In Situ Detection of Salmonid Alphavirus 3 (SAV3) in Tissues of Atlantic Salmon in a Cohabitation Challenge Model with a Special Focus on the Immune Response to the Virus in the Pseudobranch
Abstract
1. Introduction
2. Materials and Methods
2.1. Fish
2.2. SAV3 Inoculum
2.3. Experimental Challenge
2.4. Management of Experimental Tanks
2.5. Sampling
2.6. RNA Isolation and cDNA Synthesis
2.7. RT-qPCR
2.7.1. SAV Q_nsp1 Assay
2.7.2. Salmon Gene Expression
2.8. In Situ Hybridization (ISH)
2.9. Statistics
3. Results
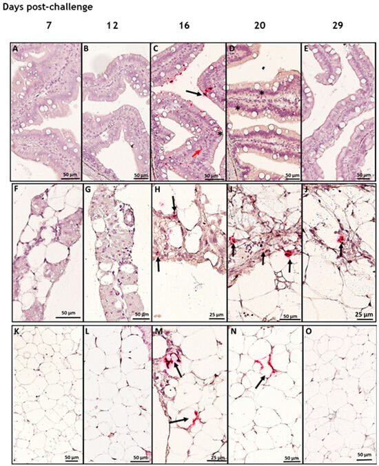
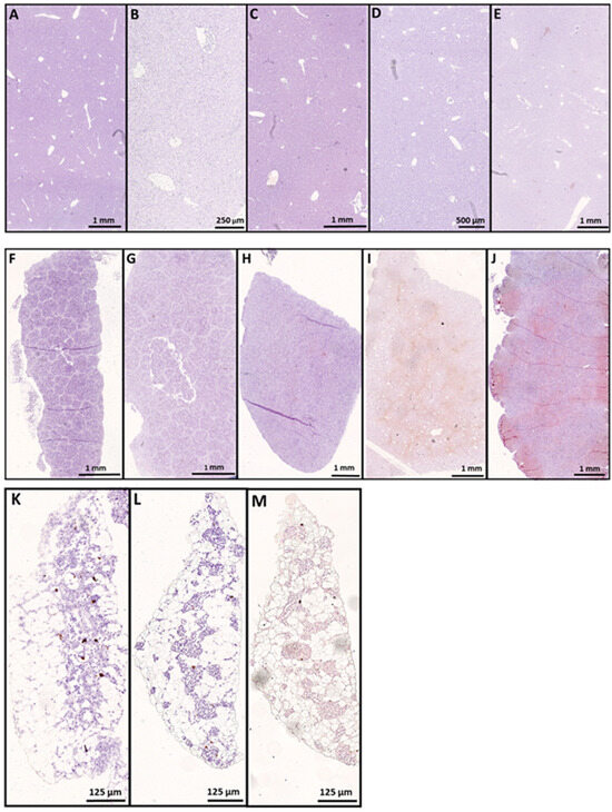
3.1. In Situ Hybridization
3.2. SAV-nsp1 Quantification
3.3. Immune Response in Pseudobranch against SAV
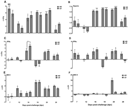
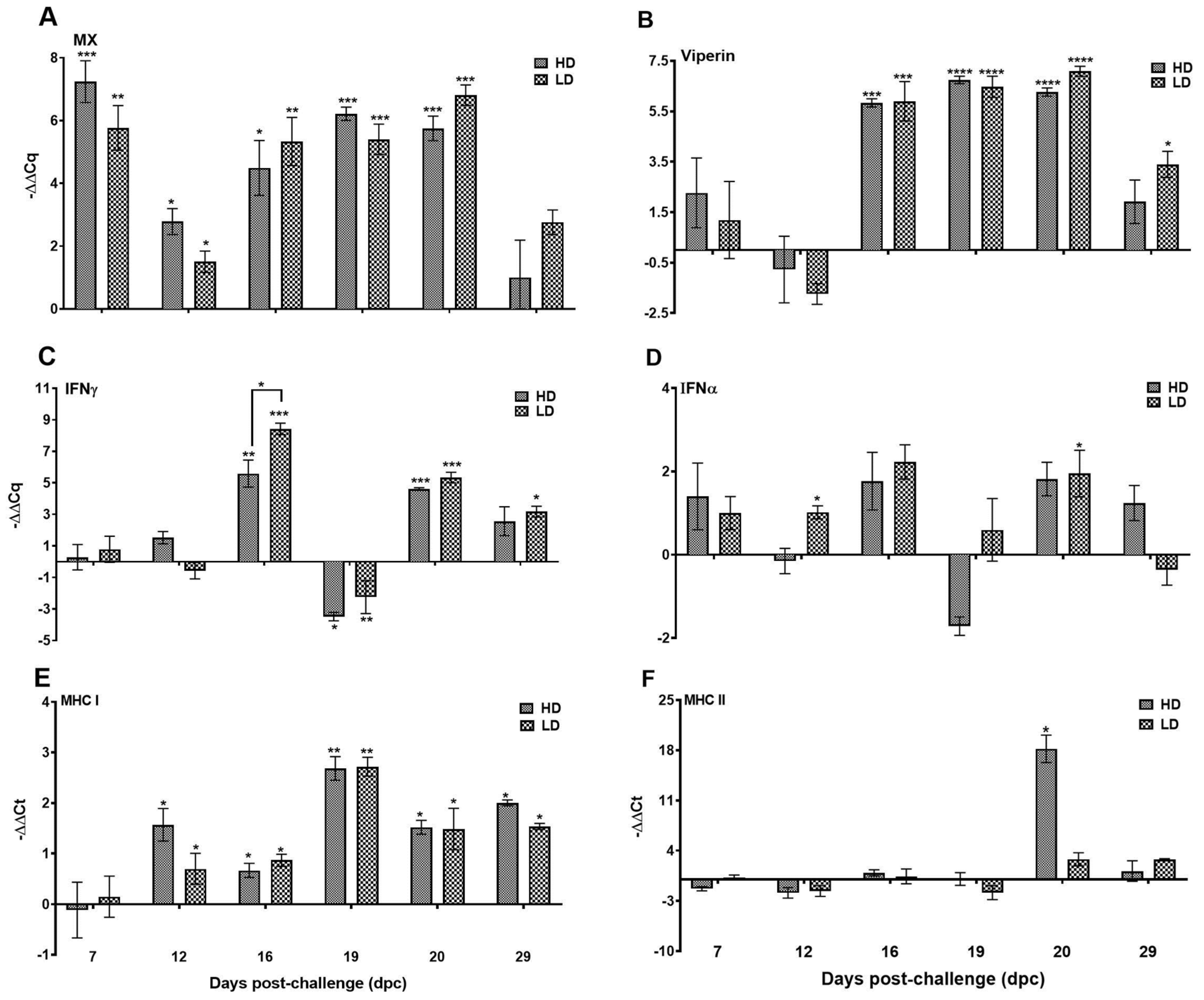
3.3.1. Genes Linked to Antiviral Activity
3.3.2. Major Histocompatibility Molecules
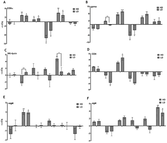
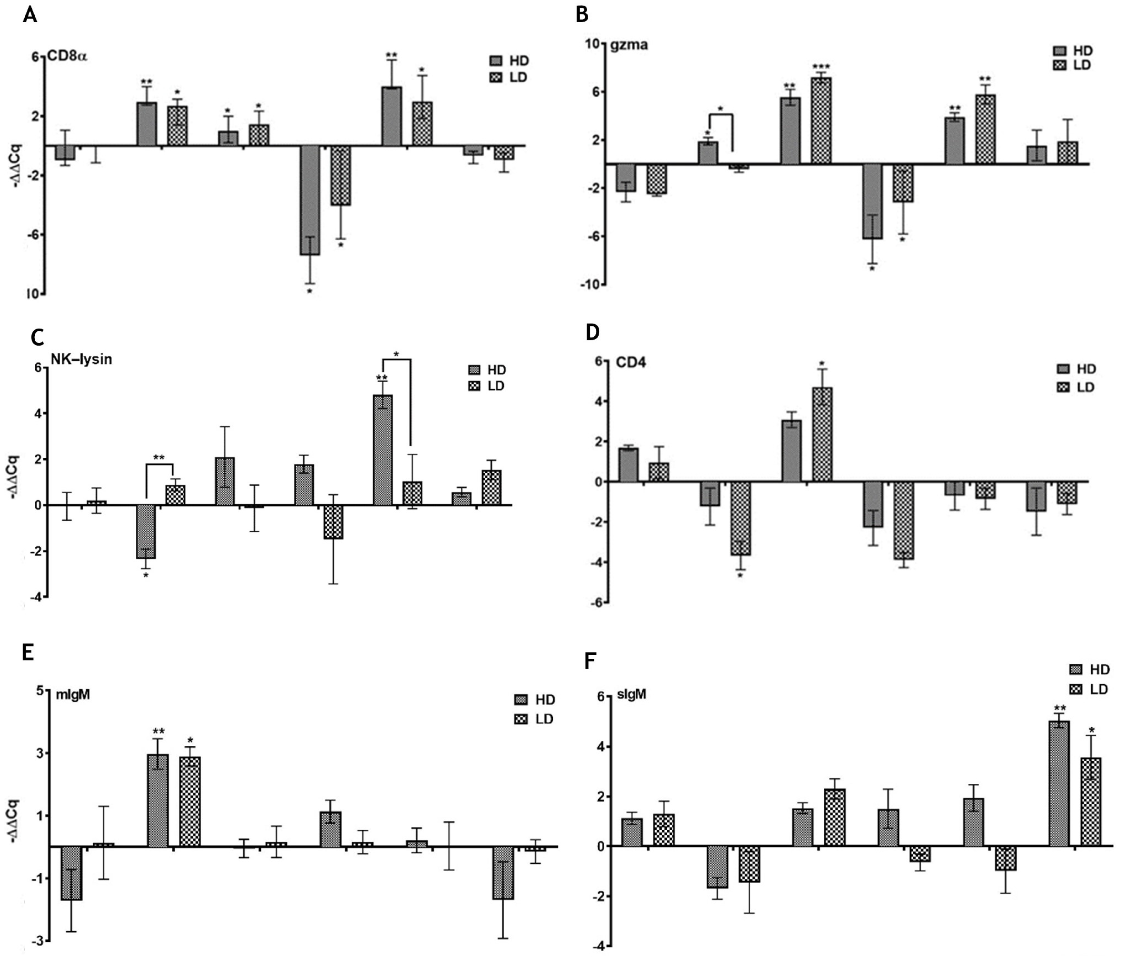
3.3.3. Genes Linked to T Cells
3.3.4. Immunoglobulins
3.4. Mucin Gene Expression
4. Discussion
5. Conclusions
Supplementary Materials
Author Contributions
Funding
Institutional Review Board Statement
Informed Consent Statement
Data Availability Statement
Acknowledgments
Conflicts of Interest
Correction Statement
References
- Peters, C.J.; Dalrymple, J.M. Alphaviruses; Army Medical Research Inst of Infectious Diseases: Fort Detrick, MD, USA, 1990. [Google Scholar]
- Fringuelli, E.; Rowley, H.; Wilson, J.; Hunter, R.; Rodger, H.; Graham, D. Phylogenetic analyses and molecular epidemiology of European salmonid alphaviruses (SAV) based on partial E2 and nsP3 gene nucleotide sequences. J. Fish Dis. 2008, 31, 811–823. [Google Scholar] [CrossRef]
- Andersen, L.; Bratland, A.; Hodneland, K.; Nylund, A. Tissue tropism of salmonid alphaviruses (subtypes SAV1 and SAV3) in experimentally challenged Atlantic salmon (Salmo salar L.). Arch. Virol. 2007, 152, 1871–1883. [Google Scholar] [CrossRef] [PubMed]
- Nelson, R.; McLoughlin, M.; Rowley, H.; Platten, M.; McCormick, J. Isolation of a toga-like virus from farmed Atlantic salmon Salmo salar with pancreas disease. Dis. Aquat. Org. 1995, 22, 25–32. [Google Scholar] [CrossRef]
- Castric, J.; Baudin Laurencin, F.; Bremont, M.; Jeffroy, J.; Ven, A.l.; Bearzotti, M. Isolation of the virus responsible for sleeping disease in experimentally infected rainbow trout (Oncorhynchus mykiss). Bull. Eur. Assoc. Fish Pathol. 1997, 17, 27–30. [Google Scholar]
- Graham, D.; Rowley, H.; Walker, I.; Weston, J.; Branson, E.; Todd, D. First isolation of sleeping disease virus from rainbow trout, Oncorhynchus mykiss (Walbaum), in the United Kingdom. J. Fish Dis. 2003, 26, 691–694. [Google Scholar] [CrossRef]
- Graham, D.; Jewhurst, H.; McLoughlin, M.; Branson, E.; McKenzie, K.; Rowley, H.; Todd, D. Serological, virological and histopathological study of an outbreak of sleeping disease in farmed rainbow trout Oncorhynchus mykiss. Dis. Aquat. Org. 2007, 74, 191–197. [Google Scholar] [CrossRef]
- Christie, K.; Fyrand, K.; Holtet, L.; Rowley, H. Isolation of pancreas disease virus from farmed Atlantic salmon, Salmo salar L., in Norway. J. Fish Dis. 1998, 21, 391–394. [Google Scholar] [CrossRef]
- Christie, K.; Graham, D.; McLoughlin, M.; Villoing, S.; Todd, D.; Knappskog, D. Experimental infection of Atlantic salmon Salmo salar pre-smolts by ip injection with new Irish and Norwegian salmonid alphavirus (SAV) isolates: A comparative study. Dis. Aquat. Org. 2007, 75, 13–22. [Google Scholar] [CrossRef]
- Jenberie, S.; Peñaranda, M.M.D.; Thim, H.L.; Styrvold, M.B.; Strandskog, G.; Jørgensen, J.B.; Jensen, I. Salmonid alphavirus subtype 3 induces prolonged local B cell responses in Atlantic salmon (Salmo salar) after intraperitoneal infection. Front. Immunol. 2020, 11, 1682. [Google Scholar] [CrossRef] [PubMed]
- Bakke, A.F.; Bjørgen, H.; Koppang, E.O.; Frost, P.; Afanasyev, S.; Boysen, P.; Krasnov, A.; Lund, H. IgM+ and IgT+ B cell traffic to the heart during SAV infection in Atlantic salmon. Vaccines 2020, 8, 493. [Google Scholar] [CrossRef] [PubMed]
- Moore, L.; Jarungsriapisit, J.; Nilsen, T.; Stefansson, S.; Taranger, G.; Secombes, C.; Morton, H.; Patel, S. Immune gene profiles in Atlantic salmon (Salmo salar L.) post-smolts infected with SAV3 by bath-challenge show a delayed response and lower levels of gene transcription compared to injected fish. Fish Shellfish Immunol. 2017, 62, 320–331. [Google Scholar] [CrossRef] [PubMed]
- Hodneland, K. SALMONID ALPHAVIRUS (SAV): Genetic Characterization of a New Subtype, SAV3, and Implementation of a Novel Diagnostic Method. Ph.D. Thesis, University of Bergen, Bergen, Norway, 2006. Available online: https://bora.uib.no/bora-xmlui/handle/1956/2233 (accessed on 14 December 2023).
- Parry, G.; Holliday, F. An experimental analysis of the function of the pseudobranch in teleosts. J. Exp. Biol. 1960, 37, 344–354. [Google Scholar] [CrossRef]
- Waser, W. Transport and exchange of respiratory gases in the blood| root effect: Root effect definition, functional role in oxygen delivery to the eye and swimbladder. In Encyclopedia of Fish Physiology; Farrell, A.P., Ed.; Academic Press: Cambridge, MA, USA, 2011. [Google Scholar]
- Grassé, P.-P. Traité de Zoologie: Agnathes et Poissons; Masson: Paris, France, 1958; p. 17. [Google Scholar]
- Barnett, C. The structure and function of the choroidal gland of teleostean fish. J. Anat. 1951, 85, 113. [Google Scholar] [PubMed]
- Karlsbakk, E.; Sæther, P.; Hostlund, C.; Fjellsoy, K.; Nylund, A. Parvicapsula pseudobranchicola n. sp. (Myxozoa), a myxosporidian infecting the pseudobranch of cultured Atlantic salmon (Salma salar) in Norway. Bull.-Eur. Assoc. Fish Pathol. 2002, 22, 381–387. [Google Scholar]
- Valheim, M.; Håstein, T.; Myhr, E.; Speilberg, L.; Ferguson, H.W. Varracalbmi: A new bacterial panophthalmitis in farmed Atlantic salmon, Salmo salar L. J. Fish Dis. 2000, 23, 61–70. [Google Scholar] [CrossRef]
- Hauck, A. A mortality and associated tissue reactions of chinook salmon, Oncorhynchus tshawytscha (Walbaum), caused by the microsporidan Loma sp. J. Fish Dis. 1984, 7, 217–229. [Google Scholar] [CrossRef]
- Andersen, L.; Blindheim, S.H. Experimental challenge of flatfishes (Pleuronectidae) with salmonid alphavirus (SAV): Observations on tissue tropism and pathology in common dab Limanda limanda L. Aquaculture 2022, 551, 737944. [Google Scholar] [CrossRef]
- Bernhardt, L.-V.; Myrmel, M.; Lillehaug, A.; Qviller, L.; Weli, S.C. Concentration and detection of salmonid alphavirus in seawater during a post-smolt salmon (Salmo salar) cohabitant challenge. Dis. Aquat. Org. 2021, 144, 61–73. [Google Scholar]
- Andersen, L.; Hodneland, K.; Nylund, A. No influence of oxygen levels on pathogenesis and virus shedding in Salmonid alphavirus (SAV)-challenged Atlantic salmon (Salmo salar L.). Virol. J. 2010, 7, 198. [Google Scholar] [CrossRef]
- Reed, L.J.; Muench, H. A simple method of estimating fifty percent endpoints. Am. J. Epidemiol. 1938, 27, 493–497. [Google Scholar] [CrossRef]
- Hodneland, K.; Endresen, C. Sensitive and specific detection of Salmonid alphavirus using real-time PCR (TaqMan®). J. Virol. Methods 2006, 131, 184–192. [Google Scholar] [CrossRef] [PubMed]
- Ingerslev, H.-C.; Pettersen, E.F.; Jakobsen, R.A.; Petersen, C.B.; Wergeland, H.I. Expression profiling and validation of reference gene candidates in immune relevant tissues and cells from Atlantic salmon (Salmo salar L.). Mol. Immunol. 2006, 43, 1194–1201. [Google Scholar] [CrossRef]
- Livak, K.J.; Schmittgen, T.D. Analysis of relative gene expression data using real-time quantitative PCR and the 2−ΔΔCT method. Methods 2001, 25, 402–408. [Google Scholar] [CrossRef] [PubMed]
- Kileng, Ø.; Brundtland, M.I.; Robertsen, B. Infectious salmon anemia virus is a powerful inducer of key genes of the type I interferon system of Atlantic salmon, but is not inhibited by interferon. Fish Shellfish Immunol. 2007, 23, 378–389. [Google Scholar] [CrossRef]
- Ingerslev, H.C.; Rønneseth, A.; Pettersen, E.; Wergeland, H. Differential expression of immune genes in Atlantic salmon (Salmo salar L.) challenged intraperitoneally or by cohabitation with IPNV. Scand. J. Immunol. 2009, 69, 90–98. [Google Scholar] [CrossRef] [PubMed]
- Grove, S.; Austbø, L.; Hodneland, K.; Frost, P.; Løvoll, M.; McLoughlin, M.; Thim, H.L.; Braaen, S.; König, M.; Syed, M. Immune parameters correlating with reduced susceptibility to pancreas disease in experimentally challenged Atlantic salmon (Salmo salar). Fish Shellfish Immunol. 2013, 34, 789–798. [Google Scholar] [CrossRef]
- Kileng, Ø.; Albuquerque, A.; Robertsen, B. Induction of interferon system genes in Atlantic salmon by the imidazoquinoline S-27609, a ligand for Toll-like receptor 7. Fish Shellfish Immunol. 2008, 24, 514–522. [Google Scholar] [CrossRef]
- Kumari, J.; Bøgwald, J.; Dalmo, R.A. Eomesodermin of Atlantic salmon: An important regulator of cytolytic gene and interferon gamma expression in spleen lymphocytes. PLoS ONE 2013, 8, e55893. [Google Scholar] [CrossRef]
- Braden, L.M.; Rasmussen, K.J.; Purcell, S.L.; Ellis, L.; Mahony, A.; Cho, S.; Whyte, S.K.; Jones, S.R.; Fast, M.D. Acquired protective immunity in Atlantic salmon Salmo salar against the myxozoan Kudoa thyrsites involves induction of MHIIβ+ CD83+ antigen-presenting cells. Infect. Immun. 2018, 86. [Google Scholar] [CrossRef]
- Moldal, T.; Løkka, G.; Wiik-Nielsen, J.; Austbø, L.; Torstensen, B.E.; Rosenlund, G.; Dale, O.B.; Kaldhusdal, M.; Koppang, E.O. Substitution of dietary fish oil with plant oils is associated with shortened mid intestinal folds in Atlantic salmon (Salmo salar). BMC Vet. Res. 2014, 10, 60. [Google Scholar] [CrossRef] [PubMed]
- Fish, T. Phenotypic and Functional Similarity of Gut. J. Immunol. 2006, 176, 3942–3949. [Google Scholar]
- Strandskog, G.; Villoing, S.; Iliev, D.B.; Thim, H.L.; Christie, K.E.; Jørgensen, J.B. Formulations combining CpG containing oliogonucleotides and poly I: C enhance the magnitude of immune responses and protection against pancreas disease in Atlantic salmon. Dev. Comp. Immunol. 2011, 35, 1116–1127. [Google Scholar] [CrossRef] [PubMed]
- Wiik-Nielsen, J.; Løvoll, M.; Fritsvold, C.; Kristoffersen, A.B.; Haugland, Ø.; Hordvik, I.; Aamelfot, M.; Jirillo, E.; Koppang, E.O.; Grove, S. Characterization of myocardial lesions associated with cardiomyopathy syndrome in Atlantic salmon, Salmo salar L., using laser capture microdissection. J. Fish Dis. 2012, 35, 907–916. [Google Scholar] [CrossRef] [PubMed]
- Lauscher, A.; Krossøy, B.; Frost, P.; Grove, S.; König, M.; Bohlin, J.; Falk, K.; Austbø, L.; Rimstad, E. Immune responses in Atlantic salmon (Salmo salar) following protective vaccination against infectious salmon anemia (ISA) and subsequent ISA virus infection. Vaccine 2011, 29, 6392–6401. [Google Scholar] [CrossRef] [PubMed]
- Marcos-López, M.; Calduch-Giner, J.A.; Mirimin, L.; MacCarthy, E.; Rodger, H.D.; O’Connor, I.; Sitjà-Bobadilla, A.; Pérez-Sánchez, J.; Piazzon, M.C. Gene expression analysis of Atlantic salmon gills reveals mucin 5 and interleukin 4/13 as key molecules during amoebic gill disease. Sci. Rep. 2018, 8, 13689. [Google Scholar] [CrossRef] [PubMed]
- Moore, L.; Somamoto, T.; Lie, K.; Dijkstra, J.; Hordvik, I. Characterisation of salmon and trout CD8α and CD8β. Mol. Immunol. 2005, 42, 1225–1234. [Google Scholar] [CrossRef]
- Hopwood, J. Theory and Practice of Histological Techniques, 4th ed.; Churchill Livingstone: New York, NY, USA, 1996; pp. 23–45. [Google Scholar]
- Raynard, R.; Houghton, G. Development towards an experimental protocol for the transmission of pancreas disease of Atlantic salmon Salmo salar. Dis. Aquat. Org. 1993, 15, 123–128. [Google Scholar] [CrossRef]
- McVicar, A. Infection as a primary cause of pancreas disease in farmed Atlantic salmon. Bull. Eur. Assoc. Fish Pathol. 1990, 10, 84–87. [Google Scholar]
- Houghton, G. Kinetics of infection of plasma, blood leucocytes and lymphoid tissue from Atlantic salmon Salmo salar experimentally infected with pancreas disease. Dis. Aquat. Org. 1995, 22, 193–198. [Google Scholar] [CrossRef]
- Jansen, M.; Wasmuth, M.; Olsen, A.; Gjerset, B.; Modahl, I.; Breck, O.; Haldorsen, R.; Hjelmeland, R.; Taksdal, T. Pancreas disease (PD) in sea-reared Atlantic salmon, Salmo salar L., in Norway; a prospective, longitudinal study of disease development and agreement between diagnostic test results. J. Fish Dis. 2010, 33, 723–736. [Google Scholar] [CrossRef]
- Taksdal, T.; Bang Jensen, B.; Böckerman, I.; McLoughlin, M.; Hjortaas, M.; Ramstad, A.; Sindre, H. Mortality and weight loss of Atlantic salmon, Salmon salar L., experimentally infected with salmonid alphavirus subtype 2 and subtype 3 isolates from Norway. J. Fish Dis. 2015, 38, 1047–1061. [Google Scholar] [CrossRef] [PubMed]
- Jarungsriapisit, J.; Moore, L.; Taranger, G.L.; Nilsen, T.; Morton, H.C.; Fiksdal, I.U.; Stefansson, S.; Fjelldal, P.G.; Evensen, Ø.; Patel, S. Atlantic salmon (Salmo salar L.) post-smolts challenged two or nine weeks after seawater-transfer show differences in their susceptibility to salmonid alphavirus subtype 3 (SAV3). Virol. J. 2016, 13, 66. [Google Scholar] [CrossRef] [PubMed][Green Version]
- Graham, D.; Brown, A.; Savage, P.; Frost, P. Detection of salmon pancreas disease virus in the faeces and mucus of Atlantic s almon, Salmo salar L., by real-time RT-PCR and cell culture following experimental challenge. J. Fish Dis. 2012, 35, 949–951. [Google Scholar] [CrossRef] [PubMed]
- Xu, C.; Guo, T.-C.; Mutoloki, S.; Haugland, Ø.; Evensen, Ø. Gene expression studies of host response to Salmonid alphavirus subtype 3 experimental infections in Atlantic salmon. Vet. Res. 2012, 43, 78. [Google Scholar] [CrossRef] [PubMed]
- Stene, A.; Hellebø, A.; Viljugrein, H.; Solevåg, S.; Devold, M.; Aspehaug, V. Liquid fat, a potential abiotic vector for horizontal transmission of salmonid alphavirus? J. Fish Dis. 2016, 39, 531–537. [Google Scholar] [CrossRef] [PubMed]
- Gourronc, F.A.; Rebagliati, M.R.; Kramer-Riesberg, B.; Fleck, A.M.; Patten, J.J.; Geohegan-Barek, K.; Messingham, K.N.; Davey, R.A.; Maury, W.; Klingelhutz, A.J. Adipocytes are susceptible to Ebola Virus infection. Virology 2022, 573, 12–22. [Google Scholar] [CrossRef] [PubMed]
- Thangavel, H.; Dhanyalayam, D.; Lizardo, K.; Oswal, N.; Dolgov, E.; Perlin, D.S.; Nagajyothi, J.F. Susceptibility of Fat Tissue to SARS-CoV-2 Infection in Female hACE2 Mouse Model. Int. J. Mol. Sci. 2023, 24, 1314. [Google Scholar] [CrossRef]
- Chuong, C.; Bates, T.A.; Akter, S.; Werre, S.R.; LeRoith, T.; Weger-Lucarelli, J. Nutritional status impacts dengue virus infection in mice. BMC Biol. 2020, 18, 106. [Google Scholar] [CrossRef]
- Tontonoz, P.; Hu, E.; Spiegelman, B.M. Stimulation of adipogenesis in fibroblasts by PPARγ2, a lipid-activated transcription factor. Cell 1994, 79, 1147–1156. [Google Scholar] [CrossRef]
- Couderc, T.; Chrétien, F.; Schilte, C.; Disson, O.; Brigitte, M.; Guivel-Benhassine, F.; Touret, Y.; Barau, G.; Cayet, N.; Schuffenecker, I. A mouse model for Chikungunya: Young age and inefficient type-I interferon signaling are risk factors for severe disease. PLoS Pathog. 2008, 4, e29. [Google Scholar] [CrossRef]
- Thomsson, K.A.; Benktander, J.; Quintana-Hayashi, M.P.; Sharba, S.; Lindén, S.K. Mucin O-glycosylation and pathogen binding ability differ between rainbow trout epithelial sites. Fish Shellfish Immunol. 2022, 131, 349–357. [Google Scholar] [CrossRef] [PubMed]
- Herath, T.K.; Ferguson, H.W.; Weidmann, M.W.; Bron, J.E.; Thompson, K.D.; Adams, A.; Muir, K.F.; Richards, R.H. Pathogenesis of experimental salmonid alphavirus infection in vivo: An ultrastructural insight. Vet. Res. 2016, 47, 7. [Google Scholar] [CrossRef] [PubMed]
- Verhelst, J.; Hulpiau, P.; Saelens, X. Mx proteins: Antiviral gatekeepers that restrain the uninvited. Microbiol. Mol. Biol. Rev. 2013, 77, 551–566. [Google Scholar] [CrossRef] [PubMed]
- Kochs, G.; Haller, O. Mx Proteins: High Molecular Weight GTPases with Antiviral Activity. In Handbook of Cell Signaling; Elsevier: Amsterdam, The Netherlands, 2010; pp. 1855–1864. [Google Scholar]
- Ashley, C.L.; Abendroth, A.; McSharry, B.P.; Slobedman, B. Interferon-independent innate responses to cytomegalovirus. Front. Immunol. 2019, 10, 2751. [Google Scholar] [CrossRef]
- Lester, K.; Hall, M.; Urquhart, K.; Gahlawat, S.; Collet, B. Development of an in vitro system to measure the sensitivity to the antiviral Mx protein of fish viruses. J. Virol. Methods 2012, 182, 1–8. [Google Scholar] [CrossRef]
- Gahlawat, S.K.; Ellis, A.E.; Collet, B. Expression of interferon and interferon–Induced genes in Atlantic salmon Salmo salar cell lines SHK-1 and TO following infection with Salmon AlphaVirus SAV. Fish Shellfish Immunol. 2009, 26, 672–675. [Google Scholar] [CrossRef]
- Verrier, E.R.; Langevin, C.; Benmansour, A.; Boudinot, P. Early antiviral response and virus-induced genes in fish. Dev. Comp. Immunol. 2011, 35, 1204–1214. [Google Scholar] [CrossRef]
- Xu, C.; Guo, T.-C.; Mutoloki, S.; Haugland, Ø.; Marjara, I.S.; Evensen, Ø. Alpha interferon and not gamma interferon inhibits salmonid alphavirus subtype 3 replication in vitro. J. Virol. 2010, 84, 8903–8912. [Google Scholar] [CrossRef]
- Gascoigne, N.R.; Zal, T.; Yachi, P.P.; Hoerter, J.A. Co-receptors and recognition of self at the immunological synapse. Immunol. Synap. 2010, 340, 171–189. [Google Scholar]
- Wilson, A.B. MHC and adaptive immunity in teleost fishes. Immunogenetics 2017, 69, 521–528. [Google Scholar] [CrossRef]
- Li, J.; Barreda, D.R.; Zhang, Y.-A.; Boshra, H.; Gelman, A.E.; LaPatra, S.; Tort, L.; Sunyer, J.O. B lymphocytes from early vertebrates have potent phagocytic and microbicidal abilities. Nat. Immunol. 2006, 7, 1116. [Google Scholar] [CrossRef] [PubMed]
- Bachmann, M.F.; Hengartner, H.; Zinkernagel, R.M. T helper cell-independent neutralizing B cell response against vesicular stomatitis virus: Role of antigen patterns in B cell induction? Eur. J. Immunol. 1995, 25, 3445–3451. [Google Scholar] [CrossRef] [PubMed]
- Teige, L.H.; Aksnes, I.; Røsæg, M.V.; Jensen, I.; Jørgensen, J.; Sindre, H.; Collins, C.; Collet, B.; Rimstad, E.; Dahle, M.K. Detection of specific Atlantic salmon antibodies against salmonid alphavirus using a bead-based immunoassay. Fish Shellfish Immunol. 2020, 106, 374–383. [Google Scholar] [CrossRef] [PubMed]
- Salinas, I.; Fernández-Montero, Á.; Ding, Y.; Sunyer, J.O. Mucosal immunoglobulins of teleost fish: A decade of advances. Dev. Comp. Immunol. 2021, 121, 104079. [Google Scholar] [CrossRef]












| Gene Name | Primer Sequences (5′-3′) | Reference | Product Size | Accession Number |
|---|---|---|---|---|
| Interferon alpha (IFN-α) | F: TGCAGTATGCAGAGCGTGTG R: TCTCCTCCCATCTGGTCCAG | [28] | 101 | AY216594.1 |
| Interferon gamma (IFN-γ) | F: AAGGGCTGTGATGTGTTTCTG R: TGTACTGAGCGGCATTACTCC | [29] | 68 | AY795563 |
| Virus-inhibitory protein, endoplasmic reticulum-associated, interferon-inducible (viperin) | F: AGCAATGGCAGCATGATCAG R: TGGTTGGTGTCCTCGTCAAAG | [30] | 101 | NM_001140939.1 |
| Myxovirus resistance (Mx) | F: TGCAACCACAGAGGCTTTGAA A: GGCTTGGTCAGGATGCCTAAT | [31] | 78 | U66476.1 |
| Major histocompatibility complex class I (MHC-I) | F: GAAGAGCACTCTGATGAGGACAG R: CACCATGACTCCACTGGGGTAG | [30] | 112 | EB174276 |
| Cluster of differentiation 8 alpha (CD8a) | F: CGTCTACAGCTGTGCATCAATCAA R: GGCTGTGGTCATTGGTGTAGTC | [30] | 118 | AY693393.1 |
| Granzyme A (gzma) | GGTGTTTCTAGGGGTCCACTC TGCCACAGGGACAGGTAACG | [32] | 193 | XM_045695185.1 |
| Natural killer lysin (NK-lysin) | F: TGTTCTTATGCACCACGCAA R: CGGGTATGACGCAAAACGACTA | [33] | 109 | NM_0011411 10.1 |
| Major histocompatibility complex class II (MHC-II) | F: CCACCTGGAGTACACACCCAG R: TTCCTCTCAGCCTCAGGCAG | [34] | 116 | X70165 |
| Cluster of differentiation 4 (CD4) | F: GAGTACACCTGCGCTGTGGAAT R: GGTTGACCTCCTGACCTACAAAGG | [35] | 121 | BT056594 |
| Secretory immunoglobulin M (sIgM) | F: CTACAAGAGGGAGACCGGAG R: AGGGTCACCGTATTATCACTAGTT | [30] | 90 | BT059185 |
| Membrane immunoglobulin M (mIgM) | F: CCTACAAGAGGGAGACCGA R: GATGAAGGTGAAGGCTGTTTT | [36] | 104 | Y12457 |
| Secretory immunoglobulin T (sIgT-B) | F: GAATGTTTGGGACACGGAAG R: TCACATATCTTGACATGAGTTACC | [37] | 124 | GQ907004.1 |
| Membrane immunoglobulin T (mIgT-B) | F: GAATGTTTGGGACACGGAAG R: GCTCAGTCAGTGGGATGTTCT | [38] | 98 | GQ907004.1 |
| Mucin 2 (Muc-2) | F: CGACTGCCACAAAGCCATTAGG R: GCGTGTTGCTGCGTGTCTT | [39] | 53 | XM_014183074.1 |
| Mucin 5 (Muc-5) | F: CCGTGCTGGGAGACATTATGAAGT R: TGCTGGAGAGGGAAAGGGTAAC | [39] | 81 | JT819124.1 |
| Elongation factor-1alpha (EF1α) | F: TGCCCCTCCAGGATGTCTAC R: CACGGCCCACAGGTACTG | [40] | 57 | BG933853 |
| SAV3-nsp1 | F: CCGGCCCTGAACCAGTT R: GTAGCCAAGTGGGAGAAAGCT Probe: FAM-5 -CTGGCCACCACTTCGA-3 -MGB | [25] | 107 | AY604235 |
Disclaimer/Publisher’s Note: The statements, opinions and data contained in all publications are solely those of the individual author(s) and contributor(s) and not of MDPI and/or the editor(s). MDPI and/or the editor(s) disclaim responsibility for any injury to people or property resulting from any ideas, methods, instructions or products referred to in the content. |
© 2023 by the authors. Licensee MDPI, Basel, Switzerland. This article is an open access article distributed under the terms and conditions of the Creative Commons Attribution (CC BY) license (https://creativecommons.org/licenses/by/4.0/).
Share and Cite
Tartor, H.; Bernhardt, L.-V.; Mohammad, S.N.; Kuiper, R.; Weli, S.C. In Situ Detection of Salmonid Alphavirus 3 (SAV3) in Tissues of Atlantic Salmon in a Cohabitation Challenge Model with a Special Focus on the Immune Response to the Virus in the Pseudobranch. Viruses 2023, 15, 2450. https://doi.org/10.3390/v15122450
Tartor H, Bernhardt L-V, Mohammad SN, Kuiper R, Weli SC. In Situ Detection of Salmonid Alphavirus 3 (SAV3) in Tissues of Atlantic Salmon in a Cohabitation Challenge Model with a Special Focus on the Immune Response to the Virus in the Pseudobranch. Viruses. 2023; 15(12):2450. https://doi.org/10.3390/v15122450
Chicago/Turabian StyleTartor, Haitham, Lisa-Victoria Bernhardt, Saima Nasrin Mohammad, Raoul Kuiper, and Simon C. Weli. 2023. "In Situ Detection of Salmonid Alphavirus 3 (SAV3) in Tissues of Atlantic Salmon in a Cohabitation Challenge Model with a Special Focus on the Immune Response to the Virus in the Pseudobranch" Viruses 15, no. 12: 2450. https://doi.org/10.3390/v15122450
APA StyleTartor, H., Bernhardt, L.-V., Mohammad, S. N., Kuiper, R., & Weli, S. C. (2023). In Situ Detection of Salmonid Alphavirus 3 (SAV3) in Tissues of Atlantic Salmon in a Cohabitation Challenge Model with a Special Focus on the Immune Response to the Virus in the Pseudobranch. Viruses, 15(12), 2450. https://doi.org/10.3390/v15122450

