Induction of Partial Protection against Foot and Mouth Disease Virus in Guinea Pigs by Neutralization with the Integrin β6-1 Subunit
Abstract
:1. Introduction
2. Results and Discussion
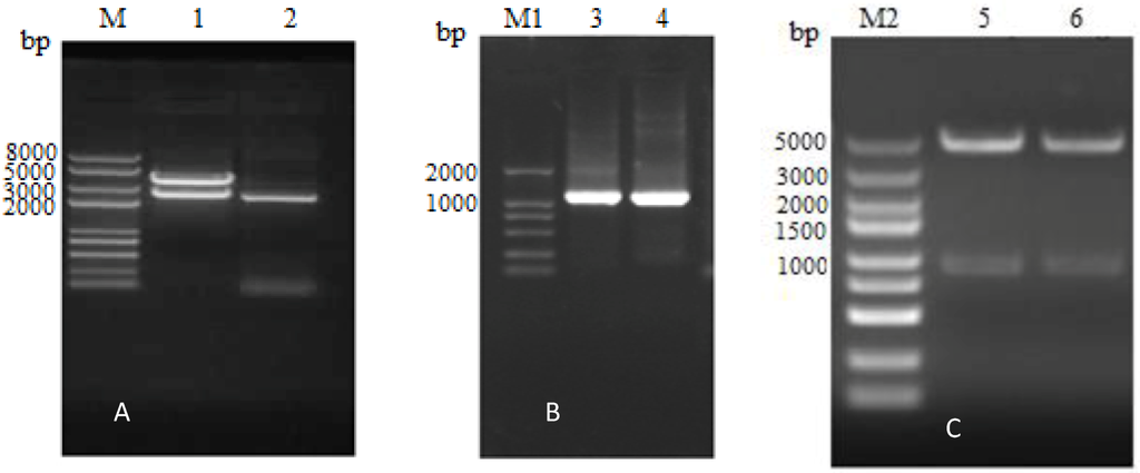
2.1. Cloning, Sequencing and Characterization of Suckling Mouse Integrin β6 Subunit


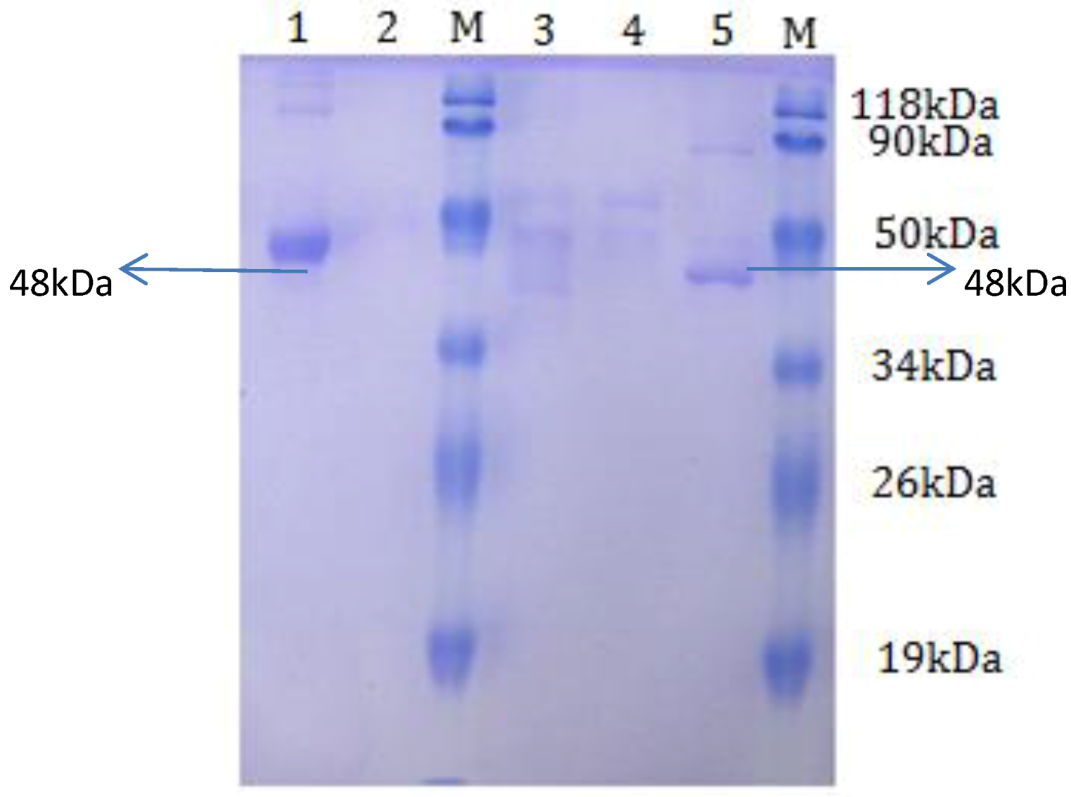
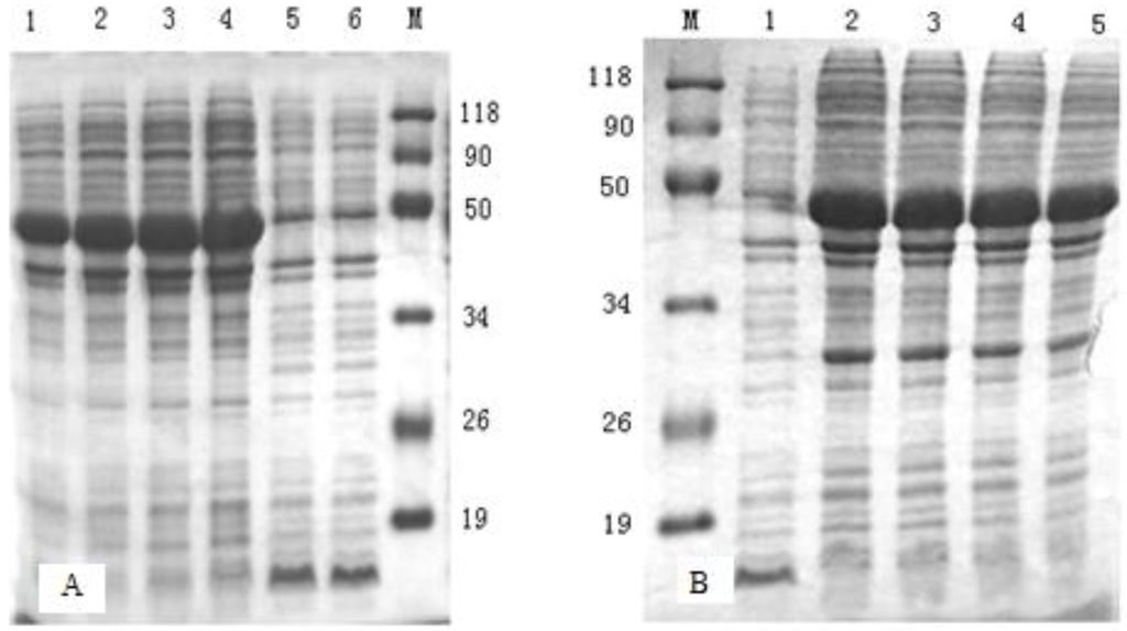
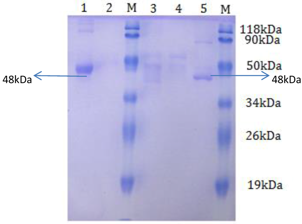
2.2. Expression and Purification of Integrin β6-1 and β6-2


2.3. T Sell Response in Animals Vaccinated with Integrin β6 Extracellular Domains


2.4. In Vivo Effect of Induction of Anti-Integrin β6 Response on FMDV Infection


2.5. Results of Viral Challenge of the Inoculated Guinea Pigs
| Serial number of guinea pigs | Group A (PBS) | Group B (Vaccine) | Group C (β6-1) | Group D (β6-2) | Group E (β6-1+β6-2) |
|---|---|---|---|---|---|
| Protection | |||||
| 1 | None | Total | Total | Partial | Total |
| 2 | None | Total | Total | None | Partial |
| 3 | None | Total | Partial | None | Partial |
| 4 | None | Total | None | None | Partial |
| Severity of symptoms | |||||
| 1 | Severe | None | None | Mild | None |
| 2 | Severe | None | None | Severe | Mild |
| 3 | Severe | None | Mild | Severe | Severe |
| 4 | Severe | None | Severe | Severe | Severe |
| Rate of protection (%) | 0 (0/4) | 100 (4/4) | 50 (2/4) | 0 (0/4) | 25(1/4) |
3. Experimental Section
3.1. Animals
3.2. Virus
3.3. Generation of Plasmids Encoding Soluble Mmouse Integrin β6 Subunits
| Primers | Sequence(5′to 3′) | Target gene | Predicted size | Annealing temperature |
|---|---|---|---|---|
| β6F | 5′- CGGGATCC ATGGGGATTGAGCTGGTCTGCCTGT-3′ | Integrin β6 subunit | 2364 bp | 58.0°C |
| β6R | 5′- CCGCTCGAGCTACCCATCTGAAGAAAGGCCCACTT-3′ | |||
| β6-1F | 5′- CGGGATCCATGGGGATTGAGCTGGT-3′ | 5′ region of integrin β6 extracellular domains | 1077 bp | 54.5°C |
| β6-1R | 5′- CCGCTCGAGTTACCCAGAATCCTTCTGAA-3′ | |||
| β6-2F | 5′- CGGGATCCATGACCGTGGGACTGCTTCAGA-3′ | 3′ region of integrin β6 extracellular domains | 1080 bp | 57.0°C |
| β6-2R | 5′- CCGCTCGAGTTAGTTTGGAGGTTTGGGGCAGT-3′ |
3.4. Expression and Purification of Integrin β6-1 and β6-2
3.5. Immunization with the β6-1 and β6-2 Subunits
3.6. T-lymphocyte Proliferation Assay
3.7. Detection of CD4+ and CD8+ T-lymphocytes
3.8. Detection of Serum Antibodies
3.9. Effect of Neutralizing Antibodies on Induction of FDMV Infection In vivo
3.10. FMDV Challenge in Immunized Guinea Pigs
3.11. Statistical Analysis
4. Conclusions
Acknowledgments
Conflicts of Interest
References and Notes
- Alexandersen, S.; Zhang, Z.; Donaldson, A.I.; Garland, A.J. The pathogenesis and diagnosis of foot-and-mouth disease. J. Comp. Pathol. 2003, 129, 1–36. [Google Scholar] [CrossRef]
- Alexandersen, S.; Donaldson, A.I. Quantitative estimates of the risk of new outbreaks of foot-and-mouth disease as a result of burning pyres. Vet. Rec. 2004, 154, 277–278. [Google Scholar]
- Robinson, L.; Windsor, M.; McLaughlin, K.; Hope, J.; Jackson, T.; Charleston, B. Foot-and-mouth disease virus exhibits an altered tropism in the presence of specific immunoglobulins, enabling productive infection and killing of dendritic cells. J. Virol. 2011, 85, 2212–2223. [Google Scholar] [CrossRef]
- Logan, D.; Abu-Ghazaleh, R.; Blakemore, W.; Curry, S.; Jackson, T.; King, A.; Lea, S.; Lewis, R.; Newman, J.; Parry, N.; et al. Structure of a major immunogenic site on foot-and-mouth disease virus. Nature 1993, 362, 566–568. [Google Scholar] [CrossRef]
- Acharya, R.; Fry, E.; Stuart, D.; Fox, G.; Rowlands, D.; Brown, F. The three-dimensional structure of foot-and-mouth disease virus at 2.9 A resolution. Nature 1989, 337, 709–716. [Google Scholar] [CrossRef]
- Fox, G.; Parry, N.R.; Barnett, P.V.; McGinn, B.; Rowlands, D.J.; Brown, F. The cell attachment site on foot-and-mouth disease virus includes the amino acid sequence RGD (arginine-glycine-aspartic acid). J. Gen. Virol. 1989, 70, 625–637. [Google Scholar] [CrossRef]
- Berinstein, A.; Roivainen, M.; Hovi, T.; Mason, P.W.; Baxt, B. Antibodies to the vitronectin receptor (integrin alpha V beta 3) inhibit binding and infection of foot-and-mouth disease virus to cultured cells. J. Virol. 1995, 69, 2664–2666. [Google Scholar]
- Mason, P.W.; Rieder, E.; Baxt, B. RGD sequence of foot-and-mouth disease virus is essential for infecting cells via the natural receptor but can be bypassed by an antibody-dependent enhancement pathway. Proc. Natl. Acad. Sci. U S A 1994, 91, 1932–1936. [Google Scholar] [CrossRef]
- Jackson, T.; Sharma, A.; Ghazaleh, R.A.; Blakemore, W.E.; Ellard, F.M.; Simmons, D.L.; Newman, J.W.; Stuart, D.I.; King, A.M. Arginine-glycine-aspartic acid-specific binding by foot-and-mouth disease viruses to the purified integrin alpha(v)beta3 in vitro. J. Virol. 1997, 71, 8357–8361. [Google Scholar]
- Mateu, M.G.; Valero, M.L.; Andreu, D.; Domingo, E. Systematic replacement of amino acid residues within an Arg-Gly-Asp-containing loop of foot-and-mouth disease virus and effect on cell recognition. J. Biol. Chem. 1996, 271, 12814–12819. [Google Scholar] [CrossRef]
- Mateu, M.G.; Camarero, J.A.; Giralt, E.; Andreu, D.; Domingo, E. Direct evaluation of the immunodominance of a major antigenic site of foot-and-mouth disease virus in a natural host. Virology 1995, 206, 298–306. [Google Scholar] [CrossRef]
- Springer, T.A.; Wang, J.H. The three-dimensional structure of integrins and their ligands, and conformational regulation of cell adhesion. Adv. Protein. Chem. 2004, 68, 29–63. [Google Scholar]
- Jackson, T.; Mould, A.P.; Sheppard, D.; King, A.M. Integrin alphavbeta1 is a receptor for foot-and-mouth disease virus. J. Virol. 2002, 76, 935–941. [Google Scholar] [CrossRef]
- Dicara, D.; Burman, A.; Clark, S.; Berryman, S.; Howard, M.J.; Hart, I.R.; Marshall, J.F.; Jackson, T. Foot-and-mouth disease virus forms a highly stable, EDTA-resistant complex with its principal receptor, integrin alphavbeta6: implications for infectiousness. J. Virol. 2008, 82, 1537–1546. [Google Scholar] [CrossRef]
- Jackson, T.; Clark, S.; Berryman, S.; Burman, A.; Cambier, S.; Mu, D.; Nishimura, S.; King, A.M. Integrin alphavbeta8 functions as a receptor for foot-and-mouth disease virus: role of the beta-chain cytodomain in integrin-mediated infection. J. Virol. 2004, 78, 4533–4540. [Google Scholar] [CrossRef]
- Jackson, T.; Sheppard, D.; Denyer, M.; Blakemore, W.; King, A.M. The epithelial integrin alphavbeta6 is a receptor for foot-and-mouth disease virus. J. Virol. 2000, 74, 4949–4956. [Google Scholar] [CrossRef]
- Ruiz-Sáenz, J.; Goez, Y.; Tabares, W.; López-Herrera, A. Cellular receptors for foot and mouth disease virus. Intervirology 2009, 52, 201–212. [Google Scholar] [CrossRef]
- Duque, H.; LaRocco, M.; Golde, W.T.; Baxt, B. Interactions of foot-and-mouth disease virus with soluble bovine alphaVbeta3 and alphaVbeta6 integrins. J. Virol. 2004, 78, 9773–9781. [Google Scholar] [CrossRef]
- Monaghan, P.; Gold, S.; Simpson, J.; Zhang, Z.; Weinreb, P.H.; Violette, S.M.; Alexandersen, S.; Jackson, T. The alpha(v)beta6 integrin receptor for Foot-and-mouth disease virus is expressed constitutively on the epithelial cells targeted in cattle. J. Gen. Virol. 2005, 86, 2769–2780. [Google Scholar] [CrossRef]
- Miller, L.C.; Blakemore, W.; Sheppard, D.; Atakilit, A.; King, A.M.; Jackson, T. Role of the cytoplasmic domain of the beta-subunit of integrin alpha(v)beta6 in infection by foot-and-mouth disease virus. J. Virol. 2001, 75, 4158–4164. [Google Scholar] [CrossRef]
- Luo, B.H.; Carman, C.V.; Springer, T.A. Structural basis of integrin regulation and signaling. Annu. Rev. Immunol. 2007, 25, 619–647. [Google Scholar] [CrossRef]
- Plow, E.F.; Haas, T.A.; Zhang, L.; Loftus, J.; Smith, J.W. Ligand binding to integrins. J. Biol. Chem. 2000, 275, 21785–21788. [Google Scholar]
- Yin, J.; Li, G.; Ren, X.; Herrler, G. Select what you need: A comparative evaluation of the advantages and limitations of frequently used expression systems for foreign genes. J. Biotechnol. 2007, 127, 335–347. [Google Scholar]
- Jaiswal, S.; Khanna, N.; Swaminathan, S. High-level expression and one-step purification of recombinant dengue virus type 2 envelope domain III protein in Escherichia coli. Protein. Expr. Purif. 2004, 33, 80–91. [Google Scholar] [CrossRef]
- Georgiou, G.; Segatori, L. Preparative expression of secreted proteins in bacteria: status report and future prospects. Curr. Opin. Biotechnol. 2005, 16, 538–545. [Google Scholar] [CrossRef]
- Joly, J.C.; Leung, W.S.; Swartz, J.R. Overexpression of Escherichia coli oxidoreductases increases recombinant insulin-like growth factor-I accumulation. Proc Natl Acad Sci USA. 1998, 95, 2773–2777. [Google Scholar] [CrossRef]
- Guzman, E.; Taylor, G.; Charleston, B.; Skinner, M.A.; Ellis, S.A. An MHC-restricted CD8(+) T-cell response is induced in cattle by foot-and-mouth disease virus (FMDV) infection and also following vaccination with inactivated FMDV. J. Gen. Virol. 2008, 89, 667–675. [Google Scholar] [CrossRef]
- Domingo, E.; Escarmís, C.; Baranowski, E.; Ruiz-Jarabo, C.M.; Carrillo, E.; Núñez, J.I.; Sobrino, F. Evolution of foot-and-mouth disease virus. Virus. Res. 2003, 91, 47–63. [Google Scholar] [CrossRef]
- Lawrence, P.; LaRocco, M.; Baxt, B.; Rieder, E. Examination of soluble integrin resistant mutants of foot-and-mouth disease virus. Virol. J. 2013, 10, 2. [Google Scholar] [CrossRef]
- Rodriguez, L.L.; Gay, C.G. Development of vaccines toward the global control and eradication of foot-and-mouth disease. Expert. Rev. Vaccines 2011, 10, 377–387. [Google Scholar] [CrossRef]
- Tamura, K.; Peterson, D.; Peterson, N.; Stecher, G.; Nei, M.; Kumar, S. MEGA5: molecular evolutionary genetics analysis using maximum likelihood, evolutionary distance, and maximum parsimony methods. Mol. Biol. Evol. 2011, 28, 2731–2739. [Google Scholar] [CrossRef]
- Li, P.; Lu, Z.; Bao, H.; Li, D.; King, D.P.; Sun, P.; Bai, X.; Cao, W.; Gubbins, S.; Chen, Y.; Xie, B.; Guo, J.; Yin, H.; Liu, Z. In-vitro and in-vivo phenotype of type Asia 1 foot-and-mouth disease viruses utilizing two non-RGD receptor recognition sites. BMC Microbiol. 2011, 11, 154. [Google Scholar]
- Pacheco, J.M.; Henry, T.M.; O'Donnell, V.K.; Gregory, J.B.; Mason, P.W. Role of nonstructural proteins 3A and 3B in host range and pathogenicity of foot-and-mouth disease virus. J. Virol. 2003, 77, 13017–13027. [Google Scholar] [CrossRef]
- Guo, H.; Liu, Z.; Sun, S.; Bao, H.; Chen, Y.; Liu, X.; Xie, Q. Immune response in guinea pigs vaccinated with DNA vaccine of foot-and-mouth disease virus O/China99. Vaccine 2005, 23, 3236–3242. [Google Scholar] [CrossRef]
© 2013 by the authors; licensee MDPI, Basel, Switzerland. This article is an open access article distributed under the terms and conditions of the Creative Commons Attribution license (http://creativecommons.org/licenses/by/3.0/).
Share and Cite
Zhang, Y.; Sun, Y.; Yang, F.; Guo, J.; He, J.; Wu, Q.; Cao, W.; Lv, L.; Zheng, H.; Zhang, Z. Induction of Partial Protection against Foot and Mouth Disease Virus in Guinea Pigs by Neutralization with the Integrin β6-1 Subunit. Viruses 2013, 5, 1114-1130. https://doi.org/10.3390/v5041114
Zhang Y, Sun Y, Yang F, Guo J, He J, Wu Q, Cao W, Lv L, Zheng H, Zhang Z. Induction of Partial Protection against Foot and Mouth Disease Virus in Guinea Pigs by Neutralization with the Integrin β6-1 Subunit. Viruses. 2013; 5(4):1114-1130. https://doi.org/10.3390/v5041114
Chicago/Turabian StyleZhang, Yan, Yingjun Sun, Fan Yang, Jianhong Guo, Jijun He, Qiong Wu, Weijun Cao, Lv Lv, Haixue Zheng, and Zhidong Zhang. 2013. "Induction of Partial Protection against Foot and Mouth Disease Virus in Guinea Pigs by Neutralization with the Integrin β6-1 Subunit" Viruses 5, no. 4: 1114-1130. https://doi.org/10.3390/v5041114
APA StyleZhang, Y., Sun, Y., Yang, F., Guo, J., He, J., Wu, Q., Cao, W., Lv, L., Zheng, H., & Zhang, Z. (2013). Induction of Partial Protection against Foot and Mouth Disease Virus in Guinea Pigs by Neutralization with the Integrin β6-1 Subunit. Viruses, 5(4), 1114-1130. https://doi.org/10.3390/v5041114
