Deciphering the Role of Humoral and Cellular Immune Responses in Different COVID-19 Vaccines—A Comparison of Vaccine Candidate Genes in Roborovski Dwarf Hamsters
Abstract
:1. Introduction
2. Material and Methods
2.1. Cloning, Generation and Purification of Adenoviral Vaccines
2.2. SARS-CoV-2 Virus and Cells
2.3. Animals and Vaccination
2.4. Infection Experiments
2.5. Virus Titrations, RNA Extractions and RT-qPCR
2.6. Serum Neutralization Tests (SNT)
2.7. T-Cell Restimulation Assays and Flow Cytometry
2.8. Histopathology
2.9. Statistics
3. Results
3.1. Course of Body Weight and Temperature after SARS-CoV-2 Exposure
3.2. Infectious SARS-CoV-2 Viruses and RNA Copies Isolated from Lung and Throat Swabs
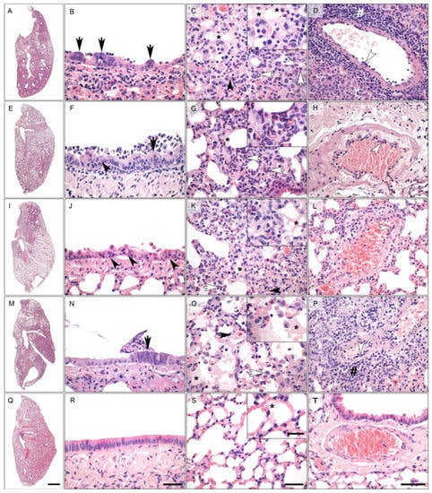
3.3. Histopathology of Lung Tissue after Infection with SARS-CoV-2
3.4. Inflammation Score of Lung Histopathology
3.5. Course of Serum Neutralizing Antibody Titers after SARS CoV-2 Challenge
3.7. Comparison of T-Cell Reactivity in Mice after Vaccination with Ad-S, Ad-N and Ad-RBD
4. Discussion
Supplementary Materials
Author Contributions
Funding
Institutional Review Board Statement
Data Availability Statement
Acknowledgments
Conflicts of Interest
References
- Cao, Y.; Cai, K.; Xiong, L. Coronavirus disease 2019: A new severe acute respiratory syndrome from Wuhan in China. Acta Virol. 2020, 64, 245–250. [Google Scholar] [CrossRef]
- Kashte, S.; Gulbake, A.; El-Amin, S.F., III; Gupta, A. COVID-19 vaccines: Rapid development, implications, challenges and future prospects. Hum. Cell 2021, 34, 711–733. [Google Scholar] [CrossRef] [PubMed]
- Samrat, S.K.; Tharappel, A.M.; Li, Z.; Li, H. Prospect of SARS-CoV-2 spike protein: Potential role in vaccine and therapeutic development. Virus Res. 2020, 288, 198141. [Google Scholar] [CrossRef] [PubMed]
- Vilar, S.; Isom, D.G. One Year of SARS-CoV-2: How Much Has the Virus Changed? Biology 2021, 10, 91. [Google Scholar] [CrossRef]
- Harvey, W.T.; Carabelli, A.M.; Jackson, B.; Gupta, R.K.; Thomson, E.C.; Harrison, E.M.; Ludden, C.; Reeve, R.; Rambaut, A.; Peacock, S.J.; et al. SARS-CoV-2 variants, spike mutations and immune escape. Nat. Rev. Microbiol. 2021, 19, 409–424. [Google Scholar] [CrossRef]
- Tegally, H.; Wilkinson, E.; Giovanetti, M.; Iranzadeh, A.; Fonseca, V.; Giandhari, J.; Doolabh, D.; Pillay, S.; San, E.J.; Msomi, N.; et al. Emergence of a SARS-CoV-2 variant of concern with mutations in spike glycoprotein. Nature 2021, 592, 438–443. [Google Scholar] [CrossRef]
- Brian, D.A.; Baric, R.S. Coronavirus Genome Structure and Replication. Curr. Top. Microbiol. Immunol. 2005, 287, 1–30. [Google Scholar] [PubMed] [Green Version]
- Li, W.; Moore, M.J.; Vasilieva, N.; Sui, J.; Wong, S.K.; Berne, M.A.; Somasundaran, M.; Sullivan, J.L.; Luzuriaga, K.; Greenough, T.C.; et al. Angiotensin-converting enzyme 2 is a functional receptor for the SARS coronavirus. Nature 2003, 426, 450–454. [Google Scholar] [CrossRef] [PubMed] [Green Version]
- Zhu, M. SARS Immunity and Vaccination. Cell. Mol. Immunol. 2004, 1, 193–198. [Google Scholar]
- Mascellino, M.T.; Di Timoteo, F.; De Angelis, M.; Oliva, A. Overview of the Main Anti-SARS-CoV-2 Vaccines: Mechanism of Action, Efficacy and Safety. Infect. Drug Resist. 2021, 14, 3459–3476. [Google Scholar] [CrossRef]
- Noorimotlagh, Z.; Karami, C.; Mirzaee, S.A.; Kaffashian, M.; Mami, S.; Azizi, M. Immune and bioinformatics identification of T cell and B cell epitopes in the protein structure of SARS-CoV-2: A systematic review. Int. Immunopharmacol. 2020, 86, 106738. [Google Scholar] [CrossRef]
- Baruah, V.; Bose, S. Immunoinformatics-aided identification of T cell and B cell epitopes in the surface glycoprotein of 2019-nCoV. J. Med. Virol. 2020, 92, 495–500. [Google Scholar] [CrossRef] [PubMed] [Green Version]
- Lin, L.; Ting, S.; Yufei, H.; Wendong, L.; Yubo, F.; Jing, Z. Epitope-based peptide vaccines predicted against novel coronavirus disease caused by SARS-CoV-2. Virus Res. 2020, 288, 198082. [Google Scholar] [CrossRef]
- Mittereder, N.; March, K.L.; Trapnell, B.C. Evaluation of the concentration and bioactivity of adenovirus vectors for gene therapy. J. Virol. 1996, 70, 7498–7509. [Google Scholar] [CrossRef] [PubMed] [Green Version]
- Wölfel, R.; Corman, V.M.; Guggemos, W.; Seilmaier, M.; Zange, S.; Müller, M.A.; Niemeyer, D.; Jones, T.C.; Vollmar, P.; Rothe, C.; et al. Virological assessment of hospitalized patients with COVID-2019. Nature 2020, 581, 465–469. [Google Scholar] [CrossRef] [Green Version]
- Wang, Y.; Chen, Q.; Liu, Y.; Hu, R.; Zhang, L. Construction of a Recombinant Replication-defective Human Adenovirus Type 5 Expressing G Protein of Irkut Virus and the Immune Test in Mouse. Bing Du Xue Bao 2015, 31, 634–640. [Google Scholar] [PubMed]
- Lalsiamthara, J.; Won, G.; Lee, J.H. Effect of immunization routes and protective efficacy of Brucella antigens delivered via Salmonella vector vaccine. J. Vet. Sci. 2018, 19, 416–425. [Google Scholar] [CrossRef] [PubMed]
- Trimpert, J.; Vladimirova, D.; Dietert, K.; Abdelgawad, A.; Kunec, D.; Dökel, S.; Voss, A.; Gruber, A.D.; Bertzbach, L.D.; Osterrieder, N. The Roborovski Dwarf Hamster Is A Highly Susceptible Model for a Rapid and Fatal Course of SARS-CoV-2 Infection. Cell Rep. 2020, 33, 108488. [Google Scholar] [CrossRef] [PubMed]
- Nakamura, T.; Karakida, N.; Dantsuka, A.; Ichii, O.; Elewa, Y.; Kon, Y.; Nagasaki, K.-I.; Hattori, H.; Yoshiyasu, T. Effects of a mixture of medetomidine, midazolam and butorphanol on anesthesia and blood biochemistry and the antagonizing action of atipamezole in hamsters. J. Vet. Med. Sci. 2017, 79, 1230–1235. [Google Scholar] [CrossRef] [Green Version]
- Corman, V.M.; Drosten, C. Authors’ response: SARS-CoV-2 detection by real-time RT-PCR. Eurosurveillance 2020, 25, 2001035. [Google Scholar] [CrossRef]
- Osterrieder, N.; Bertzbach, L.D.; Dietert, K.; Abdelgawad, A.; Vladimirova, D.; Kunec, D.; Hoffmann, D.; Beer, M.; Gruber, A.D.; Trimpert, J. Age-Dependent Progression of SARS-CoV-2 Infection in Syrian Hamsters. Viruses 2020, 12, 779. [Google Scholar] [CrossRef]
- Gruber, A.D.; Osterrieder, N.; Bertzbach, L.D.; Vladimirova, D.; Greuel, S.; Ihlow, J.; Horst, D.; Trimpert, J.; Dietert, K. Standardization of Reporting Criteria for Lung Pathology in SARS-CoV-2-infected Hamsters: What Matters? Am. J. Respir. Cell Mol. Biol. 2020, 63, 856–859. [Google Scholar] [CrossRef] [PubMed]
- Teijaro, J.R.; Farber, D.L. COVID-19 vaccines: Modes of immune activation and future challenges. Nat. Rev. Immunol. 2021, 21, 195–197. [Google Scholar] [CrossRef] [PubMed]
- Madhi, S.A.; Baillie, V.; Cutland, C.L.; Voysey, M.; Koen, A.L.; Fairlie, L.; Padayachee, S.D.; Dheda, K.; Barnabas, S.L.; Bhorat, Q.E.; et al. Efficacy of the ChAdOx1 nCoV-19 Covid-19 Vaccine against the B.1.351 Variant. N. Engl. J. Med. 2021, 384, 1885–1898. [Google Scholar] [CrossRef] [PubMed]





| Vaccine Gene | day 2 | day 5 | day 7 |
|---|---|---|---|
| N | 0 / 0 / 8 | 8 / 8 / 16 | 256 / 512 / 512 |
| RBD | 16 / 32 / 32 | 256 / 512 / 512 | 512 / 512 / 512 |
| S | 256 / 512 / 512 | 512 / 512 / 512 | 512 / 512 / 512 |
| RBD-IRES-M | 256 / 256 / 512 | 64 / 512 / 512 | 512 / 512 / 512 |
| mock-lacZ | 0 / 0 / 4 | 64 / 64 / 256 | 512 / 512 / 512 |
Publisher’s Note: MDPI stays neutral with regard to jurisdictional claims in published maps and institutional affiliations. |
© 2021 by the authors. Licensee MDPI, Basel, Switzerland. This article is an open access article distributed under the terms and conditions of the Creative Commons Attribution (CC BY) license (https://creativecommons.org/licenses/by/4.0/).
Share and Cite
Trimpert, J.; Herwig, S.; Stein, J.; Vladimirova, D.; Adler, J.M.; Abdelgawad, A.; Firsching, T.C.; Thoma, T.; Sehouli, J.; Osterrieder, K.; et al. Deciphering the Role of Humoral and Cellular Immune Responses in Different COVID-19 Vaccines—A Comparison of Vaccine Candidate Genes in Roborovski Dwarf Hamsters. Viruses 2021, 13, 2290. https://doi.org/10.3390/v13112290
Trimpert J, Herwig S, Stein J, Vladimirova D, Adler JM, Abdelgawad A, Firsching TC, Thoma T, Sehouli J, Osterrieder K, et al. Deciphering the Role of Humoral and Cellular Immune Responses in Different COVID-19 Vaccines—A Comparison of Vaccine Candidate Genes in Roborovski Dwarf Hamsters. Viruses. 2021; 13(11):2290. https://doi.org/10.3390/v13112290
Chicago/Turabian StyleTrimpert, Jakob, Susanne Herwig, Julia Stein, Daria Vladimirova, Julia M. Adler, Azza Abdelgawad, Theresa C. Firsching, Tizia Thoma, Jalid Sehouli, Klaus Osterrieder, and et al. 2021. "Deciphering the Role of Humoral and Cellular Immune Responses in Different COVID-19 Vaccines—A Comparison of Vaccine Candidate Genes in Roborovski Dwarf Hamsters" Viruses 13, no. 11: 2290. https://doi.org/10.3390/v13112290
APA StyleTrimpert, J., Herwig, S., Stein, J., Vladimirova, D., Adler, J. M., Abdelgawad, A., Firsching, T. C., Thoma, T., Sehouli, J., Osterrieder, K., Gruber, A. D., Sawitzki, B., Sander, L. E., & Cichon, G. (2021). Deciphering the Role of Humoral and Cellular Immune Responses in Different COVID-19 Vaccines—A Comparison of Vaccine Candidate Genes in Roborovski Dwarf Hamsters. Viruses, 13(11), 2290. https://doi.org/10.3390/v13112290

