Lives of Skin Lesions in Monkeypox: Histomorphological, Immunohistochemical, and Clinical Correlations in a Small Case Series
Abstract
1. Introduction
2. Materials and Methods
2.1. Sample Collection and Clinical Information
2.2. Histology and Immunohistochemistry
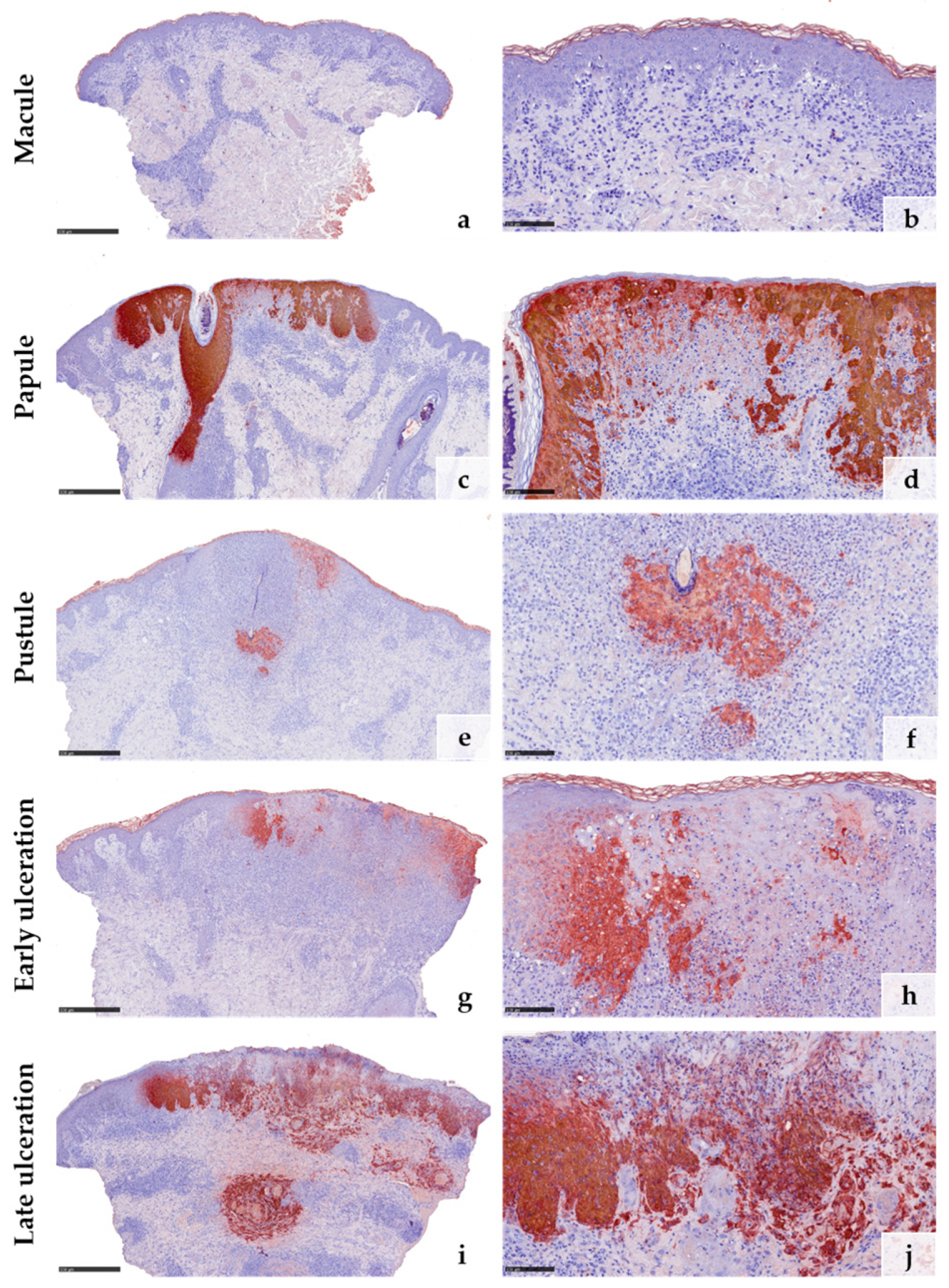
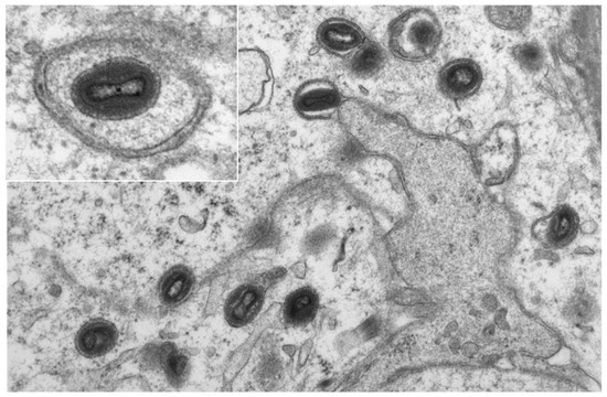
2.3. Electron Microscopy
2.4. PCR from FFPE Samples
3. Results
3.1. Clinical Features
| Patient #1 | Patient #2 | Patient #3 | Patient #4 | ||
|---|---|---|---|---|---|
| Gender | M | M | M | M | |
| Age | 47 | 34 | 42 | 41 | |
| Sexual orientation | Homosexual | Homosexual | Homosexual | Bisexual | |
| HIV status | Negative | Positive | Positive | Positive | |
| Previous STIs | None | Syphilis | None | Syphilis | |
| Symptoms during the course of infection | Inguinal lymphadenopathy | Fever, inguinal lymphadenopathy | Cephalgia, fatigue, inguinal and submandibular lymphadenopathy | Fever | |
| Anatomic site of skin lesions | Trunk, lower extremities, genitals | Face, trunk, genitals | Face, trunk, upper extremities | Enoral, inguinal, genitals | |
| Number of lesions | 6 | 3 | >20 | 12 | |
| Time between sexual risk contact and first skin lesions (days) | 14 | 12 | 14 | 17 | |
| Time between first skin lesions and medical consultation (days) | 4 | 3 | 4 | 7 | |
| MPXV-PCR from lesional skin swabs | Positive | Positive | Positive | Positive | |
| Number of biopsies | 1 | 1 | 2 | 1 | |
| Anatomic site of biopsy | Trunk | Trunk | Trunk | Trunk | Genitals |
| Stage of the lesion | Macule | Papule | Pustule | Early ulceration | Late ulceration with dry necrosis |
| MPXV PCR from FFPE biopsies (Ct) | 37.01 | 19.99 | 22.70 | 23.54 | 21.07 |
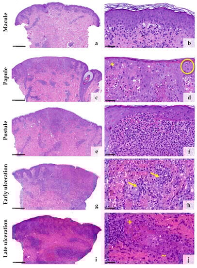
3.2. Histopatholgical Features
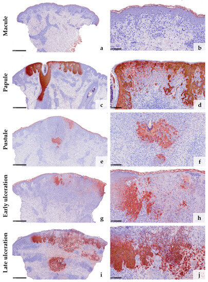
3.3. Immunohistochemical Features
| Biopsy #1 | Biopsy #2 | Biopsy #3 | Biopsy #4 | Biopsy #5 | ||
|---|---|---|---|---|---|---|
| Clinical Stage | Macule | Papule | Pustule | Early ulceration | Late ulceration | |
| Main inflammatory pattern | Superficial, deep perivascular, and interstitial | Superficial, deep perivascular, and interstitial | Superficial, deep perivascular, and interstitial | Superficial, deep perivascular, and interstitial | Superficial, deep perivascular, and interstitial | |
| Epidermal changes | Parakeratosis | o | o | o | + | ++ |
| Spongiosis | + | + | + | ++ | + | |
| Pallor of epidermis | + | +++ | ++ | ++ | + | |
| Necrotic keratinocytes | o | + | + | +++ | +++ | |
| Acantholysis | o | o | o | o | o | |
| Ballooning | + | +++ | ++ | ++ | + | |
| Reticular degeneration | o | + | o | o | o | |
| Multinuclear keratinocytes | o | ++ | + | + | + | |
| Vacuolization of the junctional zone | +++ | ++ | ++ | ++ | + | |
| Guarnieri bodies | o | + | + | + | o | |
| Vascular/perivascular changes | Capillary/ postcapillary venules thrombosis | o | o | o | + | +++ |
| Neutrophilic infiltration of small vessel walls | o | o | o | + | ++ | |
| Fibrin within vessel walls | o | o | o | o | ++ | |
| Fibrin perivascular | o | o | o | o | ++ | |
| Perivascular leucocytoclasia | o | o | o | o | ++ | |
| Extravasated erythrocytes | + | + | + | ++ | +++ | |
| Immunohistochemistry | Anti-Vaccinia virus antibody | |||||
| Epidermal | o | +++ | +++ | +++ | +++ | |
| Follicular | o | +++ | +++ | x | x | |
| Neutrophils (MPO) | ||||||
| Intraepidermal/ intrafollicular | + | ++ | +++ | +++ | ++ | |
| Intravascular | + | ++ | ++ | ++ | + | |
| Perivascular | + | + | ++ | ++ | ++ | |
| Small vessel walls | o | o | o | + | ++ | |
| Diapedesis | + | + | + | ++ | ++ | |
| Interstitial | + | ++ | ++ | +++ | + | |
| T-cell infiltrate (CD3) and subsets (CD4 and CD8) | ||||||
| Perivascular | + | ++ | ++ | ++ | ++ | |
| Periadnexal | + | + | + | ++ | + | |
| Interstitial | + | + | + | + | + | |
| Epidermotropism/Adnexotropism | + | + | + | + | + | |
| T-helper cells (CD4) | +++ | ++ | + | + | + | |
| Cytotoxic T cells (CD8) | + | ++ | ++ | ++ | ++ | |
| CD4/CD8-ratio | 10:1 | 1:1 | 1:4 | 1:4 | 1:3 | |
| Macrophages (CD68) | ||||||
| Perivascular/ periadnexal | ++ | ++ | ++ | +++ | +++ | |
| Interstitial | + | + | + | + | + | |
3.4. Electron Microscopic Features
3.5. PCR from FFPE Samples
4. Discussion
Supplementary Materials
Author Contributions
Funding
Institutional Review Board Statement
Informed Consent Statement
Data Availability Statement
Acknowledgments
Conflicts of Interest
References
- Ladnyj, I.D.; Ziegler, P.; Kima, E. A human infection caused by monkeypox virus in Basankusu Territory, Democratic Republic of the Congo. Bull. World Health Organ. 1972, 46, 593–597. [Google Scholar] [PubMed]
- Di Giulio, D.B.; Eckburg, P.B. Human monkeypox: An emerging zoonosis. Lancet Infect. Dis. 2004, 4, 15–25. [Google Scholar] [CrossRef] [PubMed]
- Jezek, Z.; Szczeniowski, M.; Paluku, K.M.; Mutombo, M.; Grab, B. Human monkeypox: Confusion with chickenpox. Acta Trop. 1988, 45, 297–307. [Google Scholar]
- Zaucha, G.M.; Jahrling, P.B.; Geisbert, T.W.; Swearengen, J.R.; Hensley, L. The pathology of experimental aerosolized monkeypox virus infection in cynomolgus monkeys (Macaca fascicularis). Lab. Investig. 2001, 81, 1581–1600. [Google Scholar] [CrossRef] [PubMed]
- World Health Organization. Global Smallpox Eradication. Available online: https://www.who.int/publications/i/item/WHA33-4 (accessed on 17 April 2023).
- Thornhill, J.P.; Barkati, S.; Walmsley, S.; Rockstroh, J.; Antinori, A.; Harrison, L.B.; Palich, R.; Nori, A.; Reeves, I.; Habibi, M.S.; et al. Monkeypox Virus Infection in Humans across 16 Countries—April–June 2022. N. Engl. J. Med. 2022, 387, 679–691. [Google Scholar] [CrossRef]
- Harris, E. What to Know About Monkeypox. JAMA 2022, 327, 2278–2279. [Google Scholar] [CrossRef]
- Robert Koch-Institut. Internationaler Mpox-Ausbruch: Einschätzung der Situation in Deutschland. Available online: https://www.rki.de/DE/Content/InfAZ/A/Affenpocken/Ausbruch-2022-Situation-Deutschland.html (accessed on 14 April 2023).
- Alakunle, E.; Moens, U.; Nchinda, G.; Okeke, M.I. Monkeypox Virus in Nigeria: Infection Biology, Epidemiology, and Evolution. Viruses 2020, 12, 1257. [Google Scholar] [CrossRef]
- Sah, R.; Abdelaal, A.; Reda, A.; Katamesh, B.E.; Manirambona, E.; Abdelmonem, H.; Mehta, R.; Rabaan, A.A.; Alhumaid, S.; Alfouzan, W.A.; et al. Monkeypox and Its Possible Sexual Transmission: Where Are We Now with Its Evidence? Pathogens 2022, 11, 924. [Google Scholar] [CrossRef]
- Reed, K.D.; Melski, J.W.; Graham, M.B.; Regnery, R.L.; Sotir, M.J.; Wegner, M.V.; Kazmierczak, J.J.; Stratman, E.J.; Li, Y.; Fairley, J.A.; et al. The detection of monkeypox in humans in the Western Hemisphere. N. Engl. J. Med. 2004, 350, 342–350. [Google Scholar] [CrossRef]
- Català, A.; Clavo-Escribano, P.; Riera-Monroig, J.; Martín-Ezquerra, G.; Fernandez-Gonzalez, P.; Revelles-Peñas, L.; Simon-Gozalbo, A.; Rodríguez-Cuadrado, F.J.; Castells, V.G.; de la Torre Gomar, F.J.; et al. Monkeypox outbreak in Spain: Clinical and epidemiological findings in a prospective cross-sectional study of 185 cases. Br. J. Dermatol. 2022, 187, 765–772. [Google Scholar] [CrossRef]
- Pinto-Pulido, E.L.; Fernández-Parrado, M.; Rodríguez-Cuadrado, F.J. RF—Monkeypox: Key Concepts. Actas Dermosifiliogr. 2022, 28, S0001. [Google Scholar] [CrossRef]
- Rodríguez-Cuadrado, F.J.; Nájera, L.; Suárez, D.; Silvestre, G.; García-Fresnadillo, D.; Roustan, G.; Sánchez-Vázquez, L.; Jo, M.; Santonja, C.; Garrido-Ruiz, M.C.; et al. Clinical, histopathologic, immunohistochemical, and electron microscopic findings in cutaneous monkeypox: A multicenter retrospective case series in Spain. J. Am. Acad. Dermatol. 2023, 88, 856–863. [Google Scholar] [CrossRef]
- Rodríguez, B.S.; Herrador, B.R.G.; Franco, A.D.; Sánchez-Seco Fariñas, M.P.; Del Amo Valero, J.; Aginagalde Llorente, A.H.; de Agreda, J.P.A.P.; Malonda, R.C.; Castrillejo, D.; Chirlaque López, M.D.; et al. Epidemiologic Features and Control Measures during Monkeypox Outbreak, Spain, June 2022. Emerg. Infect. Dis. 2022, 28, 1847–1851. [Google Scholar] [CrossRef] [PubMed]
- McCollum, A.M.; Damon, I.K. Human monkeypox. Clin. Infect. Dis. 2014, 58, 260–267. [Google Scholar] [CrossRef] [PubMed]
- Gessain, A.; Nakoune, E.; Yazdanpanah, Y. Monkeypox. N. Engl. J. Med. 2022, 387, 1783–1793. [Google Scholar] [CrossRef]
- Harapan, H.; Ophinni, Y.; Megawati, D.; Frediansyah, A.; Mamada, S.S.; Salampe, M.; Bin Emran, T.; Winardi, W.; Fathima, R.; Sirinam, S.; et al. Monkeypox: A Comprehensive Review. Viruses 2022, 14, 2155. [Google Scholar] [CrossRef]
- Adler, H.; Gould, S.; Hine, P.; Snell, L.B.; Wong, W.; Houlihan, C.F.; Osborne, J.C.; Rampling, T.; Beadsworth, M.B.; Duncan, C.J.; et al. Clinical features and management of human monkeypox: A retrospective observational study in the UK. Lancet Infect. Dis. 2022, 22, 1153–1162. [Google Scholar] [CrossRef]
- Guarner, J.; Del Rio, C.; Malani, P.N. Monkeypox in 2022-What Clinicians Need to Know. JAMA 2022, 328, 139–140. [Google Scholar] [CrossRef]
- Basgoz, N.; Brown, C.M.; Smole, S.C.; Madoff, L.C.; Biddinger, P.D.; Baugh, J.J.; Shenoy, E.S. Case 24-2022: A 31-Year-Old Man with Perianal and Penile Ulcers, Rectal Pain, and Rash. N. Engl. J. Med. 2022, 387, 547–556. [Google Scholar] [CrossRef]
- Kaler, J.; Hussain, A.; Flores, G.; Kheiri, S.; Desrosiers, D. Monkeypox: A Comprehensive Review of Transmission, Pathogenesis, and Manifestation. Cureus 2022, 14, e26531. [Google Scholar] [CrossRef]
- Tarín-Vicente, E.J.; Alemany, A.; Agud-Dios, M.; Ubals, M.; Suñer, C.; Antón, A.; Arando, M.; Arroyo-Andrés, J.; Calderón-Lozano, L.; Casañ, C.; et al. Clinical presentation and virological assessment of confirmed human monkeypox virus cases in Spain: A prospective observational cohort study. Lancet 2022, 400, 661–669. [Google Scholar] [CrossRef] [PubMed]
- Madewell, Z.J.; Charniga, K.; Masters, N.B.; Asher, J.; Fahrenwald, L.; Still, W.; Chen, J.; Kipperman, N.; Bui, D.; Shea, M.; et al. Serial Interval and Incubation Period Estimates of Monkeypox Virus Infection in 12 Jurisdictions, United States, May–August 2022. Emerg. Infect. Dis. 2023, 29, 818–821. [Google Scholar] [CrossRef]
- Chalali, F.; Merlant, M.; Truong, A.; Ghosn, J.; Phung, B.-C.; Mollo, B.; Perrineau, S.; Rahi, M.; Fidouh-Houhou, N.; Ferré, V.M.; et al. Histological Features Associated With Human Mpox Virus Infection in 2022 Outbreak in a Nonendemic Country. Clin. Infect. Dis. 2023, 76, 1132–1135. [Google Scholar] [CrossRef] [PubMed]
- Prasad, S.; Galvan Casas, C.; Strahan, A.G.; Fuller, L.C.; Peebles, K.; Carugno, A.; Leslie, K.S.; Harp, J.L.; Pumnea, T.; McMahon, D.E.; et al. A dermatologic assessment of 101 mpox (monkeypox) cases from 13 countries during the 2022 outbreak: Skin lesion morphology, clinical course, and scarring. J. Am. Acad. Dermatol. 2023, 88, 1066–1073. [Google Scholar] [CrossRef] [PubMed]
- World Health Organization. Laboratory Testing for the Monkeypox Virus: Interim Guidance. Available online: https://www.who.int/publications/i/item/WHO-MPX-laboratory-2022.1 (accessed on 7 August 2023).
- Altindis, M.; Puca, E.; Shapo, L. Diagnosis of monkeypox virus—An overview. Travel Med. Infect. Dis. 2022, 50, 102459. [Google Scholar] [CrossRef] [PubMed]
- Li, Y.; Zhao, H.; Wilkins, K.; Hughes, C.; Damon, I.K. Real-time PCR assays for the specific detection of monkeypox virus West African and Congo Basin strain DNA. J. Virol. Methods 2010, 169, 223–227. [Google Scholar] [CrossRef] [PubMed]
- Petersen, E.; Kantele, A.; Koopmans, M.; Asogun, D.; Yinka-Ogunleye, A.; Ihekweazu, C.; Zumla, A. Human Monkeypox: Epidemiologic and Clinical Characteristics, Diagnosis, and Prevention. Infect. Dis. Clin. N. Am. 2019, 33, 1027–1043. [Google Scholar] [CrossRef] [PubMed]
- Bayer-Garner, I.B. Monkeypox virus: Histologic, immunohistochemical and electron-microscopic findings. J. Cutan. Pathol. 2005, 32, 28–34. [Google Scholar] [CrossRef]
- Maronese, C.A.; Beretta, A.; Avallone, G.; Boggio, F.L.; Marletta, D.A.; Murgia, G.; Cusini, M.; Gori, A.; Carrera, C.G.; Di Benedetto, A.; et al. Clinical, dermoscopic and histopathological findings in localized human monkeypox: A case from northern Italy. Br. J. Dermatol. 2022, 187, 822–823. [Google Scholar] [CrossRef]
- Berna-Rico, E.; Perna, C.; Azcarraga-Llobet, C.; Garcia-Mouronte, E.; de Nicolas-Ruanes, B.; Melendez-Gispert, M.R.; Vivancos, M.J.; Martinez-Garcia, L.; Fernandez-Gonzalez, P. Monkeypox virus infection with a syphilitic-roseola-like rash and its histopathologic characterization during 2022 outbreak. J. Eur. Acad. Dermatol. Venereol. 2023, 37, e400–e402. [Google Scholar] [CrossRef]
- Ortins-Pina, A.; Hegemann, B.; Saggini, A.; Deml, K.-F.; Wallerius, K.; Hörster, S.; Kraft, S.; Weyers, W. Histopathological features of human monkeypox: Report of two cases and review of the literature. J. Cutan. Pathol. 2023, 50, 706–710. [Google Scholar] [CrossRef] [PubMed]
- Ackerman, A.B.; Ragaz, A. The Lives of Lesions: Chronology in Dermatopathology. Masson Pub.: New York, NY, USA, 1984; ISBN 9780893520953. [Google Scholar]
- Stagles, M.J.; Watson, A.A.; Boyd, J.F.; More, I.A.; McSeveney, D. The histopathology and electron microscopy of a human monkeypox lesion. Trans. R. Soc. Trop. Med. Hyg. 1985, 79, 192–202. [Google Scholar] [CrossRef] [PubMed]
- Hoyt, B.; Bhawan, J. Histological spectrum of cutaneous herpes infections. Am. J. Dermatopathol. 2014, 36, 609–619. [Google Scholar] [CrossRef] [PubMed]
- Walsh, N.; Boutilier, R.; Glasgow, D.; Shaffelburg, M. Exclusive involvement of folliculosebaceous units by herpes: A reflection of early herpes zoster. Am. J. Dermatopathol. 2005, 27, 189–194. [Google Scholar] [CrossRef]
- Böer, A.; Herder, N.; Winter, K.; Falk, T. Herpes folliculitis: Clinical, histopathological, and molecular pathologic observations. Br. J. Dermatol. 2006, 154, 743–746. [Google Scholar] [CrossRef] [PubMed]
- Bunick, C.G.; Mariwalla, K.; Ibrahim, O.; Modi, B.; Imaeda, S.; McNiff, J.M. Expanding the histologic findings in smallpox-related post-vaccinial non-viral folliculitis. J. Cutan. Pathol. 2013, 40, 305–309. [Google Scholar] [CrossRef] [PubMed]
- Talbot, T.R.; Bredenberg, H.K.; Smith, M.; LaFleur, B.J.; Boyd, A.; Edwards, K.M. Focal and generalized folliculitis following smallpox vaccination among vaccinia-naive recipients. JAMA 2003, 289, 3290–3294. [Google Scholar] [CrossRef][Green Version]
- Egan, K.P.; Allen, A.G.; Wigdahl, B.; Jennings, S.R. Modeling the pathology, immune responses, and kinetics of HSV-1 replication in the lip scarification model. Virology 2018, 514, 124–133. [Google Scholar] [CrossRef]
- Bonaventura, A.; Vecchié, A.; Dagna, L.; Martinod, K.; Dixon, D.L.; van Tassell, B.W.; Dentali, F.; Montecucco, F.; Massberg, S.; Levi, M.; et al. Endothelial dysfunction and immunothrombosis as key pathogenic mechanisms in COVID-19. Nat. Rev. Immunol. 2021, 21, 319–329. [Google Scholar] [CrossRef]
- Lim, M.S.; Mcrae, S. COVID-19 and immunothrombosis: Pathophysiology and therapeutic implications. Crit. Rev. Oncol. Hematol. 2021, 168, 103529. [Google Scholar] [CrossRef]
- Portier, I.; Campbell, R.A.; Denorme, F. Mechanisms of immunothrombosis in COVID-19. Curr. Opin. Hematol. 2021, 28, 445–453. [Google Scholar] [CrossRef] [PubMed]
- Braun, S.A.; Bauer, A.T.; Németh, C.; Rózsa, A.; Rusch, L.; Erpenbeck, L.; Schloer, S.; Silling, S.; Metze, D.; Gerber, P.A.; et al. Immunothrombotic Mechanisms Induced by Ingenol Mebutate Lead to Rapid Necrosis and Clearance of Anogenital Warts. Int. J. Mol. Sci. 2022, 23, 13377. [Google Scholar] [CrossRef] [PubMed]





Disclaimer/Publisher’s Note: The statements, opinions and data contained in all publications are solely those of the individual author(s) and contributor(s) and not of MDPI and/or the editor(s). MDPI and/or the editor(s) disclaim responsibility for any injury to people or property resulting from any ideas, methods, instructions or products referred to in the content. |
© 2023 by the authors. Licensee MDPI, Basel, Switzerland. This article is an open access article distributed under the terms and conditions of the Creative Commons Attribution (CC BY) license (https://creativecommons.org/licenses/by/4.0/).
Share and Cite
Schmidle, P.; Leson, S.; Wieland, U.; Böer-Auer, A.; Metze, D.; Braun, S.A. Lives of Skin Lesions in Monkeypox: Histomorphological, Immunohistochemical, and Clinical Correlations in a Small Case Series. Viruses 2023, 15, 1748. https://doi.org/10.3390/v15081748
Schmidle P, Leson S, Wieland U, Böer-Auer A, Metze D, Braun SA. Lives of Skin Lesions in Monkeypox: Histomorphological, Immunohistochemical, and Clinical Correlations in a Small Case Series. Viruses. 2023; 15(8):1748. https://doi.org/10.3390/v15081748
Chicago/Turabian StyleSchmidle, Paul, Sonja Leson, Ulrike Wieland, Almut Böer-Auer, Dieter Metze, and Stephan A. Braun. 2023. "Lives of Skin Lesions in Monkeypox: Histomorphological, Immunohistochemical, and Clinical Correlations in a Small Case Series" Viruses 15, no. 8: 1748. https://doi.org/10.3390/v15081748
APA StyleSchmidle, P., Leson, S., Wieland, U., Böer-Auer, A., Metze, D., & Braun, S. A. (2023). Lives of Skin Lesions in Monkeypox: Histomorphological, Immunohistochemical, and Clinical Correlations in a Small Case Series. Viruses, 15(8), 1748. https://doi.org/10.3390/v15081748

