J Subgroup Avian Leukosis Virus Strain Promotes Cell Proliferation by Negatively Regulating 14-3-3σ Expressions in Chicken Fibroblast Cells
Abstract
1. Introduction
2. Materials and Methods
2.1. Cells and Virus
2.2. Viral Infection
2.3. Reverse Transcription and qPCR
2.4. Western Blot Analysis
2.5. ELISA for Viral Antigen Titers
2.6. Amplification of Chicken 14-3-3σ Gene
2.7. Over-Expression and Knockdown Expression of Chicken 14-3-3σ
2.8. Cell Counting Kit 8 Assay
2.9. EDU Assay
2.10. Cell Cycle Analysis
2.11. Statistical Analysis
3. Results
3.1. ALV-J-SD1005 Strain Can Rapidly Replicate and Release in DF-1 Cells
3.2. ALV-J-SD1005 Strain Inhibits Chicken 14-3-3σ Expressions in DF-1 Cells
3.3. ALV-J-SD1005 Strain Promotes the Division and Proliferation of DF-1 Cells
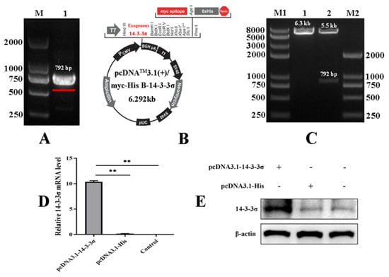
3.4. Construction and Bioactivity Analysis of Chicken 14-3-3σ Over-Expression Plasmid
3.5. Preparation of the siRNA against Chicken 14-3-3σ
3.6. Over-Expression of Chicken 14-3-3σ Inhibits the Cell Proliferation in ALV-J-Infected DF-1 Cells, but the Knockdown Expression Promotes That
3.7. Chicken 14-3-3σ Over-Expression Causes G2/M-Phase Block of ALV-J-Infected Cells, Whereas Its Knockdown Expression Relieves That
3.8. Chicken 14-3-3σ Over-Expression Significantly Down-Regulates CDK2/CDC2 Expressions and Up-Regulates p53 Expressions, While Its Knockdown Expression Causes the Opposite Effects
4. Discussions
5. Conclusions
Author Contributions
Funding
Institutional Review Board Statement
Informed Consent Statement
Data Availability Statement
Acknowledgments
Conflicts of Interest
References
- Payne, L.N.; Nair, V. The long view: 40 years of avian leukosis research. Avian Pathol. 2012, 41, 11–19. [Google Scholar] [CrossRef]
- Zhou, J.R.; Liu, J.H.; Li, H.M.; Zhao, Y.; Cheng, Z.Q.; Hou, Y.M.; Guo, H.J. Regulatory effects of chicken TRIM25 on the replication of ALV-A and the MDA5-mediated type I interferon response. Vet. Res. 2020, 51, 145. [Google Scholar] [CrossRef]
- Payne, L.N.; Brown, S.R.; Bumstead, N.; Howes, K.; Frazier, J.A.; Thouless, M.E. A novel subgroup of exogenous avian leukosis virus in chickens. J. Gen. Virol. 1991, 72, 801–807. [Google Scholar] [CrossRef]
- Payne, L.N.; Howes, K.; Gillespie, A.M.; Smith, L.M. Host range of Rous sarcoma virus pseudotype RSV(HPRS-103) in 12 avian species: Support for a new avian retrovirus envelope subgroup, designated J. J. Gen. Virol. 1992, 73, 2995–2997. [Google Scholar] [CrossRef]
- Cheng, Z.; Liu, J.; Cui, Z.; Zhang, L. Tumors associated with avian leukosis virus subgroup J in layer hens during 2007 to 2009 in China. J. Vet. Med. Sci. 2010, 72, 1027–1033. [Google Scholar] [CrossRef]
- Wang, Q.; Miao, Y.; Xu, Y.; Meng, X.; Cui, W.; Wang, Y.; Zhu, L.; Sha, Z.; Wei, K.; Zhu, R. Taishan Pinus Massoniana pollen polysaccharide inhibits the replication of acute tumorigenic ALV-J and its associated tumor growth. Vet. Microbiol. 2019, 236, 108376. [Google Scholar] [CrossRef]
- Wang, Y.; Li, J.; Li, Y.; Fang, L.; Sun, X.; Chang, S.; Zhao, P.; Cui, Z. Identification of ALV-J associated acutely transforming virus Fu-J carrying complete v-fps oncogene. Virus Genes 2016, 52, 365–371. [Google Scholar] [CrossRef]
- Zhou, J.; Zhou, D.; Du, X.; Xue, J.; Yang, J.; Wang, G.; Cheng, Z. Interaction between Avian Leukosis Virus Subgroup J Surface Protein and Doublecortin-Like Kinase 1 Accelerates Cell Proliferation and Epithelial-Mesenchymal Transition. J. Virol. 2022, 96, e0165721. [Google Scholar] [CrossRef]
- Gao, Y.; Zhang, Y.; Yao, Y.; Guan, X.; Liu, Y.; Qi, X.; Wang, Y.; Liu, C.; Zhang, Y.; Gao, H.; et al. Avian leukosis virus subgroup J induces VEGF expression via NF-êB/PI3K-dependent IL-6 production. Oncotarget 2016, 7, 80275–80287. [Google Scholar] [CrossRef][Green Version]
- Yu, H.; Xu, H.; Yan, C.; Zhu, S.; Lan, X.; Lu, Y.; He, Q.; Yin, H.; Zhu, Q.; Zhao, X.; et al. gga-miR-148a-5p-Targeting PDPK1 Inhibits Proliferation and Cell Cycle Progression of Avain Leukosis Virus Subgroup J (ALV-J)-Infected Cells. Front. Cell Dev. Biol. 2020, 8, 587889. [Google Scholar] [CrossRef]
- Li, H.; Shang, H.; Shu, D.; Zhang, H.; Ji, J.; Sun, B.; Li, H.; Xie, Q. gga-miR-375 plays a key role in tumorigenesis post subgroup J avian leukosis virus infection. PLoS ONE 2014, 2, e90878. [Google Scholar] [CrossRef]
- Ren, C.; Yu, M.; Zhang, Y.; Fan, M.; Chang, F.; Xing, L.; Liu, Y.; Wang, Y.; Qi, X.; Liu, C.; et al. Avian leukosis virus subgroup J promotes cell proliferation and cell cycle progression through miR-221 by targeting CDKN1B. Virology 2018, 519, 121–130. [Google Scholar] [CrossRef]
- Liu, J.; Zhao, Y.; Li, H.; Wang, Y.; Wang, M.; Cheng, Z.; Qiu, J.; Hou, Q.; Guo, H. Comparison of tissue proliferation lesions and cytokine expression induced by two different J subgroup avian leukemia strains. J. Anim. Husb. Vet. Med. 2022, 53, 1895–1904. [Google Scholar]
- Huang, Y.; Yang, M.; Huang, W. 14-3-3ó: A potential biomolecule for cancer therapy. Clin. Chim. Acta 2020, 511, 50–58. [Google Scholar] [CrossRef]
- Aljabal, G.; Yap, B.K. 14-3-3ó and Its Modulators in Cancer. Pharmaceuticals 2020, 13, 441. [Google Scholar] [CrossRef]
- Wu, Q.; Fan, H.; Lang, R.; Li, X.; Zhang, X.; Lv, S.; He, Q. Overexpression of 14-3-3ó Modulates Cholangiocarcinoma Cell Survival by PI3K/Akt Signaling. Biomed. Res. Int. 2020, 2020, 3740418. [Google Scholar]
- Yang, H.Y.; Wen, Y.Y.; Chen, C.H.; Lozano, G.; Lee, M.H. 14-3-3 sigma positively regulates p53 and suppresses tumor growth. Mol. Cell. Biol. 2003, 23, 7096–7107. [Google Scholar] [CrossRef]
- Huang, E.Y.; Wang, F.S.; Chen, Y.M.; Chen, Y.F.; Wang, C.C.; Lin, I.H.; Huang, Y.J.; Yang, K.D. Amifostine alleviates radiation-induced lethal small bowel damage via promotion of 14-3-3ó-mediated nuclear p53 accumulation. Oncotarget 2014, 5, 9756–9769. [Google Scholar] [CrossRef]
- Yang, H.; Zhao, R.; Lee, M.H. 14-3-3sigma, a p53 regulator, suppresses tumor growth of nasopharyngeal carcinoma. Mol. Cancer Ther. 2006, 5, 253–260. [Google Scholar] [CrossRef]
- Winter, M.; Rokavec, M.; Hermeking, H. 14-3-3ó Functions as an Intestinal Tumor Suppressor. Cancer Res. 2021, 81, 3621–3634. [Google Scholar] [CrossRef]
- Wen, M.; Zou, Z.Z.; Luo, T.; Li, X.; Liu, S.Y.; Li, J.J.; Luo, Z.Y. ZLM-7 Blocks Breast Cancer Progression by Inhibiting MDM2 via Upregulation of 14-3-3 Sigma. Pharmaceuticals 2022, 15, 874. [Google Scholar] [CrossRef] [PubMed]
- Shiba-Ishii, A.; Kano, J.; Morishita, Y.; Sato, Y.; Minami, Y.; Noguchi, M. High expression of stratifin is a universal abnormality during the course of malignant progression of early-stage lung adenocarcinoma. Int. J. Cancer 2011, 129, 2445–2453. [Google Scholar] [CrossRef] [PubMed]
- Shiba-Ishii, A.; Kim, Y.; Shiozawa, T.; Iyama, S.; Satomi, K.; Kano, J.; Sakashita, S.; Morishita, Y.; Noguchi, M. Stratifin accelerates progression of lung adenocarcinoma at an early stage. Mol. Cancer 2015, 14, 142. [Google Scholar] [CrossRef] [PubMed]
- Zhou, W.H.; Tang, F.; Xu, J.; Wu, X.; Feng, Z.Y.; Li, H.G.; Lin, D.J.; Shao, C.K.; Liu, Q. Aberrant upregulation of 14-3-3õ expression serves as an inferior prognostic biomarker for gastric cancer. BMC Cancer 2011, 11, 397. [Google Scholar] [CrossRef]
- Gong, L.; Wang, C.; Gao, Y.; Wang, J. Decreased expression of microRNA-148a predicts poor prognosis in ovarian cancer and associates with tumor growth and metastasis. Biomed. Pharmacother. 2016, 83, 58–63. [Google Scholar] [CrossRef]
- Li, C.; Zhang, H.; Zhao, P.; Cui, Z. Establishment of an ALV-J-associated model for the development of acute fibrosarcoma in chickens. Chin. Agric. Sci. 2012, 45, 548–555. [Google Scholar]
- Wang, Y.; Xu, S.; Li, S.; Su, H.; Chang, S.; Li, Y.; Sun, X.; Zhao, P.; Cui, Z. Lamivudine Inhibits the Replication of ALV-J Associated Acutely Transforming Virus and its Helper Virus and Tumor Growth In vitro and In vivo. Front. Microbiol. 2015, 6, 1306. [Google Scholar] [CrossRef]
- Fu, H.; Subramanian, R.R.; Masters, S.C. 14-3-3 proteins: Structure, function, and regulation. Annu. Rev. Pharmacol. Toxicol. 2000, 40, 617–647. [Google Scholar] [CrossRef]
- Laronga, C.; Yang, H.Y.; Neal, C.; Lee, M.H. Association of the cyclin-dependent kinases and 14-3-3 sigma negatively regulates cell cycle progression. J. Biol. Chem. 2000, 275, 23106–23112. [Google Scholar] [CrossRef]
- Hermeking, H.; Lengauer, C.; Polyak, K.; He, T.C.; Zhang, L.; Thiagalingam, S.; Kinzler, K.W.; Vogelstein, B. 14-3-3sigma is a p53-regulated inhibitor of G2/M progression. Mol. Cell 1997, 1, 3–11. [Google Scholar] [CrossRef]
- Schultz, J.; Ibrahim, S.M.; Vera, J.; Kunz, M. 14-3-3sigma gene silencing during melanoma progression and its role in cell cycle control and cellular senescence. Mol. Cancer 2009, 8, 53. [Google Scholar] [CrossRef] [PubMed]
- Huang, S.Y.; Hsieh, M.J.; Chen, C.Y.; Chen, Y.J.; Chen, J.Y.; Chen, M.R.; Tsai, C.H.; Lin, S.F.; Hsu, T.Y. Epstein-Barr virus Rta-mediated transactivation of p21 and 14-3-3ó arrests cells at the G1/S transition by reducing cyclin E/CDK2 activity. J. Gen. Virol. 2012, 93, 139–149. [Google Scholar] [CrossRef]
- Laptenko, O.; Prives, C. Transcriptional regulation by p53: One protein, many possibilities. Cell Death Differ. 2006, 13, 951–961. [Google Scholar] [CrossRef]
- Lafita-Navarro, M.C.; Conacci-Sorrell, M. Nucleolar stress: From development to cancer. Semin. Cell Dev. Biol. 2022, 136, 64–74. [Google Scholar] [CrossRef]
- Li, Z.; Liu, J.Y.; Zhang, J.Y. 14-3-3sigma, double-edged sword of human cancers. Am. J. Transl. Res. 2009, 1, 326–340. [Google Scholar]
- Wang, J.; Qu, C.; Shao, X.; Song, G.; Sun, J.; Shi, D.; Jia, R.; An, H.; Wang, H. Carrier-free nanoprodrug for p53-mutated tumor therapy via concurrent delivery of zinc-manganese dual ions and ROS. Bioact. Mater. 2022, 20, 404–417. [Google Scholar] [CrossRef]
- Zhang, W.; Qian, W.; Gu, J.; Gong, M.; Zhang, W.; Zhang, S.; Zhou, C.; Jiang, Z.; Jiang, J.; Han, L.; et al. Mutant p53 driven-LINC00857, a protein scaffold between FOXM1 and deubiquitinase OTUB1, promotes the metastasis of pancreatic cancer. Cancer Lett. 2022, 552, 215976. [Google Scholar] [CrossRef]
- Zhou, J.X.; Agborbesong, E.; Li, L.X.; Li, X. Bromodomain Protein BRD4-Mediated Mutant p53 Transcription Promotes TNBC Progression. Int. J. Mol. Sci. 2022, 23, 15163. [Google Scholar] [CrossRef]
- Yue, Q.; Yulong, G.; Liting, Q.; Shuai, Y.; Delong, L.; Yubao, L.; Lili, J.; Sidang, L.; Xiaomei, W. Mutations in and expression of the tumor suppressor gene p53 in egg-type chickens infected with subgroup J avian leukosis virus. Vet. Pathol. 2015, 52, 1052–1056. [Google Scholar] [CrossRef]
- Qu, Y.; Liu, L.; Niu, Y.; Qu, Y.; Li, N.; Sun, W.; Lv, C.; Wang, P.; Zhang, G.; Liu, S. Viral proliferation and expression of tumor-related gene in different chicken embryo fibroblasts infected with different tumorigenic phenotypes of avian leukosis virus subgroup J. Poult. Sci. 2016, 95, 2383–2390. [Google Scholar] [CrossRef]
- Zhang, H.; Zhang, H.X.; Cao, S.L.; Chao, S.; Song, Y.N.; Zhao, Y.R.; Liu, S.D. Knockout of p53 leads to a significant increase in ALV-J replication. Poult. Sci. 2021, 100, 101374. [Google Scholar] [CrossRef] [PubMed]









| Primers | Sequences (5′-3′) | Primers | Sequences (5′-3′) |
|---|---|---|---|
| GAPDH-Fw | GCCATCACAGCCACACAGAAG | p53-Fw | GCACAGCCAAATCGGTCAC |
| GAPDH-Rv | GCAGGTCAGGTCAACAACAGA | p53-Rv | GCCACGTGCTCTGATTTCTTAT |
| 14-3-3σ-Fw | GTGGTGCTGGGCTTGCT | CDK2-Fw | GTGACCTCAAACCCCAGAAC |
| 14-3-3σ-Rv | CGTCTCCTTGCGGTCGTT | CDK2-Rv | TCCACAGCAGTCGAATAGTA |
| gp85-Fw | AACCAATCATGGACGATGGTA | CDC2-Fw | GAAAGTGAGGAGGAAGGTGT |
| gp85-Rv | TCCAAAGGTAAACCCATATGC | CDC2-Rv | CATGGAAAGGAATTCAAAAA |
Disclaimer/Publisher’s Note: The statements, opinions and data contained in all publications are solely those of the individual author(s) and contributor(s) and not of MDPI and/or the editor(s). MDPI and/or the editor(s) disclaim responsibility for any injury to people or property resulting from any ideas, methods, instructions or products referred to in the content. |
© 2023 by the authors. Licensee MDPI, Basel, Switzerland. This article is an open access article distributed under the terms and conditions of the Creative Commons Attribution (CC BY) license (https://creativecommons.org/licenses/by/4.0/).
Share and Cite
Wang, M.; Li, H.; Sun, X.; Qiu, J.; Jing, C.; Jia, H.; Guo, Y.; Guo, H. J Subgroup Avian Leukosis Virus Strain Promotes Cell Proliferation by Negatively Regulating 14-3-3σ Expressions in Chicken Fibroblast Cells. Viruses 2023, 15, 404. https://doi.org/10.3390/v15020404
Wang M, Li H, Sun X, Qiu J, Jing C, Jia H, Guo Y, Guo H. J Subgroup Avian Leukosis Virus Strain Promotes Cell Proliferation by Negatively Regulating 14-3-3σ Expressions in Chicken Fibroblast Cells. Viruses. 2023; 15(2):404. https://doi.org/10.3390/v15020404
Chicago/Turabian StyleWang, Moyu, Hongmei Li, Xiyu Sun, Jianhua Qiu, Changhua Jing, Huiyue Jia, Yujie Guo, and Huijun Guo. 2023. "J Subgroup Avian Leukosis Virus Strain Promotes Cell Proliferation by Negatively Regulating 14-3-3σ Expressions in Chicken Fibroblast Cells" Viruses 15, no. 2: 404. https://doi.org/10.3390/v15020404
APA StyleWang, M., Li, H., Sun, X., Qiu, J., Jing, C., Jia, H., Guo, Y., & Guo, H. (2023). J Subgroup Avian Leukosis Virus Strain Promotes Cell Proliferation by Negatively Regulating 14-3-3σ Expressions in Chicken Fibroblast Cells. Viruses, 15(2), 404. https://doi.org/10.3390/v15020404

