Characterization of Human Papilloma Virus in Prostate Cancer Patients Undergoing Radical Prostatectomy—A Prospective Study of 140 Patients
Abstract
1. Introduction
2. Material and Methods
2.1. Study Cohort
2.2. Questionnaire
2.3. Molecular Assays and Identification of HPV by Polymerase Chain Reaction
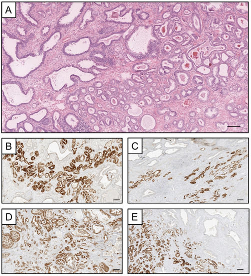
2.4. Immunohistochemistry
2.5. Statistics
3. Results
3.1. Sociodemographic Factors
3.2. Patient’s Knowledge about HPV and History of HPV-Related Diseases
3.3. Prostate Cancer Characteristics
3.3.1. Prostate Biopsy
3.3.2. RP Specimens
3.3.3. Detection of HPV in RP Specimens
3.4. HPV-16 L1 Antibody Levels
4. Discussion
5. Limitations
6. Conclusions
Supplementary Materials
Author Contributions
Funding
Institutional Review Board Statement
Informed Consent Statement
Data Availability Statement
Acknowledgments
Conflicts of Interest
References
- Parkin, D.M. The global health burden of infection-associated cancers in the year 2002. Int. J. Cancer 2006, 118, 3030–3044. [Google Scholar] [CrossRef] [PubMed]
- Walboomers, J.M.; Jacobs, M.V.; Manos, M.M.; Bosch, F.X.; Kummer, J.A.; Shah, K.V.; Snijders, P.J.; Peto, J.; Meijer, C.J.; Muñoz, N. Human papillomavirus is a necessary cause of invasive cervical cancer worldwide. J. Pathol. 1999, 189, 12–19. [Google Scholar] [CrossRef]
- Burd, E.M. Human papillomavirus and cervical cancer. Clin. Microbiol. Rev. 2003, 16, 1. [Google Scholar] [CrossRef] [PubMed]
- Lechner, M.; Liu, J.; Masterson, L.; Fenton, T.R. HPV-associated oropharyngeal cancer: Epidemiology, molecular biology and clinical management. Nat. Rev. Clin. Oncol. 2022, 19, 306–327. [Google Scholar] [CrossRef] [PubMed]
- Gami, B.; Kubba, F.; Ziprin, P. Human papilloma virus and squamous cell carcinoma of the anus. Clin. Med. Insights Oncol. 2014, 8, 113–119. [Google Scholar] [CrossRef] [PubMed]
- Rakislova, N.; Saco, A.; Sierra, A.; Del Pino, M.; Ordi, J. Role of Human Papillomavirus in Vulvar Cancer. Adv. Anat. Pathol. 2017, 24, 201–214. [Google Scholar] [CrossRef]
- Sinno, A.K.; Saraiya, M.; Thompson, T.D.; Hernandez, B.Y.; Goodman, M.T.; Steinau, M.; Lynch, C.F.; Cozen, W.; Saber, M.S.; Peters, E.S.; et al. Human papillomavirus genotype prevalence in invasive vaginal cancer from a registry-based population. Obstet. Gynecol. 2014, 123, 817–821. [Google Scholar] [CrossRef]
- Cai, T.; Di Vico, T.; Durante, J.; Tognarelli, A.; Bartoletti, R. Human papilloma virus and genitourinary cancers: A narrative review. Minerva Urol. Nefrol. 2018, 70, 579–587. [Google Scholar] [CrossRef]
- Stratton, K.L.; Culkin, D.J. A Contemporary Review of HPV and Penile Cancer. Oncology 2016, 30, 245–249. [Google Scholar] [PubMed]
- Morka, N.; Norris, J.M.; Emberton, M.; Kelly, D. Prostate cancer and the human papilloma virus: Causative association, role of vaccines, and the impact of the COVID-19 pandemic. Prostate Cancer Prostatic Dis. 2022, 25, 55–57. [Google Scholar] [CrossRef]
- Yang, L.; Xie, S.; Feng, X.; Chen, Y.; Zheng, T.; Dai, M.; Zhou, C.K.; Hu, Z.; Li, N.; Hang, D. Worldwide Prevalence of Human Papillomavirus and Relative Risk of Prostate Cancer: A Meta-analysis. Sci. Rep. 2015, 5, 14667. [Google Scholar] [CrossRef] [PubMed]
- Chen, A.C.; Waterboer, T.; Keleher, A.; Morrison, B.; Jindal, S.; McMillan, D.; Nicol, D.; Gardiner, R.A.; McMillan, N.A.; Antonsson, A. Human papillomavirus in benign prostatic hyperplasia and prostatic adenocarcinoma patients. Pathol. Oncol. Res. 2011, 17, 613–617. [Google Scholar] [CrossRef]
- Glenn, W.K.; Ngan, C.C.; Amos, T.G.; Edwards, R.J.; Swift, J.; Lutze-Mann, L.; Shang, F.; Whitaker, N.J.; Lawson, J.S. High risk human papilloma viruses (HPVs) are present in benign prostate tissues before development of HPV associated prostate cancer. Infect. Agent Cancer 2017, 12, 46. [Google Scholar] [CrossRef]
- Lawson, J.S.; Glenn, W.K. Evidence for a causal role by human papillomaviruses in prostate cancer—A systematic review. Infect. Agents Cancer 2020, 15, 41. [Google Scholar] [CrossRef] [PubMed]
- Sadri Nahand, J.; Esghaei, M.; Hamidreza Monavari, S.; Moghoofei, M.; Jalal Kiani, S.; Mostafaei, S.; Mirzaei, H.; Bokharaei-Salim, F. The assessment of a possible link between HPV-mediated inflammation, apoptosis, and angiogenesis in Prostate cancer. Int. Immunopharmacol. 2020, 88, 106913. [Google Scholar] [CrossRef]
- Dillner, J.; Knekt, P.; Boman, J.; Lehtinen, M.; Af Geijersstam, V.; Sapp, M.; Schiller, J.; Maatela, J.; Aromaa, A. Sero-epidemiological association between human-papillomavirus infection and risk of prostate cancer. Int. J. Cancer 1998, 75, 564–567. [Google Scholar] [CrossRef]
- Adami, H.O.; Kuper, H.; Andersson, S.O.; Bergström, R.; Dillner, J. Prostate cancer risk and serologic evidence of human papilloma virus infection: A population-based case-control study. Cancer Epidemiol. Biomark. Prev. 2003, 12, 872–875. [Google Scholar]
- Rawla, P. Epidemiology of Prostate Cancer. World J. Oncol. 2019, 10, 63–89. [Google Scholar] [CrossRef]
- Nguyen, N.P.; Chi, A.; Nguyen, L.M.; Ly, B.H.; Karlsson, U.; Vinh-Hung, V. Human papillomavirus-associated oropharyngeal cancer: A new clinical entity. QJM 2010, 103, 229–236. [Google Scholar] [CrossRef]
- Ang, K.K.; Harris, J.; Wheeler, R.; Weber, R.; Rosenthal, D.I.; Nguyen-Tân, P.F.; Westra, W.H.; Chung, C.H.; Jordan, R.C.; Lu, C.; et al. Human papillomavirus and survival of patients with oropharyngeal cancer. N. Engl. J. Med. 2010, 363, 24–35. [Google Scholar] [CrossRef] [PubMed]
- Roden, R.B.S.; Stern, P.L. Opportunities and challenges for human papillomavirus vaccination in cancer. Nat. Rev. Cancer 2018, 18, 240–254. [Google Scholar] [CrossRef] [PubMed]
- López, N.; Garcés-Sánchez, M.; Panizo, M.B.; de la Cueva, I.S.; Artés, M.T.; Ramos, B.; Cotarelo, M. HPV knowledge and vaccine acceptance among European adolescents and their parents: A systematic literature review. Public Health Rev. 2020, 41, 10. [Google Scholar] [CrossRef] [PubMed]
- de Lima Rocha, M.G.; Faria, F.L.; Gonçalves, L.; Souza Mdo, C.; Fernandes, P.; Fernandes, A.P. Prevalence of DNA-HPV in male sexual partners of HPV-infected women and concordance of viral types in infected couples. PLoS ONE 2012, 7, e40988. [Google Scholar] [CrossRef]
- Tornesello, M.L.; Buonaguro, F.M. Human Papillomavirus and Cancers. Cancers 2020, 12, 3772. [Google Scholar] [CrossRef] [PubMed]
- Mirabello, L.; Yeager, M.; Yu, K.; Clifford, G.M.; Xiao, Y.; Zhu, B.; Cullen, M.; Boland, J.F.; Wentzensen, N.; Nelson, C.W.; et al. HPV16 E7 Genetic Conservation Is Critical to Carcinogenesis. Cell. 2017, 170, 1164–1174.e6. [Google Scholar] [CrossRef]
- Nevins, J.R. The Rb/E2F pathway and cancer. Hum. Mol. Genet. 2001, 10, 699–703. [Google Scholar] [CrossRef]
- Stiasny, A.; Kuhn, C.; Mayr, D.; Alexiou, C.; Janko, C.; Wiest, I.; Jeschke, U.; Kost, B. Immunohistochemical Evaluation of E6/E7 HPV Oncoproteins Staining in Cervical Cancer. Anticancer. Res. 2016, 36, 3195–3198. [Google Scholar] [PubMed]



| Overall Cohort n = 140 | HPV- RP Specimen, n = 127 | HPV+ RP Specimen, n = 13 | p-Value | |
|---|---|---|---|---|
| Age (years) | 66.4 ± 8.0 | 66.6 ± 8.2 | 64.4 ± 6.5 | 0.26 |
| Marital status | 0.70 | |||
| Divorced | 12 (8.9%) | 11 (8.9%) | 1 (8.3%) | |
| Married or relationship | 110 (81%) | 101 (82%) | 9 (75%) | |
| Single | 11 (8.1%) | 9 (7.3%) | 2 (17%) | |
| Widowed | 2 (1.5%) | 2 (1.6%) | 0 (0%) | |
| Highest level of education | 0.072 | |||
| Lower secondary | 67 (50%) | 63 (52%) | 4 (33%) | |
| Upper secondary | 11 (8.2%) | 8 (6.6%) | 3 (25%) | |
| Tertiary | 56 (42%) | 51 (42%) | 5 (42%) |
| Overall Cohort, n = 140 | HPV- RP Specimen, n = 127 | HPV+ RP Specimen, n = 13 | p-Value | |
|---|---|---|---|---|
| Knowledge of existence of HPV | 35 (25%) | 33 (26%) | 2 (17%) | 0.71 |
| Knowledge of vaccine against HPV | 29 (21%) | 27 (21%) | 2 (17%) | 0.99 |
| Vaccinated against HPV | ||||
| Yes | 0 (0%) | 0 (0%) | 0 (0%) | |
| HPV-related diseases | 13 (9.7%) | 11 (9.0%) | 2 (17%) | 0.73 |
| Immunosuppression | 1 (HIV, 0.7%) | 1 (HIV, 0.8%) | 0 (0%) | >0.99 |
| Positive family history of PCa | 29 (22%) | 27 (22%) | 2 (17%) | 0.94 |
| Overall Cohort, n = 140 | HPV- RP Specimen, n = 127 | HPV+ RP Specimen, n = 13 | p-Value | |
|---|---|---|---|---|
| Gleason score after biopsy | 0.76 | |||
| 6 | 28 (22%) | 24 (21%) | 4 (31%) | |
| 3 + 4 | 40 (31%) | 36 (32%) | 4 (31%) | |
| 4 + 3 | 16 (13%) | 14 (12%) | 2 (15%) | |
| 8 | 26 (20%) | 23 (20%) | 3 (23%) | |
| 9 | 16 (13%) | 16 (14%) | 0 (0%) | |
| 10 | 1 (0.8%) | 1 (0.9%) | 0 (0%) | |
| No. of positive biopsy cores [n] | 5.6 ± 3.5 | 5.8 ± 3.6 | 3.5 ± 2.6 | 0.010 |
| No. of total biopsy cores [n] | 12.7 ± 3.5 | 12.6 ± 3.5 | 13.3 ± 3.4 | 0.49 |
| Maximal tumor infiltration rate per core [%] | 54.5 ± 28.9 | 56.6 ± 28.7 | 36.8 ± 25.5 | 0.032 |
| Biopsy: uni/bilateral tumor | >0.99 | |||
| Bilateral | 123 (90%) | 111 (90%) | 12 (92%) | |
| Unilateral | 13 (9.6%) | 12 (9.8%) | 1 (7.7%) |
| Overall Cohort, n = 140 | HPV- RP Specimen, n = 127 | HPV+ RP Specimen, n = 13 | p-Value | |
|---|---|---|---|---|
| PSA at RP | Median 8.4 (IQR 5.7–14.6) | Median 8.5 (IQR 5.8–16.3) | Median 7.6 (IQR 5.0–12.0) | 0.35 |
| Weight of RP specimen [g] | 59.8 ± 23.3 | 59.5 ± 24.2 | 62.2 ± 11.8 | 0.68 |
| Gleason score after RP | 0.086 | |||
| 6 | 21 (15%) | 16 (13%) | 5 (38%) | |
| 3 + 4 | 59 (43%) | 53 (43%) | 6 (46%) | |
| 4 + 3 | 25 (18%) | 25 (20%) | 0 (0%) | |
| 8 | 12 (8.8%) | 11 (8.9%) | 1 (7.7%) | |
| 9 | 20 (15%) | 19 (15%) | 1 (7.7%) | |
| Tumor volume of RP specimen [%] | 24.6 ± 18.2 | 24.8 ± 18.3 | 22.7 ± 17.7 | 0.70 |
| Histologic subtype | 0.86 | |||
| Acinar adenocarcinoma | 135 (98%) | 123 (98%) | 12 (100%) | |
| Ductal adenocarcinoma | 1 (0.7%) | 1 (0.8%) | 0 (0%) | |
| Small cell neuroendocrine | 2 (1.4%) | 2 (1.6%) | 0 (0%) | |
| Pathologic T-stage | 0.15 | |||
| pT2a | 10 (7.1%) | 10 (7.9%) | 0 (0%) | |
| pT2b | 2 (1.4%) | 1 (0.8%) | 1 (7.7%) | |
| pT2c | 76 (54%) | 66 (52%) | 10 (77%) | |
| pT3a | 24 (17%) | 23 (18%) | 1 (7.7%) | |
| pT3b | 26 (19%) | 25 (20%) | 1 (7.7%) | |
| pT4 | 2 (1.4%) | 2 (1.6%) | 0 (0%) | |
| Pathologic N-stage | 0.23 | |||
| pN0 | 103 (74%) | 94 (74%) | 9 (69%) | |
| pN1 | 13 (9.3%) | 13 (10%) | 0 (0%) | |
| pNx | 24 (17%) | 20 (16%) | 4 (31%) |
| Overall Cohort, n = 140 | HPV- RP Specimen, n = 127 | HPV+ RP Specimen, n = 13 | p-Value | |
|---|---|---|---|---|
| Level of HPV-16 L1 antibodies (category) | 0.13 | |||
| Below detection limit | 137 (98%) | 125 (98%) | 12 (92%) | |
| Detectable low | 2 (1.4%) | 1 (0.8%) | 1 (7.7%) | |
| Detectable high | 1 (0.7%) | 1 (0.8%) | 0 (0%) |
Disclaimer/Publisher’s Note: The statements, opinions and data contained in all publications are solely those of the individual author(s) and contributor(s) and not of MDPI and/or the editor(s). MDPI and/or the editor(s) disclaim responsibility for any injury to people or property resulting from any ideas, methods, instructions or products referred to in the content. |
© 2023 by the authors. Licensee MDPI, Basel, Switzerland. This article is an open access article distributed under the terms and conditions of the Creative Commons Attribution (CC BY) license (https://creativecommons.org/licenses/by/4.0/).
Share and Cite
Nellessen, T.; Ebner, B.; Pyrgidis, N.; Ledderose, S.; Kretschmer, A.; Marcon, J.; Teupser, D.; Mayr, D.; Faihs, V.; Stief, C.G.; et al. Characterization of Human Papilloma Virus in Prostate Cancer Patients Undergoing Radical Prostatectomy—A Prospective Study of 140 Patients. Viruses 2023, 15, 1264. https://doi.org/10.3390/v15061264
Nellessen T, Ebner B, Pyrgidis N, Ledderose S, Kretschmer A, Marcon J, Teupser D, Mayr D, Faihs V, Stief CG, et al. Characterization of Human Papilloma Virus in Prostate Cancer Patients Undergoing Radical Prostatectomy—A Prospective Study of 140 Patients. Viruses. 2023; 15(6):1264. https://doi.org/10.3390/v15061264
Chicago/Turabian StyleNellessen, Tobias, Benedikt Ebner, Nikolaos Pyrgidis, Stephan Ledderose, Alexander Kretschmer, Julian Marcon, Daniel Teupser, Doris Mayr, Valentina Faihs, Christian G. Stief, and et al. 2023. "Characterization of Human Papilloma Virus in Prostate Cancer Patients Undergoing Radical Prostatectomy—A Prospective Study of 140 Patients" Viruses 15, no. 6: 1264. https://doi.org/10.3390/v15061264
APA StyleNellessen, T., Ebner, B., Pyrgidis, N., Ledderose, S., Kretschmer, A., Marcon, J., Teupser, D., Mayr, D., Faihs, V., Stief, C. G., French, L. E., Herlemann, A., & Reinholz, M. (2023). Characterization of Human Papilloma Virus in Prostate Cancer Patients Undergoing Radical Prostatectomy—A Prospective Study of 140 Patients. Viruses, 15(6), 1264. https://doi.org/10.3390/v15061264

