Effect of Intermediate Plus Vaccine and vvIBDV on Bursa Secretory Cells and Their Glycoprotein Production
Abstract
1. Introduction
2. Materials and Methods
2.1. Animals and Embryos
2.2. IBDV Strains
2.3. Glycoprotein Demonstration
2.4. Image Processing
3. Results and Discussion
3.1. Secretion of IFE Cell and Embryonic Epithelium
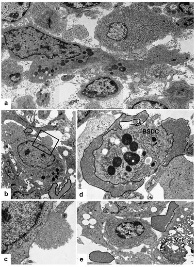
3.2. Secretion of Bursal Secretory Dendritic Cell (BSDC) and IBDV Susceptibility
3.3. BSDC Product; Glycoprotein and Vaccination
3.4. BSDC Product; Glycoprotein and vvIBDV Infection
4. Conclusions
Author Contributions
Funding
Institutional Review Board Statement
Informed Consent Statement
Data Availability Statement
Acknowledgments
Conflicts of Interest
References
- Olah, I.; Glick, B. Bursal secretory cells: An electron microscope study. Anat. Rec. 1987, 219, 268–274. [Google Scholar] [CrossRef] [PubMed]
- Steinman, R.M.; Cohn, Z.A. Identification of a novel cell type in peripheral lymphoid organs of mice. I. Morphology, quantitation, tissue distribution. J. Exp. Med. 1973, 137, 1142–1162. [Google Scholar] [CrossRef] [PubMed]
- Brand, A.; Gilmour, D.G.; Goldstein, G. Lymphocyte-differentiating hormone of bursa of fabricius. Science 1976, 193, 319–321. [Google Scholar] [CrossRef] [PubMed]
- Olah, I.; Glick, B. Secretory cell in the medulla of the bursa of Fabricius. Experientia 1978, 34, 1642–1643. [Google Scholar] [CrossRef]
- Olah, I.; Glick, B.; McCorkle, F.; Stinson, R. Light and electron microscope structure of secretory cells in the medulla of bursal follicles of normal and cyclophosphamide treated chickens. Dev. Comp. Immunol. 1979, 3, 101–115. [Google Scholar] [CrossRef]
- Glick, B.; Oláh, I. A bursal secretory dendritic cell and its contributions to the microenvironment of the developing bursal follicle. Res. Immunol. 1993, 144, 446–448. [Google Scholar] [CrossRef]
- Glick, B.; Chang, T.S.; Jaap, R.G. The bursa of Fabricius and antibody production. Poult. Sci. 1956, 35, 224–225. [Google Scholar] [CrossRef]
- Ratcliffe, M.J. The ontogeny and cloning of B cells in the bursa of Fabricius. Immunol. Today 1985, 6, 223–227. [Google Scholar] [CrossRef]
- Reynaud, C.A.; Bertocci, B.; Dahan, A.; Weill, J.C. Formation of the chicken B-cell repertoire: Ontogenesis, regulation of Ig gene rearrangement, and diversification by gene conversion. Adv. Immunol. 1994, 57, 353–378. [Google Scholar] [CrossRef]
- Scott, T.R. Our current understanding of humoral immunity of poultry. Poult. Sci. 2004, 83, 574–579. [Google Scholar] [CrossRef]
- Paramithiotis, E.; Ratcliffe, M.J. B cell emigration directly from the cortex of lymphoid follicles in the bursa of Fabricius. Eur. J. Immunol. 1994, 24, 458–463. [Google Scholar] [CrossRef] [PubMed]
- Sharma, J.M.; Kim, I.J.; Rautenschlein, S.; Yeh, H.Y. Infectious bursal disease virus of chickens: Pathogenesis and immunosuppression. Dev. Comp. Immunol. 2000, 24, 223–235. [Google Scholar] [CrossRef] [PubMed]
- Felföldi, B.; Bódi, I.; Minkó, K.; Benyeda, Z.; Nagy, N.; Magyar, A.; Oláh, I. Infection of bursal disease virus abrogates the extracellular glycoprotein in the follicular medulla. Poult. Sci. 2021, 100, 101000. [Google Scholar] [CrossRef] [PubMed]
- Felföldi, B.; Benyeda Zs Kovács, T.; Nagy, N.; Magyar, A.; Oláh, I. Glycoprotein Production by Bursal Secretory Dendritic Cells in Normal, Vaccinated, and Infectious Bursal Disease Virus (IBDV)-Infected Chickens. Viruses 2022, 14, 1689. [Google Scholar] [CrossRef]
- Cloosen, S.; Thio, M.; Vanclée, A.; van Leeuwen, E.B.; Senden-Gijsbers, B.L.; Oving, E.B.; Germeraad, W.T.; Bos, G.M. Mucin-1 is expressed on dendritic cells, both in vitro and in vivo. Int. Immunol. 2004, 16, 1561–1571. [Google Scholar] [CrossRef]
- Bancroft, J.D.; Gamble, M. Theory and Practice of Histological Techniques, 8th ed.; Churchill Livingstone: London, UK; Elsevier: Beijing, China, 2019. [Google Scholar]
- Oláh, I.; Felföldi, B.; Benyeda, Z.; Kovács, T.; Nagy, N.; Magyar, A. The bursal se-cretory dendritic cell (BSDC) and the enigmatic chB6+ macrophage-like cell (Mal). Poult. Sci. 2022, 101, 101727. [Google Scholar] [CrossRef]
- Olah, I.; Glick, B. The number and size of the follicular epithelium (FE) and follicles in the bursa of Fabricius. Poult. Sci. 1978, 57, 1445–1450. [Google Scholar] [CrossRef]
- Nagy, N.; Oláh, I. Experimental evidence for the ectodermal origin of the epithelial anlage of the chicken bursa of Fabricius. Development 2010, 137, 3019–3023. [Google Scholar] [CrossRef]
- Kabell, S.; Igyártó, B.Z.; Magyar, A.; Hajdú, Z.; Biró, E.; Bisgaard, M.; Oláh, I. Impact of heterophil granulocyte depletion caused by 5-fluorouracil on infectious bursal disease virus infection in specific pathogen free chickens. Avian Pathol. 2006, 35, 341–348. [Google Scholar] [CrossRef]
- Chechik, B.E.; Fong, M.; Greer, W.; Fernandes, B.; Harvey, P.R. Chicken mucin-cross-reactive antigen. Dev. Comp. Immunol. 1988, 12, 347–362. [Google Scholar] [CrossRef]
- Edwards, K.R.; Muskett, J.C.; Thornton, D.H. Duration of immunosuppression caused by a vaccine strain of infectious bursal disease virus. Res. Vet. Sci. 1982, 2, 79–83. [Google Scholar] [CrossRef]
- Trapp, J.; Rautenschlein, S. Infectious bursal disease virus’ interferences with host immune cells: What do we know? Avian Pathol. 2022, 51, 303–316. [Google Scholar] [CrossRef] [PubMed]
- Madej, J.P.; Chrząstek, K.; Piasecki, T.; Wieliczko, A. New insight into the struc-ture, development, functions and popular disorders of bursa Fabricii. Anat. Histol. Embryol. 2013, 42, 321–331. [Google Scholar] [CrossRef] [PubMed]
- Withers, D.R.; Young, J.R.; Davison, T.F. Infectious bursal disease virus-induced immunosuppression in the chick is associated with the presence of undifferentiated follicles in the recovering bursa. Viral Immunol. 2005, 18, 127–137. [Google Scholar] [CrossRef]
- Withers, D.R.; Davison, T.F.; Young, J.R. Diversified bursal medullary B cells survive and expand independently after depletion following neonatal infectious bursal disease virus infection. Immunology 2006, 117, 558–565. [Google Scholar] [CrossRef]
- Morimura, T.; Miyatani, S.; Kitamura, D.; Goitsuka, R. Notch signaling suppresses IgH gene expression in chicken B cells: Implication in spatially restricted expression of Ser-rate2/Notch1 in the bursa of Fabricius. J. Immunol. 2001, 166, 3277–3283. [Google Scholar] [CrossRef] [PubMed]






Disclaimer/Publisher’s Note: The statements, opinions and data contained in all publications are solely those of the individual author(s) and contributor(s) and not of MDPI and/or the editor(s). MDPI and/or the editor(s) disclaim responsibility for any injury to people or property resulting from any ideas, methods, instructions or products referred to in the content. |
© 2023 by the authors. Licensee MDPI, Basel, Switzerland. This article is an open access article distributed under the terms and conditions of the Creative Commons Attribution (CC BY) license (https://creativecommons.org/licenses/by/4.0/).
Share and Cite
Oláh, I.; Felföldi, B.; Benyeda, Z.; Nagy, N.; Magyar, A.; Szőcs, E.; Soós, Á. Effect of Intermediate Plus Vaccine and vvIBDV on Bursa Secretory Cells and Their Glycoprotein Production. Viruses 2023, 15, 1301. https://doi.org/10.3390/v15061301
Oláh I, Felföldi B, Benyeda Z, Nagy N, Magyar A, Szőcs E, Soós Á. Effect of Intermediate Plus Vaccine and vvIBDV on Bursa Secretory Cells and Their Glycoprotein Production. Viruses. 2023; 15(6):1301. https://doi.org/10.3390/v15061301
Chicago/Turabian StyleOláh, Imre, Balázs Felföldi, Zsófia Benyeda, Nándor Nagy, Attila Magyar, Emőke Szőcs, and Ádám Soós. 2023. "Effect of Intermediate Plus Vaccine and vvIBDV on Bursa Secretory Cells and Their Glycoprotein Production" Viruses 15, no. 6: 1301. https://doi.org/10.3390/v15061301
APA StyleOláh, I., Felföldi, B., Benyeda, Z., Nagy, N., Magyar, A., Szőcs, E., & Soós, Á. (2023). Effect of Intermediate Plus Vaccine and vvIBDV on Bursa Secretory Cells and Their Glycoprotein Production. Viruses, 15(6), 1301. https://doi.org/10.3390/v15061301
