Case Study of Two Post Vaccination SARS-CoV-2 Infections with P1 Variants in CoronaVac Vaccinees in Brazil
Abstract
:1. Introduction
2. Materials and Methods
3. Results
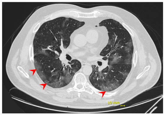
3.1. Case 1
3.2. Case 2
3.3. Variant Tracking
4. Discussion
Supplementary Materials
Author Contributions
Funding
Institutional Review Board Statement
Informed Consent Statement
Data Availability Statement
Conflicts of Interest
References
- WHO. Weekly Epidemiological Update on COVID-19—27 April 2021; WHO: Geneva, Switzerland, 2021. [Google Scholar]
- WHO. Draft Landscape and Tracker of COVID-19 Candidate Vaccines; World Health Organization: Geneva, Switzerland, 2021. [Google Scholar]
- Palacios, R.; Batista, A.P.; Albuquerque, C.S.N.; Patiño, E.G.; Santos, J.d.P.; Conde, M.T.R.P.; Piorelli, R.d.O.; Pereira Júnior, L.C.; Raboni, S.M.; Ramos, F. Efficacy and SAFETY of a COVID-19 Inactivated Vaccine in Healthcare Professionals in Brazil: The PROFISCOV Study. 2021. Available online: https://papers.ssrn.com/sol3/papers.cfm?abstract_id=3822780 (accessed on 25 June 2021).
- CDC SARS-CoV-2 Variant Classifications and Definitions. Available online: https://www.cdc.gov/coronavirus/2019-ncov/cases-updates/variant-surveillance/variant-info.html (accessed on 10 April 2021).
- O’Toole, A.; Scher, E.; Underwood, A.; Jackson, B.; Hill, V.; McCrone, J.; Ruis, C.; Abu-Dahab, K.; Taylo, B.; Yeats, C.; et al. Pangolin: Lineage Assignment in An Emerging Pandemic as An Epidemiological Tool. Available online: https://cov-lineages.org (accessed on 10 April 2021).
- COVID, C.; Team, V.B.; Birhane, M.; Bressler, S.; Chang, G.; Clark, T.; Dorough, L. COVID-19 Vaccine Breakthrough Infections Reported to CDC—United States, 1 January–30 April 2021. MMWR Morb. Mortal. Wkly. Rep. 2021, 70, 792–793. [Google Scholar]
- Thompson, J.D.; Higgins, D.G.; Gibson, T.J. CLUSTAL W: Improving the sensitivity of progressive multiple sequence alignment through sequence weighting, position-specific gap penalties and weight matrix choice. Nucleic Acids Res. 1994, 22, 4673–4680. [Google Scholar] [CrossRef] [Green Version]
- Hall, T.A. BioEdit: A user-friendly biological sequence alignment editor and analysis program for Windows 95/98/NT. Nucl. Acids. Symptom. Ser. 1999, 41, 4. [Google Scholar]
- Rambaut, A.; Holmes, E.C.; O’Toole, Á.; Hill, V.; McCrone, J.T.; Ruis, C.; du Plessis, L.; Pybus, O.G. A dynamic nomenclature proposal for SARS-CoV-2 lineages to assist genomic epidemiology. Nat. Microbiol. 2020, 5, 1403–1407. [Google Scholar] [CrossRef]
- Katoh, K.; Rozewicki, J.; Yamada, K.D. MAFFT online service: Multiple sequence alignment, interactive sequence choice and visualization. Brief. Bioinform. 2019, 20, 1160–1166. [Google Scholar] [CrossRef] [Green Version]
- Zhang, Z.L.; Hou, Y.L.; Li, D.T.; Li, F.Z. Laboratory findings of COVID-19: A systematic review and meta-analysis. Scand. J. Clin. Lab. Investig. 2020, 80, 441–447. [Google Scholar] [CrossRef] [PubMed]
- Wong, C.K.H.; Wong, J.Y.H.; Tang, E.H.M.; Au, C.H.; Wai, A.K.C. Clinical presentations, laboratory and radiological findings, and treatments for 11,028 COVID-19 patients: A systematic review and meta-analysis. Sci. Rep. 2020, 10, 19765. [Google Scholar] [CrossRef] [PubMed]
- Zhu, N.; Zhang, D.; Wang, W.; Li, X.; Yang, B.; Song, J.; Zhao, X.; Huang, B.; Shi, W.; Lu, R.; et al. A Novel Coronavirus from Patients with Pneumonia in China, 2019. N. Engl. J. Med. 2020, 382, 727–733. [Google Scholar] [CrossRef] [PubMed]
- WHO Statement on the Second Meeting of the International Health Regulations (2005) Emergency Committee Regarding the Outbreak of Novel Coronavirus (2019-nCoV). Available online: https://www.who.int/news-room/detail/30-01-2020-statement-on-the-second-meeting-of-the-international-health-regulations-(2005)-emergency-committee-regarding-the-outbreak-of-novel-coronavirus-(2019-ncov) (accessed on 26 March 2020).
- WHO Director-General’s Opening Remarks at the Media Briefing on COVID-19. Available online: https://www.who.int/dg/speeches/detail/who-director-general-s-opening-remarks-at-the-media-briefing-on-covid-19---11-march-2020 (accessed on 26 March 2020).
- da Cunha, C.; Cimerman, S.; Weissmann, L.; Chebabo, A.; Bellei, N. Informativo da Sociedade Brasileira de Infectologia: Primeiro Caso Confirmado de Doença Pelo Novo Coronavírus (COVID-19) No Brasil–26/02/2020. Soc. Bras. Infectol. Sao Paulo Brasil 2020. Available online: https://cbc.org.br/wp-content/uploads/2020/02/Informativo-CoV-26-02-2020.pdf.pdf-1.pdf. (accessed on 10 April 2021).
- Orellana, J.D.Y.; de Cunha, G.M.; Marrero, L.; Horta, B.L.; da Costa Leite, I. Explosion in mortality in the Amazonian epicenter of the COVID-19 epidemic 19. Cad. Saude Publ. 2020, 36, e00120020. [Google Scholar] [CrossRef] [PubMed]
- Buss, L.F.; Prete, C.A.; Abrahim, C.M.M.; Mendrone, A.; Salomon, T.; de Almeida-Neto, C.; França, R.F.O.; Belotti, M.C.; Carvalho, M.P.S.S.; Costa, A.G.; et al. Three-quarters attack rate of SARS-CoV-2 in the Brazilian Amazon during a largely unmitigated epidemic. Science 2021, 371, 288–292. [Google Scholar] [CrossRef]
- Okell, L.C.; Verity, R.; Watson, O.J.; Mishra, S.; Walker, P.; Whittaker, C.; Katzourakis, A.; Donnelly, C.A.; Riley, S.; Ghani, A.C.; et al. Have deaths from COVID-19 in Europe plateaued due to herd immunity? Lancet 2020, 395, e110–e111. [Google Scholar] [CrossRef]
- Faria, N.R.; Claro, I.M.; Candido, D.; Moyses Franco, L.; Andrade, P.S.; Coletti, T.M.; Silva, C.A.; Sales, F.C.; Manuli, E.R.; Aguiar, R.S. Genomic Characterisation of an Emergent SARS-CoV-2 Lineage in Manaus: Preliminary Findings. Available online: https://virological.org/ (accessed on 3 June 2021).
- Faria, N.R.; Mellan, T.A.; Whittaker, C.; Claro, I.M.; Candido, D.D.S.; Mishra, S.; Crispim, M.A.E.; Sales, F.C.S.; Hawryluk, I.; McCrone, J.T.; et al. Genomics and epidemiology of the P.1 SARS-CoV-2 lineage in Manaus, Brazil. Science 2021, 372, 815–821. [Google Scholar] [CrossRef]
- Brasil. Boletim Epidemiológico Especial. Doença pelo coronavírus COVID-19. In Semana Epidemiológica 15, 1st ed.; Ministério da Saúde: Brazilia, Brazil, 2021; p. 107. [Google Scholar]
- Gomez, C.E.; Perdiguero, B.; Esteban, M. Emerging SARS-CoV-2 Variants and Impact in Global Vaccination Programs against SARS-CoV-2/COVID-19. Vaccines 2021, 9, 243. [Google Scholar] [CrossRef]
- Starr, T.N.; Greaney, A.J.; Hilton, S.K.; Ellis, D.; Crawford, K.H.D.; Dingens, A.S.; Navarro, M.J.; Bowen, J.E.; Tortorici, M.A.; Walls, A.C.; et al. Deep Mutational Scanning of SARS-CoV-2 Receptor Binding Domain Reveals Constraints on Folding and ACE2 Binding. Cell 2020, 182, 1295–1310.e20. [Google Scholar] [CrossRef] [PubMed]
- Jangra, S.; Ye, C.; Rathnasinghe, R.; Stadlbauer, D.; Krammer, F.; Simon, V.; Martinez-Sobrido, L.; Garcia-Sastre, A.; Schotsaert, M. The E484K mutation in the SARS-CoV-2 spike protein reduces but does not abolish neutralizing activity of human convalescent and post-vaccination sera. medRxiv 2021. 2021.01.26.21250543. [Google Scholar]
- Plante, J.A.; Liu, Y.; Liu, J.; Xia, H.; Johnson, B.A.; Lokugamage, K.G.; Zhang, X.; Muruato, A.E.; Zou, J.; Fontes-Garfias, C.R.; et al. Spike mutation D614G alters SARS-CoV-2 fitness. Nature 2021, 592, 116–121. [Google Scholar] [CrossRef] [PubMed]
- Diamond, M.; Chen, R.; Xie, X.; Case, J.; Zhang, X.; VanBlargan, L.; Liu, Y.; Liu, J.; Errico, J.; Winkler, E.; et al. SARS-CoV-2 variants show resistance to neutralization by many monoclonal and serum-derived polyclonal antibodies. Res. Sq. 2021, 10, rs.3.rs-228079. [Google Scholar] [CrossRef]
- Wang, Z.; Schmidt, F.; Weisblum, Y.; Muecksch, F.; Barnes, C.O.; Finkin, S.; Schaefer-Babajew, D.; Cipolla, M.; Gaebler, C.; Lieberman, J.A.; et al. mRNA vaccine-elicited antibodies to SARS-CoV-2 and circulating variants. bioRxiv 2021, 592, 616–622. [Google Scholar]
- Chen, R.E.; Zhang, X.; Case, J.B.; Winkler, E.S.; Liu, Y.; VanBlargan, L.A.; Liu, J.; Errico, J.M.; Xie, X.; Suryadevara, N.; et al. Resistance of SARS-CoV-2 variants to neutralization by monoclonal and serum-derived polyclonal antibodies. Nat. Med. 2021, 27, 717–726. [Google Scholar] [CrossRef]
- Hoffmann, M.; Arora, P.; Groß, R.; Seidel, A.; Hörnich, B.F.; Hahn, A.S.; Krüger, N.; Graichen, L.; Hofmann-Winkler, H.; Kempf, A.; et al. SARS-CoV-2 variants B.1.351 and P.1 escape from neutralizing antibodies. Cell 2021, 184, 2384–2393.e12. [Google Scholar] [CrossRef]
- Garcia-Beltran, W.F.; Lam, E.C.; St Denis, K.; Nitido, A.D.; Garcia, Z.H.; Hauser, B.M.; Feldman, J.; Pavlovic, M.N.; Gregory, D.J.; Poznansky, M.C.; et al. Multiple SARS-CoV-2 variants escape neutralization by vaccine-induced humoral immunity. Cell 2021, 184, 2372–2383. [Google Scholar] [CrossRef]
- Challen, R.; Brooks-Pollock, E.; Read, J.M.; Dyson, L.; Tsaneva-Atanasova, K.; Danon, L. Risk of mortality in patients infected with SARS-CoV-2 variant of concern 202012/1: Matched cohort study. BMJ 2021, 372, n579. [Google Scholar] [CrossRef] [PubMed]
- Brasil. Plano Nacional da Operacionalização da Vacinação Contra a COVID-19, 5th ed.; Ministério da Saúde: Brazilia, Brazil, 2021; p. 188.
- Dong, Y.; Dai, T.; Wei, Y.; Zhang, L.; Zheng, M.; Zhou, F. A systematic review of SARS-CoV-2 vaccine candidates. Signal Transduct. Target. Ther. 2020, 5, 237. [Google Scholar] [CrossRef] [PubMed]
- Zhang, Y.; Zeng, G.; Pan, H.; Li, C.; Hu, Y.; Chu, K.; Han, W.; Chen, Z.; Tang, R.; Yin, W.; et al. Safety, tolerability, and immunogenicity of an inactivated SARS-CoV-2 vaccine in healthy adults aged 18-59 years: A randomised, double-blind, placebo-controlled, phase 1/2 clinical trial. Lancet Infect. Dis 2021, 21, 181–192. [Google Scholar] [CrossRef]
- Hitchings, M.D.T.; Ranzani, O.T.; Scaramuzzini Torres, M.S.; de Oliveira, S.B.; Almiron, M.; Said, R.; Borg, R.; Schulz, W.L.; de Oliveira, R.D.; da Silva, P.V.; et al. Effectiveness of CoronaVac in the setting of high SARS-CoV-2 P.1 variant transmission in Brazil: A test-negative case-control study. medRxiv 2021. 2021.04.07.21255081. [Google Scholar]
- Hasell, J.; Mathieu, E.; Beltekian, D.; Macdonald, B.; Giattino, C.; Ortiz-Ospina, E.; Roser, M.; Ritchie, H. A cross-country database of COVID-19 testing. Sci. Data 2020, 7, 345. [Google Scholar] [CrossRef] [PubMed]
- Rogliani, P.; Chetta, A.; Cazzola, M.; Calzetta, L. SARS-CoV-2 Neutralizing Antibodies: A Network Meta-Analysis across Vaccines. Vaccines 2021, 9, 227. [Google Scholar] [CrossRef]
- Ranzani, O.T.; Bastos, L.S.L.; Gelli, J.G.M.; Marchesi, J.F.; Baião, F.; Hamacher, S.; Bozza, F.A. Characterisation of the first 250,000 hospital admissions for COVID-19 in Brazil: A retrospective analysis of nationwide data. Lancet Respir. Med. 2021, 9, 407–418. [Google Scholar] [CrossRef]



| Patient 1 | Patient 2 | |||||||
|---|---|---|---|---|---|---|---|---|
| Signs and symptoms | Anosmia, malaise, and myalgia | Sore throat, headache, coryza, malaise, chills, sneezing | ||||||
| Worsening day | D8-dyspnea and SpO2 88% | D9-dyspnea and SpO2 84% | ||||||
| Clinical management | Supplemental oxygen by high flow nasal catheter. Dexamethasone and enoxaparin as prophylactic dose | Supplemental oxygen by high flow nasal catheter. Dexamethasone and enoxaparin as prophylactic dose | ||||||
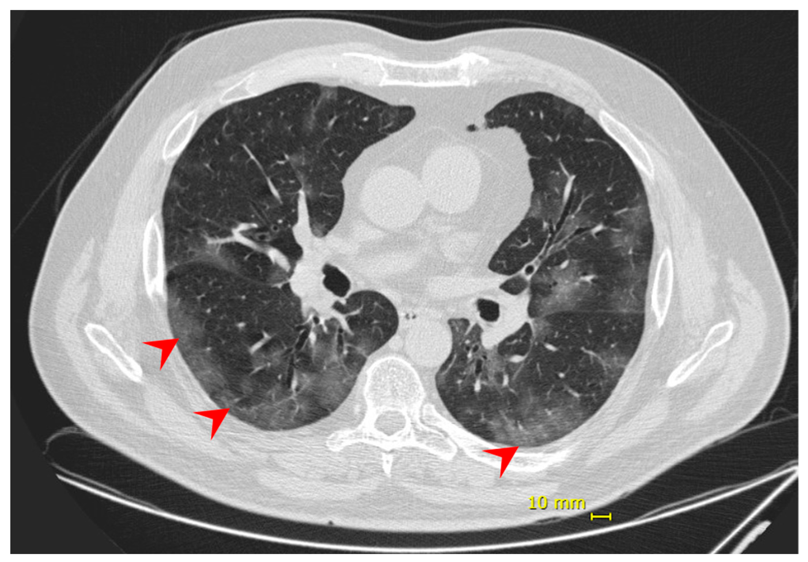
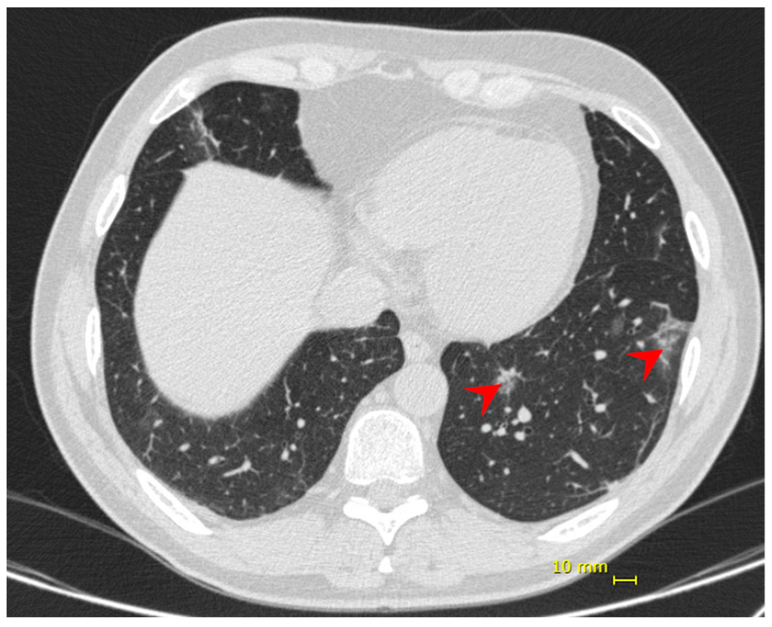
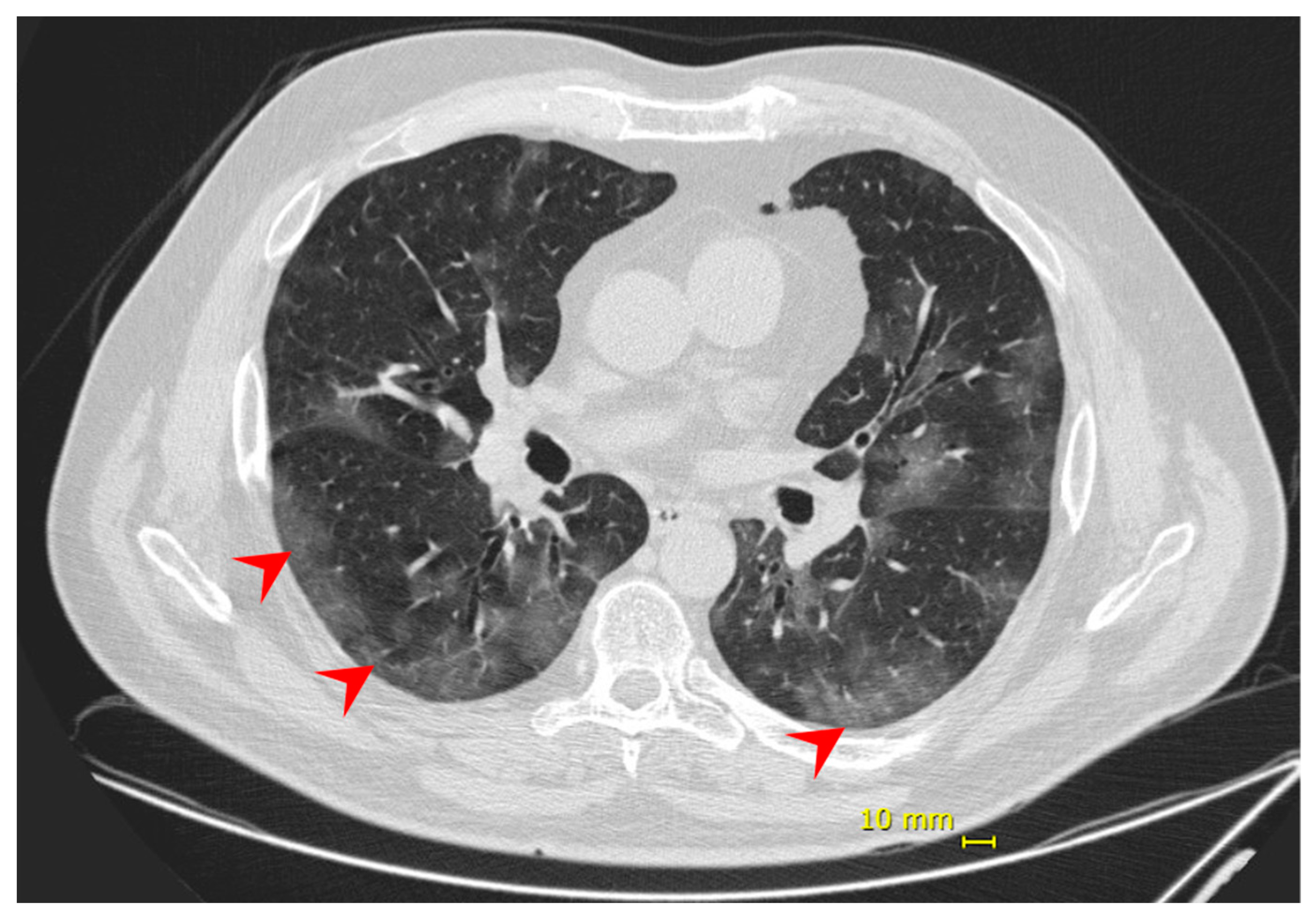
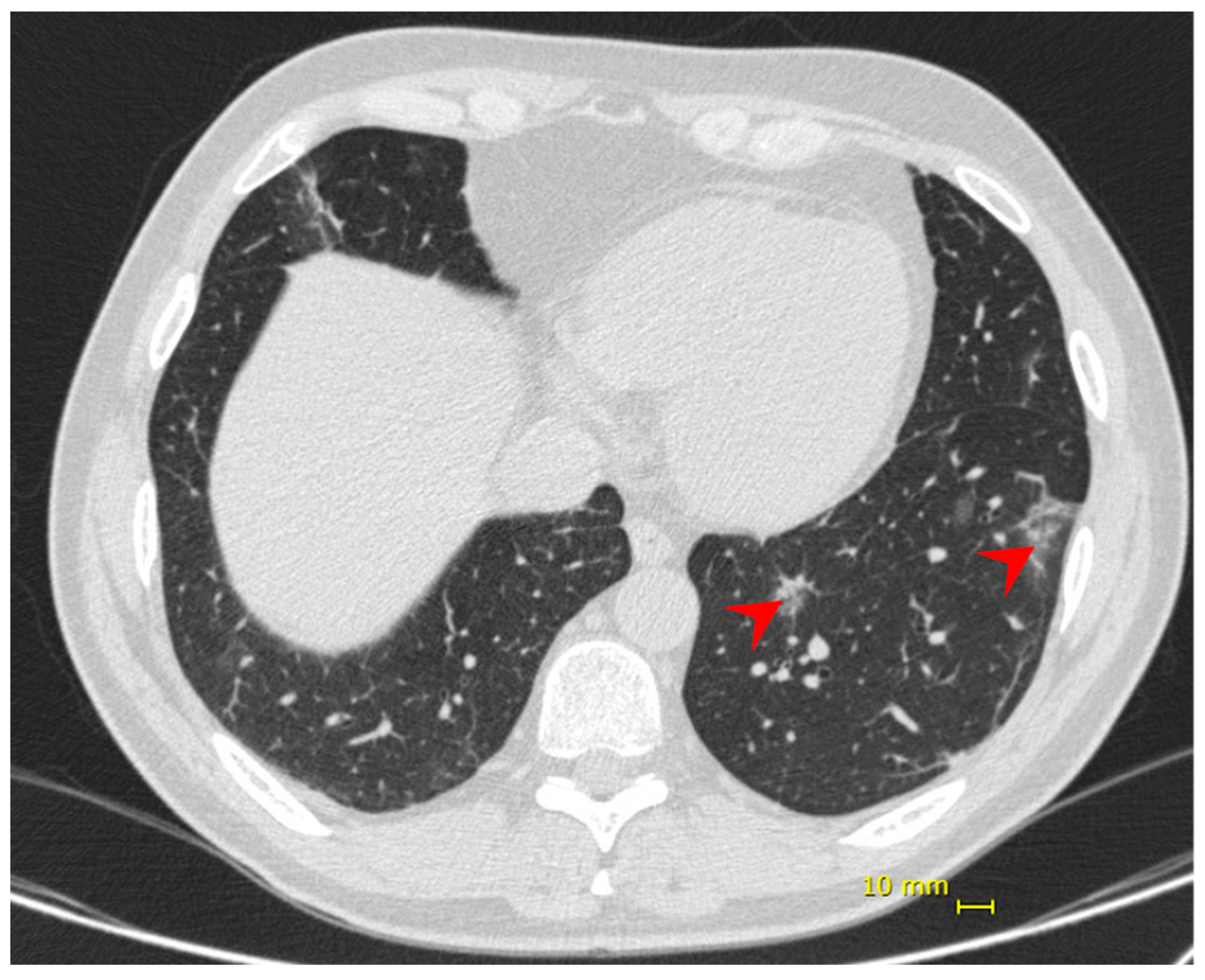
| Chest CT | Bilateral multifocal ground-glass opacities (25–50%) predominantly peripheral and subsegmental atelectasis | Bilateral multifocal ground-glass opacities (<25%) predominantly peripheral, and subsegmental atelectasis | ||||||
| Discharge | Recovery, 20 days from symptoms onset | Recovery, 14 days from symptoms onset | ||||||
| Laboratory findings | Admission | Recovery | Discharge | Admission | Clinical Worsening | Recovery | Discharge | Reference values |
| Hemoglobin (g/dL) | 17.7 | 15.6 | 15.3 | 13.3 | 13.8 | 13.2 | 13.2 | 12–16 |
| Hematocrit (%) | 51.5 | 44.2 | 43.9 | 39.1 | 39.8 | 39.8 | 44.3 | 36–47 |
| Leukocytes (cells/mm3) | 5880 | 7400 | 7020 | 5150 | 7160 | 8990 | 11,200 | 4–11 × 103 |
| Neutrophils (cells/mm3) | 4720 | 5790 | 4090 | 4630 | 5580 | 6837 | 7470 | 1.6–7.7 × 103 |
| Lymphocytes (cells/mm3) | 730 | 760 | 1840 | 780 | 860 | 899 | 1650 | 0.6–3.9 × 103 |
| Platelets (×103) | 120 | 322 | 327 | 123 | 125 | 168 | 214 | 150–450 × 103 |
| CRP (mg/dL) | 5.14 | 1.42 | 0.16 | 1.96 | 9.8 | 2.27 | 1.99 | up to 0.50 |
| LDH (U/L) | 393 | 393 | 317 | 178 | 324 | 288 | 287 | 1–250 |
| Dimer D (ug/mL) | 0.42 | 0.34 | 0.33 | 0.34 | 1.26 | 0.97 | 0.7 | up to 0.500 |
| AST (U/L) | 46 | 18 | 26 | 106 | 15–24 | |||
| ALT (U/L) | 36 | 28 | 16 | 185 | 15–24 | |||
| GGT (U/L) | 67 | 29 | 34 | 173 | up to 123 | |||
| AP (U/L) | 65 | 75 | Up to 104 | |||||
| Creatinine (mg/dL) | 0.7 | 0.6 | 0.7 | 1.3 | 0.9 | 0.9 | 1.1 | 0.7–1.2 |
| pH | 7.44 | 7.49 | 7.46 | 7.46 | 7.43 | 7.42 | 7.35–7.45 | |
| PO2 (mmHg) | 69.7 | 84.6 | 83.8 | 109 | 80.3 | 69.8 | 80–100 | |
| PCO2 (mmHg) | 35.8 | 34.7 | 34.9 | 33.7 | 34.6 | 41.1 | 38–50 | |
| HCO3 (mmol/L) | 23.9 | 26 | 24.5 | 23.8 | 22.6 | 26.4 | 22–26 | |
| EB (mmol/L) | 1.1 | 1.3 | 1.9 | 0.8 | −0.6 | 2.3 | −2.0–2.0 | |
| SatO2 (%) | 91.6 | 95.1 | 93.9 | 98 | 97.6 | 93.9 | 94–100 | |
| Lactate (mmol/L) | 4.1 | 1.7 | 1.6 | 1.3 | 1.5 | 2.3 | 0.5–1.6 | |
| Samples | ORF1a | ORF1b | S | ORF3a | M | ORF8 | ORF9b | N |
|---|---|---|---|---|---|---|---|---|
| hCoV-19/Brazil/SP-SJRP14/2021 | ORF1a:S1188L, ORF1a:K1795Q, ORF1a:S3675-, ORF1a:G3676-, ORF1a:F3677- | ORF1b:P314L, ORF1b:E1264D | S:L18F, S:T20N, S:P26S, S:D138Y, S:R190S, S:N196Y, S:K417T, S:E484K, S:N501Y, S:D614G, S:H655Y, S:T1027I, S:V1176F | ORF3a:S253P | − | ORF8:E92K | ORF9b:Q77E | N:P80R, N:R203K, N:G204R |
| hCoV-19/Brazil/SP-SJRP15/2021 | ORF1a:K1795Q | ORF1b:P314L, ORF1b:E1264D | S:L18F, S:T20N, S:D138Y, S:R190S, S:K417T, S:E484K, S:N501Y, S:D614G, S:H655Y, S:T1027I | ORF3a:L94F, ORF3a:S253P | M:T7N, M:I8S | ORF8:E92K | ORF9b:Q77E | N:P80R |
Publisher’s Note: MDPI stays neutral with regard to jurisdictional claims in published maps and institutional affiliations. |
© 2021 by the authors. Licensee MDPI, Basel, Switzerland. This article is an open access article distributed under the terms and conditions of the Creative Commons Attribution (CC BY) license (https://creativecommons.org/licenses/by/4.0/).
Share and Cite
Estofolete, C.F.; Banho, C.A.; Campos, G.R.F.; Marques, B.d.C.; Sacchetto, L.; Ullmann, L.S.; Possebon, F.S.; Machado, L.F.; Syrio, J.D.; Araújo Junior, J.P.; et al. Case Study of Two Post Vaccination SARS-CoV-2 Infections with P1 Variants in CoronaVac Vaccinees in Brazil. Viruses 2021, 13, 1237. https://doi.org/10.3390/v13071237
Estofolete CF, Banho CA, Campos GRF, Marques BdC, Sacchetto L, Ullmann LS, Possebon FS, Machado LF, Syrio JD, Araújo Junior JP, et al. Case Study of Two Post Vaccination SARS-CoV-2 Infections with P1 Variants in CoronaVac Vaccinees in Brazil. Viruses. 2021; 13(7):1237. https://doi.org/10.3390/v13071237
Chicago/Turabian StyleEstofolete, Cassia F., Cecilia A. Banho, Guilherme R. F. Campos, Beatriz de C. Marques, Livia Sacchetto, Leila S. Ullmann, Fabio S. Possebon, Luana F. Machado, Juliana D. Syrio, João P. Araújo Junior, and et al. 2021. "Case Study of Two Post Vaccination SARS-CoV-2 Infections with P1 Variants in CoronaVac Vaccinees in Brazil" Viruses 13, no. 7: 1237. https://doi.org/10.3390/v13071237
APA StyleEstofolete, C. F., Banho, C. A., Campos, G. R. F., Marques, B. d. C., Sacchetto, L., Ullmann, L. S., Possebon, F. S., Machado, L. F., Syrio, J. D., Araújo Junior, J. P., Bittar, C., Rahal, P., Lobo, S. M. A., Ferreira, H. L., Vasilakis, N., & Nogueira, M. L. (2021). Case Study of Two Post Vaccination SARS-CoV-2 Infections with P1 Variants in CoronaVac Vaccinees in Brazil. Viruses, 13(7), 1237. https://doi.org/10.3390/v13071237

