A Bacterium-like Particle Vaccine Displaying Envelope Proteins of Canine Distemper Virus Can Induce Immune Responses in Mice and Dogs
Abstract
1. Introduction
2. Materials and Methods
2.1. Construction of Recombinant Plasmids and Protein Expression
2.2. Identification of Recombinant Proteins
2.3. Binding of the Fusion Protein to GEM Particles
2.4. Immunization of Mice
2.5. Antibody Neutralization Test
2.6. Specific Antigen Immune Response
2.7. Cytokine Detection
2.8. Immunization of Dogs
2.9. Statistical Analysis
2.10. Laboratory Facility and Ethics Statement
3. Results
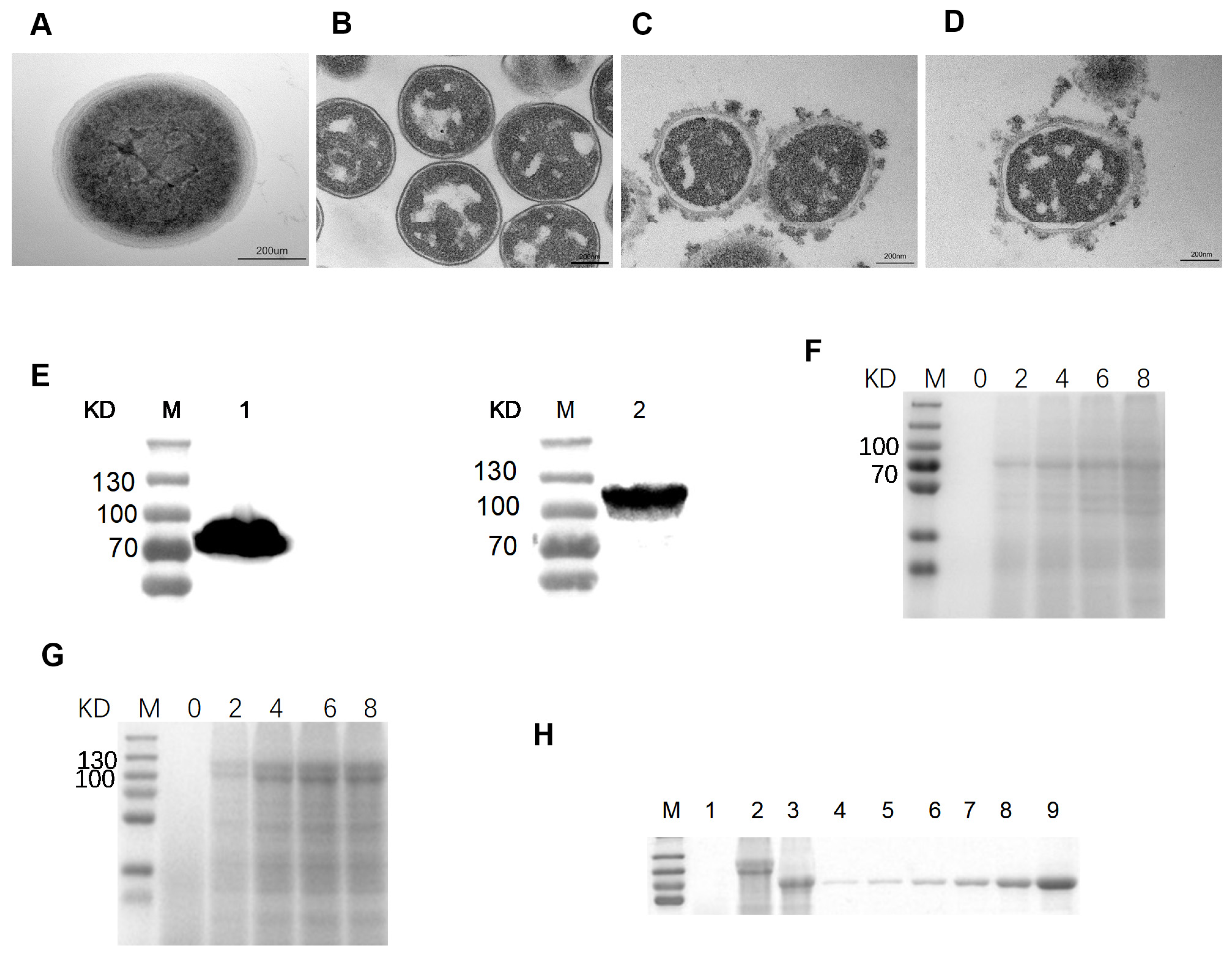
3.1. Expression of F3-PA and H4-PA Proteins
3.2. Binding and Identification of the F or H Protein with GEM Particles
3.3. Determination of the Maximum Binding Capacity of the F or H Protein with GEM Particles
3.4. Determination of IgG-Specific Antibody in Serum
3.5. Determination of Neutralizing Antibody Levels
3.6. Detection of Cytokines Secreted in Splenocytes
3.7. Immune Response in Dogs
4. Discussion
5. Conclusions
Author Contributions
Funding
Institutional Review Board Statement
Informed Consent Statement
Data Availability Statement
Conflicts of Interest
References
- Tao, Y.; Strelkov, S.V.; Mesyanzhinov, V.V.; Rossmann, M.G. Rossmann, Structure of bacteriophage T4 fibritin: A segmented coiled coil and the role of the C-terminal domain. Structure 1997, 5, 789–798. [Google Scholar] [CrossRef] [PubMed]
- Yoshikawa, Y.; Ochikubo, F.; Matsubara, Y.; Tsuruoka, H.; Ishii, M.; Shirota, K.; Nomura, Y.; Sugiyama, M.; Yamanouchi, K. Natural infection with canine distemper virus in a Japanese monkey (Macaca fuscata). Vet. Microbiol. 1989, 20, 193–205. [Google Scholar] [CrossRef] [PubMed]
- Appel, M.J.; Yates, R.A.; Foley, G.L.; Bernstein, J.J.; Santinelli, S.; Spelman, L.H.; Miller, L.D.; Arp, L.H.; Anderson, M.; Barr, M.; et al. Canine distemper epizootic in lions, tigers, and leopards in North America. J. Vet. Diagn. Investig. 1994, 6, 277–288. [Google Scholar] [CrossRef] [PubMed]
- Sheldon, J.D.; Cushing, A.C.; Wilkes, R.P.; Anis, E.; Dubovi, E.J. Serologic response to canine distemper vaccination in captive linnaeus’s two-toed sloths (choloepus didactylus) after a fatal canine distemper virus outbreak. J. Zoo Wildl. Med. 2017, 48, 1250–1253. [Google Scholar] [CrossRef] [PubMed]
- Michelazzo, M.M.Z.; Oliveira, T.E.S.; Viana, N.E.; Moraes, W.; Cubas, Z.S.; Headley, S.A. Immunohistochemical evidence of canine morbillivirus (canine distemper) infection in coatis (Nasua nasua) from Southern Brazil. Transbound. Emerg. Dis. 2020, 67 (Suppl. S2), 178–184. [Google Scholar] [CrossRef]
- Acosta-Jamett, G.; Chalmers, W.; Cunningham, A.; Cleaveland, S.; Handel, I.; Bronsvoort, B. Urban domestic dog populations as a source of canine distemper virus for wild carnivores in the Coquimbo region of Chile. Vet. Microbiol. 2011, 152, 247–257. [Google Scholar] [CrossRef] [PubMed]
- Suzuki, J.; Nishio, Y.; Kameo, Y.; Terada, Y.; Kuwata, R.; Shimoda, H.; Suzuki, K.; Maeda, K. Canine distemper virus infection among wildlife before and after the epidemic. J. Vet. Med. Sci. 2015, 77, 1457–1463. [Google Scholar] [CrossRef]
- Justice-Allen, A.; Clement, M.J. Effect of Canine Parvovirus and Canine Distemper Virus on the Mexican Wolf (Canis lupus baileyi) Population in the USA. J. Wildl. Dis. 2019, 55, 682–688. [Google Scholar] [CrossRef] [PubMed]
- Hidalgo-Hermoso, E.; Cabello, J.; Vega, C.; Kroeger-Gómez, H.; Moreira-Arce, D.; Napolitano, C.; Navarro, C.; Sacristán, I.; Cevidanes, A.; Di Cataldo, S.; et al. An Eight-Year Survey for Canine Distemper Virus Indicates Lack of Exposure in the Endangered Darwin’s Fox (Lycalopex fulvipes). J. Wildl. Dis. 2020, 56, 482–485. [Google Scholar] [CrossRef]
- Gordon, C.H.; Banyard, A.C.; Hussein, A.; Laurenson, M.K.; Malcolm, J.R.; Marino, J.; Regassa, F.; Stewart, A.-M.E.; Fooks, A.R.; Sillero-Zubiri, C. Canine distemper in endangered Ethiopian wolves. Emerg. Infect. Dis. 2015, 21, 824–832. [Google Scholar] [CrossRef]
- Zhao, J.; Zhang, H.; Bai, X.; Martella, V.; Hu, B.; Sun, Y.; Zhu, C.; Zhang, L.; Liu, H.; Xu, S.; et al. Emergence of canine distemper virus strains with two amino acid substitutions in the haemagglutinin protein, detected from vaccinated carnivores in North-Eastern China in 2012–2013. Vet. J. 2014, 200, 191–194. [Google Scholar] [CrossRef] [PubMed]
- von Messling, V.; Zimmer, G.; Herrler, G.; Haas, L.; Cattaneo, R. The hemagglutinin of canine distemper virus determines tropism and cytopathogenicity. J. Virol. 2001, 75, 6418–6427. [Google Scholar] [CrossRef] [PubMed]
- Rendon-Marin, S.; da Fontoura Budaszewski, R.; Canal, C.W.; Ruiz-Saenz, J. Tropism and molecular pathogenesis of canine distemper virus. Virol. J. 2019, 16, 30. [Google Scholar] [CrossRef] [PubMed]
- Hirama, K.; Togashi, K.-I.; Wakasa, C.; Yoneda, M.; Nishi, T.; Endo, Y.; Miura, R.; Tsukiyama-Kohara, K.; Kai, C. Cytotoxic T-lymphocyte activity specific for hemagglutinin (H) protein of canine distemper virus in dogs. J. Vet. Med. Sci. 2003, 65, 109–112. [Google Scholar] [CrossRef] [PubMed]
- Norrby, E.; Utter, G.; Orvell, C.; Appel, M.J. Protection against canine distemper virus in dogs after immunization with isolated fusion protein. J. Virol. 1986, 58, 536–541. [Google Scholar] [CrossRef] [PubMed]
- Bosma, T.; Kanninga, R.; Neef, J.; Audouy, S.A.L.; van Roosmalen, M.L.; Steen, A.; Buist, G.; Kok, J.; Kuipers, O.P.; Robillard, G.; et al. Novel surface display system for proteins on non-genetically modified gram-positive bacteria. Appl. Environ. Microbiol. 2006, 72, 880–889. [Google Scholar] [CrossRef] [PubMed]
- Audouy, S.A.; van Selm, S.; van Roosmalen, M.L.; Post, E.; Kanninga, R.; Neef, J.; Estevão, S.; Nieuwenhuis, E.E.; Adrian, P.V.; Leenhouts, K.; et al. Development of lactococcal GEM-based pneumococcal vaccines. Vaccine 2007, 25, 2497–2506. [Google Scholar] [CrossRef] [PubMed]
- Ramasamy, R.; Yasawardena, S.; Zomer, A.; Venema, G.; Kok, J.; Leenhouts, K. Immunogenicity of a malaria parasite antigen displayed by Lactococcus lactis in oral immunisations. Vaccine 2006, 24, 3900–3908. [Google Scholar] [CrossRef]
- Nganou-Makamdop, K.; van Roosmalen, M.L.; AL Audouy, S.; van Gemert, G.-J.; Leenhouts, K.; Hermsen, C.C.; Sauerwein, R.W. Bacterium-like particles as multi-epitope delivery platform for Plasmodium berghei circumsporozoite protein induce complete protection against malaria in mice. Malar. J. 2012, 11, 50. [Google Scholar] [CrossRef]
- Li, E.; Chi, H.; Huang, P.; Yan, F.; Zhang, Y.; Liu, C.; Wang, Z.; Li, G.; Zhang, S.; Mo, R.; et al. A Novel Bacterium-Like Particle Vaccine Displaying the MERS-CoV Receptor-Binding Domain Induces Specific Mucosal and Systemic Immune Responses in Mice. Viruses 2019, 11, 799. [Google Scholar] [CrossRef]
- Xu, S.; Jiao, C.; Jin, H.; Li, W.; Li, E.; Cao, Z.; Shi, Z.; Yan, F.; Zhang, S.; He, H.; et al. A Novel Bacterium-Like Particle-Based Vaccine Displaying the SUDV Glycoprotein Induces Potent Humoral and Cellular Immune Responses in Mice. Viruses 2019, 11, 1149. [Google Scholar] [CrossRef] [PubMed]
- Van Braeckel-Budimir, N.; Haijema, B.J.; Leenhouts, K. Bacterium-like particles for efficient immune stimulation of existing vaccines and new subunit vaccines in mucosal applications. Front. Immunol. 2013, 4, 282. [Google Scholar] [CrossRef] [PubMed]
- Ramirez, K.; Ditamo, Y.; Rodriguez, L.; Picking, W.L.; van Roosmalen, M.L.; Leenhouts, K.; Pasetti, M.F. Neonatal mucosal immunization with a non-living, non-genetically modified Lactococcus lactis vaccine carrier induces systemic and local Th1-type immunity and protects against lethal bacterial infection. Mucosal Immunol. 2010, 3, 159–171. [Google Scholar] [CrossRef] [PubMed]
- Audouy, S.A.; van Roosmalen, M.L.; Neef, J.; Kanninga, R.; Post, E.; van Deemter, M.; Metselaar, H.; van Selm, S.; Robillard, G.T.; Leenhouts, K.J.; et al. Lactococcus lactis GEM particles displaying pneumococcal antigens induce local and systemic immune responses following intranasal immunization. Vaccine 2006, 24, 5434–5441. [Google Scholar] [CrossRef]
- van Roosmalen, M.L.; Kanninga, R.; El Khattabi, M.; Neef, J.; Audouy, S.; Bosma, T.; Kuipers, A.; Post, E.; Steen, A.; Kok, J.; et al. Mucosal vaccine delivery of antigens tightly bound to an adjuvant particle made from food-grade bacteria. Methods 2006, 38, 144–149. [Google Scholar] [CrossRef]
- Feng, N.; Yu, Y.; Wang, T.; Wilker, P.; Wang, J.; Li, Y.; Sun, Z.; Gao, Y.; Xia, X. Fatal canine distemper virus infection of giant pandas in China. Sci. Rep. 2016, 6, 27518. [Google Scholar] [CrossRef]
- Wilkes, R.P. Canine Distemper Virus in Endangered Species: Species Jump, Clinical Variations, and Vaccination. Pathogens 2022, 12, 57. [Google Scholar] [CrossRef]
- Navaratnarajah, C.K.; Generous, A.R.; Yousaf, I.; Cattaneo, R. Receptor-mediated cell entry of paramyxoviruses: Mechanisms, and consequences for tropism and pathogenesis. J. Biol. Chem. 2020, 295, 2771–2786. [Google Scholar] [CrossRef] [PubMed]
- Plattet, P.; Plemper, R.K. Envelope protein dynamics in paramyxovirus entry. mBio 2013, 4, e00413-13. [Google Scholar] [CrossRef]
- Boudko, S.P.; Londer, Y.Y.; Letarov, A.V.; Sernova, N.V.; Engel, J.; Mesyanzhinov, V.V. Domain organization, folding and stability of bacteriophage T4 fibritin, a segmented coiled-coil protein. Eur. J. Biochem. 2002, 269, 833–841. [Google Scholar] [CrossRef]
- Letarov, A.V.; Londer, Y.Y.; Boudko, S.P.; Mesyanzhinov, V.V. The carboxy-terminal domain initiates trimerization of bacteriophage T4 fibritin. Biochemistry 1999, 64, 817–823. [Google Scholar] [PubMed]
- Güthe, S.; Kapinos, L.; Möglich, A.; Meier, S.; Grzesiek, S.; Kiefhaber, T. Very fast folding and association of a trimerization domain from bacteriophage T4 fibritin. J. Mol. Biol. 2004, 337, 905–915. [Google Scholar] [CrossRef] [PubMed]
- Chen, X.; Zaro, J.L.; Shen, W.C. Fusion protein linkers: Property, design and functionality. Adv. Drug Deliv. Rev. 2013, 65, 1357–1369. [Google Scholar] [CrossRef] [PubMed]
- da Fontoura Budaszewski, R.; Hudacek, A.; Sawatsky, B.; Krämer, B.; Yin, X.; Schnell, M.J.; von Messling, V. Inactivated Recombinant Rabies Viruses Displaying Canine Distemper Virus Glycoproteins Induce Protective Immunity against Both Pathogens. J. Virol. 2017, 91, e02077-16. [Google Scholar] [CrossRef] [PubMed]
- Welter, J.; Taylor, J.; Tartaglia, J.; Paoletti, E.; Stephensen, C.B. Vaccination against canine distemper virus infection in infant ferrets with and without maternal antibody protection, using recombinant attenuated poxvirus vaccines. J. Virol. 2000, 74, 6358–6367. [Google Scholar] [CrossRef] [PubMed]
- de Geus, E.D.; Jansen, C.A.; Vervelde, L. Uptake of particulate antigens in a nonmammalian lung: Phenotypic and functional characterization of avian respiratory phagocytes using bacterial or viral antigens. J. Immunol. 2012, 188, 4516–4526. [Google Scholar] [CrossRef]
- de Geus, E.D.; Degen, W.G.; van Haarlem, D.A.; Schrier, C.; Broere, F.; Vervelde, L. Distribution patterns of mucosally applied particles and characterization of the antigen presenting cells. Avian Pathol. 2015, 44, 222–229. [Google Scholar] [CrossRef]
- Imanishi, T.; Hara, H.; Suzuki, S.; Suzuki, N.; Akira, S.; Saito, T. Cutting edge: TLR2 directly triggers Th1 effector functions. J. Immunol. 2007, 178, 6715–6719. [Google Scholar] [CrossRef] [PubMed]
- Cirone, F.; Elia, G.; Campolo, M.; Friedrich, K.; Martella, V.; Pratelli, A.; Buonavoglia, C. Immunogenicity of an inactivated oil-emulsion canine distemper vaccine in African wild dogs. J. Wildl. Dis. 2004, 40, 343–346. [Google Scholar] [CrossRef]
- Cherpillod, P.; Tipold, A.; Griot-Wenk, M.; Cardozo, C.; Schmid, I.; Fatzer, R.; Schobesberger, M.; Zurbriggen, R.; Bruckner, L.; Roch, F.; et al. DNA vaccine encoding nucleocapsid and surface proteins of wild type canine distemper virus protects its natural host against distemper. Vaccine 2000, 18, 2927–2936. [Google Scholar] [CrossRef]






Disclaimer/Publisher’s Note: The statements, opinions and data contained in all publications are solely those of the individual author(s) and contributor(s) and not of MDPI and/or the editor(s). MDPI and/or the editor(s) disclaim responsibility for any injury to people or property resulting from any ideas, methods, instructions or products referred to in the content. |
© 2024 by the authors. Licensee MDPI, Basel, Switzerland. This article is an open access article distributed under the terms and conditions of the Creative Commons Attribution (CC BY) license (https://creativecommons.org/licenses/by/4.0/).
Share and Cite
Liu, L.; Wang, J.; Li, R.; Wu, J.; Zhao, Y.; Yan, F.; Wang, T.; Gao, Y.; Zhao, Z.; Feng, N.; et al. A Bacterium-like Particle Vaccine Displaying Envelope Proteins of Canine Distemper Virus Can Induce Immune Responses in Mice and Dogs. Viruses 2024, 16, 549. https://doi.org/10.3390/v16040549
Liu L, Wang J, Li R, Wu J, Zhao Y, Yan F, Wang T, Gao Y, Zhao Z, Feng N, et al. A Bacterium-like Particle Vaccine Displaying Envelope Proteins of Canine Distemper Virus Can Induce Immune Responses in Mice and Dogs. Viruses. 2024; 16(4):549. https://doi.org/10.3390/v16040549
Chicago/Turabian StyleLiu, Lina, Jianzhong Wang, Ranran Li, Jianzhao Wu, Yongkun Zhao, Feihu Yan, Tiecheng Wang, Yuwei Gao, Zongzheng Zhao, Na Feng, and et al. 2024. "A Bacterium-like Particle Vaccine Displaying Envelope Proteins of Canine Distemper Virus Can Induce Immune Responses in Mice and Dogs" Viruses 16, no. 4: 549. https://doi.org/10.3390/v16040549
APA StyleLiu, L., Wang, J., Li, R., Wu, J., Zhao, Y., Yan, F., Wang, T., Gao, Y., Zhao, Z., Feng, N., & Xia, X. (2024). A Bacterium-like Particle Vaccine Displaying Envelope Proteins of Canine Distemper Virus Can Induce Immune Responses in Mice and Dogs. Viruses, 16(4), 549. https://doi.org/10.3390/v16040549
