphPadSoftware: La Jolla, CA, USA, 2011.
- Lea, S.M.; Powell, R.M.; McKee, T.; Evans, D.J.; Brown, D.; Stuart, D.I.; van der Merwe, P.A. Determination of the affinity and kinetic constants for the interaction between the human virus echovirus 11 and its cellular receptor, cd55. J. Biol. Chem. 1998, 273, 30443–30447. [Google Scholar]
- Goodfellow, I.G.; Evans, D.J.; Blom, A.M.; Kerrigan, D.; Miners, J.S.; Morgan, B.P.; Spiller, O.B. Inhibition of coxsackie b virus infection by soluble forms of its receptors: Binding affinities, altered particle formation, and competition with cellular receptors. J. Virol. 2005, 79, 12016–12024. [Google Scholar] [CrossRef]
- Klasse, P.J.; Moore, J.P. Quantitative model of antibody- and soluble cd4-mediated neutralization of primary isolates and t-cell line-adapted strains of human immunodeficiency virus type 1. J. Virol. 1996, 70, 3668–3677. [Google Scholar]
- Huiskonen, J.T.; Hepojoki, J.; Laurinmaki, P.; Vaheri, A.; Lankinen, H.; Butcher, S.J.; Grunewald, K. Electron cryotomography of tula hantavirus suggests a unique assembly paradigm for enveloped viruses. J. Virol. 2010, 84, 4889–4897. [Google Scholar] [CrossRef]
- Battisti, A.J.; Chu, Y.K.; Chipman, P.R.; Kaufmann, B.; Jonsson, C.B.; Rossmann, M.G. Structural studies of hantaan virus. J. Virol. 2011, 85, 835–841. [Google Scholar] [CrossRef]
- Image Lab Software, version 4.1; Biorad: Hercules, CA, USA, 2009.
- Bharadwaj, M.; Lyons, C.R.; Wortman, I.A.; Hjelle, B. Intramuscular inoculation of sin nombre hantavirus cdnas induces cellular and humoral immune responses in balb/c mice. Vaccine 1999, 17, 2836–2843. [Google Scholar] [CrossRef]
- Kabat, E.A.; Te Wu, T.; Gottesman, K.S.; Foeller, C. Sequences of Proteins of Immunological Interes; Diane Books Publishing Co.: Darby, PA, USA, 1992. [Google Scholar]
- Maclean, J.; Koekemoer, M.; Olivier, A.J.; Stewart, D.; Hitzeroth, I.I.; Rademacher, T.; Fischer, R.; Williamson, A.L.; Rybicki, E.P. Optimization of human papillomavirus type 16 (hpv-16) l1 expression in plants: Comparison of the suitability of different hpv-16 l1 gene variants and different cell-compartment localization. J. Gen. Virol. 2007, 88, 1460–1469. [Google Scholar] [CrossRef]
- Kapila, J.; DeRycke, R.; VanMontagu, M.; Angenon, G. An agrobacterium-mediated transient gene expression system for intact leaves. Plant Sci. 1997, 122, 101–108. [Google Scholar] [CrossRef]
- Voinnet, O.; Rivas, S.; Mestre, P.; Baulcombe, D. An enhanced transient expression system in plants based on suppression of gene silencing by the p19 protein of tomato bushy stunt virus. Plant J. 2003, 33, 949–956. [Google Scholar] [CrossRef]
- Chigaev, A.; Buranda, T.; Dwyer, D.C.; Prossnitz, E.R.; Sklar, L.A. Fret detection of cellular alpha 4-integrin conformational activation. Biophys. J. 2003, 85, 3951–3962. [Google Scholar] [CrossRef]
- Wu, Y.; Campos, S.K.; Lopez, G.P.; Ozbun, M.A.; Sklar, L.A.; Buranda, T. The development of quantum dot calibration beads and quantitative multicolor bioassays in flow cytometry and microscopy. Anal. Biochem. 2007, 364, 180–192. [Google Scholar] [CrossRef]
- Elgh, F.; Lundkvist, A.; Alexeyev, O.A.; Stenlund, H.; Avsic-Zupanc, T.; Hjelle, B.; Lee, H.W.; Smith, K.J.; Vainionpaa, R.; Wiger, D.; Wadell, G.; Juto, P. Serological diagnosis of hantavirus infections by an enzyme-linked immunosorbent assay based on detection of immunoglobulin g and m responses to recombinant nucleocapsid proteins of five viral serotypes. J. Clin. Microbiol. 1997, 35, 1122–1130. [Google Scholar]
- Vaheri, A.; Strandin, T.; Hepojoki, J.; Sironen, T.; Henttonen, H.; Makela, S.; Mustonen, J. Uncovering the mysteries of hantavirus infections. Nat. Rev. Microbiol. 2013, 11, 539–550. [Google Scholar] [CrossRef]
- DeLisi, C. The biophysics of ligand-receptor interactions. Q. Rev. Biophys. 1980, 13, 201–230. [Google Scholar] [CrossRef]
- DeLisi, C.; Chabay, R. The influence of cell surface receptor clustering on the thermodynamics of ligand binding and the kinetics of its dissociation. Cell Biophys. 1979, 1, 117–131. [Google Scholar]
- Perelson, A. Some mathematical models of receptor clustering by multivalent ligands. In Cell Surface Dynamics Concepts and Models; Perelson, A., DeLisi, C., Wiegel, F.W., Eds.; Marcel Dekker, Inc.: New York, NY, USA, 1984; pp. 223–276. [Google Scholar]
- Press, W.H.; Flannery, B.P.; Teakolsky, S.A.; Vetterling, W.T. Numerical Recipes; Cambridge University Press: Cambridge, UK, 1986. [Google Scholar]
- Mace, R.; Oster, G. Berkeley Madonna, version 8.0.1; University of California, Berkeley: Berkeley, CA, USA,, 2005. [Google Scholar]
Appendix A
© 2014 by the authors; licensee MDPI, Basel, Switzerland. This article is an open access article distributed under the terms and conditions of the Creative Commons Attribution license (http://creativecommons.org/licenses/by/3.0/).
Share and Cite
Buranda, T.; Swanson, S.; Bondu, V.; Schaefer, L.; Maclean, J.; Mo, Z.; Wycoff, K.; Belle, A.; Hjelle, B. Equilibrium and Kinetics of Sin Nombre Hantavirus Binding at DAF/CD55 Functionalized Bead Surfaces. Viruses 2014, 6, 1091-1111. https://doi.org/10.3390/v6031091
Buranda T, Swanson S, Bondu V, Schaefer L, Maclean J, Mo Z, Wycoff K, Belle A, Hjelle B. Equilibrium and Kinetics of Sin Nombre Hantavirus Binding at DAF/CD55 Functionalized Bead Surfaces. Viruses. 2014; 6(3):1091-1111. https://doi.org/10.3390/v6031091
Chicago/Turabian StyleBuranda, Tione, Scarlett Swanson, Virginie Bondu, Leah Schaefer, James Maclean, Zhenzhen Mo, Keith Wycoff, Archana Belle, and Brian Hjelle. 2014. "Equilibrium and Kinetics of Sin Nombre Hantavirus Binding at DAF/CD55 Functionalized Bead Surfaces" Viruses 6, no. 3: 1091-1111. https://doi.org/10.3390/v6031091
APA StyleBuranda, T., Swanson, S., Bondu, V., Schaefer, L., Maclean, J., Mo, Z., Wycoff, K., Belle, A., & Hjelle, B. (2014). Equilibrium and Kinetics of Sin Nombre Hantavirus Binding at DAF/CD55 Functionalized Bead Surfaces. Viruses, 6(3), 1091-1111. https://doi.org/10.3390/v6031091
