Novel Bat Lyssaviruses Identified by Nationwide Passive Surveillance in Taiwan, 2018–2021
Abstract
:1. Introduction
2. Materials and Methods
2.1. Sample Collection, Lyssavirus Diagnosis, and Virus Isolation
2.2. Identification of Bat Species
2.3. Complete Genome Sequencing of the Lyssavirus Isolate
2.4. Phylogenetic Analysis
2.5. Histopathological Examination
3. Results
3.1. Lyssavirus Surveillance
3.2. Complete Genome Sequencing and Phylogenetic Analysis
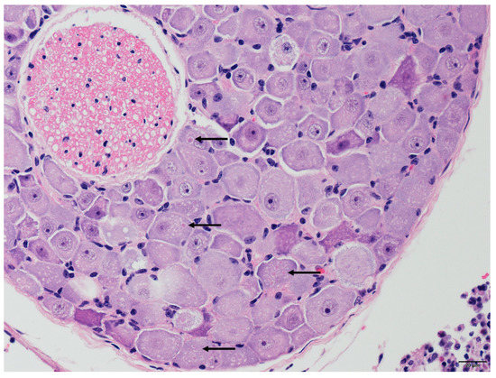
3.3. Histopathological Examination
4. Discussion
Supplementary Materials
Author Contributions
Funding
Institutional Review Board Statement
Informed Consent Statement
Data Availability Statement
Acknowledgments
Conflicts of Interest
References
- Kuzmin, I.V. Chapter One-Basic Facts about Lyssaviruses. In Current Laboratory Techniques in Rabies Diagnosis, Research and Prevention; Rupprecht, C., Nagarajan, T., Eds.; Academic Press: Amsterdam, The Netherlands, 2014; Volume 1, pp. 3–21. ISBN 978-0-12-800014-4. [Google Scholar]
- Markotter, W.; Coertse, J. Bat lyssaviruses. Rev. Sci. Technol. 2018, 37, 385–400. [Google Scholar] [CrossRef] [PubMed]
- Shipley, R.; Wright, E.; Selden, D.; Wu, G.; Aegerter, J.; Fooks, A.R.; Banyard, A.C. Bats and viruses: Emergence of novel lyssaviruses and association of bats with viral zoonoses in the EU. Trop. Med. Infect. Dis. 2019, 4, 31. [Google Scholar] [CrossRef] [PubMed] [Green Version]
- Hu, S.-C.; Hsu, C.-L.; Lee, M.-S.; Tu, Y.-C.; Chang, J.-C.; Wu, C.-H.; Lee, S.-H.; Ting, L.-J.; Tsai, K.-R.; Cheng, M.-C.; et al. Lyssavirus in Japanese Pipistrelle, Taiwan. Emerg. Infect. Dis. 2018, 24, 782–785. [Google Scholar] [CrossRef] [Green Version]
- Nokireki, T.; Tammiranta, N.; Kokkonen, U.M.; Kantala, T.; Gadd, T. Tentative novel lyssavirus in a bat in Finland. Transbound. Emerg. Dis. 2018, 65, 593–596. [Google Scholar] [CrossRef] [PubMed] [Green Version]
- Coertse, J.; Grobler, C.S.; Sabeta, C.T.; Seamark, E.C.J.; Kearney, T.; Paweska, J.T.; Markotter, W. Lyssaviruses in Insectivorous Bats, South Africa, 2003-2018. Emerg. Infect. Dis. 2020, 26, 3056–3060. [Google Scholar] [CrossRef] [PubMed]
- Gunawardena, P.S.; Marston, D.A.; Ellis, R.J.; Wise, E.L.; Karawita, A.C.; Breed, A.C.; McElhinney, L.M.; Johnson, N.; Banyard, A.C.; Fooks, A.R. Lyssavirus in Indian Flying Foxes, Sri Lanka. Emerg. Infect. Dis. 2016, 22, 1456–1459. [Google Scholar] [CrossRef]
- Genus: Lyssavirus-Rhabdoviridae-Negative-Sense RNA Viruses-ICTV. Available online: https://talk.ictvonline.org/ictv-reports/ictv_online_report/negative-sense-rna-viruses/w/rhabdoviridae/795/genus-lyssavirus (accessed on 26 April 2022).
- Fooks, A.R.; Cliquet, F.; Finke, S.; Freuling, C.; Hemachudha, T.; Mani, R.S.; Müller, T.; Nadin-Davis, S.; Picard-Meyer, E.; Wilde, H.; et al. Rabies. Nat. Rev. Dis. Prim. 2017, 3, 17091. [Google Scholar] [CrossRef]
- Badrane, H.; Bahloul, C.; Perrin, P.; Tordo, N. Evidence of Two Lyssavirus Phylogroups with Distinct Pathogenicity and Immunogenicity. J. Virol. 2001, 75, 3268–3276. [Google Scholar] [CrossRef] [Green Version]
- Nolden, T.; Banyard, A.C.; Finke, S.; Fooks, A.R.; Hanke, D.; Höper, D.; Horton, D.L.; Mettenleiter, T.C.; Müller, T.; Teifke, J.P.; et al. Comparative studies on the genetic, antigenic and pathogenic characteristics of Bokeloh bat lyssavirus. J. Gen. Virol. 2014, 95, 1647–1653. [Google Scholar] [CrossRef] [Green Version]
- Brookes, S.M.; Parsons, G.; Johnson, N.; McElhinney, L.M.; Fooks, A.R. Rabies human diploid cell vaccine elicits cross-neutralising and cross-protecting immune responses against European and Australian bat lyssaviruses. Vaccine 2005, 23, 4101–4109. [Google Scholar] [CrossRef]
- Nokireki, T.; Jakava-Viljanen, M.; Virtala, A.M.; Sihvonen, L. Efficacy of rabies vaccines in dogs and cats and protection in a mouse model against European bat lyssavirus type 2. Acta Vet. Scand. 2017, 59, 64. [Google Scholar] [CrossRef] [PubMed] [Green Version]
- Servat, A.; Wasniewski, M.; Cliquet, F. Cross-protection of inactivated rabies vaccines for veterinary use against bat lyssaviruses occurring in Europe. Viruses 2019, 11, 936. [Google Scholar] [CrossRef] [PubMed] [Green Version]
- Marston, D.A.; Horton, D.L.; Ngeleja, C.; Hampson, K.; McElhinney, L.M.; Banyard, A.C.; Haydon, D.; Cleaveland, S.; Rupprecht, C.E.; Bigambo, M.; et al. Ikoma lyssavirus, highly divergent novel lyssavirus in an African civet. Emerg. Infect. Dis. 2012, 18, 664–667. [Google Scholar] [CrossRef] [PubMed]
- Banyard, A.C.; Evans, J.S.; Luo, T.R.; Fooks, A.R. Lyssaviruses and bats: Emergence and zoonotic threat. Viruses 2014, 6, 2974–2990. [Google Scholar] [CrossRef] [PubMed] [Green Version]
- Tenzin; Ward, M.P. Review of Rabies Epidemiology and Control in South, South East and East Asia: Past, Present and Prospects for Elimination. Zoonoses Public Health 2012, 59, 451–467. [Google Scholar] [CrossRef] [PubMed]
- Miranda, M.E.G.; Miranda, N.L.J. Rabies Prevention in Asia: Institutionalizing Implementation Capacities. In Rabies and Rabies Vaccines; Springer International Publishing: Berlin/Heidelberg, Germany, 2020; pp. 103–116. [Google Scholar]
- Kuzmin, I.V.; Orciari, L.A.; Arai, Y.T.; Smith, J.S.; Hanlon, C.A.; Kameoka, Y.; Rupprecht, C.E. Bat lyssaviruses (Aravan and Khujand) from Central Asia: Phylogenetic relationships according to N, P and G gene sequences. Virus Res. 2003, 97, 65–79. [Google Scholar] [CrossRef]
- Liu, Y.; Zhang, S.; Zhao, J.; Zhang, F.; Hu, R. Isolation of Irkut virus from a Murina leucogaster bat in China. PLoS Negl. Trop. Dis. 2013, 7, e2097. [Google Scholar] [CrossRef] [PubMed] [Green Version]
- Chiou, H.Y.; Hsieh, C.H.; Jeng, C.R.; Chan, F.T.; Wang, H.Y.; Pang, V.F. Molecular characterization of cryptically circulating rabies virus from ferret badgers, Taiwan. Emerg. Infect. Dis. 2014, 20, 790–798. [Google Scholar] [CrossRef]
- Chang, J.C.; Tsai, K.J.; Hsu, W.C.; Tu, Y.C.; Chuang, W.C.; Chang, C.Y.; Chang, S.W.; Lin, T.E.; Fang, K.Y.; Chang, Y.F.; et al. Rabies virus infection in ferret badgers (Melogale moschata subaurantiaca) in Taiwan: A retrospective study. J. Wildl. Dis. 2015, 51, 923–928. [Google Scholar] [CrossRef] [PubMed]
- Hsu, W.C.; Hsu, C.L.; Tu, Y.C.; Chang, J.C.; Tsai, K.R.; Lee, F.; Hu, S.C. Standard operating procedure for lyssavirus surveillance of the bat population in taiwan. J. Vis. Exp. 2019, 2019, e59421. [Google Scholar] [CrossRef] [PubMed]
- Hayman, D.T.S.; Banyard, A.C.; Wakeley, P.R.; Harkess, G.; Marston, D.; Wood, J.L.N.; Cunningham, A.A.; Fooks, A.R. A universal real-time assay for the detection of Lyssaviruses. J. Virol. Methods 2011, 177, 87–93. [Google Scholar] [CrossRef] [PubMed] [Green Version]
- Franka, R.; Constantine, D.G.; Kuzmin, I.; Velasco-Villa, A.; Reeder, S.A.; Streicker, D.; Orciari, L.A.; Wong, A.J.; Blanton, J.D.; Rupprecht, C.E. A new phylogenetic lineage of Rabies virus associated with western pipistrelle bats (Pipistrellus hesperus). J. Gen. Virol. 2006, 87, 2309–2321. [Google Scholar] [CrossRef] [PubMed]
- Trimarchi, C.V.; Smith, J.S. 9-Diagnostic Evaluation. In Rabies; Jackson, A.C., Wunner, W.H., Eds.; Academic Press: San Diego, CA, USA, 2003; pp. 307–349. ISBN 978-0-12-379077-4. [Google Scholar]
- Corbet, G.B.; Hill, J.E. The Mammals of the Indomalayan Region: A Systematic Review; Oxford University Press: Oxford, UK, 1992; Volume 488. [Google Scholar]
- Huang, J.C.C.; Ho, Y.Y.; Kuo, H.C. Illustrated field keys to the bats (Mammalia: Chiroptera) of Taiwan. J. Threat. Taxa 2020, 12, 15675–15710. [Google Scholar] [CrossRef]
- Ivanova, N.V.; Zemlak, T.S.; Hanner, R.H.; Hebert, P.D.N. Universal primer cocktails for fish DNA barcoding. Mol. Ecol. Notes 2007, 7, 544–548. [Google Scholar] [CrossRef]
- Nadin-Davis, S.A. DNA Barcoding Facilitates Bat Species Identification for Improved Surveillance of Bat-associated Rabies across Canada. Open Zool. J. 2012, 5, 27–37. [Google Scholar] [CrossRef]
- Kress, W.J.; Erickson, D.L. DNA barcodes: Methods and protocols. Methods Mol. Biol. 2012, 858, 3–8. [Google Scholar] [CrossRef]
- Kumar, S.; Stecher, G.; Li, M.; Knyaz, C.; Tamura, K. MEGA X: Molecular Evolutionary Genetics Analysis across Computing Platforms. Mol. Biol. Evol. 2018, 35, 1547. [Google Scholar] [CrossRef]
- Kalyaanamoorthy, S.; Minh, B.Q.; Wong, T.K.F.; von Haeseler, A.; Jermiin, L.S. ModelFinder: Fast model selection for accurate phylogenetic estimates. Nat. Methods 2017, 14, 587–589. [Google Scholar] [CrossRef] [Green Version]
- Chernomor, O.; VonHaeseler, A.; Minh, B.Q. Terrace Aware Data Structure for Phylogenomic Inference from Supermatrices. Syst. Biol. 2016, 65, 997–1008. [Google Scholar] [CrossRef] [Green Version]
- Trifinopoulos, J.; Nguyen, L.T.; von Haeseler, A.; Minh, B.Q. W-IQ-TREE: A fast online phylogenetic tool for maximum likelihood analysis. Nucleic Acids Res. 2016, 44, W232–W235. [Google Scholar] [CrossRef] [Green Version]
- Minh, B.Q.; Schmidt, H.A.; Chernomor, O.; Schrempf, D.; Woodhams, M.D.; von Haeseler, A.; Lanfear, R. IQ-TREE 2: New Models and Efficient Methods for Phylogenetic Inference in the Genomic Era. Mol. Biol. Evol. 2020, 37, 1530–1534. [Google Scholar] [CrossRef] [PubMed] [Green Version]
- Hoang, D.T.; Chernomor, O.; von Haeseler, A.; Minh, B.Q.; Vinh, L.S. UFBoot2: Improving the Ultrafast Bootstrap Approximation. Mol. Biol. Evol. 2018, 35, 518–522. [Google Scholar] [CrossRef] [PubMed]
- Hall, T.A. BioEdit: A user-friendly biological sequence alignment editor and analysis program for Windows 95/98/NT—ScienceOpen. Nucleic Acids Symp. Ser. 1999, 41, 95–98. [Google Scholar]
- Marston, D.A.; McElhinney, L.M.; Johnson, N.; Müller, T.; Conzelmann, K.K.; Tordo, N.; Fooks, A.R. Comparative analysis of the full genome sequence of European bat lyssavirus type 1 and type 2 with other lyssaviruses and evidence for a conserved transcription termination and polyadenylation motif in the G-L 3′ non-translated region. J. Gen. Virol. 2007, 88, 1302–1314. [Google Scholar] [CrossRef]
- Gould, A.R.; Kattenbelt, J.A.; Gumley, S.G.; Lunt, R.A. Characterisation of an Australian bat lyssavirus variant isolated from an insectivorous bat. Virus Res. 2002, 89, 1–28. [Google Scholar] [CrossRef]
- McElhinney, L.M.; Marston, D.A.; Wise, E.L.; Freuling, C.M.; Bourhy, H.; Zanoni, R.; Moldal, T.; Kooi, E.A.; Neubauer-Juric, A.; Nokireki, T.; et al. Molecular epidemiology and evolution of european bat lyssavirus 2. Int. J. Mol. Sci. 2018, 19, 156. [Google Scholar] [CrossRef] [Green Version]
- Saito, M.; Oshitani, H.; Orbina, J.R.C.; Tohma, K.; de Guzman, A.S.; Kamigaki, T.; Demetria, C.S.; Manalo, D.L.; Noguchi, A.; Inoue, S.; et al. Genetic Diversity and Geographic Distribution of Genetically Distinct Rabies Viruses in the Philippines. PLoS Negl. Trop. Dis. 2013, 7, e2144. [Google Scholar] [CrossRef]
- Brown, R.P.; Suárez, N.M.; Pestano, J. The Atlas mountains as a biogeographical divide in North–West Africa: Evidence from mtDNA evolution in the Agamid lizard Agama impalearis. Mol. Phylogenet. Evol. 2002, 24, 324–332. [Google Scholar] [CrossRef]
- Wilson, D.E.; Reeder, D.M. Mammal Species of the World: A Taxonomic and Geographic Reference; JHU Press: Baltimore, MD, USA, 2005; Volume 1, ISBN 0801882214. [Google Scholar]
- Shi, H.Y.; Yu, W.; Wu, Y. Nyctalus plancyi (Chinese Noctule) The IUCN Red List of Threatened Species 2020: E.T136828A22044480. Available online: https://www.iucnredlist.org/species/136828/22044480 (accessed on 6 July 2021).
- Nyctalus plancyi velutinus Taiwan Roadkill Observation Network. Available online: https://v2019.roadkill.tw/bio-taxon/nyctalus-plancyi-velutinus (accessed on 25 March 2022).
- Petit, E.; Mayer, F. Male dispersal in the noctule bat (Nyctalus noctula): Where are the limits? Proc. R. Soc. Lond. Ser. B Biol. Sci. 1999, 266, 1717–1722. [Google Scholar] [CrossRef] [Green Version]
- Wohlgemuth, R.; Devrient, I.; García, A.; Hutterer, R. Long-distance flight of a Lesser noctule (Nyctalus leisleri) after rehabilitation. Myotis 2004, 41, 69–73. [Google Scholar]
- Fukui, D.; Sano, A. Pipistrellus abramus. The IUCN Red List of Threatened Species 2019: E.T17320A22131948. Available online: https://www.iucnredlist.org/species/17320/22131948 (accessed on 6 July 2021).
- Huang, J.C.-C.; Chen, W.-J.; Lin, T.-E. Landscape and Species Traits Co-Drive Roadkills of Bats in a Subtropical Island. Divers 2021, 13, 117. [Google Scholar] [CrossRef]
- Kuzmin, I.V.; Botvinkin, A.D. The behaviour of bats Pipistrellus pipistrellus after experimental inoculation with rabies and rabies-like viruses and some aspects of pathogenesis. Myotis 1996, 34, 93–99. [Google Scholar]
- Johnson, N.; Vos, A.; Neubert, L.; Freuling, C.; Mansfield, K.L.; Kaipf, I.; Denzinger, A.; Hicks, D.; Núñez, A.; Franka, R.; et al. Experimental study of European bat lyssavirus type-2 infection in Daubenton’s bats (Myotis daubentonii). J. Gen. Virol. 2008, 89, 2662–2672. [Google Scholar] [CrossRef] [PubMed]
- Freuling, C.; Vos, A.; Johnson, N.; Kaipf, I.; Denzinger, A.; Neubert, L.; Mansfield, K.; Hicks, D.; Nuñez, A.; Tordo, N.; et al. Experimental infection of serotine bats (Eptesicus serotinus) with European bat lyssavirus type 1a. J. Gen. Virol. 2009, 90, 2493–2502. [Google Scholar] [CrossRef] [PubMed]
- Schatz, J.; Fooks, A.R.; McElhinney, L.; Horton, D.; Echevarria, J.; Vázquez-Moron, S.; Kooi, E.A.; Rasmussen, T.B.; Müller, T.; Freuling, C.M. Bat Rabies Surveillance in Europe. Zoonoses Public Health 2013, 60, 22–34. [Google Scholar] [CrossRef]
- Lumlertdacha, B.; Boongird, K.; Wanghongsa, S.; Wacharapluesadee, S.; Chanhome, L.; Khawplod, P.; Hemachudha, T.; Kuzmin, I.; Rupprecht, C.E. Survey for bat lyssaviruses, Thailand. Emerg. Infect. Dis. 2005, 11, 232–236. [Google Scholar] [CrossRef]
- Arguin, P.M.; Murray-Lillibridge, K.; Miranda, M.E.G.; Smith, J.S.; Calaor, A.B.; Rupprecht, C.E. Serologic evidence of Lyssavirus infections among bats, the Philippines. Emerg. Infect. Dis. 2002, 8, 258–262. [Google Scholar] [CrossRef] [Green Version]
- Kuzmin, I.V.; Niezgoda, M.; Carroll, D.S.; Keeler, N.; Hossain, M.J.; Breiman, R.F.; Ksiazek, T.G.; Rupprecht, C.E. Lyssavirus surveillance in bats, Bangladesh. Emerg. Infect. Dis. 2006, 12, 486–488. [Google Scholar] [CrossRef] [PubMed]
- Klein, A.; Calvelage, S.; Schlottau, K.; Hoffmann, B.; Eggerbauer, E.; Müller, T.; Freuling, C.M. Retrospective Enhanced Bat Lyssavirus Surveillance in Germany between 2018–2020. Viruses 2021, 13, 1538. [Google Scholar] [CrossRef]


| Isolate Name * | Bat Species | Location | Year | GenBank Accession Number | Reference |
|---|---|---|---|---|---|
| TWBLV-1/TN/2016 † | Pipistrellus abramus | Tainan City, Taiwan | 2016 | NC055474 | [4] |
| TWBLV-1/YL/2017 † | Pipistrellus abramus | Yulin County, Taiwan | 2017 | MF472709 | [4] |
| TWBLV-1/YiL/2018 | Pipistrellus abramus | Yilan County, Taiwan | 2018 | ON437590 | This study |
| TWBLV-1/KL/2020 | Pipistrellus abramus | Keelung City, Taiwan | 2020 | ON437591 | This study |
| TWBLV-2/NT/2018 | Nyctalus plancyi velutinus | New Taipei City, Taiwan | 2018 | ON437589 | This study |
| Virus Name (GenBank Accession Number) | N | P | M | G | L | Concatenated Coding Genes (N + P + M + G + L) |
|---|---|---|---|---|---|---|
| Rabies lyssavirus (NC001542) | 74.0 | 62.9 | 72.4 | 62.5 | 71.7 | 70.0 |
| Lagos bat lyssavirus (NC020807) | 74.2 | 51.5 | 72.2 | 56.9 | 70.9 | 67.7 |
| Mokola lyssavirus (NC006429) | 73.4 | 51.2 | 70.1 | 56.9 | 70.6 | 67.2 |
| Duvenhage lyssavirus (NC020810) | 78.0 | 67.4 | 79.6 | 66.1 | 76.3 | 74.4 |
| European bat lyssavirus 1(NC009527) | 79.1 | 69.8 | 78.3 | 69.5 | 78.0 | 76.2 |
| European bat lyssavirus 2(NC009528) | 74.9 | 67.1 | 75.0 | 65.7 | 74.4 | 72.6 |
| Australian bat lyssavirus (NC003243) | 74.4 | 64.7 | 72.2 | 63.0 | 73.1 | 70.7 |
| Aravan lyssavirus (NC020808) | 77.7 | 66.2 | 78.0 | 66.5 | 75.2 | 73.6 |
| Khujand lyssavirus (NC025385) | 76.2 | 66.7 | 78.5 | 65.5 | 74.6 | 72.9 |
| Irkut lyssavirus (NC020809) | 78.1 | 69.1 | 78.0 | 66.2 | 75.7 | 74.1 |
| West Caucasian bat lyssavirus (NC025377) | 72.7 | 52.8 | 70.6 | 52.2 | 67.9 | 65.0 |
| Shimoni bat lyssavirus (NC025365) | 75.2 | 54.7 | 73.4 | 58.4 | 70.6 | 68.1 |
| Ikoma lyssavirus (NC018629) | 70.8 | 50.1 | 69.0 | 51.0 | 66.1 | 63.3 |
| Bokeloh bat lyssavirus (NC025251) | 74.9 | 67.4 | 76.8 | 64.5 | 74.5 | 72.6 |
| Lleida bat lyssavirus (NC031955) | 70.7 | 52.2 | 71.6 | 52.2 | 65.9 | 63.7 |
| Gannoruwa bat lyssavirus (NC031988) | 75.3 | 63.9 | 73.9 | 64.7 | 74.2 | 72.0 |
| Taiwan bat lyssavirus 1 * (NC055474, MF472709) | 79.1~79.6 | 70.3~70.6 | 78.7~78.8 | 67.9~68.6 | 77.2~77.4 | 75.6~75.7 |
| Kotalahti bat lyssavirus (LR994545) | 76.2 | 67.8 | 77.7 | 67.5 | 75.5 | 73.8 |
| Matlo bat lyssavirus (MW653808) | 72.3 | 53.5 | 68.8 | 52.2 | 68.7 | 65.4 |
| (A) | |||||
|---|---|---|---|---|---|
| Genome | Intra-Genotypic Variation | ||||
| TWBLV-1 * | ABLV | ||||
| Nucleotide Identity | Amino Acid Identity | Nucleotide Identity | Amino Acid Identity | ||
| Nucleoprotein | 81.2~99.0% | 96.2~100% | 83.6~100% | 95.5~100% | |
| (B) | |||||
| TWBLV-1/TN/2016 | TWBLV-1/YL/2017 | TWBLV-1/KL/2020 | TWBLV-1/YiL/2018 | TWBLV-2/NT/2018 | |
| TWBLV-1/TN/2016 | 98.7 | 99 | 81.2 | 79.1 | |
| TWBLV-1/YL/2017 | 100 | 98.5 | 81.3 | 79.6 | |
| TWBLV-1/KL/2020 | 100 | 100 | 81.4 | 79.3 | |
| TWBLV-1/YiL/2018 | 96.2 | 96.2 | 96.2 | 79.6 | |
| TWBLV-2/NT/2018 | 93.6 | 93.6 | 93.6 | 93.6 | |
Publisher’s Note: MDPI stays neutral with regard to jurisdictional claims in published maps and institutional affiliations. |
© 2022 by the authors. Licensee MDPI, Basel, Switzerland. This article is an open access article distributed under the terms and conditions of the Creative Commons Attribution (CC BY) license (https://creativecommons.org/licenses/by/4.0/).
Share and Cite
Hu, S.-C.; Hsu, C.-L.; Lee, F.; Tu, Y.-C.; Chen, Y.-W.; Chang, J.-C.; Hsu, W.-C. Novel Bat Lyssaviruses Identified by Nationwide Passive Surveillance in Taiwan, 2018–2021. Viruses 2022, 14, 1562. https://doi.org/10.3390/v14071562
Hu S-C, Hsu C-L, Lee F, Tu Y-C, Chen Y-W, Chang J-C, Hsu W-C. Novel Bat Lyssaviruses Identified by Nationwide Passive Surveillance in Taiwan, 2018–2021. Viruses. 2022; 14(7):1562. https://doi.org/10.3390/v14071562
Chicago/Turabian StyleHu, Shu-Chia, Chao-Lung Hsu, Fan Lee, Yang-Chang Tu, Yen-Wen Chen, Jen-Chieh Chang, and Wei-Cheng Hsu. 2022. "Novel Bat Lyssaviruses Identified by Nationwide Passive Surveillance in Taiwan, 2018–2021" Viruses 14, no. 7: 1562. https://doi.org/10.3390/v14071562
APA StyleHu, S.-C., Hsu, C.-L., Lee, F., Tu, Y.-C., Chen, Y.-W., Chang, J.-C., & Hsu, W.-C. (2022). Novel Bat Lyssaviruses Identified by Nationwide Passive Surveillance in Taiwan, 2018–2021. Viruses, 14(7), 1562. https://doi.org/10.3390/v14071562

