The Role of the Nasal Cavity in the Pathogenesis of Prion Diseases
Abstract
1. Introduction
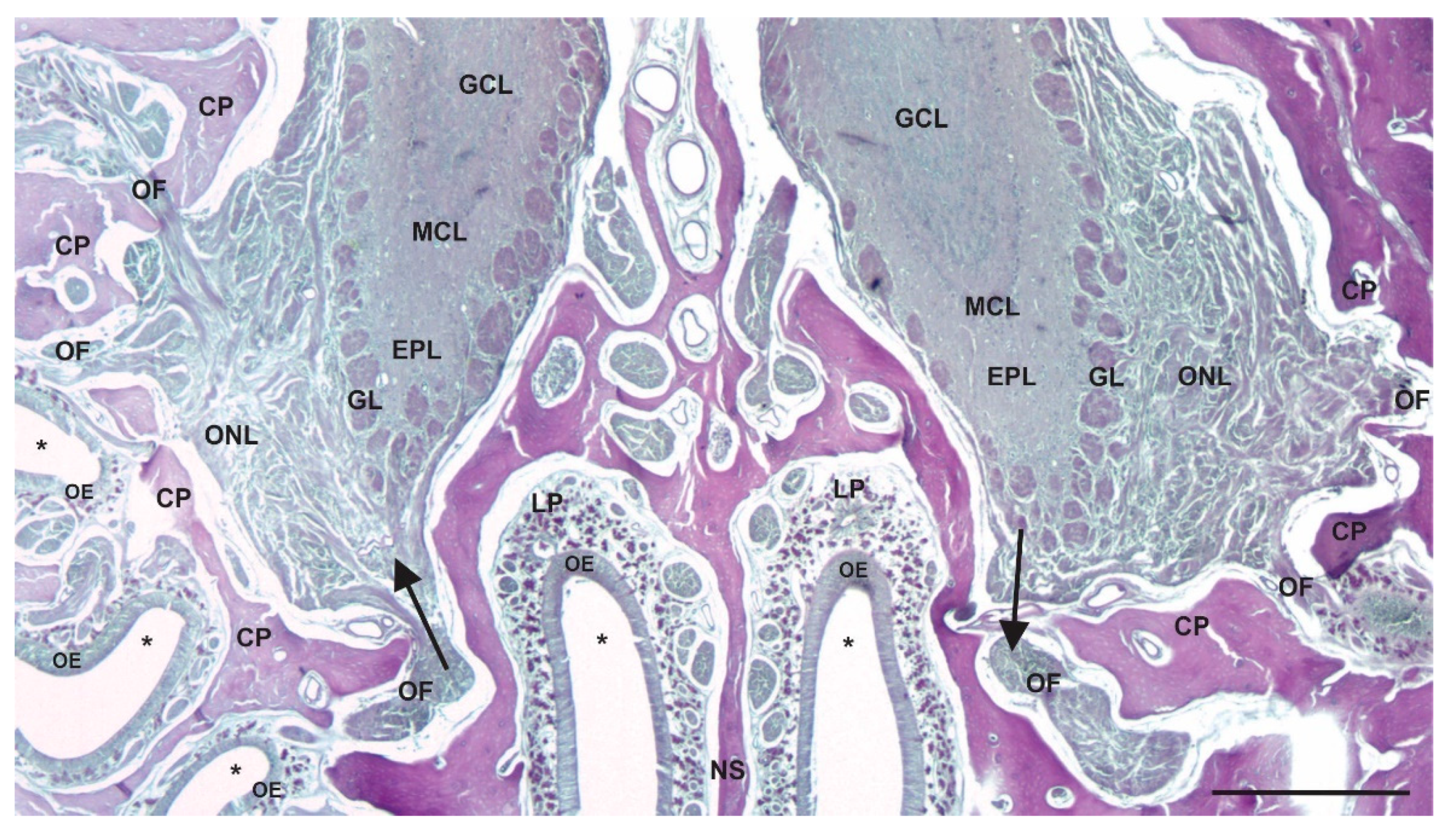
2. Functional Organization of the Nasal Cavity and Prion Pathogenesis
3. Experimental Evidence for the Role of the NC in Prion Entry following NC Exposure
3.1. Efficacy and Efficiency of the NC Route of Entry
3.2. Mechanisms of Transepithelial Transport and Neuroinvasion following NC Exposure
3.3. The Role of LRS Tissues in Prion Pathogenesis following NC Exposure
4. Evidence for the Presence and Shedding of Prions in Nasal Mucosa and Secretions
4.1. Experimental Evidence
4.2. Evidence from Human Prion Diseases
5. Summary
5.1. Centripetal Spread of Prions
5.2. Centrifugal Spread and Shedding of Prions
Funding
Conflicts of Interest
References
- Laska, M. Human and animal olfactory capabilities compared. In Springer Handbook of Odor, 1st ed.; Buettner, A., Ed.; Springer: Cham, Switzerland, 2017; pp. 675–689. [Google Scholar] [CrossRef]
- Brown, P.; Gajdusek, D.C. Survival of scrapie virus after 3 year’s internment. Lancet 1991, 337, 269–270. [Google Scholar] [CrossRef]
- Georgsson, G.; Sigurdarson, S.; Brown, P. Infectious agent of sheep scrapie may persist in the environment for at least 16 years. J. Gen. Virol. 2006, 87, 3737–3740. [Google Scholar] [CrossRef]
- Seidel, B.; Thomzig, A.; Buschmann, A.; Groschup, M.H.; Peters, R.; Beekes, M.; Terytze, K. Scrapie agent (Strain 263K) can transmit disease via the oral route after persistence in soil over years. PLoS ONE 2007, 2, e435. [Google Scholar] [CrossRef]
- Mathiason, C.K.; Powers, J.G.; Dahmes, S.J.; Osborn, D.A.; Miller, K.V.; Warren, R.J.; Mason, G.L.; Hays, S.A.; Hayes-Klug, J.; Seelig, D.M.; et al. Infectious prions in the saliva and blood of deer with chronic wasting disease. Science 2006, 314, 133–136. [Google Scholar] [CrossRef] [PubMed]
- Haley, N.J.; Seelig, D.M.; Zabel, M.D.; Telling, G.C.; Hoover, E.A. Detection of CWD prions in urine and saliva of deer by transgenic mouse bioassay. PLoS ONE 2009, 4, e4848. [Google Scholar] [CrossRef]
- Safar, J.G.; Lessard, P.; Tamguney, G.; Freyman, Y.; Deering, C.; Letessier, F.; DeArmond, S.J.; Prusiner, S.B. Transmission and detection of prions in feces. J. Infect. Dis. 2008, 198, 81–89. [Google Scholar] [CrossRef] [PubMed]
- Henderson, D.M.; Tennant, J.M.; Haley, N.J.; Denkers, N.D.; Mathiason, C.K.; Hoover, E.A. Detection of chronic wasting disease prion seeding activity in deer and elk feces by real-time quaking-induced conversion. J. Gen. Virol. 2017. [Google Scholar] [CrossRef] [PubMed]
- Tennant, J.M.; Li, M.; Henderson, D.M.; Tyer, M.L.; Denkers, N.D.; Haley, N.J.; Mathiason, C.K.; Hoover, E.A. Shedding and stability of CWD prion seeding activity in cervid feces. PLoS ONE 2020, 15, e0227094. [Google Scholar] [CrossRef]
- Miller, M.W.; Williams, E.S.; Hobbs, N.T.; Wolfe, L.L. Environmental sources of prion transmission in mule deer. Emerg. Infect. Dis. 2004, 10, 1003–1006. [Google Scholar] [CrossRef]
- Miller, M.W.; Williams, E.S. Horizontal prion transmission in mule deer. Nature 2003, 425, 35–36. [Google Scholar] [CrossRef]
- Angers, R.C.; Browning, S.R.; Sigurdarson, C.J.; Miller, M.W.; Hoover, E.A.; Telling, G.C. Prions in skeletal muscle of deer with chronic wasting disease. Science 2006, 311, 1117. [Google Scholar] [CrossRef] [PubMed]
- Nalls, A.V.; McNulty, E.; Hoover, C.E.; Pulscher, L.A.; Hoover, E.A.; Mathiason, C.M. Infectious prions in the pregnancy microenvironment of chronic wasting disease-infected of Reeves’ muntjac deer. J. Virol. 2017, 91, e00501–e005017. [Google Scholar] [CrossRef] [PubMed]
- Johnson, C.J.; Phillips, K.E.; Schramm, P.T.; McKenzie, D.; Aiken, J.M.; Pedersen, J.A. Prions adhere to soil minerals and remain infectious. PLoS Pathog. 2006, 2, e32. [Google Scholar] [CrossRef] [PubMed]
- Johnson, C.J.; Pedersen, J.A.; Chappell, R.J.; McKenzie, D.; Aiken, J.M. Oral transmissibility of prion disease is enhanced by binding to soil particles. PLoS Pathog. 2007, 3, e93. [Google Scholar] [CrossRef] [PubMed]
- Saunders, S.E.; Bartelt-Hunt, S.L.; Bartz, J.C. Prions in the environment. Prion 2008, 2, 162–169. [Google Scholar] [CrossRef]
- Pritzkow, S.; Morales, R.; Moda, F.; Khan, U.; Telling, G.C.; Hoover, E.; Soto, C. Grass plants bind, retain, uptake and transport infectious prions. Cell Rep. 2015, 11, 1168–1175. [Google Scholar] [CrossRef]
- McGann, J.P. Poor human olfaction is a 19th-century myth. Science 2017, 356, eaam7263. [Google Scholar] [CrossRef]
- Stitz, L.; Aguzzi, A. Aerosols, an underestimated vehicle for transmission of prion diseases? Prion 2011, 5, 1–4. [Google Scholar] [CrossRef][Green Version]
- Gough, K.C.; Baker, C.A.; Simmons, H.A.; Hawkins, S.A.; Maddison, B.C. Circulation of prions within dust on a scrapie affected farm. Vet. Res. 2015, 46, 40. [Google Scholar] [CrossRef]
- Rey, N.L.; Wesson, D.W.; Brundin, P. The olfactory bulb as the entry site for prion-like propagation in neurodegenerative diseases. Neurobiol. Dis. 2018, 109, 226–248. [Google Scholar] [CrossRef]
- Doty, R.L. The olfactory vector hypothesis of neurodegenerative disease: Is it viable? Ann. Neurol. 2008, 63, 7–15. [Google Scholar] [CrossRef] [PubMed]
- Corona, C.; Porcario, C.; Martucci, F.; Iulini, B.; Manea, B.; Gallo, M.; Palmitessa, C.; Maurella, C.; Mazza, M.; Pezzolato, M.; et al. Olfactory system involvement in natural scrapie disease. J. Virol. 2009, 83, 3657–3667. [Google Scholar] [CrossRef]
- Lee, Y.H.; Simmons, M.M.; Hawkins, S.A.C.; Spencer, Y.I.; Webb, P.; Stack, M.J.; Wells, G.A.H. Detection of pathologic prion protein in the olfactory bulb of natural and experimental bovine spongiform encephalopathy affected cattle in Great Britain. Vet. Pathol. 2009, 46, 59–62. [Google Scholar] [CrossRef]
- Reuber, M.; Al-Din, A.S.N.; Baborie, A.; Chakrabarty, A. New variant Creutzfeldt-Jakob disease presenting with loss of taste and smell. J. Neurol. Neurosurg. Psych. 2001, 71, 412–418. [Google Scholar] [CrossRef][Green Version]
- Farbman, A.I. Cell Biology of Olfaction; Cambridge University Press: Cambridge, UK, 1992; pp. 24–69. [Google Scholar]
- Harkema, J.R.; Carey, S.A.; Wagner, J.G. The nose revisited: A brief review of the comparative structure, function, and toxicologic pathology of the nasal epithelium. Tox. Pathol. 2006, 34, 252–269. [Google Scholar] [CrossRef] [PubMed]
- Calof, A.L.; Hagiwara, N.; Holcomb, J.D.; Mumm, J.S.; Shou, J. Neurogenesis and cell death in olfactory epithelium. J. Neurobiol. 1996, 30, 67–81. [Google Scholar] [CrossRef]
- Brann, J.H.; Firestein, S.J. A lifetime of neurogenesis in the olfactory system. Front. Neurosci. 2014, 8, 182. [Google Scholar] [CrossRef] [PubMed]
- Doving, K.B.; Trotier, D. Structure and function of the vomeronasal organ. J. Exp. Biol. 1998, 201, 2913–2925. [Google Scholar] [CrossRef]
- Faber, J.K.; Gebhardt, L.P. Localizations of the virus of poliomyelitis in the central nervous system during the preparalytic period after intranasal instillation. J. Exp. Med. 1933, 57, 933–954. [Google Scholar] [CrossRef] [PubMed]
- Lafay, F.; Coulon, P.; Astic, L.; Saucier, D.; Riche, D.; Holley, A.; Flamand, A. Spread of the CVS strain of rabies virus and of the avirulent mutant Av01 along the olfactory pathways of the mouse after intranasal inoculation. Virology 1991, 183, 320–330. [Google Scholar] [CrossRef]
- Reiss, C.S.; Plakhov, I.V.; Komatsu, T. Viral replication in olfactory receptor neurons and entry into the olfactory bulb and brain. Ann. N. Y. Acad. Sci. 1998, 855, 751–761. [Google Scholar] [CrossRef]
- Mori, I.; Nishiyama, Y.; Yokochi, T.; Kimura, Y. Olfactory transmission of neurotropic viruses. J. Neur. Vir. 2005, 11, 129–137. [Google Scholar] [CrossRef]
- Van Riel, D.; Verdijk, R.; Kuiken, T. The olfactory nerve: A shortcut for influenza and other viral diseases into the central nervous system. J. Pathol. 2014, 235, 277–287. [Google Scholar] [CrossRef] [PubMed]
- Kritas, S.K.; Nauwynck, H.J.; Pensaert, M.B. Dissemination of wild-type and gC-, gE- and gI-deleted mutants of Aujeszky’s disease virus in the maxillary nerve and trigeminal ganglion of pigs after intranasal inoculation. J. Gen. Virol. 1995, 76, 2063–2066. [Google Scholar] [CrossRef]
- Babic, N.; Mettenleiter, T.C.; Ugolini, G.; Flamand, A.; Coulon, P. Propagation of pseudorabies virus in the nervous system of the mouse after intranasal inoculation. Virology 1994, 204, 616–625. [Google Scholar] [CrossRef] [PubMed]
- Matsuda, K.; Park, C.H.; Sunden, Y.; Kimura, T.; Ochiai, K.; Kida, H.; Umemura, T. The vagus nerve is one route of transneuronal invasion for intranasally inoculated influenza A virus in mice. Vet. Pathol. 2004, 41, 101–107. [Google Scholar] [CrossRef] [PubMed]
- Le Pichon, C.E.; Firestein, S. Expression and localization of the prion protein PrPC in the olfactory system of the mouse. J. Comp. Neurol. 2008, 508, 487–499. [Google Scholar] [CrossRef]
- Dibattista, M.; Massimino, M.L.; Maurya, D.K.; Menini, A.; Bertoli, A.; Sortago, M.C. The cellular prion protein is expressed by olfactory sensory neurons of adult mice but does not affect the early events of the olfactory transduction pathway. Chem. Senses 2011, 36, 791–797. [Google Scholar] [CrossRef] [PubMed]
- Brandner, S.; Raeber, A.; Sailer, A.; Blattler, T.; Fischer, M.; Weissmann, C.; Aguzzi, A. Normal host prion protein (PrPC) is required for scrapie spread within the central nervous system. Proc. Natl. Acad. Sci. USA 1996, 93, 13148–13151. [Google Scholar] [CrossRef]
- Kraal, G. Nasal associated lymphoid tissue. In Mucosal Immunity, 3rd ed.; Mestecky, J., Lamm, M.E., Strober, W., Bienenstock, J., McGhee, J.R., Mayer, L., Eds.; Elsevier Academic Press: Cambridge, MA, USA, 2005; Volume 1, pp. 415–422. [Google Scholar] [CrossRef]
- Asanuma, H.; Thompson, A.H.; Iwasaki, T.; Sato, Y.; Inaba, Y.; Aizawa, C.; Kurata, T.; Tamura, S. Isolation and characterization of mouse nasal-associated lymphoid tissue. J. Immun. Meth. 1997, 202, 123–131. [Google Scholar] [CrossRef]
- Giannasca, P.J.; Boden, J.A.; Monath, T.P. Targeted delivery of antigen to hamster nasal lymphoid tissue with M-cell directed lectins. Infect. Immun. 1997, 65, 4288–4298. [Google Scholar] [CrossRef]
- Spit, B.J.; Hendriksen, E.G.J.; Bruijntjes, J.P.; Kuper, C.F. Nasal lymphoid tissue in the rat. Cell Tissue Res. 1989, 255, 193–198. [Google Scholar] [CrossRef]
- Stanley, A.C.; Huntley, J.F.; Jeffrey, M.; Buxton, D. Characterization of ovine nasal-associated lymphoid tissue and identification of M cells in the overlying follicle-associated epithelium. J. Comp. Path. 2001, 125, 262–270. [Google Scholar] [CrossRef]
- Sedgmen, B.J.; Lofthouse, S.A.; Meeusen, E.N. The ovine nasal mucosa: An alternative tissue site for mucosal immunization. Methods 2006, 38, 112–116. [Google Scholar] [CrossRef] [PubMed]
- Rebelatto, M.C. Nasal Associated Lymphoid Tissue and Intranasal Immunization in Cattle. Ph.D. Thesis, Purdue University, West Lafayette, IN, USA, 2000. [Google Scholar]
- Loo, S.K.; Chin, K.N. Lymphoid tissue in the nasal mucosa of primates, with particular reference to intraepithelial lymphocytes. J. Anat. 1974, 117, 249–259. [Google Scholar]
- Debertin, A.S.; Tschernig, T.; Tonjes, H.; Kleemann, W.J.; Troger, H.D.; Pabst, R. Nasal-associated lymphoid tissue (NALT): Frequency and localization in young children. Clin. Exp. Immunol. 2003, 134, 503–507. [Google Scholar] [CrossRef]
- Park, J.-S.; Francis, K.P.; Yu, J.; Cleary, P.P. Membranous cells in nasal-associated lymphoid tissue: A portal of entry for the respiratory mucosal pathogen group A streptococcus. J. Immunol. 2003, 171, 2532–2537. [Google Scholar] [CrossRef]
- Date, Y.; Ebisawa, M.; Fukuda, S.; Shima, H.; Obata, Y.; Takahashi, D.; Kato, T.; Hanazato, M.; Nakato, G.; Williams, I.R.; et al. NALT M cells are important for immune induction for the common mucosal immune system. Int. Immunol. 2017, 29, 471–478. [Google Scholar] [CrossRef] [PubMed]
- Clouse, M.D.; Shikiya, R.A.; Bartz, J.C.; Kincaid, A.E. Nasal associated lymphoid tissue of the Syrian golden hamster expresses high levels of PrPC. PLoS ONE 2015, 10, e0117935. [Google Scholar] [CrossRef]
- Dillon, A.; Lo, D.D. M cells: Intelligent engineering of mucosal immune surveillance. Front. Immunol. 2019, 10, 1499. [Google Scholar] [CrossRef] [PubMed]
- Koornstra, P.J.; Duijvestijn, A.M.; Vlek, L.F.M.; Marres, E.H.M.A.; Van Breda Vriesman, P.J.C. Immunohistology of nasopharyngeal (Waldeyer’s ring equivalent) lymphoid tissue in the rat. Acta Otolaryngol. 1993, 113, 660–667. [Google Scholar] [CrossRef] [PubMed]
- Kincaid, A.E.; Bartz, J.C. The nasal cavity is a route for prion infection in hamsters. J. Virol. 2007, 81, 4482–4491. [Google Scholar] [CrossRef]
- Sbriccoli, M.; Cardone, F.; Valanzano, A.; Lu, M.; Graziano, S.; De Pascalis, A.; Ingrosso, L.; Zanusso, G.; Monaco, S.; Bentivoglio, M.; et al. Neuroinvasion of the 263K scrapie strain after intranasal administration occurs through olfactory-unrelated pathways. Acta Neuropathol. 2009, 117, 175–184. [Google Scholar] [CrossRef] [PubMed]
- Bessen, R.A.; Martinka, S.; Kelly, J.; Gonzalez, D. Role of the lymphoreticular system in prion neuroinvasion from the oral and nasal mucosa. J. Virol. 2009, 83, 6435–6445. [Google Scholar] [CrossRef] [PubMed]
- Haybaeck, J.; Heikenwalder, M.; Klevenz, B.; Schwarz, P.; Margalith, I.; Bridel, C.; Mertz, K.; Zirdum, E.; Petsch, B.; Fuchs, T.J.; et al. Aerosols transmit prions to immunocompetent and immunodeficient mice. PLoS Pathog. 2011, 7, e1001257. [Google Scholar] [CrossRef]
- Denkers, N.D.; Seelig, D.M.; Telling, G.C.; Hoover, E.A. Aerosol and nasal transmission of chronic wasting disease in cervidized mice. J. Gen. Virol. 2010, 91, 1651–1658. [Google Scholar] [CrossRef]
- Hamir, A.N.; Kunkle, R.A.; Richt, J.A.; Miller, J.M.; Greenlee, J.J. Experimental transmission of US scrapie agent by nasal, peritoneal, and conjunctival routes to genetically susceptible sheep. Vet. Pathol. 2008, 45, 7–11. [Google Scholar] [CrossRef]
- Denkers, N.D.; Hayes-Klug, J.; Anderson, K.R.; Seelig, D.M.; Haley, N.J.; Dahmes, S.J.; Osborn, D.A.; Miller, K.V.; Warren, R.J.; Mathiason, C.K.; et al. Aerosol transmission of chronic wasting disease in white-tailed deer. J. Virol. 2013, 87, 1890–1892. [Google Scholar] [CrossRef] [PubMed]
- Nichols, T.A.; Spraker, T.R.; Rigg, T.D.; Meyerett-Reid, C.; Hoover, C.; Michel, B.; Bian, J.; Hoover, E.; Gidlewski, T.; Balachandran, A.; et al. Intranasal inoculation of white-tailed deer (Odocoileus virginianus) with lyophilized chronic wasting disease prion particulate complexed to montmorillonite clay. PLoS ONE 2013, 8, e62455. [Google Scholar] [CrossRef]
- Shikiya, R.A.; Langenfeld, K.A.; Eckland, T.E.; Trinh, J.; Holec, S.M.; Mathiason, C.K.; Kincaid, A.E.; Bartz, J.C. PrPSc formation and clearance as determinants of prion tropism. PLoS Pathog. 2017, 13, e1006298. [Google Scholar] [CrossRef] [PubMed]
- Jeffrey, M.; Gonzalez, L.; Espenes, A.; Press, C.M.; Martin, S.; Chaplin, M.; Davis, L.; Landsverk, T.; MacAldowie, C.; Eaton, S.; et al. Transportation of prion protein across the intestinal mucosa of scrapie-susceptible and scrapie-resistant sheep. J. Pathol. 2006, 209, 4–14. [Google Scholar] [CrossRef] [PubMed]
- Dagleish, M.P.; Hamilton, S.; Gonzalez, L.; Eaton, S.L.; Steele, P.; Finlayson, J.; Siso, S.; Pang, Y.; Sales, J.; Chianini, F.; et al. Digestion and transportation of bovine spongiform encephalopathy-derived prion protein in the sheep intestine. J. Gen. Virol. 2010, 91, 3116–3123. [Google Scholar] [CrossRef] [PubMed]
- Bryant, B.; Silver, W.L. Chemesthesis: The common chemical sense. In The Neurobiology of Taste and Smell, 2nd ed.; Finger, T.E., Silver, W.L., Restrepo, D., Eds.; John Wiley and Sons: Hoboken, NJ, USA, 2000; pp. 73–100. [Google Scholar]
- Finger, T.E.; Jeor, V.L.S.; Kinnamon, J.C.; Silver, W.L. Ultrastructure of substance-P and CGRP-immunoreactive nerve fibers in the nasal epithelium of rodents. J. Comp. Neurol. 1990, 294, 293–305. [Google Scholar] [CrossRef]
- Finger, T.E.; Bottger, B.; Hansen, A.; Anderson, K.T.; Alimohammadi, H.; Silver, W.L. Solitary chemoreceptor cells in the nasal cavity serve as sentinels of respiration. Proc. Natl. Acad. Sci.USA 2003, 100, 8981–8986. [Google Scholar] [CrossRef]
- Sbarbati, A.; Osculati, F. The taste cell-related diffuse chemosensory system. Prog. Neurobiol. 2005, 75, 295–307. [Google Scholar] [CrossRef] [PubMed]
- McBride, P.A.; Schulz-Schaeffer, W.J.; Donaldson, M.; Bruce, M.; Diringer, H.; Kretzschmar, H.A.; Beekes, M. Early spread of scrapie from the gastrointestinal tract to the central nervous system involves autonomic fibers of the splanchnic and vagus nerves. J. Virol. 2001, 75, 9320–9327. [Google Scholar] [CrossRef] [PubMed]
- Kincaid, A.E.; Hudson, K.F.; Richey, M.W.; Bartz, J.C. Rapid transepithelial transport of prions following inhalation. J. Virol. 2012, 86, 12731–12740. [Google Scholar] [CrossRef] [PubMed]
- Kincaid, A.E.; Bartz, J.C. Specificity, size, and frequency of spaces that characterize the mechanism of bulk transepithelial transport of prions in the nasal cavities of hamsters and mice. J. Virol. 2016, 90, 8293–8301. [Google Scholar] [CrossRef]
- Heppner, F.L.; Christ, A.D.; Klein, M.A.; Prinz, M.; Fried, M.; Kraehenbuhl, J.-P.; Aguzzi, A. Transepithelial prion transport by M cells. Nat. Med. 2001, 7, 976–977. [Google Scholar] [CrossRef]
- Donaldson, D.S.; Kobayashi, A.; Ohno, H.; Yagita, H.; Williams, I.R.; Mabbott, N.A. M cell-depletion blocks oral prion disease pathogenesis. Mucosa Immunol. 2011, 5, 216–225. [Google Scholar] [CrossRef]
- Elder, A.M.; Henderson, D.M.; Nalls, A.V.; Wilham, J.M.; Caughey, B.W.; Hoover, E.A.; Kincaid, A.E.; Bartz, J.C.; Mathiason, C.K. In vitro detection of prionemia in TSE-infected cervids and hamsters. PLoS ONE 2013, 8, e80203. [Google Scholar] [CrossRef]
- Elder, A.M.; Henderson, D.M.; Nalls, A.V.; Hoover, E.A.; Kincaid, A.E.; Bartz, J.C.; Mathiason, C.K. Immediate and ongoing detection of prions in the blood of hamsters and deer following oral, nasal, or blood inoculations. J. Virol. 2015, 89, 7421–7424. [Google Scholar] [CrossRef] [PubMed]
- Beekes, M.; McBride, P.A. The spread of prions through the body in naturally acquired transmissible spongiform encephalopathies. FEBS J. 2007, 274, 588–605. [Google Scholar] [CrossRef]
- Marafetti, L.E.; Romeo, H.E. Origins of the sympathetic innervation of the nasal-associated lymphoid tissue (NALT): An anatomical substrate for a neuroimmune connection. J. Neuroimmunol. 2014, 276, 119–225. [Google Scholar] [CrossRef]
- DeJoia, C.; Moreaux, B.; O’Connell, K.; Bessen, R.A. Prion infection of oral and nasal mucosa. J. Virol. 2006, 80, 4546–4556. [Google Scholar] [CrossRef] [PubMed]
- Bessen, R.A.; Shearin, H.; Martinka, S.; Boharski, R.; Lowe, D.; Wilham, J.M.; Caughey, B.; Wiley, J.A. Prion shedding from olfactory neurons into nasal secretions. PLoS Pathog. 2010, 6, e1000837. [Google Scholar] [CrossRef] [PubMed]
- Balkema-Buschmann, A.; Eiden, M.; Hoffmann, C.; Kaatz, M.; Ziegler, U.; Keller, M.; Groschup, M.H. BSE infectivity in the absence of detectable PrPSc accumulation in the tongue and nasal mucosa of terminally disease cattle. J. Gen. Virol. 2011, 92, 467–476. [Google Scholar] [CrossRef]
- Haley, N.J.; Siepker, C.; Walter, W.D.; Thomsen, B.V.; Greenlee, J.J.; Lekmkuhl, A.D.; Richt, J.A. Antemortem detection of chronic wasting disease prions in nasal brush collections and rectal biopsy specimens from white-tailed deer by real-time quaking-induced conversion. J. Clin. Microbiol. 2016, 54, 1108–1116. [Google Scholar] [CrossRef]
- Haley, N.J.; Siepker, C.; Hoon-Hanks, L.L.; Mitchell, G.; Walter, W.D.; Manca, M.; Monello, R.J.; Powers, J.G.; Wild, M.A.; Hoover, E.A.; et al. Seeded amplification of chronic wasting disease prions in nasal brushings and recto-anal mucosa-associated lymphoid tissue from elk by real-time quaking-induced conversion. J. Clin. Microbiol. 2016, 54, 1117–1126. [Google Scholar] [CrossRef]
- Zanusso, G.; Ferrari, S.; Cardone, F.; Zampieri, P.; Gelati, M.; Fiorini, M.; Farinazzo, A.; Gardiman, M.; Cavallaro, T.; Bentivoglio, M.; et al. Detection of pathologic prion protein in the olfactory epithelium in sporadic Creutzfeldt-Jakob disease. N. Eng. J. Med. 2003, 348, 711–719. [Google Scholar] [CrossRef]
- Tabaton, M.; Monaco, S.; Cordone, M.P.; Colucci, M.; Giaccone, G.; Tagliavini, F.; Zanusso, G. Prion deposition in olfactory biopsy of sporadic Creutzfeldt-Jakob disease. Ann. Neurol. 2004, 55, 294–296. [Google Scholar] [CrossRef] [PubMed]
- Orru, C.D.; Bongianni, M.; Tonoli, G.; Ferrari, S.; Hughson, A.G.; Groveman, B.R.; Fiorini, M.; Pocchiari, M.; Monaco, S.; Caughey, B.; et al. A test for Creutzfeldt-Jakob disease using nasal brushings. N. Eng. J. Med. 2014, 371, 519–529. [Google Scholar] [CrossRef] [PubMed]
- Redaelli, V.; Bistaffa, E.; Zanusso, G.; Salzano, G.; Sacchetto, L.; Rossi, M.; DeLuca, C.M.G.; DiBari, M.; Portaleone, S.M.; Agrini, U.; et al. Detection of prion seeding activity in the olfactory mucosa of patients with Fatal Familial Insomnia. Sci. Rep. 2017, 7, 46269. [Google Scholar] [CrossRef]
- Bistaffa, E.; Marin-Moreno, A.; Espinosa, J.C.; DeLuca, C.M.G.; Cazzaniga, F.A.; Portaleone, S.M.; Celauro, L.; Legname, G.; Giaccone, G.; Torres, J.M.; et al. PMCA-generated prions from the olfactory mucosa of patients with Fatal Familial Insomnia cause prion disease in mice. eLife 2021, 10, e65311. [Google Scholar] [CrossRef] [PubMed]
- Raymond, G.J.; Race, B.; Orru, C.D.; Raymond, L.D.; Bongianni, M.; Fiorini, M.; Groveman, B.R.; Ferrari, S.; Sacchetto, L.; Hughson, A.G.; et al. Transmission of CJD from nasal brushings but not spinal fluid or RT-Quic product. Ann. Clin. Transl. Neurol. 2020, 51057. [Google Scholar] [CrossRef] [PubMed]



| Study (Year) | Species | Inoculum | Did Exposure to NC Cause Disease? | PrPSc in OE Prior to Detection in OB/Brain | Detection of PrPSc in LRS Structures |
|---|---|---|---|---|---|
| Kincaid and Bartz (2007) | Hamster | HY-bh | Yes | No | Yes |
| Hamir et al. (2008) | Sheep | Scrapie-bh | Yes | nd | nd |
| Sbriccoli (2009) | Hamster | 263K-bh | Yes | No | Yes |
| Bessen et al. (2009) | Hamster, mice | HY or DY-bh; RML-bh | Yes; except for DY-inoculated and most LRS-deficient mice | No | Yes; except for LRS-deficient and DY-inoculated animals |
| Denkers et al. (2010) | Cervidized mice | CWD-bh or CWD-aerosol | Yes | No | No |
| Haybaeck et al. (2011) | Wild-type, transgenic, or immunodeficient mice | RML-bh or RML-aerosol | Yes | nd | Yes; except for LRS-deficient mice |
| Nichols et al. (2013) | Deer | CWD-bh mixed with soil | nd | nd | Yes |
| Denkers et al. (2013) | Deer | CWD-aerosol | Yes | nd | Yes |
| Study (Year) | Species | Route of Exposure | Means of Detection | Location of PrPSc |
|---|---|---|---|---|
| DeJoia et al. (2006) | Hamster | IC | IHC; IF | OM; VNE |
| Bessen et al. (2010) | Hamster | IC; IOB | IHC; IF; WB; RT QuIC | OM; VNE |
| Haley et al. (2016) | Deer | Not known | RT QuIC OM brushings | OM |
| Haley (2016) | Elk | Not known | RT QuIC OM brushings | OM |
| Zanusso et al. (2003) | Human sCJD | none | IHC; WB | OM |
| Tabaton et al. (2004) | Human sCJD | none | IHC; immunoblot | OM |
| Orru et al. (2014) | Human sCJD; inherited CJD | none | RT QuIC OM brushings | OM |
| Redaelli et al. (2017) | Human FFI | none | RT QuIC; PMCA | OM |
Publisher’s Note: MDPI stays neutral with regard to jurisdictional claims in published maps and institutional affiliations. |
© 2021 by the author. Licensee MDPI, Basel, Switzerland. This article is an open access article distributed under the terms and conditions of the Creative Commons Attribution (CC BY) license (https://creativecommons.org/licenses/by/4.0/).
Share and Cite
Kincaid, A.E. The Role of the Nasal Cavity in the Pathogenesis of Prion Diseases. Viruses 2021, 13, 2287. https://doi.org/10.3390/v13112287
Kincaid AE. The Role of the Nasal Cavity in the Pathogenesis of Prion Diseases. Viruses. 2021; 13(11):2287. https://doi.org/10.3390/v13112287
Chicago/Turabian StyleKincaid, Anthony E. 2021. "The Role of the Nasal Cavity in the Pathogenesis of Prion Diseases" Viruses 13, no. 11: 2287. https://doi.org/10.3390/v13112287
APA StyleKincaid, A. E. (2021). The Role of the Nasal Cavity in the Pathogenesis of Prion Diseases. Viruses, 13(11), 2287. https://doi.org/10.3390/v13112287
